
Department of Pharmaceutical Sciences, Guru Nanak Dev University, Amritsar 143005, India
Email: neena.pharma@gndu.ac.in
Received: 21 May 2015 Revised and Accepted: 17 Jul 2015
ABSTRACT
Objectives: In the present study, site specific colonic drug delivery system was developed on the principles of the combination of pH and microbially triggered controlled system.
Methods: The basic design consists of chitosan-chondroitin sulphate inter-polymer complex containing leflunomide. The core tablet was enteric coated with Eudragit E-100 so that colon specific drug release can be achieved. The leflunomide, chitosan (CH), chondroitin sulphate (ChS), chitosan-chondroitin sulphate inter-polymer complex (CH-ChS IPC) were characterized by Fourier Transform Infrared Spectroscopy (FT-IR). In vitro drug release study was conducted using sequential dissolution technique at 0.1 N HCl buffer (simulated gastric fluid), phosphate buffer pH 7.4 (simulated intestinal fluid) and finally in phosphate buffer pH 6.8 (simulated colonic fluid) with or without rat caecal content.
Results: FTIR studies confirmed that there was no interaction between drug and polymer. Tablets coated with Eudragit E-100 with different coat weights showed less than 10% of drug release in the stomach whereas same tablets showed 13.42%, 9.5%, 12.37% and 12.83% release of drug in phosphate buffer pH 7.4 and95.43%, 90.31%, 98.44% and 96.64% release of drug in phosphate buffer pH 6.8. Histopathology of rat colon after administration of Eudragit E-100 coated tablets containing chitosan-chondroitin sulphate inter-polymer complex revealed the marked reduction in acetic acid induced colitis in the test group.
Conclusion: The present study confirmed that coating with Eudragit E-100 delivered the leflunomide to colon in highest efficacy with the least toxic effects of an anti-inflammatory therapy.
Keywords: Chitosan, Chondroitin sulphate, Eudragit E-100, Colon, Leflunomide.
INTRODUCTION
Oral drug delivery system is the most preferable route of drug administration due to ease of administration, patient compliance, flexibility in formulations etc. The oral drug delivery systems can be targeted to specific site in the GIT. Rationale for drug targeting is based on the ecosystem of specific microflora in the lower parts of GIT. Colonic drug delivery is a relatively new scientific area that has been developed during the last 10 to 15 y in almost obscurity. Targeting drug delivery into the colon is highly desirable for local treatment of the variety of bowel diseases such as inflammatory bowel diseases, including ulcerative colitis, Crohn’s disease, irritable bowel syndrome, colorectal carcinoma and constipation [1].
The colon is having high water absorption capacity, the colonic contents are considerably viscous and their mixing is not sufficient, thus availability of most drugs to the absorptive membrane is low [2]. Various systems have been developed for colon specific drug delivery. These include, systems developed using pH-sensitive polymers (enteric coating polymers), time dependent release systems or enzymatically-controlled delivery systems. Enteric coatings are well-known and several marketed IBD products rely on them to delay release in an attempt to increase local drug delivery and it is possible to treat the IBD effectively by orally administering the drug through the colon specific drug delivery which may act locally as well as systemically [3]. Chitosan and chondroitin sulphate inter-polymer complex has already been reported to target the colon without undergoing any release of the drug in the upper segments of the GIT. Furthermore, Eudragit E-100 was selected to coat the tablets which is soluble only under acidic conditions at a pH equals to or below 5.0 and being acid soluble dissolves in acidic environment of the inflamed colon in inflammatory bowel diseases. So this polymer was selected to target the colon as it starts dissolving at pH 1.2 in the stomach but the tablet core partially coated with Eudragit E-100 prevented the drug release and prolonging its release while transit through the intestine, thereby, maintaining its effective plasma concentration over longer duration. Eudragit FS30D is insoluble in acidic medium but dissolves above pH7.0. In addition, biodegradability of both polymers could be expected to ensure complete release of leflunomide in the colon [4].
The present study is based on the development of colon targeted matrix tablets of leflunomide, an isooxazole containing heterocyclic DMRAD and immunomodulatory agent, which inhibit de novo pyrimidine synthesis [5]. It was investigated to target to colon following oral administration of the leflunomide with core containing CH-ChS (chitosan-chondroitin sulphate interpolymer complex) coated with Eudragit E-100 with reference using Eudragit FS30D coating.
