1Cell Biology Department, National Research Centre, 33 El Bohouth St. Dokki, Giza, Egypt-P O.12622. 2Department of Pharmacology and Toxicology, Faculty of Pharmacy, Ain Shams University, Cairo, Egypt, 3Biochemistry and Biotechnology Department, Family of Pharmacy, Heliopolis University, Cairo, Egypt
Email: aelmakawy@yahoo.com
Received: 02 Apr 2015 Revised and Accepted: 30 May 2015
ABSTRACT
Objective: The present study was performed in order to evaluate potential genotoxicity and the histopathological alteration of a traditional herbal prescription Heptex that used in the treatment of liver disease.
Methods: The genotoxicity were evaluated using the in vivo chromosome aberration and micronucleus assays in bone marrow cells of male and female Sprague-Dawley rats. In addition, in vitro chromosome aberration assay in Chinese hamster ovary (CHO) cells and bacterial reverse mutations assay in Salmonella typhimurium strains and Escherichia coli (WP2-uvrA/) with and without metabolic activation system (S9 mix) were performed. Histopathological study was conducted in liver, ovary and testis tissue of Sprague-Dawley rats.
Results: The genotoxicity assessment showed that Heptex did not significantly increase the number of chromosomal aberrations and frequencies of micro nucleated polychromatic erythrocytes in bone marrow cells of both male and female rats. In addition, there were no increases in the number of revertant colonies at any concentrations of Heptex used in the study. Heptex did not produce any structural aberration in CHO cells in the presence or absence of S9 mix. In addition, there were no histopathological changes induced by Heptex in rat liver, ovary and testis.
Conclusion: Based on abovementioned findings, we can conclude that Heptex is generally non-toxic and does not exhibit genotoxicity or histopathological alteration.
Keywords: Heptex, Genotoxicity, In vivo, In vitro, Chromosome aberrations, Micronucleus, Bacterial reverse mutation, Histopathology.
INTRODUCTION
Heptex® capsule consists of Dukong Anak powdered extract from aerial parts of Phyllanthus niruri and Milk thistle powdered extract from fruits of Silybum marianum (L.) and function as liver tonic and beneficial for Hepatitis. Phyllanthus niruri (Heptex, genus Phyllanthus, family Phyllanthaceae) is one of the most popular tropical and subtropical herbal plants [1]. Phyllanthus niruri is a well-known plant in Malaysian traditional medicine, locally known as Dukung anak that means carry baby; because the plants carry the fruits on their backs and underneath the feathered-like leaves [2, 3]
The phytochemical compounds of many of Phyllanthus species such as tannins, ellagitannins flavonoids have been isolated and characterized [2, 4, 5]. Several studies have shown antioxidants activity of various Phyllanthus species using different solvents and methods of extractions [4, 6, 7]. The potential pharmacological effects of the many of these isolated compounds have been assessing [8, 9].
The plants of genus Phyllanthus have long been used to treat liver diseases [10]. In fact, a wide number of experimental studies have demonstrated the hepato protective potential of Phyllanthus plants in vitro and in vivo systems [11-14]. Phyllanthus niruri have been report to have hepato protective activity [7, 15], antioxidant [16] and lipid lowering activity [17]. Its actions were evaluated on various organs including liver, kidneys and testes [18].
Silymarin, an extract from the milk thistle fruit (Silybum marianum, Family Asteraceae) has been utilized for remedy of liver diseases such as sirrhosis or hepatitis for many years [19-21]. Silymarin is a mixture of flavonoids and polyphenols and it is contained several different flavonoids, like silibinin, isosilibinin, silichristin and silidianin. Silibinin is the major bioactive component of this material [22]. Silymarin has membrane-stabilizing and antioxidant activity, it promotes hepatocyte regeneration, reduces an inflammatory reaction, and inhibits fibrogenesis [23]. The pharmacological data show that Silymarin possesses fairly specific effects on cell-regulating mechanisms, beyond the well known reactive oxygen species (ROS) scavenging properties confirmed in new studies indicating a potential to reduce toxic effects of other drugs [24].
