
Environmental and Life Sciences, Faculty of Science, Universiti Brunei Darussalam, Brunei Darussalam
Email: norhayati.ahmad@ubd.edu.bn
Received: 14 Apr 2015 Revised and Accepted: 08 Aug 2015
ABSTRACT
Objective: The present study was carried out to evaluate if Virgin Coconut Oil (VCO) exerts any protective or regenerative effects on pancreatic β cells in Alloxan induced diabetic rats and to observe and determine the morphology of islets of animals from different treatment groups.
Methods: Twenty six adults male Wistar rats were divided into 4 groups. Group 1 served as a control and received no treatment. Group 2 served as a diabetic control where they received 120 mg/kg body weight Alloxan at week 1. Group 3 was administered with Alloxan at 120 mg/kg body weight followed by VCO treatment for 10 w. Group 5 was administered with 0.8 ml VCO for 13 w prior to being administered with Alloxan 8 w after VCO treatment.
Blood glucose readings and body weight were monitored weekly during the treatment period. IPGTT was carried out prior to animal sacrifice. Histological analysis was carried out on the pancreas of animals in VCO treated and control groups.
Results: VCO treated rats were able to reduce hyperglycaemia in diabetic individuals. Histological analysis indicates that VCO was able to regenerate damaged islets of diabetic rats and was also able to prolong their survival despite being hyperglycaemic.
Conclusion: VCO has potential protective and regenerative effects towards diabetic rats and further research should be evaluated to develop a probable mechanism of action.
Keywords: Virgin Coconut Oil, Diabetes, Hyperglycaemia, Pancreatic islet, Beta cell, Regeneration.
© 2016 The Authors. Published by Innovare Academic Sciences Pvt Ltd. This is an open access article under the CC BY license (http://creativecommons.org/licenses/by/4.0/)
INTRODUCTION
Metabolic balance is governed by blood glucose concentration. Diabetes mellitus is a metabolic disorder caused by impaired insulin action or release or both and is characterised by the rise in blood glucose along with metabolic instabilities [1]. Diabetes represents one of the world’s most common diseases, 171 million suffer diabetes in the year 2000 and it is estimated to affect 366 million people by the year 2030 [2].
The search for a safer yet effective anti-diabetic agent in plants has become a growing interest in research. Some plants and their derivatives have been observed to have anti-hyperglycaemic properties [3-5] including VCO.
Sanskrit records dating back 4000 y have documented coconut products in Ayuverdic medical applications to treat ailments ranging from receding hairlines to heart problems, whereas it is a remedy for at least 69 illnesses in Chinese medicine [6]. Unlike copra oil or cooking oil, VCO does not undergo a refining, bleaching and deodorising process, as it is already an edible oil. Its production retains the biologically active substances naturally found in the water and/or milk of the coconut by eliminating or through limited heat, making use of enzymatic reactions and fermentation of the coconut milk. VCO exists as a clear oil, which has a distinct coconut scent.
A number of fatty acids were detected [7] within the oil, namely caproic, caprylic, capric, lauric, myrustic, palmitic, stearic, oleric and linoleic acid with lauric acid holding the highest percentage of about 47% in VCO [8]. The monolaurins of the fatty acids gives VCO other properties such as being an anti-bacterial, anti-fungal as well as anti-microbial agent by destroying those that have a lipid coating [9]. Antioxidant activity and phenolic compounds like Tocophenol and Tocotrienol found in VCO aids in prevention of various chronic diseases, including cancer and cardiovascular diseases [7]. The determination of its antioxidant status showed that defences against ROS were increased with VCO and prevented lipid peroxidation [10].
The present study was carried out to determine if VCO exerts any protective or regenerative effect on pancreatic β cells in Alloxan induced diabetic rats and to observe and determine the morphology of islets of different groups following different VCO treatments.
