
Department of Biochemistry, Faculty of Pharmacy, Zagazig University, Zagazig, 44519, Egypt
Email: hodael_sayed@yahoo.com
Received: 23 May 2015 Revised and Accepted: 17 Jul 2015
ABSTRACT
Objective: Left ventricular (LV) hypertrophy involves numerous structural adaptations that may lead to ventricular dysfunction and eventually, heart failure. Particular emphasis is placed on the molecular mechanisms that govern the development of hypertrophy and may lead to maladaptive structural changes resulting in adverse cardiac events. This study investigates the effectiveness of Valsartan (Val) which is an angiotensinII receptor antagonist and Aliskiren (Ali) which is a direct rennin inhibitor in the treatment of cardiac remodeling resulted from renovascular hypertension, particularly left ventricular hypertrophy, and to address the molecular mechanisms underlying them.
Methods: 24 male albino rats were randomly divided into 4 main groups (n=6 each), normal control rats (N), hypertensive control rats (HC), Val treated hypertensive rats (Val, 8 mg/kg/day orally) and Ali treated hypertensive rats (Ali, 25 mg/kg/day orally).
Results: At the end of 4 weeks HC rats showed enhanced hypertrophic response (higher heart weight/body weight ratio) and dyslipidemia (lower high density lipoprotein "HDL-c" and higher triacyl glycerol "TAG") and a significant deletion of antioxidant enzymes in comparison with N group. The β myosin heavy chain "βMHC", regulator of calcineurin-1 "RCAN1", nuclear factor kappa B "NFκB" and inducible nitric oxide synthase "iNOS" was markedly elevated. While, α myosin heavy chain "αMHC" was markedly decreased as compared with N group. On the other hand Val treated hypertensive rats and Ali treated hypertensive rats showed a significant decrease in heart weight/body weight ratio, improved lipogram pattern and higher levels of antioxidant enzymes. While, cardiac β-MHC, RCAN-1, NFκB and iNOS were significantly decreased as compared with HC group. Both Val treated hypertensive rats and Ali treated hypertensive rats showed a significant increase in α-MHC, compared with HC group
Conclusion: The results reported in this study suggested that chronic untreated hypertension induced a pathological hypertrophy. Administration of the Val or Ali individually exerted beneficial effects regarding the improved lipogram pattern and anti-oxidant enzymes levels, as well as cardiac hypertrophy and highlights the role of Val and Ali as a promising therapeutic strategy for hypertension and LV hypertrophy.
Keywords: Left ventricular hypertrophy, Renovascular hypertension, Cardiac remodeling, Valsartan, Aliskiren.
INTRODUCTION
The presence of left ventricular (LV) hypertrophy is an independent risk factor for future cardiac events and all cause mortality [1]. Clinical and hermodynamic stimuli to LV hypertrophy induced not only an increase in cardiac mass and wall thickness, but also a fundamental reconfiguration of the protein, cellular and molecular components of the myocardium [2].
Early in heart failure, renin-aldosterone-angiotensin (RAAS) system is activated as a compensatory mechanism. With the progression of the disease, it assumes a detrimental role, responsible for increased preload and afterload which are the hallmarks of clinical heart failure syndrome [3]. Activation of the RAAS occurs following the release of renin from juxta glomerular apparatus within the kidney. Renin cleaves the circulating angiotensinogen to inactive angiotensin I (Ang I); that is converted to the biologically active peptide Ang II by the angiotensin converting enzyme (ACE) [4]. Angiotensin II which is a vasoconstrictor binds with Ang II typeI (AT1) receptors in the smooth muscle cells of the peripheral blood vessels causing vasoconstriction and consequently, increases the blood pressure (BP). Activation of AT1 receptors by Ang II also stimulates the release of aldosterone from the adrenal gland, which promotes retention of sodium and water along the nephron leading to further increasing in BP [5]. In pathologic conditions, the RAAS system could chronically activated resulting in hypertension and ultimately end-organ damage [6].
Increasing evidence has linked the RAAS with the associated risk factors, including obesity, hypertension [7], dyslipidemia [8] and oxidative stress [9]. The pharmacological inhibition of the RAAS could be achieved through three different basic mechanisms. The first mechanism is through inhibition of AngI generation from angiotensinogen by direct renin inhibitors. The second mechanism is through inhibition of AngII generation from Ang I by ACE inhibitors. The third mechanism is through direct inhibition of the action of AngII at receptor level by AngII receptor blockers (ARBs) [10].
