aQuorum Sensing Laboratory, Centre for Research on Infectious Diseases (CRID), School of Chemical and Biotechnology, SASTRA University, Thanjavur, Tamil Nadu, India, bDepartment of Microbiology, JSS Medical College and JSS University, Mysore
Email: adlineprinzy@biotech.sastra.edu
Received: 01 May 2015 Revised and Accepted: 30 May 2015
ABSTRACT
Objective: Molecular recognition of AIP II mimics as a global inhibitor against the AgrC variants and to undertake a real-time clinical applications to treat the lysozyme mediated (tear protein) S. aureus adherence on contact lens.
Methods: Structure activity relationship of the mimic peptides against the receptor AgrC variants were studied to score the global inhibitor. Further, the activity of the mimics as inhibitors was validated through in vitro and in vivo analysis.
Results: Inhibition of agr expression of interstrains by the mimic compounds gained insight to recognize a “global inhibitor”. Further, the in vitro data were designed in such a way to provide a natural eye environment (artificial tears) to see the effect of mAIP IIa (IC50) showed a greater significance of eradicating the clinical isolate, S. aureus biofilm and various other secreted toxins.
Conclusion: The mimic peptide (mAIPII a) revealed to be a potential mimic of AIPII to show a broad range inhibition of all AgrC variants without any cytotoxic effects.
Keywords: Staphylococcus aureus, Bacterial keratitis, AIP II mimics, Lysozyme, Contact Lens.
INTRODUCTION
Staphylococcus aureus, a Gram-positive facultative pathogen is causative of a wide array of skin syndromes and other infections including sepsis, toxic shock syndrome, bacterial keratitis and osteomyelitis [1, 2]. Bacterial keratitis is severe sight threatening complication and prolonged negligence results in perforation and endophthalmitis. Bacterial keratitis is severe sight threatening complication and if untreated results in perforation and endophthalmitis [1]. Symptoms of bacterial keratitis include pain on rapid onset, redness of conjunctiva, corneal infiltration, blurred and hazy vision, and epithelial cell loss. Contact lens use is an important risk factor in the development of the Bacterial keratitis [2]. Some of gram positive bacteria actively indulging in contact lens related bacterial keratitis is coagulase negative Staphylococcus aureus, Streptococcus species, Pseudomonas aeruginosa [3]. The ability of these microorganisms to adhere on the contact lens and forming biofilms plays a very crucial role in the development of contact lens related eye infection. A two components signaling system coding for various toxins and cell wall associated proteins that evoke virulence is distinctive of these microbes [4]. Activation of agr (accessory gene regulator) system results in up-regulation of genes governing the production of its quorum sensing pheromones [5, 6].
Expression of agr operon comprises genes agr B, D, C and A [6, 7]. agrC influences the emergence of a transmembrane protein inclusive of a histidine kinase (HPK) domain that tends to be the chemoreceptor for the respective chemotaxis. Pheromones of S. aureus are auto inducing peptides (AIPs) formed by 7-9 amino acids [8]. AgrD, the AIP precursor is processed and cyclized by AgrB and spsB respectively before getting externalized. Fusion of the AIP thio lactone to the sensory second loop is followed by the interaction of the AIP tail to the first regulatory loop of the AgrC receptor. Followed by autophosphorylation of the HPK domain, response regulator AgrA substantially stimulates the autoactivation of promoter P2 preceding P3 activation. Transmembrane and extracellular components initiate synthesis of surface adhesion proteins and toxins via the above recurring cascade of reactions [9]. Diversification in the hyper-variable regions of agr locus has effected in S. aureus speciation into four different inter-strains producing their native AIPs. However, regardless of evolutionary modifications, receptor-ligand relationships are retained bringing about autologous and heterologous interactions [10]. In this regard, AIP II is studied to be the weak activator of its native agrC and a strong inhibitor of the other three variants [9, 10].
