
1Natural Compounds Chemistry Department, National Research Centre, 33 El Bohouth st. (former El Tahrir st.) Dokki, Giza, P. O. Box 12622, Egypt, 2Department of Medicinal and Aromatic Plants Research, National Research Centre, 33 El Bohouth st. (former El Tahrir st.) Dokki, Giza, P. O. Box 12622, Egypt, 3Department of Pathology, National Research Centre 33 El Bohouth st. (former El Tahrir st.) Dokki, Giza, P. O. Box 12622, Egypt
Email: elshamynrc@yahoo.com
Received: 26 May 2015 Revised and Accepted: 06 Jul 2015
ABSTRACT
Objectives: Diabetes mellitus has become one of the most prevalent diseases in many countries. Medicinal plants are recurrently the most promising sources of safe drugs for several diseases. Our study aimed to finding of antidiabetic active extracts from the shoots of Conyza dioscoridis along with investigation of the bioactive constituents and antioxidant activity.
Methods: The bioactive constituents were isolated and identified by chromatographic and spectroscopic techniques. Antioxidant activity was evaluated by 2,2-diphenyl-1-picrylhydrazyl (DPPH) radical-scavenging method. Antidiabetic activity was evaluated using biochemical and histopathological parameters.
Results: Four flavonoids, kampferol, quercetin, quercetin 3-O-β-D-glucopyranoside, quercetin 3-O-α-L–rhamnopyranosy-(1→6)-β-D-glucopyranoside, and two phenolic acids, caffiec acid and chlorogenic acid, were isolated. Fifty compounds were identified by gas chromatography/mass spectroscopy (GC/MS) in the essential oil obtained by hydro-distillation of the plant, in which sesquiterpenes represented the main constituents. Ethyl acetate, methanol extracts and the herb revealed significant antioxidant activity. The extracts did not produce any obvious toxic symptoms or mortality. Significant increase and reduction of glucose and insulin were recorded, respectively in the diabetic group, while treatment of extracts restored these parameters. The histopathological studies of the diabetic rats indicated increase in the volume density of islets, percent of β cells and size of islets in the groups that received ethyl acetate and methanol extracts, which suggested regeneration of β cells repairs, as compared with the diabetic group.
Conclusion: The net results confirmed that this plant is a promising plant with bioactive constituents. This herbal therapy appears to bring about regeneration of the endocrine pancreas cells protection in the diabetic rat.
Keywords: Antidiabetic, Antioxidant, Conyza dioscoridis, Flavonoids, Essential oil.
INTRODUCTION
Diabetes mellitus is a common and very prevalent disease affecting the citizens of both developed and developing countries. It is estimated that this disease affects 25% of the world population. Diabetes mellitus is caused by the abnormality of carbohydrate metabolism that is linked to low blood insulin level or insensitivity of target organs to insulin. Despite considerable progress in the treatment of diabetes by oral hypoglycemic agents, search for newer drugs continues because the existing synthetic drugs have several limitations. The herbal drugs with antidiabetic activity are yet to be commercially formulated as modern medicines, even though they have been acclaimed for their therapeutic properties in the traditional systems of medicine [1].
Natural products became the most important source of the drugs in the world. Because of the large number of diseases, the worlds try to find the more safe drugs from nature. Conyza dioscoridis L. Desf. (Family Asteraceae) is widely distributed in the Middle East and surrounding African countries [2]. Conyza dioscoridis is used in folk medicine as a popular remedy to relieve rheumatic pains, carmi-native, and treatment of epilepsy in children, colic, ulcer and cold [3].
The previous studies reported that Conyza dioscoridis extract exhibited anti-diarrheal activity, a diuretic effect, antihyperglycemic, antioxidant, antiulerogenic activity, antimicrobial, anti-infla-mmatory, antinociceptive, larvicidal activity and antipyretic [4-11]. Chemically, several compounds were isolated from Conyza dioscoridis such as flavonoids, steroids, sulfated flavonoids, phenolic acids, eudosmans sesquiterpenoids [7-13]. Recently, A part from this work was reported in a conference as abstract only [14].
The main target of our study is finding of antidiabetic active extracts from, Conyza dioscoridis shoots. Also, the bioactive constituents of the extracts and essential oil were identified in addition to evaluation of radical-scavenging capacity.