At the molecular level, pathological stress induces multiple changes, including genetic reprogramming which is mediated by increased expression of a ''hypertrophic gene program". These genes include atrial natriuretic pepide, brain natriuretic peptide, β-myosin heavy chain (MHC) and the α skeletal muscle iso form of actin [11]. The changes in gene expression result in substantial phenotypic changes in size, contractility, metabolic state, and electric conductance. The re-expression of fetal genes is an important molecular indicator of pathological hypertrophy [12].
One potential focal regulator of cardiomyocyte hypertrophy that also responds to altered calcium handling is the calmodulin-activated serine/threonine protein phosphatase, calcineurin (CN). Once activated, CN mediates the hypertrophic response through its downstream transcriptional factor of activated T cells, (NFATs). The NFATs directly dephosphorylated by CN resulting in nuclear translocation. The previous studies have convincingly demonstrated the sufficiency of calcineurin to mediate cardiac hypertrophy and progressive heart failure [13]. Regulator of calcineurin 1 (RCAN1), a protein encoded by one of the target genes of NFAT binds to and inhibits calcineurin [14]. Vega and colleagues [15] suggested a dual role of RCAN1 in the development of cardiac hypertrophy.
Valsartan (Val) belongs to the family of AngiotensinII receptor blockers (ARBs) and possesses about 20,000 fold greater affinity for AT1 than for the AT 2 receptor [16]. This action leads to reduction in BP as well as the decrease in vascular smooth muscle contraction [17]. In addition blockage of AT1 receptor by valsartan leads to increase in local Ang II concentration that stimulates the unblocked AT2 receptor . The increase in AT2 receptor stimulation causes vasodiltation through local production of bradykinin that increases the production of nitric oxide (NO) and cyclic guanosine 3’-5’-monophosphate providing protection against vascular dysfunction [18].
Aliskiren (Ali) inhibits the RAAS at the rate-limiting step by reducing plasma renin activity and thereby prevents the formation of Ang I and Ang II [19]. Renin and prorenin play key roles in cardiovascular physiology, but when in excess, contribute in the pathogenesis of many cardiovascular and renal abnormalities. Both renin and prorenin bind to the prorenin receptors with equal affinities and activate mitogen-activated protein kinase, leading to cell proliferation and to upregulation of profibrotic gene expression that result in pathological hypertrophy [20].
The overall aim of this study is to provide insights into the effectiveness of Val and Ali in modulating cardiac complications associated with renovascular hypertension.
MATERIALS AND METHODS
Experimental animals
Male Wister albino rats, weighing 250±20 g, were purchased from The Egyptian Organization for Biological Products and Vaccines, Cairo, Egypt. The rats were housed in stainless steel wire-bottomed cages and exposed to 12 h light/dark cycle in the animal care facility at Faculty of Pharmacy, Zagazig University . The room temperature and humidity were maintained automatically at 25οC±2οC and 65% to 69%, respectively . The rats were fed rodent chow and allowed free access to drinking water.
All the experimental procedures were conducted in accordance with the guidelines of the National Institutes of Health for animal research. The experimental protocol was approved by the Institutional Laboratory Animal Care and Use Committee of Faculty of Pharmacy, Zagazig University.
Experimental design
One week after acclimization, hypertension was induced, as previously reported [21]. Briefly, a short segment of the left renal artery was isolated by blunt dissection and standard silver clip was placed around the renal artery. Rats were randomly divided into 4 main groups (n=6 each): normal control rats (N), hypertensive control rats (HC), Val treated hypertensive rats (8 mg/kg/day orally) and Ali treated hypertensive rats (25 mg/kg/day orally) [22]. Both Val and Ali were dissolved in distilled water and given for four weeks.
Measurement of blood pressure
At the end of the treatment period, rats were anaesthetized using tribromoethanol (100 mg/kg, IP), Bp was determined [23]. Briefly, the common carotid artery was cannulated. The cannula was connected to a Bp transducer (TP-200T; Nihon Kohden Co, Tokyo, Japan) coupled to a polygraph (AP-611G; Nihon Kohden Co). Mean arterial blood pressure (MAP) was calculated according to the formula: MAP= ¼ Diastolic BP+1/3 (Systolic BP-Diastolic BP) [24].