MATERIALS AND METHODS
Materials
Leflunomide was received as a gift sample from Sun Pharma (Mumbai, India). Chitosan and chondroitin sulphate were purchased from Himedia (Mumbai, India). Eudragit E-100 was procured as a gift sample from Panacea Biotec Ltd, Lalru. Eudragit FS30D was obtained from Evonic Degussa, Mumbai. All other chemicals and solvents used were of analytical grade. Double distilled water and triple distilled water was used throughout the studies (Rions, India).
Methods
Preparation of chitosan-chondroitin sulphate binder paste
Binder paste of the polysaccharides was prepared by mixing the weighed amount of chitosan (CH) in 3% w/v solution of glacial acetic acid in distilled water using magnetic stirrer (IKA S22) for 30 min so as to enable the chitosan to swell. Weighed amount of chondroitin sulphate (ChS) was separately dissolved in water and was added slowly to this mixture. ChS solution was then slowly added to CH solution until homogenous solution was obtained. The mixing was carried out for 24 h so that proper cross-linking can take place. The cross-linked paste of chitosan and chondroitin sulphate was used as a binder for the powder mixture during wet granulation [6, 7].
Fourier transform infrared spectroscopy (FT-IR)
To characterize CH-ChS admixtures used for tablet formulation, FT-IR spectra of leflunomide, chitosan (CH), chondroitin sulphate (ChS) powder and chitosan-chondroitin sulphate interpolymer complex (CH-ChS IPC) were measured using a FT-IR spectrophotometer (Shimadzu FTIT-84005) using the KBr disk method.
Formulation of leflunomide granules and core tablet
Accurately weighed quantities of leflunomide, lactose monohydrate and binder (chitosan-chondroitin sulphate 1% w/v) were physically mixed using a mortar and pestle to form a mass suitable for preparation of granules (table 1). The dough mass was passed through sieve # 22 to form granules and retained on # 44 sieve. These granules were dried at 40°C for 1 h and regranulated by passing again through #22 sieves and retaining on #44 sieves. The obtained blend was lubricated with magnesium stearate (0.25%) by tumbling method [8] and compressed using convex three punches, single station rotary compression machine (Popular Cant Laboratory Limited, Haryana).
Table 1: Formulation ingredients for preparing leflunomide tablets
S. No. |
Ingredients |
Quantity (mg) |
1 |
Leflunomide |
20 |
2 |
Lactose monohydrate |
260 |
3 |
Chitosan |
7.5 |
4 |
Chondroitin sulphate |
7.5 |
5 |
Magnesium stearate |
5 |
Preparation and coating of leflunomide tablets using Eudragit E-100
The tablet cores were coated with acid-soluble coating material, Eudragit E-100. A coating solution was prepared by dissolving 10% (w/w) Eudragit E-100 in Isopropyl alcohol. The coating was performed with a conventional pan coating machine (AK Industries M 1107, Nakodar, India) with a tablet bed temperature of 42 °C and rotating speed of pan at 20 rpm. The percentage coating weight was 5%, 7.5%, 10%, 12.5% and 15% per tablet core for formulations F1, F2, F3, F4 and F5, respectively [4].
Preparation and coating of aqueous dispersion containing Eudragit FS30D
To prepare Eudragit FS30D coating dispersion, a 30% (w/w) aqueous Eudragit FS30D dispersion was used. Polysorbate 80 as a wetting agent and glyceryl monostearate as a glidant were added to water and the mixture was heated at 60°C by stirring for 10 min at 50 rpm until a fine homogenous dispersion was obtained. After cooling, this dispersion was gently added to Eudragit FS30D dispersion and mixed by magnetic stirrer [9].
The coating was performed with a conventional pan coating machine (AK Industries M1107, Nakodar, India) with a tablet bed temperature of 42 °C and rotating speed of pan at 20 rpm. The spray rate and the bed temperature during the coating process were 2 g/min and 30-35 °C, respectively [4, 9]. Before coating the tablets were preheated to 40 °C bed temperatures for 15 min. The tablets were coated to 5%, 7.5%, 10%, 12.5% and 15% total weight gain.
