1Chemistry Department, Faculty of Science, Damietta University, Damietta, Egypt, 2Chemistry Department, Industrial Education College, Beni-Suef University, Beni-Suef, Egypt
Email: entsarsaad@gmail.com
Received: 08 May 2015 Revised and Accepted: 01 Jun 2015
ABSTRACT
Objective: There is a growing interest in traditional medicinal plants since they contain medicinally active products to remedy many diseases. Punica granatum (PG) has many medicinal applications. The aim of this study was to investigate the antidiabetic, hypolipidemic, antioxidant and hepato-pancreatic protective effects of PG peel powder (PGPP) on streptozotocin (STZ) induced diabetic rats.
Methods: Male Swiss albino rats became diabetic with insulin-dependent diabetes mellitus (IDDM) after a single intravenous injection of STZ (50 mg/kg). IDDM-rats received either a daily oral dose of PGPP (200 mg/kg), or insulin for 20 days. On day 21, rats were sacrificed and levels of fasting blood glucose (FBG), aspartate aminotransferase (AST), alanine aminotransferase (ALT), albumin, lipid profile, lipid peroxidation (LPO), nitric oxide (NO), superoxide dismutase (SOD), and total antioxidant capacity (TAC) were estimated. Histopathological studies of liver and pancreas were performed.
Results: There was a significant elevation in FBG, AST, ALT activities, NO and LPO levels for induced IDDM. In contrast, albumin level, SOD activity, and TAC exhibited the significant decline. In addition, there was marked lipid profile disturbances, and histopathological changes of liver and pancreas. Following PGPP supplementation, the levels of all the above-mentioned factors were back to normal. Also, liver architecture and the size of an islets of Langerhans of the pancreas were almost back to normal. The effect of PGPP was more pronounced when compared with insulin.
Conclusion: PGPP is an effective alternative for the treatment of IDDM through the regeneration of β cells of pancreas and via its strong antioxidant properties.
Keywords: Diabetes, Lipids, Oxidative stress, Liver, Pancreas, β cells, Histopathology.
INTRODUCTION
Diabetes mellitus (DM) is considered as the most common endocrine disease and heterogeneous metabolic disorder; affecting 5% of the world’s population. It is characterized by insufficiency of insulin secretion and/or action, insulin resistance, and abnormal metabolism of glucose, lipid and protein. Globally, DM causes high mortality and is the second most common cause of death after cancer. It is known to cause a variety of complications such as renal failure, blindness, limb amputation, neurological complications, vascular complications of coronary artery disease, cerebrovascular disease and/or premature death [1, 2]. DM is categorized into several types the two major ones are type 1 and type 2. On the basis of etiology, the term type 1 and type 2 are widely used to describe insulin-dependent diabetes mellitus (IDDM) and noninsulin-dependent diabetes mellitus (NIDDM), respectively [3]. Although different types of oral hypoglycemic agents are available along with insulin for the treatment of DM, none offers complete glycemic control [2]. In addition, the side effects of taking insulin and oral hypoglycemic agents have brought about a growing interest among those patients for alternative traditional medicinal plants with antidiabetic activity [4]. Therefore, an investigation of such agents has become of great interest.
The pomegranate, botanical name Punica granatum (P. granatum) is a fruit-bearing deciduous shrub or a small sized tree that belongs to the Punicaceae family [5]. Nowadays, it is widely cultivated throughout the Middle East, Northern and Tropical Africa, Central Asia, and drier parts of Southeast Asia [6]. Pomegranates may contain nearly three times antioxidants as green Tea [5]. Compared with the pulp, the inedible Punica granatum (PG) peel contains as much as three times the total amount of polyphenols, including condensed tannins and catechins, gallocatechins and prodelphinidins [7, 8]. The antioxidant capacity of PG peel extract is 10 times higher than the pulp extract [9].
PG has been used for thousands of years to cure a wide range of diseases across different cultures and civilizations. It has been used in natural and holistic medicine to treat sore throats, coughs, urinary infections, digestive disorders, skin disorders, arthritis, and to expel tapeworms. However, modern research suggests that it might be useful for the treatment of serious conditions as prostate cancer, skin cancer, osteoarthritis, and diabetes. Studies also show that pomegranate seeds might help clear the digestive system from fats. Clinical research suggested that PG has the potential to thin the blood, increase blood flow to the heart, reduce blood pressure, reduce plaque in the arteries, and reduce bad cholesterol while increasing good one. A decoction of seed is used to treat syphilis while the juice is used to treat jaundice and diarrhea. The flower juice is used to treat nose bleeding. The fruit pulp and the seed are stomachic. Dried, pulverized flower buds are employed as a remedy for bronchitis [10].
