1Department of Studies in Biochemistry, University of Mysore, Manasagangothri, Karnataka, Mysore 570006, India, 2Department of Studies and Research in Biochemistry, Tumkur University, Tumkur, Karnataka, India
Email: kemparajuom@gmail.com
Received: 29 May 2015 Revised and Accepted: 04 Aug 2015
ABSTRACT
Objective: To investigate the biochemical events that are associated with the skin softening, cleansing and wound healing properties of the cucumber (Cucumis sativus L) sap extract.
Methods: Preparation of cucumber sap extract (CSE). Assay of CSE for proteolytic activity, plasma re-calcification time, APTT, PT, thrombin-like activity, plasmin-like activity, and effect on platelet aggregation and wound healing property by physical, biochemical and histological examinations. Appropriate positive and negative controls were maintained wherever necessary.
Results: CSE decreased the plasma re-calcification time and prothrombin time (PT) and showed factor VII (pro-convertin) like activity. EGTA or EDTA pre-treated CSE did not alter the plasma recalcification time and PT. CSE readily hydrolyzed the plasma clot and azocasein; while, IAA pre-treated CSE did not hydrolyze the plasma clot and azocasein. CSE inhibited the agonists collagen, ADP and epinephrine induced platelet aggregation in PRP in the order epinephrine>collagen>ADP with the respective IC50 of 22 ± 2.5, 20 ± 3 and 11 ± 2 µg/ml. PMSF pre-treated but not IAA and EDTA pre-treated CSE lost the platelet aggregation inhibition property. Further, CSE augmented wound healing process including the scar removal in a mouse model. The SOD, CAT, GSH activities and hydroxyproline, hexosamine and hexuronic acid contents were increased while, NO, LPO and MPO activities were decreased compared to control values. Histological study revealed accelerated wound healing involving epithelialisation and re-formation of skin following CSE treatment compared to Neosporin.
Conclusion: CSE contain metallo-, serine and cysteine proteases, and interfere in clot formation, dissolution and wound healing process, which validates the use of cucumber as cosmetics and to treat wounds by traditional healers.
Keywords: Cucumber sap extract (CSE), Hemostasis, fibrin clot dissolution, Ethylene diamine tetra acetic acid (EDTA), Phenyl methyl sulphonyl fluoride (PMSF), Iodoacetic acid (IAA), Metalloprotease, Serine protease, Cysteine protease, Wound healing.
INTRODUCTION
Wounds are physical injuries that result in an opening or breaking of the tissue. The wound may be defined as a loss or breaking of cellular and anatomic or functional continuity of living tissues. Healing involves a complex biological process initiated in response to an injury that restores the function and integrity of damaged tissues. Clotting and removal of debris through inflammation, replacement of damaged tissue through proliferation of epithelial cells and maturation of scar are the essential events [1]. Untreated wounds are the potential place for the infection and chronic wounds may even lead to multiple organ failure. For example, management of diabetic wounds and eczema are still remained challenging and the lack of knowledge on the molecular mechanism of wound healing is the major limitation in identification of the precise target for the better management. Since time immemorial, herbal extracts are being tried extensively to achieve the better cure. Several plant species have been used in the Indian traditional systems of medicine such as Ayurveda, Siddha and Unani to treat wounds. Plants such as Azardica indica (Meliaceae), Lantana camara (Verbenaceae), Tridax procumbens (Asteraceae), Hydnocarpus wightianus (Achariaceae), Ginkgo biloba (Ginkgoaceae) and Centella asiatica (Apiaceae) with promising wound healing efficacy have been evaluated scientifically [2].
Cucumber from Cucumis sativus. L (Cucurbitaceae) commonly known as melon or gourd or cucurbit has been extensively used for external applications to treat various skin disorders such as wrinkles, chink, skin mold, freckles, sunburn, hyper-pigmentation, burning sensation, acne, dark circles, skin rashes, burns, wounds and bedsores. It is also used to treat tuberculosis, fever, insomnia, headache, jaundice, haemorrhage, kidney diseases, calculi, dyspepsia, diabetes, gout, obesity, arthritis, bronchitis, stomach pains, rheumatic problems, constipation, tonsillitis, cancer, inflammation and heart problems [3-5]. Thus, from ancient to modern world, the cucumber is being used extensively as an external applicant in the cosmetic industry and as well as to treat wounds, but without having any scientific validation. Therefore in the present study cucumber sap extract in tissue remodelling and wound healing process have been studied in a mouse model and the results are presented.
MATERIALS AND METHODS
Cucumbers (Cucumis sativus L.) were purchased from Krishna Raja Market in month March 2013 and authenticated by expertise/botanist, Botany department, University of Mysore Mysore, India (voucher specimen facility is not available). Thrombin, urokinase, ADP, collagen type I and epinephrine were purchased from Sigma Chemicals Company (St. Louis, USA). UNIPLASTIN, LIQUICELIN-E and factor-X and VII deficient plasma were purchased from Tulip Diagnostics Pvt. Limited. Blood was collected from healthy donors (Sanction order-IHEC-UOM No.71). Adult Swiss Albino mice (30-35 g; either gender) were obtained from the Central Animal House Facility, DOS in Zoology, University of Mysore (Sanction order-UOM/IAEC/6/2012). The animal care and experimental procedures performed were in compliance with the Regulations for Animal Research and Animal Ethical Committee of the UOM. Ketamine and xylocaine were purchased from the University Medical facility with a prescription from the University authorized medical practitioner. Ethylene diamine tetra acetic acid (EDTA), phenyl methyl sulphonyl fluoride (PMSF), and iodoacetic acid (IAA), was purchased from Sigma Chemicals Company (St. Louis, USA) and PDMAB (para-dimethyl amino benzaldehyde) from Sisco Research Laboratory (Mumbai, India). Gelatin and antibiotic Neosporin skin ointment (Neomycine+polymyxin B sulphate+bacitracin zinc) were obtained from Qualigens Fine Chemicals and GlaxoSmithKline Pharmaceuticals (Mumbai, India). All other chemicals used in this study were of analytical grade.
