1Plant Biochemistry Department, Division of Agriculture and Biological Researches, 2Chemistry of Natural Compounds Department, Division of Drugs and Pharmaceutical Industries, 3Therapeutic Chemistry Department, National Research Centre, 33 El-Bohouth St. (Former El-Tahrir St.), Dokki 12622, Giza, Egypt
Email: howaida_nrc@yahoo.com
Received: 28 Mar 2015 Revised and Accepted: 02 May 2015
ABSTRACT
Objective: This paper reports a comparative study based on the chemical composition, antioxidant and therapeutic effect of two Egyptian cultivars of Solanum tuberosum; Baraka (STB) and Alpha (STA) on hepatic functions and oxidative stress in alloxan (ALX)-treated rats.
Methods: The potential of cultivars as a source of natural antioxidants were explored using five in vitro assays, and the results were compared with butylated hydroxyl toluene and Trolox. The modulator role of cultivars was assessed by determining its effect on oxidative stress measured by lipid peroxide (LPO) levels, serum aminotransferases and on antioxidative enzymatic activities of glutathione transferases, malondialdehyde, nitric oxide, catalase, superoxide dismutase, and glutathione peroxidase. In addition, histological examinations of liver, kidney, pancreas and spleen were carried out to confirm the biochemical changes of the diabetic group of rats non-treated and treated with STB, STA and glibenclamide as standard drug.
Results: Our findings demonstrated variations in antioxidant activities of each cultivar. An increase in LPO, aminotransferases levels was observed in the ALX-induced diabetic rats. Administration of each cultivar for four w caused a significant reduction in LPO, serum aminotransferases levels in the ALX-induced diabetic rats. Furthermore, a significant improvement in the activities of all the investigated antioxidant enzymes was marked. In addition, the total content of phenolics, flavonoids, anthocyanins, tannins, and alkaloids were varied in each cultivar.
Conclusion: STB evidenced remarkable bioactivity compared to that exhibited by STA. Moreover, three known compounds, previously not isolated from Solanum genus, were obtained from the methylene chloride fraction of STB.
Keywords: Solanum tuberosum, Oxidative stress, Hepatic function, Kidney function, Alloxan, Antioxidant assays, Chemical composition.
INTRODUCTION
Chronic diseases represent 73 % of mortality and 60 % of global morbidity burden. There is emerging evidence that hyperglycemia, obesity, hypertension, and hyperlipidemia also contribute to national morbidity and mortality in Egypt [1]. Natural products have been long considered promising hypoglycemic agents because of their potent effects and low toxicities. With the distinctive traditional medical opinions and natural medicines mainly based on herbs, a combination of traditional and herbal treatment performed well in clinical trials and is showing a bright future in the treatment of hyperglycemia and ameliorating oxidative stress [2, 3].
Potato (Solanum tuberosum L.) is regarded in many countries as a health crop, because it contains mineral micronutrients and provides a natural source of many bioactive phytochemicals [4, 5]. The plant is widely distributed across the Mediterranean region, Europe, and South America and used for many industrial and food applications [5]. Potato was placed in the medium category of total phenolic content of many Asian vegetables [6]. The phenolic content of potatoes was between 100 and 200 mg catechol/100 g. Other varieties of phytoconstituents as mineral micronutrients, carotenoids, anthocyanins and flavonoids, present in peel powder and tubers of potato, has been reported to possess functional properties such as free-radical scavenging, hypolipidemic, and hypoglycaemic activity [7, 8]. The health-promoting effects of S. tuberosum are promising for humans and help reduce the risk of chronic diseases, including cancer, age-related neuronal degeneration, or cardiovascular diseases [9]. A study showed that the consumption of unpeeled cooked potatoes improves the lipid metabolism and antioxidant status in cholesterol-fed rats [10].
There is lacked of information regarding antioxidant related to antidiabetic activity of S. tuberosum. Thus, the present study was undertaken to provide additional information to current literature. The study designed to evaluate of the efficacy of two S. tuberosum cultivars on hepatic functions and oxidative stress in alloxan-treated rats through the assessment of biochemical markers as well as liver, spleen, pancreas, and kidney histopathological investigations were carried out. Furthermore, four in vitro assays, including a 1,1-diphenyl-2-picrylhydrazyl (DPPH) free radical-scavenging, 2,2'-azinobis-3-ethylbenzothiazoline-6-sulfonic acid (ABTS) radical cation decolorization, ferrous ion chelating, a reducing power and a metal chelating activities were performed to explore the potential of two potato cultivars were planted and collected from a private farm in Kafr El-Zayat, El-Gharbia Governorate, Egypt as a source of natural antioxidants. Chemical composition of each cultivar has been characterized to reveal the bioactive candidate compounds responsible for the observed biological activities.
MATERIALS AND METHODS
Plant material
The aerial parts (leaves and stems) of the local cultivars of Solanum tuberosum L. (Baraka and Alpha) potato cultivars were planted and collected from a private farm in Kafr El-Zayat, El-Gharbia Governorate, Egypt. They were kindly identified by Dr. S. S. El-Khanagry, Department of Flora and Phyto-Taxonomy Researches, Horticultural Research Institute, Egypt. The collected material was air-dried, reduced to powder and kept for extraction.
Chemicals
DPPH, butylated hydroxyl toluene (BHT), 2,4,6-tripyridyl-s-triazine (TPTZ), ABTS, potassium ferricyanide, Trolox, ferrozine, ferrous chloride (FeCl2) and ferric chloride (FeCl3) were purchased from Sigma Chemical Company (St. Louis, MO, USA). Folin-Ciocalteu reagent, sodium carbonate, glucose and aluminum chloride were purchased from Merck Company (Darmstadt, Germany). All chemicals used for the present in vivo studies are of analytical grade, products of Sigma, Merck and Aldrich. All kits were products of Biosystems (Alcobendas, Madrid, Spain), Sigma, Biodiagnostic Company (Cairo, Egypt). Silica gel (70–30 mesh) and Sephadex LH-20 (Pharmacia, Uppsala, Sweden) for column chromatography were used. Thin layer chromatography (TLC) plate (silica gel 60 F254) was purchased from Merck Company.