Structure-activity relationships reveal that AIP II is made of 9 amino acids where the α-carboxyl group of the C-terminal Phenylalanine and the thiol group of cysteine are linked thereby generating distinct thio lactone head and tail regions [9]. According to a previous report from our laboratory, amino acids glycine, isoleucine, phenylalanine and tyrosine effectively inhibit biofilm formation and virulence in S. aureus. These amino acids were partially and completely substituted with those of the head region (except cysteine) in a linear fashion with the absence of thioester linkage [11]. Around 600 mimic compounds that resulted from substitutions were designed and set to dock against the second sensory loop of the four AgrC receptors. Of all the mimics, two with the best binding affinities to the docked receptors were synthesized and validated for their activities through in vitro and in vivo disciplines. β-lactamase produced innately by the bacteria inactivate conventional antibiotic therapies by cleaving the β-lactam ring [12]. One of the roles in contamination and deterioration of the contact lenses was played by the adhesion of the tear proteins. The adherence of Staphylococcus aureus on contact lens was increased when the lenses have lysozyme bound to it [13]. The objective of the study is to develop an analogue of AIP that can deter the quorum quenching mechanism, demonstrating effective global anti-virulence strategy to effectively overcome lysozyme mediated S. aureus adherence on contact lens.
MATERIALS AND METHODS
In silico analysis
Protein sequence retrieval and transmembrane structure prediction
Protein sequences of transmembrane receptors AgrC-I, AgrC-II, AgrC-III and AgrC-IV were retrieved from National Centre for Biotechnology Information (NCBI) and their respective accession numbers are YP_001332979, YP_001442613, YP_044054, and ABB29292. The retrieved sequences were compared and analyzed for various protein domains, loops and conserved residues using multiple alignment softwares. Also evolutionary relationships between the retrieved sequences were studied. The crystal structure of retrieved sequences was not available in Protein Data Bank (PDB). NCBI BLAST was performed for the search of a relative template with crystal structure. Due to the unavailability of any respective templates in the databanks, threading was preferred over homology modeling [14]. The number of amino acids and lengths of the various loops and spanning segments were predicted using the transmembrane prediction softwares TMHMM-TOP 2.0, Hmmtop, P sipred and octopus.
Protein modeling
Prior to modeling, the retrieved sequences were given to the LOMETS site that collects high scoring target to template alignments from 10 threading programs namely PPA, SAM-TO2, SP3, PRC, MUSTER, HH search, PROSPECT2, FFAS, FUGUE and SPARKS. The model with the highest confidence score of the 10 and satisfying the alignment requirements as per the transmembrane software prediction (OCTOPUS) was chosen [15, 16].
Ligand preparation
Sensory head part of AIP II was considered for mimicking. The 5th position of all the AIPs consist cysteine which is highly conserved. Hence, the mimic AIP II (mAIP-II) sequences were formulated through permutations and combinations by partially or completely supplanting glycine, tyrosine, phenylalanine and isoleucine at all positions except that of cysteine in the linearized thio lactone ring sequence of natural AIP II. The structures were drawn using ACD Chemsketch software. Their respective 3D ligand files were prepared using Schrödinger Lig Prep. Addition of Kollmann charges and polar hydrogen were done to the 3D models of the designed mimics in order to make it feasible for docking using Schrödinger software.
Docking studies
Prepared ligands were docked into the second sensory extracellular loops of the protein models (receptors) using Grid-based Ligand Docking with Energetics (GLIDE) module of Schrödinger [17]. The grids were generated around the residual amino acids from 101-109 in the second loop of AgrC-I, AgrC-III and AgrC-IV, and from 42-50 residual amino acids in the first loop of AgrC-II, which defines the space for the ligand to bind with the protein model. Prepared ligands were split into 6 sets, and each set was docked against the modelled receptors using High Throughput Visual Screening (HTVS) docking, which was used for screening of very large number of ligands. Based on their best glide score top ten ligands from each set were shortlisted, then shortlisted molecules were docked using Standard Precision (SP) docking. Based on the glide score obtained from SP, the best five ligand molecules were shortlisted from each set and the ligands were further analyzed by Extra Precision (XP) Docking. Also, natural AIP molecules were docked against their respective receptor models using XP docking for comparison studies.