Moreover, many studies have shown that PG peel extract has radio-protective, antifibrotic and wound healing properties. In addition, it possesses antioxidant, immunomodulatory, antibacterial, gastroprotectective, larvicidal, antifungal, antitumor, antimicrobial, antiviral and hypoglycemic activities [11, 12]. Also, PG has a protective role against fatty liver in obesity through improvement of abnormal lipid metabolism. On the other hand, the inhibition of carbohydrate digestive enzymes and its phenolic content may contribute to the antihyperglycemic effects of PG flower and peel, and support their claims in diabetes. Other studies indicated that the methanolic extract of PG peel has beneficial influences over the inhibition of induced oxidative stress and histopathological alternations in liver and kidney of female rats, and these effects may be related to antiapoptotic and antioxidant activities [12]. Recent research has focused on the potential effect of PG for the treatment of cardiovascular disease, diabetes, and various forms of cancer [10].
This research was designed to study the effect of streptozotocin (STZ) induced IDDM on food and drink habits, liver function and on the antioxidant/lipid status. In addition to investigate the possibility of the PG peel powder (PGPP) supplementation to ameliorate the damaged tissue of liver and pancreas caused by hyperglycemia induced oxidative stress in experimental diabetes.
MATERIALS AND METHODS
Drugs, chemicals and kits
Zinc-insulin suspension (Lente insulin) [Monotard, Novo Nordisk, Bagsvaerd, Denmark [, Streptozotocin [N-(Methyl nitroso carbamoyl)-α-D-glucosamine], STZ (Sigma, St. Louis, MO, USA), aspartate aminotransferase (AST) and alanine aminotransferase (ALT) kits [ELITech clinical systems, France], albumin kit [STANBIO Company, USA], total cholesterol, high density lipoprotein (HDL) and triglycerides (TG) Kits [SPINREACT, Santa Coloma, Sant Esteve De Bas, Spain], and malondialdehyde (MAD), superoxide dismutase (SOD), nitric oxide (NO) and total antioxidant capacity (TAC) kits [Biodiagnostic Company, Cairo, Egypt] were used. Other chemicals used throughout this investigation were of the highest analytical grade available.
Plant material
Fresh PG fruits were purchased from local markets, Egypt. Fruits were cut into portions and arils were separated manually from peels. The peels were cut into small pieces and sun dried until complete dehydration. Dried peels were grounded into fine powder in a mortar. Peels powder was kept in an airtight plastic container and stored at 5 ˚C until used. Peels powder was suspended in warm distilled water (100 mg/1 ml) and was given orally through the stomach tube to rats at a dose of 200 mg/kg.
Maintenance of animals
Adult male Swiss albino rats weighing (120-160 g) purchased from Urology and Nerphology Centre, Mansoura University, Egypt were used. All animals were housed for about 10 days before used in experiments under standard conditions (temperature of 25 ˚C, relative humidity and a 12/12 h light/dark cycle) according to the criteria outlined in the ‘‘Guide for the Care and Use of Laboratory Animals’’ prepared by the National Academy of Sciences and published by the National Institute of Health [13]. Food and water ad libitum were allowed. This was approved by the Animal House of Biochemistry, Chemistry Department, Faculty of Science, Damietta University, Egypt.
Induction of insulin-dependent diabetes mellitus (IDDM)
The rats fasted for 12 h and IDDM were induced by a single intravenous injection of freshly prepared STZ at a dose of 50 mg/kg [3]. STZ was dissolved in ice-cold 0.1 M sodium citrate buffer, pH 4.5 [14]. Normal control rats received an equivalent amount of buffer intravenously. Rats were allowed to drink 5% glucose solution overnight to overcome drug-induced hypoglycemia. Diabetes was confirmed after 48 h of STZ administration by measuring fasting blood glucose concentration from the tail vein, using commercial glucose strips and a glucometer from Boehring-Mannheim Diagnostica, Mannheim, Germany [15]. Only rats with fasting blood glucose level of 250 mg/dl and above were considered diabetic and used for the experiment. The day on which diabetes had been confirmed was designated as day zero.