Preparation of cucumber sap
The outer green layer of cucumber was peeled and crushed in saline (0.9%), stirred overnight using magnetic stirrer. The extract was centrifuged for 10 min at 8000 rpm, the supernatant was collected and the pellet was discarded. Chilled acetone was added to the supernatant in the ratio 2:1 and kept overnight at 4oC and centrifuged for 10 min at 8000 rpm. The pellet was collected and the supernatant was discarded. The pellet was dissolved in minimum distilled water and dialyzed using dialysing bag (10 KDa cut off) in double distilled water. The dialyzed sample was centrifuged for 10 min at 8000 rpm and the supernatant was collected and designated as cucumber sap extract (CSE) and stored at-20 oC for further use [6].
Plasma re-calcification time
The plasma re-calcification time was determined according to the method of Quick [7]. Briefly, the CSE (2.5 to 100 µg) was pre-incubated with 0.2 ml of citrated human plasma in presence of 10 mM Tris-HCl (20 µl) buffer pH 7.4 for 5 min at 37oC. For the inhibition of proteolytic activity, the CSE (25 µg) was pre-incubated independently with known protease inhibitors such as EDTA, PMSF and IAA (10 mM) for 30 min at 37 oC and then 20 µl of 0.25 M CaCl2 was added to the pre-incubated mixture and clotting time was recorded in seconds.
Activated partial thromboplastin time (APTT) and prothrombin time (PT)
Briefly, 100 µl of normal citrated human plasma was pre incubated for 1 min with CSE (2.5 to 100 µg). For APTT, 100 µl reagent (LIQUICELIN–E Phospholipids preparation derived from rabbit brain with ellagic acid) which was activated for 3 min at 37 °C was added and the clotting was initiated by adding 100 µl 0.25 M CaCl2. For PT activity, the clotting was initiated directly by adding 200 µl PT reagent (UNIPLASTIN/lIQUIPLASTIN-rabbit brain thromboplastin). In both the cases, the clotting time was recorded in seconds by observing the formation of visible clot against a light source. Plasma sample treated with no CSE served as controls in both the cases. CSE (25 µg) was preincubated independently for 30 min with 10 mM each of EDTA, PMSF and IAA at 37 oC for inhibition of proteolytic activity,
Thrombin-like activity
Thrombin-like activity was determined according to the method of Denson [8]. The assay volume of 0.4 ml with 0.5% human fibrinogen in the presence of 10 mM Tris-HCl (40 µl) buffer pH 7.4 was treated with the CSE (2.5 to 100 µg) and the mixture was agitated gently against a light source to record the formation of the visible clot in seconds at room temperature. For control experiments, fibrinogen was treated with the thrombin. The clotting time was then determined after the addition of 100 μl of thrombin (2.5 NIH units/ml) to 100 μl of the incubation sample. For inhibition of proteolytic activity, CSE (100 µg) was preincubated independently for 30 min with 10 mM each of EDTA, EGTA, PMSF and IAA at 37 oC.
Factor VIIa-like activity
Factor VIIa-like activity was assayed using the congenital factor VII deficient human plasma. The different concentration of CSE (2.5 to 100 µg) was incubated with 100 µl of congenital factor VII deficient plasma for 2 min at 37 °C. The clotting time was recorded in seconds after adding 30 µl of 0.25 M CaCl2 against a light source. Normal plasma, 200 µl treated with 30 µl 0.25 M CaCl2 served as control experiments. For inhibition of proteolytic activity, CSE (100 µg) was pre incubated independently for 30 min with 10 mM each of EDTA, PMSF and IAA at 37 oC.
