1Immunology & Microbiology Laboratory, Department of Physiology, University of Calcutta, Kolkata, West Bengal, India
Email: biswadevbishayi4@gmail.com
Received: 19 Mar 2015 Revised and Accepted: 02 May 2015
ABSTRACT
Objective: Staphylococcus aureus (S. aureus) is a potent causative organism of septic arthritis. In this study, ciprofloxacin was used to nullify the bacterial burden in mice infected with pathogenic strain of S. aureus. Since, endogenous nitric oxide (NO) and prostaglandins (PG) are involved in several inflammatory diseases, in vivo modulation of their levels via Aminoguanidine (AMG) and Meclofenamic acid (MFA), in combination with ciprofloxacin, are used to modulate the inflammatory conditions in bacterial arthritis.
Methods: Septic arthritis were induced in mice by S. aureus (i. v.) infection followed by AMG or MFA treatment with ciprofloxacin. Mice were sacrificed at 3, 9 and 15 days post-infection (DPI). The clinical signs of septic arthritis were recorded, bacterial density determination in blood, spleen and synovial tissue, several biochemical, enzyme assays and histological studies of the synovial joint was performed.
Results: AMG or MFA treatment alone does not lead to bacterial clearance since endogenous NO or PG was limited for bacterial killing. Ciprofloxacin treatment in combination with either AMG or MFA showed mitigation of bacterial burden as is evident from the CFU count and maximum reduction in inflammatory conditions, apparent from the reduced percentage of induction of septic arthritis, decreased myeloperoxidase (MPO), lysozyme activities, level of serum uric acid and creatinine as well as from the histological examinations.
Conclusion: The combination treatment of ciprofloxacin along with immune modulators, AMG or MFA may lead to diminution of the inflammatory build up caused by S. aureus induced septic arthritis in mice.
Keywords: Aminoguanidine, Ciprofloxacin, Meclofenamic acid, S. aureus, Septic arthritis.
INTRODUCTION
Septic arthritis, an infectious arthritis, may represent a direct invasion of joint space by various microorganisms. Staphylococcus aureus is the most common bacteria found in nongonococcal bacterial arthritis in humans. Human bacterial arthritis usually has a hematogenic spread (septic arthritis) and through circulation they reach the synovial tissue to seed in, colonize and promote tissue damage as S. aureus carries a wealth of pathogenic determinants (a wide variety of bacterial surface factors including the cell wall, capsular polysaccharides, collagen receptor, fibronectin binding protein and other exotoxins and endotoxins) [1] which evokes an intense host responses [2]. The bacterial evasion weapons and the counter-actions of host immune system produce inflammation and sepsis. The mechanisms of S. aureus induced sepsis are being studied and are still under investigation among which Toxic Shock Syndrome Toxin-1 (TSST-1) and the staphylococcal enterotoxins play vital role. They belong to the group of toxins known as Pyrogenic Toxin Superantigens (PTSAgs) [3]. The best characterized property of this group is superantigenicity, i.e. the ability of this toxin to stimulate proliferation of T-lymphocytes. These TSSTs cause tissue infiltration of neutrophils, macrophages and immunologically active cells which combat the pathogenic weapons by numerous proinflammatory substances (like nitric oxide and prostaglandins) and enzymes causing the progress of inflammation and ultimately sepsis, as in septic arthritis [4]. S. aureus is thereby responsible for serious invasive diseases and indeed is a leading cause of sepsis [5] Although, S.aureus is a highly efficient pathogen in causing septic arthritis, the precise role of cellular invasion in S. aureus pathology in vivo is still controversial [6] and requires extensive study to find out ways to effectively eradicate the bacterial burden from the tissues simultaneously to mitigate the inflammatory agony.
Thus, a variety of combination treatments to combat bacterial arthritis are also under investigation. It has been reported earlier that a major fall in the incidence of nosocomial infections can be achieved by focusing on adequate antibiotic prophylaxis, pretreatment and appropriate treatment of acute infections [7] S. aureus that can be treated with penicillin and methicillin, is called methicillin-susceptible S. aureus (MSSA). Unfortunately, some strains of S. aureus have become resistant to methicillin and other similar antibiotics [8]. These strains are known as Methicillin-resistant S. aureus (MRSA), which cannot be cured with traditional penicillin-related drugs. Instead, MRSA must be treated with alternate antibiotics or with combination with immunomodulators [9].
