
Department of Pharmacology, Gokaraju Rangaraju College of pharmacy, Nizampet Road, Bachupally, Hyderabad, Telangana State
Email: suvarchalakiran@gmail.com
Received: 24 Apr 2015 Revised and Accepted: 08 Aug 2015
ABSTRACT
Objective: To study the antihyperlipidemic and anti atherosclerotic activity of Cassia fistula extracts in experimentally induced atherosclerotic rats.
Methods: In this study, the antihyperlipidemic activity of Cassia fistula bark was evaluated by the administration of high fat diet. Atherosclerosis was induced in wistar rats by feeding with high cholesterol diet for 21 d. Oral feeding of cholesterol (500 mg/kg b.w./day) dissolved in coconut oil (0.5 ml/rat/day) caused an elevation in total cholesterol, LDL cholesterol, VLDL cholesterol triglycerides serum of rats.
Results: Administration of Cassia fistula extracts (methanolic and ethyl acetate extract at 500 mg/kg respectively) along with high cholesterol diet reduced the raised serum level of total cholesterol, triglyceride, LDL, VLDL and increased the serum HDL level as compared to the control group (High cholesterol group). Histopathology study of heart has shown decrease in myocardial degeneration and inflammation which may be attributed to the anti atherosclerotic activity of the Cassis fistula bark extracts.
Conclusion: These results suggested that Cassia fistula bark possess significant antihyperlipidemic activity.
Keywords: Antihyperlipidemic, Antiatherosclerotic, Cassia fistula, Caesalpiniaceae.
© 2016 The Authors. Published by Innovare Academic Sciences Pvt Ltd. This is an open access article under the CC BY license (http://creativecommons.org/licenses/by/4.0/)
INTRODUCTION
Hyperlipidemia is a condition of abnormally elevated levels of any or all lipids or lipoproteins in the blood i.e. the fatty substances are found in the blood. This condition is also called hypercholesterolemia or hyperlipoproteinemia. Atherosclerosis is a disease of blood vessels and known colloquially as “hardening of the arteries” [1]. It is characterized by the accumulation of fatty substance, cholesterol, cellular waste products, calcium and other substances in the inner lining of an artery. The World Health Organization (WHO) predicted that heart diseases and stroke are becoming more deadly, with a projected combined death of 24 million by 2030 [2]. Due to accumulation of fat, cholesterol and other substances, plaque builds up inside the arteries. Over time, plaque hardens and narrows the arteries.
With the emerging worldwide interest in adopting and studying traditional systems and exploiting their potential based on different health care systems, the evaluation of the rich heritage of traditional medicine is essential. In this regard, we have decided to explore the Cassia fistula. Cassia fistula L. (Cassia) family Caesalpiniaceae commonly known as Amulthus and in English popularly called “Indian Laburnum” has been extensively used in Ayurvedic system of medicine for various ailments [3]. It is having various traditional uses as a tonic, astringent, febrifuge and strong purgative. The leaves are laxative and used externally as emollient, a poultice is used for chilblains in insect bites, swelling, rheumatism and facial paralysis. The fruit pulp is used for constipation, colic, chlorosis and urinary disorders. The bark possesses tonic and antidysentric properties, it is also used for skin complaints, leprosy, jaundice, syphilis and heart diseases. It is one of the ingredients of the marketed preparation Constivac (Lupin Herbal) for a bowel regulation and constipation, and Pilex, Purian (Himalaya Drug Company) for piles and detoxification.
The fruit and stem bark extract shows various activities like antipyretic, anti-inflammatory, antioxidant, antidiabetic, hypolipidemic, hepatoprotective, antimicrobial, antitumor, antiulcer etc. However, there are no reports on the Antihyperlipidemic activity of Cassia fistula bark. The present study was designed to investigate the Anti-hyperlipidemic activity of methanolic extract of Cassia fistula bark in Wistar rats in an attempt to establish traditional use of this plant.
MATERIALS AND METHODS
Plant material
The whole plant of Cassia fistula was collected from Seshachalam hills, Tirupati, Chitoor district, Andhra Pradesh in the month of January and was identified and authenticated by Dr. K. Madhava chetty. The powdered plant material was successively extracted in 500 ml of ethyl acetate and methanol using simple distillation [4]. The extracts were finally stored in air tight containers for further use.
Drugs and chemicals
Atorvastatin was obtained from Axis clinicals Ltd, Hyderabad. All other reagents and chemicals were of analytical grade.
