1Department of Biotechnology, Sri Venkateswara college of Engineering, Post Bag No: 3, Pennalur, Sriperumbudur Taluk, Chennai 602117, Tamil Nadu, India, 2Department of Biotechnology, Rajalakshmi Engineering college, Thandalam, Chennai 602105, Tamil Nadu, India
Email: prabha@svce.ac.in
Received: 01 May 2015 Revised and Accepted: 15 Jun 2015
ABSTRACT
Objective: The main objective of this study is to reduce the lead induced toxicity in Labeo rohita using Hydrilla verticillata supplemented with normal fish food.
Methods: The fish were divided into three groups by treating with sublethal concentration of lead and feeding normal fish food, fish food supplemented with hydrilla dry powder and control fish without lead. After 21 days, the gill and liver tissue samples were collected and histological analysis was carried out.
Results: The histology of gill and liver of lead acetate induced toxicity against normal fish feed showed swollen gill, degeneration of lamella and hepatocytes and formation of cytoplasmic vacuoles. On the other hand, the histological changes were minimized in lead acetate induced toxicity against fish food supplemented with hydrilla and expressed apparently normal architecture.
Conclusion: Hence, it is proved that Hydrilla verticillata may be a very good keystone species to reduce lead toxicity in Labeo rohita.
Keywords: Hydrilla verticillata, Lead toxicity, Labeo rohita, Histology.
INTRODUCTION
Hydrilla is a non-native, aggressive, slender, submerged and perennial weed. Hydrilla verticillata is the only species of the genus hydrilla, belonging to the family Hydrochartitaceae. This plant grows very aggressively in a wide variety of water conditions and temperature. It forms thick mats on the water surface, which can reduce the flow of water in canals, damage dams and interferes with boating and fishing. It reduces diversity to a single species and affects fish populations [1]. Hence, efforts are being made to control the economic and ecological impacts of this weed [2]. Surprisingly, it has been noted recently that hydrilla is a rich source of variable nutrients and chemical constituents like saponins, vitamins, minerals, antioxidants, amino acids, detoxifying agents, etc. [3].
This noxious weed is used in a beneficial way to detoxify heavy metals in living organisms. Heavy metal contamination is a worldwide problem and poses a serious threat to mankind. According to the Commission for Environmental Cooperation, lead among the heavy metals, tops the list of developmental toxicants released by industries into the environment (CEC News 2005). Lead (Pb) is a non-essential and toxic heavy metal. It is cheap, useful, easy to mine, therefore ubiquitous-in air, food, water, soil, ceilings, etc. It has many uses in industry including manufacture of pipes, paints, enamel, glazes, motor industry and others. Its largest usage is in lead-acid storage batteries for motor vehicles and general industries [4]. It is an immunotoxicant which, through human exposure, results in immune function changes and has the potential to adversely affect human health.
The United States Environmental Protection Agency report generalizes that a regular diet of 2-8 mg of lead/kg of body weight per day, over an extended period of time, will cause death in most animals [5]. Generally, Pb exists in both organic and inorganic forms in the environment. The divalent form of Pb (II) is the stable ionic form present in the environment and is the one accumulated mostly by aquatic organisms. Aquatic organisms are susceptible to both organic and inorganic lead from water and sediment, but uptake of inorganic lead is relatively a slow process [6]. Pb enters the aquatic environment through erosion and leaching of soil, falling out of lead-dust, combustion of gasoline, industrial, municipal and agricultural waste discharge, run-off water deposits from streets and other surfaces as well as precipitation and loss of lead in fishing sinkers and scuba diving weights in inventories, etc., [7].
Fish is the important fauna easily affected by heavy metal contamination. It is a main part of food chain in aquatic environment and also a common source of protein. It contains a greater quantity of protein than any other living organism, contributing roughly about 75% of the weight of fish [8]. Labeo rohita is a widely consumed telost fish in Tamil Nadu, India and its impact on human health condition cannot be neglected. In addition, it is also suitable for monitoring of toxicity [9].