Ciprofloxacin, a synthetic carboxyquinolone derivative, easily penetrates into tissues resulting in concentrations that exceed its corresponding serum levels [10]. This antibiotic which do not show plasmid-mediated resistance, has a broad spectrum of antibacterial activity and acts by inhibiting the A-subunit of DNA gyrase (topoisomerase) which is essential in the reproduction of bacterial DNA [11]. Thus, in this investigation ciprofloxacin is used to reduce bacterial burden.
To ameliorate the inflammatory conditions, the focus should also be on the inhibition of basic proinflammatory substances. The endogenous key proinflammatory substances such as nitric oxide (NO) and prostaglandins (PG) possess the potential to stimulate severe inflammatory reactions [12]. Thus, aminoguanidine (AMG), an inhibitor of NO synthesis and meclofenamic acid (MFA), an inhibitor of PG production were used in this study.
Therefore, treatment with antibiotic either alone or in combination with inhibitors of NO, PG might be effective in modulating septic arthritis. Thus, in this study, the role of ciprofloxacin in combination with either AMG or MFA, in modulation of S. aureus induced septic arthritis in mice was investigated.
MATERIALS AND METHODS
Animals
Male Swiss albino mice, 6-8 weeks old, average body weight 20±4 gm were used for all experiments. Upon arrival, mice were randomized into plastic cages with filter bonnets and saw dust bedding, followed by a one-week quarantine period. Mice were housed 6 per cage with food and water ad libitum. Animal rooms were maintained at 21-24 oC and 40-60% humidity with a 12h light-dark cycle. All experiments were approved by the Institutional Animal Ethical Committee (IAEC) [Proposal number: IAEC-III/Proposal/Ph. D-URF/BB-03/2012 dated 24.07.2012].
Bacteria
Pathogenic S. aureus strain (P-1490) was of the clinical isolate from NRS hospital at Kolkata. In each experiment, bacteria were cultured on nutrient agar for 24h at 37oC, inoculated into tryptic soy broth and incubated for another 15h. The organisms were collected by centrifugation and washed three times with 0.85% saline. The concentration of washed cells was adjusted spectrophotometrically at 550 nm. The numbers of viable S. aureus cells were established by plating serial 10-fold dilutions of a bacterial solution in 0.01 M phosphate buffered saline (pH 7.4) on nutrient agar. Mice were injected intravenously, 106 CFU/mouse of average body weight of 20g via the tail vein in 0.1 ml saline to each of the mice, grouped for each strain of S. aureus separately. Control mice received 0.1 ml of sterile saline through the tail vein. Bacterial colonies were routinely counted [13].
Survival rate study
The mice were monitored daily. The number of mice which survived at different days post infection (DPI) was noted [13].
Treatment with antibiotics and immunomodulatory agents
Mice were infected separately with different strains of S. aureus. S. aureus infection was followed by treatment with the antibiotic, Ciprofloxacin and some immunomodulatory agents, MFA (COX 2 inhibitor) and AMG (iNOS inhibitor), either in single or in combination. Then mice were sacrificed at different DPI.
Swelling of wrist and ankle joints, arthritic scoring
Arthritic scoring was done according to Mal et al. [13]. Swelling of wrist and ankle joints was to determine the level of the inflammatory response in mice challenged with S. aureus. Before the experimentation, the paws of randomly selected and age matched mice were measured and the baseline paw size of the mice was determined. After infection, the mice paw diameter, wrist and ankle joints were measured every other day for 15 days with a dial-type vernier-calliper graduated 0.1 cm and the daily mean values were noted. This average value was used to infer the severity of swelling due to arthritis [14]. Percentage induction in arthritis per group of treated animals was calculated by considering the average paw diameter of the control group to be zero.