Measurement of biochemical parameters
At the end of the experiment, animals were fasted overnight; blood was collected via retro-orbital bleeding in dry centrifuge tube and centrifuged at 3000xg for 15 minutes. Serum was collected, divided into aliquots and stored at-20οC for the determination of high density lipoprotein cholesterol (HDL-c) [25] and triacyl glycerol (TAG) [26], using commercially available kits (Spinreact, Sant Esteve de Bas, Spain).
After blood collection, rats were killed by decapitation. Hearts were removed, washed with 0.9% NaCl, excised and weighed. The heart weight was normalized by body weight. Part of the harvested organs was quickly frozen in liquid nitrogen (-170oC) for 5 minutes then stored at-20 oC and processed for analysis of superoxide dismutase (SOD), glutathione peroxidase (GPX), α and β myosin heavy chain (α, β MHC) and regulator of calcineurin-1 (RCAN1) gene expressions by Reverse Transcription-Polymerase Chain Reaction (PCR) [27] (table.1).
Table 1: Primer sequences for the studied genes
Gene |
Primer sequence |
SOD |
Forward primer : 5’-GGTGGTCCACGAGAAACAAG-3’ Reverse primer : 5’-CAATCACACCACAAGCCAAG-3’ |
GPX |
Forward primer: 5’-TGCAATCAGTTCGGACATC-3’ Reverse primer: 5’-CACCTCGCACTTCTCAAACA-3’ |
αMHC |
Forward primer : 5’-CGAGTCCCAGGTCAACAAG-3’ Reverse primer: 5’-AGGCTCTTTCTGCTGGACC-3’ |
βMHC |
Forward primer: 5'-CATCCCCAATGAGACGAAG-3' Reverse primer: 5'-AGGCTCTTTCTGCTGGACA-3' |
RCAN-1 |
Forward primer: 5’-TCGACTGCGTAGATGGAGG-3’ Reverse primer: 5’-TGGTGTCCTTGTCATATGTTCTG-3’ |
Abbreviations: SOD, superoxide dismutase; GPx, glutathione peroxidase; αMHC, alpha myosin heavy chain; βMHC, βeta myosin heavy chain; RCAN-1, regulator of calcineurin-1.
Histopathological and immunohistochemical assessment
The harvested hearts were dissected into right ventricle and left ventricle, including the septum. The left ventricles were fixed in 10% buffered formalin, dehydrated, embedded in paraffin and then sliced into 5 mm thick sections. After being de paraffinized, slices were stained by hematoxylin and eosin (H&E) stain [28]. They were analyzed using an image analyzer computer system (Leica Qwin 500, UK) in order to determine the myocyte cross-sectional area and the area percentage of interstitial fibrosis. Immunohistochemical testing was done [29] for determination of nuclear factor kappa B (NFκB) and inducible nitric oxide synthase (iNOS) antibodies.
Statistical analysis
All data were expressed as means±standard deviation. Results were analyzed by analysis of variance ([ANOVA]; 1-way) followed by Tukey post hoc test, P<0.05 was considered significant. Statistical analysis was performed using SPSS (version, 16 SPSS Inc, Chicago, USA).
RESULTS
Blood pressure, heart weight/body weight ratio
As shown in table 2, the MAP tended to increase and cardiac hypertrophy was more evident in HC group, relative to N rats. Aliskiren and Val treatment significantly attenuated the elevation of MAP and cardiac hypertrophy compared to HC group (**P<0.001).
Table 2: Effect of Val and Ali administration on MAP and heart/body weight ratio in hypertensive rats
Normal rats (N) |
Hypertensive rats |
|||
HC |
Val |
Ali |
||
MAP (mmHg) |
90±3.9 |
128.3±12.5* |
93.5±5# |
98.1±2.3# |
heart/ body weight ratio |
4.3 x10-3±0.3 |
6.9 x10-3±0.3* |
3.8 x10-3±0.5# |
3.4 x10-3±0.3# |
Mean arterial blood pressure (MAP) and heart/body weight ratio were determined in normal rats (N), hypertensive control rats (HC) and hypertensive rats receiving either Val (8 mg/kg) or Ali (25 mg/kg) orally and daily for 4 weeks. Results were expressed as mean±SD and n=6 rats/group.⃰*P˂0.001 as compared to N groups and #P˂0.001 as compared to HC
Serum lipid profile
Hypertensive rats demonstrated significant (*P<0.05) decrease in serum HDL-c, associated with significant increase in TAG level in comparison with N group. Hypertensive rats received Val or Ali showed a remarkable improvement in their lipogram pattern in comparison with HC group (**P<0.001), (fig. 1).
