1Chemistry Department, Faculty of Science, Damietta University, Damietta, Egypt
Email: entsarsaad@gmail.com
Received: 20 Feb 2015 Revised and Accepted: 18 Mar 2015
ABSTRACT
Objective: Khat consumption has become a common problem that affects the health aspects of life in Yemen and other parts in the world. The liver has been suspected to be particularly vulnerable to the harmful effects of khat use and until now khat hepatotoxicity effects are still controversial. This study was conducted to investigate the hepatoprotective effects of aqueous extracts of clove and green tea, as medicinal herbs with established antioxidant properties, against controversial hepatotoxicity effects of khat in rats.
Methods: Rats received a daily oral dose of khat extract alone or in combination with green tea or clove extract for six weeks. To study the effects on liver cells, histopathology, routine liver function tests, malondialdehyde (MDA), total antioxidant capacity (TAC) and the activities of superoxide dismutase (SOD) and catalase (CAT) enzymes were investigated.
Results: Khat administration showed marked liver injury; congestion in the portal vein with fibrous tissue proliferation, extended from the portal area and forming intralobular Porto-portal bridging fibrous septae. Besides significant routine liver function tests alterations, lipid peroxides elevation, and TAC reduction with significant inhibition of SOD and CAT activities.
Conclusion: Combined administration of khat with clove or green tea protected hepatocytes via oxidative stress inhibition. They significantly counteracted the alterations in liver function tests, decreased lipid peroxidation and restored the antioxidant status to near normal levels. These results confirm khat hepatotoxicity and suggest that clove or green tea administration has strong hepatoprotective effects against khat induced hepatotoxicity in rats via antioxidant mediated mechanism.
Keywords: Khat, Medicinal herbs, Hepatotoxic, Hepatoprotective.
INTRODUCTION
Khat (Catha edulis Forsk) is a shrub or small to medium sized evergreen tree that belongs to the Celastraceae family [1]. It is cultivated mainly in Yemen and East African Countries [2]. Its young shoots and leaves are chewed daily by over 20 000 000 people in these countries [3]. Khat spreads to other countries where East African communities are living [4]. Although there are more than 200 identified compounds in khat leaves, the phenylpropylamino alkaloids are primarily considered to be the addictive and reinforcing agents responsible for the continued chewing behavior [5]. The WHO reported that khat consumption has become a common problem that affects the health aspects of life [6]. Consumption of crude khat extract has been shown to produce oxidative stress in rats by altering activities of serum antioxidant enzymes [7]. The liver has been suspected to be particularly vulnerable to the harmful effects of khat use [8]. Some studies showed significant alterations in the hepatic biochemical and histological parameters throughout short-and long-term studies on khat toxicity [9] while other studies reported that there are no significant hepatic changes [10].
Liver function tests (LFTs) are commonly used to screen for liver disease, monitor the progression of known disease, and monitor the effects of potentially hepatotoxic drugs [11]. Increased levels of AST and ALT are an indicator of cellular infiltration and functional disturbance of the liver cell membranes [12]. ALP is a membrane bound and its alteration is likely to affect the membrane permeability and produce derangement in the transport of metabolites [13]. On the other hand, bilirubin and albumin values are associated with the secretory and synthetic functions of hepatic cells [14].
In the last few years there has been an exponential growth in the field of herbal medicine and these drugs are gaining popularity because of their natural origin and less side effects [15]. Currently diverse natural products have been evaluated for their hepatoprotective capacity in different models of hepatotoxicity [16-19]. Syzygium aromaticum (clove) and Camellia sinensis (green tea) plants are commonly used traditionally in folk medicine and currently used as beverages by Egyptians. Clove flowers are also eaten in Egypt and some other countries [20]. Green tea extract contains polyphenols, tannin and caffeine. Its extract also includes pyroloquinoline quinone, a newly discovered vitamin [21]. Green tea catechins may reduce hepatic fibrosis by suppressing oxidative stress and controlling the transcription factor expression involved in stellate cell activation [22]. The antioxidant property of flavonoidal compounds of green tea extract contributes to decrease the hepatic oxidative stress and increase the levels of antioxidant enzymes [23].