Determination of numbers of viable S. aureus in blood, spleen and synovial tissue
Blood from each infected mice was plated on mannitol salt agar selective media. Spleen and synovial tissue were excised, weighed, homogenized, diluted in sterile saline and also plated on mannitol agar. Results were expressed as the number of bacterial CFU/ml of blood and per 100 mg of tissue [13].
Serum uric acid level
For the estimation, serum and double distilled water was taken in an agglutination tube. To it, 2/3(N) H2SO4 and 10% Na-tungstate was added. The mixture was allowed to precipitate for 10 minutes, filtered and marked as sample. 400μl uric acid were taken as standard and double distilled water was taken as blank in respective microtubes. Na2CO3 and uric acid reagent were added in each microtubes and were allowed to stand for 15 minutes at room temperature. Then the OD was observed at 630 nm [15].
Serum creatinine level
For the estimation, serum and double distilled water was take-in an agglutination tube. To it, 2/3(N) H2SO4 and 10% Na-tungstate were added. The mixture was allowed to precipitate for 10 minutes, filtered and later, taken as the sample. 200μl creatinine were taken as standard and double distilled water was taken as blank. Picric acid was added to all the tubes and was allowed to stand for 15 minutes. Then, optical density (OD) was measured at 530 nm [16].
Synovial tissue Myeloperoxidase (MPO) assay
It is an indicator of neutrophil infiltration. MPO activity was assayed spectrophotometrically [17].
Lysosyme assay: Assay was performed by taking Micrococcus lysodeikticus suspension in a cuvette and the reaction was started by adding synovial tissue homogenate from each group. The decrease in optical density at 450 nm was recorded as a function of time (3 min). The change in absorbance for the first one minute was used to determine the enzyme activity [18].
Histopathological study
Immediately after the sacrifice of the mice, whole knee joints were removed and fixed for 4 days in 10% formalin. After decalcification in 5% formic acid, all the specimens were processed for paraffin embedding and were sectioned. The tissue sections (7 µm) were stained with hematoxylin and eosin [19].
Statistical Analysis
Results were expressed as mean±standard deviation (SD). Statistical analyses were performed using MS-Office Excel 2007 software packages and one-way ANOVA followed by multiple comparison t-test to was done find out significant difference at P<0.05 or P<0.001 [20].
RESULTS
Experimental evaluation of arthritis: The induction of clinical arthritis, calculated from the mean diameters of the wrist and ankle joints of mice, was observed highest in the S. aureus infected group compared to the control group and was highest at 9 DPI which was 49.35% that was seen to be ameliorated maximally in the ciprofloxacin, AMG or MFA co-treated groups, which were 10.53% and 10.38% respectively (table 1).
Table 1: Effect of treatment of ciprofloxacin alone or in combination with immunomodulators on induction of septic arthritis after S. aureus infection in mice
| Groups | Number of mice | Number of mice died | Paw diameter (mm) | Induction of arthritis (%) |
| Day 3 | Day 9 | |||
| Control | 6 | 0 | 2.74±0.021 | 3.08±0.016 |
| S. aureus | 6 | 1 | 3.52±0.032 | 4.63±0.057 |
| Ci | 6 | 0 | 3.13±0.049 | 3.45±0.081 |
| A | 6 | 0 | 3.04±0.006 | 3.64±0.012 |
| M | 6 | 0 | 3.08±0.011 | 3.58±0.034 |
| Ci+S | 6 | 0 | 3.20±0.009 | 4.06±0.023 |
| Ci+A | 6 | 0 | 2.83±0.007 | 3.64±0.024 |
| Ci+M | 6 | 0 | 3.09±0.014 | 3.32±0.036 |
| S+A | 6 | 0 | 3.17±0.012 | 3.48±0.022 |
| S+M | 6 | 0 | 3.27±0.026 | 3.49±0.014 |
| Ci+S+A | 6 | 0 | 3.00±0.064 | 3.31±0.021 |
| Ci+S+M | 6 | 0 | 3.02±0.051 | 3.41±0.041 |
Data of paw diameter are presented as the mean±SD, (n=6/group). Ci = Ciprofloxacin, A= Aminoguanidin, M = Meclofenamic acid, S = S. aureus
Effect of co-treatment with ciprofloxacin, AMG or MFA on viable bacteria number in the blood, spleen and synovial tissue of infected mice at different DPI: It has been observed after counting the colony from the mannitol salt agar plate that the CFU/ml of blood (fig. 1A) and CFU/100 mg of spleen (fig. 1B) in the bacteria challenged mice were highest at 3 DPI and the CFU/100 mg of synovial tissue (fig. 1C) was highest at 9 DPI for pathogenic S. aureus and then cleared from blood and spleen at day 9 and 15 whereas from synovial tissue at day 15. When AMG or MFA alone was given after 2h of bacterial infection, bacterial burden was increased in blood and tissues on 3 DPI compared to the non-treated S. aureus infected mice. Treatment with ciprofloxacin alone or in combination with either AMG or MFA after infection showed significant reduction in the CFU count in blood and spleen at 3 DPI while in synovial tissue at 3 and 9 DPI as compared to the infected group (P<0.05).