Experimental design
Animals were divided into 4 groups (seven rats/group) as follows: normal control group; diabetic control group involved rats received a single dose of STZ (50 mg/kg, I. V.); diabetic+insulin group involved STZ induced diabetic rats (50 mg/kg, I. V.) treated with the standard drug insulin (6 IU/kg, S. C.) once every 48 h for 20 days [16]; and diabetic+PG group involved STZ induced diabetic rats (50 mg/kg, I. V.) treated with a daily oral dose of PGPP (200 mg/kg) through the stomach tube for 20 days.
The food and water intake of all groups were recorded daily while body weight and fasting blood glucose level were determined weekly throughout the experimental period.
Samples
On the 21st day, all animals fasted for 12 h then sacrificed under diethyl ether anesthesia and blood samples were collected via the retro-orbital venous plexus. Blood samples were left to clot and the sera were separated by centrifugation at 4 ˚C, 3000 rpm for 10 min and stored at-20 until used for the biochemical estimations. All measurements of the biochemical parameters were carried out according to the kits instructions.
Histopathological analysis
Liver and pancreas obtained after decapitation were washed in saline and fixed in 10% formalin for the routine haematoxylin and eosin (H&E) staining technique and histopathological examinations. Fixed tissues were processed routinely, embedded in paraffin wax, sectioned into 5 µm thick sections in a rotary microtome and then stained with H&E dye. At least three different sections per sample were examined. The pathologist evaluating liver and pancreas sections was unaware of the treatment the rat had received.
Statistical analysis
Results are presented as mean±SD A statistical analysis between two groups were performed using Student's t-test. P<0.05 was considered significant for all analysis. An IBM computer with a statistical software system instate version 3.10 (Graphpad, USA) was used for these calculations.
RESULTS
Water and food intake
The volume of water intake in diabetic control group was significantly (P<0.001) higher than that in normal control group and increased progressively till the end of the experiment. In diabetic rats supplemented with PGPP, a significant (P<0.01 vs. diabetic control) decrease in daily water intake was observed from day 5 of treatment and that decrease was persistent. In the case of insulin supplementation a significant decrease (P<0.001 vs. diabetic control) was observed from day ten however the values were still higher than those of the prior to the induction of diabetes (table 1).
Table 1: Water intake (ml) in rats groups
| Groups | Normal control | Diabetic control | Diabetic+Insulin | Diabetic+PG |
| 5 th day | 123±3.109 | 211±2.709$$$ | 201±10.033 | 194.7±4.646** |
| 10 th day | 120±4.349 | 276.5±5.066$$$ | 192.25±2.217*** | 182.5±2.082*** |
| 15 th day | 122.2±1.708 | 282.25±2.217$$$ | 184.5±4.203*** | 165±1.633*** |
| 20 th day | 122.2±2.217 | 284.7±1.258$$$ | 164±0.8165*** | 153±2.160*** |
PG; Punica granatum . Data are expressed as mean±SD (n = 7 rats in each group), $$$: P< 0.001 versus normal control group. ** and ***: P < 0.01 and P < 0.001, respectively versus diabetic control group.
Table 2: Food intake (g) in rats groups
| Groups | Normal control | Diabetic control | Diabetic+Insulin | Diabetic+PG |
| 5 th day | 300.25±2.449 | 262±2.449$$$ | 259.25±3.304 | 242±2.449*** |
| 10 th day | 305.5±3.697 | 242±2.082$$$ | 267.25±2.630*** | 257±1.862*** |
| 15 th day | 314.25±4.349 | 235±3.559$$$ | 268.25±4.573*** | 264.25±3.775*** |
| 20 th day | 323±2.160 | 221.5±3.109$$$ | 272.25±3.559*** | 272±3.559*** |
PG; Punica granatum . Data are expressed as mean±SD (n = 7 rats in each group), $$$: P < 0.001 versus normal control group. ***: P < 0.001 versus diabetic control group.
In table 2, food intake was significantly decreased (P<0.001) in diabetic group from day five and proceeded till the end of the experiment whereas it was significantly (P<0.001) and continuously increased in the treated rats with either insulin or PGPP from day 15 compared with diabetic rats.
Body weight
There was a significant reduction in body weight of the animals in the diabetic group with comparison to control. After supplementation with PG peels powder for 14 days, the body weight was notably regained. After 21 days of the supplementation, the animals started to gain their normal weight. With insulin treatment for 21 days, diabetic rats began to regain weight to a lesser extent (fig. 1).