Clove is one of the richest sources of phenolic compounds and possesses great potential for pharmaceutical, cosmetic, food and agricultural applications [24]. Since flavonoids are able to reduce xenobiotic-induced hepatotoxicity in animals and counteract the damaging effects of oxidative stress, cooperating with natural systems like endogenous protective antioxidant enzymes, clove shows antioxidant properties and its extracts could be used as food antioxidants [24, 25].
All of these encouraged us to estimate the probable SOD-like activity of clove and green tea aqueous extracts in vitro and to investigate their hepatoprotective effects as medicinal herbs with established antioxidant properties against both controversial pro oxidant and hepatotoxicity effects of khat in vivo.
MATERIALS AND METHODS
Plant materials
Fresh khat leaves were harvested from private farm in Sana’a Governorate (Republic of Yemen). The leaves were washed, air dried, pulverized, stored in plastic bags and kept at 4 ˚C [26], then transported to Biochemistry Laboratory, Chemistry Department, Faculty of Science, Damietta University, Egypt. Clove dried flower buds and green tea dried leaves were purchased from the local market, Egypt.
Preparation of plant extracts
100 g of dried khat leaves were soaked in 500 ml of distilled water for 24 h then heated for 30 min at 60 ˚C. The contents were filtered and the aqueous extract (20% w/v) was kept at 4 ˚C until use [7]. Dose selection was adapted based on the average daily consumption of khat leaves by the khat users in Yemen [27].
Clove dried flower buds were powdered using a grinder. The extraction was done at room temperature. 100 g of the grounded plant material was soaked in 1 l of distilled water for 5 d with stirring every 18 h then filtrated and the filtrate (10% w/v) was stored at 4 ˚C until use [28]. Green tea extract (1.5% w/v) was made by soaking 15 g of green tea dry leaves powder in 1 l of boiling distilled water for 5 min. The solution was filtered and the filtrate was stored at 4 ˚C until use [20].
Kits and chemicals
Kits for total and direct bilirubin, ALT and AST were obtained from Diamond Company (Cairo, Egypt). MDA, SOD, CAT and TAC kits were purchased from Biodiagnostic Company (Cairo, Egypt). ALP kit was obtained from ELITech Company (France). Kit for albumin was purchased from STANBIO Company (USA). Other chemicals used throughout this investigation were of the highest analytical grade available.
Determination of SOD-like activity
SOD-like activity was assayed for green tea and clove extracts in vitro using SOD kit [20].
Maintenance of animals
This study was performed using 36 adult Wistar albino rats (120-150 g) purchased from Theodor Bilharz Research Institute, Cairo (Egypt). All animals were maintained for 14 days before we start the experiment under standard conditions (temperature of 25 ˚C, relative humidity and a 12/12 h light/dark cycle) according to the criteria outlined in the ‘‘Guide for the Care and Use of Laboratory Animals’’ prepared by the National Academy of Sciences and published by the National Institute of Health (NIH) [29]. Food and water ad libitum were allowed. This was approved by the Animal House of Biochemistry, Chemistry Department, Faculty of Science, Damietta University, Egypt.
Experimental design
Animals were randomly divided into four groups (nine rats/group) and treated for 6 weeks as follows: Control untreated group; Khat group received orally, in drinking water, a daily dose of khat extract (2.2 g/kg); Khat+GT group treated orally with a daily dose of khat extract (2.2 g/kg) plus green tea extract (1.5 g/kg); Khat+Clove group received orally a daily dose of khat extract (2.2 g/kg) plus clove extract (0.74 g/kg). Body weight was recorded every week throughout the experimental period.