Effect of co-treatment of ciprofloxacin, AMG or MFA in blood parameters of infected mice
Serum uric acid level: Serum uric acid level of S. aureus alone infected mice was significantly higher than the control group and was found to be maximum at 9 DPI. Treatment of mice with ciprofloxacin, AMG or MFA alone after infection showed the significant reduction in serum uric acid level at 3, 9 and 15 DPI than S. aureus alone infected mice (P<0.05), but the maximum reduction was found in the group of mice co-administered with ciprofloxacin, AMG or MFA after being infected with S. aureus (P<0.05) (fig. 2A).

Fig. 1: Effect of ciprofloxacin alone or in combination with immunomodulators on bacterial density in blood (A), spleen (B) and synovial tissue (C) of S. aureus infection induced septic arthritis. Data expressed as mean±SD (n=6/group); *control vs. S. aureus; **S. aureus vs. combination treatment groups indicate significant difference at P<0.05; Ci=Ciprofloxacin, A=Aminoguanidin, M=Meclofenamic acid


Fig. 2: Effect of ciprofloxacin alone or in combination with immunomodulators on Serum uric acid (A) and creatinine (B) levels in S. aureus induced septic arthritis
Values are mean±SD of 6 animals; *control vs. S. aureus; **S. aureus vs. treated groups; ***(S. aureus+Ci) vs. (S. aureus+Ci+A) &(S. aureus+Ci+M); ****(S. aureus+A) or (S. aureus+M) vs. (S. aureus+Ci+A) or (S. aureus+Ci+M) indicate significant difference at P<0.05; Ci=Ciprofloxacin, A=Aminoguanidin, M=Meclofenamic acid
Serum creatinine level: S. aureus infected mice showed significantly higher serum creatinine level of than the control group after infection at 3, 9 as well as 15 DPI. However, treatment of mice with ciprofloxacin or AMG or MFA alone after infection, significantly reduced the serum creatinine level and was further reduced by the combination treatment of ciprofloxacin with either AMG or MFA after infection than S. aureus alone infected mice (P<0.05) (fig. 2B).
Synovial tissue myeloperoxidase (MPO) enzyme activity: The MPO activity is an indicator of neutrophil infiltration, was observed to be significantly elevated in the S. aureus infected group (P<0.05), on 3, 9 and 15 DPI.
When ciprofloxacin or AMG or MFA was administered alone following S. aureus infection, it produced significant reduction of tissue MPO activity but maximum diminution was found in the group of mice that co-treated with ciprofloxacin, AMG or MFA after S. aureus infection(P<0.05) (fig. 3A).
Lysozyme activity (unit change) in the synovial tissue: Synovial tissue lysozyme activity in the S. aureus infected mice were significantly higher than the control group at 3, 9 and 15 DPI (P<0.05) and was highest at 9 DPI.
The mice treated with ciprofloxacin or AMG or MFA alone after S. aureus infection showed the significant decrease in lysozyme activity but the utmost reduction in the same was found in the group that was treated with ciprofloxacin along with AMG or MFA after being infected with S. aureus (P<0.05) (fig. 3B).