MATERIALS AND METHODS
General
An OMM 7070E Shimadzu UV 240 spectrophotometer (Shimadzu, Cairo, Egypt) was used to obtain UV spectra. NMR spectroscopy was carried out using a JEOL-EX 500 MHz in solvent (DMSO-d6 and MeOH) (Cairo, Egypt). MS spectra were obtained on JEOL JMS-AX 500. The gas chromatography/mass spectroscopy (GC/MS) analysis of the essential oil sample was carried out using gas chromatography-mass spectrometry instrument stands at the Department of Medicinal and Aromatic Plants Research, National Research Centre with the following specifications. Instrument: a trace GC ultra gas chromatographs (THERMO Scientific Corp., USA), coupled with a thermomass spectrometer detector (ISQ Single Quadrupole Mass Spectrometer). The GC-MS system was equipped with a TG-WAX MS column (30 m x 0.25 mm i.d., 0.25 μm film thickness). Analyses were carried out using helium as carrier gas at a flow rate of 1.0 ml/min and a split ratio of 1:10 using the following temperature program: 40 C for 1 min; rising at 4.0 C/min to 160 C and held for 6 min; rising at 6 C/min to 210 C and held for 1 min. The injector and detector were held at 210 oC. Diluted samples (1:10 hexane, v/v) of 1 μL of the mixtures were always injected. Mass spectra were obtained by electron ionization (EI) at 70 eV, using a spectral range of m/z 40-450. Most of the compounds were identified using two different analytical methods: (a) KI, Kovats indices in reference to n-alkanes (C9-C22) (National Institute of Standards and Technology, 2009); and (b) mass spectra (authentic chemicals, Wiley spectral library collection and NSIT library).
Plant material
Conyza dioscoridis were collected from Cairo, Alexandria desert Road, El-Sadat City, Egypt in 2012. The plant was identified by Dr. Ahmed Abdelgawad, Botany Department, Faculty of Science, Mansoura University, Egypt.
Extraction and Isolation
Air-dried shoots of Conyza dioscoridis (1 Kg) were macerated in 70% methanol at room temperature, filtered, and dried under vacuum to give dark black gum (64 g). The dry alcoholic extract was dissolved in distilled water and then successively fractionated using n-hexane, methylene chloride, ethyl acetate and methanol respectively. All these fractions were dried under vacuum to yield 8 gm, 6.5 gm, 16 gm and 33 gm respectively. Ethyl acetate and methanol fractions were evaluated for their antioxidant and antidiabetic activities. The methanol residue (23 gm) was further fractionated using polyamide 6S column chromatography using a water–methanol step gradient afforded 30 fractions which were finally collected to seven major fractions after examination by paper chromatography. The purification using Sephadex LH-20 column chromatography afforded six compounds, kampferol (1, 17 mg), quercetin (2, 22 mg) quercetin-3-O-β-D-glucopyranoside (3, 18 mg), quercetin 3-O-α-L–rhamnopyranosyl-(1→6)-β-D-glucopyranoside (4, 26 mg), caffiec acid (5, 15 mg) and chlorogenic acid (6, 20 mg).
Acid Hydrolysis
Hydrolysis of the isolated the isolated flavonoids glycosides was performed (Mabry et al., by refluxing with 10% sulphoric acid for 3 h [15]. The aglycone was extracted with chloroform, purified and subjected to paper chromatography. The sugars were identified by comprising with authentic samples of sugers.
Spectroscopic data of isolated compounds
Quercetin-3-O-β-D-glucopyranoside (3), was isolated as yellow powder. 1H-NMR (500 MHz, DMSO-6S): 6.19 (d, J=2; H-6), 6.38 (d, J=2; H-8), 7.71 (d, J=2; H-2`), 6.87 (d, J=8.4; H-5`), 7.58 (dd, J=2,8.4; H-6`), 5.23 (d,J=7.6; H-1``), 3.48 (t, J=9.2; H-2``), 3.35 (t, J=8.8; H-3``), 3.43 (t, J=9.6; H-4``), 3.24 (m; H-5``), 3.73 (dd, J=2, 11.6; & 3.56 (dd, J=5.2, 11.6; H-6``); 13C-NMR (150 MHz): 58.44 (C-2), 35.64 (C-3), 179.48 (C-4), 162.99 (C-5), 99.89 (C-6), 165.97 (C-7), 94.73 (C-8), 158.44 (C-9), 105.68 (C-10), 123.08 (C-1`), 117.59 (C-2`), 145.87 (C-3`), 149.83 (C-4`), 116.01 (C-5`), 123.20 (C-6`), 104.39 (C-1``), 75.73 (C-2``), 78.11 (C-3``), 71.22 (C-4``), 78.35 (C-5``), 62.58 (C-6``).
