aPharmacognosy Department, cTherapeutic Chemistry Department, dPhytochemistry and Plant Systematic Department, National Research Centre, 33 El-Bohouth St., Dokki, Cairo, Egypt. ID: 60014618, bPharmacognosy Department, Faculty of Pharmacy, Cairo University, Cairo, Egypt
Email: manal_hamed@yahoo.com
Received: 05 May 2015 Revised and Accepted: 15 Jun 2015
ABSTRACT
Objective: The antioxidant and hepatoprotective activities of ethyl acetate (EA) fraction of the dried aerial part of Justicia spicigera were evaluated and the characterization of its anthocyanin content was done.
Methods: Hepatic fibrosis was induced by carbon tetrachloride (CCl4) in rats. The ethyl acetate fraction was obtained by successive liquid/liquid fractionation of the crude cold ethanolic extract and the pigments were characterized by HPLC technique. The in vitro studies were carried out through evaluation of the EA fraction on the attenuation of 1, 1-Diphenyl-2-picrylhydrazyl (DPPH) free radicals. The in vivo biological evaluation was done in CCl4 injured rats through determination of liver function indices, oxidative stress markers and the histopathological picture of the treated liver.
Results: The phenolic content in the EA fraction was 42.94 mg/g. Twelve anthocyanins were identified, the major of which are peonidin 3, 5-diglucoside (64.30%), malvidin 3, 5-diglucoside (10.59%) and petunidin 3,5-diglucoside (4.71%). Treatment of CCl4 intoxicated rats with EA fraction recorded improvement in the liver function indices and oxidative stress markers. The histopathological observations confirmed our results.
Conclusion: The ethyl acetate fraction of the dried aerial part of Justicia spicigera recorded antioxidant and hepato protective activities.
Keywords: Justicia spicigera, Acanthaceae, Phenolic content, Anthocyanins, Oxidative stress, Histopathology.
INTRODUCTION
Hepatotoxicity is the most widespread pathology worldwide, representing up to 83% of all cases. Hepatitis, viral infections, food additives, alcohol, toxic industrial chemicals, air and water pollutants represent the major risk factors for liver toxicity. There is increasing evidence that free radicals and reactive oxygen species play a crucial role in various steps that initiate and regulate the progression of liver diseases independently from the original agent [1, 2].
CCl4 is a potent environmental hepatotoxin [3] thus, in addition to hepatic problems, causes dysfunction of the kidneys, lungs, testis, brain, and blood by generating free radicals [4, 5]. CCl4 requires bio activation in phase I of the cytochrome P450 system to form the reactive metabolic trichloromethyl radical (•CCl3) and trichloromethyl peroxy radical (•OOCCl3). These free radicals can bind with polyunsaturated fatty acids to produce alkoxy (R•) and peroxy radicals (ROO•) that, in turn, generate lipid peroxides that are highly reactive, change enzyme activity, and finally induce injury or necrosis with corresponding health problems [6]. Free radicals of CCl4 reduce the GSH contents and the activities of antioxidant enzymes, leading to hepatic injury [7]. The depletions of these antioxidant enzymes occur secondary to the controlling action against peroxy radicals produced by CCl4. Reactive oxygen species causes oxidative DNA damage in the form of DNA adducts genetic mutation, strand breakage, and chromosomal alterations [8]. DNA fragmentation causes p53 gene expression, blocks the cell cycle, and gives additional time to repair DNA. However, severe DNA damage triggers apoptosis [9]. Hepatic damage induced by CCl4 resulted in an increase in serum aspartate transaminase (AST) and serum alanine transaminase (ALT) concentrations [3, 10, 11]. The elevation of the concentrations of serum enzymes such as AST and ALT is generally regarded as one of the sensitive markers of hepatic damage [12].
The candidate plant chosen for the present study is Justicia spicigera (JS) (Acanthaceae) is an ever green shrub with tubular orange flowers that grows in hot climates, native from Mexico to South America. This specie of Justicia is described as erect or scandent perennial herbs or sub shrubs [13, 14].
Ethno pharmacological study of Justicia spicigera referred its use for the treatment of chronic head-aches, hypertension and epilepsy, so as for the treatment of ailments related to the digestive system, such as stomach pain, diarrhea, and dysentery as well as for constipation. In addition, it is used in skin diseases such as erysipelas (skin infection caused by the itch mite), syphilis, tumors, or difficult-cure pimples. It’s also indicated for use in fever, kidney infection, anemia, so as anti-inflammatory, for dizziness and sleep, and some respiratory ailments such as cough, bronchitis and constipation [15]. There are also reports that the aerial parts are used in Mexican traditional medicine for the treatment of diabetes [14].