Fig. 3: Effect of ciprofloxacin alone or in combination with immunomodulators on MPO (A) and lysozyme (B) enzyme activityin S. aureus induced septic arthritis
Values are mean±SD of 6 animals; *control vs. S. aureus; **S. aureus vs. treated groups; ***(S. aureus+Ci) vs. (S. aureus+Ci+A)&(S. aureus+Ci+M); ****(S. aureus+A) or (S. aureus+M) vs. (S. aureus+Ci+A) or (S. aureus+Ci+M) indicate significant difference at P<0.05; Ci=Ciprofloxacin, A=Aminoguanidin, M=Meclofenamic acid
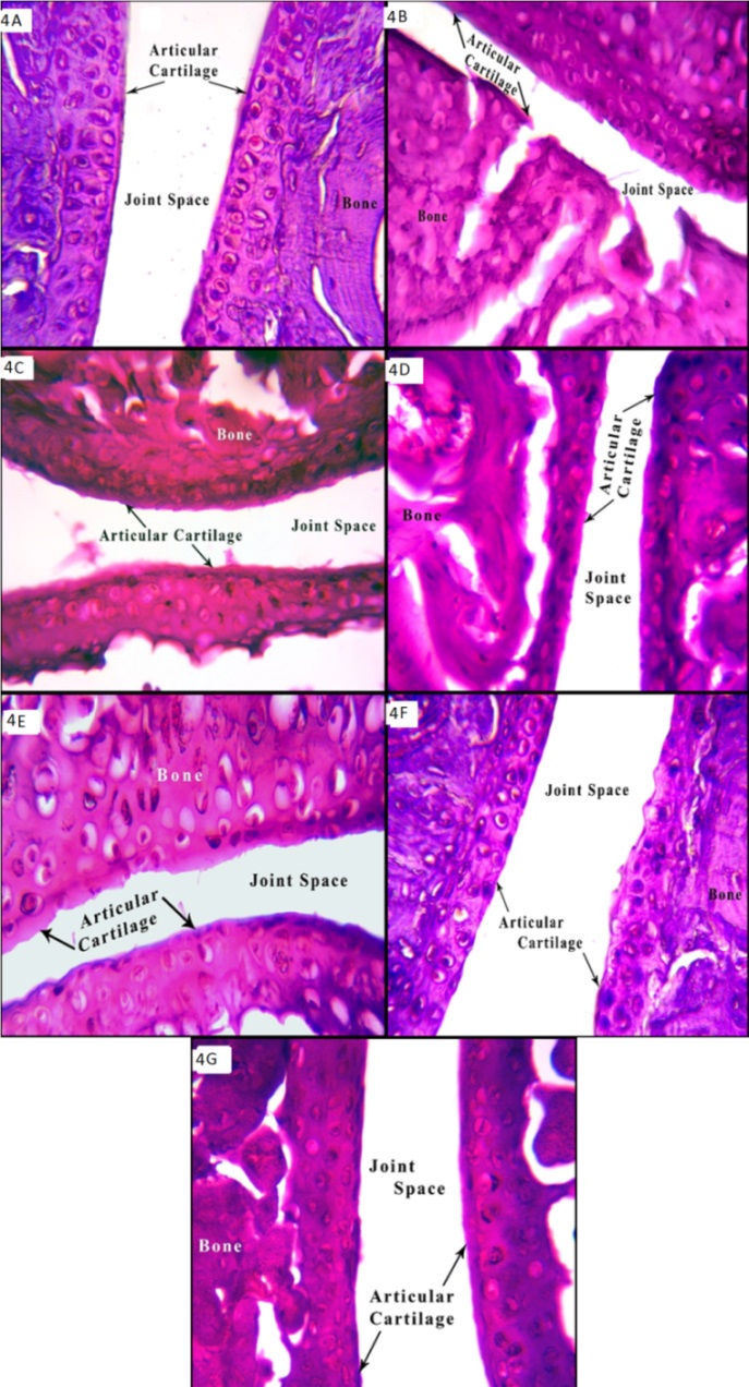
Histopathological analysis: Histological examination of the synovial joint showed pronouncedtissue degradation, erosion of bones and the articular cartilage as well as narrowing of joint spaces in the group only infected with S. aureus, while in the group treated with ciprofloxacin along with either AMG or MFA showed much less signs of synovitis (fig. 4).