Quercetin 3-O-α-L–rhamnopyranosyl-(1→6)-β-D-glucopyranoside (4), was isolated as yellow powder. UV λmax MeOH 260, 270 sh, 365;+NaOMe 275, 330 sh, 420;+AlCl3 280, 300 sh, 360 sh, 440;+AlCl3/HCl 270, 300 sh, 360, 400;+NaOAc 270, 326 sh, 380;+NaOAc/H3BO3 263, 304 sh, 380 nm. 1H-NMR (500 MHz, CD3OD): δ 7.6 (2H, d, J = 8.8 Hz, H-2` and H-6`), 6.82 (1H, d, J = 8.8 Hz, H-5`), 6.33 (1H, d, J = 2.0 Hz, H-8), 6.13 (1H, d, J = 2.0 Hz, H-6), 5.05 (1H, d, J = 7 Hz, H-1``), 4.45 (1H, s, H-1```), 3.75 (1H, d, J = 11.7 Hz, H-6``a), 3.58 (1H, br s, H-2```), 3.18-3.55 (remaining sugars protons), 0.79 (3H, d, J = 6.0 Hz, H-6```). [13]C-NMR (100 MHz, CD3OD): δ 179.3 (C-4), 165.9 (C-7), 162.9 (C-5), 149.7 (C-4`), 159.3 (C-9), 158.4 (C-2), 145.8 (C-3`), 135.6 (C-3), 117.7 (C-2`), 123.1(C-6`), 123.5(C-1`), 116 (C-5`), 104.7 (C-10), 102.4 (C-1``), 99.9 (C-1```), 99.9 (C-6), 94.8 (C-8), 78.1 (C-3``), 77.1 (C-5``), 75.7 (C-2``), 73.9 (C-4```), 72.2 (C-3```), 72 (C-2```), 71.3 (C-4``), 69.6 (C-5```), 68.5 (C-6``), 17.8 (C-6```).
Determination of total polyphenolic and total flavonoids
The Total phenolic content and Total flavonoid was estimated as described previously reported [17]
Essential oil extraction
The dry shoots of Conyza dioscoridis (500 gm) were subjected to hydro-distillation for 3.5 h using a modified Likens and Nickerson apparatus with diethyl ether. After hydro-distillation, the diethyl ether layer was separated and dried over anhydrous sodium sulfate. The volatile oil obtained was stored at 0◦C until GC-MS analysis.
Antioxidant Activity using radical-scavenging method
The antioxidant activity of the shoots Conyza dioscoridis was measured in terms of hydrogen-donating or radical-scavenging ability, using the stable radical DPPH according to Brand-Williams et al. (1995) [18] with some modification. A volume of 50 μL of a methanol, EtOAc solutions of extracts of four different concentrations (500, 200, 100, and 50 µg/ml) and herb (50, 25, 12.5, 6.25 g/l) was put into a cuvette, and 2 mL of 6 x 10-5 mol L-1 methanolic solution of DPPH was added. The mixtures were well shaken in a vortex (2500 rpm) for 1 min and then placed in a dark room. The decrease in absorbance at 517 nm was determined with JENWAY6315 spectrophotometer (UK) after 1 h for all samples. Methanol was used to zero the spectrophotometer. Absorbance of the radical without extract was used as control. The amount of sample necessary to decrease the absorbance of DPPH (IC50) by 50%was calculated graphically. The inhibition percentage of the DPPH radical was calculated according to the formula
%I = (AB–AS)/AB x 100
Where I=DPPH inhibition %, AB=absorbance of the control sample (t=0 h), and AS=absorbance of a tested sample at the end of the reaction (t=30 min).
Antidiabetic activity of EtOAc and MeOH extracts of Conyza dioscoridis shoots
Acute toxicity
Animals
Adult rats (130–150 g), maintained at Lab Animal House, National Research Centre were used for the acute toxicity and 14 days sub-chronic experiments for ethyl acetate and methanol extracts of Conyza dioscoridis. The animals were kept in plastic cages at room temperature and moisture, under a naturally illuminated environment of 12:12 h dark/light cycle. Animals were fed the standard diet and had access to tap water ad libitum.
Acute toxicity study
The acute toxicity study was conducted in accordance with Lorke’s method [19]. The study was conducted in two phases using a total of sixteen female rats for each extract. In the first phase, nine rats were divided into 3 groups of 3 rats each. Groups 1, 2 and 3 animals were given 10, 100 and 1000 mg/kg body weight (b.w.) of the extracts, respectively, to possibly establish the range of doses producing any toxic effect. Each rat was given a single dose after at least 5 days of adaptation. In addition, a fourth group of three rats was set up as the control group and animals in the group were not given the extract.