Animals
Adult wistar albino rats (170–200 g) were used for the pharmacological activities. They were kept in polypropylene cages at 25±2 ° C, with relative humidity 45-55% under 12h light and dark cycles. All the animals were acclimatized to the laboratory conditions for a week before use. They were fed with standard animal feed and water ad libitum. The Institutional Animal Ethical Committee of Gokaraju Rangaraju College of Pharmacy, Hyderabad, with Reg. No. CPCSEA/CH/ORG/2001/1910/3, approved the study.
Acute toxicity studies
The acute toxicity of the methanol extract and ethyl acetate extract of bark was determined using Swiss albino mice of either sex, which were maintained under standard conditions. The animals were fasted overnight prior to the experiment. Fixed dose (OECD Guideline No. 423) method of CPCSEA was adopted for the toxicity studies. Mortality was observed at the dose of 5000 mg/kg for the extracts. Hence 1/10th of the LD50 dose i.e. 500 mg/kg of the ethanol extracts was selected for the study [5].
In vitro HMG CoA reductase inhibitor activity
3-hydroxy-3-methylglutaryl-CoA reductase (HMGR) is a transmembrane glycoprotein, located on the endoplasmic reticulum. This enzyme catalyzes the four-electron reduction of HMG-CoA to coenzyme A (CoA) and mevalonate, which is the rate-limiting step in sterol biosynthesis [6]. The activity of HMGR is controlled through synthesis, degradation, and phosphorylation in order to maintain the concentration of mevalonate derived products. In addition to the physiological regulation of HMGR, the human enzyme has been targeted successfully by drugs in the clinical treatment of high serum cholesterol levels. Controlling serum cholesterol levels has an important therapeutic role as hypercholesterolemia often leads to the development of atherosclerosis and consequently to cardiovascular pathologies, which might result in myocardial infarction and stroke. Recent evidence suggests that a disturbance of cholesterol homeostasis contributes to the development of a chronic inflammatory state [7].
Antihyperlipidemic activity
Antihyperlipidemic activity: Animals were divided into 5 groups with 6 animals per group.
Group 1: Normal control.
Group 2: Hyperlipidemic control (Vehicle 1 ml/100g/day p. o)
Group 3: Hyperlipidemic treated with Atorvastatin (10 mg/kg/day p. o)
Group 4: Hyperlipidemic treated with MECF bark (500 mg/kg/day p. o)
Group 5: Hyperlipidemic treated with EECF bark (500 mg/kg/day p. o)
The animals were administered with corresponding treatments for one month.
Induction of Hyperlipidemia
High cholesterol diet was prepared by mixing cholesterol 2%, sodium cholate 1% and coconut oil 2%, with powdered standard animal food. The diet which was prepared as pellets was placed in the cage carefully and was administered for 20 d [8, 9].
Biochemical assays for lipids
The serum triglycerides and HDL (High Density Lipoproteins) and total cholesterol were measured using span diagnostic kit [5]. Cholesterol, triglycerides and HDL profile were estimated using standard monograph. (Low Density Lipoproteins) LDL cholesterol was calculated using formula LDL = Total Cholesterol-HDL-Triglycerides/5 VLDL was calculated using the formula (Very Low Density Lipoproteins) VLDL = Triglycerides/5. The aorta was fixed by 10% formalin for histopathological studies.
Measurement of coronary disease risk factor
Atherogenic Index (AI), which is a measure of the atherogenic potential of an agent, was calculated using the following formula and the results were tabulated.
Atherogenic Index (AI) = LDL-cholesterol/HDL-cholesterol
% Protection = AI of control-AI of treated group ×100 AI of control
Determination of antioxidant parameters
For estimation of antioxidant parameters, the livers were homogenized (10%w/v) in ice cold phosphate buffer and centrifuged at 2000 rpm for 5 min at 4 ˚C in a cooling centrifuge. After centrifugation, the supernatant was separated and stored for further analysis.
Assay for Thiobarbituric acid reactive substance (Maleic dialdehyde)
Lipid peroxidation was estimated colorimetrically in the liver by quantifying TBARS according to the method of Ohkawa and Ohishi et al. [10]. For the estimation, 0.5 ml of supernatant was treated with 0.2 ml of 8.1% sodium dodecyl sulphate, 1.5 ml of 20% acetic acid adjusted to pH 3.5 with NaOH and 1.5 ml of 0.8% solution of thiobarbituric acid. The volume of the mixture was adjusted to 4.0 ml with distilled water and heated in a water bath at 85˚C for 60 min. Light pink color was developed. After cooling with tap water, 1.0 ml of distilled water and 5.0 ml of mixture of n-butanol and pyridine (15:1, V/V) was added. The mixture was shaken vigorously and then centrifuged at 4000 rpm for 5 min. After centrifugation, the organic layer was separated and its absorbance was read at 532 nm using a UV-visible spectrophotometer against a reagent blank. The amount of TBARS was calculated by using 1.56×105M-1 cm-1 as molar extinction co-efficient and the level of lipid peroxidation was expressed as nmol of maleic dialdehyde/mg of protein (MDA).