Herbal medicines are very popular in developing and underdeveloped countries. Reports indicate that the ideal herbal drugs are very safe and free from side effect is false [25]. Therefore, clear understanding of potential adverse effect of herbs used by the human population is necessary for implementing safety measures to the public. There is paucity of evidence from literature on possible genotoxicity of Phyllanthus niruri extract.
Therefore, the aim of this study was to determine the genotoxicity and histopathological changes of Heptex in Sprague-Dawley rats. The in vivo genotoxicity study was conducted by using chromosome aberration assay and micronucleus test. The in vitro genotoxicity study was conduct using the chromosome aberration assay in Chinese hamster ovary cells and the bacterial reverse mutation assay. In addition, histopathological study was conducted on the liver, ovary and testis of Sprague-Dawley rats.
MATERIALS AND METHODS
Drug
Heptex® hard gelatin vegetable origin capsule consist of 200 mg Dukong Anak powdered extract from aerial parts of Phyllanthus niruri and 100 mg Milk thistle powdered Extract from fruits of Silybum marianum (L.) as active ingredients. 100 mg of starch 1500 (inactive ingredient) was used as diluents. The extracts were obtained from TPM Biotech Sdn Bhd, Kuala Lumpur, Malaysia.
Animals
Fifty Sprague-Dawley male and female rats (25♀, 25♂) with a body weight ranging from 120 to 150 g for both sexes were obtained from Misr University for Science and Technology, 6th of October, Egypt. The animals were acclimated for a period of one week before the beginning of the experiments. Rats were maintained under controlled of temperature (22±3 °C), 50-55% relative humidity and light cycle of 12 h light: 12 h dark and were fed standard granulated diet and water ad labium. This study was conducted at the Faculty of Pharmacy Animal Facility–Ain shams University in compliance with the OECD good laboratory practice principles and applicable standard operating procedures.
In vivo treatment and sampling
Rats of both sexes were randomly divided into five groups of five rats per group. Negative control group: animals administered orally distilled water at the dose (10 ml/kg b.w.). Positive control group: animals were injected intraperitoneally (IP) with a single dose of 50 mg/kg Cyclophosphamide. Heptex groups: three groups of rats were administered orally heptex at three dose levels (250, 500 and 1000 mg/kg) for consecutive 14 days.
In vivo chromosomal aberration analysis
At the end of treatment, schedule the animals of each experimental group were injected IP with 5 ml/kg B. W of 0.5% colchicine as a metaphase arresting substance. Two h after injection animals were sacrificed by dislocation of nick vertebra for preparation of bone marrow cells chromosomes according to [26]. Bone marrow cells were collected from both femurs by flushing in saline solution and then incubated in hypotonic solution (kcl 0.56%) at 37 °C for 30 min, fixed in carnoy”s fixative. The cells were re suspended in small volume of fixative; dropped onto clean chilled slid, flam dried and stained with 10% buffered Giemsa (pH 6.8). One hundred good metaphase spreads from bone marrow of each animal were examined microscopically to detect the different types of chromosomal abnormalities.
Mitotic index determination
The mitotic index was used to determine the rate of cell division. The slides prepared for the assessment of chromosomal aberrations were also use for calculating the mitotic index. Randomly selected views on the slides were monitored to determine the number of dividing cells (metaphase stage) and the total number of cells. At least 1000 cells were examined in each preparation. The mitotic index calculated as the ratio of the number of dividing cells to the total number of cells, multiplied by 100.
In vivo mammalian micronucleus test
A micronucleus (MN) formed during the metaphase/anaphase transition of mitotic cell division. It may arise from a whole lagging chromosome or an acentric chromosome fragment detaching from a chromosome after breakage which do not integrate in the daughter nuclei. The micronucleus assay was performed in accordance with the organization for economic cooperation and development (OECD) guideline 474 [28]. The bone marrow was extracted, smear preparations made by using fetal calf serum and stained in 5% phosphate buffered Giemsa (pH 6.8) for 5mi. Polychromatic erythrocytes scored for micronuclei under the microscope, at least 2000 immature erythrocytes per animal scored for the incidence of micro-nucleated immature erythrocytes.