Apparatus
Proton (1H) and carbon-13 (13C) nuclear magnetic resonance (NMR) spectra were recorded on Varian Mercury 300 and 400 NMR spectrometers. Operating frequencies were 300 and 400 MHz for acquiring 1H NMR and 75 and 100 MHz for 13C NMR spectra. The NMR spectra was recorded in deuterated chloroform (CDCl3) or deuterated dimethyl sulfoxide (DMSO-d6), and chemical shifts given in δ (ppm) relative to tetramethylsilane (TMS) as internal standard. Ultraviolet (UV) spectra were measured using a Shimadzu UV 240 (P/N 204-58000) spectrophotometer (USA). Electron ionization mass spectrometry (EIMS) was carried out with a Finnigan MAT 8500 instrument (Thermo-Fisher). Melting points, (m.p.) were determined on the Electrothermal 9100 (UK) and are uncorrected.
Preparation of extracts for in vivo and in vitro studies
The aerial parts (1.5 kg) of each cultivar were shade dried, coarsely powdered and then extracted with ethanol (95 %). Each ethanol extract was filtered, and three replicates of each sample were extracted under the same conditions with the new solvent. STB and STA ethanolic extract was evaporated in vacuo at 50 °C using a vacuum rotary evaporator, yielded a greenish brown (102.5 g) and dark green (119.2 g) residue, respectively. Each residue was desalted by precipitation with excess ethanol followed by drying of the filtrate in vacuo to give 59.4 and 64.9 g, respectively. The obtained extracts were collected in air tight dark bottle separately and stored at 4 °C until time of use. Each extract was diluted in water on the d of an experiment and administered orally.
Animals
Forty Wistar male rats (6-8 weeks old, 140-180 g body weight) obtained from the Animal House Colony of the National Research Centre, Cairo, Egypt, were used in the present study. Rats were housed in plastic cages under controlled conditions (28±2 °C, 50 % humidity and 12 h light/12 h dark cycle). They were allowed free access to food and water. Animals received human care in compliance with the guidelines of the Ethical Committee of National Research Centre, Cairo, Egypt. The animals were randomly classified into five groups.
Bioassays
Dose regimens and route of administration
Each extract of STB and STA was administered orally daily, for 30 days at the dose of 200 mg/kg body weight (BW). Diabetes was induced in male Wistar albino rats by intraperitoneal administration of aqueous alloxan monohydrate (ALX, Sigma-Aldrich Company) at a single dose of 150 mg/kg BW [11]. It was dissolved in 0.9 % sodium chloride (NaCl) solution, freshly prepared, and injected intraperitoneally (i. p.) to rats that was fasted for one night. In the non-diabetic group, 0.9 % NaCl solution at the same volume was i. p. injected. After ALX application, the pancreas secretes insulin at high levels. As a consequence, fatal hypoglycemia can occur and to prevent this adverse effect, 5 ml 20 % glucose solution was injected intraperitoneally 4-6 h after ALX.
Experimental design
Group 1 served as normal control and received normal diet and water. Group 2 is the diabetic rats group. Groups 3 and 4 were, separately, orally received normal diet and the STB and STA extract, respectively [3 mg/(kg BW d)]. Group 5 was the diabetic group orally received the antihyperglycemic reference drug glibenclamide at a dose of 10 mg/kg BW (three times/w) for 30 d.
Biochemical studies
Measurement of glucose level
Seventy two h after ALX treatment, development of diabetes was confirmed by measuring blood-glucose levels. Rats with blood-glucose levels of 240 mg/dl or higher they were considered to be a diabetic. Plasma glucose levels in control animals remained normal for the duration of the study. After one, two, three and four w of treatment with each cultivar and drug, blood-glucose level was determined using glucometer (Accu-Check Active, Roche).
Serum samples
Blood was collected from each animal in a clean and dry test tube, by puncture of the sublingual vein, left 10 min to clot and centrifuged at 3000 rpm for serum separation.
Liver function enzymes
Profiles of fasting blood-glucose levels were established using commercially available glucose kits based on the glucose oxidase method [12]. Total protein reacts with Bradford's reagent to give a blue complex, which is measured colorimetrically at a wavelength of 595 nm [13]. Liver function tests of aminotransferases [14]; aspartate aminotransferase (AST), alanine aminotransferase (ALT), and alkaline phosphatase (ALP) were conducted using colorimetric diagnostic kits.
Kidney function enzymes
Serum urea and creatinine level were carried out using diagnostic kits (Diamond International Kits, Cairo, Egypt) and their concentration was measured as mg/dl.
Antioxidant status parameters (in vivo)
The antioxidant status of serum was assessed by determination of glutathione (GSH) using pithiobis-2-nitrobenzoic acid in the phosphate buffer [15]. The developed colour was read at 412 nm. Lipid peroxide (LPO) was determined as malondialdehyde (MDA) and its concentration was calculated using the extinction coefficient value 1.56<105M-1 cm-1 and read colorimetrically at 535 nm [16]. Nitric oxide (NO) was determined by the method of Moshage et al., [17]. Promega's Griess reagent system is based on the chemical reaction between sulfanilamide and N-1-naphthyl ethylene diamine dihydrochloride under acidic phosphoric acid condition to give coloured azo-compound which can be measured colorimetrically at wavelength 540 nm. Catalase (CAT) activity was assayed spectrophotometrically following up the decrease in absorbance at 230 nm using the molar extinction coefficient of H2O2 of 62.4 [18]. Superoxide dismutase (SOD) was estimated [19] where the increase of NADH oxidation was measured at 560 nm using its molar extinction coefficient 6.22 × 103 M-1 cm-1. Glutathione peroxidase (GPx) was determined [20] by the indirect measure of the activity of c-GPx assay. Oxidized glutathione, produced upon reduction of organic peroxide by c-GPx, and is recycled to its reduced state by the enzyme glutathione reductase, where nicotinamide adenine dinucleotide phosphate (NADP+) obtained by the oxidation of NADPH is accompanied by a decrease in absorbance at 340 nm.
Histopathological analysis
Animals were sacrificed and liver, pancreas, kidney and spleen were removed, washed with cold saline and preserved in 10 % formalin in the buffered form. Blocks from tissues were routinely processed and imgded in paraffin. Thin sections were cut using rotary microtome and stained with hematoxylin/eosin (H&E) for histopathological evaluation [21].
Statistical analysis
The results of biochemical analysis were analyzed using the Statistical Package for Social Sciences (SPSS for windows). Comparisons were made between experimental groups using one-way analysis of variance (ANOVA) followed by Co-stat computer program. Values of less than 0.05 were regarded as statistically significant.
