1Laboratory of Animal Physiology and Phytopharmacology, Faculty of Science, University of Dschang P. O. box 67 Dschang Cameroon
Email: ateufack2000@yahoo.fr
Received: 10 Mar 2015 Revised and Accepted: 15 Jun 2015
ABSTRACT
Objective: Dissotis thollonii is used in Cameroonian ethnomedicine to cure diseases such as inflammations, pregnancy control, diarrhea and gastric ulcer. The aqueous and methanol leaf extracts were evaluated for their anti ulcerogenic and antiulcer activities.
Methods: The extracts were administered at the doses of 125, 250 and 500 mg/kg to evaluate their effects on gastric ulcer induced by the HCl/ethanol mixture, indomethacin and acetic acid in rats. Ranitidine, Maalox and Misoprostol were used as standard drugs. Histopathological examination and nitric oxide level was performed to evaluate the basic action mechanism of Dissotis thollonii.
Results: Oral administration of the plant dose-dependently prevented HCl/ethanol-induced gastric ulcers (72.15 to 100 % for aqueous extract and 68.78 to 89.60 % for methanol extract), Indomethacin (51.13 to 100 % for aqueous extract and-32.33 to 58.45 % for methanol extract). The extracts also promoted the healing and cicatrization process in chronic gastric ulcer induced by acetic acid and increased the NO level in plasma. Histological studies of the gastric wall revealed that ulcer control group exhibited severe damage of the gastric mucosa, compared to rats pre-treated with extracts, which comparatively showed gastric mucosal protection.
Conclusion: Dissotis thollonii possess protective and healing activities in rats. The anti ulcerogenic activity may be attributed to the stimulation of the prostaglandins synthesis and antiulcer property to increase NO level in plasma. Histological investigation of gastric lesion shows that the plant stimulates the cicatrizing process. These results supported the ethnomedicinal uses of Dissotis thollonii in the treatment of gastric ulcers.
Keywords: Dissotis thollonii, Anti ulcerogenic, Antiulcer.
INTRODUCTION
Gastric ulcer is a lesion of the gastric mucosa which occurs at a site where the mucosal epithelium is exposed to acid and pepsin [1]. It is an illness that affects 10 % of people in the world [2]. The basic physiopathology of gastric ulcers results from an imbalance between some endogenous aggressive factors (hydrochloric acid, pepsin, reflux bile, leukotrienes, reactive oxygen species) and cyto protective factors, which include the function of the mucus-bicarbonate barrier, prostaglandins, mucosal blood flow, surface active phospholipids, cell renewal and migration, non enzymatic and enzymatic antioxidants and some growth factors [3, 4]. Other factors such as immune suppressive medications, stress, non steroidal anti inflammatory drugs (NSAIDS), alcohol consumption and cigarette smoking can cause sub mucosal erosion and inhibit cyclo oxygenase, thus disturbing the protection of the gastric mucosal layer [5].
In spite of the multifaceted pathogenesis of gastric ulcers, secretion of gastric acid is still recognized as a central component of this disease. Therefore, the main therapeutic target is to control acid secretion using proton pump blockers (Omeprazole and Lansoprazole), H2 receptors blockers (Ranitidine, Famotidine), anti secretory drugs, anti acids drugs. [6]. However, nowadays, gastric ulcer therapy faces a major drawback because most of the drugs currently available in the market show limited efficiency against gastric diseases and are often associated with severe side effects [7].
Thus, a rational therapy for gastric ulcer remains elusive and the search for safer potential drugs is being carried out and the use of herbal medicines in gastric ulcer has been reported. Natural products are gaining space and importance in the pharmaceutical industry as well as inspiring the search for new potential sources of bioactive molecules. Vegetables, spices, herbs and medicinal plants are considered to be a potential source to combat various diseases, including gastric ulcer. In the scientific literature, a large number of medicinal plants with gastric anti ulcer potential have been reported [8, 9].
Dissotis thollonii belongs to the Melastomataceae family. The Melastomataceae are predominantly pantropical plants, including approximately 163 genera and 4300 species [10].