In the second phase, further specific doses (1600, 2900 and 5000 mg/kg b.w.) of the extracts were administered to three rats (one rat per dose) to further determine the correct LD50 value. The extracts were dissolved in phosphate buffered saline (PBS) solution and given via oral route. All animals were observed frequently on the day of treatment and surviving animals were monitored daily for 2 weeks for signs of acute toxicity. Recovery and weight gain was seen as indications of having survived the acute toxicity. At the end of 14 days, all surviving rats were sacrificed and then autopsied at the Department of Pathology, and the internal organs examined macroscopically for pathological changes compared to the control group.
Diabetes induction
Diabetes was induced by a single intraperitoneal (I. P) injection of a freshly buffered (0.1 M citrate, pH 4.5) solution of streptozotocin at a dosage of 65 mg/kg body weight. Three days after the injection of streptozotocin, blood samples were collected to determine fasting blood glucose level with an Accu-Check sensor comfort glucometer (China). Only rats with hyperglycemia (glucose over 250 mg/dl) were considered diabetic and included in the experiments.
Experimental design
In this study, forty-two rats were used. The rats were divided into 6 groups of 7 rats. Group 1 was normal control. Group 2 was rats treated with 100 mg/kg b.w. per day of ethyl acetate extract of Conyza dioscoridis orally. Group 3 was rats treated with 100 mg/kg b.w. per day methanol extract of Conyza dioscoridis orally.
Group 4 was diabetic control rats. Group 5 was diabetic rats treated with 100 mg/kg body weight per day of ethyl acetate extract of Conyza dioscoridis orally. Group 6 was diabetic rats treated with 100 mg/kg body weight per day of methanol extract of Conyza dioscoridis orally. During this period, control and type 1 diabetic group was fed with standard food and water.
At the end of the experimental period (21 d), blood samples were collected from all the study groups and glucose as well as insulin was measured. Samples of pancreas were taken for histopathological examinations.
Biochemical investigation
Blood glucose level was determined according to the enzymatic method using Bio Merieux Kits. Insulin was estimated by radio immuno assay method using coat-A-count. Insulin kits obtained from Diagnostic Products Corporation (DPC) 5700 west 96th street, Los Angeles, USA.
Histopathological investigation
Pancreas were dissected out and fixed instantaneously in 10% formal saline for 24 hours. The specimens were washed in tap water, dehydrated in ascending grades of ethanol, cleared in xylene, embedded in paraffin wax. Sections of six μm thicknesses were prepared and stained with Haematoxylin and Eosin [20].
Statistical analysis
All data were expressed as the mean±standard error of mean. The results were analyzed for statistical significance by One-way Analysis of Variance (ANOVA) followed by dunnett’s multiple comparison tests. The significance was expressed by P value was considered as statistically significant.
RESULTS AND DISCUSSION
Chemical constituents of methanol extract of Conyza dioscoridis shoots
The total phenolic content (TP) and total flavonoid content (TF) (table 1) showed that the shoots of Conyza dioscoridis were very rich with flavonoids and polyphenolics.
Table 1: Total phenolics and total flavonoids contents in the shoots of Conyza discoridis
Total phenolic content (mg Gallic/100g herb) |
Total flavonoids (mg/100g herb) |
||
mean |
SD |
mean |
SD |
4187.93 |
±168.2914 |
3084.00 |
±288.50 |
Each value in the table is represented as mean±SD (n = 3).
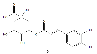
The chemical investigation of the methanol extract using different chromatographic techniques afforded 6 compounds, kampferol (1), quercetin (2), quercetin 3-O-β-D-glucopyranoside (3), quercetin 3-O-[6``-α-L–rhamnopyranosyl]-(1→6)-β-D-glucoside (4), caffiec acid (5) and chlorogenic acid (6) (fig. 1). All isolated compounds were identified by comparing their chromatographic profiles, ultraviolet spectra in different shift reagents, mass spectroscopy results and nuclear magnetic resonance (NMR) data with previously reported data.