Fig. 1: Changes in rats' body weight (g) in all studied groups throughout the experimental period. Each bar represents the mean±SD of seven rats. PG; Punica granatum
Fasting blood glucose level
In the PG peels powder treated rats, hypoglycemic effect was evident from day seven onwards; the decrease in blood glucose level was highly pronounced on the day 21. The hypoglycemic effect of PG peels powder at 200 mg/kg dose was more prominent than insulin (the reference drug) (fig. 2).
Liver function tests
As indicated in table 3, serum AST and ALT activities were significantly (P<0.001) inhibited while the serum albumin level was highly increased (P<0.001) by insulin or PGPP supplementation when compared with those of the diabetic control group. The hepatoprotective effect of PG was more pronounced than that of insulin.

Fig. 2: Effects of treatment with Punica granatum (PG) peels powder on fasting blood glucose level (mg/dl) in streptozotocin-induced diabetic rats. Each bar represents the mean±SD of seven rats. * Significant difference at P<0.001 level compared with the normal control group. ! Significant difference at P<0.001 level compared with the diabetic control group
Biochemical parameters
Lipid profile
Significant decreases (P<0.001) in serum levels of cholesterol, low density lipoprotein (LDL), triglycerides accompanied with significant (P<0.001) elevation in serum HDL level were noticed in diabetic rats treated with insulin or with PGPP compared to those of untreated diabetic rats however, the hypolipidemic effect of PGPP was more superior than that of insulin (table 3).
Lipid peroxidation and antioxidants
Table 3 shows a significant (P<0.001) increase, to more than six folds, in serum lipid peroxidation marker (MDA) and a significant (P<0.001) elevation in NO level along with a significant (P<0.001) decrease in antioxidant defense markers (TAC and SOD) in control diabetic group compared with those of normal control group. Daily administration of PGPP reversed significantly (P<0.001) all these markers values towards normal and its effect was more superior to the reference drug.
Table 3: Biochemical parameters of rats groups
| Groups | Normal control | Diabetic control | Diabetic+Insulin | Diabetic+PG |
| ALT (IU/l) | 66.27±5.359 | 104.67±13.910*** | 77.8±9.206$$$ | 73.93±5.133$$$ |
| AST (IU/l) | 89.81±3.173 | 144.71±8.767*** | 102.01±6.473$$$,** | 90.75±2.712$$$ |
| Albumin (g/dl) | 1.853±0.095 | 1.126±0.06*** | 1.545±0.06$$$,*** | 1.57±0.098$$$,*** |
| TG (mg/dl) | 46.68±9.503 | 81.59±6.823*** | 56.97±6.758$$$,* | 55.77±2. 298$$$ |
| Cholesterol (mg/dl) | 50.41±2.866 | 74.38±7.86*** | 65.82±2.524$$,*** | 55.74±3.523$$$ |
| HDL (mg/dl) | 25.96±3.045 | 10.50±2.166*** | 25.77±2.279$$$ | 21.99±1.287$$$ |
| LDL (mg/dl) | 15.08±2.440 | 47.16±8.930*** | 29.1±3.645$$$,*** | 22.5±5.590$$$,* |
| MDA (nmol/l) | 1.47±0.093 | 9.84±1.207*** | 6.26±1.080$$$,*** | 4.48±1.139$$$,*** |
| TAC (mM/l) | 1.631±0.057 | 0. 604±0.175*** | 1.58±0.054$$$,* | 1.404±0.0644$$$ |
| NO (mM/l) | 0.015±0.006 | 0.042±0.003*** | 0.022±0.002$$$,*** | 0.017±0.0008$$$ |
| SOD (U/ml) | 283.5±4.517 | 50.06±3.588*** | 170.3±12.105$$$,*** | 182.8±11.684$$$,*** |
PG; Punica granatum, ALT; alanine transaminase, AST; aspartate transaminase, TG; triglycerides, HDL; high density lipoprotein, LDL; low density lipoprotein, MDA; malondialdehyde, TAC; total antioxidant capacity, NO; nitric oxide, SOD; superoxide dismutase. Data are expressed as mean±SD (n = 7 rats in each group), *, ** and ***: P < 0.05, P < 0.01 and P < 0.001, respectively versus normal control group. $$ and $$$: P < 0.01 and P < 0.001, respectively versus diabetic control group.
Histopathological analysis
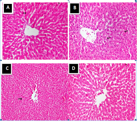
As reflected from fig. 3, liver of diabetic rat showed histopathological changes including increase vacuolation in the cytoplasm of hepatocytes appeared as indistinct clear vacuoles indicating glycogen infiltration in diabetes. On the other hand, liver section of diabetic rat administered with insulin showed normal hepatocytes and normal hepatic architecture with mild vacuolation of hepatocytes and liver section of diabetic rat administered with PGPP showed normal liver architecture with normal hepatocytes arranged in normal sheets or cord around central vein.
