
Department of Zoology, University of Madras, Guindy Campus, Chennai 600025, Tamilnadu, India
Email: carulvasu@gmail.com
Received: 04 Jun 2015 Revised and Accepted: 11 Jul 2015
ABSTRACT
Objective: Collagen is an important biomaterial in medical applications due to its special characteristics of biodegradability and weak antigenicity. Collagens from many sources possess specific biological properties that make potential ingredient of health promoting food. Jellyfish is a rich source of collagen, which has high nutritious and medicinal value. In this study, the cell adhesion and antioxidant activity of the collagen from jellyfish Acromitus flagellatus were evaluated for the development of novel pharmaceutical agents.
Methods: The pepsin solubilized (ps) collagen of the jellyfish A. flagellatus were subjected to protein quantification and profiling. The collagen was evaluated for its cell adhesion and anti oxidant free radical scavenging potential by in vitro assay.
Results: The protein content of the jellyfish collagen was estimated to be 0.013 mg/ml. The protein profile of crude collagen protein revealed the molecular weight to be in the range of 205 kDa to 29 kDa. The collagen showed cells adherent property in a dose dependent manner with increase in the coating concentrations at 20-100 μg/ml. It also showed a potent free radical scavenging activity in the dose dependent with a highest activity at the concentration of 294.63 μg/ml.
Conclusion: Our results suggest that the collagen isolated from A. flagellatus can be used potentially as an alternative source of collagen used in various biomedical applications which is more reliable and easily available.
Keywords: Jelly fish, Collagen, Antioxidants, Cell adhesion.
INTRODUCTION
Collagen is a fibrous protein found ubiquitously abundant in all invertebrates and vertebrate connective tissues [1]. Collagen is the most abundant animal protein polymer representing nearly 30% of total protein in the animal body [2]. At least 27 different types of collagen occur and named as type I to XXVII [3]. Collagen is the main component of extra cellular matrix in the skin, bone, cartilage, tendon, teeth, cornea, ligaments, placenta and blood vessels. It is the majority of structural protein, which is characterized by triple helical structure and a repeating sequence of Gly-x-y, x and y are often Pro and Hyp, respectively [4, 5]. It is a unique material which widely used in cosmetics [6], tissue engineering [7] and drug-delivery systems [8]. It is a very important raw material in medicine and food industry. In addition, collagen seems to play a significant role in chemotherapeutic agents [9] and meat industry as nutritive fibres or as a meat substitute [10].
Collagen hydrolysates, which are generally obtained by enzymatic proteolysis from collagen, have exhibited numerous bioactivities, including antioxidant activity, mineral binding capacity, antihypertensive activity, lipid-lowering effect, immunomodulatory activity, biocompatibility and penetrability as well as reparative ability to skin and less irritation make it a popular regent for developing skin care products [11, 12]. Bovine collagen hydrolysate consumption did not produce any effects on bone metabolism as measured by biochemical indices of bone remodeling in postmenopausal women [13]. A natural material of collagen is low in immunogenicity [14].
The jellyfish are planktonic marine invertebrates which belong to the classes Scyphozoa phylum Cnidaria, there are about 200 species of jellyfish which comes under this phylum. The jellyfish belonging to the order Rhizotomea are favored because they are typically larger and have more rigid bodies than other Scyphozoans. Edible jellyfish species includes Lobonema smithi, Lobonemoides gracilis, Rhopilema esculentum, Rhopilema hispidum and Stomolophus nomurai. Regardless of their size and shape, most of them are very fragile. More than 95% of their dry weight is collagen [15]. The large edible jellyfish has well-developed mesogleal tissue, and recently more than 60% of the tissue components were found to be collagen rich in hydroxylysine linked carbohydrate [16]. The mesogloea present in the umbrella of jellyfish Aurelia coerulea is rich in collagenous protein and can be considered as a potential collagen source [17]. However, there are few investigations on the antioxidant effect of collagen hydroysates from jellyfish umbrella by enzymatic treatment [18]. Cell adhesion is the binding of a cell to a surface or substrate, such as an extracellular matrix or another cell. Adhesion occurs from the action of proteins called cell adhesion molecules or sometimes adhesins. The proteins include selectins, integrins and cadherins [19]. Cell adhesion is essential in all aspects of cell growth, cell migration and cell differentiation in vertebrate cells. Cellular adhesion molecules (CAMs) are important participants in cell-cell interactions and interactions between cells and components of the extracellular matrix [20]. These molecules have been implicated in a wide variety of cellular functions including signal transduction, cellular communication and recognition, embryogenesis, inflammatory and immune responses and apoptosis [20].