2 R = OH, R1 = OH 3 R = glucopyranoside, R1 = OH 4 R = Rutinoside, R1 = OH |
|
|
|
Fig. 1: Chemical structures of the bioactive constituents of Conyza dioscoridis shoots |
|
The 1H NMR spectrum of compound 3 showed three aromatic protons signals at δH 7.71 (d, H-2’), 6.87 (d, H-5’) and 7.58 (dd) in the form of an ABD spin-system suggesting a flavonol with 3`,4`-disubstituted B-ring and showed a pair of meta coupling proton signals at δH 6.19 (d, H-6) and 6.38 (d, H-8) for the A ring. It also showed signals for glucose moiety, it showed the signal at δH 5.23 (d, H-1``) indicated that compound posses b-linked glucose. The 13C NMR spectral data of compound 3 showed 21 signals including carbonyl signal at d 179.48 (C-4). It revealed chemical shifts at δC 135.64 (C-3), 162.99 (C-5), 165.97 (C-7), 145.87 (C-3`), 149.83 (C-4`) that suggested the 3, 5, 7, 3`, 4`-oxygenated flavone nucleus. It showed significant glucose signals at δC 104.39 (C-1``), 75.73 (C-2``), 78.11 (C-3``), 71.22 (C-4’’), 78.35 (C-5``), and 62.58 (C-6``).
Acid hydrolysis of compound 3 afforded glucose and quercetin after direct comparison with standard samples on co-PC. On this basis, compound 3 was identified as quercetin-3-O-β-D-glucopyranoside [7, 15, 21].
1H-NMR of compound 4, revealed that it was a flavonol attached to two sugar moieties. The presence of the anomeric proton of β-D glucose at δH 5.05 (J = 7 Hz), and the anomeric proton of α-L-rhamnose at δH 4.45 ppm suggested that glucose is the internal sugar moiety and rhamnose is the terminal sugar moiety. The attachment of disaccharide part to the quercetin aglycone was observed by the absence of a signal of H-3 in 1H-NMR. An evidence for the 1-6 linkage between α-L-rhamnpyranose and β-D-glucopyranose was obtained from the [13]C-NMR where a substantial downfield shift for C-6`` at δC 68.5 relative to the non substituted glucopyranose moiety, in addition to the downfield shift of C-3 to be at δC 135.6. The AMX system of ring B was observed by 1H-NMR and1H, 1H-COSY that showed the correlation between H-5` and H-6` as well as the correlation of sugar protons. Acid hydrolysis of compound 4 afforded glucose, rhamnose and quercetin after direct comparison with standard samples on co-PC. The structure was deduced as quercetin 3-O-[6``-α-L–rhamnopyranosyl]-(1→6)-β-D-gluco pyranoside (rutin) [7, 15].
Essential oil of shoots of Conyza dioscoridis
The analysis of the extracted essential oil from the shoots of Conyza dioscoridis by GC/MS afforded fifty compounds (table 2), accounting for 99.99% of the total mass. The results showed that terpenes are the major compounds (96.54%) including mono-and sesquiterpenes. Other hydrocarbons (including lightly oxygenated hydrocarbons) represent 3.45% of the total amount of identified compounds. The main active constituents were identified as (±)-cadinene (10.79), berkheyeradulene (9.84), δ-cadinene (9.84), trans-Z-α-Bisabolene oxide (8.16), 5-epi-shyobunol (5.94), caryophyllene (4.82), α-guaiene (4.64), and α-cadinol (4.54). To our best knowledge, this is the first report dealing with the composition of the essential oil of the shoots of C. dioscoridis (table 2).
Table 2: Chemical composition of essential oil of the shoots of Conyza dioscoridis
S. No. |
Compound |
RT (min) |
KI* |
Concentration % |
|||
Monoterpenoids |
|||||||
1 |
α-Pinene |
3.86 |
1000 |
0.51 |
|||
2 |
Santolina triene |
4.11 |
1014 |
1.80 |
|||
3 |
γ-Terpinene |
8.54 |
1216 |
0.41 |
|||
4 |
Yomogi alcohol |
13.70 |
1386 |
0.43 |
|||
5 |
E-β-Ionone |
29.00 |
1908 |
0.48 |
|||
Sesquiterpenoids |
|||||||
6 |
α-Guaiene |
15.03 |
1428 |
4.64 |
|||
7 |
α-Copaene |
15.78 |
1452 |
0.68 |
|||
8 |
(±)-Cadinene |
16.65 |
1480 |
10.79 |
|||
9 |