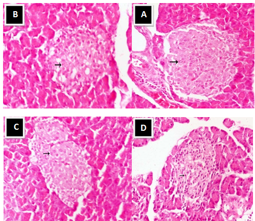
As illustrated in fig. 4, the diabetic control rat pancreas has shrunken islets of Langerhans with degeneration and necrosis of cell components where its nucleus has a dense basophilic and karyolysis is evident. On the contrary, pancreas of diabetic rat treated with insulin showed normal islets of Langerhans with normal pale large round to ovoid shaped containing cells that embedded in exocrine portion of pancreas. In addition, pancreas of diabetic rat treated with PGPP showed normal size islets of Langerhans but some degeneration of the β cell in the center were noticed.

Fig. 3: Liver histopathology. (A) Normal control rat liver showing normal hepatocytes (arrow) with normal radial arrangements around hepatic cords (H&E, x400). (B) Diabetic control rat liver showing increase vacuolation in the cytoplasm of hepatocytes appeared as indistinct clear vacuoles (arrows) indicate glycogen infiltration in diabetes (H&E, x400). (C) Liver of diabetic rat treated with insulin is showing normal hepatocytes and normal hepatic architecture with mild vacuolation of hepatocytes (arrow) (H&E, x100). (D) Liver of diabetic rat treated with Punica granatum peels powder showing normal liver architecture with normal hepatocytes arranged in normal sheets or cord around central vein (H&E, x400)
DISCUSSION
Hypoglycemic drugs are either too expensive or have undesirable side effects including hematological, coma and disturbances of liver and kidney. Controlling diabetes without any side effects is still a challenge for the medical system. This leads to exert effort to search for effective, safer and less cost antidiabetic traditional plants [11]. In addition to its ancient historical uses, PG is used in several systems of medicine for a variety of diseases. It is used as an antiparasitic agent, a “blood tonic” and to heal aphthae, diarrhea, and ulcers. It also serves as a remedy for diabetes [17]. In the present study, the antidiabetic, hypolipidemic, antioxidant and hepato-pancreatic protective effects of PGPP, were tested on STZ induced diabetic rats. During treatment of diabetic rats with PGPP, rats daily water intake decreased from the day 5 of treatment and continued to go down and the animals food intake increased continuously from day 15 of treatment and this generated a difference in the body weight between treated and untreated rats. The body weight of treated rats reached its normal maximum individual value of 182 g by the end of the third week of the experiment. These improvements might be related to the enhanced relaxation in diabetic rats owing to the decrease in blood sugar as a result of treatment with PGPP all over the treatment period. This suggests that, PGPP administration can minimize IDDM symptoms.

Fig. 4: Pancreas histopathology. (A) Normal control rat pancreas showing normal islets of Langerhans with pale rounded and ovoid β-cells in the center (arrow), embedded in exocrine portion of pancreas (H&E, x400). (B) Diabetic control rat pancreas showing shrinkage of islets of Langerhans with degeneration and necrosis of components cells where its nucleus appeared densely basophilic and karyolysis is evident (arrow) (H&E, x400). (C) Pancreas of diabetic rat treated with insulin showing normal islets of Langerhans with its normal pale large round to ovoid shaped containing cells (arrow) that embedded in exocrine portion of pancreas (H&E, x400). (D) Pancreas of diabetic rat treated with Punica granatum peels powder showing normal sized islets of Langerhans but some degeneration of the β cell in the center were noticed (arrow) (H&E, x400)
As shown in fig. 2, PGPP hypoglycemic effect at 200 mg/kg dose on diabetic rats is more prominent than insulin; it is evident from the day seven and it is highly pronounced on the day 21, this is may be attributed to its inhibitory action on intestinal absorption of glucose. This is in accordance with [18] and [19]. In addition, PGPP treatment restored and regenerated pancreatic β cells and showed normal sized islets of Langerhans (fig. 4). This indicates that PG peels have protective effects on rat pancreas and adds extra evidence for its antidiabetic properties. Banihani et al. [20] in their review reported that fasting blood glucose levels were decreased significantly by punicic acid, methanolic seed extract, and pomegranate peel extract. They used bioactive compounds already in PG such as punicalagin, ellagic, gallic, oleanolic, ursolic, and uallic acids which have been identified to have antidiabetic actions. These findings provide another evidence for the antidiabetic activity of PG fruit. It was reported for both in vivo and in vitro studies that PG exerts hypoglycaemic effects, including increased insulin sensitivity, inhibition of α-glucosidase, and has an impact on glucose transporter type 4 function [21].
