Int J Pharm Pharm Sci, Vol 7, Issue 8, 164-170Original Article


IN VITRO AND IN VIVO PROTECTIVE EFFECTS OF AMBREX, A POLYHERBAL FORMULATION, AGAINST METHOTREXATE INDUCED DAMAGES IN HEPATIC CELLS

R. ANILA1*, SEKAR SATHIYA2, CHIDAMBARAM SARAVANA BABU2, JOHANNA RAJKUMAR1

1Department of Biotechnology, Rajalakshmi Engineering College, Rajalakshmi Nagar, Thandalam, Chennai 602105, Tamil Nadu, India, 2Centre for Toxicology and Developmental research (CEFT), Sri Ramachandra University, Porur, Chennai 600116, Tamil Nadu, India
Email: anilaaphd@gmail.com

Received: 13 May 2015 Revised and Accepted: 15 Jun 2015


ABSTRACT

Objective: To evaluate the hepatoprotective effect of Ambrex, a poly herbal formulation against methotrexate (MTX) induced hepatotoxicity in Swiss albino mice as well as in Chang liver cell lines.

Methods: Ambrex was exposed to MTX intoxicated chang liver cells and cells were harvested for studying the gene expressions of Dihydrofolate reductase (DHFR), B-cell lymphoma 2 (BCL2) and Bcl-2-associated X protein (BAX). In in vivo study, Ambrex was administered orally for a period of 7 days at two dose levels (250 and 500 mg/kg b. wt) and MTX (20 mg/kg b. wt, i. p) was injected one hour after the last test drug administration. Protective effect of Ambrex was evaluated by measuring aspartate transaminase (SGOT), alanine transaminase (SGPT), alkaline phosphatase (ALP), γ–glutamyl transferase (γGT) and total bilirubin. Its effect on superoxide dismutase (SOD), catalase (CAT), reduced glutathione (GSH) and lipid peroxide (LPO) was also determined.

Results: Data revealed that Ambrex was able to restore the levels of antioxidants such as SOD, Catalase, and Glutathione to near normal and reduced the elevated plasma levels of SGOT, SGPT, ALP, γ–GT and total bilirubin. It also inhibited the formation of hepatic malondialdehyde induced by MTX. In vitro studies revealed that Ambrex protected MTX induced hepatotoxicity at the dose of 50 and 500ng/ml. Further, mRNA expression also illustrated that Ambrex inhibited the over expression of BAX and suppressed BCL2 and DHRF expressions.

Conclusion: Results suggest that Ambrex has potent hepatoprotective effect which was evident from both in vivo and in vitro results.

Keywords: Ambrex, Methotrexate, Hepatotoxicity, Chang cells, Antioxidants.


INTRODUCTION

Hepatic damages associated with chemotherapy are the most serious adverse effects with anti-cancer drugs. Methotrexate (MTX), is an anti folate and antimetabolite, widely used in the treatment of leukemia, lymphoma and several solid tumours [1]. MTX also used as a disease modifying antirheumatic drug (DMARD) and other autoimmune diseases including psoriasis.

Chronic treatment with MTX reported to produce fatty liver and hepatic fibrosis and also portal hypertension in some cases. Further, MTX produces hepatic and renal oxidative stress on chronic exposure [2, 3]. Administration of MTX for a period of 6 weeks shown to increase Thiobarbituric acid reactive substance (TBARS) content and decrease in the activities of superoxide dismutase, catalase, and glutathione reductase in rats [4].

Plant based drugs are well known for their protective effects against oxidative stress. Antioxidants as an adjuvant therapy in cancer treatment are shown to retard or slow down the oxidative stress in clinical set up. In particular, bioactive compounds such as total phenols, flavonoid and tannins from plants sources are extensively studied and reported for their benefits in various livers disorders and associated oxidative stress [5, 6].

Ambrex, a polyherbal formulation, contains the fine blend of herbs such as Withania somnifera (100 mg,) amber (37.50 mg), Pistacia lentiscus (25 mg), Orchis mascula (25 mg) and Cycas circinalis (62.5 mg). Earlier studies have demonstrated the anti-hyperlipidemic [7], anti-microbial [8] and its effect on oxidative stress in hyper lipidemic rats [9].