Many species of this family, including Dissotis thollonii, are known for their different uses in folk medicine as antioxidant, antihypertensive, antihyperglycemic, hemostatic, anti hepatitis and antidiarrhoic drugs [11-15]. Phytochemical studies of Melastomataceae plants have indicated an abundance of tannins, polyphenols, flavonoids, fatty acids, steroïds and free triterpenoïds [16-19].
Dissotis thollonii, specie used in this study is used in the West Region of Cameroon for the treatment of inflammations, kidney diseases, pregnancy control and sinusitis. A recent work on phytochemical study revealed the presence of hydrosoluble tannins (ellagitannin and ellagic acid), steroïds and pentacyclic triterpens in this plant [20]. Despite the traditional use of this plant, no scientific report or information was found in the literature regarding the antiulcer aspect of this plant. In our continuous search for bioactive extracts from Cameroonian medicinal plants and with the aim to support the traditional use of Dissotis thollonii, we undertook the present study to investigate the antiulcer properties of the leaf extracts of Dissotis thollonii against HCl/ethanol, indomethacin and acetic-acid-induced gastric ulcer in rats.
MATERIALS AND METHODS
Animals
The experiments were carried out on Wistar strain male adult rats of age between 12 and 16 weeks and weighing between 170 and . The rats were bred in the animal house of the Faculty of Science in the University of Dschang and fed with normal laboratory rat diet; with food and water given ad libitum. All animals used were starved for 48 hours prior to use.
All procedures described in the present work as concerns the use of experimental animals were in strict respect of the ethics regarding the use, the handling and preservation of the Cameroonian flora and fauna as specified by the Ethics Committee of the Cameroon Ministry of Scientific Research and Technology, which has adopted the guidelines established by the European union on animal care and experimentation (CCE Council 86/609).
Plant material and preparation of extracts
The plant material (leaves of Dissotis thollonii) was harvested in Dschang, West Region of Cameroon in July 2012 and identified at the National Herbarium in Yaoundé-Cameroon in comparison with the existing voucher specimen no 13292 SRF Cam. The air dried leaves were ground into fine powder by an electric blender.
Seven hundred grams of the powder were boiled in 4 liters of distilled water for 15 minutes. The decoction was allowed to cool for 30 minutes at room temperature and then filtered. The filtrate was evaporated to dryness in an air oven at 40 °C to give 88 g of the aqueous extract corresponding to an extraction yield of 12,6 %. This extract was dissolved in distilled water before administration.
For the preparation of methanol extract, two hundred grams of powder were macerated in 2 liters of methanol for 72 hours. The filtrate was concentrated to dryness at a temperature of 60 °C using the rotary evaporator to give 22 g of methanol extract (11,0 % yield).
Evaluation of NO level
The NO content was quantified by measuring nitrite/nitrate concentration using Griess essay [21]. In brief, gastric homogenates were deproteinated with absolute ethanol for 48 hours at 4 °C, then centrifuged at 3.000 rpm for 15 minutes at 4 °C. To an aliquot of the supernatant, vanadium trichloride 0.8 % (W/V) in 1 M HCl was added for the reduction of nitrate to nitrite, followed by the rapid addition of Griess reagent (sigma) and the absorbance at 540 nm was measured. The results were expressed as µmol/g tissue. Sodium nitrite was used as the standard.
Histological evaluation
A small fragment of the gastric wall from each animal was fixed in 10 % buffered formalin solution followed by tissue dehydrated with alcohol and xylene. Then each sample was embedded in paraffin wax, and then sections of 5 µm each were fixed on slides prior to staining. Hematoxylin and eosin stains were used for light microscopy.