Fibrinolytic activity
The citrated human plasma (100 µl) was mixed with 30 µl of 0.25 M CaCl2 and kept at 37 oC for 3 h to form the soft fibrin clot. The clot was washed thoroughly for 5-6 times with phosphate buffered saline (PBS), suspended and incubated with the CSE (5 to 150 µg) independently in a final volume of 500 µl of 0.2 M Tris-HCl buffer pH 8.5 for 2 h at 37 oC. The undigested clot was precipitated by adding 750 µl of 0.44 M of TCA and allowed to stand for 30 min at room temperature; it was then centrifuged for 15 min at 1500xg. About 0.5 ml of the supernatant was transferred to a clean glass tube followed by the addition of 1.25 ml of 0.44 M Na2CO3, 0.25 ml of 1:3 diluted Folin ciocalteus reagent and the colour developed was read at 660 nm. For inhibition of proteolytic activity, CSE (100 µg) was pre incubated independently for 30 min with 10 mM each of EDTA, PMSF and IAA at 37 oC. The semi-quantitative assay was also done using the plate method. Fresh human blood was mixed with anticoagulant (0.11 M trisodium citrate, 0.2% EDTA) in the ratio 9:1 and centrifuged for 15 min at 500g to separate platelet poor plasma. A mixture consisting of 2 ml of platelet poor plasma, 3 ml of 1.2% agarose in 10 mM Tris–HCl, 0.15 M NaCl, 0.05% sodium azide and 0.25 M CaCl2 was poured into 10 mm x 99 cm flat Petri dish and left for 2 h at 25 oC. CSE (25 to 100 µg) in 10 mM Tris-HCl buffer (pH 7.4), protease inhibitors such as EDTA, 1,10-Phenanthroline, PMSF, Benzydamine hydrochloride and IAA (10 mM) were pre-incubated independently with CSE (25 µg) for 30 min at 37 oC and placed on the surface and incubated overnight at room temperature. Then 0.01% TCA was added over the surface and the diameter of the trans lucent clear zones due to lyses of the fibrin clot (plaque) were measured in millimetre (mm). Urokinase, 2.5 units served as control.
Plasminogen activation assay
The plasminogen activation assay was done according to the method described by Chakrabarty et al., [9]. (a) Human citrated plasma (20 µl), (b) Human citrated plasma (20 µl) with 1 mg (10 µl) urokinase, (c) Human citrated plasma (20 µl) with 50 µg CSE, (d) 50 µg CSE alone and (e) 1 mg urokinase alone were independently incubated for 1 h at 37 °C in 100 µl of 100 mM potassium phosphate buffer and the reaction was initiated by adding 500 µl of azocasein (0.25% in 100 mM potassium phosphate buffer pH 7.4). Addition of 400 µl of 25% trichloroacetic acid abolished the activity and it was centrifuged at 1000xg for 15 min. The supernatant (600 µl) was diluted with an equal volume of 0.5 N NaOH and absorbance was read at 440 nm. For inhibition of proteolytic activity, CSE (50 µg) was pre incubated independently for 30 min with 10 mM each of EDTA, PMSF and IAA at 37 oC.
Preparation of platelet-rich plasma and platelet-poor plasma
The freshly collected blood from healthy donors, who were non-smokers and non-medicated at least for the previous 15 days, was mixed with 0.11 M trisodium citrate (9:1 ratio) and centrifuged at 90xg for 15 min to obtain platelet-rich plasma (PRP). The remaining blood was again centrifuged at 500 xg for 15 min to obtain the platelet poor plasma (PPP). The platelet number in the PRP was adjusted to 3.8×108 platelets/ml by diluting with PPP and used within 2 h. All the above preparations were carried out using plastic wares or siliconized glass wares.
Platelet aggregation
The turbidometric method of Born [10] was followed using a Chronolog dual channel aggregometer connected to an omniscribe dual pen recorder to record the light transmission as a function of time. The reaction volume 500 µl contain 0.45 ml PRP was pre-incubated with CSE (5 to 50 µg) for 3 min in a cylindrical glass cuvette under constant stirring. The aggregation was initiated by the addition of agonists such as collagen (2 μg/ml), ADP (5 mM) and epinephrine (5 mM) respectively and the aggregation was followed for 6 min. Further, CSE was also checked for its effect on platelet aggregation in the absence of any agonists. As platelets aggregate, light transmission increases progressively producing an aggregation trace on the recorder. The aggregation trace was the plot of light transmission between platelet rich plasma (PRP) and platelet poor plasma (PPP) base line, which represent 0% and 100% aggregation respectively. For inhibition of proteolytic activity, CSE (50 µg) was pre incubated independently for 30 min with 10 mM each of EDTA, PMSF and IAA at 37 oC.
Wound healing activity
The wound healing activity of CSE was determined using the excision wound model [11]. About 10 cm diameter area was shaved and sterilized with 70% alcohol on the dorsal side of the mouse. Further, a full thickness excision wound of 1 cm diameter was made using sharp scissor and samples were applied over the entire wound twice a day up to 21 days starting from day of wounding. Four groups (n = 3) of mice were used for the study. Group Ia-Id: wounds were treated with saline (negative control), Group IIa-IId: wounds were treated with CSE (10 mg/kg body wt), Group IIIa-IIId: wounds were treated with heat denatured CSE and Group IVa-IVd: wounds were treated with Neosporin (positive control) respectively for 3, 7, 14 and 21 days. Wound contraction (diameter of the wound calculated by tracing margins of the wound on a graph sheet) was monitored daily and the percentage of wound closure was calculated using the formula, % wound contraction = [Healed area/Total wound area] × 100 (Healed area= original wound area − present wound area). Mice were anesthetized by intraperitoneal injection of ketamine-xylocaine mixture [12] on the respective days. The healing skin from each group was taken and fixed in Bouin’s solution for a period of three days for histopathology.
Histopathology studies
Skin samples were stored in Bouin`s solution was subjected to dehydration process through different grades of alcohol and chloroform mixture. Finally, the samples were placed in chloroform. The tissues were embedded in molten paraffin wax and 5 μm thick sections were prepared using Spencer 800 microtome. The sections were stained with hematoxylin-eosin stain for microscopic observations according to the standard procedure. The sections were observed under Leitz wetzlar Germany type (307-148.002) microscope and photographed using Photomet-rics colorsnap CF camera (Leitz Diaplan Germany, Roper Scientific Photometrics type-A014872002) attached to the microscope.