Recently, we have also demonstrated the protective effect of ambrex against D-galactosmine induced hepatic damage (under review). The present study was undertaken to investigate whether Ambrex has the potency to counteract the oxidative stress and liver necrosis triggered by MTX in in vitro and in vivo (mice) models.

MATERIALS AND METHODS

Drugs and chemicals

All cell culture solutions and supplements were purchased from Life Technologies Inc., USA. Dulbecco’s Modified Eagle Medium (DMEM) was obtained from GIBCO, USA. MTX was obtained from Sigma Aldrich, USA. LIV–52 was purchased from Himalayas, India. Biochemical kits were obtained from Merck, India. Ambrex was procured from Care and Cure Herbs Ltd., India. All other chemicals and reagents were of analytical grade obtained from Himedia, India and Sisco Research Laboratories Pvt. Ltd., India.

In vitro study in chang liver cells

Cell culture and maintenance

Chang liver cells, a human hepatoma cells were obtained from the National Centre for Cell Science (NCCS), Pune, India. Cells were maintained in DMEM supplemented with 10% Fetal Bovine Serum (FBS), 100units/ml penicillin and 100μg/ml streptomycin. Cells were cultured in 75 cm2 culture flask and incubated at the humidified atmosphere with 5% CO2 at 37 °C.

Cell proliferation assay or MTT assay

Cell respiration as an indicator of cell viability and proliferation was determined using a mitochondrial dependent reduction of 3-(4, 5-dimethylthiazol-2-yl)-2,5-Diphenyl tetrazolium bromide (MTT) to formazan. Pre-confluent Chang liver cells were seeded in 96-well plates at a density of 8,000cells/200μl/well. Cells were treated with different concentrations of methotrexate hydrochloride (1, 3, 10, 30, 100 and 300 mM) or the test drug (ranging from 1X10-3-1X106 ng) after 24h following plating and incubated at 37 °C for one day. At 20h following drug exposure, the cells were incubated at 37 °C with 0.5 mg/ml MTT for 4h. At the end of the experiment, the medium was removed, and the insoluble formazan product was dissolved in DMSO (200μl) and kept at least 15 minutes in dark. The intensity of purple blue colour developed was measured at 570 and 630 nm using Thermo scientific multi scan spectrophotometer, USA.

Percentage growth inhibitory rate of the test drug was calculated using the formula

% Growth inhibitory rate = ([Control OD–Test OD]/Control OD) * 100

MTX induced hepatotoxicity in chang liver cells

Chang liver cells were seeded in 6 well plates at a density of 1x105cells/well and allowed to grow for a period of 24h. Ambrex was administered at a concentration of 5, 50 and 500 ng/ml. One hour following test drug exposure, methotrexate dissolved in DMSO (100 mM) was added to each well except the control and incubated for a period of 24 h. Cells were then trypsinised for measuring gene expressions of DHFR, BAX and BCL2.

Reverse transcriptase-Polymerase chain reaction (RT-PCR)

Total RNA was extracted using TRIzol Reagent (Sigma, USA). After homogenizing the cells with TRIzol reagent, the tubes were incubated for 10 min and centrifuged at 1000 rpm for 5 min. 200µl of chloroform were added to the supernatant, allowed to incubate for 5 min at room temperature and centrifuged at 12000rcf for 20 min. Then 500µl of isopropyl alcohol was added to the supernatant to precipitate the total RNA and centrifuged at 12000rcf for 15 min following the incubation period of 10 min.

The supernatant was decanted carefully; the pellet was washed thrice with 75% ethanol, centrifuged at 12000 rcf for 15 min. The pellet was air dried and re-suspended in 20µl of RNase free water and stored in-80 °C until use. RT-PCR was carried out using PCR master cycler gradient (Eppendorf, Germany) and semi-quantified using Bio1D software in gel documentation (Vilber Loumart, France).

