
1Laser Dynamics Laboratory, School of Chemistry and Biochemistry, Georgia Institute of Technology, Atlanta, GA, USA, 2Departments of Pharmacology, 3Spectroscopy-Laser Group, 4Pathology, National Research Centre, Cairo, Egypt
Email: rehabs2001@yahoo.com
Received: 30 May 2015 Revised and Accepted: 27 Oct 2015
ABSTRACT
Objective: assessment of acute, subchronic and chronic toxicity of pegylated gold nanorods (PEG-gold NRs) in Wistar rats of both sex in three routes of administration {intravenous (IV), intramuscular (IM) and subcutaneous (SC)}.
Methods: in the acute toxicity study; PEG-gold NRs were injected once by three different routes, blood and tissue samples were collected after 14 d. In the subchronic and chronic studies; PEG-gold NRs were injected via three different routes, at 0.225, 0.45 and 0.9 mg/kg, once daily for 5 consecutive days, followed by a 23-day recovery period, for three and six months in the subchronic and chronic toxicity studies, respectively. Hematology, urinalysis, biochemical and histopathological examinations were conducted at the end of each study.
Results: acute toxicity showed a significant decrease in serum triglycerides and cholesterol levels after single IV, IM and SC injection of PEG-gold NRs, while serum creatinine was significantly increased after IV and IM injection. Subchronic results revealed a significant decrease in serum triglycerides and cholesterol levels. The chronic study showed a significant decrease in serum triglycerides, sodium levels, total leukocytes count and significant increase in serum creatinine after IV injection. IM injection resulted in significant decrease in serum alkaline phosphatase, triglycerides, cholesterol, sodium levels and total leukocytes count. SC injection resulted in significant decrease in serum triglycerides, glucose, red blood cell count with increased creatinine and hematocrit.
Conclusion: PEG-gold NRs at the three examined doses is apparently safe since no serious signs of toxicity were detected. IM and SC routes of injection were irritating, so we recommend the IV route.
Keywords: Pegylated gold nanorods, Intravenous, Intramuscular, Subcutaneous, Acute, Subchronic, Chronic toxicity.
© 2016 The Authors. Published by Innovare Academic Sciences Pvt Ltd. This is an open access article under the CC BY license (http://creativecommons.org/licenses/by/4.0/)
INTRODUCTION
Nanotechnology is a relatively new field of technology that takes advantage of the unique properties of particles in the “nano” size range. Nanotechnology is now a major part of almost every industry. On the other hand, nanomedicine is the biomedical application of nanotechnology[1, 2].
Gold nanomaterials have great application due to a straightforward synthesis, stability, and ease of incorporation of functional groups for targeting capabilities, as in gene and protein delivery, biological imaging, cancer treatments, and in implants [3].
Studies have suggested that the size, surface charge, and shape are key factors related to potential toxicity of medicinal gold complexes [4].
Nanoparticles are comparable in size to many biological molecules and subcellular components, which should bring about interesting interactions with cellular compartments and biological systems. These interactions could be beneficial, or could easily result in an adverse response and then toxicity [5, 6].
Proteins bind the surfaces of nanoparticles, and biological materials, in general, immediately upon introduction of the materials into a physiological environment. The further biological response of the body is influenced by the nanoparticle–protein complex. Protein binding is one of the key elements that affect biodistribution of the nanoparticles throughout the body [7]. This binding can result in the original effective surface charge of nanoparticles flipping from cationic to anionic or vice versa. This layer of more or less tightly bound proteins adsorbed to the surface of the nanoparticles has recently been identified as the protein “corona” [8, 9].
The nature of adsorbed biomolecules are of great importance since they represent the observable layer around the nanoparticles that the cell “sees” and interacts with, and thus influence the toxicity, cellular uptake, pharmacokinetics, and immunogenicity of these nanomaterials [6, 8].
Numerous studies have demonstrated that undesired removal of particles in organs that contain large numbers of macrophages such as the liver, spleen, and lung can be delayed by coating the particles with shielding molecules such as poly (ethylene glycol), but such strategies appear to impact negatively on the targeting specificity [10].
The majority of nanotoxicity studies have focused on health effects of exposure to ultrafine particles by inhalation, contact through the skin, or ingestion [4]. As nanomaterials expand as therapeutics and as diagnostic tools, parenteral administration of engineered nano-materials should also be recognized as a critical aspect for toxicity consideration [4, 6].
Therefore, this study aims to evaluate the systemic toxicity of pegylated gold nanorods (PEG-Gold NRs) administered to rats parenterally via intravenous (IV), intramuscular (IM) and subcutaneous (SC) injection.
MATERIALS AND METHODS
Materials
Chemicals, Diagnostic kits, and equipment
Cetyltrimethyl ammonium bromide (CTAB) and Sodium borohydride (99%) were purchased from Merck chemicals (Germany) and LOBA Chemie (India), respectively .
Silver nitrate and L-ascorbic acid were purchased from Sigma-Aldrich, Germany. All the reagents were an analytical grade and used without further purification. Deionized water (18 MΩ) was used in all experiments .
Determination of serum alanine aminotransferase (ALT) and aspartate aminotransferase (AST) according to Reitman and Frankel[11], total bilirubin according to Malloy and Evelyn[12], Gama-glutamyl transferase (Gamma-GT) according to Szasz [13], alkaline phosphatase (ALP) according to Belfield and Goldberg[14]. Serum Albumin according to Bartholomew and Delaney [15] and protein according to Gornall et al. [16]. Calcium was done according to Gindler and King [17], phosphorus according to El-Merzabani et al.[18] and sodium according to Trinder [19]. Cholesterol according to Allan and Dawson[20] and triglycerides according to Fossati and Prencipe[21], and Trinder [22]. Urea and Creatinine according to Wills and Savory[23] and Kroll et al. [24], respectively. Glucose according to Trinder[22]. All commercial kits were obtained from Biodiagnostic Co., Egypt.
Mindray's® automatic hematology analyzer was used for estimation of hematological parameters (complete blood picture).
Urine analysis was carried out using urinalysis reagent strips (TECO Diagnostics, USA).
Methods
Synthesis and pegylation of gold nanorods
The nanorods were synthesized according to the seed-mediated growth method [25] as follow:-
Seed solution
CTAB solution (5 ml, 0.20 M) was mixed with HAuCl4 (5 ml, 0.0005 M) under vigorous stirring. Next, 0.6 ml of ice-cold 0.01 M NaBH4 was added to the solution. The solution turned brownish yellow immediately after adding NaBH4, indicating particle formation. The particles in this solution were used as seeds. Vigorous stirring of the seed solution was continued for 2 min. After the solution was stirred, it was kept at 25 °C.