Oxidative stress can be defined as the imbalance between oxidants and antioxidants in favor of the oxidants, potentially leading to cellular damage. Free radicals are reactive oxygen species having an unpaired electron, which are generated under physiological conditions during aerobic metabolism. These free radicals have the potential to trigger chain reactions when they react with proteins, lipids and other biological molecules, which are fatal to the cell. Under normal conditions, the free radicals that are produced are scavenged by a repertoire of enzymatic antioxidants like SOD, catalase, etc. and also by non-enzymatic antioxidants like vitamin C, alpha-tocopherol, glutathione, etc., thus preventing the oxidative stress [22]. The previous studies have demonstrated that the development of diabetic complications in diabetes is closely related to the increased generation of superoxide anion and NO [23]. Decreased activities of antioxidant enzymes, SOD, in the kidney of STZ-induced diabetic rats have been reported [24]. Although, in another study, total antioxidant activity was reported to be exceeding the normal values in plasma and saliva of diabetic patients suggesting existence of increased free radical production [25]. However, there are also studies showing no significant difference in antioxidant status between patients and healthy controls [26].
The current investigation demonstrates that PGPP possesses strong antioxidant properties; can act as a free radical scavenger and protects different vital organs especially liver and pancreas from damage in diabetic rats. Its antioxidant action can be indicated from table 3, which shows the ability of PG peels to increase the TAC and SOD and to decrease MDA and NO in treated diabetic rats. Antioxidants counter the action of free radicals by several mechanisms. These mechanisms include: (1) enzymes that degrade free radicals, (2) proteins such as transferrin that can bind metals which stimulate the production of free radicals, and (3) antioxidants such as vitamins C and E that act as free radical scavengers [27]. One key mechanism by which PG fractions affect diabetes is by reducing oxidative stress and lipid peroxidation. This reduction may occur by directly neutralizing the generated reactive oxygen species, increasing certain antioxidant enzyme activities, inducing metal chelation activity, reducing resist in formation, and inhibiting or activating certain transcriptional factors, such as nuclear factor kappa B and peroxisome proliferator-activated receptor γ [20].
In harmony with many previous studies [28-32], our present results in table 3 show a significant decrease in ALT and AST and a significant increase in serum albumin in diabetic rats treated with PGPP when compared with control diabetic group. Additionally, fig. 3 shows normal liver architecture with normal hepatocytes of diabetic rats administered PGPP. Moreover, diabetic rats developed a significant lowering in serum HDL level and significant elevation in levels of serum total cholesterol, triglycerides and LDL. After treatment with PGPP there were significant decreases in serum total cholesterol, triglycerides, and LDL levels and a significant increase in HDL level. These results demonstrate that PG peels have hepatoprotective and hypolipidemic actions. This may be attributed to its strong antioxidant properties. Medjakovic and Jungbauer [21] stated that P. granatum not only exerts hypoglycaemic effects but also it is responsible for a reduction of total cholesterol, and the improvement of blood lipid profiles. Toklu et al. [33] studied the effect of chronic administration of PG peel extract on liver fibrosis induced by bile duct ligation. They showed that the elevated levels of AST and ALT were significantly decreased after treatment. Thus chronic pomegranate peel extract treatment, with its antioxidant and anti fibrotic properties may be of potential therapeutic value in protecting the liver from fibrosis and oxidative injury.
CONCLUSION
In conclusion, the present study showed that diabetic rats suffered from more oxidative stress. Oxidative stress plays a significant role in diabetes and its complications. This fact is to be kept in mind when planning strategies for the treatment of DM and prevention of its complications for better quality. PGPP has curative potentials as antidiabetic and antihyperlipidemic and hepato-pancreatic protective. This is possibly through having a role in regeneration of pancreatic β cells and via its strong antioxidant activity, which can fade oxidative stress. Therefore, PG peel and its active constituents are worthy of further investigations as safe and effective for medical treatments for IDDM and its pathological consequences. Large quantities of PG peel could be easily collected from PG processing industries or from the waste products originating, PG peel can provide an extra income. Based on our results, PG peel may also contribute to the nutritional values of PG fruit.
CONFLICT OF INTERESTS
The authors have declared no conflict of interest
REFERENCES