Estimation of antioxidants and free radicals in granulation tissue
Wet granulation tissues of mice from each group were homogenized in a glass teflon homogenizer (10% w/v) at 4 °C in phosphate buffered saline (PBS, pH 7.2) and used for the assays. Antioxidant markers such as superoxide dismutase (SOD) [13], catalase (CAT) [14] and reduced glutathione (GSH) [15] were estimated. Free radical markers such as nitric oxide (NO) [16], lipid peroxidation (LPO) [17], acute inflammatory marker myeloperoxidase (MPO) [18] were estimated. In addition the protein content [19] was also estimated. The assay of SOD is based on the inhibition of the formation of NADH-phenazine methosulphate-nitro blue tetrazolium formazan. One unit of enzyme activity was defined as the amount of enzyme that gave 50% inhibition of nitro blue tetrazolium reduction in one minute. CAT measurement was done based on the ability to oxidize hydrogen peroxide to water and molecular oxygen. One unit of enzyme activity was defined as the enzyme which decomposes one mM of H2O2/min at 25 °C. GSH activity was estimated by the ability of GSH to reduce DTNB (5, 5’-dithiobis nitro benzoic acid) to 2-nitro-5-thiobenzoate (TNB) within 5 min against blank and the amount of reduced GSH was expressed as nanomoles of GSH/mg. LPO levels were estimated in terms of malondialdehyde (MDA) released during lipid peroxidation and expressed in nanomoles of MDA/mg. Nitrites and nitrates formed during NO formation were measured by using Griess reagent and expressed as units/mg. For myeloperoxidase (MPO) estimation, granulation tissue (5% w/v) was homogenized in 0.5% hexa decyl trimethyl ammonium bromide (HTAB, Sigma-Aldrich, Co., St. Louis, MO, USA) with 50 mM potassium phosphate buffer (pH 6). The previous homogenate was freeze-thawed three times, sonicated for 10 seconds and then centrifuged at 14000×g for 45 minutes at 4 °C and the resulting supernatant was used for estimation of MPO. One unit of MPO activity was defined as that converting 1 𝜇mol of H2O2 to water in 1 min at 25 °C.
Estimation of connective tissue parameters
The wet granulation tissue samples from each group were dried at 50 °C for 24 h and 40 mg was weighed from each group and transferred to clean and dry test tubes and suspended in 1 ml of 6 N HCl and boiled in the water bath for 24 h. The hydrolysate was then cooled and excess of acid was neutralized by adding 10 N NaOH using phenolphthalein as an indicator. The volume of neutral hydrolysate was diluted to a concentration of 20 mg/ml with distilled water and used for the estimation of hydroxyproline [20], hexosamine [21] and hexuronic acid [22]. The respective standards such as 4-Hydroxy-L-proline (75 to 900μg/0.3 ml), D (+) glucosamine hydrochloride (5 to 50μg/0.5 ml) and D (+) Glucurono-6, 3-lactone (5 to 40 μg/0.5 ml) were used to prepare standard curves.
Protein estimation
Protein content was determined by Biuret method [23].
Statistical analysis
The experiments were repeated for three independent observations. Results were expressed as mean±SEM values. Data were compared by analysis of variance (ANOVA) followed by Bonferroni post hoc test for multiple compari-sons; significance was accepted at P<0.05 (*), P<0.01 (**), and P<0.001 (***). Data were analyzed using the statistical package GraphPad Prism (GraphPad Soft-ware, Inc., USA).
RESULTS
Initial screening for the proteolytic activity revealed that the cucumber pulp showed insignificant activity while the activity was significant in the green skin peel and thus the cucumber sap was prepared from the later. The crude saline extract of cucumber sap was subjected to chilled acetone precipitation in the ratio 1: 2 (extract: acetone). The precipitate was re-suspended and dialyzed in distilled water and centrifuged, the supernatant was called (CSE) and used for further studies as a source of protease activity. CSE showed proteolytic activity on casein with the specific activity of 2.27±0.6 units/mg/min [6].
CSE showed procoagulant activity as it reduced the re-calcification time of citrated human plasma from 266±3.5 sec to 141±0.7 sec (fig. 1A) and the effect was found to be dose dependent. EDTA and EGTA abolished, while PMSF and IAA did not affect the plasma recalcification time of CSE (table 1). CSE also reduced the prothrombin time (PT) of citrated human plasma dose dependently from 16±2 sec to 5±2 sec (fig. 1B). Further, preincubation of CSE with EDTA abolished the PT activity while it was insensitive to PMSF and IAA pre-treatment (table 1). CSE also showed the thrombin time (TT) dose dependently, but the effect observed was very feeble as compared to the control where thrombin showed the clotting time of 26±2 sec. Further, the thrombin time was also abolished by EDTA while PMSF and IAA did not affect (data not shown).