With increasing recognition of herbal medicine and phytotherapy as alternative forms of health care, the novelty of this study was to evaluate the ethyl acetate fraction of Justicia spicigera aerial part as anti fibrotic and hepatoprotective agents against CCl4-induced hepatic injuries in rats.
MATERIALS AND METHODS
Plant materials
Fresh aerial parts of Justicia spicigera were collected at March 2013-2014, from Giza zoo, Giza, Egypt. Specimen of the plant was identified by Mrs. Trease Labib Consultant of Plant Taxonomy at the Ministry of Agriculture and director of Orman Botanical Garden, Giza, Egypt. The collected aerial parts were air-dried, powdered and kept in tightly-closed containers until needed. Voucher specimen (JSAP-2014), as a reference, was deposited in Pharmacognosy Dept., National Research Center, Cairo, Egypt.
Chemicals
All chemicals in the present study were of analytical grade, product of Sigma (US), Merck (Germany) and BDH (England).
Plant extractions
Three kilograms of dried aerial part of Justicia spicigera were extracted with cold ethanol (95%) till complete exhaustion. The obtained crude ethanolic extract was successively fractionated by liquid/liquid fractionation the following solvents, petroleum ether, chloroform, ethyl acetate, and butanol. The extracts were then concentrated to dryness using the rotary evaporator under vacuum and controlled temperature (40-50 °C). The obtained extracts were kept in refrigerator till further investigation.
Determination of total phenolic content (TPC)
The total phenolic content (TPC) in all and fractions determined following the Folin-Ciocalteu method.[16]. The reaction mixture was composed of 0.1 mL extract (1 or 10 mg/ml, depending on the activity), 7.9 mL distilled water, 0.5 mL of Folin-Ciocalteu reagent and 1.5 mL of 20% sodium carbonate anhydrous solution (added 2 min after the Folin–Ciocalteu reagent). After initial mixing, the opaque flasks were allowed to stand for 1 h. The optical density of the blue-coloured samples was measured at 765 nm. The total phenolic content was determined as gallic acid equivalents (GAE) (Sigma-Aldrish, USA, 97.5:102.5%) and expressed as mg of gallic acid/g of extract.
The extract or fraction that recorded the highest phenolic content was separated by HPLC technique and its anthocyanin content was determined.
Anthocyanins determination in the ethyl acetate fraction
The dried ethyl acetate fraction (20g) under investigation was obtained from 538g of the crude extract that is represented by a ratio of 3.7%. Anthocyanins were assayed by the method of Watada and Abbott [17]. The filtrate of ethyl acetate fraction was subjected to separation by HPLC with the following conditions: flow rate 1 ml/min, Agilent 1100 series (Waldborn, Germany), quaternary pump (G1311A), Degasser (G1322A), Thermo stated Auto samples (G1329A), variable wave length detector (G1314A) and the separating column (Zorbax 300SB C18 column, Agilent Technologies, USA).
Injection was carried out at wave lengths 280 nm for separation. The solvent system consisted of methanol with 0.1% formic acid (solvent A); acetonitrile with 0.1% of formic acid (solvent B). The gradient system was started at 30% of solvent B, increasing to 60% over 10 min, increasing to 100% over 5 min and then returning to 30% over 5 min. The injection carried out under ambient temperature.
In vitro antioxidant assay
Ethyl acetate fraction (50 and100µg) was examined for its in vitro antioxidant activity by the method of Chen et al.[18]. 2 mL of 100 µM DPPH-solution in ethanol was mixed with 2 mL of 100µg/ml extract. The effective test concentrations of DPPH-and the extract were 50µM and 50µg/ml, respectively. The reaction mixtures with different dilutions were incubated in the dark for 15 minutes and thereafter the optical density was recorded at 517 nm against the blank. For control, 2 mL of ethanol was added instead of plant mixture and run simultaneously as the test. Vitamin C; as a standard (Intensive Nutrition Inc., San Leandro, USA, 99.9%) was run exactly as the test.