Histology is a powerful indicator to evaluate contaminant related stress in fish [10, 11]. Water pollution induces pathological changes in fish and histology is a useful tool to assess the degree of pollution [12]. Heavy metals can cause significant histopathological changes in fish tissue [13]. Gill is an important organ where absorption of heavy metals takes place from external aquatic to internal body environment and liver is a place where detoxification occurs in fish [14], hence, the histopathological analysis is performed in the gill and liver. The main objective of this study is to reduce the lead induced toxicity in Labeo rohita using normal fish food supplemented with Hydrilla verticillata.
MATERIALS AND METHODS
Fish food supplementation
Hydrilla verticillata dry powder was purchased from Lotus Super Foods, USA. The commercial fish food contains 32% protein, 4% fat, 4% fiber, and 11% ash (Abis fish food, Indian Broiler Group, Chhattisgarh, India). The commercial fish food was grounded in blender, hydrated with distilled water 2 ml/g of fish food, mixed with 20% hydrilla dry powder [15, 16] and extruded through string hopper machine. The mixture was made into small pellets and air dried at 70 °C for 48 h in hot air oven. Hydrilla verticillata supplemented fish food was stored at room temperature [17].
Fish maintenance
The fresh water fish, Labeo rohita (Rohu) (8-10 cm length and 28±0.6 g weight) was used for the toxicity tests. These were collected from ponds of northern districts of Tamil Nadu, India. The fish were acclimatized to laboratory conditions for a week. The fish were fed with normal feed (Abis fish food) and were starved for 24 h prior to the experimentation. After acclimatization, the fish were transferred to aquaria/trough with a capacity of 15 l. The physico-chemical characteristics of the water used for the experiments such as pH, temperature, dissolved oxygen concentration, total hardness, calcium hardness and chlorides were 7.4, 21°C-24°C, 60%-80%, 96 mg/l, 77 mg/l and 0.0007 mg/l respectively. The toxic concentration of chloride was far below 0.01 mg/l recommended by USEPA 1976 [18]. Analytical grade lead acetate (Janaki Scientific Company, India) was used as the metal toxicant. Acute toxicity test for lead was based on the standard method of USEPA, 1995 [19]. The fish were fed twice a day (2% of the initial body weight per day) with normal feed.
Determination of median lethal concentration (LC50)
To evaluate the fish viability and LC50 of lead acetate, the fish were exposed to different concentrations (14, 28, 42, 56, 70, 84 ppm) of lead acetate. The water quality parameters (temperature, dissolved oxygen, and pH) in the trough were maintained during the experiments. Stock solution of the test compound lead acetate and their dilutions was made according to the guidelines given by the Organization for Economic Co-operation and Development [20]. The mortality rate was determined from 24-96 h. Then the LC50 was calculated by probit analysis [21, 22].
Fish treatment and specimen collection
The 96 h LC50 value of Labeo rohita exposed to lead acetate was found to be 34.34 ppm. After the determination of LC50 the fish were exposed to 12 ppm which is 1/3 value of LC50 for 21 days, to observe the histological changes in gill and liver. Fish were divided into three groups as follows:
Group 1: Fed with normal fish food (Control)
Group 2: Treated with 12 ppm of lead acetate and fed with normal fish food
Group 3: Treated with 12 ppm of lead acetate and fed with fish food supplemented with 20% of hydrilla dry powder.
On day 21 of treatment, the fish were sacrificed and the organs gill and liver were collected.
Histological studies
Histological analysis was performed for gill and liver tissues of fish. Gill and liver tissues were preserved in 10% formalin for 24 h and washed with 70 % ethanol. They were processed to obtain five micron thick paraffin sections, then stained with Hematoxylin and Eosin [23] and examined under Olympus BX51 light microscope.
RESULTS AND DISCUSSION
Determination of LC50 concentration
The fish in the control aquarium were observed to be healthy, normal and no mortality was recorded. In lead-treated aquarium no mortality was observed at lead concentration of 14 ppm and 28 ppm after 96 h exposure. However, the fish exposed to the concentrations of 42, 56, 70 ppm and 84 ppm of lead acetate showed 33.33, 66.67, 83.33 and 100% mortality after 96 h respectively (table 1). It was observed that the percentage and number of survivors decreased with increasing concentration of lead in fish.