Berkheyaradulene |
17.03 |
1492 |
9.84 |
|||
10 |
Longifolene |
18.21 |
1531 |
6.71 |
|||
11 |
Caryophyllene |
18.96 |
1555 |
4.82 |
|||
12 |
Aromadendrene |
20.29 |
1599 |
2.35 |
|||
13 |
α-Humulene |
21.10 |
1626 |
2.23 |
|||
14 |
α-Cubebene |
22.28 |
1666 |
0.56 |
|||
15 |
α-Selinene |
22.44 |
1671 |
0.46 |
|||
16 |
α-Muurolene |
22.69 |
1680 |
0.71 |
|||
17 |
δ-Cadinene |
23.63 |
1713 |
8.15 |
|||
18 |
(2)-Alloaromadendrene oxide |
25.29 |
1771 |
0.55 |
|||
19 |
2-Humulene epoxide |
28.63 |
1894 |
0.59 |
|||
20 |
Diepicedrene-1-oxide |
29.28 |
1919 |
0.32 |
|||
21 |
(-)-Caryophyllene oxide |
29.96 |
1945 |
1.72 |
|||
22 |
Humulene-1,2-epoxide |
31.49 |
2006 |
0.39 |
|||
23 |
Germacrene-D-4-ol |
31.75 |
2023 |
1.80 |
|||
24 |
Cubenol |
31.92 |
2034 |
0.40 |
|||
25 |
Humulane-1,6-dien-3-ol |
32.04 |
2041 |
0.37 |
|||
26 |
Junipene |
33.02 |
2104 |
0.39 |
|||
27 |
Ledene oxide-(I) |
34.12 |
2174 |
0.38 |
|||
28 |
Hexahydrofarnesyl acetone |
34.54 |
2201 |
0.86 |
|||
29 |
Ledene oxide-(II) |
34.89 |
2223 |
0.84 |
|||
30 |
tau.-Cadinol |
35.76 |
2279 |
1.54 |
|||
31 |
tau.-Muurolol |
36.41 |
2320 |
1.86 |
|||
32 |
δ-Cadinol, (-)- |
37.04 |
2361 |
0.50 |
|||
33 |
α-Eudesmol |
37.81 |
2409 |
1.10 |
|||
34 |
β-Eudesmol |
38.14 |
2430 |
1.61 |
|||
35 |
α-Cadinol |
38.34 |
2443 |
4.54 |
|||
36 |
Calarene epoxide |
38.77 |
2470 |
1.42 |
|||
37 |
Isoshyobunone |
39.48 |
2516 |
1.52 |
|||
38 |
Cis, trans-farnesol |
40.41 |
2576 |
2.32 |
|||
39 |
trans-Z-α-Bisabolene epoxide |
40.66 |
2591 |
8.16 |
|||
40 |
6-epi-shyobunol |
41.57 |
2648 |
5.94 |
|||
41 |
Cedr-8(15)-en-10-ol |
42.79 |
2727 |
0.84 |
|||
42 |
Cis-Lanceol, |
43.25 |
2756 |
0.63 |
|||
43 |
8-Cedren-13-ol |
42.28 |
2694 |
0.38 |
|||
Lightly oxygenated hydrocarbons (LOH) |
|||||||
44 |
2-Pentyl furan |
8.30 |
1208 |
0.69 |
|||
45 |
trans-2-(2-Pentenyl) furan |
10.33 |
1277 |
0.33 |
|||
46 |
Methyl methanthranilate |
32.84 |
2093 |
0.68 |
|||
Hydrocarbons |
|||||||
47 |
Tetradecanal |
31.28 |
1996 |
0.39 |
|||
48 |
n-Nonadecane |
23.02 |
1691 |
0.38 |
|||
49 |
Octadecane |
25.80 |
1790 |
0.32 |
|||
50 |
Docosane |
47.31 |
3015 |
0.66 |
|||
Total |
99.99 |
||||||
*KI = Kovats indices in reference to n-alkanes (C8–C23) confirmed by comparison on TG WAX MS column
Antioxidant activity of different extracts of shoots of Conyza dioscoridis
The radical-scavenging capacity of different concentrations from ethyl acetate and methanol extracts in addition to the plant herb was evaluated. The results showed that the ethyl acetate and methanol extracts exhibited significant antioxidant activity with all tested concentrations especially at 500 µg/ml with IC50 value 249.64 and 266.60, respectively. Also, the plant herb exhibited significant antioxidant activities at all tested concentrations especially at 50 g/l with IC50 42.0 (table 3).
Acute toxicity and antidiabetic activity of ethyl acetate and methanol extracts of shoots of Conyza dioscoridis
Acute toxicity study results
The extracts did not produce any obvious toxic symptoms or mortality up to 5000 mg/kg b.w. (table 4) in all groups after 14 d. These results suggested the LD50 of the used extracts arehigher than 5000 mg/kg b.w.
Furthermore, at the dose levels tested, no untoward clinical signs were observed in the surviving rats. There were no changes in the nature of stool, urine and eye colour of all the animals. No mortality was observed in the different groups of rats that received the tested extracts. No treatment-related gross pathological changes were found in the heart, liver, lungs, spleen, kidneys, and testes of the rats at the dose levels tested. The incidence for histopathogical findings was similar in both control and treated rats (data not shown).