Fig. 1: Effect of CSE on plasma recalcification time, Prothrombin time and congenital factor VII deficient human plasma
(A) Dose dependent effect of CSE (5-100 µg) on human citrated plasma. (B) Dose dependent effect of CSE (5-100 µg) on citrate human plasma with prothrombin time reagent. (C) Dose dependent effect of CSE (5-100 µg) on congenital factor VII deficient human plasma and the assay was carried out as explained in ‘materials and methods’ section. Results are presented as the mean±SEM
When tested on the factor VII deficient congenital human plasma, CSE induced the clotting in a dose dependent manner, and at 100 µg, the clotting time observed was 254±13 sec (fig. 1C), and this effect was abolished by EDTA but not by PMSF and IAA (table 1). The factor VII deficient plasma was insensitive to the added CaCl2, while the normal citrated human plasma showed the recalcification time of 267±4 sec which served as control.
Table 1: Effect of protease inhibitors on recalcification time, prothrombin time and factor VII eficient plasma clotting property of CSE
| Samples | Clotting time |
| Recalcification time (Sec) | |
| Control (Normal plasma) | 262±04 |
| CSE (25µg) | 182±07 a*** |
| CSE (25µg)+PMSF (10 mM) | 179±14 |
| CSE (25µg)+IAA (10 mM) | 180±13 |
| CSE (25µg)+EDTA (10 mM) | No clot formation b*** |
| CSE (25µg)+EGTA (10 mM) | No clot formation b*** |
| Prothrombin time (Sec) | |
| Control (Normal plasma) | 16±2 |
| CSE (25µg) | 13±2 a*** |
| CSE (25µg)+PMSF (10 mM) | 12±2 |
| CSE (25µg)+IAA (10 mM) | 13±3 |
| CSE (25µg)+EDTA (10 mM) | No clot formation b*** |
| CSE (25µg)+EGTA (10 mM) | No clot formation b*** |
| Factor VII deficient plasma clotting time (Sec) | |
| Control (Normal plasma) | 262±04 |
| CSE (50µg) | 382±20 a*** |
| CSE (50µg)+PMSF (10 mM) | 379±21 |
| CSE (50µg)+IAA (10 mM) | 381±23 |
| CSE (50µg)+EDTA (10 mM) | No clot formation b*** |
| CSE (50µg)+EGTA (10 mM) | No clot formation b*** |
Results are presented as the mean±SEM and analyzed using one-way ANOVA followed by ‘Bonferroni's multiple comparison test (***P<0.0001, a significant when compared to clotting time of control, b significant when compared to CSE treated samples).
CSE hydrolysed the washed fibrin clot dose dependently with the specific activity of 0.475±0.026 units/mg/min. PMSF and IAA inhibited the clot hydrolysing activity and the inhibition achieved was (95±2%) and (11±4%) respectively while, EDTA didn’t inhibit (fig. 2A and 2B). The degradation of fibrin was further confirmed by the semi-quantitative fibrinolytic assay on agarose plate method in which the CSE (100 µg) revealed the clear zone of fibrin hydrolysis of 7.5±0.04 mm diameter. PMSF, benzidine hydrochloride and IAA inhibited, while EDTA and EGTA did not inhibit the fibrinolytic activity of CSE (fig. 2C and 2D). Urokinase (2.5 units) revealed the zone of hydrolysis of 12±0.02 mm which served as positive control. In plasminogen activation assay, the urokinase didn’t hydrolyze azocasein while CSE hydrolyzed the azocasein dose dependently when incubated independently. The azocasein hydrolysing activity of CSE was inhibited to the extent of 86% by IAA and 12% by PMSF while EDTA did not inhibit (data not shown).
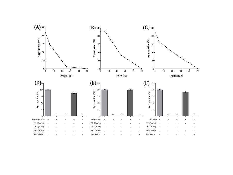
CSE inhibited the epinephrine, collagen and ADP induced platelet aggregation dose dependently and the order of inhibition was found to be epinephrine>collagen>ADP with the respective IC50 values of 22±2.5, 20±3, and 11±2 µg/ml (fig. 3A, B and C). The platelet aggregation property of CSE was abolished by PMSF while it was insensitive to EDTA and IAA (fig. 3D, E and F).
CSE was tested for wound healing property and it was followed from day 3rd to 21st days. CSE readily promoted wound healing in a Swiss albino mouse model. The rate of wound contraction achieved in CSE, positive control (PC), negative control (NC), and B-CSE (boiled CSE) treated wounds were found to be 25 to 99%, 27 to 96%, 16 to 75%, 17 to 78% respectively (fig. 4 A and B). In case of CSE treated wound, complete scar free healing was observed on 21st day of treatment and this was highly comparable to the healing rate of Neosporin treated control (PC) wound, while the healing was achieved at 25th day of treatment in case of NC and BSE treated wounds.

Fig. 2: Effect of CSE on fibrin clot hydrolysis and inhibition by protease inhibitors. A represents the effect of CSE on fibrin clot hydrolysis. B represents the effect of protease inhibitors on CSE towards hydrolysis of fibrin clot. Protease inhibitors (10 mM) were preincubated independently with CSE (100 µg) for 30 min at 37 °C. C represents the effect of CSE on fibrin clot hydrolysis by plate method. 1 (2.5 units urokinase), 2, 3, 4 (25, 50, and 100 µg CSE respectively). D represents the effect of protease inhibitors on fibrinolytic activity of CSE. 1 (2.5 units urokinase), 2 (CSE 25 µg), 3 (CSE 25 µg+EDTA), 4 (CSE 25 µg+PMSF), 5 (CSE 25 µg+benzydamine hydrochloride), 6 (CSE 25 µg+EGTA) and 7 (CSE 25 µg+IAA) respectively and the assay was carried out as explained in the Methods section. Results are presented as the mean±SEM (***P<0.0001, significant when compared to CSE.)