Table 1: Percentage of mortality of acute toxicity of lead acetate exposed in Labeo rohita for 96 h. Data is represented as±SD, n=6
| S. No. | Type of Aquarium | Concentration of lead acetate (ppm) |
No. of alive fishes | Mortality (%) |
| 1. | Lead acetate treated aquarium | 14 | 6 | 0.0 |
| 2. | 28 | 6 | 0.0 | |
| 3. | 42 | 4±0.63 | 33.33±10.54 | |
| 4. | 56 | 2±0.98 | 66.67±10.54 | |
| 5. | 70 | 1±0.63 | 83.33±10.54 | |
| 6. | 84 | 0 | 100 | |
| 7. | Control aquarium | 0 | 6 | 0.0 |
Note: Sample size, n = 6 and SD =±Average sample size (6)
The LC50 value was found to be 34.3 ppm for 60 days old Labeo rohita at 77 mg/l CaCO3 hardness. The present result agrees with the previously reported results [24]. Lethal and sub lethal concentration of lead for Labeo rohita was estimated as 84 ppm, and 12 ppm respectively, using lead acetate.
Histology
The histological changes in gill and liver were observed after 21 days of treatment in three different groups. The gill is a fascinating organ because of its multifunctional nature. It performs so many functions like aquatic gas exchange, osmotic and ionic regulation, acid-base regulation and excretion of nitrogenous wastes [25]. Gill is one of the important organs of the fish easily affected by environmental pollution due to its large surface area which is in contact with the water. Hence, the gills are good indicators of aquatic pollution [26]. Alterations in gill histology can serve as a potential biomarker of heavy metal toxicity [27, 28].
The microscopic examination of the gills of the control fish (fig. 1a) revealed normal histological structure of fish gills. The gill filaments are long thread like structure each gill filament contains an arch that bears two rows of non respiratory or primary lamellae (PL) and respiratory or secondary lamellae (SL) that run perpendicular to each primary filament. The gill epithelium is composed of a multilayered filamental epithelium called primary epithelium (PE). The secondary lamellae are separated by distinct inter lamellar spaces (ILS).

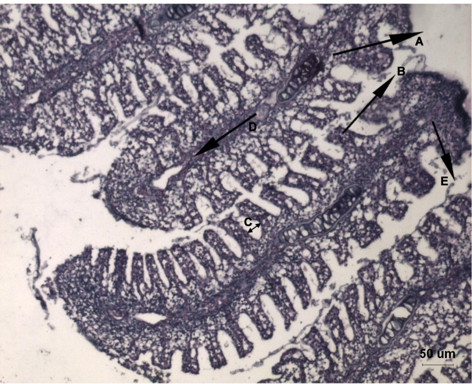
Fig. 1: A Photomicrograph of gills of control fish Labeo rohita stained with Hematoxylin and Eosin demonstrating normal gill structure. A-Primary Lamellae (PL), B-Secondary Lamellae (SL), C-Inter Lamellar Space (ILS), D-Cartiligous Rod, E-Primary Epithelium (PE). Scale Bar = 20 µm

Fig. 2: Histological alterations of gills of Labeo rohita fish exposed to lead acetate and fed with normal fish food stained with Hematoxylin and Eosin showing swollen gills. 1-Thickening of Cartiligous rod, 2-Edema, 3-Hyperplasia, 4-Shorter Secondary Lamella, 5-Hypertropy. Scale Bar = 50 µm

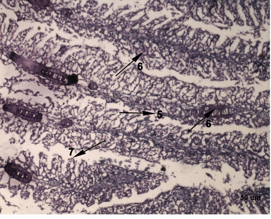
Fig. 3: Histological alterations of gills of Labeo rohita fish exposed to lead acetate and fed with normal fish food stained with Hematoxylin and Eosin showing 5-Fusion of Secondary Lamella, 6-Disappearance of Inter Lamellar Space, 7-Degeneration of Primary Filaments. Scale Bar = 20 µm

Fig. 4: Histological alterations of gills of Labeo rohita fish exposed to lead acetate and fed with normal fish food supplemented Hydrilla verticillata stained with Hematoxylin and Eosin showing normal architecture. A-Primary Lamellae (PL), B-Secondary Lamellae (SL), C-Inter Lamellar Space (ILS), D-Cartiligous Rod, E-Primary Epithelium (PE). Scale Bar = 50 µm
The gill of lead acetate exposed fish, fed with normal food (fig. 1b & fig. 1c) showed remarkable histopathological lesions like thickening of the supporting cartilaginous rods and hyperplasia of the epithelial cells that caused fusion of adjacent secondary gill lamellae. In addition, the secondary lamellae became shorter and lamellar fusion formed lumps. Further, edema between the primary epithelium and secondary lamella, severe degeneration with fibrosis in primary filaments and disappearance of inter lamellar spaces (ILS), were also observed. The gill of lead acetate exposed fish fed with supplementary food (fig. 1d) expressed apparently normal architecture of control fish.