Fig. 4: Photomicrographs of paraffin-embedded H&E-stained mice knee-joint sections (400X) of control mice (A), treated with S. aureus (B),S. aureus and ciprofloxacin(C), S. aureus and AMG(D), S. aureus and MFA(E), S. aureus, ciprofloxacin and AMG(F), S. aureus, ciprofloxacin and MFA (G) respectively
DISCUSSION
Modulations of induction of bacterial arthritis after co-administration of ciprofloxacin either alone or in combination with AMG or MFA following exposure to S. aureus have been investigated in this study. Considering the impact of septic arthritis on human life and lack of comprehensive knowledge in its treatment with antibiotic and immunomodulators, makes this current study a relevant topic.
The first perception of occurrence of septic arthritis may be the external manifestation of the same for which arthritic scoring was performed (from the paw diameter, swelling and redness of the joints of the mice) which depicted an increment in the arthritis induction in the group of mice that were infected with S. aureus alone relative to the control group. The scoring also unveils a visible low percentage of arthritis induction in the groups which received co-treatment of ciprofloxacin and AMG or MFA after S. aureus infection when compared with only infected group as well as with the infected group which received only ciprofloxacin treatment. As observed from the scoring results, the combination treatment of ciprofloxacin with AMG (which blocks endogenous NO synthesis by inhibition of iNOS)[21] or MFA (that blocks the synthesis of endogenous prostaglandin by inhibition of COX2)[22], may have been effective in ameliorating the clinical signs of inflammation due to S. aureus induced septic arthritis in mice. In this study, activities of iNOS and COX2 have been attempted to be blocked by the administration of AMG and MFA respectively. Since already innumerable copious experiments have been performed for years to show the effective inhibitory efficiency of the said compounds on the synthesis of NO and prostaglandins, it has not been determined in the present study.
The clinical manifestations of inflammation may be well correlated with the bacterial burden in synovial tissue in time-dependent manner. The S. aureus infection was introduced in the mice via intravenous route and the bacterial density in terms of colony forming units (C. F. Us) was determined. In all the S. aureus infected groups (treated or untreated), the bacterial burden persists at 3 DPI but eventually gets cleared from blood at 9 DPI which may indicate that S. aureus might have migrated to the tissues in search of better ‘homing’ [23]. The clearing of bacterial burden from spleen at 9 DPI may suggest the effective eradication of bacteria in presence of immense immunological active cells in the spleen. But, the persistence of S. aureus density and increase of the same at 9 DPI in synovial tissue perhaps deduces the synovial tissue, with its limited basement membrane and low fluid shear condition, to be the best choice for S. aureus to thrive in and colonise. The bacterial density was more in the group which received only S. aureus infection compared to the control group. The S. aureus infected group which received only AMG/MFA treatment showed even higher density of bacteria as compared to the group only infected by S. aureus, perhapsdepicting the anti-bacterial role of endogenous NO and prostaglandin, whose synthesis when blocked by administration of AMG (iNOS inhibitor) and MFA (COX2 inhibitor) respectively, leads to weakening of host immune defence to mitigate bacterial colonisation and growth. Whereas the groups treated by ciprofloxacin in combination with either AMG or MFA after being infected with S. aureus showed reduction in bacterial density compared to the only S. aureus infected group, probably leading to perceive that the combination treatment might have been potent in mitigation of bacterial burden to some extent.
Serum uric acid and creatinine are the key clinical pointers of inflammation. Uric acid, the ‘pathogenic culprit’ promotes inflammation either by activity as endogenous adjuvant or by triggering interleukin-1β or via activation of the NOD-like receptor protein (NLRP), are still being studied [24]. In the same way, serum creatinine level is an indicator of tissue protein breakdown which may be an important sign to understand the progress of inflammation. In this study, both the serum uric acid and creatinine distinctly rise in the group that is being infected with S. aureus as compared to the control group predicting that the S. aureus infected group may have been suffering from critical inflammatory conditions. AMG or MFA, when administered alone in the S. aureus infected group, serum uric acid and creatinine were lowered than the only infected group and the infected group which received only ciprofloxacin; but, when administered with ciprofloxacin, the serum uric acid and creatinine were decreased nearly to control level. Thus, hindering the synthesis of endogenous NO and PG, the inflammatory severity may be beneficially modulated and, on combining this with the antibacterial activities of ciprofloxacin a better diminution in clinical parameters like serum uric acid and creatinine may be obtained.
