
1Department of Botany, The Institute of Science, 15, Madame Cama Road, Mumbai, Maharashtra, India 400032
Email: vermaranjana09@gmail.com
Received: 20 May 2015 Revised and Accepted: 19 Dec 2015
ABSTRACT
Objective: Chromatographic evaluation of steroidal saponin ‘diosgenin’ from leaves of the medicinal plant by HPTLC.
Methods: HPTLC analysis was performed with methanolic (MeOH) and ethanolic (EtOH) leaf extract of Abutilon indicum. HPTLC analysis was carried out with Toluene: ethyl acetate: formic acid [6:5:1, v/v/v] mobile phase and anisaldehyde-sulphuric acid reagent as spraying reagent for derivatization. Quantitative evaluation of diosgenin content in extracts was estimated using diosgenin standard curve (500-3000 ng/spot).
Results:HPTLC plate scanned at 366 nm showed good resolution and band color after derivatization. The appearance of brown color spot on chromatograms confirmed the diosgenin content in samples and it was observed to be 0.4 and 0.11 % (w/w) in MeOH and EtOH extracts, respectively.
Conclusions: A. indicum plant leaves are a good source of steroidal saponin diosgenin and can be used as an alternate natural source to synthesize herbal drugs to control human population, various tumor; oral contraceptives, sex hormones and other steroids. Further, the proposed HPTLC method is a faster, precise, accurate and cost effective, thus, help to the pharmaceutical companies for quantity, quality control and standardization of herbal formulations for routine analysis of diosgenin.
Keywords: Diosgenin; HPTLC, Steroidal saponin, Abutilon indicum.
© 2016 The Authors. Published by Innovare Academic Sciences Pvt Ltd. This is an open access article under the CC BY license (http://creativecommons.org/licenses/by/4.0/)
INTRODUCTION
Nature has blessed us with an immense biodiversity of plants. These have been exploited for the various traditional medicinal system in India since past because they are known to contain various secondary metabolites which make them useful against various ailment and diseases.
Abutilon indicum (Linn.) a member of Malvaceae family commonly called as ‘Country mallow’ (English), ‘Kanghi’ (Hindi) and ‘Atibala’ (Sanskrit) is a perennial shrub, softly tomentose and up to 3 m in height. This plant is found as a weed throughout the hotter parts of India. It has enormous importance and traditionally used for their varied pharmacological and medicinal activities for the treatment of various ailments. They contain specific phyto-constituents responsible for their biological activity. The plants are widely used for their hepatoprotective, anti-inflammatory, lipid lowering, antioxidative, hypoglycemic, antifungal, wounds healing, antibacterial and larvicidal properties [1-5]. The leaves are effective in the ulcer, for the treatment of diabetes, diuretic infection and gingivitis [6-8]. In Ayurveda, Unani and Siddha system of medicine, it used as a remedy for jaundice, piles, ulcer and leprosy [9].
A saponin molecule consists of an aglycone (or sapogenin) and one or two sugar moieties. According to the structures of the aglycone, saponins can be classified into two types: triterpenoid and steroidal [10, 11]. They have been reported to have a variety of beneficial health effects. The therapeutic effects of a large number of folk medicines are thought to be associated with their saponin content [12].
Diosgenin is a bioactive steroidal sapogenin of great interest to the pharmaceutical industry [13]. It serves as an important starting material for the production of steroidal drugs and hormones such as testosterone, glucocorticoids, progesterone, corticosteroids, and oral contraceptives [14, 15] and possesses estrogenin and antitumour properties [16]. Due to innumerable health benefits of this compound, currently, great attention is being given to determine quality, efficacy, and standards of the herbal raw material. To date, diosgenin and related steroidal saponins were commercially obtained from only few plants like Dioscorea, Yucca and Trigonella [13, 17] and thus, there is an anthropogenic pressure on these plants. Therefore, it is essential to discover a new and alternate source of these compounds due to decreasing plant resources as well as increasing demand. There is an urgent need to develop a simple method for simultaneous estimation of diosgenin using sophisticated instruments like high-performance liquid chromatography (HPLC) and (HPTLC). There are ample of studies on analysis of diosgenin content in different plants like fenugreek, Dioscorea, Yucca, etc but as per our knowledge till date no study has been done to estimate diosgenin content in A. indicum. Hence, the objective of this work, therefore, was to evaluate A. indicum plants leaves for saponin content. If it is found in high concentration would present as rich sources of it, which can be exploited for commercial uses and in ethnomedicine as drugs.
Till date, several analytical methods including colorimetry, spectrophotometry, HPLC, HPTLC, and TLC have been reported for analysis of diosgenin individually [18-23]. However, there is no any HPTLC technique available anywhere else for simultaneous estimation of diosgenin in A. indicum. Thus, an attempt has been made to develop a simple, fast, accurate, precise and cost-effective HPTLC method for estimation of diosgenin content in medicinal plant A. indicum.
