
Department of Biotechnology, GITAM Institute of Science, GITAM University, Rushikonda, Visakhapatnam 530045, India
Email: maheshkumarmvs@gmail.com
Received: 01 Jun 2015 Revised and Accepted: 17 Jul 2015
ABSTRACT
Objective: To investigate the antioxidant, antimicrobial, antiproliferative activities and in silico drug likeness prediction of the MHH compound.
Methods: The antioxidant, antimicrobial and antiproliferative activities of the MHH compound have been evaluated by 1,1-Diphenyl-2-picryl hydrazyl (DPPH) and Ferric Reducing Antioxidant Power (FRAP) assays, agar well diffusion assay and 3-(4,5-dimethylthiazol-2-yl)-2,5-diphenyltetrazolium bromide (MTT) assay respectively. The cytotoxicity activity and in silico drug likeness prediction of the MHH compound have been studied.
Results: The DPPH radical scavenging activity and the total antioxidant power of the MHH compound were found to be 92.48%±2.06 and 10.698±0.23 mM Fe (II)/g respectively. The antimicrobial activity of MHH compound against Escherichia coli, Klebsiella pneumonia, Proteus vulgaris, Salmonella typhi, Staphylococcus aureus and Streptomyces griseus, Candida albicans, Aspargillus flavus andthe zones of inhibition were found to be 16.83 mm, 19.83 mm, 15.23 mm, 16.79 mm, 13.57 mm, 19.65 mm, 18.66 mm and 14.79 mm respectively. The IC50 values of the MHH compound for HeLa and HCT-15 cell lines were found to be 371.92 μg/ml and 112.06 μg/ml respectively. The LC50 value of MHH compound was 218.765µg/ml and 152.78µg/ml which is considered as moderately cytotoxic and toxic respectively when incubated at 24 h and 48 h. The drug likeness and bioactivity scores of the MHH compound were found to be within the range and followed Lipinski’s rule.
Conclusion: This study concludes that the MHH compound has significant biological activities and can be used as the therapeutic agent.
Keywords: Millingtonia hortensis, MHH compound, Flavonoid, Antioxidant, Antimicrobial, Antiproliferative, Drug likeness.
INTRODUCTION
The biological activities of flavonoids and their derivatives depend upon the total number of hydroxyl groups, substitution of functional groups configuration and the degree of polymerization [1, 2]. Studies have reported the protective activities of flavonoid compounds against infectious diseases caused by bacteria, fungi and virus [3, 4]. Flavanoids also exhibit protective activities against degenerative diseases such as cancer, cardiovascular and other age related diseases [5, 6]. Many flavonoid compounds are reported to have antioxidant activities by scavenging free radicals or by chelating metal ions [7, 8].
Reported that the isolated compounds kaempferol-3-O-(6β-O-galloyl-β-D-glucopyranoside), kaempferol-3-O-β-D-glucopyranoside, quercetin-3-O-β-D-glucopyranoside, and quercetin-3-O-(6β-O-galloyl-β–D-gluco pyranoside) showed significant DPPH radical scavenging assay than ethanolic crude extract [9]. 4,4'-dihydroxy-2'-meth-oxy-3'-prenyl is active towards Staphylococcus aureus [10], 5,7-dihydroxy-3,8-dimethoxy flavone against Staphylococcus epidermis [11] and 5,7,2',6'-tetrahydroxy-6-prenyl-8-lavandulyl-4'-methoxy-flavanone inhibits the complete growth of Staphylococcus aureus [12].
A flavone 7-(2''-sulphato glucoside (luteolin), an antifungal compound of marine angiosperm Thalassia testudinum [13]. Twelve cytotoxic flavonoids: two biflavans, three flavones and seven flavans which were cytotoxic isolated from Muntingia calabura roots were reported [14]. Three cytotoxic benzyl dihydro flavonols: 8-p-hydroxy benzyl taxifolin, 6,8-di-p-hydroxy benzyl taxifolin and 6-p-hydroxy benzyl taxifolin were isolated from Cudrania tricuspidata bark which was cytotoxic towards tumor cell lines like MOLT-4F, LOX-IMVI CRL 1579, UO-3 and KM12 [15]. The flavones 4',7''-di-O-methyl amen to flavone and 7''-O-methyl robusta flavone were cytotoxic against colon, lung, breast and prostate cancer, leukemia cell lines[16]. The flavonol, quercetagetin 6,7,3',4'-tetramethyl ether from Artemisia annua was having significant cytotoxic activity against HT-29, P-388, KB, A549 and MCF-7 cell lines [17]. Two highly methylated flavones 5,6,7,8,3',4'-hexamethoxy flavone and 5,6,7,8,4'-pentamethoxy flavone inhibited the proliferation of HTB43 and 9L cell lines [18].
