*DOS in Food Science and Nutrition, University of Mysore, Manasagangothri, Mysore 570006
Email: asnaurooj@foodsci.uni.mysore.ac.in
Received: 08 Mar 2015 Revised and Accepted: 05 Apr 2015
ABSTRACT
Objective: The study evaluates the acute toxicity of the Swietenia Mahagoni leaf in rats of Wistar strain.
Methods: Whole leaf powder at a maximum allowable dose (as per OECD guidelines (2000 mg Kg-1 BW)) was orally administered for 14 d and the effect of administration on the mortality, behavioral and biochemical changes in rats was observed.
Results: There was no mortality or any toxic reaction was recorded in the treated group in the duration of administration. The powder did not cause any behavioral or physical changes in experimental rats. There was no significant (p ≤ 0.05) difference in the serum biochemical parameters analyzed between the normal control and test groups. Hematological parameters in the test group were also similar to the normal control group.
Conclusion: The study establishes the non-toxicity of the Swietenia mahagoni leaf powder in therapeutic uses.
Keywords: Swietenia mahagoni, Acute toxicity, Hepatic enzymes, Histopathology.
INTRODUCTION
Traditional medicine is the most widely used treatment for a long time to treat various human ailments in many parts of the world. WHO reports that about 80% of the people living in the developing countries depend on traditional plant-based medicine for basic health care needs [1]. Medicinal plants are blessed with a wide array of phytochemicals with various physiological actions; most of them are beneficial to human health and well being [2]. But some of the bio-actives derived from plants may have physiological actions that are deleterious to human health [3]. To develop a medicinal plant or its derivative(s) as a pharmaceutical, require the results from animal tests that are used in combination with results on the pharmacological efficacy of a medicinal plant, to decide whether the beneficial effects of the treatment would outweigh the risks of adverse side effects, and to establish a safe dose for use in clinical trials. The toxicological studies also evaluate the potential side effects that must be monitored carefully while using as pharmaceutical.
Swietenia mahagoni Jacq. Is a small leafy, medium sized tree native to the west indies. Around the world, the plant is commonly called as West Indies mahogany, caoba, caoba dominicana or acajou. It is one of the species of genus Swietenia which belongs to chinaberry family, meliacea [4-6]. The parts of the plant have been used to treat many human ailments such as malaria, diabetes, diarrhea, astringent, hypertension etc. locally. The fruit of the plant is used as the powerful anti-hyperglycemic drug. The seed oil is being used as an alternative body ointment therapy for a range of skin cuts, itches and wounds to ameliorate the healing process in African countries. Decoction of bark is used to increase appetite, as an energizer in case of tuberculosis, to treat anemia, diarrhea, dysentery, fever and toothache. The decoction of leaves is used to treat nerve disorders, the infusion of seed to relief from chest pain [7, 8]. There are no data regarding the toxic effects, dose and long term side effects of treatment in the animal system. The present study evaluates the effect of an acute dose of the leaf powder on normal physiology, biochemistry and behavior in rats.
MATERIALS AND METHODS
Chemicals and reagents
Alanine aminotransferase (ALT), Aspartate aminotransferase (AST), Alkaline phosphatase (ALP), Total protein, albumin, urea, creatinine, total bilirubin, tryglycerides, total cholesterol assay kits were purchased from Aggappe Diagnostics, Ernakulam, India. Reduced glutathione (GSH), 5, 5-dithio (bis) Nitro benzoic acid (DTNB) were purchased from Sigma-Aldrich, Bangalore, India. All the chemicals and reagents used in the study were of analytical grade.
Collection and preparation of samples
The leaf of Swietenia mahogani was collected from Mysore district of Karnataka, India and subsequently identified by Dr. G. R. Shivamurthy, Department of Studies in Botany, University of Mysore, Mysore, India. The collected sample was thoroughly washed under running water to remove adhering dirt and other foreign particles, dried overnight at 50 °C, powdered, passed through 60 mesh sieve and stored in air tight container at 4 °C till further use.
