Int J Pharm Pharm Sci, Vol 7, Issue 6, 231-234Original Article


EVALUATION OF HEPATOPROTECTIVE ACTIVITY OF STEM EXTRACTS OF CUSCUTA REFLEXA (ROXB) IN RATS

NISHANT S KATIYAR*1, AMRIT P SINGH1, ANIL K GANGWAR2, N V RAO3

1Sanjay College of Pharmacy, Mathura, Uttar Pradesh 281406, india, 2Dept of Pharmacy, Kanpur Institute of Technology, Kanpur 208001, India, 3Dept of Pharmacology, V. L. College of Pharmacy, Raichur, Karnataka 584103, India
Email: nishant_katiyar@yahoo.com

Received: 19 Mar 2015 Revised and Accepted: 21 Apr 2015


ABSTRACT

Objective: Cuscuta Reflexa (Convolvulaceae) is a plant with a variety of ethnic medicinal uses along with antioxidant activity. Hence it was planned to evaluate the hepatoprotective activity with alcoholic extracts of stem of Cuscuta reflexa (AESCR) and aqueous extracts of stem of Cuscuta reflexa (AQESCR).

Methods: Hepatoprotective activity of both the extracts was studied against paracetamol induced hepatotoxicity in rats. Functional (thiopentone induced sleeping time), physical (wet liver weight and volume), biochemical parameters Alanine aminotransferase (ALT), Aspartate aminotransferase (AST), Serum alkaline phosphatase (ALP), Serum direct bilirubin (BILD), Serum total bilirubin (BILT), Serum albumin (ALB), Serum total proteins (PRO), Serum cholesterol (CHO), and histopathological changes of livers were assessed in control/toxicant/standard/and extract treated animals with paracetamol induced hepatotoxic models in rats.

Results: In LD50 studies for AESCR and AQESCR up to the maximum dose level of 2000 mg/kg dose no mortality was observed in any of the animals, indicating the practically nontoxic. When compared to toxicant control groups both the extracts have significantly reduced the paracetamol induced elevated levels of serum ALT, AST, ALP, BILT, BILD, CHO, and elevated the levels of ALB and PRO. The histopathological changes (steatosis), necrosis etc. Were partly or fully prevented in animals treated with the two extracts.

Conclusion: AESCR and AQESCR showed a significant hepatoprotective effect against paracetamol induced hepatic damage. The medium and high doses of AESCR and AQESCR (200 and 400 mg/kg) treated groups showd better hepatoprotective activity when compared to standard drug silymarin (25 mg/kg).

Keywords: Cuscuta reflexa, Stem extracts, Paracetamol, Silymarin, Hepatoprotective activity.


INTRODUCTION

Cuscuta reflexa is a leafless, delicate yellow coloured total stem parasite, belonging to the plant family Convolvulaceae. The tiny white flowers appear in bunches. The fruits are pea shaped and seeds are black in colour [1]. It is found throughout India. The plant is acrid; bitter; astringent to the bowels, aphrodisiac, alternative, tonic and useful in diseases of the eye and of the heart, in biliousness, and in “kapha;.

The herb has a bitter sharp taste; used as expectorant, carminative, tonic, anthelmintic, diuretic, blood purifier and lessens inflammation. It is also useful in jaundice, pain in the muscles and joints, headache, paralysis and also in lumbago. It was reported that decoction prepared with stem is useful in constipation, flatulence, liver complaints and bilious affections (1).

The seeds have a bitter bad taste; sedative, emmenagogue, diuretic; useful in diseases of the liver and the spleen, quartan fever, chronic fevers, griping. hiccough; purify the blood and cleanse the bowels; the infusion is given in opthalmia, the decoction in biliousness as a purgative (Unani)[2].

It is used externally against itch and internally to protract fevers. The stems are specially useful in bilious disorders [3].