In vitro antioxidants activities of STB and STA cultivar extracts
DPPH free-radical scavenging assay
The free-radical scavenging activity using DPPH reagent was determined according to Brand-Williams et al., [22]. The extracts of STB and STA were soluble with 85:15 v/v methanol: water. To 0.5 ml of the extract sample 1.0 ml of freshly prepared ethanolic DPPH solution (20 µg/ml-1) was added and stirred. The decolorizing process was recorded after 5 min of reaction at 517 nm and compared with a blank control. BHT was used as a positive control. All samples were analyzed in triplicate. The ability to scavenge the DPPH radical was calculated using the following equation:
DPPH scavenging activity (%) = [(control absorbanc − sample absorbance) ÷ control absorbance] × 100
Reducing power assay
The method of Oyaizu [23] was used to assess the reducing power of each cultivar. Each cultivar extract (0.5 ml) was added to phosphate buffer (2.5 ml, 0.2 M, pH 6.6) and 1 % potassium ferricyanide (2.5 ml). The mixture was incubated at 50 °C for 20 min. Aliquots of trichloroacetic acid (2.5 ml, 10 %) were added to the mixture, which was then centrifuged at 1000 rpm for 10 min. The upper layer of solution (2.5 ml) was mixed with distilled water (2.5 ml) and a freshly prepared FeCl3 solution (0.5 ml 0.1 %).
The intensity of the blue-green colour was measured at 700 nm. In this assay, the yellow colour of the test solution changes to be green depending on the reducing power of test specimen. The presence of reductants in the solution causes the reduction of the ferric/ferricyanide complex to the ferrous form. Therefore, ferrous can be monitored by the measurement of the absorbance at 700 nm. Increased absorbance of their action mixture indicated increased reducing power.
Metal chelating activity assay
The chelation of ferrous ions by the extract of each cultivar of S. tuberosum was estimated according to the method of Dinis et al., [24]. Each cultivar extract (0.5 ml) was added to a solution of 50 µl FeCl2 (2 mM). The reaction was initiated by the addition of 200 µl ferrozine (5 mM), and then the mixture was shaken vigorously and left standing at room temperature for 10 min. After equilibrium had been reached, absorbance of the solution was measured spectrophotometrically at 562 nm. The following formula was used to calculate the percentage of inhibition of ferrozine-ferrous complex of each sample:
inhibition % = [(Abs control − Abs sample)÷Abs control] × 100
Where, Abs control the absorbance reading of control and Abs sample is the absorbance reading of the sample.
ABTS radical scavenging activity
ABTS radical scavenging activity was measured by the ABTS cation decolorization assay as described by Re et al., [25] with some modifications. The stock solutions included 7 mM ABTS solutions and 2.4 mM potassium persulfate solution. The working solution was then prepared by mixing the two stock solutions in equal quantities and allowing them to react for 12 h at room temperature in the dark. The solution was then diluted by mixing 1 ml ABTS radical solution with 60 ml methanol to obtain an absorbance of 0.706±0.001 units at 734 nm using the spectrophotometer. ABTS radical solution was freshly prepared for each assay. The extract of each cultivar (0.5 ml) was allowed to react with 2.5 ml of the ABTS reagent and the absorbance were taken at 734 nm after 7 min using the spectrophotometer. The ABTS radical cation decolorization assay capacity of the extract and percentage inhibition calculated as ABTS radical scavenging activity.
ABTS (%) = [(Abs. control − Abs. sample)] ÷ (Abs. control)] × 100
Where Abs. controls the absorbance of ABTS radical cation methanol; Abs. sample is the absorbance of ABTS radical cation sample extract.
Antioxidant capacity FRAP assay
The FRAP assay was done according to Benzie and Strain [26] with some modifications. The stock solutions included 300 mM acetate buffer, pH 3.6, 10 mM of TPTZ (2,4,6-tripyridyl-s-triazine) solution in 40 mM HCl, and 20 mM FeCl3·6H2O solution. The fresh working solution was prepared by mixing 25 ml acetate buffer, 2.5 ml TPTZ solution, and 2.5 ml FeCl3·6H2O solution and then warmed at 37 °C before using. The extracts of each cultivar (500 µl) were allowed to react with 2500 µl of the FRAP solution for 30 min in the dark condition. Readings of the coloured product [ferrous tripyridyltriazine complex] were then taken at 593 nm. Results are expressed in µmol Trolox/100 g dry matter. Additional dilution was needed if the FRAP value measured was over the linear range of the standard curve.
Chemical composition of STB and STA cultivars
Determination of total polyphenol content
The total polyphenol content of ethanol extract of each STA and STB cultivar aerial parts were determined according to the method described by Makkar et al., [27]. Aliquots of the extract were taken in a test tube and made up to the volume of 1 ml with distilled water. Then 0.5 ml of Folin-Ciocalteu reagent (1:1 with water) and 2.5 ml of sodium carbonate solution (20 %) were added sequentially in each tube. Soon after vortexing the reaction mixture, the tubes were placed in the dark for 40 min and the absorbance was recorded at 725 nm against the reagent blank. Total polyphenol contents were expressed as mg gallic acid equivalents (GAE)/g dry matter (D. W.), calculated from a standard curve prepared with 0-100 mg/l gallic acid.
Determination of total flavonoid content
Total flavonoid was estimated using the method of Ordonez et al., [28]. To 0.5 ml of STB and STA, 0.5 ml of 2 % AlCl3 ethanol solution was added. After 1 h at room temperature, filtered, then the absorbance was measured at 420 nm. Total flavonoid content was expressed as mg quercetin equivalents (QE)/g D. W., calculated from a standard curve prepared with 0-500 µg/quercetin.
Determination of total tannin content
Total tannin in each extract was determined by a modification to the Folin-Ciocalteu method using polyvinyl polypyrrolidone (PVPP) to separate tannin phenols from non-tannin phenols [29]. About 100 mg of PVPP was added to 1 ml sample extracts diluted with 1 ml water and left 15 min at 4 °C. After centrifugation, PVPP forms a precipitate with tannins, and the supernatant has only simple phenols. Simple phenols were determined using the Folin-Ciocalteu reagent as previously mentioned. The difference between total and simple phenol values represents the total tannin content, expressed as mg GAE g D. W.