Bacterial strains, chinese hamster ovary (CHO) cells and S9
Salmonella typhimurium strains TA98 and TA97a, TA100, and TA1535, and Escherichia coli strain WP2uvrA were purchased from Moltex (Molecular Toxicology Inc., Boone, NC, USA). Chinese hamster ovary (CHO) cells were obtained from VACSERA (Holding Company for Biological Products & Vaccines, Agouza, Egypt). Lyophilized rat liver fraction (S9) induced by Aroclor 1254, was purchased from Moltex (Molecular Toxicology Inc., Boon, NC, USA).
Positive control mutagens
Sodium azide (NaN3, Sigma), 9-aminoacridine, (9AA, Aldrich Chemical Company Limited), 2-nitrofluorene (NF, Aldrich Chemical Company Limited), benzo[a] Pyrene (BP, Aldrich Chemical Company Limited),2-aminoanthracene (2-AAN, Aldrich Chemical Company Limited), Methyl methanesulfonate (MMS, Aldrich Chemical Company Limited).
The S9 cofactor mix presents in the bacterial mutation assay consisted of 10% (v/v) S9 tissue fraction, 33 mmol potassium chloride (KCl), 8 mmol magnesium chloride (MgCl2), 4 mmol nicotinamide adenine dinucleotide phosphate (NADP), 4 mmol nicotinamide adenine dinucleotide (NAD), and 5 mM glucose-6-phosphate (G-6-P) prepared in 100 mmol phosphate buffer (PBS, pH 7.4). For mammalian chromosomal aberration test, the S9 mix consisted of 30% (v/v) S9 tissue fraction, 5 mmol MgCl, 33 mmol KCl, 5 mmol G-6-P, 4 mmol NADP, and 4 mmol HEPES buffer prepared in the complete medium. As in the bacterial reverse mutation assay, the 2-NF and 9-AA were dissolved in sterile distilled water, whereas NaN3, MMS and BP were dissolved in dimethyl sulfoxide (DMSO).
In vitro chromosomal aberration assay
The test was conducted in accordance with OECD Guidelines for the testing of chemicals no. 473 (OECD, 1997), using Chinese hamster ovary CHO-K1 (ATCC/CCL-61) cells. The cells were thawed in culture medium and grown for more than 7 days as a monolayer. Cells were cultured in reconstituted minimum essential media (MEM) (Gibco-Invitrogen, USA) supplemented with 2.2 g of sodium bicarbonate, 292 mg of L-glutamine, streptomycin sulfate (100 µg/ml), penicillin G · Na (105 units), and 10% (v/v) fetal bovine serum (FBS; Gibco-Invitrogen, USA) per liter. The cultures were incubated at 37 °C in a humidified atmosphere with 1.5% CO2. Six different concentrations at the nontoxic range were used (100, 50, 10, 5, 2.5 and 1 µg/ml). Mitomycin C was used as a positive control substance without metabolic activation and cyclophosphamide (CPA) with metabolic activation. For chromosome preparation 0.16 μg/ml Colcemid solution (Gibco,USA) was added into the culture and incubated for 3 hours. Cells were harvested by trypsinization and centrifugation, swollen by freshly prepared 0.56% KCl, and fixed with ice-cold freshly prepared mixture of 3: 1 methanol: glacial acetic acid. The smear was allowed to be air-dried and stained with buffered Geimsa before microscopic observation. The frequency of cells with chromosome structural aberrations or numerical disorders was scored in 100 well-spread metaphases for each dose in duplicate.
Bacterial reverse mutation assay (Ames test)
The mutagenicity test was performed by the standard plate incorporation procedure with and without the metabolic activation system (S9mixture) according to the guidelines of OECD 471(1997) for testing of chemicals in a Bacterial Reverse Mutation Test. Briefly, 100 µl of bacterial suspension an (containing approximately 1–2×109 cells/ml) of each strain was added into culture tubes. The culture tube contained overlay agar, 100 µl of Heptex aqueous extract (100, 50, 10, 5, 2.5 and 1µg/plate) or 50 µl standard mutagens (positive control) or de ionised water (negative control), and 500 µl of sodium phosphate buffer (without S9) or 500 µl of S9 mixture. After 72 h of incubation at 37 °C, all plates were checked for the presence of the background lawn and compared to the negative control group plates. Numbers of revertant bacterial colonies were counted and compared with those in negative and positive control plates. Every experiment was carried out in triplicate. 2-nitrofluorene (2-NF), 9-aminoacridine (9-AA), sodium azide and 4-nitroquinoline X-oxide (4NQO)] were employed as positive control.