Growth of NRs with plasmon bands less than 850n
In a clean test tube, 10 ml of gentle mixing growth solution, containing (5 ml, 0.20 M) of CTAB and (5 ml, 0.001M) of HauCl4, was mixed with 0.35 ml of 0.004 M AgNO3 solution at 25 °C. To this solution, 5 ml of 1M HCl was added, and after gentle mixing of the solution 70 µl of 0.0788 M ascorbic acid was added. Ascorbic acid as a mild reducing agent changes the growth solution from dark yellow to colorless. It is worth noting that the growth solutions above are identical except for their silver ion content. The final step was the addition of 12 µl of the seed solution to the growth solution at 27-30 °C. The color of the solution gradually changed within 10-20 min. For longer NRs, the color change takes place more slowly. The temperature of the growth medium was kept constant at 27-30 °C in all the experiments. This pathway produces pure NR solutions with aspect ratios (4.6) and a longitudinal plasmon absorption maximum at 800 nm .
Gold nanorods solutions were centrifuged twice at 14,000 rpm for 15 min and redispersed in deionized water to remove excess CTAB molecules. mPEG-SH (MW5000) was added to the 1~ nM colloidal nanorod solution at a final concentration of 10 mM. Rods were stirred overnight and centrifuged at 14000 rpm for 15 min and redispersed in deionized water to remove non-specifically bound PEG molecules. The pegylated gold nanorods were again centrifuged at 14,000 rpm for 15 min, sterile filtered and re-dispersed in 10 mM phosphate-buffered saline (PBS, Mediatech) to the desired optical density at 800 nm. Extinction spectra of the pegylated nanorod saline suspensions showed no peak shift, broadening, or reduction over a 1-week period prior to injection [26].
Animals
The experiment began with Adult albino rats, Wister strain, six-week-old weighing ~150-180 g, of both sex were used throughout the study. They were obtained from the Animal House Colony of the National Research Center (Dokki, Giza, Egypt) and were housed under conventional laboratory conditions throughout the period of experiments. Animal procedures were performed in accordance with the Ethics Committee of the National Research Centre and followed the recommendations of the National Institutes of Health Guide for Care and Use of Laboratory Animals [27].
Experimental
Instrumentation
Absorption spectra of the prepared solutions of Nanorods (NRs) were measured in the range of 1000-200 nm using Jasco 570 ultraviolet-visible (UV-VIS)-NIR spectrophotometer.
The morphology of gold NRs was studied by Transmission Electron Microscope (JEOL-JEM 2010) operated at 200 kV accelerating voltage. The preparation of TEM grid, the transmission electron microscope (TEM) image was taken after separating the surfactant from the metal particles by centrifugation. Typically 1 ml of the sample was centrifuged for 10 min at a speed of 14000 rpm. The upper part of the colorless solution was removed and the solid portion was redispersed in 1 ml of water; 2 µl of this redispersed particle suspension was placed on a carbon-coated copper grid and dried at room temperature.
Experimental design
Acute toxicity study of gold nanorods in normal rats
determined according to guidelines of Food and Drug Administration (FDA) and Environmental Protection Agency (EPA) [28].
Animals were acclimated for 5 d prior to test and fasting overnight prior to dosing. Rats were divided into 4 main groups. In each group, there were 2 subgroups of 6 males and 6 females that were treated as follows, rats of the control group were injected once with saline. The other three groups of rats were injected with a single dose of 0.9 mg/kg. PEG-Gold NRs by intravenous (IV), intramuscular (IM) and subcutaneous (SC) routes.
Observation of rats for 14 d, for any changes in the skin and fur, respiratory, circulatory, autonomic, and central nervous systems, and in somatomotor activity and behavior pattern. Particular observation for tremors, convulsions, salivation, diarrhea, lethargy, sleep and coma were done.
Blood was collected from the retro-orbital venous plexus of anesthetized rats after 14 d for hematology and blood chemistry analysis. Mindray's® automatic hematology analyzer was used for estimation of hematological parameters (complete blood picture).After that rats were sacrificed by cervical dislocation. Gross necropsy for the heart, liver, spleen and kidneys and wet organ weight was recorded immediately after section to avoid drying, and relative organs weight (ROW) was calculated according to Chavalittumrong et al. [29].
Histopathological examination for all target tissues (liver, kidneys, and spleen) of the control and treated groups was performed. Organ tissues were fixed in 10% formalin and processed for paraffin sections of 4 um thick. Then stained by hematoxylin and eosin (H & E).
Subchronic and chronic toxicity studies of gold nanorods in normal rats
Experimental procedures were performed in accordance with the recommendations of the proper care and use of laboratory animals and in accordance with the extensive protocol developed by the Laboratory of Toxicology of the National Cancer Institute (NCI). This protocol was offered as a model for preclinical evaluation of anticancer agents and was accepted by The Food and Drug Administration [30].
PEG-gold NRs was injected at three dose levels of 0.225, 0.45, 0.9 mg/kg which equal to (75, 150 and 300 ppm) respectively through IV, IM and SC routes. Injection for 5 consecutive days followed by 23 d recovery period and this treatment regimen was repeated for a total of three {for subchronic toxicity study} and six cycles{for sub-chronic toxicity study} [31].
Males and females rats̍ were acclimated for at least 5 d prior to test. Then rats were divided into 12 main groups of 20 rats each for each study {subchronic "3 mo" or chronic study "6 mo"} as follows: -three control groups of rats were injected with saline by IV, IM, and SC. Nine groups of rats were injected with PEG-gold NRs 0.225, 0.45 and 0.9 mg/kg by IV, IM and SC. Each animal group was comprised of 2 subgroups of 10 male and 10 female rats.
Daily rats' observation for occurrence of morbidity and mortality and for any change appears in the skin and fur, respiratory rats, central nervous system disturbance as { tremors, convulsions, lethargy, sleep disturbance, coma} and behavioral. Blood was collected from the retro-orbital venous plexus of an anesthetized animal, at 1 interim point and at the end of each experiment for hematology and blood chemistry analysis.
Twenty-four hours urine samples were collected from rats and were directly visualized for any abnormal color, odor and turbidity. Urinalysis reagent strips were used for determination of urine pH, specific gravity and for detection of blood, bilirubin, urobilinogen, ketone, glucose, protein, nitrite and leukocytes.