In vitro analysis
Bacterial strains and preliminary analysis
Owing to the types of agr systems in Staphylococcus aureus, four potential strains Agr I (RN6390B), Agr II (SA502A), Agr III (RN8463), ALC355 (Δ agr: :tetM) and QSL-33, a clinical ocular isolate was used for the study. Initially, bacterial growth curve analysis was done. Overnight cultures were grown in Tryptic Soy Broth (TSB) containing 0.25% dextrose at 37 ˚C in a shaking incubator. Optical density measurements were done at 600 nm. The concentration of AIP is high at the mid-exponential phase [18, 19]. Hence, for further analysis, mid-exponential phase cultures were used.
Isolation of natural AIPs
Overnight cultures were grown in TSB at 37 ˚C in a shaking incubator. A subculture was done and grown till 3rd hour that counted for 1.3x107 CFU/ml. With this as the inoculum, a 9 h subculture was made. The cells were centrifuged at 8000 rpm for 10 min at 4 ˚C. Supernatants containing the respective AIPs were collected and filtered using 0.22 μm Millipore nitrocellulose filter paper. The filtered samples were lyophilized and later dissolved in 0.1 M phosphate buffer (pH 6.5). The samples were stored at-20 ˚C until use [18].
Solid-phase mAIP-II peptide synthesis
AIP II mimics were synthesized by a standard solid-phase Fmoc (N-(9-fluorenyl) methoxycarbonyl) method using a Thura Med TETRAS synthesizer (Gen Script, USA). Fmoc solid-phase peptide synthesis was employed to build linear peptides. Peptides were synthesized from its C-terminus in stepwise addition of amino acids. Initially, the first Fmoc-amino acid was attached to an insoluble support resin via an amino acid labile linker. After deprotection of Fmoc by treatment with piperidine, the second Fmoc-amino acid was coupled utilizing a pre-activated species or in situ activation. After the desired peptide was synthesized, the resin bound peptide was deprotected and detached from the resin via TFA cleavage. The disulfide bond was introduced by unsymmetrical approach [9]. The peptides were purified to homogeneity (>98% purity) by HPLC (LC20HPLC, Shimadzu) and further analyzed by laser desorption mass spectrometry (LC-MS2020, Schimadzu).
Activation and inhibition assays
β-lactamase assay
β-lactamase assay was standardized with varying ampicillin concentrations (50-300 μM) and supernatant volumes (100-1000 μl) for activation and inhibition studies on the strains RN6390B, SA502A and RN8463, containing agr P3:blaZ reporter fusion. For activation of agr, the cultures were incubated with varying concentrations of isolated natural AIP. To test the inhibitory potential of the synthesized mimics, the cultures were subjected to different concentrations of mAIP-II(a) and mAIP-II(b). To test the same at elevated expression levels of agr, varying concentrations of the mimics were added in the presence of 100 nM of natural AIP. The concentrations of natural AIPs and synthesized mimics added ranged from 1 nM to 10 μM [20]. The above cultures were grown till the mid-exponential phase and β-lactamase assay was performed as further described. Cultures were centrifuged and 100 μl of supernatants were made up to 1 ml using phosphate buffer. 75 μl of the mixture was transferred to a 96 well microtitre plate. 5 μl of ampicillin (300 μM) was added and incubated for 30 min at 30 ˚C. 125 μl iodine was added and the absorbance was measured after 10 min at 490 nm using ELISA reader.
Data from the assay were plotted as β-lactamase reaction velocity versus log peptide concentration (in nM) and fitted to dose-response curves via the three parameter logistic equation (Standard Hill slope = 1.0) using GraphPad prism 6.0 based on the following equation:
Y=Bottom+(Top-Bottom)/(1+10^((LogEC50-X)*Hill slope))
IC50 and EC50 values were determined from the activation and inhibition curves [20]. mAIP-II(a), showing inhibition against agr group I and II strains was considered.