MATERIALS AND METHODS
Plant material
The leaves of Abutilon indicum (L) Sweet plant were used as an experimental material and collected from Greenhouse of The Institute of Science, Mumbai. The plant was identified, authenticated and deposited in the Blatter Herbarium, Department of Botany, St. Xavier’s College, Mumbai (Voucher specimen no-K. V. S. 1888 of K. V. Shenoy). The leaves were shade dried and grounded to the fine powder.
Qualitative determination of saponins
The homogenous sample of leaves of experimented plant was subjected to phytochemicals analysis for qualitative determination of saponin according to the method described by Nyam et al. [24]. The performed qualitative tests were briefly described.
In a test tube, 0.5g of the extract was shaken with water. A stable frothing was taken as evidence for the presence of saponin.
HPTLC analysis of diosgenin
Preparation of plant extracts
The extract from dried leaf powder for HPTLC analysis was prepared using ultrasonication extraction technique [25]. In the present study ethanol and methanol extract were analyzed independently. For sonication 1 gm of leaf powder was mixed in 50 ml of solvents separately and sonicated for 20 min (Sonics-Vibra Cell, VCX-130). After sonication extracts were filtered using Whatman filter paper No.1. The sample extracts were evaporated to dry and made a final concentration of 10 mg/ml of stock solution used for the analysis. For HPTLC analysis, 5 µl from each stock solution was used.
Preparation of standard solution
The standard stock solution for diosgenin was prepared by dissolving 5 mg in 5 ml of methanol by means of sonicated for 15 min. From this stock (1 mg/ml), six different concentrations (100-600 µg/ml) of diosgenin standard were prepared to prepare diosgenin standard calibration curve (fig. 1).
Fig. 1: HPTLC calibration curve for diosgenin standard
Chromatographic conditions
Chromatography was performed on pre-activated (at 1100 °C) silica gel 60 F254 HPTLC plates. Both, sample and standard (5 µl each) compounds were applied to the layer as 6.0 mm wide bands, positioned 8.0 mm from the bottom of the plate, using an automated CAMAG LINOMAT-5, TLC applicator instrument with nitrogen flow providing the delivery by 100 µl Hamilton syringe.
Chromatogram development
Sample loaded TLC plate was kept in glass twin-trough developing chambers (10 mm × 10 mm, with metal lid) previously saturated with solvent vapor with mobile phase, for 30 min, at room temperature 25±2 °C.
Mobile phase
Toluene: ethyl acetate: formic acid [6:5:1 v/v/v] [19].
Photo-documentation
The developed plate was dried by hot air to evaporate solvents from the plate. The plate was kept in photo-documentation chamber (CAMAG Reprostar-3) and the images were captured at 254 nm and 366 nm.
Derivatization
The developed plate was sprayed with spraying reagent anisaldehyde-sulphuric acid reagent [13] and TLC plate was dried at 110 °C for 10 min in hot air oven. Immediately after drying, the plate was photo-documented in daylight, UV 254 nm and 366 nm mode using CAMAG-TLC Scanner-3 equipment.
Scanning, detection and quantification
After derivatization, the plate was fixed in scanner stage and scanning was done at 366 nm. The peak table, peak display, and peak densitogram were noted. The compounds were investigated according to their RF values with the corresponding spot of standard diosgenin. The percentage of diosgenin present in MeOH and EtOH extract was calculated by diosgenin standard calibration curve.
Validation of method
Linearity
The linearity of the method was assessed by the analysis of standard solution (1 mg/ml) at six concentration levels, that is, 0.5–3.0 𝜇g/spot of diosgenin. The linearity was evaluated using linear least-squares regression analysis for generation of calibration curve. The regression equation with slope, intercept, and coefficient of correlation (𝑟) was calculated (table 1 and fig. 1).
Limit of detection (LOD) and Limit of quantification (LOQ)
The LOD was determined based on the lowest concentration detected by the instrument from diosgenin standard while the LOQ was determined based on the lowest concentration quantified in the samples (table 1).
Method precision (repeatability)
The repeatability of the method was assessed by spotting 500 and 1000 ng diosgenin standard 6 times each and was analyzed each accordingly by HPTLC method. The percentage relative standard deviations were expressed as RSD (%) (table 1).
Accuracy
Accuracy was determined as percent recovery by the standard addition method. The pre-analyzed samples (200 µg/spot) spiked with the standard and the mixtures were reanalyzed by the developed method. The spiking was done at two different concentration levels (500 and 1000 ng/spot) and average percent recovery and % RSD were calculated at each concentration level (table 2). The experiment was conducted in triplicate.