Biochemical results
No significant difference (P<0.01) was observed in blood glucose and serum insulin of rats administered with extracts of ethyl acetate or methanol of Conyza dioscoridis as compared to the control group (table 5).
Table 3: Antioxidant activity of different extracts and herbs of shoots of C. dioscoridis
Inhibition of DPPH % |
|||||
50 µg/ml |
100 µg/ml |
200µg/ml |
500 µg/ml |
IC50 |
|
EtOAc |
10.80±0.12 |
21.51±0.20 |
47.77±0.17 |
84.64±0.21 |
249.64 |
MeOH |
8.33±0.22 |
17.94±0.26 |
43.41±0.32 |
86.22±0.11 |
266.60 |
VIC |
88.74±0.16 |
89.24±0.18 |
90.05±0.29 |
90.40±0.25 |
0.28 |
Inhibition of DPPH % |
|||||
Herb |
6.25 g/l |
12.5 g/l |
25 g/l |
50 g/l |
IC50 |
7.83±0.23 |
11.52±0.15 |
29.85±0.30 |
61.11±0.23 |
42.00 |
|
Each value in the table is represented as mean±SD. (n = 3); IC50: half maximal inhibitory concentration
Table 4: Acute toxicity of ethyl acetate and methanol extracts of Conyza dioscoridis
Phases |
Dose (mg/kg) |
Mortality |
Phase 1 |
10 |
0/3 |
100 |
0/3 |
|
1000 |
0/3 |
|
Phase 2 |
1600 |
0/3 |
2900 |
0/3 |
|
5000 |
0/3 |
Table 5: Glucose and insulin in rats treated with of ethyl acetate and methanol extract of Conyza discoridis
Insulin (µIU/ml) |
Glucose (mg/dl) |
Parameters Groups |
7.29±0.14 |
77.9±2.7 |
Group 1 |
7.18±0.15 |
79.1±1.39 |
Group 2 |
7.34±0.13 |
80.0±1.84 |
Group 3 |
4.12±0.14* |
251.8±1.85* |
Group 4 |
6.35±0.9● |
117.7±0.84● |
Group 5 |
5.62±0.07● |
130.8±1.02● |
Group 6 |
* Significant difference as compared with control group at P<0.01, ● Significant difference as compared with diabetic group at P<0.01
The data presented in showed that the groups treated with extracts of ethyl acetate or methanol extract of Conyza dioscoridis revealed insignificant change in blood glucose and insulin levels as compared with the control.
It was found that a significant increase (P<0.01) in blood glucose and a decrease in insulin levels were recorded in the diabetic group as compared with the control one.
On the other hand, a significant decrease (P<0.01) was found in the blood glucose and a significant increase in insulin levels of the diabetic groups that treated with extracts of ethyl acetate or methanol extract of Conyza dioscoridis as compared with the diabetic group.
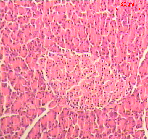
Histopathological results
Sections of the control pancreas of rats showed the exocrine component of the pancreas that consisted of closely packed acini. The interlobular duct, surrounded with the supporting tissue. The endocrine tissue of the pancreas, islets of Langerhans, scattered throughout the exocrine tissue (fig. 2─A). Microscopic investigation of sections of pancreas of rats treated with 100 mg/kg b.w. of ethyl acetate or methanol extracts of Conyza dioscoridis for 21 days showed acinar cells and islets that were seen to be normal. The islets were present with volume and the numbers of pancreatic β-cell appeared more or less as control one (fig. 2─B, C).
The histopathological examination of pancreatic tissues revealed a decrease in pancreatic islet number and size, atrophy, and connective tissue invasion in the parenchyma of the pancreas islet was detected. On the other hand, a reduction in pancreatic β-cell numbers compared to the control group (fig. 2─D).
On treatment with 100 mg/kg b.w. doses of ethyl acetate extract of Conyza dioscoridis showed dramatic decrease in all abnormal histological changes as compared to the diabetic group (fig. 2─E). Significantly, lesser histological changes occurred in the methanol extract of Conyza dioscoridis treated group (fig. 2─F).
Diabetes mellitus causes probably due to the changes in life style, changes in diet pattern commonly rich sugar fast food diet in place of traditional fibers food and also because of the genetic basis. The disease characterized by high glucose levels due to the absolute or relative deficiency of insulin circulation.
The presently available pharmacotherapy for the treatment of diabetes in modern health care system include the oral hypoglycemic agents and insulin is not possible to the people of majority of economic constraints of developing countries to used these drugs on regular basis, moreover these synthetic drugs are associated with various large number of side effects. Hence, there is growing interest to use traditional indigenous plants for the treatments of diabetes mellitus were increased. Over 150 plant extracts and plant active ingredients including flavonoids, terpenoids, tannins, alkaloids and polyphenols [22-25].