HCl/ethanol-induced ulcer
This experiment was conducted according to [22]. The rats were randomly divided into 9 groups of 6 rats each. The animals were fasted for 48 hours prior to the experiment. Groupe1 received distilled water (1 ml/100g PC), groups 2 and 3 received Ranitidine and Maalox (50 mg/g). Groups 4 to 6 received aqueous extract of D. thollonii at doses of 125, 250 and 500 mg/kg while groups 7 to 9 received the methanol extract at the same doses as a pretreatment. 1 hour after pretreatment, the HCl/ethanol was orally administered to all the rats in order to induce gastric ulcers. One hour later, the rats were sacrificed by cervical displacement, and their stomachs were immediately excised. The extent of the lesions was measured and scored: The ulcer index for each rat was taken as the mean ulcer score (0: no ulcer; 1: US ≤ 0,5 mm2; 2: 0,5 mm2<US ≤ 2,5 mm2; 3: 2,5 mm2<US ≤ 5 mm2; 4: 5 mm2<US ≤ 10 mm2; 5: 10 mm2<US ≤ 15 mm2; 6: 15 mm2<US ≤ 20 mm2; 7: 20 mm2<US ≤ 25 mm2; 8: 25 mm2<US ≤ 30 mm2; 9: 30 mm2<US ≤ 35 mm2; 10: US>35 mm2. The percentage ulcerated surface was calculated as the total area covered by all lesions expressed as a proportion of the total corpus mucosal surface area. The percentage of inhibition (I %) was calculated using the following formula:

Where USc = ulcer surface area of control and USt = ulcer surface area of the test animal.
Indometacin-induced ulcer
Animals were fasted for 24 hours prior to the experiment. The rats were divided randomly into 9 groups of 6 rats each. The negative control group (groupe1) received distilled water (1 ml/100g bw). Groups 2 and 3 served as positive controls and received Misoprostol (20 µg/kg) and Maalox (50 mg/kg), respectively. Groups 4 to 9 received the aqueous and methanol extract of D. thollonii at the doses of 125, 250 and 500 mg/kg. All these dosages were administered as pretreatments. One hour after drug administration, each animal received orally, 30 mg/kg of indometacin. All animals were sacrificed 6 hours later with over dose of ether. The stomach was removed and examined for lesions in the glandular portion. The ulcers formed in the gastric mucosa were measured and scored as described by [22]. The ulcer index and the percentage of inhibition were estimated as described above. The mucus covering the gastric wall of each rat was collected and weighed.
Acetic acid-induced gastric ulcer
Chronic gastric induction was based on the method described by [23] with some modifications. The animals were fasted for 24 hours prior to the experiment. The animals were divided into 10 groups (n=6). Anesthesia was induced in each rat with intra muscular injection of ketamine (½V) in combination with diazepan (1v). Laparotomy was performed on all rats through a midline epigastric incision. After exposing the stomach, 0.05 ml of 30 % acetic acid, was injected into the subserosal layer of the external wall of the stomach except to the group1 which did not receive the acetic acid solution.
The acid solution was then removed by rinsing the stomach wall with normal saline solution to avoid damage to the surrounding tissue. One day after the administration of acid, daily treatment began and the animals were treated orally once daily for 14 days with distilled water (animals which did not receive any treatment); distilled water (negative control animals which received a treatment), Ranitidine (50 mg/kg) and Maalox (50 mg/kg) served as positive control groups, aqueous and methanol extracts at doses of 125, 250 and 500 mg/kg. On day 15, all groups were sacrificed and their stomachs were removed. The recovered stomachs were opened along the greater curvature, washed and the surface area of the gastric lesion determined. The blood samples of rats were obtained from the cardiac puncture. Immediately after puncture, the blood was removed and subjected to centrifugation (3000 rpm) for 10 minutes. After the centrifugation, the serum obtained was preserved at-20 °C until use.
Statistical analysis
All tests were performed at least in triplicates and the values were represented as means±S. E. M (standard error of mean). The statistical differences between groups were determined using SPSS version 16.0 and Graph Pad Prism 6 using ordinary one-way ANOVA followed by Dunnetts multiple comparison tests. A value of P<0.05 was considered significant.