Histopathological analysis
The liver, ovary and testis tissues of male and female control and heptex treated rats were fixed in 10% buffered formalin and processed to hematoxylin and eosin (H&E) stained sections. Briefly, tissues were dehydrated in ascending grades of alcohol, cleared in xylene and embedded in paraffin wax. Paraffin sections (5 μm thicknesses) of all organs were stained with hematoxylin and eosin and histopathologically examined by light microscopy.
Statistical analysis
All data obtained in this study were expressed in mean±standard deviation (SD). Comparisons between groups were performed using one-way analysis of variance (ANOVA) and Duncan’s multiple range tests by SPSS (Statistical Package for Social Sciences) software statistical (IBM, NY, and USA). Significance of difference between groups was determined by (P ≤0.05).
RESULTS
In vivo chromosomal aberrations
The effects of Heptex powder at concentrations (250, 500 and 1000 mg/kg b.w.) on rat bone marrow cells chromosomes of both sexes are shown in table 1 and 2. The results showed that Heptex powder induced in significant decrease in the frequencies of most individuals and total chromosomal aberrations than those of control group. Meanwhile, cyclophosphamide caused the significant increase in the mean values of individuals and total chromosomal aberrations than those of control and heptex treated groups (P≤0.01).
Mitotic index
Results showed that there were no significant differences between mitotic activities of Heptex three doses in bone marrow cells of both sexes as shown in (fig. 1). While, cyclophosphamide as expected significantly reduced the activity of mitotic index (P≤0.01). than control and Heptex groups.
Table 1: Chromosome aberrations induced in bone marrow cells of Heptex®treated male rats
| Items | -ve control | +ve control | H 250 mg/kg | H 500 mg/kg | H 1000 mg/kg |
| Numerical chromosomal aberrations | n- | 2.40±1.14 ab | 3.60±0.54 a | 2.60±0.54 ab | 2.20±1.30 b |
| n+ | 0 b | 1.60±0.55 a | 0.40±0.55 b | 0.60±0.54 b | |
| Polyploidy | 1.00±0.02 b | 2.40±0.89 a | 0.60±0.54 b | 0.80±0.83 b | |
| Total | 3.40±1.14 b | 7.60±1.14 a | 3.60±0.89 b | 3.80±1.92 b | |
| Structural chromosomal aberrations | Dicentric | 0.60±0.54 b | 2.00±1.22 a | 0.40±0.54 b | 0.40±0.54 b |
| CF | 0 c | 2.00±0.70 a | 0.40±0.54 bc | 0.60±0.54 bc | |
| Ring | 0 b | 1.80±0.44 a | 0.60±0.55 b | 0.60±0.89 b | |
| Break | 2.00±0.70 b | 4.40±1.67 a | 1.20±0.44 b | 1.20±0.44 b | |
| Chr gap | 0 b | 0.60±0.55 a | 0 b | 0 b | |
| Cht gap | 2.00±0. 71 b | 3.20±0.83 a | 1.40±0.89 b | 1.75±0.50 b | |
| Del | 0 b | 3.00±1.41 a | 0.60±0.54 b | 0.60±0.89 b | |
| End to end | 0 b | 2.20±0.84 a | 0.60±0.54 b | 0.80±0.83 b | |
| CA | 3.00±0.71 b | 6.00±0.71 a | 2.20±0.83 bc | 1.60±1.34 c | |
| Fragment | 1.60±0.53 b | 3.40±1.81 a | 1.20±0.83 b | 1.50±0.57 b | |
| Total | 9.20±1.09 b | 28.60±1.81 a | 8.60±0.89 b | 8.40±2.07 b | |
| Total chromosomal aberrations excluding gap | 10.00±1.22 b | 31.00±5.33 a | 11.00±1.14 b | 10.80±0.83 b | 10.00±1.87 b |
| Total chromosomal aberrations including gap | 12.60±0.54 b | 36.20±2.16 a | 12.40±1.34 b | 12.20±0.44 b | 11.60±0.89 b |
Data are presented as mean±SD (n=5). Statistical analysis was carried out by one way ANOVA followed by Duncan’s post hoc Test. Mean values followed with different letters within the same column are significantly different from one another (P≤0.01).