Experimental animals
Adult rats of Wistar strain weighing around 140-180 g were procured from the animal house of University of Mysore, Mysore. The obtained rats were kept in the polyacrylic cages in the room maintained by 25±2 °C, 45 to 60 % RH and 12 h photoperiod, and acclimatized for these standard conditions for 14 d. During the acclimatization period the animals were observed for general conditions every day. Pellet diet (procured from Amrut feeds, Pune, India) and water ad libitum were provided. The experimental protocols of toxicological study were reviewed and approved by the Institutional Animal Ethical Committee for the purpose of control and supervision of experiments on animals (UOM/IAEC/03/2013).
Acute toxicity studies
The animals were grouped into 2 groups Group I–Control; Group II–Mahagony leaf powder consisting of 6 animals each (3 male, 3 female) using Randomized Block design. According to OECD guidelines the Group-II was administered with leaf powder at a dose of 2000 mg kg-1body weight [9]. The powder was given in the form of suspensions for 14 d. The animals were observed individually after the initiation of dose during the first 30 min and at every half an hour interval of 6 h and thereafter and once in 24 h for 14 d. Individual records for physical or behavioral changes such as skin and fur, eyes and mucous membrane, respiratory, circulatory, autonomic and central nervous systems (ANS & CNS respectively) and somato motor activity, behavior pattern and mortality. Observations were also made for the presence of tremors, convulsions, salivation, diarrhea, lethargy, sleep and coma. At the end of the study period, animals were euthanized and decapitated.
Biochemical estimations
Blood was collected by cardiac puncture, one part of the collected blood was taken in EDTA coated tubes and analyzed for hematological parameters, in another part, blood was allowed to coagulate and the serum was separated by centrifuging at 2500 × g for 20 min. In the serum, activities of alanine amino transferase (ALT), aspartate aminotransferase (AST) and alkaline phosphatase (ALP) were determined along with an estimation of total protein, albumin, urea, creatinine, total bilirubin, total cholesterol, triglycerides (TGL) and glutathione (GSH) using respective standard kits.
The hematological parameters were analyzed in the Automated Hematology Analyzer (Sysmex KX–21). The parameters analyzed were PCV (Packed cell volume), WBC (White blood cells), RBC (Red blood cells), MCH (mean corpuscular hemoglobin), MCHC (mean corpuscular hemoglobin concentration), Hb (hemoglobin) and PLT (platelets). The analyses were carried out based on standard methods.
Histopathological procedures
After decapitation, liver and kidney were immediately excised. Excised organs were washed with phosphate buffered saline and weighed. Small portions of liver and kidney were fixed in formalin, dehydrated in graduate ethanol (50–100%), cleared in xylene and embedded in paraffin. Paraffin embedded tissues were sectioned into 4–5 µm thin and stained with haemotoxylin and eosin and examined and images were taken under photomicroscope (400 X) [10].
Statistical analysis
All the expressed values are the mean of triplicate values with±SD. The data were subjected to a one way ANOVA followed by Tukey’s multiple comparison test for the significant difference (p ≤ 0.05) using SPSS 11.5 software.
RESULTS
Table 1 presents the data on toxic symptoms, behaviors and other changes. The powder did not show any toxic symptom during the study period. There were no significant changes in behavior, ANS or CNS was observed in any of the animals. There were no significant (p ≥0. 05) changes in weights of major organs in proportion to their body weights (fig. 1and table 2) when compared to the control group.
Table 1: Acute oral toxicity record sheet for the control and extract treated animals (n = 6)
Drug P. O |
Toxicity |
Time of death |
Additional observations |
Behavioral observations |
||||||||||||||||
ANS/CNS |
||||||||||||||||||||
onset |
stop |
skin & fur |
eye lacri |
Sali |
Diah |
Resp |
Leth |
Sleep |
Con |
Coma |
Ste |
Tre |
Cat |
Geo |
Hal |
Retr |
Stu |
Exe |
||
CON |
nil |
nil |
0 |
x |
x |
x |
x |
x |
X |
X |
X |
X |
x |
X |
x |
x |
x |
x |
x |
x |
SWL |
nil |
nil |
0 |
x |
x |
x |
x |
x |
X |
X |
X |
X |
x |
X |
x |
x |
x |
x |
x |
x |
Con–Control; SML–swietenia mahagoni leaf. Lacri; lacrimination; Sali; salivation, Diah; diarrhea, Resp; respiratory distress, Leth; lethargy, Con; convulsions, Ste; stereotypy, Tre; tremors, Cat; catalepsy, Geo; effect on positive geotropism, Ret; retropulsion, Stu; stupor, Exe; excitement, ×-absence of symptom, √-presence of symptom (n=6).