Fig. 3: Effect of CSE and protease inhibitors on platelet aggregation of human platelet rich plasma: A, B and C represents the dose dependent effect of CSE (5-50 µg) on platelet aggregation induced by epinephrine, collagen and ADP respectively. D, E and F represents the effect of EDTA, PMSF and IAA (10 mM) on platelet aggregation activity of CSE (50 µg) induced by ADP, collagen and epinephrine respectively. For inhibition studies the protease inhibitors were pre-incubated independently with CSE for 30 min at 37 °C and platelet aggregation was performed as described in the methods section. Results are presented as the mean±SEM and analyzed using one-way ANOVA followed by Bonferroni's multiple comparison Test (***P<0.0001, significant when compared to aggregation induced by epinephrine, collagen and ADP)

Fig. 4: Effect of CSE on wound healing activity using mouse model: 10 mm diameter full thickness excision wounds were surgically made on the dorsal portion of mice. An amount of 250 µg of CSE was applied twice daily on the wound (10 mg/kg/day). A represents the photographic representation of percentage of wound contraction from day 3 to 21 of cucumber sap extract (CSE) Neosporin, negative control (NC), and boiled extract of CSE (B-CSE). B represents the wound contraction which was monitored by measuring the diameter of the wound using a graph sheet. Results are expressed as a percentage of wound closure and are presented as the mean±SEM and analyzed using two-way ANOVA followed by Bonferroni's multiple comparison Test (*** P<0.0001, significant when compared to negative control (NC) group of mice)
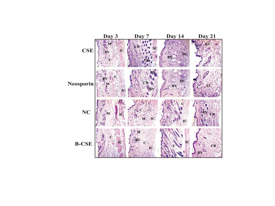
On respective days, such as 3rd, 7th, 14th, and 21st days of treatment, the animals from all the groups were sacrificed to remove skin tissue at the site of wound healing and subjected for histopathology. The CSE and Neosporin treated wound tissue sections revealed the accumulation of large number of inflammatory cells at 3rd day, as compared to NC and B-CSE.

Fig. 5: Histopathology of skin granulation tissue of mice from day 3 to 21 stained with Hematoxylin-Eosin. Tropical application of CSE (250 µg), standard cream Neosporin and boiled CSE extract twice a day for wounded skin of albino mice till 21 days. After 3, 7, 14 and 21 days the mice were scarified in each group. The skin was dissected and processed for hematoxylin-eosin staining. Images were under microscope and photographed (10X). [Note: Cucumber sap extracts (CSE), Neosporin, Negative control (NC), Boiled extract of CSE (B-CSE) M-Macrophages, IC-inflammatory cells, C-collagen, BV-blood vessel, CB-collagen bundles, FB-fibroblast, DC-dense collagen and EC-intact extracellular matrix]
At 7th day, there observed an increased formation and accumulation of collagen bundles in CSE and Neosporin treated tissue sections as compared to NC and B-CSE. On day 14, an increased collagen network and less numbers of inflammatory cells with a relatively intact extracellular matrix in CSE and Neosporin treated sections were prominently noticed while contrasting features were associated with NC and B-CSE treated wound tissue sections. On day 21st, the normal collagen, intact extracellular matrix and with no significant inflammatory cells characteristic of normal tissue has been restored in CSE and Neosporin treated wound tissue sections. However, the normal histological features did not restore even after day 25th in NC and B-CSE treated wound tissue sections (fig. 5).

Fig. 6: Estimation of biochemical parameters of granulation tissue. A, B, and C represents the content of hydroxyproline, hexosamine and hexuronic acid of 3 to 21 days granulation tissue of mice treated with CSE (cucumber sap extract), Neosporin, NC (negative control, without any treatment) and B-CSE (boiled extract of CSE). Respective assay was performed as described in the Methods section. Results are presented as the mean±SEM and then analyzed using two-way ANOVA followed by Bonferroni post-tests (*** P<0.001, significant when compared to the negative control group of mice)
Further, the tissues at the site of wound from each group of mice were studied for antioxidant markers, free radical scavenging activity and biochemical parameters. The antioxidant markers such as SOD and CAT activities, and GSH levels were increased significantly from day 3rd to 14th day, however their levels decreased drastically in CSE and Neosporin treated wound tissues at 21st day, as compared to NC and B-CSE (table 2). Free radicals such as NO and LPOs levels, and acute inflammatory marker MPO activity were decreased gradually from day 3rd to 21st day in CSE and Neosporin treated wound tissues, while their levels remained high in NC and B-CSE treated wound tissues (table 2). The biochemical parameters such as hydroxyproline, hexosamine and hexuronic acid contents were significantly increased from day 3rd to 21st day of CSE and Neosporin treated tissue sections as compared to NC and B-CSE which showed marked decreased levels (fig. 6A, B and C).