Rats were sacrificed at the end of the experiment. Gross necropsy and weighing of the heart, spleen, liver, kidneys, brain, testes, epididymis, prostate, ovaries and uterus were done immediately post mortem to avoid drying, then were placed in formalin 10%. Histopathological examination for target tissues {liver, kidneys, and spleen} was performed.
Statistical analysis
Data obtained from the present study were analyzed using one-way ANOVA followed by Dunnett's multiple comparison test using SPSS statistics 17.0, Chicago, USA. The results were expressed as mean±SEM.
RESULTS
Transmission electron microscopy (TEM) data
Transmission electron microscope (TEM) image of NRs prepared are shown in fig. (1).
![]() |
![]() |
Fig.1:TEM image of gold NRs with plasmon band energies at 800 nm
From this image, it is clear that a uniform shape of NRs with regular distribution were formed. The aspect ratio of a shape is defined as the length of the major axis divided by the width of the minor axis [32]. The length of rods (60±5 nm) and aspect ratio is (4.6). The 4.6 aspect ratio rods were too close in size to the spheres to allow for sufficient separation. The formation mechanism of NRs depend on the template; we have observed that using concentrated CTAB solution enhances the rod yield. Concentrated CTAB has a tendency to form elongated rod-like micellar structures that possibly assist in rod formation, as well as stabilizing the rods. This template was used earlier for the electrochemical synthesis of gold nanorods, and the aspect ratio was controlled by introducing Ag+ions or a more hydrophobic co-surfactant (compared to CTAB). The enhanced growth rate in the presence of seed (possibly diffusional growth) and the rod-like micellar template contribute to the rod formation [33].
UV-Visible spectra for gold NRs
The optical properties of metallic nanoparticles depend on shape. This is due to the absorption of visible light both along the length of the nanorod {the longitudinal plasmon band}and along the width of the nanorod (the transverse plasmon band) [3]. The ultraviolet-visible (UV–VIS) spectra of the NRs colloids are shown in fig. (2).
In this figure, it was found that, the surface plasmon absorption of gold nanorods have two bands, a strong long-wavelength band (800 nm) due to the longitudinal oscillation of electrons and a weak short-wavelength band around 514 nm due to the transverse electronic oscillation[33, 34].
Acute toxicity
Rats injected with pegylated gold nanorods (PEG-Gold NRs) in dose (0.9 mg/kg)via intravenous and intramuscular routes showed mild symptoms of toxicity. While that injected with gold NRs subcutaneously showed no signs of toxicity throughout the whole duration of 2 w.
Fig.2: UV-Visible-NIR absorption spectra of the gold NRs prepared using single surfactant mixtures
Weight loss, hair loss, and slight aggression were the signs of toxicity detected within groups. The onset of toxicity was faster in males compared to counterpart female groups.
Serum triglycerides and cholesterol levels were significantly decreased in both male and female rats after single intravenous, intramuscular and subcutaneous injection of gold nanorods, compared to control rats. While, creatinine level was significantly increased in rat groups receiving gold nanorods via intravenous or intramuscular routes in both sex (table 1). No significant organomegaly or gross pathological findings were detected after single intravenous, intramuscular and subcutaneous injection of gold nanorods, except for slight increase in liver weight in rats subcutaneously injected gold nanorods in both sexes (table Ι in supplementary data).
Table 1: Acute toxicity effect of single intravenous, intramuscular and subcutaneous injection of PEG-Gold NRs (0.9 mg/kg); on some serum biochemical parameters in rats of both sex (n=6)
Control |
IV |
IM |
SC |
|||||
Male |
Female |
Male |
Female |
Male |
Female |
Male |
Female |
|
ALT (U/ml) |
56.9±1.17 |
61.1±3.69 |
59.2±1.59 |
56.4±0.53 |
58.6±1.07 |
57.8±0.62 |
54.9±0.80 |
58.9±2.46 |
AST (U/ml) |
85.1±1.81 |
94.6±6.45 |
88.7±1.05 |
87.9±0.81 |
90.1±3.63 |
91.6±0.78 |
85.6±0.75 |
92.1±3.81 |
Gamma-GT (U/l) |
1246.7±68.50 |
1379.3±54.59 |
1368.8±33.75 |
1260.5±28.39 |
1326.0±42.30 |
1485.3±59.71 |
1164.7±31.30 |
1276.6±81.99 |
Triglycerides (mg/dl) |
71.5±7.24 |
80.7±5.62 |
45.6±4.26 * |
40.5±1.09 * |
51.5±3.46 * |
61.0±2.85 * |
48.4±3.64 * |
41.5±2.38 * |
Albumin (g/dl) |
28.4±1.23 |
30.9±1.32 |
28.4±1.41 |
29.1±0.53 |
33.3±3.65 |
36.0±2.50 |
28.9±1.62 |
30.2±0.45 |
Cholesterol (mg/dl) |
169.5±9.80 |
167.9±5.47 |
132.0±8.79 * |
129.0±5.83* |
114.2±2.93 * |
122.1±8.15 * |
127.5±4.77 * |
121.4±9.83 * |
Glucose (mg/dl) |
63.8±2.65 |
70.5±1.97 |
74.1±6.66 |
64.5±2.61 |
69.1±1.87 |
76.4±3.21 |
73.2±4.52 |
76.5±2.42 |
Creatinine (mg/dl) |
1.5±0.09 |
1.4±0.16 |
3.0±0.18 * |
3.2±0.24 * |
3.1±0.44 * |
3.5±0.34 * |
1.9±0.19 |
2.1±0.27 |
Values represent the mean±SE of six rats for each group, *P<0.05: Statistically significant from control (Dunnett's test). Subchronic Study (three months duration).