Drug likeness can be defined as the calculation of structural, molecular properties of a drug and determining the drug potentiality. In silico drug likeness and bioactivity score prediction can be carried out using various online tools such as Molinspiration, ADMET Predictor from Simulations Plus, Osiris drug like property calculator and Qik Prop from Schrodinger.
The methanolic leaf extract of Millingtonia hortensis was subjected to silica gel column chromatography and was analyzed by thin layer chromatography (TLC) and high performance liquid chromatography (HPLC). The fraction that showed potential antioxidant, antimicrobial and antiproliferative activities was designated as S6. The S6 fraction was characterized by UV-Visible spectroscopy, fourier transform-infra red (FT-IR), liquid chromatography-mass spectroscopy (LC-MS) and nuclear magnetic resonance (NMR) spectroscopic techniques. From the above data, the structure of the compound was proposed as 5,7-dihydroxy-2-(4-hydroxyphenyl)-6-methoxy-4H-chromen-4-one (Hispidulin) and named as MHH [19]. The objective of the present investigation is to evaluate the antioxidant, antimicrobial, antiproliferative, cytotoxicity activities and in silico drug likeness prediction of the purified MHH compound obtained from the methanolic leaf extract of Millingtonia hortensis Linn.
MATERIALS AND METHODS
Chemicals
Foetal Bovine Serum (FBS), Minimal Essential Medium (MEM, GIBCO), trypsin solution (0.1%), 3-(4,5-dimethylthiazol-2-yl)-2,5-diphenyltetrazolium bromide (MTT), 1,1-Diphenyl-2-picryl hydrazyl (DPPH), 2,4,6-tri-(2-pyridyl)-triazine (TPTZ) were purchased from Sigma Chemical Co. Saint Louis, Missouri, USA. Ascorbic acid, butylated hydroxyl toluene (BHT) rutin and di methyl sulfoxide (DMSO) was purchased from Merck, Germany. The other chemicals and solvents used were of analytical grade.
Test microorganisms
The test microorganisms used for antimicrobial activity were Staphylococcus aureus (MTCC 96), Escherichia coli (MTCC 727), Streptomyces griseus (MTCC 3474), Proteus vulgaris (MTCC 744), Salmonella typhi (MTCC 734), Klebsiella pneumonia (MTCC 9544), Candida albicans (MTCC 3958) and Aspargillus flavus (MTCC 893). These bacterial and fungal strains were obtained from Microbial Type Culture Collection and Gene Bank (MTCC), Chandigarh. The bacterial cultures were maintained on LB nutrient agar slants and fungal cultures on Potato dextrose agar (PDA).
Cell lines
Colon cancer (HCT-15) and cervical cancer (HeLa) cell lines were procured from National Centre for Cell Science, Pune. The cells were grown in Minimal Essential Medium (MEM, GIBCO) supplemented with 4.5 g/l glucose, 100 μg/ml of penicillin and streptomycin, 2 mM L-glutamine and 5% fetal bovine serum (FBS), at 37 °C in 5% CO2 incubator.
Antioxidant activity
Determination of free radical scavenging using DPPH method
DPPH radical scavenging activity of the MHH compound was measured by the method as described [20-23]. The samples were prepared in triplicate for each analysis. BHT and Rutin were used as standards.
Determination of ferric reducing antioxidant power assay (FRAP)
FRAP assay of the MHH compound was carried out according to the method as described [24]. Ascorbic acid was used as standard.
Antibacterial activity
Antibacterial activity of the MHH compound was tested using agar well diffusion method as described [25-27]. 50 µl (0.2 mg/ml) of the MHH compound was used as the test, streptomycin & chloramphenicol (10µg) were used as positive controls and di methyl sulfoxide (DMSO) as negative control. The experiment was carried out in triplicates.
Antifungal activity
The antifungal activity of the MHH compound was carried out by agar well diffusion method as described [25-27]. 50 µl (0.2 mg/ml) of the MHH compound was used as the test, fluconazole & nystatin (10µg) were used as positive controls and di methyl sulfoxide (DMSO) as negative control. The experiment was carried out in triplicates.
Determination of minimum inhibitory concentration (MIC)
The minimum inhibitory concentration of the MHH compound was determined using agar well diffusion assay as described [27]. The MHH compound was loaded into the wells at different concentrations. The lowest concentration of the MHH compound that inhibited the growth of microorganism was considered as MIC.