Fig. 1: Effect of Val and Ali administration on serum HDL-c and TAG. Results are expressed as mean±SD, n= (6), (*P<0.05). *significantly different from (N) group. # significantly different from (HC) group
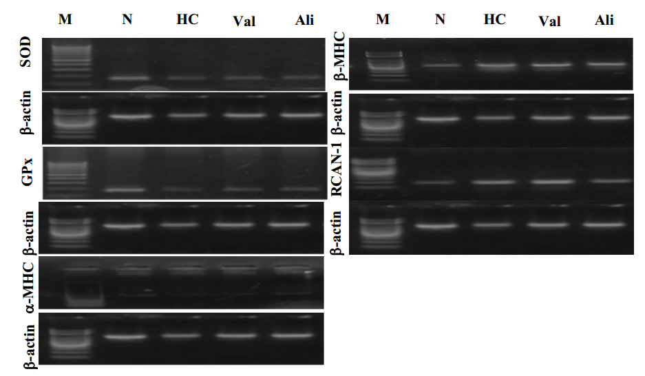
Cardiac SOD, GPx, α, β-MHC and RCAN-1, gene expression
Cardiac SOD, GPx and α-MHC, and were significantly decreased in HC group, while cardiac β-MHC and RCAN-1 gene expression were significantly increase, compared with N group.
On the other hand rats receiving either Val or Ali had elevated SOD, GPx and α-MHC as well as the reduced level of β-MHC and RCAN-1 gene expression, compared with HC group, (**P<0.001). (fig. 2).
Fig. 2: representative profiles of agarose gel electrophoresis showing PCR products of cardiac SOD, GPx,α, β MHC, RCAN-1 mRNA genes and control gene (β-actin in all groups (n=6). Lane m: 100 bp. DNA ladder
Histopathological and immunohistochemical study
Light microscope examination of heart sections of HC group showed marked histological changes, where cardiac muscle appeared hypertrophied, fragmented and degenerated. In addition, blood vessels appeared congested as compared with N group.
Treatment of hypertensive rats with Val or Ali resulted in moderate improvement of ventricular tissues. Most of cardiac muscle fibers appeared normal in shape. However, some of them were hypertrophied and degenerated (fig. 3).
Fig. 3: A photomicrograph of a section in the cardiac muscle of normal (N), hypertensive control (HC), valsartan (Val) and aliskiren (Ali) treated rats (H&E X 400)
Fig. 4: Immunohistochemical analysis of cardiac muscle of normal (N), hypertensive control (HC), valsartan (Val) and aliskiren (Ali) treated rats by using NFκB antibodies, (arrow: cardiac muscle nucleus). (NFκB X 400)
Fig. 5: Immunohistochemical analysis of cardiac muscle of normal (N), hypertensive control (HC), valsartan (Val) and aliskiren (Ali) treated rats by using iNOS antibodies, (arrow: cardiac muscle nucleus). (iNOS X 400)
Immunohistochemical examination of the cardiac muscle of HC by using NFκB and iNOS antibodies revealed the remarkable increase in their activity as indicated by strong brown positive cytoplasmic reaction, in comparison with N rats. Meanwhile, Val or Ali treated rats showed remarkable reduction in their levels as indicated by moderate cytoplasmic reaction (faint stain), in comparison with HC group (fig. 4 and fig. 5).
CORRELATION
Using the combined results from all groups, we illustrated that MAP was positively correlated with heart weight/body weight ratio (r=0.843), and TAG (r=0.798), βMHC (r=0.730) and RCAN-1 (r=0.859). Meanwhile the same parameter was negatively correlated with HDL-c (r=-0.602), SOD (r=-0.592), GPx (r=-0.646) and αMHC (r=-652) gene expression, (**P<0.001).