Determination of total anthocyanin content
Anthocyanin was extracted overnight from STB and STA with ethanol and 1 % HCl (85:15) at 4 °C. The optical density of the extract solution was measured at 535 nm. The total anthocyanins concentrations were calculated according to Francis [30] using the extinction coefficient:
![]()
Determination of total alkaloid content
Alkaloid was extracted according to Lee and Waller [31] by homogenization of 2 g of the STB and STA cultivar dry aerial parts with 100 ml chloroform. The residue was further extracted with 75 % methanol until the residue was free of soluble pigments. The chloroform and methanol-water extracts were combined and concentrated under reduced pressure to about 25 ml, cooled and the aqueous solution decanted. The residue was rinsed twice with water. The aqueous fraction was evaporated to dryness. The residue was then extracted with hot methanol. The collected methanol extracts were concentrated and used for calorimetrically estimation of alkaloids using calibration curve.
Investigation of the methylene chloride fraction extract
Extraction and isolation
The air-dried and powdered aerial parts (leaves and stems) of STB cultivar (0.5 kg) were defatted with light petroleum (60-80 °C). The defatted residue was exhaustively extracted with ethanol (95 %). The ethanolic extract was evaporated in vacuo at 50 °C to yield 39.2 g. The residue was desalted by precipitation with excess ethanol followed by drying of the filtrate in vacuo to give 28.9 g. Aliquot of the residue (5 g) was then partitioned between methylene chloride and water. The methylene chloride layer was dried and evaporated to dryness. The residue (2.2 g) was subjected to column chromatography on silica gel G (Merck, Darmstadt, Germany) with a step gradient (toluene/ethyl acetate, 100:0~0:100), and fractions were monitored by TLC using the solvent systems benzene/ethyl acetate (7:3, v/v) and methylene chloride/methanol (9:1, v/v) and spraying with anisaldehyde-sulfuric acid (AS, 0.5 ml p-anisaldehyde, 85 ml methanol, 10 ml glacial acetic acid, 5 ml concentrated sulfuric acid heated at 100 °C) or with aluminium chloride (AlCl3) [1 g AlCl3 in 100 ml ethanol]. Three compounds were isolated and were separately purified by Sephadex LH-20 using methanol as an eluent and they were re-crystallized from methanol. The compounds were subjected to physical, chemical, chromatographic, and spectral analyses.
Compound 1: colourless crystals; brown (spraying with AS), m. p. 114-116 °C; C8H8O4; EI/MS m/z (%): 167 ([M-H]+, 28.15), 149 ([M-H2O]+, 72.76), 126 ([M-CH2CO]+, 85.50);1H NMR, 400 MHz, CDCl3: δ 6.24 (1H, d, J= 2.1, H-4), 7.23 (1H, d, J= 2.1, H-6), 9.62 (2H, s, H-7), 4.78 (1H, s, H-8).13C NMR (100 MHz, CDCl3): δ ppm 160.38 (C-2), 109.88 (C-4), 152.34 (C-5), 122.36 (C-6), 57.58 (C-8), 177.52 (CHO).
Compound 2: Yellow powder, dull yellow colour (spraying with AlCl3); 225-227 °C; C16H11O6; Rf: 0.65 (toluene/ethyl acetate, 6:4 v/v), 0.54 (chloroform/methanol, 9:1 v/v); UV spectral data: λmax, nm (methanol): 274, 366; (+NaOMe): 279, 400; (+AlCl3): 274, 306 sh, 350, 422; (+AlCl3/HCl): 274, 306 sh, 350, 427; (+NaOAc): 277, 362; (+NaOAc/H3BO3): 277, 362; 1H NMR (DMSO-d6, 300 MHz): δ ppm 12.42 (1H, s, OH-5), 8.01 (2H, d, J=8.7 Hz, H-2'/6'), 6.94 (2H, d, J=8.7 Hz, H-3'/5'), 6.47 (1H, d, J=2.4 Hz, H-8), 6.21 (1H, d, J=2.1 Hz, H-6), 3.50 (3H, s, OCH3-7);13C NMR (DMSO-d6, 75 MHz): δ ppm 175.8 (C-4), 163.8 (C-7), 159.2 (C-5), 158.9 (C-4'), 156.2 (C-9), 147.0 (C-2), 135.4 (C-3), 129.4 (C-2'/6'), 121.5 (C-1'), 115.3 (C-3'/5'), 105.9 (C-10), 98.2 (C-6), 93.5 (C-8), 56.8 (OCH3-7).
Compound 3: Pale yellow powder; black colour (spraying with AS); Rf: 0.59 (dichloromethane/methanol, 8:2 v/v) and 0.61 (ethyl acetate/methanol/acetic acid, 18: 1.5: 0.5 v/v/v); EI/MS: m/z 105 (M+-CH2OH, 100 %).
RESULTS
STB cultivar reduced the elevation of blood sugar levels with a different percentage (table 1) of+333.68,+169.5,+74.7,+12.6 % at the first, second, third and fourth w, respectively with respect to+526 % of ALX-treated. STA cultivar decreased blood sugar levels after+492 % of ALX elevations with+507,+221, 168.4 and+94.7 % at the first, second, third and fourth w respectively. While glibenclamide drug group reduced with+ 284,+189.5,+157.89 % and-15.79 % at a different time.
Table 1: Fasting blood sugar concentration in normal and diabetic rats treated with STB and STA cultivar extract and glibenclamide drug
Duration |
Fasting blood sugar concentration |
||
STB extract treated diabetic rats |
STA extract treated diabetic rats |
Glibenclamide drug treated diabetic rats |
|
Control |
95±9.6c |
95±9.6c |
95±9.6c |
72 h |
595±29.8a |
563±53.0ab |
593±149.9b |
1 w |
412±47.6a |
481.87±109.7a |
270±66.5b |
2 w |
256±38.1bc |
210±72.8a |
180±51.4c |
3 w |
166±24.6ab |
160±54.1ab |
150±47.8b |
The data are expressed in mean±S. E. M., n = 6 in each group.
Table 2 revealed the elevation in all liver function enzymes in ALX group. The three groups treated with STB, STA extracts and glibenclamide drug decreased these elevations with different percentage change. AST was+58,+43.6 and 54.5 % with respect to control and ALT was+26.44,+32.06 and+24.82 %. ALP was+27.07,+21.47 and+27 % while GGT was-0.19,+12.56 and+9.76 % respectively. Table 3 showed that urea reduced with-5.85,-30 and-32.5 %, creatinine decreased with-7,-4 and–4 %, respectively after elevated with ALX while total protein elevated with+7.98,+3.88 and+5.39 % after reduction-30 % with ALX.