Evaluation of physical parameters
The blend for the preparation of tablets was evaluated before the compression for parameters like an angle of repose, percentage compressibility, Carr’s Consolidation Index (CI) and Hausner’s Ratio (HR). The tablets were evaluated for all the parameters like hardness, surface appearance, size measurement, friability, content uniformity, weight variation and disintegration [10].
In vitro drug release studies
To simulate the gastrointestinal transit conditions, uncoated and coated leflunomide tablets were subjected to different dissolution media. In vitro drug release studies were carried out using USP Type II (basket method) Apparatus (Lab India DISSO 2000, India) maintained at the temperature of 37 ± 0.5°C with constant stirring rate of 50 rpm. The uncoated as well coated tablets prepared using CH-ChS IPC as binder were evaluated for drug release by sequential exposure to HCl buffer pH 1.2 (700 ml) for 2 h, Phosphate buffer pH 7.4 (770 ml) for 3 h and finally in Phosphate buffer pH 6.8 (800 ml) for 19 h [11].
Drug release studies in presence of rat caecal content
Preparation of simulated colonic fluid
To assess the vulnerability of chitosan-chondroitin sulphate interpolymer complex being acted upon by colonic bacteria, drug release studies were carried out in the presence of rat caecal contents, because of its similarity with human intestinal microflora, in order to induce the enzyme that specifically acts on chitosan-chondroitin sulphate interpolymer complex in the caecum. Male Wister rats weighing 140-160g were used. Thirty minutes before the commencement of the drug release studies, two rats were sacrificed by spinal traction. The abdomen was opened and isolated, ligated at both ends, cut loose, and transferred into phosphate buffer pH 6.8, previously bubbled with CO2. The rat caecal bags were opened, their contents were weighed and 4% w/v solution of rat caecal contents was prepared in pH 6.8 phosphate buffer [12].
In vitro drug release studies in the presence of rat caecal content
In vitro release studies were carried out using USP Type II (basket method) Apparatus (Lab India DISSO 2000, India) maintained at temperature of 37 ± 0.5°C with constant stirring rate of 50 rpm with slight modifications. After five hours, the studies were carried out using 100 ml of 4% w/v rat caecal content medium in phosphate buffer pH 6.8 (simulated colonic fluid). At specific time intervals, 5 ml of the samples were withdrawn from each dissolution vessel at regular intervals and replaced with equal volume of respective fresh dissolution medium. Amount of drug released was determined by UV-Visible Spectrophotometer (Blue Star AU-2701) employing wavelength of 260 nm for both acidic and basic conditions [11].
Pharmacodynamic studies
Induction of colitis in rat
In order to study the ameliorating effect of leflunomide on the inflamed tissue of colon in inflammatory bowel diseases, Acetic acid model was selected which is simple and reproducible [13]. Moreover, it is most relevant model and valuable for studying early events of inflammation after mucosal injury. Mucosal and submucosal inflammation followed initial injury and was associated with activation of arachidonic acid pathways.
Induction of inflammation
The procedure was approved by Institutional Animal Ethics Committee, Guru Nanak Dev University, Amritsar. Wistar Rats (average weight 140-160g, n=3/group) undergoing fasting (fasted 23 h before experimentation) were used and allowed food and water after the administration of acetic acid (2 ml of 4% acetic acid in saline). To induce an inflammation, all groups were treated with acetic acid except for the healthy control. The rats were catheterized 8 cm intrarectal, after anaesthised with ketamine and 2 ml of 4% acetic acid in saline was injected into colon via butterfly cannula. Animals were then maintained in a vertical position for 45 s followed by washing with 0.9% saline and returned to their cages. For 24 h the rats were housed without treatment to maintain the development of a full inflammatory bowel disease model. The animals of standard and test groups received orally uncoated and coated leflunomide tablets. The animals of all groups were examined for 24 h for rectal bleeding.
Histopathological studies
The colon was excised and immediately immersed in 10% buffered formalin. The extent of colonic damage was scored as described by Elson et al. [13]. Normal histological appearance (score 0); histological damage limited to the surface epithelium (score 1); focal ulceration and cell disruption limited to mucosa (score 2); focal, trans-mural inflammation and ulceration (score 3); extensive trans-mural ulceration and inflammation bordered by areas of normal mucosa (score 4); extensive trans-mural ulceration and inflammation involving entire section from epithelium to serosa (score 5).