RESULTS
HCl/ethanol-induced gastric lesion
The gastro protective activity of D. thollonii leaves extracts in HCl/ethanol-induced gastric lesion model is shown in fig. 1 and table 1. The results show that rats pretreated with Ranitidine (50 mg/kg), Maalox (50 mg/kg) or D. thollonii extracts (125, 250 and 500 mg/kg) before being given HCl/ethanol solution had significantly (p<0.05) reduced areas of gastric ulcer formation compared with ulcer in the negative control group. HCl/ethanol solution produced extensive visible black hemorrhagic lesions of gastric mucosa (fig. 1). Moreover, the aqueous and methanol extracts of this plant at all doses significantly (p<0.05) suppressed the formation of the ulcers and this was 100 % in rats pre-treated with 500 mg/kg aqueous leaf extracts (table 1).
Treatment with HCl/ethanol caused a significant decrease in the mucus content of the gastric wall in untreated animals (63.75±7. 40 mg). The depleted gastric mucus was replenished after pretreatment with Ranitidine, Maalox and D. thollonii extracts. Pretreatment with aqueous extract (500 mg/kg), methanol extract (125 and 250 mg/kg) and Ranitidine (50 mg/kg) significantly (p<0.05) increased the amount of gastric mucus in HCl/ethanol-ulcerated rats (table 1).
Table 1: Effect of the leaves aqueous and methanol extracts of Dissotis thollonii on HCl/ethanol-induced gastric lesions in rat
| Groups | Doses (mg/kg) | N | US (mm²) | UI | % I | Mucus weight (mg) |
| Negative control | / | 6 | 284.7±6.8 | 5.7±1.0 | / | 63.8±7.4 |
| Maalox | 50 | 6 | 85.5±3.2** | 4.1±0.1** | 70.0 | 90.0±4.3 |
| Ranitidine | 50 | 6 | 119.7±5.1** | 5.2±0.3** | 58.0 | 125.8±17.4 |
| Aqueous extract | 125 | 6 | 79.3±5.1** | 4.5±0.2** | 72.1 | 107.7±7.0 |
| 250 | 6 | 49.0±2.0** | 5.2±0.6** | 82.8 | 122.5±11.4** | |
| 500 | 6 | 0.0±0.0** | 0.0±0.0** | 100.0 | 116.1±19.0 | |
| Methanol extract | 125 | 6 | 88.9±3.7** | 4.1±0.2** | 68.8 | 163.4±13.0 |
| 250 | 6 | 59.5±2.9** | 4.4±0.4** | 79.1 | 130.5±14.9 | |
| 500 | 6 | 29.6±2.9** | 4.1±0.3** | 89.6 | 118.3.±9.7 |
n= number of animals per group, US=Ulcer surface, UI= Ulcer index, %I= inhibition percentage, ∗∗ Significant difference at 0.01 in relation to the control group having received distilled water.
![]() |
![]() |
![]() |
| a | b | c |
![]() |
![]() |
![]() |
| d | e | f |
![]() |
![]() |
![]() |
| g | h | i |
Fig. 1: Gross appearance of the gastric mucosa in rats
(a) Distilled water pre-treated rats with 1 ml/100g (ulcer control). Severe injuries are seen in the gastric mucosa: Hcl/ethanol produced extensive visible hemorrhagic necrosis of gastric mucosa. (b) & (c) Rats pre-treated with Maalox and Ranitidine (50 mg/kg) respectively: injuries to the gastric mucosa are milder compared to the injuries seen in the ulcer control rats. (d) & (e) Rats pre-treated with aqueous extract at doses 125 and 250 mg/kg respectively: moderate injuries are seen in the gastric mucosa, and injuries decrease when the dose increase. (f) Rats pre-treated with aqueous extract at dose 500 mg/kg: no injuries are seen, so at this dose, the aqueous extract completely inhibits the gastric lesions induced by acidified ethanol. (g), (h) & (i) Rats pre-treated with methanol extract at doses 125, 250 and 500 mg/kg: the injuries reduce with the increase of dose; hence, at 500 mg/kg few injuries are seen. The methanol extract reduces gastric lesions induced by acidified ethanol.