In vivo efficacy testing of mAIP-II(a)
Thirty, ten-week-old, pathogen-free, male Wistar rats (Rattus novargicus) weighing from 200-300g were used for the study (106/SASTRA/IAEC/RPP). All the experimental protocols were approved by an Institutional Animal Ethical Committee (IAEC). Animals were divided into six groups (n=5 per group). The three disease control groups were injected with Agr-(RN6911), Agr-I and Agr-II strains respectively. An additional control group was saline-injected. Treatment groups included animals subjected to Agr-I and Agr-II strains along with mAIP-II(a), diluted using 0.1 M phosphate buffer. Mid-exponential S. aureus cells (107 CFU/ml) were re-suspended in physiological saline prior to induction in the flank region sub-cutaneously [21]. The rats were observed for 14 days. On the day of sacrifice, animal body weights were determined. Also, hematological, serological and histopathological analysis was performed.
Application studies
Anti-adherence assay in Contact lens
In this assay the contact lens were placed in 24-well microtitre plates with appropriate inoculum of and mAIP IIa was added after the 18th h and it was noted as start of the 0th h and after 24 h, the contact lens was taken out using medical forceps and plunged into the 1 ml PBS placed in the Eppendorf and the 1 ml Phosphate Buffer Saline (PBS) was plated after serial dilutions to obtain the colony forming units. The assay was continued for 7 days with fresh Artificial Tear Fluid (ATF) in a new 24-well microtitre plates provided to the contact lens for every 24 hours. A graph was plotted between number of days and the log of CFU/ml.
The ATF was prepared with 1.4 g of Poly Vinyl Alcohol (Sigma Aldrich) and 0.6 g of Povidone (Sigma Aldrich) in 100 ml of sterile saline (0.9% NaCl) and pH was calibrated to 7.5 by adding NaOH. The fluid is filter sterilized by using filter paper [21]. Artificial tear fluid is used to mimic the eye environment by providing some physical chemical properties of natural tears like pH, viscosity, ionic strength.
Assessment of mAIP IIa cytotoxicity on HepG-2 cell lines
Cell Culture Studies
Hep-G2 cells were seeded in 48 well plate at a seeding density of 15,000 cells/well. The cells were checked for its confluence, once it has attained 70% of confluence, 4X concentration of the mAIP IIa was added. After 24 h of incubation, the supernatant was used for Lactate Dehydrogenase (LDH) assay. The remaining culture medium was analyzed for cell proliferation using LDH assay.
RESULTS
In silico
AgrC-I, C-III and C-IV protein sequences were 430 amino acids in length with 3 extracellular loops, 6 transmembrane helices and 4 intracellular loops while AgrC-II comprised of 371 amino acids 2 extracellular loops, 4 transmembrane helices and 2 intracellular loops. The proteins (AgrCI–IV) were modelled using fragmental approach that involves the subdivision of amino acid sequences into different segments. Loops that cover the extracellular sites may help in modulating channel entrance. The transmembrane bundle assumes an elliptical conic shape with its expanse into the cytoplasm being marginally prevalent than the extracellular moiety [21]. The arrangement of TM Segments is possible to recognize a core of internally grouped helices. Their respective interaction patterns are shown in fig.1. The extracellular loops are short arc shaped segments inserted between neighboring charged residues. The extracellular loop 2 is shorter than the extracellular loops 1 and 3 [22]. Terminally, there exists a HPK sequence facing the cytosol and reveal predominant helical motifs stabilized by polar interactions [23]. Docking studies using Schrödinger involving the various designed AIP II mimic molecules revealed mAIP-II(a) (cys-tyr-phe-leu-tyr) and mAIP-II(b) (cys-gly-tyr-phe-phe) to possess high glide scores corresponding to high binding affinities with AgrC receptors in comparison with natural AIPs (fig. 2).