MATERIALS AND METHODS
Virgin coconut oil preparation
VCO was prepared according to Hayatullina et al., (2012) with slight modifications [11]. Mature coconuts were sourced from local markets. After dehusking, its meat was extracted with the use of an electric grater. For every 100g of freshly grated coconut flesh, 100g of natural coconut water was added before the mixture was squeezed to give out the coconut milk. The mixture was passed through a muslin cloth and fermented for 48 h in an incubator at 37 °C. After fermentation, 3 layers formed, the first and second layers were scooped out and centrifuged at 13500 rpm for 15 min, which will give rise to further separation of the oil and curdy layer. The clear oil was dried in an oven at 60 °C for 24 h.
Animals
26 Wistar rats at 8-10 w age and an average weight ranging between 230-280g were used in these experiments. Male rats were used in all experiments. Only 18 rats survived until the end of the treatment period. The animals were kept under standard room conditions and fed with standard diet and water ad libitum. The study was conducted with the approval of the University Research Ethics Committee (approval number UBD/DVC/32.11).
Treatment protocols
The rats were randomly distributed, selected and placed into 4 different groups of varying treatments. Weekly measurements of blood glucose and weight were recorded and an Intraperitoneal Glucose Tolerance Test (IPGTT) was done at the end of the experiment. After 10 or 13 w of treatment, the rats were culled and the pancreases were harvested.
Experimental procedure
The experimental rats were divided into the following four groups. The number of animals at the start of the experiments (total 24 animals) are indicated in each treatment group. Only a total of 18 animals survived until the end of the experiments.
Diabetes induction
Alloxan was prepared by dissolving Alloxan monohydrate (Sigma, USA) with 0.9% standard saline solution. Prior to Alloxan administration, the rats were left to fast overnight with access to water ad libitum. A single intraperitoneal injection of Alloxan at 120 mg/kg body weight was administered. Blood glucose readings were taken after 72 h following alloxan administration.
Blood glucose and body weight
Blood glucose readings and body weight were recorded on a weekly basis. Blood was withdrawn from tail vein and glucose levels were measured using a single touch glucometer (Style Free Optium, Abbot Diabetes Care Ltd.). A blood glucose reading of > 6.1 mmol/l was considered diabetic while a reading of >13.8 mmol/l was considered to be severely diabetic [3].
Intraperitoneal glucose tolerance test (IPGTT)
The IPGTT was tested in overnight fasted (16 h) rats. Fasting blood glucose readings were taken from the tail vein before glucose administration and at 15, 30, 60, 90 and 120 min after glucose administration (2 g/kg body weight via intraperitoneal injection) and measurements of glucose levels were taken using single touch glucometer (Style Free Optium, Abbot Diabetes Care Ltd.)
Histological analysis
The rats were culled via carbon dioxide asphyxiation and pancreas tissue was collected. The pancreas were fixed in 3.7% formaldehyde solution (Fluka). Fixed tissue was processed routinely by paraffin embedding followed by staining with hematoxylin.
Statistical analysis
All data were expressed as mean±SEM. Statistical analysis of body weight and blood glucose data was performed by using a Post-Hoc Games-Howell test using SPSS 19.0 for statistical comparisons involving differences among different experimental groups. For comparisons between the starting and end points in the same group treatments a T-test of unequal variance was carried out. P values of less than 0.05 were considered significant.
RESULTS
The effects of VCO on body weight
The effect of VCO on the body weight of Alloxan induced rats are summarized in table 1. The changes in the body weight of the rats showed a progressive increase in all the groups except the animals in the control untreated groups which showed no significant difference (fig. 2). The mean body weight of animals in group 1, 3, 4 and 5 at week 10 showed a significant increase compared to their body weight at week 1. Animals in group 1, 3, 4 and 5 have a mean body weight of 280.5 g, 277.5 g, 215.3 g and 336.3 g on the 5thweek while at the 10th week of study, they were found to be 348.5 g, 297.3 g, 207.7 g and 296.8 g respectively (Group 2; table 1).
Effect of VCO on blood glucose
The effects of VCO on the blood glucose of Alloxan induced diabetic rats are summarised in table 1. Table 1 shows the changes of blood glucose levels for normal untreated rats, control Alloxan only treated rats and diabetic rats during the 10 w treatment period. Following Alloxan injections, the mean±SEM of blood glucose concentration before VCO administration was 5.02, 25.7, 25.85, 26.37, and 5.425 mmol/l in normal untreated, control Alloxan only, regenerated group and VCO protection group.