The changes in the osmolarity of the water due to lead may cause lifting of the bronchial epithelium [29]. The dramatic increase of chloride cells in the gills that produce epithelial thickening of the filaments enhance migration of the chloride cells upto the edge of the secondary lamellae [30] and provoke hypertrophy and fusion of secondary lamellae. Thickening of the primary filament epithelial multilayer leads to edema. Hyperplasia and fusion of the secondary lamellae are defense mechanisms that could impair blood water exchange by reducing surface area of the secondary lamellae that is in contact with the water. The protection mechanism has not only reduced the contact area availability to the toxicant, it also has increased the diffusing or travelling distance of the toxicant to reach the blood circulation [31].

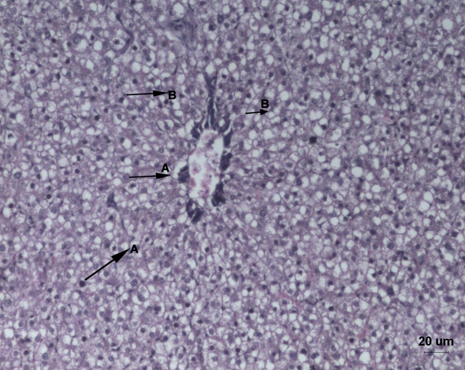
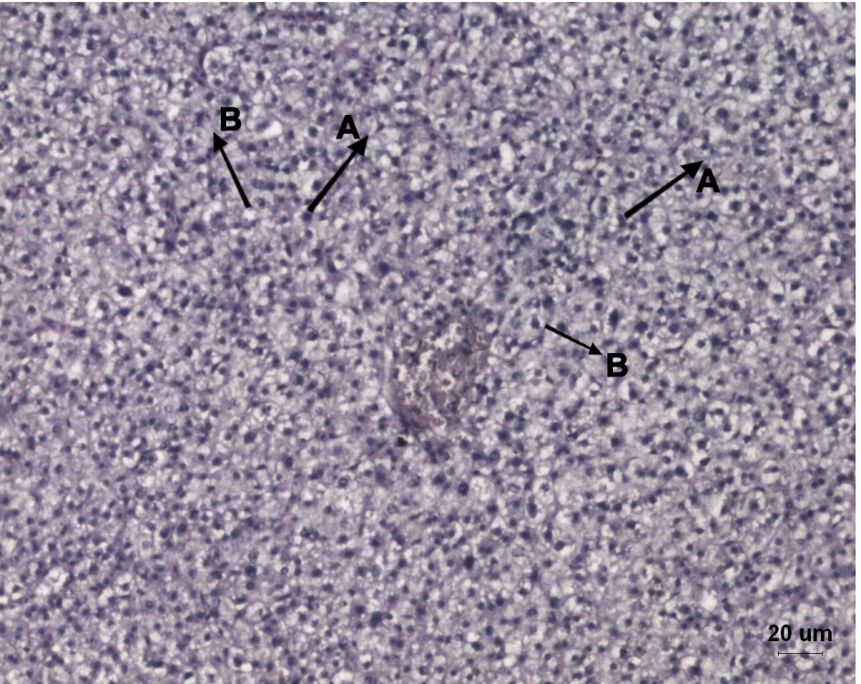
Fig. 5: A Photomicrograph of the liver section of Labeo rohita fish stained with Hematoxylin and Eosin showing A-Hepatocytes with a nucleus, B-Sinusoid. Scale Bar = 20 µm

Fig. 6: Histological alterations of liver of Labeo rohita fish exposed to lead acetate and fed with normal fish food stained with Hematoxylin and Eosin showing 1-Vacuolization of nucleus, 2-Cytoplasmic degeneration in hepatocytes, 3-Congestion of blood vessels, 4-Leukocyte infiltration, 5-Hypertrophy of hepatocytes. Scale Bar = 10 µm
The liver is a key organ which controls many biological functions and plays a prominent role in fish physiology both in anabolism and catabolism (Nitrogen, glycogenolysis, detoxification, etc.,). It is considered as a target organ for many biologicals that can alter liver structure and metabolism (Eg: food, pollutants, toxins and microorganisms) [32]. A histological alteration in the liver is a useful biomarker for toxicity studies [33]. Thus liver is a very interesting model for the study of interactions between environmental factors and hepatic structure and functions.