Fig. 1 (i): Interaction patterns of mAIP-II(a) against transmembrane AgrC receptors: (a) Against AgrC-I with ile-103, lys-105 and thr-197 as interacting residues. (b) Against AgrC-II with phe-41, leu-42, ser-262, asn-264 and glu-191 as interacting residues. (c) Against AgrC-III with ile-103, ala-167, tyr-200 and glu-207 as interacting residues. (d) Against AgrC-IV with ile-103 as its only interacting residue
(ii): Interaction patterns of mAIP-II(b) against the receptors: (e) Against AgrC-I with ile-103, lys-105 and ile-200 as interacting residues. (f) Against AgrC-II with leu-44, ser-262 and glu-191 as interacting residues. (g) Against AgrC-III with ile-104, ala-167 and tyr-200 as interacting residues. (h) Against AgrC-IV with ile-103 and tyr-168 as its interacting residues

Fig. 2: Comparison of docking scores of various ligands with AgrC receptors: Designed mimics of AIPII (mAIP-II(a) and mAIP-II(b)) show appreciable binding against AgrC1, AgrC2, AgrC3 and AgrC4 compared to their respective natural AIPII peptides. High docking score in the negative scale corresponds to high binding affinity. mAIP-II(a) and mAIP-II(b) have docking scores of-7.7661 and-7.8494 against AgrC1 (a),-11.117 and-10.506 against AgrC2 (b),-7.59883 and-7.7778 against AgrC3 (c)-9.10824 and-10.3959 against AgrC4 (d) respectively
Table 1: Mimic peptides synthesized are biologically active when challenged with strains. Shown are the concentrations for activation and inhibition of the agr regulon by mAIP-II(a) and mAIP-II(b)
| Peptide | EC50 Activation(nM) | IC50 Inhibition(nM) |
| Variants | Variants | |
| I | II | |
| mAIP-II(a) | - | - |
| mAIP-II(b) | 15.94 | - |

Fig. 3: In-vitro studies: Iodometric β-lactamase assays were performed. (a) and (d) Group I cells were incubated with varying [Natural AIP I] alone, varying [mAIP-II(a) or mAIP-II(b)] with 100nM Natural AIP I and varying [mAIP-II(a) or mAIP-II(b)] alone. Similar studies were done in Group II cells (b) and (e) and in Group III cells (c) and (f) with their respective Natural AIPs. Data are represented as mean±SEM using GraphPad Prism 6 software

Fig. 4: Comparison of various biochemical parameters of the treated groups: * and ** denote statistical significances that were analyzed by performing multiple comparison tests in ANOVA using GraphPad Prism 6 software. Data are represented as mean±SEM (n=3)
In vitro
Increased concentrations of natural AIP resulted in activation of agr system in all the groups. Inhibitory activity of mAIP-II (a) against groups I and II, while that of mAIP-II(b) against groups II and III was significant, showing appreciable IC50 values (table 1). Also, the activity of mAIP-II (a) and mAIP-II(b) in the presence of elevated levels of AIPs showed significant curves (fig. 3).
Thiol ester groups are moderately good acylating agents, a property that is used in several biological processes. It is intriguing to speculate that on receptor binding, the thiolactone present in the AIPs could serve to be an acyl donor for the covalent modification of a specific residue within AgrC.
In vivo
For serological analysis, blood samples were collected through retro-orbital puncture from the rats just prior to sacrifice and centrifuged at 2000 rpm for 18 min. The supernatant was the serum containing various enzymes involved in different metabolic activities. Ten important biochemical parameters were analyzed using an Autoanalyser.
Albumin regulates osmotic pressure in the blood, while ALP-AMP, ALT and AST are involved in amino acid metabolism. Urea and uric acid was excreted by the kidney play vital roles in nitrogen metabolism. Glucose controls blood sugar level and intestinal metabolisms are regulated by triglycerides. Serum creatinine is a by-product of muscle metabolism indicating renal health. Owing to significant changes in the levels of these parameters, multiple comparisons were carried out among the different treated groups (fig. 4). Overall observation implies evident induction of infection in the diseased groups (Agr-, Agr-I and Agr-II diseased) and normal levels in the case of treated groups, rendering the mimic mAIP-II(a) to be biologically safe and non-toxic.
White Blood Cell (WBC) counts were determined manually using hemocytomer and differential staining and counting were done to obtain the number of neutrophils and lymphocytes. The bacteria produce a number of toxins, increasing their own intensity and henceforth dodging the host immune system. Simultaneous breakdown of tissue by the enzymes makes the microbes more invasive. As a result of the immune response evoked, chemicals and hormones are released into the bloodstream. An elevated WBC is one of the observed changes that can be rapidly measured as a result of infection.