Indometacin-induced gastric lesions
As shown in fig. 2 and table 2, animals treated with aqueous extract at doses of 125, 250 and 500 mg/kg exhibited respective inhibition percentages of 51.1, 70.7 and 100.0. The methanol extract at doses of 250 and 500 mg/kg significantly (p<0.05) inhibited the ulcerogenic effect of indometacin by 38.4 and 58.5 % while Misoprostol (0.02 mg/kg) and Maalox (50 mg/kg) induced an inhibition percentage of 61.2 and 31.8, respectively.
The mucus weight of 46.3±11.5 mg in negative control animals was comparable to those of all treated animals and was only increased (p<0.05) to 54.5±14.4 and 52.2±14.00 mg in animals treated with the methanol extract (250 mg/kg) and Maalox (50 mg/kg) (table 2).
Table 2: Effect of the leaves aqueous and methanol extracts of Dissotis thollonii on indometacin-induced gastric lesions in rat
| Groups n | Doses (mg/kg) | US (mm2) | UI | Mucus weight (mg) | I (%) |
| Negative control 6 | 0 | 52.8±3.2 | 4.1±0.4 | 46.3±11.5 | |
6 Aqueous extract 6 6 |
500 | 0.0±0.0*** | 0.0±0.0*** | 46,7±9,9 | 100.0 |
| 250 | 15.5±1.0*** | 2.5±0.1 | 36.2±7.8 | 70.7 | |
| 125 | 25.8±1.7*** | 2.6±0.2 | 39.0±10.2 | 51.1 | |
Methanol 6 extract 6 |
500 | 21.9±1.0*** | 3.0±0.2 | 42.7±9.5 | 58.5 |
| 250 | 32.5±2.5*** | 2.8±0.3 | 54.5±14.4 | 38.4 | |
| 125 | 69.8±6.0 | 3.8±0.2 | 43.3±13.6 | -32.3 | |
| Misoprostol (µg) 6 | 20 | 20.5±2.0*** | 2.0±0.1*** | 44.3±12.3 | 61.2 |
| Maalox 6 | 50 | 36.0±3.4*** | 3.9±0.5 | 52.2±14.0 | 31.8 |
n= number of animals per group, US= Ulcer surface, UI= ulcer Index, I %= inhibition percentage, *** significant difference at 
compare with control group having received distilled water
![]() |
![]() |
![]() |
| a | b | c |
![]() |
![]() |
![]() |
| d | e | f |
![]() |
![]() |
![]() |
| g | h | i |
Fig. 2: Macroscopic appearance of the gastric mucosa of the rats
(a) Distilled water pre-treated rats with 1 ml/100g (ulcer control): severe injuries are seen in the gastric mucosa; Indomethacin produced extensive hemorrhagic necrosis of gastric mucosa. (b) & (c) Rats pre-treated with Maalox (50 mg/kg) and Misoprostol (100 µg/kg) respectively: injuries to the gastric mucosa are milder compared to the injuries seen in the ulcer control rats. (d), (e) & (f) Rats pre-treated with aqueous extract at doses of 125, 250 and 500 mg/kg respectively: moderate injuries are seen in the gastric mucosa, and the injuries decrease when the dose increases; the aqueous extract reduces gastric lesions induced by indomethacin. (g), (h) & (i) Rats pre-treated with methanol extract at doses of 125, 250 and 500 mg/kg: the injuries reduce with the increase of doses; hence, at 500 mg/kg, few injuries are seen. The methanol extract reduces gastric lesions induced by indomethacin
Evaluation of the healing properties of aqueous and methanol extracts of D. thollonii
Oral administration of aqueous and methanol extracts of D. thollonii at the dose of 500 mg/kg for 14 consecutive days of treatment significantly (p<0.01) decreased the area of chronic ulcer induced by acetic acid compared with the negative control group treated with distilled water. The total surface area of 29.0±2.3 mm2in the negative control was significantly (p<0.01) reduced to 18.2±0.9 and 14.5±1.6 mm2in animals which received aqueous and methanol extracts (table 3 and fig. 3). Maalox (50 mg/kg) speeded up the healing of gastric ulcer, reducing the area of the lesion to a statistically significant (p<0.01) extent by 19.2±1.8 mm2 (33.7 %) compared to the negative control group (29.0±2.3 mm2). There were no visible signs of toxicity (change in behavior or locomotory activities, or diarrhea) in animal receiving drug (extracts, Ranitidine or Maalox) for 14 days.