Table 2: Effect of STA and STB cultivar extract on liver function enzymes in normal and diabetic rats
| Parameters | Normal control | Diabetic group | STB extract treated diabetic rats | STA extract treated diabetic rats |
Glibenclamide drug treated diabetic rats |
| Aspartate aminotransferase (AST) | 16.09±1.60c | 39.97±4.00a | 25.44±2.00c | 23.11±3.89c | 24.86±3.37c |
| Alanine aminotransferase (ALT) | 32.56±2.02b | 54.31±5.29a | 41.17±8.38ab | 43.00±5.09ab | 40.64±7.72ab |
| Alkaline phosphatase (ALP) | 12.34±2.41b | 24.36±2.97a | 15.68±5.82b | 14.99±4.67b | 15.68±2.07b |
| Gamma glutamyl transferase (GGT) | 16.08±1.50c | 28.59±4.48b | 16.05±2.49c | 18.10±3.12c | 17.65±5.46c |
Data are means±SD of eight rats in each group. Statistical analysis was carried out using Costat computer program coupled with post-hoc least significance difference (LSD). Data are expressed as Unit/l. unshared letters indicate significant differences at P<0.05.
Table 3: Effect of STB and STA extracts on kidney function tests in normal and diabetic rats
| Parameters | Normal control | Diabetic group | STB extract treated diabetic rats | STA extract treated diabetic rats |
Glibenclamide drug treated diabetic rats |
| Urea | 40.00±0.51a | 90.83±4.63b | 37.66±1.45a | 28.00±0.57a | 27.00±1.37a |
| Creatinine | 1.00±0.05a | 1.4±0.11b | 0.93±0.08a | 0.96±0.01a | 0.96±0.03a |
Data are means±SD of eight rats in each group. Data are expressed as (mg/dl). Unshared letters indicate significant differences at P<0.05.
The percentage of GST, SOD and GPx decreased by ALX treated with-28,-47.15 and-58.14 %, respectively after treated with STB, STA extracts and glibenclamide drug. These reductions enhanced with different percentages change. Elevation in MAD, NO and CAT levels as a result of ALX with+92.2,+321.5 and+13.95 %, respectively which reduced with unlike percentages in all treated groups (table 4).
Table 4: Effect of STB and STA cultivar extract of on hepatic antioxidant levels in normal and diabetic rats
| Parameters | Normal control | Diabetic group | STB extract treated diabetic rats | STA extract treated diabetic rats |
Glibenclamide drug treated diabetic rats |
| Glutathione transferases (GST) | 799.65±69.23a | 275.10±49.12d | 504.26±59.49c | 534.26±44.19c | 599.16±128.39b |
| Malondialdehyde (MDA) | 0.77±0.11b | 1.48±0.25a | 0. 79±0.04b | 0. 78±0.02b | 0.73±0.03b |
| Nitric oxide (NO) | 12.93±2.54c | 54.50±7.12f | 14.40±2.10c | 15.50±1.92c | 19.54±2.12c |
| Catalase (CAT) | 11.40±1.19b | 12.99±0.18c | 11.70±0.68b | 11.00±0.55b | 11.65±0.18b |
| Superoxide dismutase (SOD) | 15.95±2.69a | 8.430±0.96b | 13.31±2.53a | 12.10±2.23b | 9.15±2.70b |
| Glutathione peroxidase (GPx) | 1.29±0.016a | 0.54±0.03b | 1.09±0.01a | 1.14±0.02a | 0.98±0.04a |
Data are means±SD of eight rats in each group. Data are expressed as µg/mg protein for glutathione, µmol/mg protein for lipid peroxides, superoxide dismutase and catalase. Statistical analysis is carried out using SPSS computer program. The analysis of variance is carried out using Costat computer program coupled with post-hoc least significance difference (LSD). Unshared letters indicate significant differences at P<0.05.
The histopathological examination of four organs was carried out to confirm the biochemical changes of the diabetic group of rats non-treated and treated with STB, STA and glibenclamide as standard drug. Fig. 1 is a photomicrograph of liver sections (H&E) stain. 1A is a section of the control sample. 1B is a section of ALX (150 mg/kg, i. p) in rat showing congestion in the sinusoids with fatty change in the hepatocytes (). x 200. 1C section of ALX group treated with STB cultivar showed unremarkable changes with normal architecture and appearance of the central vein with a radiating pattern of cell plates in rats treated with which were normal in shape and size as a result of treatment with STB cultivar. 1D section of ALX-treated with STA cultivar showing that sinusoid is not dilated, normal portal triad distribution with no inflammatory cells. 1E section of ALX treated with glibenclamide as standard drug showed normal most hepatic cells with minor lesions and congestion still seen.

Fig. 1: Liver sections (H&E) stain. A section showing the normal hepatic cells of healthy control rats, x200. B section of ALX (150 mg/kg, i. p) showing congestion in the hepatocytes (arrow) x200. C sections of ALX group treated STB cultivar showing normal portal triad distribution x200, with other section with higher magnification x400. D sections of ALX group treated with STA cultivar showing normal hepatic cells with normal sinusoid x100 stain other section with higher magnification x200. E section of ALX group given glibenclamide as drug (
)
Fig. 2 is a photomicrograph of kidney sections (H&E) stain. 6A section showed normal hepatic cells of healthy control rats. 2B section of ALX group (150 mg/kg, i. p) showed increases in the severity of mineralization and interstitial fibrosis of the kidney cells, major lesions were observed in the cortex x 200. 2C section of ALX group treated with STB extract, minor renal tubular damages are seen. 2D section of ALX group treated with STA extract revealed enhancement in glomeruli and tubule, glomerulus showing normal cellularity despite some tubular dilatation. 2E section of ALX group treated with glibenclamide as standard drug showed enhancement in most cells of the kidney.

