1Department of Microbiology and 2Department of Biotechnology, Affiliated to Bharathiar University, Nehru Arts and Science College, T. M. Palayam, Coimbatore 641105, Tamilnadu, India
Email: anjanaajc@gmail.com
Received: 20 Apr 2015 Revised and Accepted: 15 Jun 2015
ABSTRACT
Objective: The researchers are searching for innate bioactive compounds, competent of curing various diseases. In the present study, the cytotoxicity and the angiogenic nature of the glycolipoprotein powder from the earthworm were considered for its pharmaceutical and biological uses.
Methods: The in vitro MTT (3-[4,5-dimethylthiazol-2-yl]-2,5-diphenyl tetrazolium bromide) assay of the glycolipoprotein powder (GLP) of the earthworm in the Murine embryonic fibroblast cell line (NIH 3T3) was performed. Further the haemolytic assay of the GLP was also tested. The angiogenic potential was also evaluated by the (in vitro) chick chorioallantoic membrane (CAM) model in 9 days old fertilized chick eggs.
Results: The MTT assay was performed wherein the cell response to extract was by dose-dependent manner and great cytotoxic effect was not shown for the tested concentrations. In the MTT assay increased cell viability (84%) was found at concentrations of 100 µg/ml. The hemolytic activity of the extract was also determined, wherein it showed insignificant lytic activity compared to the control. On performing the CAM assay, 500 μl extract (25 μg/ml) was found to increase the number of capillaries on the treated CAM surfaces after 72 hours of incubation.
Conclusion: These findings suggested that the earthworm powder possesses the significant angiogenic potential, which may be beneficial in the treatment of wound healing.
Keywords: Angiogenesis, Cytotoxicity, Chorioallantoic membrane, Hemolytic assay.
The scientists are always in search of bio potential compounds from natural sources for the treatment of various diseases. More and more researchers have focused on the analysis of bioactive proteins in earthworm coelomic fluid and glycolipoprotein powder. Thus, the search for natural bioactive molecules resulted in preparing glycolipoprotein [G-90] mixture from a tissue homogenate of the earthworm Eiseniafoetida [1]. There are reports of Glycolipoprotein extracts of E. foetida G-90 that exhibited different properties, which could be useful in the clinic wound healing [4]. Angiogenesis is important in normal processes such as the development of the embryo, formation of the corpus luteum, and wound healing [2,3].
The studies of G-90 have pointed that this mixture contains macromolecules in a ratio which maintains the physiological conditions convenient for the cell proliferation [4]. In our present study, we had prepared the Glycolipoprotein powder (GLP)from the earthworm Eudrilus eugeniae, which is native of Africa and is having good reproduction and maturation capability. The GLP is thus evaluated for its cytotoxicity and angiogenesis nature which in the near future could be developed to be a pharmaceutical bio-product.
The GLP was obtained by following the earlier procedures [5] with little modifications. The earthworms were fed with tissue paper so as to clean their own alimentary canal and then they were kept in 0.65 % sodium chloride. The solutions were changed for 1-2 times until their digestive system was completely clean. Three grams of earthworm tissue was homogenized with 40 ml of equal part of chloroform: methanol solution and left in 4 °C overnight. The following day, 16 ml of distilled water was added to the homogenate. It was mixed and centrifuged at 250 for 10 min and three clearly visible layers were obtained. The upper, water/methanol layer was-taken out by pipette and evaporated on a rota vapour until there was no more methanol. An opalescent fluid (pH 7) was obtained. It was lyophilised and the powder was stored at 4 °C for further use.
In vitro Cytotoxicity Assay was performed using the MTT assay. Murine embryonic fibroblast cell line (NIH 3T3) was obtained from National Centre for Cell Science (NCCS), Pune and grown in Dulbecos modified eagle's medium (DMEM) containing 10% fetal bovine serum (FBS). All cells were maintained at 37 °C, 5% CO2, 95% air and 100% relative humidity. Maintenance cultures were passaged weekly, and the culture medium was changed twice a week. The cell treatment procedure was done according to the method earlier described [6]. The MTT assay procedure [7] was done to determine the percentage of cell viability. The formazan crystals formed on performing the assay were solubilised in 100 µl of DMSO and then measured the absorbance at 570 nm using a micro plate reader. The % Cell viability was determined using the following formula.
% Cell viability = Abs (sample)/Abs (control) × 100
The hemolytic effect of the GLP extract on human erythrocytes was evaluated using washed erythrocytes following standard procedure [8]. Two fold dilution of the extract was made with phosphate-buffered saline. The erythrocyte solution and the extract were mixed (1:1 v/v) and incubated at 25 °C for 2 h. A negative control tube (containing phosphate buffered saline) and a positive control tube (containing distilled water) were also included. All the tubes were centrifuged for 10 min at 2000 rpm. The degree of haemolysis was determined by reading the optical density of the supernatant with a spectrophotometer at 405 nm.
The CAM Angiogenic Assay model was used to assess the angiogenic activity of the compound following the procedure of Lee and Luna, [2,9]. In this model, nine days old fertilized chick eggs were selected and a small window of 1 cm2 was made in the shell. Then, a sterile disc of methylcellulose loaded with 500 μl of GLP extract (25 μg/ml) was placed at the junction of two large blood vessels. The window was resealed with adhesive tape and the eggs were incubated at 37 °C in a well-humidified chamber. After 72 h, the tape was opened and new blood vessel formation was observed and compared with the control eggs containing discs without the extract.