Table 3: Antiulcer effects of aqueous and methanol extracts of Dissotis thollonii leaves in gastric ulcers induced by acetic acid in rat
| Groups | Doses (mg/kg) | n | US (mm²) | Mucus weight (mg) | %I |
| Control | / | 6 | 0.0±0.0** | 63,5±8,6 | / |
| Negative control | / | 6 | 29.0±2.3 | 112.8±3.5 | / |
| Maalox | 50 | 6 | 19.2±1.8** | 164.2±2.7*** | 33.7 |
| Ranitidine | 50 | 6 | 20.9±2.5 | 122.8±4.2 | 28.0 |
| Aqueous extract | 500 | 6 | 18.2±0.9** | 62.3±3.0*** | 37.1 |
| 250 | 6 | 25.7±0.5 | 51.3±2.8*** | 11.3 | |
| 125 | 6 | 21.9±1.5 | 53.8±1.7*** | 24.5 | |
| Methanol extract | 500 | 6 | 14.5±1.6*** | 99.2±9.0 | 49.9 |
| 250 | 6 | 22.5±2.2 | 139.3±12.1 | 22.6 | |
| 125 | 6 | 28.5±3.2 | 85.3±3.1 | 0.8 |
n= number of animals per group, US= ulcer surface, I %= inhibition percentage,∗∗ and ***Significant differences at 0.01 and 0.001
in relation to the control group having received distilled water
![]() |
![]() |
![]() |
![]() |
| a | b | c | d |
![]() |
![]() |
![]() |
|
| e | f | g | |
![]() |
![]() |
![]() |
|
| h | i | j |
Fig. 3: Macroscopic study of acetic acid-induced gastric damage in rats
In fig. 3, (a): stomach of a normal control rat: no injuries to the gastric mucosa are seen and the gastric wall is normal. (b): stomach of an ulcer control rat: there is severe destruction of the surface epithelium and necrotic lesions penetrating deeply into mucosa and submucosa layers. (c): stomach of rat treated with Maalox (50 mg/kg): the gastric wall appears normally, but sometime there is edema of submucosa layer. (d): stomach of rat treated with Ranitidine (50 mg/kg): the gastric wall appears normally with all layers. (e): stomach of rat treated with 125 mg/kg of aqueous extract: there is mild disruption of the sub mucosal layer. (f): stomach of rat treated with 250 mg/kg aqueous extract: there is moderate disruption to the surface epithelium. (g): stomach of rat treated with 500 mg/kg of aqueous extract: there is mild disruption of sub mucosal layer and edema of the muscle. (h): stomach of rat treated with 125 mg/kg of methanol extract: there is mild disruption to the epithelium surface and the sub mucosal layer and edema of the serosal layer. (i): stomach of rat treated with 250 mg/kg of methanol extract: there is mild disruption to the epithelium surface. (j): stomach of rat treated with 500 mg/kg of methanol extract: there is moderate disruption of the epithelium surface although the gastric wall appears normally.
Effects of aqueous and methanol extracts of D. thollonii on NO level
The level of NO both in plasma and in the tissues was respectively 3.0±0.7 and 29.8±5.1 µmol/l. The methanol extracts of D. thollonii (125, 250 and 500 mg/kg) significantly (p<0.05) increased plasma NO level in the gastric homogenate compared to the ulcer negative control group (3.0±0.7 µmol/l).
However, the aqueous extract, both in plasma and tissues, and the methanol extract in tissues showed the level of NO compared to their respective control groups.
The positive control group, treated with Maalox (50 mg/kg), significantly (p<0.05) increased plasma NO level compared to ulcer negative control group (table 4).