Assay for reduced glutathione content
Reduced glutathione (GSH) was determined colorimetrically by the method of Ellman et al. [11]. The Ellman’s reagent was prepared by dissolving 39.6 mg DTNB in 10 ml phosphate buffer (pH=7). For estimation of GSH, 0.5 ml of supernatant was treated with 3.0 ml of ethanol and 0.5 ml of Ellman’s reagent. The absorbance of the developed yellow color was read at 412 nm using a UV-visible spectrophotometer against a reagent blank. The reduced glutathione content was calculated by using 13,600M-1 cm-1 as the molar extinction co-efficient as nmol GSH formed/mg protein.
Determination of superoxide dismutase activity
Superoxide dismutase activity was assayed in terms of its ability to inhibit the radical-mediated autoxidation of epinephrine; using the method described by Misra and Fridovich et al. [12]. The reaction mixture consisted of 0.5 ml of carbonate buffer (pH=9.7), 0.5 ml of supernatant, 0.1 ml of EDTA solution (1×10-4 M) and 0.1 ml of epinephrine solution (3×10-3 M). The changes in the absorbance of this solution were read at 480 nm for 3 min at 30 sec intervals using a UV-visible spectrophotometer (against reagent blank). The activity of superoxide dismutase was calculated by using 4020 M-1 cm-1 as molar extinction co-efficient and expressed as Units/min/mg of protein.
Histopathological study of heart
For histopathology, the rats were sacrificed by cervical decapitation and their aortas were dissected out. During the procedure, ice was used to keep the aorta samples fresh and avoid any degradation. The aortas were stored in 10% formalin solution and sent to a local pathological laboratory for hematoxyline and eosin staining.
Statistical analysis
The results are expressed as mean±standard error of mean (SEM). The data were analyzed using one-way analysis of variance (one-way ANOVA) followed by Turkey’s test for comparison between groups. The criterion for statistical significance was p<0.05.
Table 1: In vitro inhibition of HMG CoA Reductase activity on Cassia fistula bark extracts
Concentration |
% inhibition |
IC50 µg/ml |
Blank |
0 |
|
MECF (100 µg/ml) |
43±0.12 |
150 µg/ml |
MECF (500 µg/ml) |
85±1.01 |
|
EECF (100 µg/ml) |
20±0.02 |
250 µg/ml |
EECF (500 µg/ml) |
32±0.02 |
|
Standard (Atorvastatin 100 µg/ml) |
65±1.10 |
75 µg/ml |
Values are expressed as mean±SEM, (n=6).
Table 2: Effects of methanolic and ethyl acetate extract of Cassia fistula on TC, TG, LDL, VLDL and HDL on rats fed on HFD.
Groups |
Cholesterol levels (mg/dL) |
Triglyceride levels (mg/dL) |
LDL levels (mg/dL) |
VLDL levels (mg/dL) |
HDL levels (mg/dL) |
Control |
104.2±2.47 |
79.83±1.68 |
37.73±2.30 |
15.8±0.33 |
46.83±2.15 |
Cholesterol control |
219.66±11.08a |
185.5±6.94 |
162.96±11.05 |
30.3±1.16 |
26.33±0.61 |
MECF (500 mg/kg) |
114.16±3.68ns,** |
115.5±5.5a,**,ns |
49.76±3.80a,**,a |
23±1.10a,**,ns |
41.66±0.88ns,**,b |
EECF (500 mg/kg) |
183.16±5.38a,**,a |
141±2.7a,*,A |
110.46±5.81a,ns |
27.6±0.91a,*,a |
47±1.43ns,**,a |
Standard (Atorvastatin) |
110.33±3.43 |
104.1±5.3 |
46.5±4.02 |
20.83±1.07 |
42.5±1.17 |
Values are expressed as mean±SEM, (n=6). All the groups were compared with control group, cholesterol control group and standard group. Significant values are expressed as c
Table 3: Effects of methanolic and ethyl acetate extracts of Cassia fistula on the biochemical parameters of the rats fed on a high-fat diet
Groups |
HMG CoA/Mevalonate ratio |
Superoxide dismutase |
Glutathione levels |
Maleic dialdehyde levels |
Control |
0.32±0.06 |
13.11±0.15 |
10.11±0.13 |
3.638±0.25 |
Cholesterol control |
0.54±0.06 |
8.48±0.17 |
7.30±0.12 |
8.99±0.18 |
MECF (500 mg/kg) |
1.14±0.04a,**,a |
11.46±0.19a,*,a |
10.06±0.01a,*,a |
6.65±0.15a,*,b |
EECF (500 mg/kg) |
1.63±0.05a,**,a |
9.79±0.18a,*,a |
7.54±0.12a,*,a |
5.28±0.14a,ns,b |
Standard (Atorvastatin) |
2.21±0.09 |
12.71±0.17 |
10.17±0.13 |
3.84±0.34 |
Values are expressed as mean±SEM, (n=6). All the groups were compared with control group, cholesterol control group and standard group. Significant values are expressed as control group (a=p<0.01, b=p<0.05), cholesterol control (**= p<0.01, *= p<0.05) and standard (a= p<0.01, b= p<0.05), ns-non significant.