Various published journals and books have revealed that plant based drugs are showing promising hepatoprotective activity and presently except silybon (Micro Labs, Bengaluru) no other allopathic medication is available for the treatment of liver disorders. Some of the plants reported for their hepatoprotective activity are Andrographis paniculata [4] Calotropis procer [5], Fumaria indica [6], Luffa acutangula [7], Boerhavia diffuse [8] etc.

From the literature, it was found that C. reflexa has also been traditionally indicated for treatment of hepatic disorders. Hence stem extracts of this plant was select for the study of hepatoprotective activity in PCM induced hepatotoxic rats.

MATERIALS AND METHODS

Plant material

Stem of C. reflexa collected in the month of May and were identified by a botanist Prof. V. Hemanth Kumar, V. L. College of Pharmacy, Raichur and dried in shade at room temperature then subjected to size reduction to a fine powder with the help of mixer grinder.

Chemicals

Paracetamol and Silymarin are gift samples from Pharmed, Bangalore, India and Micro Labs-Bangalore respectively. Thiopental sodium was purchased from Neon Laboratories Ltd., Mumbai, India. The following biochemical kits SGPT, SGOT, ALP, BILT, BILD, ALB, PRO, CHO and TG were purchased from Erba Diagnostics Mannheim GmbH, Germany.

Animals

Albino rats (Wistar strain) of either sex weighing between 150-200 g and Albino mice 16-25g were procured from National Centre for Laboratory Animal sciences,

C/0 Sri. Venkateswara Enterprises, Bengaluru for experimental purpose. Then the animals were acclimatized for 7 days under standard husbandry condition. i.e.

Room temperature-26±2 °C

Relative humidity-45-55%

Light/dark cycle-12:12 h

The animals were fed with a synthetic standard diet from Amrut Laboratories & Pranav Agro Industries Ltd. Sangli. Water was allowed ad libitum under strict hygienic conditions. All animal studies were performed in accordance to guidelines No. 425 of CPCSEA and Institutional Animal Ethical Committee (IAEC) of V. L. College of Pharmacy, Raichur (Karnataka). CPCSEA registration number was 557/02/c/CPCSEA and all the procedures were followed as per rules and regulations.

Preparation of extracts

Preparation of alcoholic extract

The stem powder was packed in a soxhlet apparatus and extracted with 95% alcohol for 18 h. Appearance of colourless solvent in the siphon tube was taken as the termination of extraction. The extract was then transferred into the previously weighed empty beaker and evaporated to a thick paste on the water bath, maintained at 50 oC to get al. coholic extract. The extract was finally air dried thoroughly to remove all traces of the solvent and the percentage yield was calculated [9].

Preparation of aqueous extract

About 100 g of powder was taken in a round bottom flask (2000 ml) and macerated with 500 ml of distilled water with 10 ml of chloroform (preservative) for 7 days with occasional shaking for every hour in a closed vessel. Then the marc was removed by filtering the extract and then it was concentrated on a water bath maintained at 50 oC [9].

These two extracts were stored in airtight containers in a refrigerator below 10oC. The two extracts were examined for their colour and consistency. Their percentage yield was calculated with reference to air-dried powder sample used for the extraction.

Toxicity studies

The acute toxicity of C. reflexa was determined by using albino mice of either sex (16-20 g), maintained under standard husbandry conditions. The animals were fasted for 3 h prior to the experiment and were administered with the single dose of individual extracts of C. reflexa and observed for the mortality upto 48 h study period (Short term toxicity). Based on the short-term toxicity profile, the next dose of the individual extracts was determined as per OECD guidelines No. 425. From the LD50 doses 1/20,1/10 and 1/5 doses were selected and considered as low, medium and high dose respectively [10].

Paracetamol induced hepatotoxicity model [11]

Wistar rats weighing between 150-200 g were divided into 9 groups of 6 rats in each. Group A was administered with the vehicle for 4 days and served as normal control, group B (toxicant) with paracetamol (2000 mg/kg, p. o), and group C with silymarin (25 mg/kg, p. o) which was served as standard. Animals in groups D, E, F were treated with three different doses (low, medium and high) of AESCR and groups G, H, I was treated with three different doses (low, medium and high) of AQESCR. Animals of group B, C, D, E, F, G, H and I were intoxicated with paracetamol (2000 mg/kg).