The neutrophil counts from the blood samples collected 14 days after induction showed elevated response in the diseased groups than mAIP-II treated animals. Being some of the immediate appearing cells during the process of immune defense mechanism of the host, neutrophils migrate into the skin in response to invading pathogens. These cells respond to chemotactic signals present at the site of infection. Among the roles played by neutrophils in inflammatory and immune responses, are phagocytosis, killing of bacteria via the generation of reactive oxygen intermediates and the release of lytic enzymes stored in granules. It can be predicted that the initial deficiency of neutrophils could facilitate the in situ thriving of staphylococci to high numbers, leading to an uncontrollable course of infection and thus, despite adequate numbers of neutrophils at later time intervals, the skin infection continues. Higher number of neutrophils in the untreated groups however denotes the occurrence of chronic-active inflammation.
Lymphocyte counts in all groups were in concordance with these results, signifying healing process in the treated groups. It can be inferred from the graph that lymphocytes are elevated at the mAIP-II(a) treated groups which is a sign of chronic inflammation for those animals that are healing. Also, correlated results were observed with the spleen-body weight ratios determined for each group (data not shown).
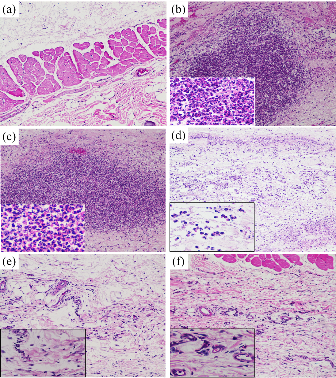
Sections of the skin at the infection site were stained with Hematoxylin-Eosin for histopathology studies (fig. 5). No tissue reactions were witnessed in the saline treated group. Severe tissue reactions with predominant neutrophils (micro-abscesses), plasma cells, macrophages, fibroblasts, lymphocytes and neutrophils were detected in all infected groups. Moderate collagen depositions and fibrous capsule or granulation tissue with angiogenesis imply chronic-active inflammation. Contrastingly, chronic inflammation was observed in mAIP-II (a) treated groups involving marked tissue reaction, predominant lymphocytes, few macrophages, granulation tissue with angiogenesis and sub-cutaneous edema.

Fig. 5: Histopathological studies of infected and treated groups: Hematoxylin-Eosin (HE) staining was performed to groups injected with saline (control) (a) and diseased with Agr-, Agr I and Agr II strains ((b), (c) and (d) respectively). The site of chronic-active inflammation is evident in all the disease controls. Chronic inflammation and angiogenesis are visible in the mAIP-II(a) treated groups diseased with (e) Agr I and (f) Agr II. (Magnifications used: 10x and 40x)

Fig. 6: S. aureus biofilm cell counts on contact lens for 7 days (The results are the means of the data performed in triplicates; IC50–27.6 mM; 2XIC50–55.2 mM; 4XIC50-110.4 mM)
The application potential of the mimic peptide, (mAIPIIa) was studied anti-virulent assays (Lipase, protease, hemolysin assay) clearly states the fact that the amount of haemolysin, protease, and lipase production(fig. 8,9,10) gets reduced on addition of the mAIP II to them. This in a way proves that the various IC50 concentrations of mAIPII added inhibit the agr mode of signal transduction, thereby reducing the amount of respective virulent proteins produced with respect to every 2 h time interval. Increasing the concentration of IC50 further reduced the virulent protein production, but not much difference was seen between 2x and 4x values of IC50 (data not shown). In the fig. 6 the viable planktonic bacteria were assessed and a 10 fold reduction (CFU) in the 4x concentration of the mimic peptide from day 1 to day 7. Analysis of variance show significance (P<0.05) when compared to the wild and mutant type.
DISCUSSION
Evolutionary relationships among transmembrane sequences of the inter-strains of S. aureus showed that AgrC-I and AgrC-II are highly deviated. But AgrC-IV showed higher similarity to AgrC-I. Also, AgrC-I and AgrC-III are less similar. This confirmed the results from earlier published data that Agr-I and Agr-II are parental strains while Agr-III and Agr-IV would have later evolved from Agr-I through a series of mutations.