The measurements of individuals that have survived until 10 w were considered. The Regeneration group gave two distinct results and therefore we have separated these animals into two subgroups, which are Regeneration Recovering (Group 3) which contain diabetically induced animals that have undergone VCO treatments for 10 w and shown recovery and Regeneration Hyperglycaemic (Group 3A) which contain diabetically induced animals that have undergone VCO treatments for 10 w but remained hyperglycaemic.
The effect of VCO showed a gradual reduction of blood glucose levels in animals in the Regeneration Recovering (Group 3), previously at 25.85 mmol/l had significantly reduced (fig. 1) to 10.93 mmol/l following 10 w of VCO administration. However, the animals in Regeneration Hyperglycaemic (Group 3A) showed no reduction of blood glucose levels, retaining a hyperglycaemic state at the maximum reading of 27.9 mmol/l.
The animals in Protection (Group 5) indicated that earlier administrations of VCO gave no effect in reducing hyperglycaemia after alloxan induction at 8 weeks. Blood glucose level of animals at 5 w at 5.5 mmol/l had significantly increased (fig. 1) to 20.65 mmol/l at 10 w (table 1).

Fig. 1: Graph showing mean IPGTT blood glucose readings (mmol/l) of treated animal groups vs time (min)
Histological analysis
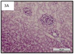
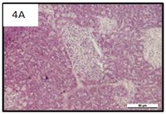
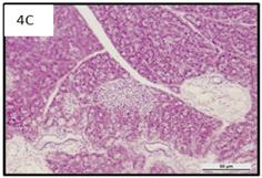
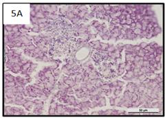
Histological analysis on islet structure revealed a significant difference between both diabetic control Group 2 (fig. 3) and Group 5 (fig. 6A) in comparison to the islets found in Group 1 (fig. 2A). There was no significant difference in the number and shape of islets between the diabetic group (Group 3) in fig. 4A-C and Group 1. Conversely, diabetic Group 3A (fig. 5A) showed less number of islets than that of diabetic islets in Group 3.
We observed that the control untreated rats (Group 1) showed the normal pancreatic islet structure (fig. 2A). In contrast, pancreatic sections of alloxan induced diabetic rats (Group 2) revealed islets that were comparatively smaller in size and have a shrunken appearance, exhibiting how islet cells have degenerated (hydropic degeneration) and necrotised (fig. 3A). 10 w of VCO treatment on diabetic rats (Group 3) revealed that some sections have regenerated islet cells (fig. 5A) despite these animals remaining hyperglycaemic (Group 3A) at the end of the study. Pancreatic sections of previously diabetic recovered animals that have recovered from hyperglycaemia (Group 3) indicated that the islet morphology was near normal in appearance with round nuclei and abundant cytoplasm (fig. 4A-C) and are similar in comparison to the islets from animals in the control group (fig. 2A). Nevertheless, light hydropic degeneration and necrosis was evident in the islet cells of diabetic Group 3A (fig 5A), however the damage towards the islets was not as severe as those found in control Alloxan only group (fig. 3A), only exhibiting a slightly vacuolated cytoplasm. 8 w of VCO treatment prior to ablation by alloxan failed to show any protective effects against substantial islet damage, however, we note that the extent of severity of islet damage was less compared to that of the alloxan only control group (fig. 3A).