Tableau 4: Effects of aqueous and methanol extracts of Dissotis thollonii leaves on nitric oxide
| Groups | Doses (mg/kg) | n | [NO] Plasma (µmol/ml) | [NO] Gastric supernatant (µmol/g) |
| Control | / | 6 | 13.7±3.5 | 14.5±2.3 |
| Negative control | / | 6 | 3.0±0.7 | 29.8±5.1 |
| Maalox | 50 | 6 | 5.1±0.3∗ | 20.9±2.0 |
| Ranitidine | 50 | 6 | 4.5±1.1 | 16.7±1.9 |
| Aqueous extract | 500 | 6 | 3.9±0.8 | 25.4±5.8 |
| 250 | 6 | 2.9±0.6 | 29.3±3.9 | |
| 125 | 6 | 3.9±0.5 | 21.8±1.4 | |
| Methanol extract | 500 | 6 | 6.9±2.0∗∗ | 17.5±1.6 |
| 250 | 6 | 6.7±1.1∗∗ | 11.5±1.3 | |
| 125 | 6 | 6.3±1.5∗∗ | 18.2±1.3 |
n= number of animals per group, [NO] = Nitric oxide concentration, ∗∗Significant difference at 0,01 in relation to the control group having received distilled water, ∗ Significant difference at 0,05 in relation to the control group having received distilled water
Histological evaluation of gastric lesion
Histological observation showed extensive damage of the gastric mucosa in the ulcer negative control group with necrotic lesions penetrating deeply into the mucosa accompanied by extensive edema and leucocyte infiltration of the submucosal layer (group 2).
Rats that received treatment with aqueous and methanol extracts of the leaves of D. thollonii had comparatively better protection of the gastric mucosa as seen by the reduction of ulcer area, reduced submucosal edema and leucocytes infiltration after 14 days of treatment (fig. 4).
![]() |
![]() |
![]() |
![]() |
| a’ | b’ | c’ | d’ |
![]() |
![]() |
![]() |
|
| e’ | f’ | g’ | |
![]() |
![]() |
![]() |
|
| h’ | i’ | j’ |
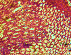
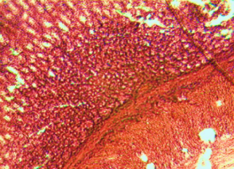
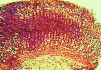
Fig. 4: Histological study of acetic acid-induced gastric damage in rats
In fig. 4: (a’): histological section of a normal control rat: no injuries to the gastric mucosa are seen and the gastric wall is normal. ((b’): histological section of an ulcer negative control rat: there is severe destruction of the surface epithelium and necrotic lesions penetrating deeply into mucosa and submucosa layer. (c’): histological section of rats treated with Maalox (50 mg/kg): the gastric wall appears normally, but there is edema of mucosa and sub mucosa layer.(d’): the histological section of rats treated with Ranitidine (50 mg/kg): the gastric wall appears normally with all layers. (e’): the histological section of rats treated with 125 mg/kg of aqueous extract: there is mild disruption of the sub mucosal layer. (f’): histological section of rats treated with 250 mg/kg aqueous extract: there is moderate disruption of the surface epithelium. (g’): histological section of rats treated with 500 mg/kg of aqueous extract: there is mild disruption of the sub mucosal layer and edema of the muscle. (h’): histological section of rats treated with 125 mg/kg of methanol extracts: there is mild disruption of the epithelium surface and the sub mucosal layer and edema of the serosal layer. (i’): histological section of rats treated with 250 mg/kg of methanol extract: there is mild disruption of the epithelium surface and edema of the submucosal and serosal layers. (j’): histological section of rats treated with 500 mg/kg of methanol extract: there is moderate disruption of the epithelial surface although the gastric wall appears normally.