Table 2: Subchronic effect of intravenous injection of PEG-Gold NRs (3 mo of dosing cycles) on some serum biochemical parameters in rats of both sex (n=10)
0.9 mg/kg |
0.45 mg/kg |
0.225 mg/kg |
Control |
|||||
Female |
Male |
Female |
Male |
Female |
Male |
Female |
Male |
|
59.4±1.21 |
60.2±1.33 |
56.2±1.71 |
60.7±2.87 |
57.6±1.44 |
57.4±1.36 |
57.8±1.31 |
58.3±0.67 |
ALT (U/ml) |
91.9±1.91 |
91.0±2.16 |
86.4±1.98 |
88.9±2.57 |
86.9±1.35 |
87.1±1.42 |
87.8±1.79 |
86.8±0.84 |
AST (U/ml) |
1397.8±72.55 |
1486.7±72.17 |
1307.1±77.07 |
1417.2±64.54 |
1259.5±76.12 |
1205.6±37.55 |
1267.5±68.64 |
1248.5±85.99 |
Gamma-GT (U/l) |
68.4±2.35 |
67.4±3.39 |
55.2±3.06 * |
58.0±2.94 * |
60.8±2.05 * |
54.5±2.98 * |
72.0±2.80 |
73.0±3.53 |
Triglycerides (mg/dl) |
28.4±0.65 |
28.5±0.69 |
29.7±1.14 |
28.5±1.59 |
29.0±1.19 |
27.1±1.23 |
29.5±0.69 |
26.6±0.83 |
Albumin (g/dl) |
170.6±9.67 |
163.1±3.95 |
177.0±7.52 |
171.0±10.91 |
171.5±4.52 |
163.4±3.12 |
175.6±12.73 |
162.5±5.77 |
Cholesterol (mg/dl) |
66.2±1.30 |
69.7±3.47 |
65.4±1.39 |
65.1±2.54 |
66.2±1.47 |
64.3±2.39 |
70.6±1.88 |
67.7±2.92 |
Glucose (mg/dl) |
1.4±0.20 |
1.8±0.22 |
1.1±0.22 |
1.5±0.14 |
1.0±0.14 |
1.0±0.18 |
1.3±0.14 |
1.1±0.36 |
Creatinine (mg/dl) |
Values represent the mean±SE of ten rats for each group, * P<0.05: Statistically significant from control (Dunnett's test)
Table 3: Subchronic effect of intramuscular injection of PEG-Gold NRs (3 mo of dosing cycles) on some serum biochemical parameters in rats of both sex (n=10)
0.9 mg/kg |
0.45 mg/kg |
0.225 mg/kg |
Control |
|||||
Female |
Male |
Female |
Male |
Female |
Male |
Female |
Male |
|
57.0±0.43 |
56.5±0.85 |
54.4±0.47 |
55.9±0.58 |
55.1±0.71 |
55.0±0.39 |
55.3±0.87 |
55.0±1.04 |
ALT (U/ml) |
83.3±1.10 |
85.0±2.10 |
81.3±0.70 |
82.8±0.58 |
81.6±1.89 |
84.1±1.75 |
83.9±1.39 |
82.1±1.45 |
AST (U/ml) |
1359.6±57.01 |
1335.8±69.93 |
1255.2±30.26 |
1250.9±32.69 |
1189.2±23.89 |
1168.1±28.91 |
1290.5±52.1 |
1302.0±34.39 |
Gamma-GT (U/l) |
67.1±2.65 * |
74.9±3.44 |
62.2±3.53 * |
69.0±3.10 |
63.4±1.85 * |
71.5±3.94 |
82.5±2.90 |
80.4±4.63 |
Triglycerides (mg/dl) |
32.0±1.44 |
27.8±1.11 |
28.5±0.54 |
28.9±0.66 |
29.6±1.12 |
30.2±0.99 |
31.0±1.15 |
28.4±2.20 |
Albumin (g/dl) |
160.7±10.21 |
161.6±3.22 |
172.3±8.60 |
171.5±2.26 |
178.5±7.78 |
176.6±1.75 |
165.2±7.27 |
160.5±7.78 |
Cholesterol (mg/dl) |
62.2±3.75 |
67.1±3.74 |
64.7±3.62 |
69.9±2.48 |
71.1±1.79 |
71.9±1.64 |
69.9±3.95 |
63.7±4.58 |
Glucose (mg/dl) |
1.4±0.17 |
0.9±0.25 |
0.9±0.16 |
1.1±0.21 |
0.8±0.18 |
1.2±0.14 |
1.4±0.24 |
0.8±0.17 |
Creatinine (mg/dl) |
Values represent the mean±SE of ten rats for each group, * P<0.05: Statistically significant from control (Dunnett's test)
Significant decrease of serum triglycerides level was recorded in both male and female rats after repeated IV injection of PEG-gold NRs for 3 mo, in doses of 0.225 and 0.45 mg/kg compared to control rats (table 2). On the other hand, repeated IM injection of PEG-gold NRs, in doses of 0.225, 0.45, 0.9 mg/kg respectively, significantly lowered serum triglycerides in female rats (table 3).
While SC injection of PEG-gold NRs resulted in significant decrease in serum triglycerides level in both male and female rats after repeated injection in all examined dose levels (table 4).
Chronic toxicity study (six months duration)
Intravenous injection of PEG-gold NRs for 6 mo resulted in significant decrease in serum triglycerides level in rats of both sex, in the three examined dose levels. On the other hand, serum creatinine level was significantly increased after IV injection of PEG-gold NRs in rats of both sex (0.225, 0.45 and 0.9 mg/kg). While, hyponatremia (decrease in serum sodium level) was observed in female rats IV-injected with PEG-gold NRs in doses of 0.45 and 0.9 mg/kg, compared to control rats (table ΙΙ in supplementary data).
Serum alkaline phosphatase (ALP) was decreased significantly after repeated IM injection of PEG-gold NRs with (0.45 and 0.9 mg/kg) in rats of both sexes. Moreover, significant decrease in serum triglycerides and cholesterol levels was recorded in rats of both sex after IM injection with (0.225, 0.45 and 0.9 mg/kg) compared to control group rats. Creatinine was significantly lowered in rats after IM injection of PEG-gold NRs (0.225, 0.45and 0.9 mg/kg). Serum sodium was significantly decreased in female rats injected IM with PEG-gold NRs (0.45 and 0.9 mg/kg) and significantly decreased in male rats at a dose of 0.225 mg/kg (table ΙΙΙ in supplementary data).