Table 2: Organ weights in proportion to body weight
| Liver | Kidney | Spleen | Brain | Heart | |
| Control | 0.03±0.005 | 0.0058±0.0004 | 0.0025±0.0008 | 0.0077±0.0009 | 0.0036±0.0004 |
| Test | 0.031±0.004 | 0.0061±0.0005 | 0.0021±0.0007 | 0.0081±0.0008 | 0.0031±0.0004 |
The table indicates the ratio of organ weight to body weight in both the groups. The test group was administered with 2000 mg kg-1 Mahagoni leaf powder and normal control group was administered with the physiological saline. The values are the mean values for each group with standard deviation (n=6).

Fig. 1: Body weight of rats
The fig. shows the effect of mahagoni leaf powder on the change in body weight pattern when compared to the normal control group. The test group was administered with 2000 mg kg-1 and the normal control group was administered with the physiological saline. The values are the mean body weight of six rats in each group with standard deviation (n=6).
Biochemical estimations
The serum activities of hepatic enzymes and levels of selected biochemical parameters in serum were represented in Table. 3 and 4. There were no significant differences in the serum activities (p ≤ 0.05) of ALP, ALT and AST between experimental and control groups. There was no significant (p ≤ 0.05) difference observed in biochemical parameters between the test and the control group.
Table 3: Serum activity of liver enzymes in U/l
| Control | Test group | |
| ALT | 18.9±1.6 | 20±0.5 |
| ASP | 49±2.4 | 52±1.6 |
| ALP | 70±3.8 | 75±4 |
The table shows the values of serum activities of hepatic enzymes. The test group was administered with 2000 mg kg-1 and normal control group was administered with the physiological saline. The values are the mean values for each group with standard deviation (n=6).
Table 4: Biochemical parameters
| Control | Test group | |
| Total protein (g/dL) | 5.72±0.17 | 5.84±0.28 |
| Albumin (g/dL) | 4.06±0.22 | 4.18±0.29 |
| Creatinine (mg/dL) | 0.53±0.20 | 0.55±0.15 |
| TGl (mg/dL) | 95.8±3.2 | 98±2.1 |
| Total cholesterol (mg/dL) | 67.5±13.42 | 52.66±5.46 |
| Glutathione | 0.48±0.1 | 0.31±0.14 |
| Blood urea nitrogen (mg/dL) | 16.66±1.86 | 14.66±2.73 |
The table shows the values of biochemical parameters done other than the hepatic enzymes. The test group was administered with 2000 mg kg-1 and normal control group was administered with the physiological saline. The values are the mean values for each group with standard deviation (n=6).
Histopathological procedures
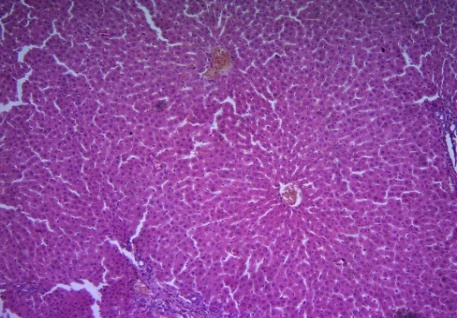
The liver histological sections of the control and extract treated groups are represented in fig. 2. There were no detectable changes in cellular morphology of hepatocytes. The hepatic architecture was normal with well-defined central vein. No necrosis, steatosis, chronic inflammatory infiltration or degenerative changes were observed in any of the test group animals.
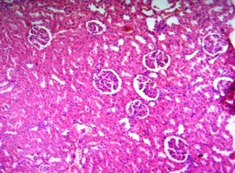
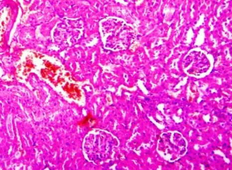
Fig. 3. shows the histology of kidney section. There was no alteration from the normal histology of kidney was observed, indicating the safety of mahagoni leaf powder.