Fig. 2: Intact islets from normal non-Alloxan treated rats

Fig. 3: Islet features from an alloxan induced diabetic rat showing damaged and shrunken islets


Fig. 4: Microscopic features of alloxan induced diabetic rat with 10 w of VCO treatment and recovering from hyperglycaemia
Table 1: Table showing mean±SEM values of blood glucose (mmol/l) and body weight (g) of groups after 10 w of treatment
Group |
Blood glucose (mmol/l) |
Weight (g) |
||||
Week 1 |
Week 5 |
Week 10 |
Week 1 |
Week 5 |
Week 10 |
|
1 (n=4) |
5.025±0.2926 |
5.4±0.559 |
4.9±0.434 |
265.5±7.772 |
280.5±0.412 |
348.5±12.86** |
2 (n=3) |
25.7±2.233 |
27.9 |
20.13±0.933 |
242±6.245 |
235±8.185 |
237.3±7.126 |
3 (n=4) |
25.85±1.461 |
20.9±2.664 |
10.93±2.822* |
253.3±3.902 |
277.5±10.137 |
296.8±8.230** |
3A (n=3) |
26.37±1.533 |
27.9 |
25.3±1.501 |
244.3±5.170 |
215.3±10.975 |
297.3±14.77** |
5 (n=4) |
5.425±0.225 |
5.5±0.137 |
20.65±2.095 |
232±5.774 |
336.3±8.443 |
207.7±6.438** |
*P<0.05 for when comparing blood glucose against control (C) group, **P<0.05 when comparing body weights inweek1 and week 10 of animals in the same group.

Fig. 5: Microscopic features of alloxan induced diabetic rat with 10 w of VCO treatment that remained hyperglycaemic

Fig. 6: Islet features of alloxan induced rat followed by treatment of VCO for 13 w
DISCUSSION
Our study indicates that VCO has blood glucose lowering properties as evident from the blood glucose lowering effects observed in recovered individuals following Alloxan treatment. Alloxan treated diabetic animals which have recovered were able to respond to the glucose challenge when subjected to IPGTT, approaching blood glucose levels comparable to that of normal non-treated animals (Group 1). Histopathological analysis revealed that their islets were recovering when compared to Alloxan only treated animal islets (fig. 3A). Histological results showing normal, healthy islets indicate that VCO was able to reverse oxidative damage towards islet cells (fig 4A-C). Furthermore, VCO is rich in fatty acids which is correlated to insulin resistance [13]. Medium chained fatty acids (MCFA) present does not accumulate in skeletal muscle and promote resistance [14] but is rather easily metabolised and used by cells. It is suggested that surviving cells benefitted from the MCFA for cell recovery. Due to the recovery of the cells, normal β-cell functions was able to resume as denoted by IPGTT and diabetic symptoms of such as weight loss have been alleviated.
However, the diabetic rat group (Group 3A) did not share similar results. IPGTT (fig. 1) revealed that the rats were unable to achieve normal β-cell functions and remained hyperglycaemic. Histological reports nevertheless revealed islet cells, which appear to be recovering (fig. 5A). The damage of the cells was not as extensive as those in the control group (Group 2). It was noted that despite being permanently hyperglycaemic, the rats had persevered, which suggests VCO increasing their chances of survival.
Animals that were subjected to 8 w of VCO treatment and then followed by beta cell ablation with a single intraperitoneal injection of Alloxan showed that there was no protective effect exerted from the VCO treatment regime. However, we do note that the severity of islet damage was less severe.
Histological evaluation indicated that the islets had undergone necrosis although the severity of the damage observed was less compared to sections belonging to animals in the diabetic control (Group 2) (fig. 3A). The recovery of animals in the VCO treated group from their hyperglycaemic state could be attributed to the expansion of the islets via the increase in the numbers of beta cell via multiplication or its regeneration. An increase in the number of beta cells would provide an adequate supply of insulin during the 10 w regenerative period. We present alternative evidence that VCO is involved in regenerative capabilities of the beta cells in addition to previous studies which attribute its blood glucose lowering effects due to its antioxidant properties [12]. The possible involvement of VCO to increase proliferation of beta cell numbers demands further investigation.
CONCLUSION
Based on our findings, it is suggested that VCO is able to suppress and reduce the severity of hyperglycaemia and islet damage in Alloxan induced diabetic rats. Further research on VCO may reveal its potential to be further developed into an anti-diabetic drug or potential treatment for diabetic patients.
Since our results indicate VCO to have an ameliorative effect on regenerating pancreatic islets while also having a favourable effect on blood glucose levels, it implies VCO to be beneficial in managing and preventing diabetes mellitus.
CONFLICT OF INTERESTS
Declared None
REFERENCES