Table 4: Subchronic effect of subcutaneous injection of PEG-Gold NRs (3 mo of dosing cycles) on some serum biochemical parameters in rats of both sex (n=10)
0.9 mg/kg |
0.45 mg/kg |
0.225 mg/kg |
Control |
|||||
Female |
Male |
Female |
Male |
Female |
Male |
Female |
Male |
|
59.4±0.86 |
60.4±1.33 |
59.6±0.24 |
61.6±2.15 |
60.4±2.35 |
57.5±0.67 |
62.6±2.50 |
58.3±0.72 |
ALT (U/ml) |
95.5±2.24 |
91.4±1.23 |
91.3±2.60 |
87.3±2.50 |
93.5±2.63 |
88.1±1.43 |
98.7±2.81 |
89.6±2.68 |
AST (U/ml) |
1350.5±28.61 |
1459.5±60.95 |
1395.7±12.04 |
1426.3±56.45 |
1363.9±45.14 |
1441.8±57.51 |
1457.4±34.08 |
1491.8±41.48 |
Gamma-GT (U/l) |
66.3±2.07 * |
52.6±3.72 * |
64.9±3.16 * |
49.9±3.79 * |
62.5±4.59 * |
53.2±1.68 * |
79.4±3.23 |
73.4±2.22 |
Triglycerides (mg/dl) |
35.8±1.22 |
33.9±1.02 |
35.3±1.12 |
33.4±1.01 |
34.6±0.49 |
34.3±0.62 |
35.3±1.00 |
31.2±0.43 |
Albumin (g/dl) |
137.8±7.62 |
146.9±4.82 |
169.0±9.97 |
159.4±4.79 |
170.9±11.63 |
166.5±9.02 |
167.4±7.56 |
170.5±10.17 |
Cholesterol (mg/dl) |
57.9±1.35 |
57.2±1.11 |
67.2±1.91 |
56.7±0.98 |
65.2±3.63 |
59.0±2.99 |
63.8±4.46 |
62.7±2.64 |
Glucose (mg/dl) |
0.7±0.10 |
1.6±0.21 |
0.7±0.11 |
1.3±0.19 |
1.3±0.10 |
1.6±0.11 |
1.2±0.24 |
1.0±0.13 |
Creatinine (mg/dl) |
Values represent the mean±SE of ten rats for each group, * P<0.05: Statistically significant from control (Dunnett's test
Moreover, a significant decrease in serum triglycerides level was recorded in rats of both sex after repeated SC injection of PEG-gold NRs for 6 mo with (0.225, 0.45 and 0.9 mg/kg) compared to control rats (table ΙV supplementary data). Additionally, hypoglycemia in male and female rats injected SC with PEG-gold NRs for 6 mo, at the three examined dose levels. Creatinine was significantly increased in both male and female rats after SC injection of PEG-gold NRs for 6 mo, in doses of 0.225 and 0.45 mg/kg, while at dose of 0.9 mg/kg, creatinine was significantly decreased. Moreover, slight decrease in serum calcium was detected in rats after SC injection of PEG-gold NRs in dose of 0.225 mg/kg in male and female rats, and at dose of 0.45 mg/kg in male rats only. Serum sodium was significantly decreased in male and female rats after SC injection of PEG-gold NRs (0.9 mg/kg), and in female rats at a dose of 0.45 mg/kg. Serum phosphorus was significantly decreased in male rats injected SC with PEG-gold NRs, at the three examined dose levels.
In addition to the obtained findings of biochemical analysis in rats’ sera; no detectable abnormal findings following visual observation of urine samples and after urine analysis using urinalysis strips in all rats of both sex, after repeated IV, IM and SC injection of PEG-gold NRs for 6 mo. Calculated red blood cells indices showed significant increase in mean corpuscular volume (MCV) and mean corpuscular hemoglobin (MCH), following IV injection of PEG-gold NRs for 6 mo in female rats in a dose of 0.45 mg/kg. A significant decrease in mean corpuscular hemoglobin concentration (MCHC) was found in male rats injected IV with PEG-gold NRs in a dose of 0.9 mg/kg (table 5).
While intramuscular injection of PEG-gold NRs resulted in significant increase in MCV in the female rat in a dose of 0.45 mg/kg, and in male rats in a dose of 0.9 mg/kg. MCH was significantly increased in female rats following IM injection of PEG-gold NRs in a dose 0.45 mg/kg (table 6).
Table 5: Chronic effect of intravenous injection of PEG-Gold NRs (6 mo of dosing cycles) on some hematological parameters in rats of both sex (n=10)
0.9 mg/kg |
0.45 mg/kg |
0.225 mg/kg |
Control |
|||||
Female |
Male |
Female |
Male |
Female |
Male |
Female |
Male |
|
8.2±0.46 |
9.4±0.46 |
7.6±0.14 |
8.4±0.62 |
8.7±0.58 |
8.2±0.59 |
7.7±0.19 |
8.0±0.20 |
RBC×10[12]/l |
136.4±4.89 |
139.6±4.20 |
130.4±2.20 |
130.3±9.72 |
139.6±10.17 |
127.7±6.58 |
122.5±3.04 |
119.6±2.58 |
HGB (g/l) |
45.6±1.59 |
47.4±1.63 |
43.5±0.82 |
44.8±3.22 |
46.9±3.80 |
43.3±2.20 |
40.6±0.95 |
39.8±0.91 |
HCT (%) |
53.5±0.93 |
53.6±0.75 |
57.0±1.47 * |
53.5±1.07 |
54.0±1.21 |
53.5±1.50 |
52.7±0.27 |
50.0±0.35 |
MCV (fL) |
15.9±0.25 |
15.7±0.22 |
17.0±0.40 * |
15.5±0.24 |
16.0±0.33 |
15.7±0.45 |
15.8±0.02 |
15.0±0.15 |
MCH (pg) |
298.6±2.23 |
293.0±1.10 * |
299.4±0.93 |
290.6±3.37 * |
297.8±2.42 |
294.2±0.66 |
301.3±1.16 |
300.2±1.07 |
MCHC (g/l) |
Values represent the mean±SE of ten rats for each group, * P<0.05: Statistically significant from control (Dunnett's test)
Table 6: Chronic effect of intramuscular injection of PEG-Gold NRs (6 mo of dosing cycles) on some hematological parameters in rats of both sex (n=10)
0.9 mg/kg |
0.45 mg/kg |
0.225 mg/kg |
Control |
|||||
Female |
Male |
Female |
Male |
Female |
Male |
Female |
Male |
|
7.5±0.10 |
7.9±0.17 |
7.1±0.04 |
7.5±0.29 |
7.3±0.16 |
7.5±0.15 |
7.0±0.42 |
8.1±0.16 |
RBC×10[12]/l |
119.6±1.25 |
129.4±3.47 |
124.6±1.08 |
121.2±4.33 |
115.6±3.79 |
119.3±3.55 |
115.8±5.63 |
123.6±2.50 |
HGB (g/l) |
40.8±0.58 |
44.1±1.12 |
42.1±0.43 |
41.3±1.48 |
39.4±0.84 |
40.4±1.12 |
38.7±1.85 |
41.7±0.79 |
HCT (%) |
54.4±0.67 |
55.9±1.12 * |
59.3±0.56 * |
55.5±1.59 |
54.8±0.88 |
53.8±0.52 |
55.2±1.35 |
51.6±0.64 |
MCV (fL) |
15.9±0.23 |
16.3±0.37 |
17.5±0.10 * |
16.2±0.43 |
16.3±0.25 |
15.8±0.21 |
16.4±0.30 |
15.3±0.22 |
MCH (pg) |
293.0±1.90 |
293.0±0.63 |
295.8±1.53 |
293.2±2.24 |
298.5±1.47 |
294.4±0.76 |
299.2±2.18 |
296.0±1.18 |
MCHC (g/l) |
Values represent the mean±SE of ten rats for each group, * P<0.05: Statistically significant from control (Dunnett's test)
Significant decrease in red blood cell count (RBC) was found after SC injection of PEG-gold NRs for 6 mo in male rat in a dose of 0.45 mg/kg and in male and female rats in a dose of 0.9 mg/kg. While hematocrit (HCT) values were significantly increased in female rats injected SC with PEG-gold NRs at doses 0.225 and 0.45 mg/kg (table 7).