RESULTS AND DISCUSSION
Evaluation of preparation method
Angle of Repose, Carr’s Consolidation Index (CI) and Hausner’s Ratio (HR) are indicative of the relative flow rate, cohesiveness and particle size of granules. The angle of repose was 31° indicating the satisfactory flow behavior of the granules. Hausner’s Ratio was 1.02 and Carr’s Index was 12 indicating the optimum flowability and compressibility of the granules. However, the yield of tablets produced was optimum in all the tablet batches (A, B, C, D and E) as shown in table 3.
The leflunomide coated tablets used for experimental animals were evaluated as per the Pharmacopoeial tests and all the prepared batches were found to be within limits (table 3). The tablets were found to show 0.27-0.45% w/w friability.
Hence, the tablets passed the USP Friability test. The tablets passed the content uniformity test as the acceptance value obtained was 5.40% which is less than the maximum 15% USP tolerance limit. The disintegration time for the coated tablets was observed to be 2h in HCl buffer pH 1.2, 3 h in phosphate buffer pH 7.4 and 19 h in phosphate buffer solution pH 6.8 [10].
Table 2: Physical evaluation of lefunomide granules
Batch code |
Angle of repose (deg) mean±SD |
%Carr’s Consolidation Index mean±SD |
Hausner’s Ratio mean±SD |
A |
27.0±1.10 |
12.0±0.50 |
0.94±0.24 |
B |
30.0±0.80 |
12.3±0.50 |
1.02±0.01 |
C |
27.0±0.90 |
12.2±1.10 |
1.05±0.06 |
D |
29.0±0.60 |
11.1±0.60 |
1.00±0.54 |
E |
31.0±1.20 |
12.0±1.20 |
1.00±0.40 |
Table 3: Physical evaluation of leflunomide coated tablets for animal studies
Batch Code |
Weight (mg) mean±SD |
Axial diameter (mm) mean±SD |
Radial diameter (mm) mean±SD |
Hardness(kg/cm²) mean±SD |
Weight variation (%) mean±SD |
Friability (%) mean±SD |
Content uniformity (%) mean±SD |
A |
34.13±0.36 |
2.19±0.04 |
4.60±0.42 |
5.5±0.10 |
6.50±0.45 |
0.25±0.01 |
5.30±0.56 |
B |
33.98±0.42 |
2.18±0.05 |
4.49±0.38 |
5.7±0.20 |
7.23±0.12 |
0.27±0.07 |
5.29±0.75 |
C |
34.10±0.85 |
2.21±0.08 |
4.51±0.45 |
6.1±0.40 |
6.23±0.14 |
0.29±0.03 |
5.55±0.57 |
D |
34.56±0.37 |
2.33±0.02 |
4.61±0.37 |
5.6±0.40 |
5.78±0.41 |
0.23±0.04 |
5.59±0.36 |
E |
33.99±0.64 |
2.17±0.01 |
4.59±0.32 |
6.1±0.30 |
6.00±0.12 |
0.22±0.04 |
4.68±0.76 |
Fourier transforms Infrared Spectroscopy (FT-IR) analysis
In the FT-IR spectra of leflunomide and chitosan-chondroitin sulphate interpolymer complex (CH-ChS IPC), the absorption peak at 3355 cm-1 (N-H stretch) was obtained and showed it was found to be intact. Similarly, the peaks at 1691 cm-1 and 1606 cm-1 confirmed that there was no interaction between the drug and the chitosan-chondroitin sulphate interpolymer complex.
Further, the peaks at 1253 cm-1and 1407 cm-1were obtained. It suggested the formation of carboxylate linkages between–COO¯ chondroitin sulphate and–NH4+of chitosan. The FTIR spectra of the pure drug as well as CH-ChS IPC indicated that no chemical interaction occurred between leflunomide and the polymers used and full compatibility between pure drug and CH-ChS IPC was confirmed.
A
B
C
D
Fig. 1: FT-IR spectra of (A): chitosan; (B): chondroitin sulphate; (C): chitosan-chondroitin sulphate complex; (D): leflunomide chitosan-chondroitin sulphate interpolymer complex
In vitro drug release studies
The drug release profile of leflunomide from uncoated tablets and Eudragit E-100 coated tablets prepared using different coat weights (Batches F1, F2, F3, F4, and F5) are depicted in fig. 2 and 3, respectively.