Antiproliferative activity
Antiproliferative activity of the MHH compound was determined by MTT colorimetric assay as described by Mosmann (1983) with some modifications [28]. 12.5 µl, 25 µl, 50 µl, 100μl, 200μl (1 mg/ml) of the MHH compound was used as test, 5-fluoro uracil and Cisplatin were used as positive controls for antiproliferative activity. The experiment was carried out in triplicates.
Cytotoxicity assay of the MHH compound using brine shrimp (Artema salina)
Cytotoxicity assay of the MHH compound was performed by the method as described by Meyer et al., 1992 [29] by using different concentrations of the MHH compound (50, 100, 150, 200, 250 µg/ml). Different concentrations of cyclophosphamide (20, 40, 60, 80, 100, 120µg/ml) were used as positive control and artificial seawater as negative control.
LC50 Determination
The lethal concentration fifty (LC50), 95% confidence interval and slope were determined. Using the probit analysis method described [30], the mortality rates at 24h and 48h were used for LC50 determination.
Drug likeness and Bioactivity Score using in silico studies
Lipinski’s Rule
Lipinski's rule of five also known as the Pfizer's rule of five is a rule to evaluate drug likeness. It determines whether a chemical compound with assured pharmacological or biological activity has properties that would make it a likely orally active drug in humans. This rule describes the molecular properties which are important for a drug's pharmacokinetics in the human body including their absorption, distribution, metabolism and excretion ("ADME”).
The rule states that most "drug-like" molecules have logP</= 5, molecular weight</= 500, number of hydrogen bond acceptors</= 10 and the number of hydrogen bond donors</= 5. Molecules violating more than one of these rules may have problems with bioavailability. The rule is called "Rule of 5" because the border values are 5, 500, 2*5, and 5 [31, 32].
Molinspiration software
Molinspiration, a web based software (www. molinspiration. com) used to obtain parameters such as mi Log P, total polar surface area (TPSA), drug likeness. Mi Log P, is calculated as a sum of fragment based contributions and correction factors which is used to check good permeability across the cell membrane [33]. Total polar surface area (TPSA) which relates to hydrogen bonding potential of particular molecule and is a very good predictor of drug transport properties such as bioavailability, intestinal absorption, and blood brain barrier penetration etc, Calculation of volume is based on group contributors. Number of rotatable bonds measures molecular flexibility which is a very good descriptor of absorption and bioavailability of drugs [34].
Drug likeness score
The drug likeness score of MHH compound was calculated by considering mi Log P (partition coefficient), molecular weight, number of heavy atoms, number of hydrogen acceptor, number of hydrogen donor and number of violation, number of rotatable bonds and volume.
Bioactivity score
Bioactivity of the MHH compound was checked by calculating the activity score of GPCR ligand, ion channel modulator, nuclear receptor ligand, kinase inhibitor, protease inhibitor, enzyme inhibitor with the help of software [35].
RESULTS AND DISCUSSION
DPPH Radical scavenging assay
The free radical scavenging ability of the MHH compound was evaluated by DPPH radical scavenging assay as shown in fig. 1. The results showed that DPPH radical scavenging activity of the MHH compound was 92.48%±2.06.
Fig. 1: Free radical scavenging ability of the MHH compound
DPPH scavenging activity of crude methanolic extract, MHH compound, BHT and Rutin (10µg) was determined and expressed as % of inhibition. Each value represents mean±SD of three independent experiments. The values are significant at p<0.05.
Total antioxidant activity by FRAP method
Total antioxidant power of the MHH compound was evaluated by FRAP method and results were expressed as mM Fe (II) equivalents per gram as shown in fig. 2. The ferric reducing power of MHH compound was found to be 10.698±0.23 mM Fe (II)/g.
Fig. 2: Total antioxidant power of the MHH compound
Total antioxidant activity of crude methanolic extract, MHH compound and ascorbic acid (10µg) were determined and expressed as % of inhibition. Each value represents mean±SD of three independent experiments. The values are significant at p<0.05.
Antimicrobial activity & Determination of MIC
The antimicrobial activity and minimum inhibitory concentration of the purified MHH compound against tested microorganisms was determined by agar well diffusion method and the results were presented in fig.–3, 4 and 5 respectively.
Fig. 3: Antibacterial activity of the MHH compound
Antibacterial activity of MHH compound, Streptomycin and Chloramphenicol (10µg) were determined and expressed as zone of inhibition (mm). Each value represents mean±SD of three independent experiments. The values are significant at p<0.05.
Fig. 4: Antifungal activity of the MHH compound
Antifungal activity of MHH compound, Fucanazole and Nystatin (10µg) were determined and expressed as zone of inhibition (mm). Each value represents mean±SD of three independent experiments. The values are significant at p<0.05.