Repeated IV or IM injection of PEG-gold NRs in a dose of 0.9 mg/kg resulted in significant decrease of total leucocytes count (TLC) in male rats. Subcutaneous injection of PEG-gold NRs resulted in significant decrease of total leucocytes count (TLC) in male rats at the three examined dose levels (table 8).
Platelets count was significantly decreased in male rats injected IV with PEG-gold NRs (0.45 and 0.9 mg/kg), in male rats injected SC with PEG-gold NRs in a dose of 0.9 mg/kg (table 9).
As regard relative organs weight (ROW) there was significant increase in liver weight in female rats was detected after repeated IV injection of PEG-gold NRs with (0.45 and 0.9 mg/kg) (table V in supplementary data). Relative spleen weight was significantly decreased in male rats after IM injection of PEG-gold NRs in a dose of 0.225 mg/kg and in female rats in a dose of 0.45 mg/kg. Moreover, a significant decrease in relative epididymis weight after repeated IM injection of PEG-gold NRs at the three examined dose levels (table VΙ in supplementary data).
Relative epididymis weight was significant decreased after repeated SC injection of PEG-gold NRs in doses of 0.225 and 0.45 mg/kg. While the relative uterine weight was significantly increased in a dose of 0.9 mg/kg (table VΙΙ in supplementary data).
A significant decrease was recorded in weight gain of both male and female rats after IV injection of PEG-gold NRs for 6 mo in doses of 0.225 and 0.9 mg/kg. While IM injection with 0.225 and 0.9 mg/kg resulted in significant decrease weight gain in female rats. While repeated SC injection with 0.225 and 0.9 mg/kg resulted significant decrease weight gain of both male and female rats, and in female rats at dose of 0.45 mg/kg (table VΙΙΙ in supplementary data).Table 7: Chronic effect of subcutaneous injection of PEG-Gold NRs (6 mo of dosing cycles) on some hematological parameters in rats of both sex (n=10)
0.9 mg/kg |
0.45 mg/kg |
0.225 mg/kg |
Control |
|||||
Female |
Male |
Female |
Male |
Female |
Male |
Female |
Male |
|
7.0±0.22 * |
7.3±0.09 * |
7.7±0.12 |
7.6±0.17 * |
7.6±0.19 |
8.5±0.10 |
7.3±0.08 |
8.1±0.19 |
RBC×10[12]/l |
116.2±1.36 |
121.2±2.18 |
130.8±2.06 |
120.2±3.01 |
129.4±1.72 |
136.2±3.93 |
124.0±2.24 |
126.6±2.66 |
HGB (g/l) |
39.7±0.66 |
40.6±0.67 |
43.3±0.60 * |
42.7±2.12 |
43.0±0.44 * |
45.4±1.30 |
39.4±0.33 |
42.6±0.96 |
HCT (%) |
59.0±1.54 |
55.6±0.65 |
56.4±0.91 |
54.8±1.36 |
56.9±1.32 |
53.4±1.09 |
56.2±1.05 |
52.4±0.39 |
MCV (fL) |
17.2±0.39 |
16.6±0.22 |
16.9±0.37 |
15.9±0.39 |
17.0±0.27 |
16.0±0.38 |
16.6±0.34 |
15.5±0.09 |
MCH (pg) |
292.6±1.72 |
298.2±3.84 |
299.6±1.86 |
290.7±0.37 |
300.6±2.25 |
299.8±2.85 |
296.8±0.37 |
297.0±1.58 |
MCHC (g/l) |
Values represent the mean±SE of ten rats for each group, * P<0.05: Statistically significant from control (Dunnett's test)Table 8: Chronic effect of intravenous, intramuscular and subcutaneous injection of PEG-Gold NRs (6 mo of dosing cycles) on total leucocytes count in rats of both sex (n=10)
Table 8: Chronic effect of intravenous, intramuscular and subcutaneous injection of PEG-Gold NRs (6 months of dosing cycles) on total leucocytes count in rats of both sex (n=10)
Total leucocytes count (109/ml) |
||||||
IV |
IM |
SC |
||||
Male |
Female |
Male |
Female |
Male |
Female |
|
Control |
14.4±1.12 |
8.8±0.26 |
12.1±0.61 |
8.2±0.60 |
14.0±0.28 |
9.8±0.85 |
0.225 mg/kg |
14.9±0.40 |
9.0±0.76 |
10.7±0.51 |
7.3±0.67 |
7.9±0.62* |
8.1±0.09* |
0.45 mg/kg |
11.8±0.56 |
10.0±0.48 |
10.8±1.03 |
9.0±0.23 |
11.7±0.39* |
7.7±0.61* |
0.9 mg/kg |
10.0±0.58 * |
8.1±0.42 |
8.2±0.38* |
10.0±1.03 |
8.7±0.63* |
7.6±0.43* |
Values represent the mean±SE of ten rats for each group, * P<0.05: Statistically significant from control (Dunnett's test)
Table 9: Chronic effect of intravenous, intramuscular and subcutaneous injection of PEG-Gold NRs (6 mo of dosing cycles) on platelets count in rats of both sex (n=10)
Platelets count (109/ml) |
||||||
IV |
IM |
SC |
||||
Male |
Female |
Male |
Female |
Male |
Female |
|
Control |
320.8±26.45 |
292.0±3.10 |
376.5±10.82 |
321.8±22.00 |
399.6±9.97 |
354.6±10.49 |
0.225 mg/kg |
271.4±17.41 |
269.6±21.59 |
380.4±19.90 |
326.3±5.62 |
422.8±10.01 |
364.2±29.66 |
0.45 mg/kg |
242.4±15.14 * |
280.0±14.24 |
320.6±24.17 |
371.8±21.53 |
427.4±8.08 |
371.0±17.48 |
0.9 mg/kg |
184.0±4.30 * |
255.6±20.86 |
412.6±13.81 |
296.8±24.79 |
364.4±8.37 * |
410.0±28.23 |
Values represent the mean±SE of ten rats for each group, * P<0.05: Statistically significant from control (Dunnett's test)
Histopathology
In the acute toxicity study
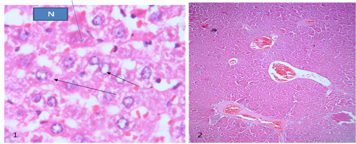
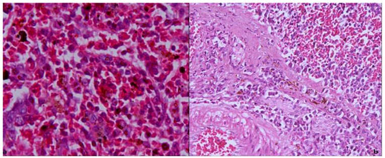
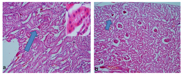
liver tissue of rats injected with single dose of PEG-gold NRs (0.9 mg/kg) showed mild histopathological changes observed in hepatocytes. Only dilated blood sinusoids with mononuclear cellular infiltration focal necrosis, apoptosis, intra-nuclear inclusions, congested blood vessels and few fibrosis around them were found. These changes were prominent in male rats than in female rats’ hepatocytes (fig. 3). Spleen tissue showed activation in phagocytes that was indicated by its swollen and the dark yellow pigments, tingible body macrophages with cytoplasmic engulfed apoptotic debris, congestion, heamolized blood and deposition of fibrous tissues were scattered through splenic parenchyma (fig. 5).