Jellyfish are found throughout the oceans, sea and brackish water which are a rich source of collagens. The most common jellyfish are an untapped resource of easily harvested collagen and other bioactive such as mucins, phospholipids and sphingo phonolipids. Collagens are found in abundance and in almost every organ of jellyfish; more than 95% of dry weight is collagen. We may consider the jellyfish A. fiagellatus as a good source of natural and non-toxin collagen which could be easily harvested. Thus in the present study, collagen from the jellyfish Acromitus flagellatus was extracted to determine its protein profile and to analyse the antioxidant and cell adhesion property of the collagen extracted.
MATERIALS AND METHODS
Chemicals
Pepsin, 2, 2-diphenyl-1-picrylhydrazyl (DPPH), Dulbecco’s Modified Eagle Medium (DMEM), Trypsin-EDTA, Fetal Bovine Serum (FBS), and antibiotic solution were purchased from Hi Media Laboratories, Mumbai, India.
Collection of sample
Jellyfish A. flagellatus were collected from Muttukadu brackish water and umbrella region was excised immediately. The samples were cooled in ice and transported to the laboratory. The umbrella region was washed with distilled water and extracted with 0.1 M NaOH. The insoluble substances were lyophilized and stored at-20 °C until use.
Preparation of collagen from Acromitus flagellatus jellyfish umberlla
Collagen was extracted from jellyfish umbrella following the method of Nagai et al., [21]. The lyophilized material was suspended in 0.5 M acetic acid and the acid-soluble proteins were to extracted for 3 days. The insoluble substance was washed with distilled water and again lyophilized. The twice-extracted umbrella was digested by re-suspending in 0.5 M acetic acid containing 5% pepsin for 24 h at 4 °C. The pepsin-solubilized collagen liquor was centrifuged at 20,000xg for 1 h and the supernatant was dialyzed against 14 to 200 kDa (0.02 M Na2HPO4) for 3 days. The resultant precipitate, separated by centrifugation at 20,000 xg for 1 h, dissolved in 0.5 M acetic acid and salted out by adding NaCl to a final concentration of 1.0 M. The resultant precipitate was obtained by centrifugation at 20,000 xg for 1 h and dissolved in 0.5 M acetic acid, dialyzed against 14 to 200 kDa (0.1 M acetic acid), and then lyophilized stored at-20 °C.
Estimation of collagen
The total collagen in A. flagellatus was quantified by following the method of Reddy and Enwemeka [22]. Aliquots of standard hydroxyproline (2-20 µg) prepared from stock solution and test samples containing hydroxyproline under 10µg/ml were mixed gently with sodium hydroxide (2N final concentration) in a total volume of 50 μl. The samples were hydrolyzed by autoclaving at 120 °C for 20 min. Chloramine-T (450 µl) was added to the hydrolyzate, mixed gently and the oxidation was allowed to proceed for 25 min at room temperature. P-dimethyamino benzaldehyde (500 µl) reagent was added to each sample, mixed gently and the chromophore was developed by incubating the samples at 65 °C for 20 min. Absorbance of each sample was read at 550 nm using a spectrophotometer (Shimadzu 160 UV-Vis).
Quantification of total protein
Protein estimation was carried by the method of Bradford [23]. The standard protein sample was prepared at 5 mg/ml of BSA and the absorbance was measured at 595 nm in Double beam spectrophotometer (Shimadzu 160 UV-Vis).
Protein profile analysis
The molecular weight of collagen proteins was determined by SDS-PAGE carried out according to the Laemmle [24] methods with 5% stacking gel and 8% resolving gel. The sample were resuspended in SDS-PAGE sample buffer (Tris-HCl pH 6.8, 10% glycerol, 1% SDS, 0.01% Bromophenol blue) and incubated at 95 °C for 2 min then kept on ice until use. Electrophoresis was done for 90 minute at 70 V. The samples were analysed along with the molecular weight marker of range 3.5 to 205 kDa (Ge NeITM Chennai, India). Protein bands were visualized by CommSuite R-250 stain.