DISCUSSION
The wound is generally characterized by the damage of tissues and vascular endothelium resulting in the onset of complex acute phase events such as primary and secondary hemostasis and inflammatory response which not only offer protection to the wound but also prevent spreading of wound due to the possible infection. However, removal of the fibrin clot and debris, and replacement of damaged tissue through the proliferation of epithelial cells and maturation of scar are the essential events of wound healing. It is a highly complex and tightly regulated process involving the symphony of variety of factors such as platelets, collagen, blood clotting factors, cytokines, chemokines, hormones, proteases etc. At the time of wound formation, the clotting of blood is critical to prevent the fatal haemorrhage while the dissolution of clot is equally essential during wound healing. Proteases, which are the key factors known to participate in both of these processes. The results of this study systematically evaluated the beneficial effects of the CSE where the proteolytic activity play a critical role during hemostasis and tissue repair as it promoted clot formation at the time of tissue injury while it dissolved the fibrin clot and promoted tissue regeneration during wound healing. CSE readily reduced the plasma recalcification time and thus it showed strong procoagulant activity and the procoagulant activity was abolished by both EDTA and EGTA. EDTA is a non specific divalent metal ion chelator while EGTA is specific for calcium ions. Therefore, it appears that the procoagulant activity was due to the metalloprotease/s which is most likely calcium ion dependent.
Generally the metallo-proteases are predominantly the zinc ion dependent enzymes, however there are metalloprotease which are dependent on both calcium and zinc ions for their activity, for example, NN-PF3, the metalloprotease isolated from the Indian cobra (Naja naja) venom was known to contain both zinc and calcium ions and the activity was abolished by both EDTA and EGTA [24]. Normally the metal ions in metalloprotease are known to play both structural and catalytic role, and affecting any of the metal ion will affect the activity, thus CSE protease/s needs thorough investigation for its metal ion composition and biological activity. CSE did not alter the APTT while it reduced PT suggesting that it is affecting the extrinsic/tissue factor pathway of coagulation. Both EDTA and EGTA abolished the PT of CSE. Further, CSE readily caused the clotting of factor VII deficient plasma; therefore, it is highly likely that the CSE interfered in the plasma coagulation process and work in place of factor VII of the extrinsic pathway. This activity was also abolished by both EDTA and EGTA. In addition, CSE also hydrolyzed the fibrinogen and caused the formation of fibrin clot but at a very slower rate as clot formation seen only after 30 min of incubation and it was also abolished by EDTA and EGTA. Thus, during tissue damage, CSE appear to promote the clot formation through metalloprotease/s as both EDTA and EGTA abolished the plasma recalcification time, PT and coagulation of factor VII deficient plasma. Although not studied extensively, only few studies reported the procoagulant activity of plant products that are working through the extrinsic pathway of coagulation, for example, the methanolic leaf extract of Ageratum conyzoides and the cysteine protease from Ficus carica were found to show procoagulant activity through extrinsic pathway of coagulation [25-26]. However, the procoagulant activity has been reported in different extracts of plant latex, fruits like kiwi, pineapple and raspberries [27-28], while the activity has been extensively studied in animal venoms [29-31]. As the injury enter in to the healing phase, this will further trigger a complex event including clot dissolution, scavenging of the debris and tissue regeneration through controlled proliferation of cells including angiogenesis. Plasmin digests the fibrin net and the clot breaks down which will eventually be engulfed and removed by phagocytic system. This step appears crucial, as little alteration of this step would result in prominent scar and keloid formation. Further, excess accumulation of collagen and other connective tissue materials would lead to fibrosis and has been commonly seen in many surgical wounds.
Table 2: Estimation of antioxidant and free radical of granulation tissue
| Groups | Day 3 | Day 7 | Day 14 | Day 21 |
| Superoxide dismutase (Units/mg) | ||||
| CSE treated | 4.7±0.1*** | 5.7±0.2*** | 6.3±0.4*** | 3.2±0.1*** |
| Neosporin | 4.8±0.2*** | 5.5±0.2*** | 6.0±0.3*** | 3.4±0.3*** |
| NC | 2.9±0.4 | 4.5±0.3 | 5.0±0.4 | 5.5±0.1 |
| B-CSE treated | 2.8±0.3 | 4.6±0.3 | 5.2±0.2 | 5.4±0.3 |
| Catalase (Units/mg) | ||||
| CSE treated | 1.8±0.3** | 2.4±0.4 | 3.0±0.4* | 1.6±0.5*** |
| Neosporin | 1.9±0.3** | 2.2±0.3 | 2.8±0.4 | 1.8±0.4** |
| NC | 0.7±0.2 | 1.6±0.3 | 2.1±0.4 | 2.9±0.4 |
| B-CSE treated | 0.8±0.2 | 1.8±0.3 | 2.2±0.2 | 2.7±0.3 |
| Reduced glutathione (nano moles/mg) | ||||
| CSE treated | 98±6*** | 119±5 *** | 173±4*** | 202±4*** |
| Neosporin | 94±4*** | 115±4*** | 168±4*** | 198±3*** |
| NC | 60±6 | 84±5 | 105±5 | 112±4 |
| B-CSE treated | 62±5 | 86±5 | 106±3 | 121±4 |
| Scavenging of nitric oxide (Units/mg) | ||||
| CSE treated | 0.56±0.03* | 0.50±0.02* | 0.15±0.02*** | 0.062±0.01 |
| Neosporin | 0.54±0.02* | 0.50±0.01* | 0.12±0.01*** | 0.060±0.01* |
| NC | 0.60±0.03 | 0.57±0.02 | 0.52±0.03 | 0.110±0.03 |
| B-CSE treated | 0.59±0.03 | 0.55±0.03 | 0.52±0.02 | 0.100±0.03 |
| Lipid peroxidation (nano moles/mg) | ||||
| CSE treated | 32±6** | 26±5 | 20±4 | 12±4* |
| Neosporin | 32±4 ** | 25±4 | 20±3 | 12±3* |
| NC | 45±6 | 34±5 | 24±4 | 22±4 |
| B-CSE treated | 42±5 | 32±5 | 25±3 | 22±4 |
| Myeloperoxidase (Units/mg) | ||||
| CSE treated | 1.2±0.02*** | 0.8±0.02*** | 0.5±0.02*** | 0.3±0.01*** |
| Neosporin | 1.3±0.02*** | 0.9±0.01*** | 0.5±0.01*** | 0.4±0.01*** |
| NC | 1.9±0.02 | 1.3±0.02 | 0.9±0.02 | 0.8±0.01 |
| B-CSE treated | 1.8±0.03 | 1.3±0.20 | 1.0±0.02 | 0.8±0.01 |
Data are presented as the mean±SEM and analyzed using two-way ANOVA followed by Bonferroni post-tests (*** P<0.001, significant when compared to negative control group of mice).