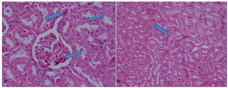
While kidneys showed focal histopathological alterations in the form of tubular dilatation, some tubules revealed epithelial cell lining with pyknotic nuclei and eosinophilic cytoplasm, cellular debris and tubular damage (sclerosis) with prominent interstitial congestion. The gomeruli showed shrinkage and focal necrosis in intramuscular treated male rats (fig. 4).
Fig.3:Photomicrographs of sections in male rat liver injected with single dose of PEG-gold NRs (0.9 mg/kg), (1) intravenously injected showing intranuclear inclusions (arrows) and cell necrosis (N). (2) intramuscularly injected showing portal tracts dilatation, congestion, edema, perivascular inflammation (Hx&E. X1000, 100)
Fig.4: Photomicrograph of kidney sections of rats injected with single dose of PEG-gold NRs (0.9 mg/kg), (a) female rats (subcutaneously injected) showing tubular lumen obliteration, some tubules showed sclerosis, interstitial hemorrhage and inflammatory cells. The epithelial cell lining of the deformed tubules are pyknotic. The inset some tubules showed epithelial cell lining with pyknotic nuclei and eosinophilic cytoplasm (b) male rats (intramuscularly injected) showing shrinkage and damaged glomeruli (arrow) (Hx&E. X200, 100)
Fig.5: Photomicrographs of spleen sections from rats injected with single dose of PEG-gold NRs (0.9 mg/kg), (a) male rats (intramuscularly injected) revealed white and red pulp with deposition of fibrous tissues, white pulp was pale stained due to the presence of macrophage and lymphocytes depletion. The inset shows free apoptotic cells and indicates tingible body macrophages with cytoplasmic engulfed apoptotic debris. (Hx. E. X100) (b) male rat (intravenously injected) showing different types of parenchyma. The red pulp shows expansion and shrinkage of white pulp. The inset shows the apoptotic cells (moth eaten appearance) (Hx&E. X200)
Fig.6: Photomicrographs of liver parenchyma from (a, b) male rats and (c) female rats (subcutaneously injected) with PEG-gold NRs for six months showing normal hepatocytes around the central vein and the portal tract with minimal congestion and inflammation in portal tracts (Hx&E. X200, 100)
In the chronic toxicity study
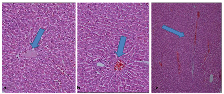
Microscopic examination of rat's liver injected IV or SC or IM with PEG-gold NRs for six months showed normal hepatocytes with minimal hemorrhage and inflammation around blood vessels. No significant difference between male and female in the hepatic architecture (fig. 6).
kidneys of rats injected IV or SC or IM with PEG-gold NRs showing mild focal histological changes in the form of focal cellular pyknosis in some tubular epithelial cells, coagulative necrosis and inter-tubular hemorrhage (fig. 7).
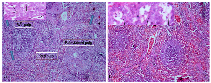
While spleen parenchyma of rats (male and female) injected IV or SC or IM with PEG-gold NRs showed remarkable changes in female rats injected I. V showing enlargement in the red pulp and shrinkage in the white pulp (fig. 8).
Female rats injected I. V with PEG-gold NRs, spleen showed increased in macrophages and phagocytosis indicated by hemosiderin pigments. While in male there was remarkable congestion in the artery of the follicle and swollen reticuloendothelial cells, fibrosis, vacuolation and apoptosis in white pulp cells, loosely packed red pulp accompanied by hemosiderin pigmentation. Intramuscular injection in female rats showed enlargement of the red pulp and destruction of white pulps. Increase in fibrous tissues deposition and wide areas of hemorrhage and brown pigment deposition. While in malesthe enlarged white pulps and focal hemorrhage in the red pulp. As regard, SC injection in female rats showed severe hemorrhage in the red pulps and loosely packed white pulp with accumulation of fibrous tissue and showing active phagocytosis represented by much dark yellow to brown pigments. While in male rats spleen tissue showed enlarged white pulp with increased fibrous tissues deposition. White pulps are pale stained due to the presence of macrophage and lymphocytes depletion (fig. 8).
Fig.7: Photomicrographs of kidney from (a) male rats and (b) female rats treated (intramuscularly injected) with PEG-gold NRs for six months showing few changes in Bowman capsules and tubular epithelial cells in the form of pyknosis (arrows), coagulative necrosis (arrow) inter-tubular hemorrhage (Hx&E. X400, 200)
Fig.8: Photomicrographs of spleen parenchyma from (intravenously injected) female rats with PEG-gold NRs for six months (a), showing the increased in macrophages and phagocytosis indicated by hemosiderin pigments. (b) male rats, showing congestion in the artery of the follicle and swollen reticuloendothelial cells, fibrosis, vacuolation and apoptosis in white pulp cells, loosely packed red pulp accompanied by hemosiderin pigmentation (Hx&E. X1000, 400)
DISCUSSION
Many studies have suggested that gold nanomaterials are bioinert and can be used safely. This thought may be due to the established safety of bulk gold materials, but as the size decreases into the nanoscopic dimensions, gold will behave very differently than in bulk. Some researches have found gold to be toxic in the body, where elemental gold can undergo oxidation or become soluble by cyanidation [4].