Significantly decreased activities of lysozyme and MPO in S. aureus infected synovial tissue and its amelioration after administration of AMG or MFA emphasises the anti-inflammatory role of immunomodulators. NO and PGs trigger infiltration of macrophages, neutrophils at the site of inflammation leading to lysozyme and MPO activity to fight against bacterial survival worsening the septic scenario [25, 26]. The deterred lysozyme and MPO activity in synovial tissue may indicate that AMG or MFA and ciprofloxacin conceivably abate the inflammatory responses by minimising neutrophil infiltration into the synovial tissue and the S. aureus burden respectively.
Thus, the S. aureus that had been injected through the tail vein of mice probably reached the synovial joints via the haematogenous route, grew themselves and triggered immune responses. This, in turn,presumably stimulated mast cells, complement system, macrophages along with other immune counterparts [27]. These activated cells might have released proinflammatory mediators like IFN-γ, TNF α, IL-6resulting in the activation of gene transcription factors such as NF-κβ, STAT1 etc [28] which could also be aroused via interaction of pathogens with Pattern Recognition Receptors or via the IgE immune complexes[27] which possibly could switch on COX2 and inducible NO synthase (iNOS) promoter.
The activated i NOS with NADP+ and L-arginine might produce citrulline and NO. The interaction of host immune responses and bacterial components feasibly could propel Reactive Oxygen Species (ROS) [29]. These ROS along with NO might have produced peroxynitrite (ONOO-) and other Reactive Nitrogen Species (RNS). NO and RNS most likely could cause synovial tissue damages, narrowing of joint spaces, articular cartilage disruption, neutrophil migration into joint spaces, inflammation, as is evident from the results of this study. However, determination of oxidative changes in the inflammatory tissue might be performed for further detailing of the present study. Instead, the activated COX2 conceivably have produced prostaglandins from arachidonic acid augmenting vascular permeability thus permitting infiltration of neutrophils, lymphocytes and propagation of inflammatory conditions.
Therefore, the findings of this investigation elucidates that the anti-inflammatory traits of AMG or MFA may reduce the severity of inflammation caused in septic arthritis and, in turn, as the loss of inflammatory response may lead to a high bacterial burden in tissues, the antibacterial attributes of an effective antibiotic like ciprofloxacin may be used in combination with the immuno modulators which is likely be useful as remedial measure to eradicate this social menace in future.
ACKNOWLEDGMENT
The authors wish to acknowledge an University Research Fellowship (URF) who has provided fellowship and research funds [sanction number: UGC/661/Fellow (univ)] to carry out this work.
ABBREVIATION
AMG-Aminoguanidine, ANOVA-analysis of variance, CFU-Colony forming unit, COX-cyclooxygenase, DAD-Disc Agar Diffusion, DPI-days post infection, eNOS-endothelial nitric oxide synthase, IFN-interferone, IL-interleukin, iNOS-inducible nitric oxide synthase, IRF-1-Interferon regulatory factor 1, MCP-Monocyte chemoattractant protein, MFA-Meclofenamic acid, MIC-Minimum Inhibitory Concentration, MPO-myeloperoxidase, MSSA-methicillin-susceptible Staphylococcus aureus, NF-κβ-Nuclear Factor kappa-light-chain-enhancer of activated B cells, NLRP-NOD-like receptor protein, nNOS-nuclear nitric oxide synthase, NOS-nitric oxide synthase, RA-rheumatoid arthritis, RNS-Reactive Nitrogen Species, ROS-Reactive Oxygen Species, S. aureus-Staphylococcus aureus, STAT-1-Signal Transducers and Activators of Transcription, TNF-tumor necrosis factor.
CONFLICT OF INTERESTS
The authors declare that they have no conflict of interest regarding this research work
REFERENCES