Samples
After the end of the experimental period, all animals were being fasted for 12 h then sacrificed under diethyl ether anesthesia and blood samples were collected via the retro-orbital venous plexus. Blood samples with/without EDTA were left to clot and the sera and plasma were separated by cooling centrifugation (4 ˚C) at 3000 rpm for 10 min and stored at-20 ˚C until used. ALT, AST and ALP were assayed in rats’ sera. Total, direct bilirubin and albumin were assayed in rats’ plasma. All measurements of biochemical parameters were carried out according to the kits instructions.
A portion of the removed liver of each rat was saved for histopathological analysis. The remaining liver was rapidly rinsed with ice-cold saline and dried on filter paper. Weighed dried liver was homogenized in 0.9% NaCl solution and the resultant homogenate (10%, w/v) was then centrifuged at 5000 rpm for 15 min at 4 ˚C and the resultant supernatant was used for determination of MDA and TAC levels in addition to the activities of SOD and CAT enzymes.
Histopathological analysis
A sample of liver obtained after decapitation was washed in saline and fixed in 10% formalin for the routine haematoxylin and eosin (H&E) staining technique and histopathological examinations. Fixed tissues were processed routinely, embedded in paraffin wax, sectioned into 5 µm thick sections in a rotary microtome and then stained with H&E dye. At least three different sections were examined per sample of liver. The pathologist evaluating liver sections was unaware of the treatment the rat had received.
Statistical analysis
Results are presented as mean±S. D. A statistical analysis between two groups was performed using Student's t-test. P<0.05 was considered significant for all analysis. An IBM computer with a statistical software system in state version 3.10 (Graphpad, USA) was used for these calculations.
RESULTS
SOD-like activity
In vitro both clove and GT extracts showed concentration-dependent SOD-like activity (>91% and >88%, respectively) (fig. 1).

Fig. 1: Superoxide dismutase (SOD)-like activity (expressed as % inhibition) of green tea and clove extracts. Each bar represents the mean of three trails±SD
Body weight
Fig. 2 shows that animals treated with khat extract showed a significant decrease (P<0.001) in body weight compared to the control. On the other hand, body weight of the animals treated with clove or green tea extract showed a significant improvement compared to khat group.

Fig. 2: Effects of green tea (GT) or clove extract on body weights of rats treated with khat extract for 6 weeks. Each bar represents the mean±S. D. of nine rats. * and ** Significant difference at P<0.05 and at P<0.001 levels compared with the control group, respectively. ! and !! Significant difference at P<0.05 and at P<0.01 levels compared with the khat group
Biochemical parameters
Animals treated with khat extract alone showed significant elevations (P<0.001) in ALT, AST, ALP activities and in total and direct bilirubin levels accompanied with a significant decrease in albumin level compared with those of the control group. On the other hand, animals received khat plus clove or green tea extracts showed significant improvements in all of these liver function tests compared with those of animals received khat extract alone (table 1). As shown in table 2, animals treated with khat extract alone showed a significant (P<0.001) increase in hepatic MDA level and a significant (P<0.001) decrease in TAC concentration and activities of both SOD and CAT compared with those of control group. On contrast, the administration of clove or green tea extracts resulted in significant improvement (P<0.001) in all of these parameters compared with those of rats administered khat extract alone.
Table 1: Effects of clove or green tea (GT) extract on liver function tests of rats treated with khat extract
Parameters Groups |
ALP (IU/l) |
ALT (IU/l) |
AST (IU/l) |
D-Bilirubin (mg/dl) |
T-Bilirubin (mg/dl) |
Albumin (g/dl) |
| Control | 226.11±26.724 | 10.667±2.94 | 11.744±2.801 | 0.085±0.04 | 0.264±0.08 | 3.983±0.317 |
| Khat | 323.89±26.7** | 77.12±5.4** | 81.821±12.4** | 0.213±0.05** | 0.684±0.16** | 2.874±0.46** |
| Khat+GT | 204.75±82.54!! | 22.221±6.21!! | 19.678±2.62!! | 0.101±0.02!! | 0.287±0.08!! | 3.97±0.29!! |
| Khat+Clove | 238.332±45.6!! | 25.314±6.41!! | 21.117±4.34!! | 0.106±0.03!! | 0.346±0.09!! | 3.869±0.40!! |
ALP; alkaline phosphatase, ALT; alanine transaminase, AST; aspartate transaminase, D; direct, T; total
Data are expressed as mean±S.D. (n = 9 in each group), **: P< 0.001 versus control group, !!: P< 0.001 versus khat group.