On the other hand, heart weight/body weight ratio was positively correlated TAG (r=0.885), βMHC (r=0.572) and RCAN-1 (r=0.762). On the other hand, it negatively correlated with HDL-c (r=-0.775), GPx (r=-0.522) and αMHC (r=-0.584) gene expression, (**P<0.001).
DISCUSSION
The current experimental hypertensive rats developed dyslipidemia as manifested by a significant decrease in HDL-c and elevation in TAG levels, accompanied by significant deletion of SOD and GPX enzymes. While, hypertension induced hypertrophy develops a myocyte phenotypic modulation, indicated by decreasing α MHC and increasing β MHC and RCAN-1gene expression compared with N rats.
Previous study [30] suggested that elevated (AngII) via activation of the RAAS affects glucose and lipid metabolism through multiple direct and indirect mechanisms. These mechanisms include impairing of the first phase of glucose-stimulated insulin secretion and biosynthesis and promoting β cell apoptosis [31]. This leads to attenuated activity of lipoprotein lipase subsequent to defects in insulin secretion and/or action and reduction of chylomicrons and VLDL-c clearance from the circulation [32]. Furthermore, the activity of cholesteryl ester transfer protein is increased, which is responsible for the transfer of TAG from VLDL-c, IDL-c or LDL-c to HDL-c in an exchange for cholesterol ester. This in turn contributes to low HDL-c levels and high levels of TAG-rich lipoproteins (chylomicrons and VLDL-c) [33].
A large body of evidence supports a crucial role for reactive oxygen species (ROS) production, particularly from nicotinamide adenine dinucleotide phosphate hydrogen (NAD(P)H) oxidase, an enzyme present in vascular wall cells. In vascular injury which characterizes the hypertension, Ang II represents one of the major vasoactive peptides, together with cytokines and growth factors, involved in the regulation and activation of NAD(P)H oxidase, which is widely recognized as the primary source of superoxide anion (O2.−) [34].
Experimental reports documented that Ang II may exert such effects via AT1receptor. Of note, ROS may regulate AT1 receptor gene expression, which in turn modulates ROS generation, thus perpetuating a vicious circle [35]. The decrease in the antioxidant enzymes could be due to their inactivations as the result of a continuous exposure to hydrogen peroxide, hydrogen peroxynitrite and other free radicals [36]. Studies have shown that this reduction could also be due to the down regulation of their gene expressions [37].
It was reported that MHCs are the ‘molecular motor’ of the heart, and contractile properties heavily depend on the composition of MHC proteins. A down-regulation of α-MHC and an up-regulation of β-MHC are observed in experimental models of cardiac hypertrophy as well as in patient with chronic heart failure. This shift in isoform composition results in a reduction of contractile over-velocity and reduced energy expenditure [38]. The β-MHC is characterized by lower adenosine triphosphatase activity and lower filament sliding velocity, but can generate cross-bridge force with a higher economy of energy consumption than α-MHC. This suggests that a shift from α to β-MHC might be an adaptive response in order to preserve energy [30].
The calcium-calmodulin-activated phosphatase, calcineurin (CN) and its downstream transcriptional effector nuclear factor of activated T-cells, NFAT have been implicated as critical transducers of the hypertrophic response that uniquely link alterations in intracellular calcium handling in a myocyte to the hypertrophic growth response [40]. An approach used to genetically inhibit CN involved transgenic over expression of the CN inhibitory protein RCAN-1which is highly enriched in cardiac and slow skeletal muscle [41].
Interestingly, RCAN1 plays a critical role in cardiac hypertrophy. RCAN1 over expression blocks pathological hypertrophy and heart failure associated with increased load induced by hypertension or aortic stenosis. The RCAN1 expression is transcriptionally regulated by CN and NFAT, such that the third intron of the human RCAN1 gene contains a cluster of 15 consensus NFAT binding sites, making RCAN1 the first known feedback regulator of this pathway [42].