Cell culture
Madin-Darby Canine Kidney Epithelial Cells (MDCK) were obtained from National Centre for Cell Science (NCCS), Pune, India. The cells were grown in T-25 culture flask containing DMEM supplemented with 10 % FBS and placed at 37 °C in humidified incubator with 5 % CO2. When the cells reached 70-80 % confluency, the spent medium was discarded and the monolayer was rinsed twice with PBS. Trypsin-EDTA solution was added to the flask to detach the cells from monolayer and placed in an incubator for 2 minutes. After incubation, 5 ml of growth medium was added to the flask and mixed gently. Then it was transferred into a 15 ml falcon tube and centrifuged at 1000 rpm for 5 minutes. The supernatant was carefully aspirated and the pellet was gently resuspended in 2 ml of growth medium. The cells were diluted with appropriate volume of growth medium and aliquot to the new culture flask at the density of 2×103/cm2and kept back to controlled environment for large scale production.
Cell adhesion assay
Cell adhesion assay was performed by the method of Elefteriou et al., [25]. The adhesion assay was done in MDCK cells (Madin-Darby Canine Kidney Epithelial Cells) with collagen in microtiter plates. Briefly, 96-well plates were coated overnight with native collagens at 4 °C or at 37 °C with denatured collagens. Dose-response curves were obtained from coating with dilution series of collagen solutions. Wells was then saturated with 1% BSA. Cells suspended in serum-free medium were added to the wells (30,000 cells per well) and incubated for 30 min to 1 h at 37 °C. Non-adherent cells were removed and adherent, cells were fixed with 10% glutaraldehyde. The fixed cells were stained with crystal violet and the absorbance read at 570 nm.
Antioxidant activity
DPPH (1, 1-Diphenyl-2-picrylhydrazyl) radical scavenging activity was determined by the modified method of Binsan et al., [26]. Briefly the collagen samples were prepared in concentrations of 100-500 µg/ml and 0.1 mM of DPPH in 95 % (v/v) methanol was added to the sample. The mixture was mixed vigorously using a vortex mixer and allowed to stand at room temperature in the dark for 30 min. The absorbance of the resulting solution was measured at 517 nm using a spectrophotometer. The blank was prepared in the same procedure, except that deionized water was used instead of the sample. A standard curve was prepared using ascorbic acid in the range of 100 to 500µg/ml. The capability to scavenge the DPPH radical was calculated using the formula:
DPPH Scavenging activity (%) = (A0-A1/A0) × 100
Where A0 is the absorbance of the control and A1 is the absorbance in the presence of the sample extract or standards.
RESULTS AND DISCUSSION
In the present study, Jellyfish A. flagellatus were collected from Muttukadu brackish water and frozen after being caught. The collagen fibres from jellyfish umbrella region were susceptible to limited proteolysis with pepsin and were solubilized easily. These results revealed that the collagen was extracted as a highly viscous solution. The pepsin-solubilized collagen with 0.5 M acetic acid was precipitated by addition of solid NaCl (1 M). Attempts were made to precipitate the collagen by addition of NaCl at neutral pH. The precipitated collagen was lyophilized and the total yield of collagen was 2 g dry weight. The lyophilized collagen content was estimated from the standard graph obtained using optical density value, the total collagen content in wet weight was estimated to be 7.4 μg/mg. Similarly, Krishnan and Perumal, [27] reported that collagens extracted by acid solubilized and pepsin-solubilized method from jellyfish Chrysaora quinquecirrha whole tissues, collagen yield was found to 0.48 and 1.2% respectively. Saito et al., [28] and Cui et al., [29] also reported similar results for collagen fibril from sea cucumber Stichopus japonicus. Goldner and Burnett, [30] reported that this protein showed the peculiar characteristic of being partially solubilized by disulfide reducing agents. The large amount of collagen was obtained from rhizostomous jellyfish mesogleoea, although the yield was lower than from edible jellyfish exumbrella collagen [21].
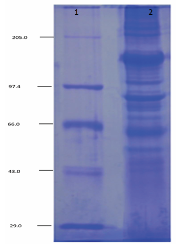
Our investigation revealed that the total collagen content in wet weight of jellyfish umbrella region and total protein content in collagen sample was estimated to be 0.013 mg/ml. The protein profiles of the collagen sample of A. flagellatus analysed on SDS-PAGE (fig. 1) showed proteins ranging from 205 kDa to 3.05 kDa, revealed the presence of the medium sized proteins. Similarly, Lucida Cariella et al., [31] isolated and partially characterized Rhyzolysin, a high molecular weight protein with hemolytic activity from the jellyfish Rhizostoma pulma revealed the molecular weight of ~260 kDa. In collagen extracts, the bands corresponding to the collagen α-chains have an apparent molecular mass similar or slightly higher than the rat α1 (I) chain [32].