Table 2: Chromosome aberrations induced in bone marrow cells of Heptex® treated female rats
| Items | -ve Control | +ve Control | H 250 mg/kg | H 500 mg/kg | H 1000 mg/kg |
| Numerical chromosomal aberrations | n- | 2.00±0.70 a | 2.20±0.84 a | 1.40±1.14 a | 1.40±1.34 a |
| n+ | 0 b | 1.50±0.58 a | 0.40±0.54 b | 0.40±0.54 b | |
| Polyploidy | 1.00±0.48 b | 2.20±0.84 a | 0.60±0.83 b | 1.00±0.81 b | |
| Total | 2.60±0.89 b | 5.60±0.55 a | 2.40±0.89 c | 2.60±0.54 b | |
| Structural chromosomal aberrations | Dicentric | 0.80±0.44 b | 2.00±0.71 a | 0.80±0.44 b | 0.60±0.54 b |
| CF | 0 c | 2.75±0.50 a | 0.40±0.54 bc | 0.60±0.54 bc | |
| Ring | 0 b | 1.40±0.55 a | 0.60±0.54 ab | 0.60±0.89 ab | |
| Break | 1.80±0.44 b | 3.60±0.95 a | 0.60±0.55 b | 0.60±0.54 b | |
| Chr gap | 0 b | 0.60±0.54 a | 0 b | 0 b | |
| Cht gap | 2.00±0.05 b | 3.00±0.71 a | 1.25±0.95 bc | 1.00±0.70 c | |
| Del | 00 b | 2.50±058 a | 0.60±0.54 b | 1.00±1.00 b | |
| End to end | 00 c | 2.60±0.89 a | 0.80±0.44 bc | 0.80±0.84 bc | |
| CA | 2.60±0.54 b | 5.20±0.84 a | 2.40±0.54 b | 1.60±1.14 b | |
| Fragment | 1.00±0.54 b | 2.20±0.83 a | 1.00±0.70 b | 0.80±0.83 b | |
| Total | 8.20±0.83 b | 24.80±3.11 a | 8.20±1.48 b | 7.60±1.51 b | |
| Total chromosomal aberrations excluding gap | 8.80±0.84 b | 27.00±2.82 a | 9.60±1.34 b | 9.20±0.83 b | 9.20±2.16 b |
| Total chromosomal aberrations including gap | 10.80±0.83 b | 30.40±3.11 a | 10.60±0.89 b | 10.20±1.09 b | 10.00±1.58 b |
Data are presented as mean±SD (n=5). Statistical analysis was carried out by one way ANOVA followed by Duncan’s post hoc Test. Mean values followed with different letters within the same column are significantly different from one another (P≤0.01).

Fig. 1: Mitotic index in bone marrow cells of Heptex treated rats
In vivo bone marrow micronucleus
The ability of Heptex to induce chromosome mutations was analyzed using the polychromatic erythrocytes micronucleus test in male and female rats. The frequencies and percentage of micro nucleated polychromatic erythrocytes (MNPCEs) of all experimental groups are illustrated in (table 3). Results showed that Heptex extract three doses caused the statistically insignificant decrease in the frequencies of MNPCEs than the control value. Meanwhile, cyclophosphamide significantly increases the frequency of MNPCEs (P≤0.01) over control and Heptex extract tested doses.
In vitro chromosome aberrations
The results of chromosomal aberrations test were presented in table 4. There was no statistically significant induction of chromosomal aberration observed in heptex treated CHO-K1 cells at any concentrations as compared to solvent group. In contrast, the incidence of aberrant cells in both positive control groups was significantly (P≤0.01) increased as compared with solvent and Heptex groups.