Table 2: Effects of clove or green tea (GT) extract on lipid peroxiation and markers of antioxidant defense of rats treated with khat extract
Parameters Groups |
MDA (nmol/g tissue) |
TAC (mmol/l) |
SOD (IU/g tissue) |
Catalase (IU/g tissue) |
| Control | 27.778±4.08 | 1.338±0.04 | 701.97±8.5 | 3.401±0.39 |
| Khat | 61.481±7.66** | 0.807±0.03** | 446.97±26.65** | 2.235±0.41** |
| Khat+GT | 31.48±6.035!! | 1.079±0.09!! | 645.83±20.67!! | 3.215±0.47!! |
| Khat+clove | 32.591±4.64!! | 1.177±0.05!! | 656.25±16.57!! | 3.308±0.76!! |
MDA; malondialdehyde, TAC; total antioxidant capacity, SOD; superoxide dismutase, CAT; catalase, Data are expressed as mean±S.D. (n =9 in each group)
**: P< 0.001 versus control group, !!: P< 0.001 versus khat group.
Histopathological analysis
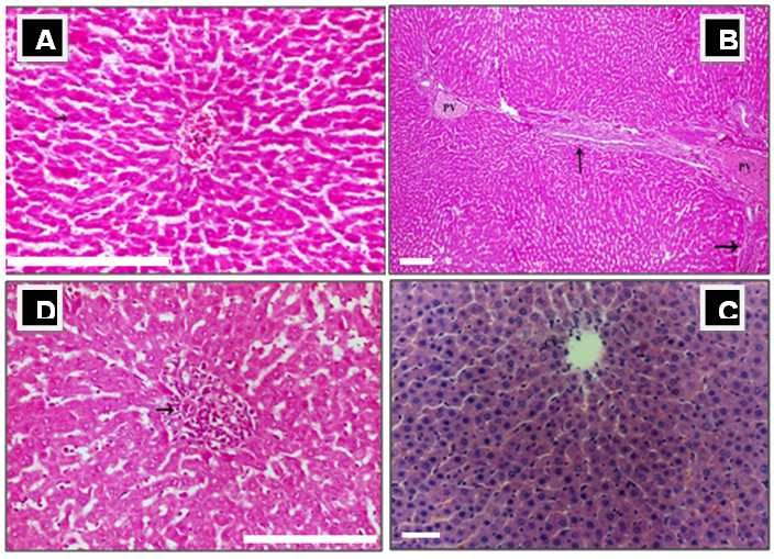
As reflected from fig. 3, khat administration showed histopathological changes including congestion in portal vein (PV) with fibrous tissue proliferation, extended from portal area and formation of intralobular Porto-portal bridging fibrous septae. On the other hand, liver section of rat administered with khat plus green tea extracts showed quite normal structure of central vein, sinusoid and portal tract and liver section of rat administered with khat plus clove extracts showed lymphohistiocytic exudate with normal hepatocytes.

Fig. 3: Liver histopathology. (A) Section of control rat liver showing normal hepatocytes (arrow) with normal radial arrangements around central vein (CV) (H&E, x400) (Scale bar 100 µm). (B) Liver section of rat administered with khat extract showing congestion in portal vein (PV) with fibrous tissue proliferation, extended from portal area and forming intralobular Porto-portal bridging fibrous septae (arrow) (H&E, x100) (Scale bar 100 µm). (C) Liver section of rat administered with khat plus green tea extracts showing quite normal structure of central vein, sinusoid and portal tract (CV) (H&E, x100) (Scale bar 100 µm). (D) Liver section of rat administered with khat plus clove extracts showing lymphohistiocytic exudate (arrow) with normal hepatocytes (H&E, x400) (Scale bar 100 µm).