Fig. 1: SDS-PAGE (8% polyaccralmide gel with commasive blue) Analysis of A. flagellatus (Lane 1) Protein standard marker (Lane 2) Crude collagen
Collagen is a well characterized protein which belongs to a group of fibrous proteins with very high tensile strength that forms the main component of connective tissues in animals. Collagens have been identified biochemically in numerous Cnidarians [33-35]. They can be extracted and precipitated as banded fibrils which support species specific cell adhesion. These fibrils are formed mainly of disulfide bridges containing collagen [36]. Collagen is an important platelet agonist thought to be involved in the early stages of platelet activation during both hemostasis and thrombosis [37].
Cells adherence of collagen with MDCK cells was in a dose dependent manner where the coating absorption increased with the increase in concentration 20-100 μg/ml (fig. 2). Similarly, Addad et al. [32] has reported the interaction of fibroblastic and osteoblatic cells (MG-63) with Rat pulmo collagen and identify the cellular receptors involved in the interaction with jellyfish collagen were performed with antibodies against an integrity or with heparin.

Fig. 2: Graph showing the cell adhesion assay of jellyfish collagen on MDCK cells
Antioxidants have an important role in protecting human body against damage by the free radicals. An antioxidant is a molecule capable of inhibiting other molecules oxidation. Oxidative-free radicals are byproducts of the normal reactions within our body. These reactions include the generation of calories, degradation of lipids, catecholamine response under stress and inflammatory processes. The interest in antioxidants has been increasing because of their high capacity in scavenging free radicals related to various diseases [38].
Various antioxidant compounds are identified in many natural sources including some protein compounds. Proteins of jellyfish and protein hydrolysates from different sources, such as milk protein, maize zein, egg-yolk, porcine proteins, yellow stripe trevally, yellow fin sole frame, and mackerel have been found to possess antioxidant activity [39].
The antioxidant activity of collagen is an essential property for the oral tolerance mechanism in autoimmune diseases [40]. Recently, an interest in natural antioxidants has increased because they are widely distributed and safer than synthetic antioxidants. Few studies have been conducted on the antioxidant activity of collagen and gelatin isolated from marine animals including squid skin [41], tuna skin and bone [42], jellyfish skin [11] and sea cucumber skin [43].
The antioxidant activity of collagen has been linked to the high content of hydrophobic amino acids, which could increase their solubility in lipids and therefore enhance their anti-oxidative activity [44]. The antioxidant hydrolysates with a molecular weight 200 ~ 300 Da from chickpea protein have been isolated. However, some researchers showed that excessive hydrolysis reduced the antioxidant ability of hydrolysates [45].
The free radical scavenger potential of collagen sample obtained from jellyfish A. flagellatus was tested by the DPPH assay. Data on DPPH free radical scavenging activity of collagen protein is presented in fig. 3. The radical scavenging ability of collagen was significantly increased with the increase in the concentration. The inhibitory concentration of the collagen protein sample was obtained at a concentration of 294.63μg/ml whereas L-ascorbic acid showed an IC50 value of 160.10μg/ml.

Fig. 3: The DPPH free radical scavenging activity of jellyfish collagen
The antioxidant activity of protein hydrolysate reached the highest value when hydrolyzed for 10 h and a peptide with 1400 Da from mackeral protein hydrolysates showed higher antioxidant activity than 900 or 200 Da peptide [44]. Compositions of amino acids play an important role in antioxidant activities of protein hydrolysate. High content of hydrophobic amino acids could increase the solubility of collagen peptides in lipid the solubility of collagen peptides in lipid and then enhance their antioxidant activities [46]. The present study could be speculated that the collagen of A. flagellatus may have many biologically active principles, which need further elaborate to study in future.
CONCLUSION
The jellyfish species A. flagellatus can be used as a natural source of collagen. Hence, A. flagellatus collagen presents comparable biological impact on human cells tested by cell adhesion assay. Further investigations antioxidant hydroxyl radical scavenging activity on jellyfish collagen. The results of this study show that the jellyfish collagen appears to be a good material for biomedical device thus could be used as functional ingredient in the medicine and food industries.
ACKNOWLEDGEMENT
The authors are thankful to University Grants Commission-Basic Scientific Research (UGC-BSR), Delhi, India, for providing the meritorious fellowship.
CONFLICT OF INTERESTS
Declared None
REFERENCES