Robustness
Robustness was studied in triplicate at 1000 ng/band by making small changes to the volume of the mobile phase, the composition of mobile phase, and saturation time of development chamber. The effects on the results were examined by calculation of RSD (%) and RF values (table 1).
Specificity
The specificity of the method was ascertained by analyzing standard and test samples. The diosgenin in the test samples was confirmed by comparing RF and UV spectra of the spots with that of the standard (fig. 2-4 and photo plates 1 and 2).
Quantification of diosgenin
The methanolic and ethanolic extracts (20 μl) were applied in triplicate and densitograms were obtained under same conditions as that of the standard. Area under the peak corresponding to that of the standard was recorded and content of the same was calculated from the regression equation obtained from the calibration curve.
RESULTS AND DISCUSSION
Qualitative analysis
The qualitative froth test in methanolic, ethanolic and aqueous extracts of A. indicum leaves revealed the presence of saponin.
Chromatographic fingerprinting
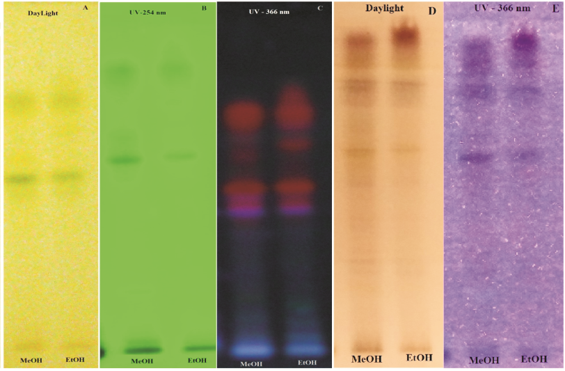
HPTLC analysis of MeOH and EtOH leaf extract of experimented plant was carried out with toluene: ethyl acetate: formic acid [6:5:1, v/v/v] mobile phase which gives good separation of saponins. HPTLC chromatograms of MeOH and EtOH observed before and after derivatization at 254, 366 nm and daylight are shown in photo plates 1&2. HPTLC plate visualized at 366 nm and daylight showed best resolution and intense color spots after derivatization with the anisaldehyde-sulphuric acid reagent. Blue, brown, yellow and purple colored spots were observed at daylight mode, confirmed the presence of saponin in the given samples and standard. The appearance of brown color spot at RF= 0.77 established the diosgenin in the samples.
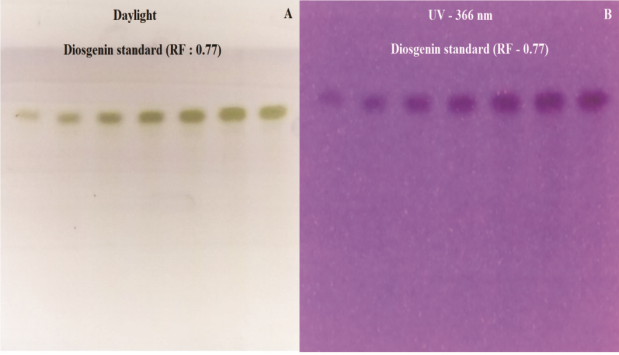
Photoplate 1: HPTLC profile of standard diosgenin at 366 nm after derivatization
After derivatization at 366 nm, standard diosgenin showed a single peak with RF value 0.77 and retention area 3047 (fig. 2).Densitograms of MeOH sample displayed the presence of 10 types of saponin and 6thpeak with RF value 0.79 and retention area 519.2 was homologous to the standard diosgenin (fig.3). While in EtOH sample it displayed 8 types of saponins at 366 nm and no significant appearance of the peak (area after 4th peak in fig. 4) homologous to diosgenin was detected (fig. 4). However, an intense peak coincided to diosgenin with RF value 0.79 was observed when the sample was spotted in high quantity (10-20 ul).
Photoplate 2: HPTLC profile of MeOH and EtOH extract of A. indicum, (A). Day light before derivatization, (B). UV-254 nm before derivatization, (C). 366 nm before derivatization, (D). Daylight after derivatization, (E). 366 nm after derivatization.
Fig. 2: HPTLC densitogram of diosgenin standard
Fig. 3: HPTLC densitogram of methanolic extract of A. indicum showing diosgenin in sample
Fig. 4: HPTLC densitogram of ethanolic extract of A. indicum showing diosgenin in sample
A quantitative HPTLC method that gives dense and compact spots with significant 𝑅F values for simultaneous determination ion of diosgenin in A. indicum leaves was developed. The six point linear calibration curves of diosgenin were linear in the range of 500–3000 ng for diosgenin, which indicates that the method has good sensitivity. Specificity of the proposed method was evaluated by comparing the 𝑅F values acquired from standards and from test samples separated under identical conditions (fig. 2, 3 and 4).