Fig. 2: Kidney sections (H&E) stain. A section showing normal hepatic cells of healthy control rats x200. B section of ALX group (150 mg/kg, i. p) x 200. C section of ALX group treated with STB cultivar, x 200, with other section with higher magnification x400. D section of ALX group treated with STA cultivar x200, other section with higher magnification x400. E section of ALX group treated with glibenclamide as drug
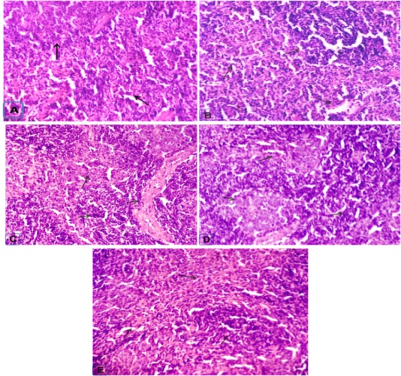
Fig. 3 is a photomicrograph of pancreas sections. 3A section of pancreatic tissue of normal control arrayed showed normal distribution of islet of Langerhans within the exocrine part, is lets were regular with well-defined boundaries. 3B section of ALX-diabetic showed shrinkage of islets Langerhans in size, completely destroyed islets leaving empty spaces. 3C, 3D are pancreatic sections from diabetic rats after treatment with STB and STA extracts revealed that pancreatic islets were parallel to a normal pancreas. 3E section of ALX group treated with glibenclamide as drug showed the islets of Langerhans with well-organized, granulated cells.
Fig. 4 is a photomicrograph of spleen sections. 4A section of the control group of rat showed normal red pulp and white pulp and marginal zone is distinct. 4B is a section of diabetic rat showed vacuolated red pulp and white pulp. The contours of the white pulp was lost and appeared morphological irregular when compared to the control group. 4C is a section of diabetic rats treated with STB extract show restoration in the marginal zone.
White pulp showed restoration in nuclear material. Less restoration was observed in red pulp. 4D is a section of diabetic rats treated with STA extract show more restoration in the marginal zone. White pulp was also restored in their structure. Restorations in nuclei and cytoplasmic material of red pulp were observed with few vacuolated spaces. 4E section of diabetic rats treated with glibenclamide as drug showed less restoration.

Fig. 3: Pancreas sections (H&E) stain. A section showing the normal pancreatic cells of healthy control rats x200. B section of ALX group (150 mg/kg, i. p). C section of ALX group treated with STB cultivar. D section of ALX group treated with STA cultivar. E section of ALX group treated with glibenclamide as drug
Results in fig. 5A indicated that at a concentration of 1 mg/ml, DPPH scavenging activity of the ethanol aerial parts extract of the STB cultivar of S. tuberosum reached to 59.82 % and 29.09 % for STA, this may be attributed to the differences in the total polyphenol and flavonoid contents, while at the same concentration DPPH radical scavenging activity of BHT recorded 90.97 %. The reducing power assay is used to test the reducing capability of two cultivars S. tuberosum L aerial parts extract to reduce the ferric (Fe3+) complex to their ferrous form (Fe2+). The reducing power of the extracts was determined through their absorbance at 700 nm. Increased absorbance of their reaction mixture indicated increased reducing power. As shown in fig. 5B, each cultivar extract showed good reducing power. The STB cultivar, however contains overall higher reducing activity (1.28) which was as near as to the standard compound BHT (1.36) compared to the STA cultivar (0.764) at concentration 1 mg/ml. The differences in the reducing power might be contributed by the phenolic compounds content in the two cultivars

Fig. 4: Spleen sections (H&E) stain. A section showing the normal cells of healthy control rats x 200. B Section of ALX group (150 mg/kg, i. p). C section of ALX group treated with STB cultivar. D section of ALX group treated with STA cultivar. E section of ALX group treated with glibenclamide as drug
Metal chelating activity (fig. 5C) was 32.35 % and 28.04 % for STB and STA cultivar, respectively. STB, STA cultivars of S. tuberosum L. aerial parts extract were fast and effective scavengers of the ABTS radical (fig. 5D) and this activity were comparable to that of BHT. At 1 mg/ml, the percentage inhibition was 79.43, 74.71 and 85.43 % for STB, STA cultivar of S. tuberosum L., and BHT, respectively. FRAP activity of STB and STA extracts is given in fig. 5E as µmol Trolox/100 g D. W. The values obtained by FRAP assay were 2271 and 1828 μmol Trolox/100 g D. W. for STB and STA cultivar, respectively.





Fig. 5: Antioxidant activity of STB and STA cultivar of S. tuberosum aerial parts extract using different antioxidant assays: A) Scavenging ability on DPPH radical, B) Reducing power, C) Metal chelating activity, D) Scavenging ability on ABTS radicals, E) Antioxidant capacity FRAP assay. Data are means±standard deviation of triplicate experiments
From the observed results of in vitro antioxidant assays, the polyphenol content in the extracts of the local potato cultivars was found to be 9.07±0.285, and 7.69±0.554 mg/g gallic for STB, and STA cultivar, respectively (table 5). Aerial parts extract of STB cultivar was found to contain higher flavonoids value (4.42±0.48 mg/g quercetin) compared to the STA cultivar extract (1.92±0.165 mg/g quercetin). On the other hand, the value of the tannins and alkaloids content was nearly similar in the two cultivars. The STB cultivar extract contains anthocyanins (1.72 mg/100 g F. W.) which were approximately absent in the STA cultivar extract. The results prove the Importance of phenolic antioxidant compounds in the extracts and behaviour of the show that also contribute significantly to total antioxidant capacity reducing agents (free-radical terminators).
Table 5: Total content of secondary metabolites in STB and STA cultivar extract of Solanum tuberosum (L.)
| Cultivar | Total polyphenol (mg GAE/g D. W.) |
Total flavonoid (mg QE/g D. W.) | Total anthocyanin (mg/100g F. W.) |
Total tannin (mg/g D. W.) |
Total alkaloid (mg/g) |
| STB | 9.07±0.285 | 4.42±0.48 | 1.72±0.117 | 0.986±0.065 | 1.42±0.196 |
| STA | 7.69±0.554 | 1.92±0.165 | ND | 0.703±0.061 | 1.86±0.280 |
GAE, Gallic acid equivalent; D. W, Dry weight; QE, Quercetin equivalent; F. W., Fresh weight; *Each value represents the mean of 3 replicates (mean±SD). ND, not detected.
In the present work, STB cultivar was thus selected for isolation of its bioactive compounds. Three bioactive compounds; 2, 5-dihydroxy-3-hydroxymethyl-benzaldehyde 1, rhamnocitrin 2 and 2-methyl erythritol 3 were identified in the methylene chloride fraction extract (fig. 6).