Bacterial reverse mutation
The results of reverse mutation test are summarized in Table 5. The data showed no significant increase in the number of revertant colonies as a result of Heptex was observed in the four strains of S. typhimurium (TA98, TA100, TA1535 and TA1537) and in E. coli (WP2uvrA) at any tested concentration with those of the corresponding solvent controls in either the absence or presence of S9 mix. However, the number of revertant colonies in positive controls increased remarkably (>two folds) with or without S9 mix.
Table 3: Frequencies of micronucleated polychromatic erythrocytes in Heptex®treated rats
| Treatment | Dose mg/kg body weight | Frequency of micronucleated polychromatic erythrocytes M±SD | Micronucleated polychromatic erythrocytes % M±SD |
| ♂ | ♀ | ||
| Negative Control | 0 | 8.20±1.48 b | 8.80±0.83 b |
| Positive Control | 50 | 35.20±9.20 a | 38.20±9.12 a |
| Heptex | 250 | 8.00+0.70 b | 8.40+0.54 b |
| 500 | 7.60+0.89 b | 8.20+0.83 b | |
| 1000 | 7.40+0.54 b | 8.00+0.70 b |
Two thousand cells per animal were analyzed. Data were expressed as mean±SD (n=5). Mean values followed with different letters within the same column are significantly different from one another (P_0.01).
Table 4: Chromosomal aberration induced by Heptex in CHO-K1 cells
| Compound | S9 | dose (µg/ml) | Cells scored | Frequency of cells with chromosomal aberrations | Total aberrations | Total aberrations excluding gaps |
| Numerical | Gaps | Chromatid | ||||
| Br | ||||||
| Solvent | - | 100 | 0 g | 0 c | 0 c | |
| Mitomycine | - | 0.5 | 100 | 23+1.0 a | 2.33+0.57 a | 16+1.0 a |
| Heptex | - | 1 | 100 | 0 g | 0 c | 0 c |
| - | 2.5 | 100 | 0 g | 0 c | 0 c | |
| - | 5 | 100 | 1.33+0.5 7 fg | 0 c | 0 c | |
| - | 10 | 100 | 3.33+0.57 fg | 0 c | 0 c | |
| - | 50 | 100 | 5.33+0.58 cd | 0 c | 1.33+0.57 cd | |
| - | 100 | 100 | 6.33+0.57 cd | 0 c | 4.33+0.58 bc | |
| Cyclophosphamide | 10 | 100 | 18.67+1.52 b | 1+0.01 b | 7.33+1.52 b | |
| Heptex | + | 1 | 100 | 0 g | 0 | 0 c |
| + | 2.5 | 100 | 0 g | 0 | 0 c | |
| + | 5 | 100 | 1.33+0.573 | 0 | 0 c | |
| + | 10 | 100 | 2.67+1.15 | 0 | 0 c | |
| + | 50 | 100 | 4+1 | 0 | 2+1 cd | |
| + | 100 | 100 | 7.33+1.52 | 0 | 2.67+1.52 cd |
Where, Aberrant Cells: numerical cells include polyploid and end reduplicated cells; Chromatid breaks (Br) include chromatid and iso-chromatid breaks and fragments; chromatid exchange fig. (Ex) include quadriradials, triradials and complex rearangements. Chromosome breaks (Br) include breaks and acentric fragments; (Dic), dicentric chromosome. Data were expressed, as mean±SD. Mean values followed with different letters within the same column are significantly different from one another (P≤0.01).
Table 5: Mutagenicity assay for Heptex with and without-metabolic activation using S. typhimurium and E. coli strains
Compound heptex |
Concentration of test material (µg/plate) | Average of revertant colonies (Mean+SD) |
| Base Pair Substitution | ||
| TA 100 | ||
| Historical negative (background) | 16.00+1.00 b | 7.00+1.00 b |
| heptex | 1.0 | -S9 |
| +S9 | ||
| 2.5 | -S9 | |
| +S9 | ||
| 5.0 | -S9 | |
| +S9 | ||
| 10 | -S9 | |
| +S9=S9 | ||
| 50 | -S9 | |
| +S9 | ||
| 100 | -S9 | |
| +S9 | ||
| Positive control | NaN3 | NaN3 |
| 88.00+1.00 a | 24.66+4.37 a |
Mean values followed with different letters within the same column are significantly different from one another (P≤0.01).