As shown in table 1, the lower limits of detection (LOD) obtained for diosgenin was 176.55 ng/spot with good linearity, while the limit of quantification (LOQ) obtained was 535 ng/spot indicating the sensitivity of the method to be adequate. The instrumental precision and repeatability of the method were assessed by determination of the RSD (%) of peak area (table 1). the precision were studied by triplicate assay of two different concentrations of diosgenin (500 and 1000 ng per spot. RSD values obtained (1.6–1.87%) indicated that the method is precise (table 1). Good recovery was obtained by the methanolic sample at two different concentration levels of diosgenin standard. The percent recoveries obtained after sample processing and applying was found to be in the range of 98.4±0.24%. Results obtained for determination of robustness indicated that the method was able to withstand minor experimental changes (table 1). The developed method was validated as per ICH guidelines [26].
The HPTLC method developed here for the diosgenin in A. indicum is thus, simple, precise, specific, accurate, rapid and cost-effective and chromatograms developed with methanol and ethanol extract from A. indicium leaves may be treated as fingerprints and could be used efficiently for identification and quality assessment of the plants and plant’s related drugs.
Quantification of diosgenin
Interestingly, while using the developed method, the amount of diosgenin in methanolic and ethanolic leaves extract of A. indicum was found to be 0.43% (w/w) and 0.10% (w/w), respectively (table 3). Our results are in good agreement with the results reported earlier for Trigonella foenum-graceum by Trivedi et al. [27] and Laila et al. [21], Similarly, Shah and Lele [13] validated HPTLC method for diosgenin and found 0.078, 0.133 and 0.048% diosgenin in fresh and dried tuber as well as callus of Dioscorea alata Var purpurae, respectively. Thus, this method is a valuable tool for accurate detection and simultaneous estimation of biological compound diosgenin.
Table 1: Validation parameters for diosgenin by HPTLC
S. No. |
Parameters |
Diosgenin |
1. |
Linearity range, n=3 |
500-3000 ng/spot |
2. |
Correlation coefficient (r2), n=3 |
0.988 |
3. |
Regression equation (Y= m x+c) |
Y=1.988x+1402 |
5. |
Precision repeatability (RSD %), n=6 |
1.6-1.87% |
6. |
Robustness (RSD), n=3 Mobile phase volume Mobile phase composition Saturation time |
1.26–1.9% Rf = 0.73-0.80 |
7. |
Specificity |
Specific |
8. |
Limit of detection (LOD), n=3 |
176.6 ng |
9. |
Limit of quantification (LOQ), n=3 |
535.0 ng |
Table 2: Results from study of recovery for diosgenin
MeOH sample (ug/spot) |
Diosgenin in sample (ng) |
Diosgenin added (ng) |
Total diosgenin (ng) |
Diosgenin found in mixture (ng) |
*Recovery (%) |
*Average recovery (%) |
200 200 |
851.60 851.60 |
500 1000 |
1351.6 1351.6 |
1328±13.0 1825±12.8 |
98.3±0.98 98.6±0.70 |
98.4±0.24 |
* mean±relative standard deviation (%), n=3
Table 3: Diosgenin content in methanolic and ethanolic leaf extract of A. indicum plant by proposed method
S. No. |
Samples |
Diosgenin content (%,W/W) |
1. |
MeOH |
0.43±0.018 |
2. |
EtOH |
0.10±0.009 |
Mean±Standard deviation (SD), n=3
CONCLUSION
This work justifies the usage of this plant in ethnomedicine, and various clinical and therapeutics. It is clear from the present work that this plant has an appreciable amount of diosgenin in its leaves, thus, it can also be a natural alternate source for manufacturing of various health related hormones, steroids and oral contraceptives; and also releases pressure from some plants which are extensively exploited to produce diosgenin. In addition, plant leaves extract could also be potentially used in herbal drugs formulations as anti-cancer, antibiotics, antidiabetic, insecticide, antifungal, anti-inflammatory, and antioxidant, antiprotozoal, anti-ulcer and antiviral agents.
The developed HPTLC method is simple, accurate, precise and cost-effective and can be utilized for the routine analysis of the quantitative determination of diosgenin. The developed HPTLC fingerprints will help the drug’s manufacturer for quality control and standardization of herbal formulations.
ACKNOWLEDGMENT
The authors graciously acknowledge the financial support is given by University Grants Commission, New Delhi to Dr. Ranjana Singh as D. S. Kothari-Post Doctoral Fellowship, and Department of Botany, Institute of Science, Mumbai, for providing the facilities to carry out the work.
CONFLICT OF INTERESTS
Declared none
REFERENCES