Primers sequence used were as follows, GAPDH: sense, 5’-CGA CAG TCA GCC GCA TCT T-3’; antisense, 5’-CCA ATA CGA CCA AAT CCG TTG-3’, DHFR: sense, 5’-CTG TCA TGG TTG GTT CGC-3’; antisense 5’-AAG CTT TTG GTA TTT CCA-3’, BAX: sense, 5’-TTT TGC TTC AGG GTT TCA TC-3’; antisense, 5’-GAC ACT CGC TCA GCT TCT TG-3’, and BCL2: sense, 5’-ATG TGT GTG GAG AGC GTC AAC C-3’; antisense, 5’-TGA GCA GAG TCT TCA GAG ACA GCC-3’.

In vivo study in mice model

Animal husbandry

Young healthy adult male swiss albino mice (18-22 g) were obtained from central animal facility, Sri Ramachandra University, Chennai, India. Animals were housed in colony cages (6 animals/cage) and were kept under laboratory standard conditions with 22±3 °C temperature, 12-h light/12-h dark cycle and 30-70% relative humidity. They were provided with rodent feed (M/s. Provimi Animal Nutrition India Pvt. Ltd, India) and purified water ad libitum. Animals were acclimatized at least for 7 days to the laboratory conditions prior to initiation of the experiment. Guidelines of “Guide for the Care and Use of Laboratory Animals” (Institute of Laboratory Animal Resources, National Academic Press 1996; NIH publication number #85-23, revised 1996) were strictly followed throughout the study. Institutional Animal Ethical Committee (IAEC), Sri Ramachandra University, Chennai, India approved the study protocol (IAEC No: IAEC/XXXIII/SRU/268/2013).

Experimental study design

The experimental animals were divided into five groups with six animals in each. Group I served as normal control, which received vehicle. Group II received the single dose of MTX (20 mg/kg i. p.) and vehicle. Group III served as reference control received LIV-52 (100 mg/kg p. o.)+MTX (20 mg/kg i. p.). Group IV & V received Ambrex at 250 and 500 mg/kg p. o.+MTX (20 mg/kg i. p.). Animals were pre-treated with vehicle or the respective drug for a period of 7 days. MTX was injected intraperitoneally on day 7, one hour after test drug administration. 24 h following MTX injection, blood was collected from 3-4h fasted mice through retro orbital puncture and then sacrificed. Liver tissue was excised out, cleared of blood in ice cold saline and stored in -80 °C.

Biochemical assays

Plasma biochemical parameters

SGOT, SGPT, ALP, γ-GT and total bilirubin were measured using commercial diagnostic kits (Merck, India) in semi-automatic biochemical analyser (Biosystem, India)

Superoxide dismutase (SOD) activity

SOD activity was performed by mixing 0.05 ml of 10% tissue homogenated with 0.3 ml of sodium pyrophosphate buffer (0.025M, pH 8.3), 0.025 ml of phenasonium metho sulphate (186µM) and 0.075 ml of nitroblue tetrazolium (300µM in buffer of pH 8.3). The reaction was started by addition of 0.075 ml of NADH (780µM in buffer of pH 8.3). After incubation at 30 °C for 90 seconds, the reaction was stopped by addition of 0.25 ml glacial acetic acid.

Then the reaction mixture was stirred vigorously and shaken with 2.0 ml of n-Butanol. The mixture was allowed to stand for 10 minutes and centrifuged. 1.5 ml of n-butanol alone was served as blank. The colour intensity of the chromogen was read at 560 nm using Thermo Scientific multi scan spectrophotometer, USA [10].

Lipid peroxide (LPO) content

The method involved heating of 0.2 ml of 10% tissue homogenate with 0.8 ml saline, 0.5 ml of butylated hydroxyl toluene and 3.5 ml thio barburic acid (TBA) reagent for 1½h in a boiling water bath. After cooling, the solution was centrifuged at 3500rpm for 10 min and the precipitate obtained was removed. The absorbance of the supernatant was determined at 532 nm using Thermo Scientific multi scan spectrophotometer, USA against a blank that contained all the reagents except the sample [11].