CALCULATION
The decrease in optical density of DPPH-was calculated in relation to control as follows:
% IP = [(A control-A sample)/A control] x 100
In vivo hepatoprotective, antifibrotic and antioxidants evaluations
Animals
Male Wistar albino rats (100: 120g) were selected for this study. They were obtained from the Animal House, National Research Center, Egypt. All animals were kept in the controlled environment of air and temp with access of water and diet.
Ethics
Anesthetic procedures and handling with animals complied with the ethical guidelines of the Medical Ethical Committee of the National Research Centre in Egypt (Approval no: 11148; on 24 April, 2014).
Doses and route of administration
CCl4 was diluted in olive oil (1:9 v/v) and intraperitoneally injected at a dose 0.5 ml/kg body weight [19]. The ethyl acetate fraction was orally administered at a dose of 500 mg/kg body weight [20]. Silymarin; a reference herbal drug (Henan, China, 80%) was administrated orally at a dose 100 mg/kg body weight [21].
Experimental design
Forty male albino rats were selected for this study and divided to four groups (ten rats each). Group 1 was normal healthy control rats. Group 2 was intraperitoneally injected with CCl4 (0.5 ml/kg body weight; twice a week for 6 weeks). Groups 3 forced at the same time and for the same duration with CCl4 and EA fraction (500 mg/kg body weight; twice a week for 6 weeks). Group 4 forced at the same time and for the same duration with CCl4 and silymarin drug (100 mg/kg body weight; twice a week for 6 weeks).
Sample preparations
Serum sample: Blood collected from each animal by puncture the sublingual vein in a clean and dry test tube, left 10 minutes to clot and centrifuged at 3000 r. p. m for serum separation. The separated serum was stored at-80oC for further determinations of liver function enzymes and serum total protein content.
Liver homogenates: Liver tissue was homogenized in normal physiological saline solution (0.9% NaCl) (1:9 w/v). The homogenate was centrifuged at 4oC for 5 min at 3000 rpm and the supernatant was stored at-80oC for further estimation of hepatic oxidative stress markers; glutathione (GSH), malondialdehyde (MDA) and superoxide dismutase (SOD).
Hepatic oxidative stress parameters
Malondialdehyde (MDA) was assayed according to the method of Buege and Aust.[22] Malondialdehyde; a product of polyunsaturated fatty acids oxidation, was calculated using the extinction coefficient value 1.56 × 105 M-1 cm-1 and read at 535 nm.
Glutathione (GSH) was assayed according to the method of Moron et al [23]. using dithiobis-2-nitrobenzoic acid (DTNB) in PBS. The reaction colour was read at 412 nm.
Total superoxide dismutase (SOD) was assayed according to Nishikimi et al. [24], where the increase in NADH oxidation was measured at 560 nm using its molar extinction coefficient 6.22 × 103 M-1 cm-1.
Serum biomarkers for liver function tests and total protein level
Aspartate and alanine amintransferases (AST & ALT) were estimated by the method of Reitman and Frankel [25] using Diagnostic kit (Biodiagnostic, Egypt), where the transfer of amino group from aspartate or alanine formed oxalacetate or pyruvate, respectively and the developed colour was measured at 520 nm.
Alkaline phosphatase (ALP) was measured by the method of Belfield and Goldberg [26] using Diagnostic kit (Biodiagnostic, Egypt), where it catalyzed in alkaline medium the transfer of the phosphate group from 4-nitrophosphatase to 2-amino-2-methyl-1-propanol (AMP) and liberated 4-nitrophenol. The developed colour was measured at 510 nm.
Gamma glutamyl transpeptidase (GGT) was estimated by the method of Szasz [27], where GGT enzyme reacted with L-g-glutamyl-3-carboxy-p-nitroanilide and glycyl-glycine to give L-g-glutamyl-glycyl-glycine and 5-amino-2-nitrobenzoate. The decrease in absorbance was read at 450 nm at 1 min intervals for 3 minutes.
Total protein was assayed by the method of Bradford [28], where Coomassie Brilliant Blue dye reacted with Bradford reagent and gave a blue complex at 595 nm.
Histopathological study
Liver slices were fixed in 10% paraformaldehyde and embedded in paraffin wax blocks. Sections of 4μm thick were stained with hematoxylin & eosin (H&E) and Masson’s trichrome, then examined under light microscope for determination of pathological changes [29].