Assessment of hepatoprotective activity

On the 5th day, the animals were anaesthetized and blood was collected from the retro-orbital puncture. Serum was separated after coagulating at 37 °C for 30 min and centrifuging at 2000 rpm for 15 min, and estimated for serum glutamate oxaloacetate transaminase (SGOT), serum glutamate pyruvate transaminase (SGPT), alkaline phosphatase (ALP), serum bilirubin (SBLN), serum total protein (PRO), serum albumin (ALB), serum cholesterol (CHO) and serum triglycerides (TG). The hepatoprotective activity was confirmed through histopathological studies on liver of rats.

After collection of blood for biochemical estimation, the rats were sacrificed and the livers were carefully dissected out, cleaned of extraneous tissue, and fixed in 10% formalin for 24 h. Then the paraffin sections were prepared (automatic tissue processor, Autotechnique) and cut into sections of 5 µm thickness, using a rotary microtome. The sections were stained with Haematoxylin-Eosin dye and studied for histopathological changes [12].

Stastical analysis:

All the recorded results are expressed as mean±SEM from 6 animals. Statistical difference in mean was analyzed by using one-way ANOVA (analysis of variance) followed by Post hoc test (Dunnett’s ‘t’ test). P<0.05*, 0.01** and 0.001*** were considered as statistically significant.

RESULTS

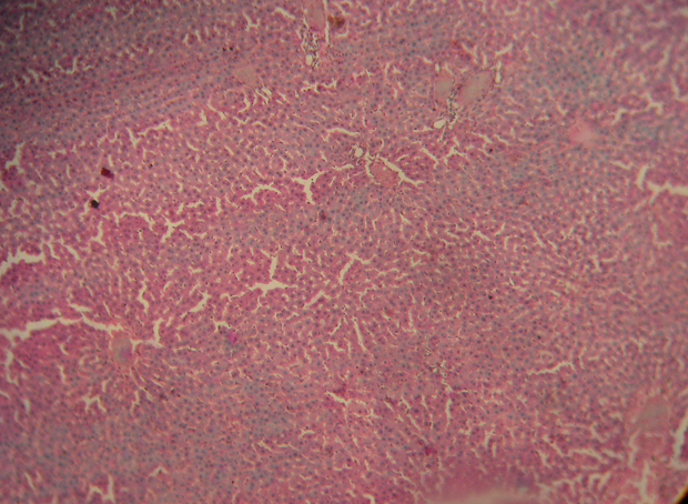
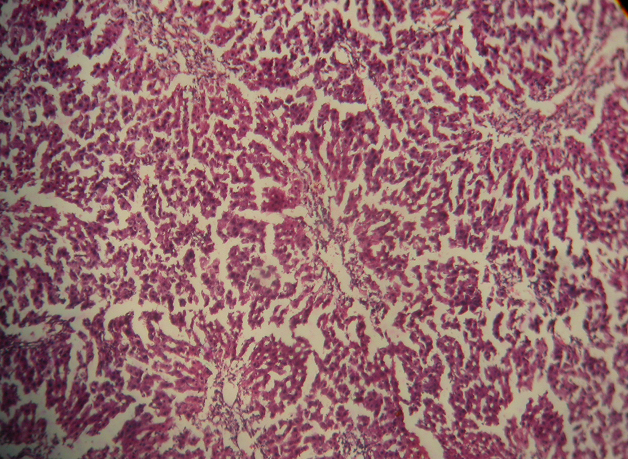
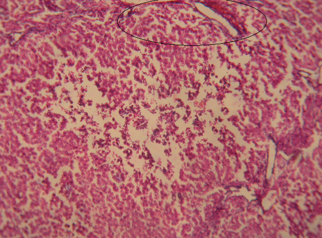
In the present study the effect of the AESCR and AQESCR on normal liver functions, was found to be non-toxic in nature. Paracetamol intoxication in normal rats elevated the levels of ALT, AST, ALP, BILD, BILT, CHO, and decreased the levels of ALB and PRO significantly, indicating acute centrilobular necrosis. When compared to toxicant control animals, AESCR and AQESCR treated groups have shown dose dependent hepatoprotective activity as TST min, physical parameters like wet liver weight (g/100 g), wet liver volume (ml/100 g) and biochemical parameters like ALT, AST, ALP, BILD, BILT, CHO and TG (U/l) levels are significantly reduced with med and high dose and similarly ALB and PRO (mg/dl) levels are significantly increased. The rats treated with AESCR and AQESCR showed a significant reduction in the biochemical parameters elevated by paracetamol (Table-1). The sections from the liver, showed minimal centrilobular necrosis and hydropic degeneration with normal lobular archeitecture of hepatocytes which confirms its hepatoprotective activity (fig. 4-9).