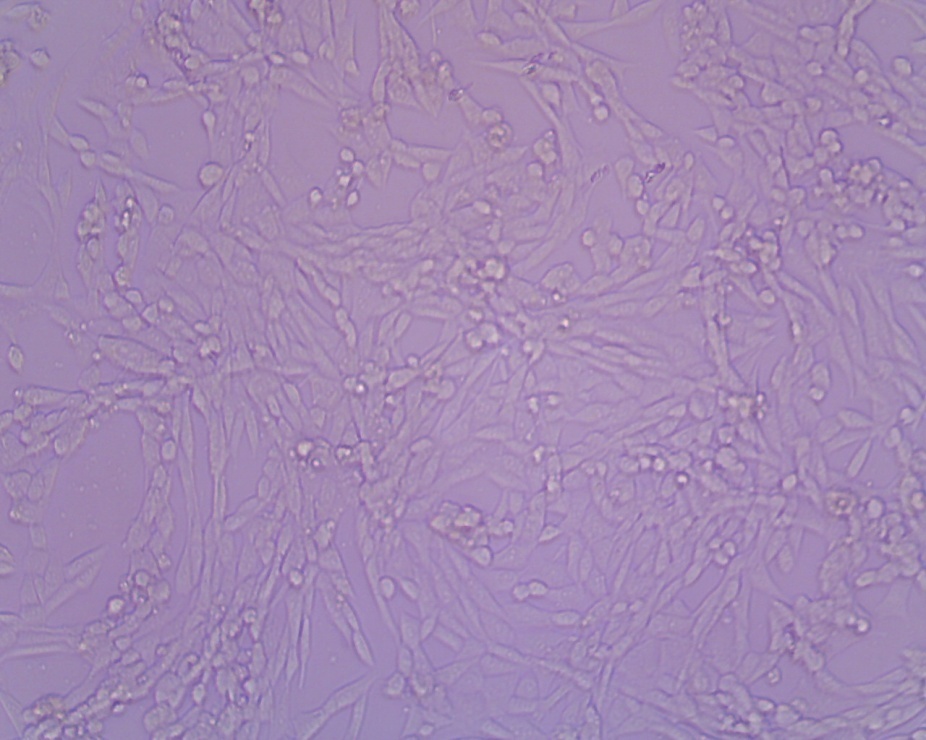
Thus the GLP powder of earthworm was prepared and its cytotoxic and angiogenesis potential, was confirmed. The MTT assay was performed wherein the cell response to extract was by dose-dependent manner. The greatest cytotoxic effect was not shown for the tested concentrations. The percent of viability was 84 % (at concentration 5 mg/ml) [table 1]. The data were expressed as mean±SD. Viable cells treated with MTT were distinguished by a pink, red or purple color in the cell cytoplasm or protoplasts and the non-viable cells; either showed a clear yellow color or did not change their color. The control shows a normal architecture of the cells which are polygonal in shape [10] [fig. 1]. These findings constitute an important issue when researchers carry out their experiments to evaluate the cytotoxic effect of natural and synthetic compounds for pharmaceutical and biological uses. A similar report was found in the case of the glycoprotein of Aloe vera which has wound healing effect as evidenced by the enhanced cell proliferation and migration [11]. The hemolytic activity of the extract was also determined, wherein it showed insignificant lytic activity compared to the control. Thus, the non-toxic and bio potential effect of the extract makes it suitable for the preparation of drugs involved in the treatment of various diseases.
Table 1: Shows the percentage of cell viability at various concentrations
| Cons (µg) | % Cell Viability |
| 6.25 | 100.6375+0.00625 |
| 12.5 | 100+0.015 |
| 25 | 98.26958+0.001 |
| 50 | 90.07286+0.008 |
| 100 | 83.78871+0.015 |
µg, microgram. The values were stated as mean±SD,N=3

Fig. 1: N1H 3T3 cell line treatged with 100 µg of GLP
Photographic presentation
Angiogenesis is a highly regulated process essential to reproduction and wound healing [12]. The chick CAM model was used as an in vitro model [2, 9]to assess the angiogenic activity of GLP.

Fig. 2: Normal Control of N1H 3T3 cell line
Fig 1 and 2 Shows MTT assay of N1H 3T3 cell line
The chick embryo CAM model is an extra-embryonic membrane that is commonly used in vivo to study both angiogenesis and anti-angiogenesis [13]. The 10thdaywas used in the experimental study because between the 8th and 10th day, the developing CAM vasculature would be ready to sprout in response to additional proangiogenic stimuli if present in the sample to be tested [14]. The CAM was examined for the number of blood vessel branch points. An angiogenic response occurs 72-96 h after stimulation in the form of increased vessel density around the implant, with the vessels radially converging toward the center like spokes in a wheel [15]. In the case of a glycolipoprotein extract (25 µg/ml), the increase in the capillaries was found after 72 h of incubation with compared to the control. Similarly the extracts from Halichondriapainceashowed angiogenic activity, including an increase in thickness of blood vessels compared to the control group at 40 and 80 μg doses [16]. The GLP powder with bio potential nature would be a better approach in the present time of synthetic products. Thus the GLP powder with non toxic and angiogenic nature is a potential agent for wound healing for both human and veterinary settings.
For the pharmaceutical and biological use of the natural products, it is essential to carry out in vivo experiments on laboratory animal for a better evaluation of their cytotoxicity in interaction with cell metabolites followed by histopathological analysis. Moreover, further studies should also be carried out to elucidate the active factors responsible for angiogenesis nature in the glycolipoprotein powder of the earthworm.
CONFLICT OF INTERESTS
Declared None
REFRENCES