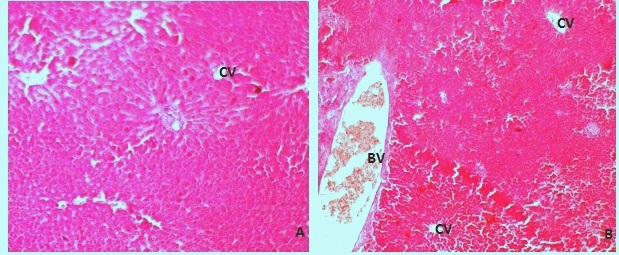
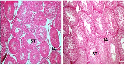
Histopathological result
The liver histopathological examination of control and Heptex three doses treated rats showed normal structure of hepatic lobules in which the hepatocytes arranged in cords radiating from the central veins (fig. 2). The sections of ovaries from control rats showed normal histological features, illustrating follicles at various stages of development, mature ovarian follicle, primary follicle and primordial follicle, in addition to post ovulatory corpora lutea (fig. 3). The ovarian sections from heptex treated rats did not showed alteration in the structure of the ovaries. Data obtained in the histopathological testicular analysis of rats from the control and Heptex treated groups did not reveal any change or inhibition of spermatogenetic activity, tubular degeneration and necrosis, obstruction in tubule lumens or lymphocytic infiltration (fig. 4).

Fig. 2: Section of liver of (A) control and (B) Heptex treated rat showing average central vein (CV) and hepatocytes arranged in cords (H&E x200)

Fig. 3: Section of ovary of (A) control and (B) Heptex treated rats showing mature ovarian follicle (mf), primary follicle (p f), primordial follicle (arrow) (H&E x150)

Fig. 4: Section of testis of (A) control and (B) Heptex treated rat showing average-sized seminiferous tubules showing full spermatogenesis (ST) widely separated by average interstitial area (IA)
DISCUSSION
Currently a large and ever expanding global population base prefers the use of natural products in treating and preventing medical problems. It was believed that natural herbs found among the world flora are able to cure various ailments and diseases. Natural herbs have presented to human as vast therapeutic value for the variety of medicinal plants [27]. Dukung anak (Phyllanthus niruri) is a medicinal plant widely used in different regions in the world for the treatment of various diseases. Interest of this plant was enhanced due to its potential as a remedy for hepatitis B viral infection. Although there has been some reports on the health benefits of Phyllanthus niruri. The lack of adequate scientific evidence on the safety of P. niruri is often a major issue to the acceptance and use of this medicinal plant [28]. Generally, plants would produce hazardous secondary metabolites that might be used as their defensive mechanisms. Following that, several reports have indicated the toxicity of some plants used in traditional medicines if consumed above certain concentrations, though their potentials to cure diseases were also mentioned (29-31). Therefore, despite the study about the efficacy and mechanisms of plants to cure diseases, it is also vital to study the potential dangers they might present. In recent years, genotoxicity have become more important in the process of early screening for potential compound (OECD 474 & 475, 1997). Ames test is a rapid, convenient and widely accepted test for identifying substances which can produce genetic damage that leads to gene mutation [32] In the present study, results indicated that Heptex (Phyllanthus niruri and Milk thistle) not induced significant increase in the induction of chromosome aberration in both in vivo and in vitro assay and MNPCEs frequencies in bone marrow cells of both sexes of Sprague-Dawley rats. In addition, there were no increases in the number of revertant colonies at any concentration of Heptex with and without metabolic system in S. typhimurium (TA 98, TA97, TA100 and TA1535) and E. coli (WP2 uvrA). According to the data obtained in the present investigation, Heptex is nongenotoxic. Moreover, there were no significant differences between results of treated groups in the absence and presence of the metabolic activation for both tests, The result of the present study was in accordance with Asare et al. [28] who confirmed that the aqueous leaf extracts of P. niruri did not suggest any toxicity. Furthermore, there were no statistical differences between the low dose (2000 mg/kg b. wt.) and the high dose (5000 mg/kg b. wt.) extract