Reduced glutathione (GSH) content

Glutathione content was estimated according to the method of Moren et al. [12]. 0.25 ml of 10% homogenate was added to equal volume of ice cold 5% trichloro acetic acid. The precipitate was removed by centrifugation at 3500rpm for 10 minutes. To 1 ml of the supernatant, 0.25 ml of 0.2M phosphate buffer, pH 8.0 and 0.5 ml of 5,5'-dithiobis-(2-nitrobenzoic acid (0.6 mM in 0.2M phosphate buffer, pH 8.0) were added and mixed well. The absorbance was read at 412 nm using Thermo Scientific multiskan spectrophotometer, USA.

Catalase (CAT) activity

CAT assay was performed as described by Sinha, [13] with slight modification. The reaction mixture contained H2O2 (2 mM) and 0.2 ml of the homogenate in a final volume of 1 ml phosphate buffer (10 mM, pH 7.4). It was incubated at 37 °C for 5 min and then Dichromate Acetic Acid reagent (5% Potassium dichromate in water, Glacial Acetic Acid mixed in 1:3 ratio) was added and absorbance was taken at 570 nm using Thermo Scientific multiskan spectrophotometer, USA. 2 ml Dichromate Acetic acid reagent acts as blank whereas the reaction mixture without homogenate acts as control.

Histopathology

The experimental animals were sacrificed; liver was excised out and fixed in 10% neutral buffered formalin solution for 48 hours. The tissue was then trimmed, dehydrated in graded alcohol and embedded in paraffin. Paraffin sections of 3-4 micron thickness were obtained, mounted on glass slides, counter-stained with Haematoxylin and Eosin (H&E) and examined under light microscope (Motic DMB1–2MP, China).

Statistical analysis

Data were expressed in mean±standard error of the mean (SEM). Mean difference between the groups was analysed by one-way analysis of variance (ANOVA) followed by Tukey’s multiple comparison test as posthoc using graph Pad Version 5. p≤0.05 is considered to be the statistical significance.

RESULTS

In vitro study in chang liver cells

Cytotoxicity assay

Cytotoxicity was assessed for MTX and Ambrex at the concentration range of 1–300 mM/ml and 1X10-3-1X106 ng/ml, respectively following 24h incubation. It was observed that MTX and ambrex showed an IC50 value of 101.12 mM/ml and 44.73 ng/ml, respectively when exposed in chang liver cells for a period of 24h. Based on the above results, the effect of ambrex against MTX induced hepatotoxicity was carried out at three different concentrations (5, 50 and 500ng/ml) and MTX concentration was fixed as 100 mM/ml. (fig. 1).

Fig. 1: Cytotoxicity potential of Ambrex (A) and MTX (B) in chang liver cells using MTT assay

RT–PCR analysis

A significant up-regulation of BAX (p<0.01) and down-regulation of BCL2 and DHFR (p<0.01) mRNA expressions were observed in MTX induced positive control cells when compared to normal chang liver cells. Treatment with Ambrex at 50 and 500 ng/ml significantly decreased the BAX expression and increased BCL2 and DHFR expressions in MTX intoxicated chang liver cells (fig. 2).

In vivo study in mice model

Biochemistry

MTX induced positive control mice showed a significant increase in SGOT (p<0.01), SGPT (p<0.01), ALP (p<0.01), γ-GT (p<0.01), total bilirubin (p<0.01) and TBARS (p<0.01) and significant decrease in GSH (p<0.01) content, SOD (p<0.01) and catalase (p<0.01) activity when compared to normal mice. Administration of Ambrex at 250 and 500 mg/kg significantly decreased SGOT (p<0.01), SGPT (p<0.01), ALP (p<0.01), γ-GT (p<0.01), total bilirubin (p<0.01 at high dose) and TBARS (p<0.01) content and increased GSH (p<0.01 at high dose) content, SOD (p<0.01 at high dose) and catalase (p<0.01 at high dose) activity in comparison to MTX intoxicated mice and the values were found to be comparable with that of the reference drug, LIV52 (fig. 3).