Fig. 6: Chemical structures of the isolated compounds from STB cultivar of S. tuberosum L.: 2,5-dihydroxy-3-hydroxymethyl-benzaldehyde (1), rhamnocitrin (2), and 2-methyl erythritol (3).
DISCUSSION
Potato (S. tuberosum) plants are herbaceous perennials plant that its aerial parts are used as vegetables and animal feed [32]. Potato cultivars appear in a variety of colours, shapes, and sizes and the local importance of it is extremely variable and rapidly changing [33]. Many people are not aware of potato health benefits. In contrast to their belief, potato similar to legumes and has a low-fat and low caloric [32].
Studies have been demonstrated that many naturally-occurring species of Solanum possess notable activity as lipid peroxidation inhibitors and radical scavengers [5, 8]. There have been no studies carried out to explore the potential benefits of the local cultivars STB and STA of S. tuberosum, in managing hyperglycemia and counteract the oxidative stress in diabetes or the antioxidant properties.
Here the present work reports the effect of supplementation with these cultivars extract on the management of the activity of alloxan-induced diabetes and on counteracting the complications occurred due to oxidative stress in rat. Also, the in vitro antioxidant study using five different assays was carried out.
Diabetes mellitus is a major disease associated with disturbances of in carbohydrate, fat and protein metabolism, affecting nearly 10 % of the population [2, 34]. ALX is usually used to induce diabetes mellitus in research used animal through its toxic effects on pancreatic β-cells. The generation of ROS causing oxidative damage is associated with the cytotoxic action of ALX [35].
Oxidative stress is postulated playing an important role in chronic complications of diabetes and be associated with increased lipid peroxidation [36]. The search for a cure for diabetes mellitus continues along with traditional and alternative medicine [3, 37]. Since oral hypoglycemic agents cause side effects, there is a growing interest in herbal remedies in the treatment of this disease [34, 37]. The search for safer, specific and effective hypoglycemic agents from available traditional medicinal plants offered potentials for discovery of new antidiabetic drugs. Many herbal supplements have been used in the treatment of diabetes, but the scientific evidence to support their effectiveness has only been investigated for a few. Traditional healers claimed cure capabilities by the use of some medical plants for diabetes treatment. Potato has been effectively used in herbal medicine as it is one of the plants in which many claims were made [5, 8].
Plant extracts containing low molecular mass compounds have been successively used in phytotherapy since ancient times, as ROS are involved in several diseases, research regarding the antioxidant potential of medicinal plants [8]. ROS and free radicals contribute to the occurrence of diabetes, arthritis, cirrhosis, cancer, aging, and other diseases.
Our study showed that the aminotransferases (AST and ALT) levels were significantly increased in the liver of ALX-treated animals, Serum ALT, AST and ALP levels were determined to evaluate the hepatic functions, The increase in aminotransferases level may be due to the cellular damage in the liver caused by of ALX-induced diabetes [38].
The prolonged hyperglycemia accompanying diabetes causes tissue damage, which results in degenerative complications in many organs including the kidney, heart, muscles, eye and many other organs [39]. Histological examinations of liver, kidney, pancreas and spleen and biochemical changes of the diabetic group of rats were remarkably reduced in rats treated with treated with STB and STA cultivar extracts revealed many alterations include congestion of blood vessels, leucocytic infiltrations and fatty degeneration of the liver, enhanced renal tubular damages in kidney, reverse most alterations of these histological in the Pancreas and spleen. STB and STA extracts had anti-hyperglycemic and hypoglycemic effects in alloxan-diabetic rats.
In the current work, quantitative determination of secondary metabolites of STB cultivar showed the presence of wide arrays of plant derived active principles, among these polyphenol, flavonoids, anthocyanins, tannins, and alkaloids. These active principles have demonstrated activity including treatment of hyperglycemia and hyperlipidemia [34, 36, 40]. This cultivar extracts may be suggested as a new potential source of natural antioxidant with good hypoglycemic activity and ameliorates oxidative stress in ALX-treated rats. The activities may be attributed to the presence of the wide array of biologically active ingredients, quantitatively detected in the current study.
The hypolipidemic and hyperglycaemic activities of these phenolic compounds are likely due to their radical-scavenging, antioxidant, and antihepatotoxic properties [2, 34].
The obtained results clearly indicate the role of oxidative stress in the induction of diabetes, and that the therapeutic effect of STB cultivar could be used throughout the drug discovery development. The effect of polyphenol-containing antioxidants on oxidative stress and lipid peroxidation in type 2 diabetes mellitus without complications were reported [36].
Appropriate growing conditions for the enhancement of natural colorant and antioxidant yields in purple-and red-flesh potatoes for the nutraceutical and food industry. Oxidative stress plays a vital role in diabetic complications. In the present work, involvement of free radicals in progression of disease and protective effects of STB and STA have been examined. Administration of STB and STA for 30 d showed significant antihyerglyceamic, antihyperlipidemic and antioxidant activities in ALX-induced diabetic rats. In diabetes, hyperglycaemia generates reactive oxygen species (ROS) which in turn cause lipid peroxidation and membrane damage and thus, plays an important role in the production of secondary complications in diabetes mellitus such as kidney, eye, blood vessel, and nerve damage [36, 41].
Antioxidant extracted of plants is useful in preventing these degenerative diseases [42, 43]. Antioxidants have been shown to prevent the destruction of β-cells by inhibiting the peroxidation chain reaction and thus they may provide protection against the development of diabetes [40, 43].
In the current study, variable bioactive compounds, e. g. polyphenol, flavonoids, and tannins were detected in the plant cultivars under investigation. These compounds may prevent diabetes induced ROS formation [34, 43].
Metal ions play an important role as catalysts of oxidative processes, leading toward the formation of hydroxyl radicals and hydroperoxide decomposition reactions via Fenton's chemistry [44].
The FRAP test was used to measure the total antioxidant capacity of S. tuberosum L extract. Method is based on electron transfer and is regarded as accurate indicators of total antioxidant power, since total reducing power is defined as the sum of the reducing powers of the individual compounds contained in a particular sample [40, 42].
In recent years, research on relationships between antioxidants and prevention of non-communicable disease, such as diabetes has been increased [10, 36, 40].
Many experiments revealed that the antioxidant activity of several plant extracts was related with the variation in secondary metabolites, especially phenolic compounds, e. g., flavonoids and tannins and micronutrients as vitamins. Potato contains on average 20 mg per 100 g fresh weight of vitamin C, which may account for up to 13 % of the total antioxidant capacity.