Immunohistochemical assessement revealed that hypertension and the induced cardiac hypertrophy promotes NFκB and iNOS levels induction in adult rat cardiomyocytes, in harmony with previous litratures [43, 44]. Hypertrophic mechanical stretch promotes vascular endothelial growth factor secretion via activation of the NFκB pathway in adult rat cardiomyocytes. Activation of the NFκB pathway is dependent upon the degradation of the inhibitory protein and subsequent translocation of the NFκB complex to the nucleus where it activates gene transcription. The NFκB pathway is involved in regulating the immediate early genes and is required for cardiomyocyte hypertrophic growth by binding to the two NFκB recognition sites in the vascular endothelial growth factor promoter [45].
Nitric oxide production via iNOS plays an important role in modulating cardiac function after moderate aortic banding that mimics long-term hypertension in humans [46]. The expression of iNOS in cardiomyocytes only increases following certain events such as increased cardiomyocyte stretch secondary to protein kinase and through positive feedback from increased NO concentration [47]. In such cases, iNOS appears to contribute to myocardial dysfunction and alters the myocardial response to β-adrenergic stimulation [48].
In failing hearts increased iNOS expression is associated with increased arginase II expression, but increased arginase II gene expression preceded that of iNOS, so arginase II competes with iNOS for arginine. With substrate limitation, iNOS may become uncoupled and produce O2.-and contribute to contractile dysfunction and heart failure [49].
Our biochemical results were potentially confirmed by the histopathological ones, which demonstrated that cardiac muscle fibers of hypertensive rats appeared hypertrophied, fragmented and degenerated. In addition, blood vessels appeared congested. These data are in consistence with previous study [50].
The current study demonstrated that hypertensive rats treated with Val exhibited an increase in their HDL-c accompanied by a significant decrease in TAG level, an elevation in SOD, GPx and α MHC and reduction in β MHC and RCAN-1 gene expressions compared with hypertensive rats.
The lipid-lowering property of Val is possibly due to numerous different mechanisms. It is well known that ARBs have the potential to activate peroxisome proliferator-activated receptor gamma (PPARγ) which partially reduces TAG and LDL-C levels [51]. The PPARs act as anti-inflammatory transcription factors. Part of this anti-inflammatory regulation is mediated through negative interference between PPARs and nuclear factors such as NFκB [52]. On the other hand, Ang II increases lipid uptake in cells and lipid accumulation in the vessel wall, these changes were reversed by ARBs [53].
Activation of AngII and AT1 receptor by hypertension stimulate NAD (P)H oxidase, resulting in the generation of O2-. in vascular cells and eventually, endothelial dysfunction. Valsartan significantly inhibit AngII activation of AT1 receptors [54].
The Valsartan Heart Failure Trial (Val-HeFT) provided the first opportunity to examine the sustained reduction of plasma aldosterone level by Val [55]. Aldosterone activity is principally controlled by Ang II and potassium and more weakly by adrenocorticotropic hormone and sodium. Angiotensin II and aldosterone may have interactions in myocardium, since Ang II enhances cardiac aldosterone synthesis. On the other hand, aldosterone increases AT-1 receptor mRNA and density and potentiates AngII-stimulated hypertrophy [56]. The AngII directly stimulates LV atrial natriuretic peptide via AT1 receptor independently of its hypertensive effect, this action is accompanied by a shift from αMHC to the fetal isoform βMHC [57]. We can hypothesis that Val actually reverses Ang II-aldosterone structural remodeling of the LV.
Many complex signaling pathways are stimulated after binding of AngII to its cell surface receptors. One of the most important pathways is the CN-NFAT pathway and this pathway has a distinct role in cardiac hypertrophy. The inhibitory protein RCAN1is identified as a CN-sensitive AngII-activated gene. The lower mRNA expression of RCAN-1 gene in Val treated group may be attributed to the inhibitory action of ARBs on AngII binding to its receptors [58].
Immunohistochemical results demonstrated that Val cause a concomitant suppression of NFκB and iNOS, as compared to HC group.
Previous explanation [59] recommended that Ang II may directly act on NAD (P)H oxidase which generates ROS that activate NFκB pathway. NFκB is a transcription factor binding specific sequences in the promoter regions of target genes thus inducing transcription of pro-inflammatory cytokines, chemokines, mediators of inflammation, immune receptors and adhesion molecules [60].
Angiotensin receptor-1 blockade decreases TNFα which stimulates transcription and expression of iNOS and this may explain the decrease in iNOS level after AT1 receptor blockade [61].