Fig. 5: Minimum Inhibitory concentration (MIC) of the MHH compound
Anti-proliferative activity of the MHH Compound
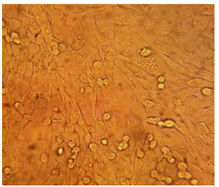
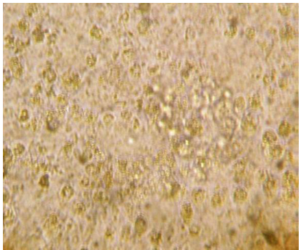
A linear correlation was observed between concentrations and percentage of inhibition of cell proliferation. An IC50 value for HeLa and HCT-15 cell lines was found to be 371.92 μg/ml and 112.06 μg/ml respectively. The survival rate of HeLa cells was higher than that of HCT-15 cells at the same concentration of the MHH compound. In presence of MHH compound, cells aggregation was observed and most of the cells contain uncharacterized bodies, this may be due to the induction of apoptosis (fig. 7b & 9b). From the values of MHH compound against HeLa and HCT-15 cell lines, these studies suggests that the MHH compound can be used as an anti-proliferative agent.
Fig. 6: Effect of the MHH compound on HeLa cell lines.
Cytotoxicity assay of the MHH compound
The data represented shows that the MHH compound (24 h and 48 h incubation time) has cytotoxicity towards brine shrimp nauplii. This compound is considered to be cytotoxic because of its ability to kill the brine shrimp nauplii as dose concentration increased from 50µg/ml to 250µg/ml. The MHH compound showed moderate lethality to brine shrimp nauplii at 200µg/ml with 60% at 24 h and 70% at 48 h. The LC50 value of MHH compound was 218.765µg/ml when incubated at 24 h, which is considered as moderate cytotoxicity. At 48 h incubation, the LC 50 exhibits toxicity with an LC50 value of 152.78µg/ml.
The MHH compound showed more toxicity at 48 h compared to 24 h with respect to positive control. This clearly shows that the MHH compound was toxic in terms of more incubation time. The positive control cyclophosphamide showed the highest value in this test. LC50 value of cyclophosphamide was 76.92µg/ml and 71.25µg/ml at 24 h and 48 h respectively which is highly toxic. No lethality of brine shrimp nauplii was observed with negative control.
![]() |
![]() |
a-Untreated HeLa cells |
b-MHH treated HeLa cells |
Fig. 7: Microscopic observation of HeLa cell growth before and after treatment with the MHH compound
Fig. 8: Effect of the MHH compound on HCT-15 cell lines
![]() |
![]() |
a-Untreated HCT-15 cells |
b-MHH treated HCT-15 cells |
Fig. 9: Microscopic observation of HCT-15 cell growth before and after treatment with the MHH compound
Fig. 10: LC50 values of the MHH compound at 24 h
y= 30.90ln(x)–116.5
50= 30.90ln(x)–166.5
ln(x)= (50+166.5)/30.90
x= e5.388
x=218.765µg/ml
Fig. 11: LC50 values of the MHH compound at 48 h
y= 37.70ln(x)–139.6
50= 37.70ln(x)–139.6
ln(x)= (50+139.6)/37.70
x= e5.029
x=152.78µg/ml
Fig. 12: LC50 values of cyclophosphamide at 24 h
y= 0.728x–6.0
50=0.728x–6.0
x= (50+6.0)/0.728
x=76.92µg/ml
Fig. 13: LC50 values of cyclophosphamide at 48 h
y= 0.857x–10.0
50=0.857x–10.0
x= (50+10.0)/0.857
x=71.25µg/ml
Score for LC50 |
|
<100 µg/ml |
highly toxic, |
Up to 200 µg/ml |
toxic, |
200-1000 µg/ml |
moderately toxic and potential to be developed |
>1000 µg/ml |
non-toxic |
Drug likeness and bioactivity score
In the present study, the drug-likeness and bioactivity scores of the MHH compound compared with standards such as Quercetin, BHT, Rutin and Ascorbic acid and were predicted using Molinspiration, a web based software (www. molinspiration. com).
Physico–chemical properties
The physico-chemical properties of the MHH compound and the standards such as Quercetin, BHT, Rutin and Ascorbic acid were predicted and represented in the table 1.
Drug likeness score
The MHH compound obeyed the Lipinski’s rule and showed good drug likeness score which was represented in the table 2. Mi Log P values of the MHH compound was found to be 2.479, it shows good permeability across the cell membrane as mi Log P value was below 5. TPSA value of the MHH compound was found to be 100.129 which were below 160 Ǻ2.