The antioxidant capacity also depends on several other factors, including genetics, environmental conditions, production techniques used, date of harvest and post harvest storage conditions [5, 42].
In the present work, total polyphenol varied among the STB and STA cultivars of S. tuberosum. This was in parallel with a study reported the significant difference among cultivars may be attributed to genotypes and harvest location, which influence the accumulation of phenolic compounds by synthesizing different quantities and/or types of phenolics [42]. Some cultivars may contain two-fold higher concentrations than the others.
Our findings demonstrated variations in antioxidant activities of each cultivar, which was less effective than those of antioxidant standards. STB cultivar of S. tuberosum exhibited relatively higher antioxidant activity than STA. Results showed that the antioxidant activity was directly related to the total amount of polyphenol and flavonoids found in potato extracts [40, 42]. The phenolic compounds may thus have acted as free-radical scavengers based on their hydrogen donating ability [32, 45]. The sample extract possessed hydroxyl radical scavenging properties acting as a donor for hydrogen atoms or electrons in the DPPH test. The additive roles of phytochemicals may contribute significantly to the potent antioxidant activity. Naturally-occurring compounds such as phenolic compounds including, tannins, flavonoids, anthrocyanins, and alkaloids play an important role in radical scavenging activities, in addition to plant extracts [45]. The total phenolic content was reported to affect the antidiabetic and antioxidant activity [5, 36].
Oxidative stress, altered lipid levels, and disturbances in glucose metabolism are important risk factors for diabetes, cardiovascular, oncologic and many other diseases. The diabetogenic agent alloxan is a hydrophilic and chemically unstable pyrimidine derivative, which is toxic to pancreatic-cells because it can generate toxic free oxygen radicals during redox cycling in the presence of reducing agents such as glutathione and cysteine [35]. An increase in blood-glucose levels, which generates free radicals due to auto-oxidation lead to an increase in oxygen free radicals in diabetes [38].
The current study suggested that STB cultivar extract containing naturally-occurring compounds was effective in exerting protective effects by modulating oxidative stress. The results of our findings suggest that STB cultivar extract may possess an antidiabetic activity in animals with established diabetes. This extract possesses the capability of ameliorating the oxidative stress in ALX-induced diabetes and thus could be a promising approach in lessening diabetic complications.
Tissues from the liver, pancreas, kidney and spleen stained with haematoxylin/eosin were histologically examined. These histopathological analyses were done for results confirmation.
The most remarkable histopathological characteristics of ALX-induced hepatotoxicity are massive centrilobular necrosis, ballooning degeneration, cellular infiltration and steatosis. This was in accordance with the present finding of enormous deformation of hepatic cells architecture. In glibenclamide and glibenclamide-treated groups, hepatocyte degeneration, necrosis and infiltration of inflammatory cells were all apparently ameliorated.
The antidiabetic activity of medicinal plants may be attributed to the presence of polyphenols, flavonoids, and other constituents which show a reduction in blood-glucose levels [34, 37, 38]. Tang et al., [46] reported that adherence to vegetables and legumes are inversely associated with the risk of type-2 diabetes in large Chinese and other countries population. High amounts of biguanides (such as metformin), widely used worldwide for the treatment of type-2 diabetes, are present in S. tuberosum L. [47].
Other bioactive compounds, including flavonoids, anthocyanins, and complex mixtures of phenolic compounds are detected in the plant cultivar. The current curative abilities of STB cultivar are most likely associated with the pharmacological effects brought by the synergistic combination of these compounds.
Kaempferol and other derivatives have been reported as antioxidant and hypoglycemic agent. It is capable of increasing glucose absorption in the muscle of rat [48] and showed a good effect against free radical-induced oxidative hemolysis of human red blood cells. In the current study, a kaempferol derivative compound; compound 2 rhamnocitrin was isolated.
The well-known group of secondary metabolites e. g. anthocyanins, flavonoids, tannins, and alkaloids are of particular interest. Many of them are highly potent bioactive and possess the ability to scavenge both active oxygen species and electrophiles [4, 5, 43, 44, 49] and were detected in potato [4, 5]. Solanum tuberosum contains high level of carbohydrate, carotenoids, and significant amounts of vitamins, as B and C, and minerals.
In fact, the present study provides data for supporting the use of STB cultivar aerial parts extracts of S. tuberosum as natural antioxidant agents and confirms that STB and STA cultivar extracts represent a significant source of antioxidant phenolic compounds.
Xu et al., [50] reported that the potato cultivars rich in antioxidant components could be good antioxidant sources as activities are not greatly affected by different cooking conditions.
Inhibitors of the activity of α-glucosidase are potentially used for antidiabetic by suppressing postprandial hyperglycemia. Polyphenol extracts of pigmented potatoes inhibited α-glucosidase [51]. The glycemic index of potatoes is significantly related to their polyphenol content, possibly mediated through an inhibitory effect of anthocyanins on intestinal α-glucosidase.
The present work, the extract of STB cultivar evidenced remarkable bioactivity compared to that exhibited by STA cultivar. STB was thus selected for investigation of its phytochemicals.
Three compounds 1-3 were obtained. These known compounds, previously not isolated from Solanum genus, were 2,5-dihydroxy-3-hydroxymethyl-benzaldehyde 1, rhamnocitrin (3,4',5-trihydroxy-7-methoxy flavone) 2 and 2-methyl erythritol 3 [52, 53]. The isolated compounds were identified by UV, MS,1H and 13C analyses. The analytical data were in agreement with those reported in the literature.
CONCLUSION
The present study reported the attenuating influence of total S. tuberosum L. ethanolic extract of STB and STA on hyperglycaemia and various oxidative stress-associated biochemical parameters in diabetic rats. It explored the potential activity of the two local cultivars on hepatic functions and oxidative stress in ALX-induced diabetic rats. The antioxidant properties in the two cultivars of S. tuberosum were determined and phenolic compounds of S. tuberosum may be responsible for this effect. The ethanolic extracts of STB and STA, may contain antidiabetic principles that directly influence hepatic or peripheral glucose disposal and that regulating carbohydrate absorption. Thus STB and STA extracts deserve further consideration as a possible adjunct to conventional antidiabetic treatment and as a source of new hypolipidaemic and hypoglycemic.
CONFLICT OF INTERESTS
Declared None
REFERENCES