The current study demonstrated that rats administered Ali exhibited an improvement in HDL-c level accompanied with an attenuation in TAG level, elevation in antioxidant enzymes levels, as well as attenuated LV hypertrophic gene programming compared with HC rats.
Aliskiren can modify intra-cellular distribution of fatty-acid and glucose transporters which dynamically traffic between subcellular compartments and the plasma membrane in cardiomyocytes and increasing uptake of glucose and fatty acids [62]. The rate of lipolysis is determined predominantly by insulin and B-adrenoceptors, both of which are negatively regulated by RAAS over-activation in an Ang II-dependent manner [63].
Additionaly, Ang II can interfere with lipid metabolism as evidenced by its ability to reduce HDL-c and increase cholesterol storage [64]. The inhibition of Ang II production by Ali may be effective in reducing hyperlipidemia induced by AngII over-expression [65].
The possible protective effect of Ali could be based upon its anti-hypertensive effect that is associated with inhibition of renin and hence there is an inhibition of AngII production. It is well known that Ang II activates NAD (P)H oxidase, enhances the expression of NAD(P)Hsubunits and stimulates ROS production [66].
It is well known that AngII directly stimulates LV hypertrophy gene expression, via AT1 receptor independently of its hypertensive effect [67], this action is accompanied by a shift from α-MHC to β-MHC [57]. Therefore, the mechanism underlying the greater suppression of β-MHC and enhancement of α-MHC gene expression, may be explained by more potent inhibition of Ang II–production by Ali monotherapy [68].
On the other hand, Ang II induces pathological artery wall remodeling via CN and RCAN1. Renin is the rate-limiting step in the generation of Ang II. Therefore, the mechanism underlying the greater suppression of β-MHC and RCAN-1 and enhancement of α-MHC gene expression may be explained by more potent inhibition of Ang II–production by Ali monotherapy.
Immunohistochemical study indicated that rats treated with Ali showed significant decrease in NF-κB and iNOS levels.
Renin inhibition prevents Ang II promoted activation of NF-κB pathway [30] and similar transcriptional and posttranscriptional mechanisms interrelated in complex intracellular cross-talk mechanisms. These include activation of phospholipase C and protein kinase C, leading to NAD (P)H oxidase stimulation and enhanced ROS formation [69].
The relationship between NO and local RAAS is complex and the mechanisms leading to the production of NO by Ang II are controversial. Angiotensin II stimulates inositol phosphate production and increases intracellular calcium concentration. This increase in intracellular calcium might be responsible for the activation of iNOS exerts deleterious effects by increasing peroxidative damage of cell membranes and apoptotic cell death [70].
The latter findings are reinforced by the histopathological study where Val and Ali resulted in a moderate improvement of the architecture of ventricular tissues, where most of cardiac muscle fibers appeared normal in shape. However, some of them were still hypertrophied and degenerated. Previous studies [71, 72] showed nearly similar results.
CONCLUSION
In conclusion, the present study provides an experimental rationale for the use of Val and Ali in the treatment of hypertension and related LV hypertrophy indicated by the substantial decrease in heart/bodyweight ratio. The beneficial effects of Val and Ali could be a consequence of an improvement in the lipid profile which induces cardioprotection and an enhancement of antioxidant enzymes. In-depth understanding of molecular mechanisms of cardiac hypertrophy will finally provide valuable information in the design of novel treatment strategies that promote protective signaling pathways and prevent maladaptive responses. It seems that Ali was as effective as Val in promoting LV mass regression and attenuating end-organ damage, independent of blood pressure lowering. Obviously, further large studies scale experimental and clinical is required to recommend and apply this potential therapeutic benefit.
ACKNOWLEDGEMENT
The authors wish to express their appreciation to Prof. Dr. Abeer Azmy, professor of Histology, Faculty of Medicine, Zagazig University for performing the histopathological study of the present work, Dr. Rehab Abd Allah lecturer of histology Faculty of Medicine, Alazhar University for performing the immunohistochemical study and Dr. Laila Ahmed Rashed, Assistant Professor of Molecular Biology, Faculty of Medicine, Cairo University, for her help in the molecular biology analysis.
CONFLICT OF INTERESTS
All authors have no conflicts of interest to declare
REFRENCES