Statistical analysis and calculations
All data were expressed as mean±SD of six rats in each group. Statistical analysis was carried out by one way analysis of variance (ANOVA), Costat Software Computer Program. Significant difference between groups was at p<0.05.
% change = [(control mean-treated mean)/control mean] × 100.
% improvement = [(treated mean-injured mean)/control mean] × 100.
RESULTS
Table 1 represents the total phenolic contents of Justicia spicigera extracts. The ethyl acetate fraction showed the highest phenolic content as it reached 42.94 mg/g (4.294 % wt/wt) of the dried extract. Anthocyanins’ content in EA fraction of Justicia spicigera was shown in table (2). Peonidin 3, 5-diglucoside recorded the highest concentration, where it reached 64.30% of the total identified compounds.
Table 1: Total phenolic content of Justicia spicigera extracts
| Extract and fractions | Phenolic content (mg/g) |
| Ethanol (95%) | 26.54b±0.58 |
| Petroleum ether | 9.13d±0.32 |
| Cholroform | 13.63c±0.51 |
| Ethyl acetate | 42.94a±0.62 |
| Butanol | 8.76d±0.73 |
| Water | 42.39a±0.14 |
Table 2: Anthocyanins in EA fraction of Justicia spicigera
| Compound | (Peak area concentration %) |
| Delphinidin 3,5-diglucoside | 2.93 |
| Cyanidin 3,5-diglucoside | 2.57 |
| Petunidin 3,5-diglucoside | 4.71 |
| Peonidin 3,5-diglucoside | 64.30 |
| Malvidin 3,5-diglucoside | 10.59 |
| Cyanidin 3-glucoside | 2.31 |
| Petunidin 3-galactoside | 0.81 |
| Pelargonidin 3-glucoside | 0.48 |
| Peonidin 3-glucoside | 1.44 |
| Malvidin 3-glucoside | 2.01 |
| Petunidin 3-glucoside | 1.49 |
| Malvidin 3-galactoside | 2.04 |
Concerning the in vitro antioxidant effects of the EA fraction of Justicia spicigera, it recorded inhibition of DPPH free radicals by 82.00% for the concentration 10µg of the extract. Vitamin C; as a standard material recorded an inhibition by 43.47% for the same concentration. At a concentration of 50µg of the ethyl acetate fraction, the inhibition percentage reached 92.00%. Vitamin C showed inhibition by 80.85% for the same concentration (table 3).
Regarding the fibrotic liver induced by CCl4 in rats, the liver function indices; AST, ALT, ALP, GGT and total serum protein contents recorded significant increase in CCl4 injured rats as compared with the normal control group. This increase reached 48.57, 85.06, 190.08, 101.35 and 32.75%, respectively (table 4). In case of AST enzyme activity, treatment of CCl4 injured rats by the EA fraction of Justicia spicigera aerial parts and silymarin drug recorded the significant decrease in its activity by 20.19 and 30.44%, respectively compared to the injured group. Therefore treatment with plant fraction and drug ameliorated AST enzyme activity by 30.00 and 45.23%. Treatment of CCl4 injured rats by the plant fraction and silymarin drug recorded the significant decrease in ALT enzyme activity by 25.67 and 29.82%, respectively. Therefore, improvements in ALT activity were noticed after treatments by 47.51and 55.20%. Concerning the ALP enzyme activity, a significant reduction in its activity was observed in CCl4 injured rats after treatment with the fraction as well as silymarin drug by 43.52 and 23.63%, respectively.
Treatment with this fraction and silymarin improved ALP enzyme activity by 126.27and 68.57%, respectively. GGT enzyme showed a significant reduction after treatment of CCl4 rats group with the ethyl acetate fraction of Justicia spicigera and silymarin by 33.85 and 28.72%, respectively. Hence, GGT enzyme was ameliorated after treatment by 68.17 and 48.13%, respectively. Treatment with the fraction as well as silymarin drug significantly decreased the total serum protein content by 16.10 and 9.09%, respectively. Therefore, treatment with this fraction and silymarin drug improved the total protein content by 21.37and 12.06%, respectively.