Histopathology

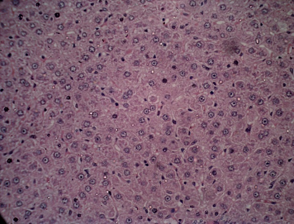
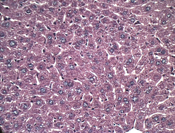
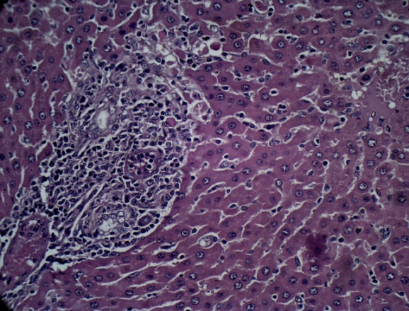
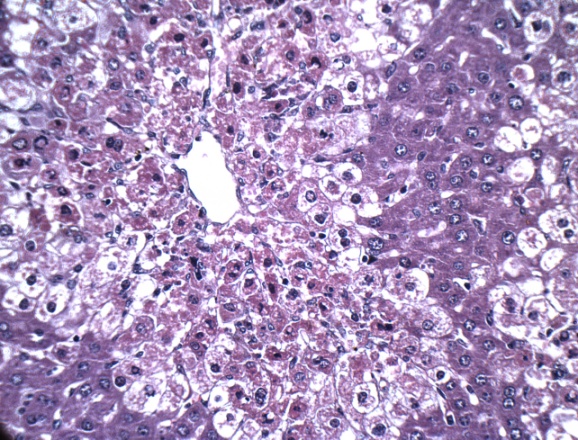
Histological profile of the normal control group revealed normal histology of liver with central vein, hepatocytes and portal triads. MTX induced group revealed marked degree of centrilobular necrosis along with polymorphonuclear cells infiltration, severe vacuolations in the hepatocytes and sinusoidal congestion. Pre-treatment with LIV-52 reduced MTX induced microscopic changs and showed marked beneficial effects in the liver architecture. Ambrex treatment at the low dose showed moderate degree of necrosis, mild degree of vacuolations in the hepatocytes with minimal sinusoidal congestion. Ambrex administration at high dose revealed regeneration of hepatocytes to normal architecture, absence of sinusoidal congestion and vacuolations in the hepatocytes. On the basis of the above observation, it is concluded that pre-treatment with Ambrex at high dose (500 mg/kg b. wt. p. o) have hepatoprotective activity against MTX induced hepatotoxicity (fig. 4).

A B
C D

Fig. 2: Effect of ambrex on MTX induced hepatotoxicity in chang liver cell line. (A). Representative bar graphs of mRNA expression. Lane I: Normal control; Lane II: Positive control; Lane III: Low dose; Lane IV: Mid dose; Lane V: High dose. (B-D) Values were expressed in mean±SEM; Statistical analysis was performed using one way anova followed by tukey’s multiple comparison tests in Graph pad prism 5.0. ##represents p<0.01 vs Normal control; ** represents p<0.01 vs positive control

A B
C D
E F
G H
I

Fig. 3: Effect on Ambrex on liver and oxidative stress markers level in MTX intoxicated mice. Graph represents (A) SGOT, (B) SGPT, (C) ALP, (D) γ-GT, (E) total bilirubin, (F) TBARS, (G) SOD, (H) GSH and (I) Catalase activity. Values are expressed in mean±SEM; n=6/group; mean difference between the groups were analysed by one way ANOVA followed by Tukey’s multiple comparsion test as posthoc; ## denotes P<0.01 vs normal control; **denotes P<0.05 vs positive control

A B
C D
E

Fig. 4: Representative photograph showing the effect of Ambrex on MTX induced mice liver-H & E stain X400 magnification. (A) Normal control, (B) Positive control (C) MTX+LIV 52, (D) MTX+Ambrex (250 mg/kg b. wt., p. o.) and (E) MTX+Ambrex (500 mg/kg b. wt., p. o.) treated group

DISCUSSION

MTX is widely used as a cytotoxic chemotherapeutic agent in the treatment of malignancies but its efficacy is limited due to its severe side effects leading to various conditions such as liver cirrhosis, fibrosis of the liver, hypertrophy of the hepatocytes, hepatitis, hepato-cellular necrosis and death [14-16]. Numerous studies have used MTX as an animal model to study the drugs for its hepatoprotective activity [4, 17]. The present study showed that Ambrex exerts potent hepatoprotective activity in MTX induced liver toxicity in mice by regulating the oxidative stress markers.