CSE hydrolyzed azocasein suggesting the plasminogen activation property and this was abolished by IAA and thus the role of Cysteine protease in the process. This is the first study reporting plasminogen activation by the cysteine protease; however cysteine proteases are abundantly present in lysosomes. Further, CSE readily hydrolyzed plasminogen free washed human fibrin clot suggesting the fibrinolytic or plasmin-like activity and the activity was abolished by PMSF, suggesting the role of serine protease. Several plants serine proteases degrade fibrin clot such as from Euphorbia hirta [32], Clausena suffruticosa, Leea indica and Leucas aspera [33]. Interestingly CSE inhibited platelet aggregation induced by collagen, ADP and epinephrine significantly and this activity was abolished by PMSF suggesting the role of serine proteases. Similarly the antiplatelet activity was reported from several fruits and vegetables, including black grapes (Vitis vinifera L.), pineapple (Ananas comosus L. Merr.), strawberry (Fragaria x ananassa L. Duch.), kiwi (Actinidia chinensis Planchon), vegetables such as garlic (Allium sativum L.), onion (Allium cepa L.), scallion (Allium schoenoprasum L.), tomato (Solanum lycopersicon Mill.), melon (Cucumis melo L. var. inodorus) and green beans [28]. Many serine proteases isolated from plants source such as bromelain from Ananas comosus [34] and Crinumin from Crinum asiaticum [35] showed the inhibition of platelet aggregation.
Clot formation and clot dissolution properties are the crucial steps during wound healing and the wound contraction is the process of mobilizing healthy skin surrounding the wound to cover the denuded(without epidermis) area and this involves complex and orchestrate interaction of cells, extracellular matrix, and cytokines. Since CSE enhanced wound contraction, it would either have enhanced contractile property of myofibroblasts or increased the number of myofibroblasts through controlled prolifereation. An increased hydroxyproline, hexosamine and hexuronic acid content of granulation tissue reflects the increased rate of wound healing. In addition, the histology of granulation tissue sections of CSE and Neosporin treated mice showed abundance of collagen tissue and neovascularisation with few inflammatory cells on 14th day of treatment compared to NC and B-CSE which suggests augmented the wound healing process. During wound healing ROS and as well as non radical oxidants play vital role in healing and serve as cellular messengers that drive numerous biological pathways. For example, at optimum micro molar concentration, hydrogen peroxide can promote vascular endothelial growth factor (VEGF) expression in keratinocytes [36]. It has been reported earlier that topical application of compounds with free radical scavenging properties in patients has shown to improve wound healing significantly and protect tissues from oxidative damage [37]. Over production of ROS results in oxidative stress, thereby causing cytotoxicity and delayed wound healing. Therefore, elimination of ROS could be an important strategy in healing of chronic wounds [38]. The initial increased SOD, CAT, GSH levels and their decreased pattern after 14th day and the decreased levels of NO, LPO and MPO at 21st day in CSE treated granulation tissue suggests the significant antioxidant activity. Reduction of free radicals and MPO levels could prevent oxidative damage and promote the healing processes. Thus, cucumber sap is a depot of a spectrum of proteases which readily interfere in hemostasis. Hemostasis is an acute phase response to vascular injury and involves platelet activation, clot formation and clot dissolution. Metalloproteases (factor VIIa like) promote blood coagulation that is required to stop bleeding while cysteine (plasminogen activation) and serine (fibrinolytic and antiplatelet) proteases are found to play essential role in clot dissolution and platelet aggregation inhibition during wound healing.
CONCLUSION
In conclusion this systematic study not only uncover the beneficial properties of the proteases of cucumber sap but also provide the scientific basis for the wide use of cucumber in cosmetic industry and as well as in traditional medicine as a skin conditioner and cleansing agent during wound healing and in the treatment of conditions such as acne and other skin disorders.
ACKNOWLEDGEMENT
Author Manjula B thanks the Council of Scientific and Industrial Research (CSIR), Government of India, New Delhi, India, for financial assistance
CONFLICT OF INTERESTS
The authors have declared that there is no conflict of interest
REFERENCES