Fig. 7: Histological alterations of liver of Labeo rohita fish exposed to lead acetate and fed with normal fish food supplemented Hydrilla verticillata stained with Hematoxylin and Eosin showing normal architecture. A-Hepatocytes with a nucleus, B-Sinusoid. Scale Bar = 20 µm
The control group liver tissue (fig. 2a) generally exhibited a normal architecture with polygonal-shaped hepatocytes. These hepatocytes are located among blood capillaries called sinusoids, forming cord like structures known as hepatic cell cords. The liver of lead acetate exposed fish fed with normal food (fig. 2b) showed clear large vacuoles found between hepatocytes, congestion of blood vessel, leukocytic infiltration, necrosis and degeneration of blood vessel hypertrophy. Congestion is a blood circulation disturbance due to increased volume of the blood in the blood capillary. Vacuolar degeneration is known as an acute swelling of the organ. In addition, loose arrangement of hepatic cells and hepatocytes with large intracellular and intercellular vacuoles were observed [34]. The histopathological lesions in the liver may be attributed to enzymatic changes or metabolic changes due to contaminated water. The histology of the fish fed with supplementary food (fig. 2c) showed apparently normal structure of liver.
The supplementary feed contains 20% of hydrilla dry powder. Hydrilla is a rich source of variable nutrients, pytochemicals and antioxidant enzymes like guaiacol peroxidase, ascorbate peroxidase and catalase [35]. Invitro studies have revealed that it can accumulate heavy metals from the contaminated sites and it can decrease the toxicity of lead by about 68%-86% after 4 weeks for the maximum concentrations of 20 mg/kg in plants [36].
Lead toxicity inhibits the intake of calcium, since lead is a competitor for calcium [37]. It was reported that dietary Ca2+supplementation will be protective in reducing Pb burdens in fish exposed to environments contaminated with waterborne Pb [38]. The hydrilla is a rich source of calcium. It may compete with lead and increase the intake of calcium. This may be a repair mechanism of osmoregulation and ionic regulation in the gill.
Lead toxicity affects the hemoglobin synthesis by inhibiting the Amino Levuilinic Acid Dehydratase (ALAD) enzyme which leads to accumulation of Amino Levuilinic Acid (ALA) pool in the blood stream and it generates Reactive Oxygen Species (ROS)[39, 40]. It also affects the glutathione metabolism in liver by binding of lead to sulfhydryl groups of glutathione and other antioxidant enzymes, leading to production of ROS [41]. Since hydrilla contains a very good antioxidant system it may reduce the effects of reactive oxygen species [42]. So, the toxicity in liver may be reduced and it is expressed in the histological changes in the fish fed with supplementary food. In addition, the protective effect may be due to its ability to induce phase II detoxification pathway via promoting reduced glutathione (GSH) conjugation with toxic metabolites generated from CYP450 pathway [43]. Hence, it is proved that Hydrilla verticillata can reduce the detrimental effects due to lead toxicity in fish.
CONCLUSION
Hydrilla verticillata has a significant detoxification effect against lead induced toxicity in Labeo rohita. Therefore, the possible detoxification mechanism may be due to (i) osmoregulation and ionic regulations in the gill, (ii) presence of antioxidants, (iii) its ability to induce phase II detoxification pathway. This study provides evidence that Hydrilla verticillata may be a good keystone species to reduce lead toxicity in fishes.
CONFLICT OF INTERESTS
We declare that we have no conflict of interest
REFERENCES