It is well known that MTX induces oxidative stress by increasing lipid peroxidation in different tissues [18]. The reactive oxygen species (ROS) thus formed from oxidative stress further leads to the cellular damage by peroxidation of membrane lipids, protein cross-linking and DNA breakdown [19-21] showed that hydrogen peroxide is implicated in MTX induced lipid peroxidation. Catalase and SOD, which acts as potent antioxidants plays an important role in the detoxicification of hydrogen peroxide and lipid peroxidation [22, 23]. In the present study, the decreased TBARS content and increased GSH content, catalase and SOD activity in Ambrex administration showed its potent anti-oxidant status in ameliorating the MTX induced liver damage.

Increased liver markers such as SGOT, SGPT and ALP activity was observed in MTX intoxicated rabbit which shows the increased permeability, damage or necrosis of hepatocytes [24, 25] showed that MTX induces apoptosis through oxidative stress pathway. The decreased activities of liver markers such as SGOT, SGPT, ALP, γ-GT and bilirubin and altering apoptotic markers such as BAX and BCL2 observed in the present study implicates the effectiveness of Ambrex against MTX intoxicated liver damage. The histopathological evidences also showed that Ambrex protects hepatocytes against MTX induced damage.

CONCLUSION

In conclusion, Ambrex showed hepatoprotectivity against MTX induced liver damage by enhancing the anti-oxidants. The present study demonstrated that Ambrex acts as hepatoprotective agent which was evident from both in vitro and in vivo studies. This preventive action of Ambrex might be attributed to the synergistic potential of the herbs present in the formulation.

ACKNOWLEDGEMENT

Declared None

ABBREVIATION

MTX: Methotrexate; SGOT: Aspartate transaminase; SGPT: Alanine transaminase; ALP: Alkaline phosphatase; γ-GT: γ–glutamyl transferase; SOD: Superoxide dismutase; CAT: Catalase; GSH: Reduced glutathione; LPO: Lipid peroxide; ROS: Reactive oxygen species; MEM: Minimal Essential Medium; TBA: Thiobarburic acid; BHT: Butylated hydroxyl toluene; MTT: 3-(4, 5-dimethylthiazol-2-yl)-2,5-Diphenyl tetrazolium bromide; RT-PCR: Reverse transcriptase-Polymerase Chain Reaction; DHFR: Dihydrofolate reductase; BCL2: B-cell lymphoma 2; BAX: Bcl-2-associated X protein.