PCM-Paracetamol

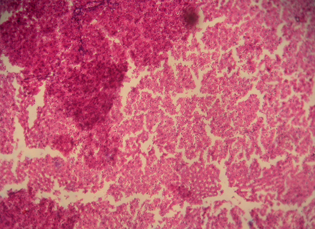
Histopathological examination of liver sections of control group (fig. 1) showed normal cellular architecture with distinct hepatic cells, sinusoidal spaces and central vein. In the liver sections of the rats intoxicated with paracetamol (fig. 2), there is disarrangement and degeneration of normal hepatic cells with intense centrilobular necrosis extending to mid-zone and sinusoidal haemorrhages and dilation.

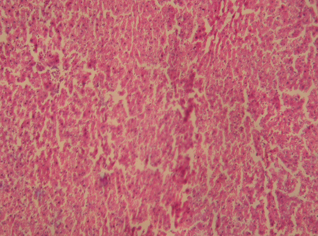
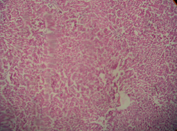
The liver sections of the rats treated with silymarin and intoxicated with paracetamol (fig. 3) and rats treated with AESCR and AQESCR (low, medium and high doses) and intoxicated with paracetamol (fig. 4-9) showed less vacuole formation, reduced sinusoidal dilation, and less disarrangement and degeneration of hepatocytes, indicating marked regenerative activity. The intensity of centrilobular necrosis was less.

DISCUSSION

Paracetamol, an analgesic and antipyretic, is assumed to be safe in recommended doses; overdoses, however, produce hepatic necrosis. Small doses are eliminated by conjugation followed by excretion, but when the conjugation enzymes are saturated, the drug is diverted to an alternative metabolic pathway, resulting in the formation of a hydroxylamine derivative by cytochrome P 450 enzyme. The hydroxylamine derivative, a reactive electrophillic agent, reacts non-enzymatically with glutathione and detoxifies.

When the hepatic reserves of glutathione depletes, the hydroxylamine reacts with macromolecules and disrupts their structure and function. Extensive liver damage by paracetamol itself decreases its rate of metabolism and other substrates for hepatic microsomal enzymes. Induction of cytochrome P 450 or depletion of hepatic glutathione is a prerequisite for paracetamol-induced toxicity [13]. The alcoholic and aqueous extracts of C. reflexa reduced the elevated levels of biochemical parameters by paracetamol.

Paracetamol-induced liver necrosis was inhibited significantly by stem extracts of C. reflexa, which confirms the protective action of the AESCR and AQESCR against experimentally induced liver damage in rats. SGOT, SGPT, ALP, BILD, BILT, CHO, TG are the most sensitive tests employed in the diagnosis of hepatic disease [14]. The elevated levels of these parameters were significantly reduced by the treatment of C. reflexa stem extracts. It can be concluded from this investigation that stem of C. reflexa possess hepatoprotective activity.