DISCUSSION
Recent studies on Somali populations have shown that khat can cause acute severe liver injury in humans due to its hepatotoxic effects [30]. In the present study, rats administered khat extract showed significant reductions in their body weights accompanied with significant alterations in all tested LFTs indicating khat anorexigenic effect and liver damage attributable to khat hepatotoxic effect, respectively. The latter is supported by the histopathological changes showed in fig. 3.
Khat anorexigenic effect may be attributed to the combined direct central and gastric effects of cathinone in khat leaves [31]. This increase release of serotonin and norepinephrine in the brain enhanced motor activity and increase energy expenditure secondary to its profound stimulation of lipolysis and glycogenolysis that may contribute in this effect [32].
Increased serum activities of AST and ALT may be explained by the reported tissue fibrosis or membrane damage resulting in their leakage into extracellular fluid as a result of khat toxic action on hepatic tissues [33]. Increase in serum ALP activity may reflect damage of biliary epithelium as a result of khat induced cellular damage or obstruction of intrahepatic biliary ducts [34]. Increased total and direct bilirubin suggest a direct toxic effect of khat on liver cells leading to decreased uptake, conjugation and reduced secretion of bilirubin into the bile ducts. Moreover, decreased albumin indicated impaired liver function and decreased protein synthesis, either primary as in liver cell damage or secondary to diminished protein intake and reduced absorption of amino acids [35]. These results were in accordance with the findings of Al-Habori et al. [9]. On the other hand, these were in controversy with the results of Al-Zubairi et al. [36] who showed that there were no significant changes of serum liver enzymes or albumin levels in rats administered khat.
In fact, several mechanisms may probably mediate khat induced hepatotoxicity namely: sympathomimetic effect, induction of oxidative stress, cytotoxic action and promotion of renin angiotensin system. It is well documented that, khat is a potent peripheral indirect sympathomimetic which exerts such action through increase release of norepinephrine from adrenergic nerve terminals, inhibition of its reuptake as well as inhibition of metabolic inactivation by monoamine oxidase enzyme [37]. The increased norepinephrine concentration in post synaptic space of most vascular smooth muscles exerts a profound processor action and hepatic vasoconstriction via stimulation of postsynaptic α1 receptors [32]. Moreover, ischemic hepatitis may develop as a result of decreased hepatic blood flow [38]. On the other hand, khat may activate the renin angiotensin system (RAS) via β2 receptor stimulation as a result of the indirect sympathomimetic action [33]. The liver is the main source of angiotensin so, the hepatic activation of RAS can deteriorates liver hemodynamic either directly by stimulation angiotensin II type I receptors present in the surface of vascular smooth muscle cells or indirectly by potentiating the release of norepinephrine from postganglionic sympathetic fibers. In addition, inductions of RAS stimulate vascular smooth muscle cell migration, proliferation and production of inflammatory chemokines and cytokines that enhance the migration of inflammatory cells [39].