Fig. 2: Cumulative drug release profile from uncoated tablets
It is evident from the fig. 2 that leflunomide uncoated tablets released only 37 % of leflunomide in the first 2 h of dissolution studies indicating their ability to minimize the amount of drug release in the physiological environment of stomach.
The obtained results can be explained as when leflunomide uncoated tablets come into contact with the acidic dissolution medium, they take up water and swell, forming a gel layer around the tablet, thus inhibiting the drug release[14, 15]. The release of leflunomide from uncoated tablets was rapid and significantly higher than that observed for coated tablets (p<0.05).
To overcome the problem of drug release in the acidic pH, leflunomide uncoated tablets were coated with different coat weights of Eudragit E-100. It has been reported that during an acute attack of inflammatory bowel disease, the pH of the colon lumen often decreases significantly. This pathological drop in the luminal pH of the colon favors the development of a coated dosage form with the acid-soluble coating film of Eudragit E-100 to achieve drug delivery to colon using cross-linked chitosan (CH) and chondroitin sulphate (ChS) complex as a binder in the tablet core [16].
The time required for releasing approximately 37% leflunomide from tablets coated with Eudragit E-100 with different coat weights in F1, F2, F3, F4 and F5 was 5 h, 6 h, 8 h, 6 h and 7 h, respectively (fig. 3). All the batches except F1 were observed to release less than 10% of the leflunomide in the simulated gastric fluid, thus, complying with USP standards. Hence, the observed drug release indicated that the tablets coated with Eudragit E-100 in F2, F3, F4 and F5 complied with enteric release requirements while those coated in F1 did not exhibit enteric release compliance [17].
Fig. 3: Cumulative drug release profile from E-100 coated tablets
A drug release of 80.87% was observed with uncoated tablets in phosphate buffer 7.4 and 98.99% in phosphate buffer pH 6.8. Also tablets coated with E-100 having the weight gain of 7.5%, 10%, 12.5% and15% w/w in formulation F2, F3, F4 and F5, respectively, showed 13.42%, 9.5%, 12.37% and 12.83% release of leflunomide in pH7.4 phosphate buffer and similarly 95.43%, 90.31%, 98.44% and 96.64% release of leflunomide in phosphate buffer pH6.8. The pH in the GIT changes from pH 1.2 (stomach) to pH 7.4 (small intestine) and finally to pH 6.8 (colon).
Therefore, colon release dosage forms should ideally be tested by sequentially subjecting them to pH 1.2, pH 7.4 and to pH 6.8 finally. To simulate the GIT environment, dissolution studies were conducted by sequentially exposing the tablets to phosphate buffer pH 7.4 for 3 h and phosphate buffer pH 6.8 for 19 h. Further, drug release studies of F4 were carried out with intestinal pH maintained at 4.0 (fig. 4). It shows more specific results and exhibits minimum drug release in upper regions of GIT in order to provide targeted drug delivery to colon even in low pH conditions of inflamed colon.
Fig. 4: Comparative drug release profile from Eudragit E-100 at pH 6.8 and pH 4.0 at 12.5% w/w gain
As the formulation F4 with 12.5% coat weight released maximum amount of drug in 24 h so this was selected for further comparison with Eudragit FS30D which has been successfully used to release the drugs to colon [18]. The tablets were coated with Eudragit FS30D with the weight gain of 12.5% w/w in formulation F6 (fig. 5).
The tablets were coated with Eudragit FS30D with the weight gain of 12.5 % w/w in formulation F6.
Fig. 5: Comparative drug release profile from Eudragit E-100 and Eudragit FS30D coated tablets with weight gain of 12.5%w/w
Drug release rate could be expected to increase in vivo as a result of biodegradation of polysaccharides by the bacteria present in colon. Many studies have reported that the drug release in rat caecal content could be increased to the two or fourfold of its value in presence of the colonic bacteria [19]. Based on this consideration, formulation for colon target that showed the slowest drug release in vitro would show a reasonable sustained release in vivo. Therefore, in order to know the behavior of core containing CH-ChS IPC, the release study of the formulations F4 and F6 was further carried out by adding rat caecal content as shown in fig. 6.