In chronic drug induced hepatotoxicity models, administration of thiopentone sodium results with an increased duration of sleeping time, as liver is the primary site for the metabolism of xenobiotics like barbiturates and functional damage to liver requires longer time to inactivate thiopentone resulting with an increased duration of action of this drug. Pretreatment with AESCR and AQESCR have decreased the thiopentone induced sleeping time as compared to toxic control indicating their protection of liver function against drug induced toxicity in rats. Liver weight and volume gets increased in toxicant control group. Where in standard and AESCR and AQESCR treated groups these were decreased which confirms the hepatoprotective activity of extracts.

Table 1: Hepatoprotective effect of different extracts of c. reflexa on paracetamol induced hepatotoxicity in rats

Groups

Treatment

mg/kg

TST min ALT U/l AST U/l ALP U/l BILD U/l BILT U/l ALB mg/dl PRO mg/dl CHO U/l

Normal

(vehicle)

10 ml/kg

57.83

±0.70

45.06

±1.69

111.08

±2.42

113.11

±2.67

0.21

±0.01

0.25

±0.02

4.57

±0.46

14.24

±1.01

134.54

±2.91

Toxicant

(PCM)

2000 mg/kg 119.33±1.67

153.80

±11.04

132.49±10.52 243.51±4.50 0.70±0.10 1.65±0.20 2.46±0.19

8.35

±0.26

232.73

±2.92

Standard

(silymarin)

25

mg/kg

71.83

±0.98**

61.32

±2.06**

122.85

±1.47**

130.14

±0.95**

0.37

±0.01**

0.54±0.03**

4.07

±0.19**

11.84±0.20**

170.88

±3.03**

AESCR

100

mg/kg

115.83±1.35ns 141.92±1.92ns 125.46±11.56ns 135.57±1.22ns 0.63±0.07ns

1.41

±0.11ns

2.28

±0.11ns

9.07±1.03ns

229.63

±1.04**

AESCR

200

mg/kg

95.33

±0.99**

84.81±1.32** 189.74±11.00* 160.25±2.05**

0.56

±0.02ns

1.11±0.07** 3.37±0.15* 10.86±0.55*

198.58

±1.95**

AESCR

400

mg/kg

82.00

±0.89**

70.66

±0.85**

143.07

±6.38**

141.53

±1.27**

0.41

±0.02**

0.70

±0.04**

3.80

±0.21**

10.86

±0.55*

183.48

±3.70**

AQESCR

100

mg/kg

113.50

±2.13*

136.89±1.47* 196.13±1.72*

132.91

±1.26*

0.60

±0.51ns

1.18

±0.02**

3.35

±0.14*

10.92

±0.22*

219.32

±2.26**

AQESCR

200

mg/kg

90.66

±1.26**

80.31±1.42** 187.88±5.29** 154.91±1.86** 0.43±0.02** 1.06±0.02** 3.81±0.08** 11.33±0.48**

192.76

±1.68**

AQESCR 400 mg/kg

79.33

±0.80**

63.11±0.36** 139.39±1.35** 138.18±2.06** 0.40±0.01** 0.62±0.02** 3.90±0.07** 11.42±0.25**

176.93

±1.33**

n = 6, Significant at P<0.05*, 0.01** and 0.001***, ns = not significant, AESCR-alcoholic extract of stem of C. reflexa, AQESCR-aqueous extract of stem of C. reflexa , TST–Thiopental sodium sleeping time.