The MHH compound was found to have the number of hydrogen bond acceptors and number of hydrogen bond donors 6 and 3 respectively which were found to be within Lipinski’s limit i.e. less than 10 and 5 respectively. The molecular weight of the MHH compound was 300.266 daltons which was less than 500 daltons.
Bioactivity score
The MHH compound showed good bioactivity score as per the rule and was represented in the table 3. For organic molecules the probability of the bioactivity score is>0 then it is active, if-5.0 to 0.0 then moderately active, if<-5.0 then inactive.
Table 1: Physico–chemical properties of the MHH compound and standards
Compound |
Molecular Formula |
Melting Point (°C) |
Solubility |
IUPAC Name |
MHH compound |
C16H12O6 |
207 |
DMSO Ethyl acetate Methanol Ethanol |
5,7-dihydroxy-2-(4-hydroxyphenyl)-6-methoxychromen-4-one |
Quercetin |
C15H10O7 |
316 |
DMSO Ethanol |
2-(3,4-dihydroxyphenyl)-3,5,7-trihydroxy chromen-4-one |
BHT |
C15H24O |
71 |
Ethanol |
2,6-ditert-butyl-4-methylphenol |
Rutin |
C27H30O16 |
242 |
Methanol Ethanol Water |
2-(3,4-dihydroxyphenyl)-5,7-di Hydroxy-3-[(2S,3R,4S,5S,6R)- 3,4,5-trihydroxy-6-[(2R,3R,4R,5R,6S)- 3,4,5-trihydroxy-6-methyloxan-2-yl]oxymethyl]oxan-2-yl] oxychromen-4-one |
Ascorbic acid |
C6H8O6 |
191 |
Chloroform |
(2R)-2-[(1S)-1,2-dihydroxyethyl]-3,4-dihydroxy-2H-furan-5-one |
Table 2: Drug likeness score of the MHH compound and Standards
Compound |
miLogP |
TPSA |
nAtoms |
n ON |
nOHNH |
n Viola-tion |
n rotb. |
Volume |
MW |
MHH compound |
2.479 |
100.129 |
22.0 |
6 |
3 |
0 |
2 |
249.594 |
300.266 |
Quercetin |
1.683 |
131.35 |
22.0 |
7 |
5 |
0 |
1 |
240.084 |
302.238 |
BHT |
5.435 |
20.228 |
16.0 |
1 |
1 |
1 |
2 |
240.996 |
220.356 |
Rutin |
-1.063 |
269.427 |
43.0 |
16 |
10 |
3 |
6 |
496.068 |
610.521 |
Ascorbic acid |
-1.402 |
107.217 |
12.0 |
6 |
4 |
0 |
2 |
139.707 |
176.124 |
Table 3: Bioactivity score of the MHH compound and Standards
Compound |
GPCR Ligand |
Ion channel modulator |
Kinase inhibitor |
Nuclear receptor ligand |
Protease inhibitor |
Enzyme inhibitor |
MHH compound |
-0.07 |
-0.22 |
0.21 |
0.20 |
-0.33 |
0.17 |
Quercetin |
-0.06 |
-0.19 |
0.28 |
0.36 |
-0.25 |
0.28 |
BHT |
-0.34 |
0.00 |
-0.48 |
-0.08 |
-0.57 |
-0.07 |
Rutin |
-0.05 |
-0.52 |
-0.14 |
-0.23 |
-0.07 |
0.12 |
Ascorbic acid |
-0.53 |
-0.24 |
-1.09 |
-1.01 |
-0.81 |
0.20 |
The probability of bioactivity score of the MHH compound towards kinase inhibitor, nuclear receptor ligand, enzyme inhibitor was 0.21, 0.20 and 0.17 (>0) respectively which was shown to be active and GPCR ligand, ion channel modulator, protease inhibitor was-0.07,-0.22 and-0.33 respectively which showed to be moderately active (-5.0 to 0.0).
CONCLUSION
The antioxidant, antimicrobial and antiproliferative activities of the MHH compound were obtained high when compared to the crude extract and showed significant fold increase. The cytotoxicity studies on brine shrimp nauplii showed that the MHH compound was moderately toxic at 24 h incubation and found to be toxic when incubated for 48hr. The drug likeness and bioactivity scores of the MHH compound using in silico studies were calculated and found to be within the range. This study concludes that the MHH compound has significant biological activities and can be used as the therapeutic agent.
ACKNOWLEDGEMENT
The authors are grateful to the management of GITAM University, Visakhapatnam, India for providing facilities to carry out this work.
CONFLICT OF INTERESTS
The authors declare that there is no conflict of interest
REFERENCES