CONFLICT OF INTERESTS

The authors declare no conflict of interest

REFERENCES

  1. Tobias H, Auerbach R. Hepatotoxicity of long term methotrexate therapy for psoriasis. Arch Intern Med 1973;132:391–6.
  2. Kumar O, Sugendran K, Vijayaraghavan R. Oxidative stress associated hepatic and renal toxicity induced by ricin in mice. Toxicon 2003;1:333–8.
  3. Tafazoli S, Spehar DD, O’Brien PJ. Oxidative stress mediated idiosyncratic drug toxicity. Drug Metab Rev 2005;37:311–25.
  4. Coleshowers CL, Oguntibeju OO, Ukpong M, Truter EJ. Effects of methotrexate on antioxidant enzyme status in a rodent model. Med Technol 2010;24:5-9.
  5. Singh R, Verma PK, Singh G. Total phenolic, flavonoids and tannin contents in different extracts of Artemisia absinthium. J Intercult Ethnopharmacol 2012;1:101-4.
  6. Mohammed HA, Alshalmani SK, Abdellatif AG. Antioxidant and quantitative estimation of phenolic and flavonoids of three halophytic plants growing in libya. J Pharmacogn Phytochem 2013;2:89-94.
  7. Devi AJ, Rajkumar J. Antihyperlipidemic effect of ambrex, a polyherbal formulation against experimentally induced hypercholesterolemia in rats. Afr J Pharm Pharmacol 2013;7:1737-43.
  8. Ravindran R, Devi AJ, Krithika, Lavanya, Rajkumar J. Phytochemical screening, GC-MS analysis and antimicrobial evaluation of ambrex (a herbal formulation). Int J Pharm Res 2014;2:31-5.
  9. Devi AJ, Ravindran R, Sankar M, Rajkumar J. Effect of Ambrex (a herbal formulation) on oxidative stress in hyperlipidemic rats and differentiation of 3T3-L1 preadipocytes. Pharmacogn Mag 2014;10:165-71.
  10. Kakkar P, Das B, Viswanathan PN. A modified spectrophotometric assay of superoxide dismutase. Indian J Biochem Biophys 1984;21:130-2.
  11. Ohkawa H, Ohishi N, Yagi K. Assay for lipid peroxides in animal tissues by thiobarbituric acid reaction. Ann Biochem 1979;95:351-8.
  12. Moren MS, Desplerra JW, Mannervik B. Levels of glutathione, glutathione reductase and glutathione S-transferase activities in rat lung and liver. Biochim Biophys Acta 1979;585:67-78.
  13. Sinha AK. Calorimetric assay of catalase. Anal Biochem 1972;47:389-94.
  14. Uzar E, Sahin O, Koyuncuoglu HR, Uz E, Bas O, Kilbas S, et al. The activity of adenosine deaminase and the level of nitric oxide in spinal cord of methotrexate administered rats. Toxicol 2006;218:125-33.
  15. Cetinkaya A, Bulbuloglu E, Kurutas E, Kantarceken B. N-acetylcysteine ameliorates methotrexate–induced oxidative liver damage in rats. Med Sci Monit 2006;12:274-8.
  16. Mahoney DH Jr, Shuster JJ, Nitschke R, Lauer SJ, Steuber CP, Winick N, et al. Acute neurotoxicity in children with B-precursor acute lymphoid leukaemia: an association with intermediate-dose intravenous methotrexate and intrathecal triple therapy. J Clin Oncol 1998;16:1712-22.
  17. Issabeagloo E, Ahmadpoor F, Kermanizadeh P, Taghizadiyeh M. Hepatoprotective actions of melatonin against methotrexate induced hepatic injury in animal model. Res J Biol Sci 2011;6:381-5.
  18. Jahovic N, Cevik H, Sehirli AO, Yegen BC, Goksel S. Melatonin prevents methotrexate–induced hepatorenal oxidative injury in rats. J Pineal Res 2003;34:282-7.
  19. Babiak RM, Campello AP, Carieri EG, Oliveira MB. Methotrexate: pentose cycle and oxidative stress. Cell Biochem Funct 1998;16:283-93.
  20. Cetiner M, Sener G, Sehirli AO, Eksioglu-Demiralp E, Ercan F, Sirvanci S, et al. Taurine protects against methotrexate-induced toxicity and inhibits leukocyte death. Toxicol Appl Pharmacol 2005;209:39-50.
  21. Gressier B, Lebegue S, Brunet C, Luyckx M, Dine T, Cazin M, et al. Pro-oxidant properties of methotrexate: evaluation and prevention by an antioxidant drug. Pharmazie 1994;49:679-81.
  22. Dinkova-Kostova AT. Protection against cancer by plant phenyl propenoids: induction of mammalian anticarcinogenic enzymes. Mini Rev Med Chem 2002;2:595-610.
  23. Okado-Mastumoto A, Fridovich I. Subcellular distribution of superoxide dismutase (SOD) in rat liver: Cu, Zn-SOD in mitochondria. J Biol Chem 2001;276:383-93.
  24. Jwied AH. Hepatoprotective effect of the aqueous extract of camellia sinensis against methotrexate-induced liver damage in rats. Iraqi J Pharm Sci 2009;18:73-9.
  25. Herman S, Zurgil N, Deutsch M. Low dose methotrexate induces apoptosis with reactive oxygen species involvement in T lymphocytic cell lines to a greater extent than in monocytic lines. Inflammation Res 2005;54:273-80.