By definition, nanomaterials possess at least one dimension below 100 nm. Many unique properties of nanomaterials stem from their size, nanoparticle sizing is a critical aspect of pre-characterization . Additionally, because of intrinsic high dispersion and elevated surface energy, nanoparticle aggregation is thought to be common in complex experimental conditions such as biological media, although surprisingly few studies report much actual aggregation data. At the nanoscale, aggregation is extremely difficult to discern, especially in biological environment (e. g., serum-containing 50–70 mg/ml of protein) but could exert a pronounced effect upon nano-specific material properties interacting with cells and tissues [35].
The use of polyethylene glycol (PEG) may limit protein adsorption . However, tools with which to predict biological responses based on the surface properties of nanoparticles are needed. From a nano safety perspective, it is important to note that the binding of proteins to nanoparticle surfaces not only changes the “identity” and biological behavior of the nanoparticle, but the nanoparticle–protein interaction will also likely affect the protein due to a disruption of its conformational status, which may lead to loss or gain of function [36].
Coating of particles with polyethylene glycol results in a prolonged circulation time due to the avoidance of macrophage internalization of the particles, and this is important to consider when designing nanoparticles for targeted drug delivery [37].
Nanomaterial toxicity can occur through several different mechanisms in the body. The main molecular mechanism of nanotoxicity is the induction of oxidative stress by free radical formation, which in excess, cause damage to biological components through oxidation of lipids, proteins, and DNA. Free radicals can originate from several sources including phagocytic cell response to the foreign material, insufficient amounts of anti-oxidants, presence of transition metals, environmental factors, and, physicochemical properties of some nanomaterials. Other mechanisms of toxicity from nanomaterials should be considered since nanomaterials immediately interact with their surrounding environment. When introduced or absorbed into the systemic circulation, interaction with blood components can lead to hemolysis and thrombosis [4, 38].
Interestingly, slow clearance and tissue accumulation (storage) of potential free radical producing nanomaterials as well as prevalence of numerous phagocytic cells in the organs of the reticuloendothelial system (RES) makes organs such as the liver and spleen main targets of oxidative stress. Additionally, organs of high blood flow that are exposed to nanomaterials , such as the kidneys and lungs, can also be affected [4]. Normal serum creatinine level in rats is about 0.4-1.4 mg/dl [39]. In this respect, studies have shown that gold is heavily taken up by the kidneys, causing nephrotoxicity, since the gold nanoparticle can penetrate into the renal cell [4,40]. This could explain the increase in serum creatinine levels in rats injected with PEG-Gold NRs for 3 and 6 cycles of dosing in the current study. Conversely, serum creatinine will be lower in individuals who have undergone loss of muscle mass [41].
As regard the decrease in platelets count in rats injected with PEG-Gold NRs in present study could be attributed to platelet aggregation (clumping), which will decrease reported counts since clumps of platelets will not be counted with any automated hematology analyzers. Radomski et al.[42] investigated the platelet-aggregating effects of nanoparticles, both in vitro and in vivo. They cited that, nanoparticles resulted in aggregation of human platelets (in vitro and amplified the vascular thrombosis in rats (in vivo).
The white pulp of spleen, located around a central arteriole, is composed of the peri arteriolar lymphoid sheath (PALS, T-cell area), the adjacent follicles (B-cell area), and marginal zone (B-cell area). Decreased cellularity of the PALS region can occur after exposure to irradiation, viruses or drugs that can cause necrosis or apoptosis of the T cells. This could explain the obtained histopathological findings; red pulp enlarged and shrinkage of white pulp; and the decrease in TLC in rats’ whole blood, especially the decrease in the lymphocyte count, following injection of gold nanorods.
Accumulation of iron-positive pigment was found in the red pulp, or what is called hemosiderosis, was found in the histopathological examination of rats’ spleen following PEG-Gold NRs injection in the present study.The presence of hemosiderin pigment in the spleen is considered normal. It may arise from normal hemoglobin breakdown or to chemically-induced methemoglobinemia or autoimmune hemolytic anemia [43]. The decrease in ALP in some rat groups injected with PEG-Gold NRs, in the result of this study, could be interpreted by the fact of, the decreased food consumption and body weight routinely noted in toxicology studies results in decreased ALP in rats [44].
Owed to the role of the kidney in water and electrolyte homeostasis [ 41], the mild disturbance or imbalance of some electrolytes detected in rats’ sera following PEG-Gold NRs injection in our study could be attributed to the effect on kidney tissue which was histo-pathologically supported. Additionally, malnutrition accompanied by the decrease in appetite, since gold NRs were irritating during injection, resulted in a decrease in weight gain of rats and further imbalance in some serum electrolytes.
Surprisingly, decreased triglycerides levels (hypotriglyceridemia); was appeared in rats’ sera after either, single or repeated PEG-Gold NRs injection. In this respect, for the first time, Hellstrand et al. [45] detected lipids in the biomolecular corona surrounding nanoparticles and characterized the lipid binding in vitro. Moreover, they suggested that lipid and lipoprotein binding is a general feature of nanoparticles under physiological conditions, which makes the mechanism of the binding and the implications for nanoparticle fate and impacts in vivo important topics for future study.
CONCLUSION
Evaluation of acute, subchronic and chronic PEG-Gold NRs toxicities in rats after IV or IM or SC injection at 3 dose levels; did not reveal any serious side effects. But we recommend IV route of injection for further preclinical studies as IM and SC injection of PEG-Gold NRs was irritating to rats. For further clinical studies, we recommend the intravenous injection of gold nanorods in dose levels ranging from 2.5-10 mg/70 Kg man. Additionally, according to the results of acute, subchronic and chronic toxicity studies; it is important to assess the kidney functions, lipid profile, and complete blood picture, if PEG-Gold NRs will be injected continued for more than 3 mo.
ACKNOWLEDGMENT
Authors are grateful for the generous financial support of Misr El Kheir Foundation. Special thanks to Pharmacology department members at the National Research Centre-Egypt; whom without their help, this work wouldn’t be completed.
CONFLICT OF INTERESTS
Declared None
REFERENCES