![]() |
![]() |
A |
B |
![]() |
![]() |
C |
D |
![]() |
![]() |
E |
F |
Fig. 2: Sections of the pancreas of A) control rat shows the exocrine component of the pancreas that consisted of closely packed acini. The interlobular duct, surrounded with the supporting tissue. The endocrine tissue of the pancreas, islets of Langerhans, scattered throughout the exocrine tissue, B, C) rats treated with ethyl acetate and methanol extracts of Conyza dioscoridis show the normal structure of the exocrine and endocrine pancreas, D) diabetic rat showed the acinar cells around the islets though seem to be in normal proportion does not look classical. A decrease in pancreatic islet number and size, atrophy, and connective tissue invasion in the parenchyma of pancreas islet was detected, E) diabetic rats treated with ethyl acetate extract of Conyza dioscoridis shows acinar cells and islets that were seen more or less like normal, and F) diabetic rats treated with methanol extract of Conyza dioscoridis shows lesser histological changes (H&E, Scale bar: 20 µm)
Streptozotocin (STZ)-induced diabetes may be due to the selective destroying pancreatic β-cells, which is responsible for the insulin production from endocrine cells. However, the animal survived without insulin treatment and shows improvement by glibenclaimde drug, which acts stimulating β-cells of pancreas, indicates incomplete destruction of pancreatic β-cells of diabetic animals [26-29].
In the present study, increased blood glucose level confirmed the induction of hyperglycemia by STZ. Oral administration of ethyl acetate or methanol extracts of Conyza dioscoridis caused a decrease in hyperglycemic as compared to the diabetic group.
Significantly increase the plasma insulin levels with treatment of 200 mg/kg ethanol extract of plants as compared to the diabetic control. The β-cells are highly susceptible to cytotoxic agent like STZ. The insulin secretion impairments result abnormal glucose homeostasis, leading to type I diabetes, which are due to selective and progressive destruction of pancreatic β-cells. In the present study, increasing in insulin levels in ethanolic extracts of plants with 100 mg/kg b.w. may have been due to the increase in secretion from β-cells and insulin synthesis of cells in the treatment group as compared to diabetic control group. The possible mechanism of the extracts may be an induction of insulin secretion through interaction with sulfonylurea receptors in plasma membrane of pancreatic β–cells or may be due to the property to promote insulins secretion by stimulation of Ca2+influx, membrane depolarization, and closure of K+-ATP channels an initial key step in insulin secretion [30-33].
Histopathological report showed that the insulin producing β–cells are located generally in the central region of pancreatic islets. However, the cells are destroyed in STZ-inducing diabetes. Inhibition of these histomorphological changes and maintenance of normal architecture of insulin producing cells by A. paniculata and S. chirayita ethanol extract found to protect from the destruction of these cells by STZ.
Reports have shown that the reduction in pancreatic β-cells can be as high as 50% during diabetes [34-36]. The present study revealed the presence of damaged β-cell population due to STZ induction. The histopathological study of diabetes-treated groups indicates increase in the volume density of islets, percent of β cells and size of islet in the groups that received the plant extracts, which may be a sign of regeneration along with β-cells repairs. The restoration of the β-cells were more evident at lower dosage (100 mg/kg body weight of the fed animal groups). Administration of the extract to non-diabetic rats show distorted pancreatic architecture and mononuclear cellular infiltration and sinusoidal spaces, suggesting that the extracts at the concentration used is relatively toxic to the pancreas of non-diabetic rats. Sign of regeneration of β-cells have been reported following consumption of some other plants in STZ-induced diabetic animals [37-39]. Some studies reported β-cell regeneration [40-43]. These reports are consistent with the present study, thus, islet cell replacement or regeneration therapy may offer therapeutic benefit to people with diabetes.
CONCLUSION
The result showed that administration of ethyl acetate and methanol extracts mostly the methanol extract of Conyza dioscoridis shoots having favorable effects in changes of blood glucose and insulin levels, it also increases the number of insulin producing β–cells. Thus it is attributed the antihyperglycemic effects of plant extract were partly due to the restoration of pancreatic tissue. Additionally, the bioactive constituents along with antioxidant activity were studied.
ACKNOWLEDGMENT
This work was supported from the National Research Centre, Egypt (Project No. 10010303).
CONFLICTS OF INTERESTS
The authors declare no conflict of interest
REFERENCES