Table 3: In vitro antioxidant effect of Justicia spicigera ethyl acetate fraction
| Fraction and standard | Concentration (µg) | % of antioxidant activity |
| Vitamin C | 10 | 43.47 |
| 50 | 80.85 | |
| Ethyl acetate | 10 | 82.00 |
| 50 | 92.00 |
Table 4: Effect of treatment with ethyl acetate plant fraction on liver function indices in CCl4 injured rats
| Groups | AST | ALT | ALP | GGT | Protein |
| Control | 2.11c±0.11 --- |
2.21c±0.16 --- |
116.81d±8.26 --- |
33.97c±2.78 --- |
14.50c±0.84 --- |
| CCl4 | 3.12a±0.07 (+48.57) |
4.09a±0.13 (+85.06) |
338.85a±18.32 (+190.08) |
68.40a±3.21 (+101.35) |
19.25a±0.90 (+32.75) |
| Ethyl acetate | 2.49b±0.09 [-20.19] |
3.04b±0.30 [-25.67] |
191.35c±30.08 [-43.52] |
45.24b±5.19 [-33.85] |
16.15bc±2.04 [-16.10] |
| Sylimarin | 2.17c±0.08 [-30.44] |
2.87b±0.27 [-29.82] |
258.75b±8.53 [-23.63] |
48.75b±3.59 [-28.72] |
17.50ab±1.29 [-9.09] |
Regarding the oxidative stress markers, the rats injured with CCl4 recorded significant decrease in glutathione level by 39.79%, while MDA and SOD showed significant increase by 94.74 and 37.50%, respectively as compared with the control group (table 5). Treatment of CCl4 injured rats with Justicia spicigera and silymarin drug recorded significant increase in GSH level by 59.59 and 48.04%, respectively. Therefore, GSH was improved by 35.88 and 28.92%. In case of MDA, treatment with Justicia spicigera EA fraction and silymarin drug showed significant decrease by 27.02 and 37.83%, respectively as compared with the injured group. Improvement in MDA level is noticed after treatment by 52.63 and 73.68%, respectively. Concerning SOD level, treatment with Justicia spicigera fraction and sylimarin showed significant decrease by 20.16 and 12.32%, respectively. Therefore, SOD level recorded an amelioration level by 27.73 and 16.94%.
Table 5: Effect of treatment with plant EA fraction on oxidative stress markers in CCl4 injured rats
| Groups | GSH | MDA | SOD |
| Control | 17.39a±0.64 --- |
0.19b±0.02 --- |
90.62d±6.82 --- |
| CCl4 | 10.47d±1.27 (-39.79) |
0.37a±0.02 (+94.73) |
124.61a±2.89 (+37.50) |
| Ethyl acetate | 16.71c±0.97 [+59.59] |
0.27b±0.01 [-27.02] |
99.48c±5.91 [-20.16] |
| Sylimarin | 15.50b±1.29 [+48.04] |
0.23b±0.01 [-37.83] |
109.25b±5.12 [-12.32] |
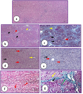
The histopathological picture of normal rat livers, it showed preserved (intact) lobular hepatic architecture and normal morphological appearance (fig. 1a). In CCl4 injured rats liver, the histopathological picture showed distorted and loss lobular of hepatic architecture and formation of micro and macro regenerating nodules (black arrows), mild to moderate ballooning of hepatocytes (red arrow) and moderate infiltration by lymphocytes to portal tract (yellow arrow) (fig. 1b & c). Treatment of injured rats with the ethyl acetate fraction showed preserved (intact) lobular hepatic architecture, improvement of fibrosis score (stage 2), thin fibrous bands porto-central (red arrow) with moderate ballooning of hepatocytes (black arrows) and mild infiltration of portal tracts by inflammatory cells (yellow arrow) (fig. 1d & e). Treatments of injured liver with silymarin showed swelling and foamy appearance of hepatocytes. Hydropic and steatosis changes were also seen. Mild fibrotic tissue was still present (fig. 1f & g).
DISCUSSION
A number of drugs, toxic industrial chemicals, and viral infections have been reported to cause severe hepatic injuries, which are sometimes difficult to manage by medical therapies. It is important to evaluate plant extracts that can be used for improved treatment of hepatic failure caused by severe oxidative stress and necrosis [30].
In our study, we recorded an in vitro antioxidant effect of Justicia spicigera ethyl acetate fraction. The presence of anthocyanins and total phenolic content in Justicia spicigera ethyl acetate fraction give an additional support of the antioxidant effects of this fraction in improving the deleterious action of CCl4 in rats. This observation was in line with the finding of Jakobek et al.[31] and Pasko et al.[32] who recorded the antioxidant effect of anthocyanins and total polyphenols in red fruit juices, in amaranth and quinoa seeds and sprouts during their growth. The metabolism of anthocyanins into malvidin-3-glucoside, anthocyanins glycosides, cyanidin-3-glycosides and pelargonidin-3-glucoside attributed their actions as antioxidants and anti-inflammatory agents [33].