Table 4: Effect of Cassia fistula extracts on atherogenic index and % Protection
Groups |
Atherogenic Index |
% Protection |
Control |
1.7±0.06 |
- |
Cholesterol control |
5.9±0.3 |
- |
MECF (500 mg/kg) |
2.76±0.11ns,**,ns |
52.82±4.1 |
EECF (500 mg/kg) |
3.01±0.09a,**,A |
65.50±3.9 |
Standard (Atorvastatin) |
2.45±0.16 |
40.47±3.8 |
Values are expressed as mean±SEM, (n=6). All the groups were compared with control group, cholesterol control group and standard group. Significant values are expressed as control group (a=p<0.01, b=p<0.05), cholesterol control (**= p<0.01, *= p<0.05) and standard (A = p<0.01, B = p<0.05), ns-non significant.
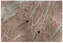
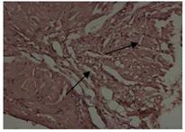
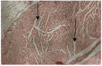
Histopathology studies
|
|
Fig. 1: Cholesterol control rat |
Fig. 2: Effect of MECF treated rat |
|
|
Fig. 3: Effect of EECF treated rat |
Fig. 4: Standard treated |
Fig. 1-4: Histopathological changes such as myocardial degeneration and inflammation of aorta occurred in rats during high fat diet intoxication and prevention by the treatment with methanolic (500 mg/kg) and ethyl acetate extract (500 mg/kg) of bark of Cassia fistula when compared to the standard Atorvastatin (10 mg/kg). The slides were studied under 200x magnification
RESULTS
Administration of Cassia fistula extracts in the doses of 2000 mg/kg and 5000 mg/kg resulted in no mortalities or evidence of adverse effects implying that Cassia fistula is non toxic. This showed that Cassia fistula was safe up to a dose of 5000 mg/kg. Phytochemical screening of the plant extract showed different phytoconstituents viz. carbohydrates, steroids, saponins and flavonoids, tannins and phenolic compounds. Presence of glycosides, triterpenoids, saponins, alkaloids and flavonoids are known to have antihyperlipidemic properties. Observed lipid lowering activity could be attributed to the presence of flavonoids in the extract.
In vitro HMG CoA Reductase inhibitor activity
Extracts of Cassia fistula bark was evaluated for HMG CoA Reductase inhibitor activity and was found that methanolic extract of Cassia fistula bark inhibited HMG-CoA reductase by 43% inhibition at 100 µg/ml, and 85% inhibition at 500 µg/ml. Ethyl acetate extract of Cassia fistula bark inhibited HMG-CoA reductase by 20% inhibition at 100µg/ml and 32% inhibition at 500 µg/ml (table 1). This shows that methanolic extract was found to be more potent when compared to that of ethyl acetate extract.
The antiatherosclerotic activity of methanolic and ethyl acetate extract of Cassia fistula was evaluated in rats receiving high cholesterol diet. Determination of body weight in experimentally induced atherosclerosis is considered to be a positive factor to find out the prognosis of disease [13].
Results indicated increase in body weight of animals from the beginning to the end of the experiment in all five groups, but at the end there is decrease in body weight in extracts treated groups as compared to high cholesterol diet treated group. High atherogenic index (A. I.) is believed to be an important factor for atherosclerosis. Results indicated that extracts were capable of potentially decreasing this risk factor (table 4).