Fig. 1: Histology of normal hepatic tissue fig. 2: PCM induced damage in hepatic tissue
Fig. 3: Effect of Silymarin on PCM induced hepatic damage Fig. 4: Effect of AESCR (Low) dose on PCM induced hepatic damage
Fig. 5: Effect of AESCR (High) dose on PCM induced hepatic damage Fig. 6: Effect of AESCR (Med) dose on PCM induced hepatic damage
Fig. 7: Effect of AQESCR (Low) dose on PCM induced hepatic damage Fig. 8: Effect of AQESCR (Med) dose on PCM induced hepatic damage

Fig. 9: Effect of AQESCR (High) dose on PCM induced hepatic damage

CONCLUSION

The preliminary phytochemical analysis of the AESCR and AQESCR revealed the presence of carbohydrates, sterols, flavonoids, glycosides, fixed oils fats, saponins and alkaloids.

From the studies, it can be concluded that AESCR and AQESCR showed a significant hepatoprotective effect against paracetamol induced hepatic damage as depicted by its protective activity on functional, physical, biochemical and histological changes in liver. The medium and higher doses of AESCR and AQESCR (200 and 400 mg/kg) treated groups showed better hepatoprotective activity when compared to standard drug silymarin (25 mg/kg p. o) treated group. It is found that the AQESCR is more potent than AESCR and that is confirmed by the functional, physical, biochemical parameters followed by comparison of histological changes in liver.

On the basis of these findings, it may be inferred that aqueous and alcoholic extract of Cuscuta reflexa has hepatoprotective activity. At present, there are no reports on an investigation to identify the active components present in aqueous and alcoholic extract of Cuscuta reflexa. Further investigations are anticipated to identify the active components and lead to their further clinical use.

ACKNOWLEDGEMENT

The authors thank the authorities of V. L College of Pharmacy, Raichur, Karnataka, India for providing necessary facilities.

CONFLICT OF INTRESTS

Declared None

REFERENCES

  1. Kurian JC. Plants that heals. 1stedn. Pune, Oriental Watchman Publishing House; 2007;2:53.
  2. Kirtikar KR, Basu BD. Indian medicinal plants. 2ndedn. Delhi, Periodical Experts Book Agency; 1999. p. 1741-2.
  3. Nadkarni KM, Nadkarni AK. Indian materia medica. 3rd edn. Bombay, Popular Prakashan; 2000. p. 419-20.
  4. Neha T, Raval UM. “Hepatoprotective and toxicological evaluation of Andrographis paniculata on severe liver damage”. Indian J Pharmacol 2000;32:288-93.
  5. Viswanath KM, Quereshi AA, Setty SR. “Hepatoprotective activity of flowers of Calotropis procera in Paracetamol induced hepatic injury in rats”. Indian J Pharm Sci 2005;44:261.
  6. Nimbakar SR, Juvekar AR, Jogalekar SN. “Hepatoprotective activity of Fumaria indica in hepatotoxicity induced by anti-tubercular drugs treatment”. Indian Drugs 2000;37(11):537-42.
  7. Muna Abid, Shivraj Gouda T, Venkat Rao N. “Hepatoprotective activity of fruit extracts of Luffa acutangula Roxb. Var. Indian Drugs 2005;40:260.
  8. Krupavaram K, Rao NV. “A Study on hepatoprotective activity of root extracts of B. diffusa”. Indian Drugs 2005;40:260.
  9. Kokate CK. Practical pharmacognosy. 4th edn. Delhi, Vallabh Prakashan; 1994. p. 110-1.
  10. OECD. Guidelines on acute oral toxicity. Environmental health and safety monograph series on testing and adjustment; 2001. p. 425.
  11. Gupta AK, Misra N. Hepatoprotective activity of aqueous extracts of Chamomile capitula in paracetamol intoxicated rats. Am J Pharmacol 2006;1(1):17-20.
  12. Galigher AE, Kozloff EN. Essentials of practical microtechnique. 2nd ed. Philadelphia: Lea and Febiger; 1971. p. 77. 
  13. Kurma, SR, Mishra SH. Effect of rhizomes of Curculigo orchioides Gaertn. on drug induced hepatotoxicity. Indian Drugs 1996;33:458.
  14. Harper HA. In: Review of physiological chemistry, Lange Medical Publishers: Los Atlos, California; 1961. p. 271.