The agr of staphylococci is one of the few characterized systems confiding virulence production and toxicity. The study of the locus has revealed the possible mechanism of quorum sensing adopted by the bacteria to establish elevated levels of its pheromones. The genetic factors under the control of the other promoter P3 that are otherwise collectively recognized as sar A system, are controllers of biofilm matrices and other surface binding proteins. Auto-activation of the quorum circuit through a series of response regulations are consequences of P2 driven AgrC-AIP interactions. Inactivation of either or both agr and sar pathways leads to significant interruptions in the natural functioning of the virulence mechanisms. Doubtless, there could be several other reactions likely to influence or be influenced by these pathways.
AIP II responsible for weak autologous and strong heterologous gene expressions was considered for mimicking. Cysteine (5th amino acid from C-terminal) inclusive of a disulphide bond is highly conserved for linking head and tail realms, irrespective of allelic variations in agr gene. Linear mimics of sensory thio lactone ring of AIP II with unvarying cysteine residue were designed and docked, out of which two mimics with the best binding affinity towards AgrC, the molecular locus of agr gene expressions were synthesized and validated in vitro. mAIP-II (a), displaying less receptor binding affinities in comparison with mAIP-II(b), showed better inhibitory effects.
The parent strains Agr I and Agr II possessing greater significance compared to the strains Agr III and Agr IV, were considered for in vivo studies along with Agr-as a positive control. Several analysis that was performed as a part of in vivo studies with mAIP-II(a) as a therapeutic agent infer the drug to be a non-toxic, potent competitive inhibitor against the considered staphylococcal strains.
The bacteria gaining increased resistance to antibiotics have necessitated the discovery of a novel anti-virulent compound devoid of a β-lactam ring coupled with high inhibitory effect. Quorum sensing mechanisms can be ceased by a molecule binding to the same pocket as that of natural AIP with diminished release of toxins and virulence. This shall result in reduced cell density, where the number of pheromones will be less than threshold level, where an anti-virulent strategy can be developed. Further investigations of the effect of mAIP-II (a) on clinical strains can be observed and cell line analysis can be performed to check its potency.
The adherence was reduced by the addition of a peptide mimic (4x) concentration. Based on the above results the mimic peptide may offer an excellent broad spectrum anti-quorum molecule showing activity against S. aureus The study elaborates the working of the mimic peptides of AIP-II which works by inhibiting the quorum sensing pathway of the S. aureus and was proved by the anti-adherence assay as it revealed the number of cells being reduced without killing them at the end of day 7. Hence mimic peptides may be applied to coat the contact lens or may be used as a constituent in contact lens cleaning solutions
CONCLUSION
Staphylococcus aureus, a predominant pathogen to adhere to the contact lens and cause eye related infections, bacterial keratitis. The emergence of antimicrobial resistance evolved the pathogen to be more aggressive to cause chronic infections. As an alternative strategy to overcome the antimicrobial resistance, our research group has intended to exploit the intra-species communication established (Quorum sensing). Since, the agr quorum sensing pathway (intra-species communication) to get activated or deactivated depends on the concentration of the signal peptide (AIP). The phenomena complicate with the AIP variance. So, the earlier findings of our research group to use peptide-mimetic approach to design, develop and validate the AIP II mimics (as AIP II is a weak activator of its own and cross inhibitor of others) have gained its potentiality to eradicate the lysozyme-mediated S. aureus adherence to contact lens.
ACKNOWLEDGMENT
The authors are thankful to the Fast Track scheme (SR/FT/lS-135/2008), Department of Science and Technology, Government of India for funding the project and Dr. S. Swaminathan, Dean Sponsored Research, SASTRA University, Thanjavur for providing Schrödinger software needed to undertake the computational studies. We are also grateful to Professor Christiane Wolz (Institute for Medical Microbiology and Hygiene, University of Tübingen, Germany) and the Professor, Skirball Institute of Biomolecular Medicine, for gifting the mutant strains.
CONFLICT OF INTERESTS
Declared None
REFERENCES