In the present study, HMG CoA reductase activity was indirectly measured in terms of the ratio between HMG CoA and mevalonate [14]. The ratio was found to be inversely proportional to HMG CoA reductase activity, indicated that an increase in the ratio inferred a decrease in the enzyme activity. The methanolic extract of Cassia fistula produced a significant increase in HMG CoA/mevalonate ratio in liver as compared to the normal group (table 3).
Effect on serum lipid profile
Hyperlipidemia was induced by giving high cholesterol diet to the rats and we have found that total cholesterol, triglyceride, LDL, VLDL levels have been increased and decrease of HDL levels. After treatment with methanolic extract and ethyl acetate extract of Cassia fistula at a dose of 500 mg/kg reduced the serum cholesterol levels significantly (p<0.01) and standard group atorvastatin at a dose of 10 mg/kg showed significant (p<0.01) reduction in total cholesterol levels, triglyceride, LDL, VLDL, AI, increased HDL more % protection of the heart when compared to that of hyperlipidemic rats (table 2).
Effect on body weights
Post treatment with methanolic extract and ethyl acetate extract of Cassia fistula at a dose of 500 mg/kg decreased the serum body weights significantly (p<0.01) and standard group atorvastatin at a dose of 10 mg/kg showed significant increase in total HDL levels when compared to that of hyperlipidemia rats.
Effect on antioxidant parameters
It was found that in rats treated with methanolic and ethyl acetate extract of Cassia fistula at a dose of 500 mg/kg has increased the Superoxide dismutase levels, GSH levels significantly (p<0.01) and standard group atorvastatin at a dose of 10 mg/kg showed significant (p<0.01) increase in Superoxide dismutase levels when compared to that of hyperlipidemic rats. It was found that in rats treated with methanolic and ethyl acetate extract of Cassia fistula at a dose of 500 mg/kg has decreased the maleic dialdehyde levels (p<0.01) and standard group atorvastatin at a dose of 10 mg/kg showed significant (p<0.01) decrease in maleic dialdehyde levels when compared to that of hyperlipidemic rats (table 3).
DISCUSSION
There was distinct raise in the level of serum total cholesterol, triglycerides, phospholipids, LDL, VLDL and reduction in the level of good cholesterol carrier HDL in the animals treated with atherogenic diet. Elevated level of blood cholesterol especially LDL was the major risk factor for the coronary heart disease and HDL as cardio protective protein.
HMG CoA reductase is the rate limiting enzyme in the cholesterol biosynthetic pathway. It converts HMG CoA to mevalonate, so HMG CoA reductase inhibition would prevent the formation of mevalonate which in turn would decrease the sterol biosynthesis. In vitro HMG CoA reductase inhibition study has shown that the methanolic and ethyl acetate extract could inhibit the HMG CoA reductase. This elucidates the mechanism of action by which the Cassia fistula possesses antihyperlipidemic activity.
Atherosclerosis leads to tissue oxidant stress, due to reduction in antioxidant capacity generated by high cholesterol diet. Clinical studies suggest hyperlipidemia as one of the major risk factors for coronary disease, while preclinical observations demonstrate that atherosclerosis promotes accumulation of oxidized low-density lipoprotein (Ox-LDL) in the arterial wall, which plays a major role in the initiation and progression of the cardiovascular dysfunction associated with atherosclerosis [15].
Since oxidation of LDL plays a significant role in atherogenesis, amelioration of oxidative stress is equally important as controlling or decreasing hyperlipidemia. When summarized with the above results, the imbalance between oxidative stress generation and antioxidants formation could occur after feeding a high cholesterol diet. Nevertheless, extracts could prevent this pathological process, which indicated its therapeutic and preventive effect on hepatosteatosis induced by high cholesterol diet. Histopathology examination of aorta has shown normal integrity of cell membrane was maintained. Myocardial degeneration and inflammation was decreased in the groups treated with methanolic and ethyl acetate extracts of Cassia fistula when compared to that of cholesterol control group (fig. 1, fig. 2, fig. 3 and fig. 4).
CONCLUSION
Extracts were capable of potentially decreasing atherogenic Index and have increased the percentage protection. Superoxide dismutase and glutathione peroxidase levels have increased in the groups treated with extracts. Histopathology studies showed that the damage i.e. myocardial degeneration and inflammation that is caused due to atherosclerosis was found to be recovered. Hence it can be concluded that methanolic and ethyl acetate extract of Cassia fistula has antihyperlipidemic and anti-atherosclerotic activity on rats fed on a high cholesterol diet.
CONFLICT OF INTERESTS
Declared None
REFERENCES