As Eudragit E-100 starts dissolving at pH 1.2, a drug release of 47% was observed from formulation F4 in 6 h and almost 80% of drug was released at 8th hour from the same indicating complete erosion of the film by that time after adding the rat caecal contents. As the CH-ChS complex erodes slowly in phosphate buffer pH 7.4, thereby suppressing the initial drug release in upper segments if GIT, the drug core started swelling and released the drug proportionately above pH 6.5 but as on adding rat caecal content (fig. 6) there was the abrupt release of the leflunomide from the core indicating the polysaccharides are degraded by colonic bacterial species.
However, there have been many reports where IPC has been found to be digested by the microflora of the colon. Hence, the ability of CH-ChS IPC to target the colon has been confirmed [20].
Histopathological studies
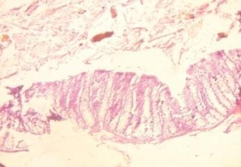
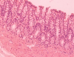
The results of the histopathological studies revealed no sign of colitis or epidermal damage in healthy group I (fig. 7A). Colitis control group II shows mucosal injury characterized by congestion of blood vessels with margination of neutrophils and immigration of neutrophils, submucosal hemorrhage, transmural inflammation and ulcerated mucosa at some places (fig. 7B). The groups III receiving uncoated leflunomide tablets showed slight recovery from mucosal abscess and inflammatory infiltrate and transmural inflammation was not seen (fig. 7C).
Fig. 6: Comparative drug release profile from Eudragit E-100 and Eudragit FS30 Dcoated tablets with weight gain of 12.5%w/w in rat caecal content
The test group 1V receiving Eudragit E-100 coated tablets showed no mucosal injury, slight epithelium recovery and slight inflammatory infiltration and mucosa was intact but slight inflammation was seen in mucosa (fig. 7D). The test group V receiving Eudragit FS30D coated tablets also showed no mucosal injury and inflammatory infiltration indicating full recovery from acetic acid induced colitis after 24 h (fig. 7E). Table 4 depicts the evaluation of colonic damage.
Table 4: Evaluation of colonic damage
Groups |
Acetic acid treatment |
Dosage form (leflunomide tablet) |
Histopathological Evaluation (Score) |
I |
- |
- |
0 |
II |
+ |
- |
4 |
III |
+ |
Uncoated |
1 |
IV |
+ |
Eudragit E-100 coated |
2 |
V |
+ |
Eudragit FS30D Coated |
2 |
(A) |
(B) |
(C) |
(D) |
(E) |
|
Fig. 7: (A): Histopathology of the healthy rat colon; (B): Histopathology of acetic acid induced colitis; (C): Histopathology of acetic acid induced colitis treated with uncoated tablets; (D): Histopathology of acetic acid induced colitis treated with Eudragit E-100 tablets; (E): Histopathology of acetic acid induced colitis treated with FS30D
CONCLUSION
In the present investigation, CH-ChS IPC containing leflunomide in the core was investigated for inflammatory bowel disorder. The tablets were further coated with Eudragit E-100 in order to target it to the colon and prevent the release of the drug through its transit to the colon. Uncoated and coated leflunomide tablets were subjected to in vitro dissolution studies by sequentially exposing them to different buffers (with and without rat caecal contents). The formulation releasing maximum amount of drug in 24 h during dissolution studies was further compared with the tablets coated with Eudragit FS30D which is taken as a standard coating agent for colon targeting. Histopathological studies were carried out using acetic acid induced colitis in rats following oral administration of uncoated leflunomide tablet, Eudragit E-100 coated tablets and EudragitFS30D coated tablets containing CH-ChS IPC in the tablet core. It was seen that the mucosa was intact, transmural inflammation was not visible and there was just mild inflammation in the mucosa. Hence, coating with Eudragit E-100 delivered the leflunomide to colon in highest efficacy with the least toxic effects of an anti-inflammatory therapy.
ACKNOWLEDGEMENT
The authors would like to thank Mr. Amritpal Singh, Assistant Professor, Department of Pharmaceutical Sciences, Guru Nanak Dev University, Amritsar, for his kind help and advice in carrying out animal studies.
CONFLICT OF INTERESTS
Declared None
REFERENCES