DISCUSSION
Peptic ulcers are caused by an imbalance between the protective and the aggressive mechanism of the mucosa, and are the results of the association of several endogenous factors and aggressive exogenous factors that are related to living conditions [24]. In the HCl/ethanol-induced gastric ulceration model, HCl causes severe damage to gastric mucosa [25], whereas ethanol produces necrotic lesions by direct necrotizing action which in turn reduces defensive factors like the secretion of bicarbonate and production of mucus [26]. Ethanol on gastric mucosa stimulates biological reactions in the cell, such as lipid peroxidation, formation of free radicals, intracellular oxidative stress, changes in permeability and depolarization of the mitochondrial membrane, and eventually cell death. Oral administration of absolute ethanol to rats causes linear hemorrhagic lesions, extensive submucosal edema, mucosal friability inflammatory cell infiltration and epithelial cell loss in the stomach, which were the typical characteristics of alcohol injury [27]. Mucus secretion is regarded as a crucial defensive factor in the protection of the gastric mucosa from gastric lesions [28]. The experimental results of this study showed that the aqueous and methanol extracts of D. thollonii increase the mucus of the gastric wall, consistent with results reported by [29]. In addition, extracts at different doses showed a dose-dependent reduction of surface area in preventive HCl/ethanol model; confirming the involvement of these extracts in the enhancement of cytoprotection effect and defensive factors of gastric mucosa, respectively.
To probe the possible action mechanisms of the extracts, their antiulcer potential was tested against indomethacin-induced ulcers. The results obtained show that the ulcer surface area was significantly (p<0.05) reduced except in animals receiving 125 mg/kg of the methanol extract. It is known that indomethacin is a prostaglandin inhibitor that suppresses gastro duodenal bicarbonate secretion, disrupts the mucosal barrier, and reduces endogenous prostaglandin biosynthesis as well as gastric mucosal blood flow in animals [30]. It is also well known that prostaglandin synthesized in large quantities by the gastro-intestinal mucosa can prevent experimentally induced ulcer by ulcerogens. Thus, the cyto protective effect of the anti ulcer agent when the ulcer lesions are induced by indomethacin can be mediated through endogenous prostaglandin [31]. Therefore, it can be thought that Dissotis thollonii extracts may stimulate the secretion of prostaglandins or possess prostaglandin-like substances.
Acetic acid-induced ulcers model resembles clinical ulcers in location, chronicity and severity and serves as the most reliable model to study healing processes, although specific mechanisms remain controversial, increase acid output and subsequent pyloric obstruction may be the cause of ulceration due to acetic acid. Application of 0.05 ml of acetic acid on to the serosal surface of the rat’s stomach produced deep penetrating gastric ulcer. The aqueous and methanol extracts at the dose of 500 mg/kg and Maalox (50 mg/kg) offered significant protection against acetic acid-induced gastric ulcers. The histopathological examination was carried out to determine the effect of extracts on regeneration of glandular epithelium, surface epithelium, capillary density and the formation of collagen, all of which are essential processes for the healing of ulcers. In this study, histology revealed progressive healing of the gastric ulcer by the mucosal structures.
CONCLUSION
In conclusion, this study reveals that the aqueous and methanol extracts from the leaves of Dissotis thollonii are potential inhibitors of gastric mucosal lesions caused by HCl/ethanol, indomethacin and acetic acid. Such protection was ascertained grossly by the significant increase in the gastric wall mucus in comparison with the ulcer control group. Also the reduction of ulcer areas in the gastric wall as well as the reduction or inhibition of edema and leucocytes infiltration of the submucosal layers was histologically shown. This study provided evidence that Dissotis thollonii possesses a gastroprotective effect, which appeared partly due to the preservation of gastric mucus secretion and the cyto protective action, which may result from strengthening the mucosal barrier through the increase of the mucus production. These results support the ethnomedicinal use of D. thollonii in the treatment of gastric ulcers.
ACKNOWLEDGMENT
We gratefully acknowledge Mr. BAWE Gerard Nfor, JR and Dr. LEKEUFACK Martin who was involved in the proofreading and critical revision of this manuscript and the University of Dschang, through the Laboratory of Animal Physiology and Phytopharmacology that provided general support for this work.
CONFLICT OF INTERESTS
The authors declare that there are no conflicts of interest
REFERENCES