Estimation of serum enzymes is a useful quantitative marker of the extent and type of hepatocellular damage. Increases in serum AST, ALT, ALP, and GGT levels have been attributed to the damaged structural integrity of the liver, because these are cytoplasmic in location and are released into the circulation after autolytic breakdown or cellular necrosis [34]. Therefore, marked release of AST, ALT, ALP, and GGT into the circulation indicates severe damage to hepatic tissue membranes during CCl4 intoxication [35].
The reversal of increased serum enzymes in CCl4-induced liver damage by Justicia spicigera ethyl acetate fraction may occur secondary to the following: prevention of leakage of intracellular enzymes by the membrane stabilization, ability to condition the hepatocytes, accelerate the regeneration of parenchyma cells, protect against membrane fragility and the antioxidant activity of Justicia spicigera ethyl acetate fraction which possess the same action of silymarin on liver function indices. This is supported by the observed in vitro antioxidant effect of EA fraction and also confirmed by it's in vivo antioxidant effect.
Moreover, Romero et al. [36] showed that CCl4 intoxication induced changes in the process of protein synthesis. Hence, increase in total protein content can be deemed as a useful index of the severity of cellular dysfunction in liver diseases as clearly shown in our studies.
In the present study, CCl4 treatment damaged the defense systems of liver causing serious lipid peroxidation as shown by increased MDA production. In addition, treatment with CCl4 significantly increased the activity and/or content of SOD, which scavenge free radical scavenger, and simultaneously reduced production of lipid per-oxides, which mildly alleviated the oxidative damage caused by CCl4 [37]. Decrease in GSH activity might be also due to decreased availability of GSH that resulted during the enhanced lipid peroxidation processes [3, 10, 11].

Fig. 1: Liver section of control group (a) showed preserved (intact) lobular hepatic architecture and normal morphological appearance. Liver section of CCl4 group (b & c) showed distorted and loss lobular hepatic architecture, formation of micro and macro regenerating nodules (black arrows), mild to moderate ballooning of hepatocytes (red arrow) and moderate infiltration by lymphocytes to portal tract (yellow arrow). Liver section of CCl4 injured rats treated with ethyl acetate fraction (d & e) showed preserved (intact) lobular hepatic architecture, improvement of fibrosis score 2, thin fibrous bands porto-central (red arrow), moderate ballooning of hepatocytes (black arrows) and mild infiltration of portal tracts by inflammatory cells(yellow arrow). Liver section of CCl4 injured rats treated with silymarin (f & g) showed swelling and foamy appearance of hepatoytes (red arrow), hydropic (yellow arrow) and steatosis (black arrow) changes and mild fibrotic tissue (green arrow). a, b, d and f are H&E stained sections. C, e and g are Masson's Trichrom stained sections. Magnification power is 100 x
Histopathological results in the present study reveal that CCl4 induces extensive fatty change, blood vessel congestion, and cellular hypertrophy, and necrotic focci, destruction of the lobular architecture, fibrosis, and nuclear degeneration in some areas. All these dangerous symptoms were markedly diminished by induction of Justicia spicigera ethyl acetate fraction. These data are in good agreement with the results of the serum liver function activities and hepatic oxidative stress levels. In conclusion, phenolic estimation in ethanol fraction and fractions emphasized that ethyl acetate extract contains the major phenolic amount. Moreover, the use of HPLC led to the identification of twelve anthocyanin pigments in Justicia spicigera ethyl acetate fraction. These pigments were characterized for the first time in ethyl acetate fraction of Justicia spicigera to the best of our knowledge. Glucose was the most common substituting sugar moeity, but also galactose moeity was detected.
CONCLUSION
The evaluation of the pharmacological use of Justicia spicigera ethyl acetate fraction proved its valuable activity against CCl4 induced liver injuries. Attenuation of liver function indices and improvement of the oxidative stress markers reveal the ability of EA fraction to protect the liver pathological conditions. These results provide a scientific validation of the ethnomedicinal uses of the plant extract tested.
CONFLICTS OF INTERESTS
The authors declared no conflicts of interests.
REFERENCES