(a) (b)
Fig. 2: Liver sections (10 X) of (a) Normal group, (b) Treated group. Photographs shown are taken at 10X resolution. Normal architecture of liver having central vein and surrounded hepatic cells can be observed in both the groups. There were no observable changes in MAE treated group when compared to normal control group


(a) (b)
Fig. 3: Kidney sections (10 X) of (a) Normal group, (b) Treated group. Photographs shown are taken at 20X resolution. Normal architecture of kidney with glomeruli can be observed in both the groups. There were no observable changes in MAE treated group when compared to normal control group
Table 5: Hematological parameter
| Parameter | Control | Test group |
| WBC (x103/µl) | 6.3±0.7 | 6.2±0.3 |
| RBC (x105/µl) | 7.05±0.14 | 7.19±1.8 |
| HGB (g/dl) | 13.9±0.5 | 14.1±2 |
| HCT (%) | 43.7±1.4 | 46.2±1.3 |
| MCV (FL) | 62.0 | 59.0 |
| MCH (Pg) | 18.6±1.1 | 19.1±0.5 |
| MCHC (g/dl) | 30.0±2 | 30.0±3 |
| PLT (x103/µl) | 980 | 918 |
| CPV-% (Cell pack volume) | 47.17 | 46.49 |
The values in the table depict the treatment of rats with mahagoni leaf powder on the hematological parameters. The test group was administered with 2000 mg kg-1 and normal control group was administered with the physiological saline. The values are the mean values for each group with standard deviation.
Hematological studies
Hematological parameters of both experimental and control groups were presented in Table. 5. The results indicate the hematological similarity between the control and test group.
DISCUSSION
Medicinal/herbal plants and their preparations are being used for thousands of years in all types of traditional medicinal practices because of their ease of availability and cost [11]. They are rich sources of numerous bioactive components which can prevent, treat and also can help in the management of several diseases/disorders and till date only few plants have been explored for their potential pharmacological activities. Although their long usage history in treating the ailments, there is very less documentation in the scientific literature regarding the dose, adverse side effects, route and form of administration of the medicinal plants. The maximum allowable dose and adverse side effects can be evaluated by toxicological study using the animal models. The present study evaluates the safety of the Swietenia mahagoni in its maximum allowable dose prescribed by the OECD. There were no sudden reactions such as hypersensitivity and allergic reactions following the administration of leaf powder. In addition, there was no behavioral or physical change observed during the whole study period. An increase in the body weights also was comparable to normal group. The ratio of the organ weights in the treated group was also comparable to the normal group, indicating absence of edema or physiological changes of the organs in the treated group.
PCV and hemoglobin concentration indicates the normal health and physiology of red blood cells. In the conditions of damage to RBC by any toxic reaction, there will be decrease in RBC number and MCV [12]. The results indicated that the mahagoni treatment was not toxic to circulating red blood cells and platelets. All the other blood cells were also found to be in normal range and condition.
Internal organs are integral to the central metabolism of the body. If there are any adverse effects on the internal organs by the administered drug, the effect will be reflected through changes in morphology and body weight and histopathology. Therefore, the observations on the changes in histopathology and relative weights of organs can infer the toxicity of the administered drug in experimental animals. From the results, it is observed that the organ weights in the experimental group are similar to control group, suggesting that oral administration of mahagoni leaf powder had no effect on the normal growth. Since there was no reduction in body and relative organ weights of the treated animals, even at the maximum dose tested, it can be proposed that the mahagoni leaf is nontoxic to the organs analyzed.
The liver is the metabolic hub of the body which works to maintain the metabolic integration of all other organs. It acts as a synthetic site and metabolic sink for various biochemical components. If the normal metabolic function of the liver is hampered due to hepatic damage, there will be an elevation in serum levels of many biochemical markers in which ALT, AST, ALP and bilirubin are important and can be easily estimated [13]. The hepatic enzyme activities and the biochemical parameters analyzed in the mahagoni treated group indicated that there was no elevation from normal values. The histological sections of the liver of mahagoni treated group also supported the normal integrity of the liver.
CONCLUSION
The biochemical, histological and behavioral analysis inferred the safety of the Sweitenia mahagoni leaf powder. Hence, it can be concluded that Sweitenia mahagoni leaf powder is non toxic, non-allergic and the leaf in the whole powder form or as additive in the food as neutraceutical can be used to treat various ailments.
ACKNOWLEDGEMENT
The authors acknowledge the University Grants Commission, New Delhi, India, for financial assistance.
CONFLICT OF INTERESTS
The authors declare that there is no conflict of interest
REFERENCES