administration. Thus, P. niruri can be considered non-toxic at the acute level and consequently, the LD50 of it is more than 5000 mg/kg b. wt. Asare et al. [33] who observed that Phyllanthus niruri extract was not able to promote micronuclei at polychromatic erythrocytes bone marrow cells of adult rats treated with a single dose of 30 or 300 mg/kg. They concluded that the Phyllanthus niruri whole plant extract is non-toxic and the acute oral administration of this extract in rats at 300 mg/kg bw does not exhibited genotoxicity. De Queiroz et al. [34] observed that the dry extract of Phyllanthus niruri did not provoke changes in body weight, weight gain, ration and water intake or changes in the frequency of MNPCE or cytotoxicity in bone marrow. They proposed that the P. niruri extract showed no genotoxic or cytotoxic activities. Tona et al. [35] demonstrated that aqueous and ethanol extract of P. niruri orally administered to mice at a dose of 500 mg/kg of body weight, once a week, for 4 weeks, caused no toxic effects or deaths. In the present study, the histopathological analysis of the effect of P. niruri in tissues of liver, ovary and testis of rats confirmed the genetic results. Histopathological examination revealed that P. niruri did not induce any change in the tissues of all used organs. Makoshi et al. [36] showed that the rabbit liver samples from the Phyllanthus niruri group showed normal liver architecture with no cellular damage. A study recently developed by Asare et al. [33] observed that an ethanolic extract obtained from P. niruri whole plant was not toxic to adult rats treated during 90 days with 30 and 300 mg/kg. Hematological, biochemical or histopathological alterations were not observed in rats treated with the higher dose. However, the lower dose promoted lymphocyte reduction and drastic reduction was observed in most liver function test parameters (bilirubin, AST and ALT), suggesting some degree of hepatoprotection. Previous study reported that Phyllunthus niruri possesses potent antioxidant activity that may be responsible for it is antitumor, anticarcinogenic and remedy for hepatitis B viral infection mechanism [7, 37]. The antioxidant potential of Phyllunthus niruri may be interpret the decrease in the frequencies of chromosomal aberrations and the micronuclei induced by Heptex. Where, antioxidants act as free radical scavengers and they trap the free radicals and give up own electrons. Thus, they protect against free radical oxidation molecules such as protein, lipid, enzyme, chromosome and DNA [38]. Whereas, the previous literature that mentioned above confirmed the safety of the Phyllunthus niruri, in addition, there are several studies were conducted to evaluate the safety of Milk thistle (Silybum marianum). Dixit et al. [39] they mentioned that the silymarin LD50 values were 385 mg/kg rats and depending on the infusion rate, these values vary. With slow infusion (over 2-3 h), the LD50 was 2 g/kg and after, oral administration it was 10 g/kg. These data demonstrate that the toxicity of silymarin is very low. The extracts of the flowers and leaves of Silybum marianum have been used for centuries to treat liver disorders. The major activity of Silybum marianum L. is its antioxidant property, which makes it useful in the prevention of organ-specific toxicities related to the induction of oxidative stress [40, 41]. El-Kamary et al. [42] suggested that the standard recommended doses of silymarin (300-900 mg/day) are safe. Shaker et al. [43] confirmed that one of the important issues about the Silybum marianum. is that it may be accepted as a safe herbal product with no health hazard or significant side effect.
CONCLUSION
The findings of our study indicated that the Heptex extract is generally non-toxic and that the oral administration of Heptex extracts in rats at 1000 mg/kg BW does not exhibit genotoxicity or any histopathological alteration.
ACKNOWLEDGEMENT
The authors would like to thank the pharmaceutical company Natural Wellness Egypt, Cairo, Egypt, for financial and scientific support of the study.
CONFLICT OF INTERESTS
Declared None
REFERENCES