The present study revealed that, khat administration induces oxidative stress that manifested by the significant increase in hepatic MDA levels accompanied with significant reduction in TAC and both SOD and CAT activities. Lipid peroxidation, expressed as MDA level, is an indirect evidence of oxidant-induced cell injury and TAC level is an indication on ROS scavenging ability of cells. In addition, SOD enzyme catalyzes the reduction of the superoxide radical to hydrogen peroxide keeping the intracellular steady state concentrations of superoxide radical low. Simultaneously, CAT enzyme decomposes the produced hydrogen peroxide thus, protects the tissue from highly reactive hydroxyl radicals [40]. Based on the latter explanation and the results of the present study on khat administration, one can expect induction of more lipid peroxidation (liver's tissues MDA elevation) as a result of mal-superoxide radical dismutation (reduction in SOD activity) and hydroxyl radicals' elevation (reduction in CAT activity). A somewhat similar mechanism was reported by [41]. Therefore, the latter findings confirm the mediatory effect of oxidative stress of khat on hepatic toxicity. On the same line, [42] attributed the over-expression of lipid peroxides to one or more active constituents of khat, especially alkaloids. This is because the latter constituent may be converted to pro-oxidant metabolites or may induced decreased synthesis or activity of the endogenous antioxidant system. Additionally, long term sympathetic stimulation by khat may exert oxidative toxicity via increase release of dopamine. This is because the latter is subsequently metabolized to hydrogen peroxide, which is a highly reactive molecule that produces severe tissue damage [43]. Generally, the proposed oxidative stress of khat in this study is in agreement with [7] who reported that, khat inhibit antioxidant enzyme activities and alter biomarkers of oxidative stress in rats or in human.
The efficacy of any hepatoprotective compound is essentially dependent on its capability to either reduce the harmful effects of a hepatotoxin or to maintain the normal physiological mechanisms that are disturbed by the hepatotoxin [44]. Polyphenol compounds, the main active constituents of GT, inside cells could act as electron donor [45]. Via this transformation, one can expect that, they can show both antioxidant and anti-pro-oxidant effects. GT catechins have been shown to maintain intracellular protein thiol levels maintaining the intracellular reduction-oxidation balance, protein tertiary configuration and therefore cellular function [46]. In addition, GT extract consumption improves liver necrosis due to acetaminophen and decreases serum transaminases [47], decreases cellular death due to thioacetamide probably by decreasing or controlling apoptosis which in turn decreases serum transaminases and increases serum protein and albumin and it shows a better performance in these situations than glutathione [45]. Catechins, one of the polyphenols available in GT that scavenge ROS/RNS in vitro [48], have the protective effect on rats with abnormal hepatic status [49]. Many other studies approved the protective effects of GT extract against hepatoxicity [50, 51]. Our present study illustrated that GT extract showed very high SOD-like activity (>88%) in vitro and showed normal histology of hepatocytes in addition to significant improvements in all studied LFTs, lowering in lipid peroxidation with enhancement in TAC and in SOD and CAT activities in rats administered GT plus khat extracts. These results are consistent with those of Xu et al. [52]. So, GT can counteract the khat-induced hepatotoxicity may be via the GT powerful antioxidant and anti-pro-oxidant effect attributed to its content of polyphenols together with the probable reduction of apoptotic and proinflammatory signaling.
In the present work and in accordance with [24] and [53], clove extract when administered plus khat extract showed normal hepatocytes and significantly attenuated the disturbances in LFTs showed by khat extract indicating stabilization of plasma membrane and protection of hepatocytes. Clove extract causes inhibition of hepatocytes inflammation may be through modulation of a cascade of biochemical reactions that propagate and mature the inflammatory response. Clove extract showed very high SOD-like activity (>91%) in vitro. It also diminished the oxidative stress via raising the TAC and the activity of both SOD and CAT paralleled with reducing lipid peroxidation in vivo that may be attributed to the antioxidant potential of its content of phenolic compounds. This is because plant phenolic compounds are multifunctional; they can act as reducing agents, singlet oxygen scavengers, and hydrogen atom donators with subsequent stabilization of the generated free radicals forming stable compounds that do not start or propagate oxidation.
CONCLUSION
Combined administration of khat with clove or GT protect hepatocytes from the hepatotoxic effect of khat via oxidative stress inhibition since they decreased the hepatic lipid peroxidation and restored the antioxidant status to near normal levels. Additionally, clove and GT counteracted the alterations in LFTs. These results suggest that clove or GT administration has hepatoprotective effects against khat induced hepatotoxicity in rats via antioxidant mediated mechanism.
CONFLICT OF INTERESTS
Declared None
REFERENCES