
1Ahalia School of Pharmacy, Kozhippara Post, Palakkad 678557 Kerala, India, 2Aditya Bangalore Institute of Pharmacy Education and Research, Bangalore 560064 Karnataka, India
Email: blnrxpharma@gmail.com
Received: 05 Jun 2015 Revised and Accepted: 17 Jul 2015
ABSTRACT
Objective: To investigate and compare the efficacy of atorvastatin, etoricoxib and combination of both drugs against colon carcinogenesis in male wistar rats.
Methods: Male wistar rats were divided into five groups. Group-1 served as normal control. Group-2 subcutaneously received 1,2-dimethylhydrazine (DMH) (20 mg/kg body weight(b. w.)) and served as DMH control. Groups-3, 4 and 5 were treated with DMH once in a week for 17 weeks. One week before the administration of DMH, group-3 and group-4 received etoricoxib (0.64 mg/kg per oral (p. o)), atorvastatin (2.5 mg/kg subcutaneously (s. c)) respectively and group-5 received both drugs and lasted until the end of the experiment. The effect of drugs on body weight gain, food and water intake, haematological parameter and histopathological view of the colon was observed in the entire group of animals.
Results: The experimental evidences showed that significant effect of the combined dose of etoricoxib and atorvastatin against DMH induced colon cancer by increasing the level of antioxidant enzymes. The combination was found to decrease the occurrence of multiple plaque lesions which may become the basis for its better chemo preventive action against the progression of colon carcinogenesis as compared to individual drugs. The histopathological study demonstrated that the combination treatment showed more positive effect then individual drug in prevention of colon carcinogenesis by reducing the inflammation, hyperplastic and dysplastic changes in colon crypt cells.
Conclusion: This study was concluded that the combination of atorvastatin and etori coxib may be potential chemo preventive agents against DMH-induced colon cancer and showed prominent positive effects as compared to individual drugs.
Keywords: Colon cancer, Chemoprevention, 1, 2-dimethylhydrazine, Etoricoxib, Atorvastatin.
INTRODUCTION
A neoplasm (tumour) is a disease that is characterized by excessive, uncontrolled growth and spread of structurally abnormal differentiated cells that can originate from any tissues of the body. Cancer is the leading cause of death in economically developed countries and the second leading cause of death in developing countries. Colorectal cancer is the third most commonly diagnosed cancer in males and the second in females [1]. Cancer of the colon is more common in women up to 55 years of age but thereafter is more common in men, rectal cancer occurs with almost equal frequency in both sexes up to 45 years of age, but becomes almost twice as common in men after the age of 65 years. About 70% of patients with colon cancer are over 65 years of age [2]. Aging is associated with increased incidence of various cancers including colorectal cancer. In fact, the occurrence of both non-malignant and malignant colorectal neoplasm increases with advancing age. In a study of men with prostatic carcinoma who subsequently developed colorectal cancer, those treated with stilboesterol had a higher incidence of right sided colonic cancers and a lower incidence of rectal cancers, than those not receiving oestrogen treatment. These data suggest that sex steroid hormones influence the development of colorectal cancer [3]. Thus due to large occurrence and serious adverse effects of established drugs against colon cancer, there is a need to develop solutions for the prevention of colon cancer occurrence. Thus, the present study was used to measure the chemo preventive ability of drugs against DMH induced colon cancer. In the very early stage of colon cancer, the expression of cycloxygenase-2 enzyme is increased [4]. It leads to increased production of prostaglandins thus leads to increased cell proliferation, tumour growth and resistance to apoptosis. Therefore, a drug from class of cycloxygenase-2 inhibitor named, etoricoxib was used. Cyclooxygenase-2 inhibitors exert their anticarcinogenic effects through inhibition of cell cycle progression, induction of apoptosis, inhibition of angiogenesis and metastasis [5]. Another drug was selected from the group of statins, since statins reduce not only serum cholesterol levels but also mevalonate synthesis by inhibiting HMG-CoA reductase. Mevalonate is a precursor of several major products regulating the cell cycle, including geranyl pyrophosphate (GPP) and farnesylpyrophosphate (FPP) [6]. Therefore, another drug from the class of statins named atorvastatin was used. Statins exert their anti-neoplastic effects through inhibition of tumour cell growth, inhibition of angiogenesis, induction of apoptosis and repression of tumour metastasis [7]. As such there is no literature available on treatment of colon cancer by combination of etoricoxib and atorvastatin, so present study was designed to evaluate the anti-colon cancer activity of combination of etoricoxib and atorvastatin on 1,2-dimethylhydrazine induced colon cancer in animals.
MATERIALS AND METHODS
Chemicals
The 1,2-dimethylhydrazine was purchased from Sigma Aldrich (CAS No.-306-37-6), etoricoxib and atorvastatin were obtained from Cadila Pharmaceuticals Pvt Ltd, Ahmadabad, India.
Animals
Male wistar rats aged 33–35 days were used in the experiment. The animals were adapted to standard vivarium conditions with temperature 23±2oC, relative humidity 60–70 %, artificial regimen light: dark (12:12h) (lights on from 7 a. m., light intensity 150 lux per cage). During the experiment, animals drank tap water ad libitum. The experiment was carried out according to the guidelines of the Committee for the Purpose of Control and Supervision of Experiments on Animals (CPCSEA), New Delhi, India and approved by the Institutional Animal Ethical Committee (IAEC No. 1611/PO/a/12/CPCSEA) of Aditya Bangalore Institute of Pharmacy Education and Research, Bangalore, Karnataka, India.
In vivo anti-cancer activity
This test is widely used for testing chemo preventive ability of drugs against 1, 2-dimethylhydrazine induced colon carcinogenesis [8]. Male Wistar rats were divided into five groups. Each group consisted of 6 animals. Group 1 served as normal control and group 2 received 1,2-dimethylhydrazine (DMH) (20 mg/kg b. w,s. c) (0.5 ml per animal) and served as DMH control. Groups 3, 4 and 5 were treated with 1,2-dimethylhydrazine (DMH) (20 mg/kg b. w, s. c) once in a week for 17 weeks. (1,2-dimethylhydrazine at 20 mg/kg b.w. was dissolved in isotonic saline solution) [9]. Chemoprevention with drug treatment began 7 days before carcinogen administration and lasted until the end of the experiment (17 weeks). Group 3 and group 4 received etoricoxib (0.64 mg/kg b. w, p. o), atorvastatin (2.5 mg/kg b. w, s. c) respectively and group 5 received both etoricoxib (0.64 mg/kg b. w, p. o), atorvastatin (2.5 mg/kg b. w, s. c) [10]. During the experiment, body weight gain (evaluated from prevention initiation until the end of the experiment), food and water intake of animals during 24 h were observed [11]. At the end of 17th weeks, all the animals were kept on overnight fasting with drinking water ad libitum and on the next day, the blood was collected from the entire group by retro orbital route for haematological analysis. Then all the animals were quickly decapitated, colon tumour were excised, weighed and tumour size was recorded. Macroscopic changes in selected organs were evaluated at autopsy. Tissue samples of colon tumours were fixed in 10% formaldehyde solution and prepared for histopathological analysis and enzyme estimation (superoxide dismutase, catalase, lipid per oxidise and normal morphological view of colon) [12-14].
Statistical analysis
The compiled data were shown in mean±SEM. The level of significance as compared to control carried out by using Dunnett’s test. The statistical significance was drawn at p<0.05 being significant. All statistical analysis was carried out using GRAPH PAD In Stat.
RESULTS
The effect of treatment (combination of drugs and alone) on body weight of animals, food and water intake of animals in DMH induced colon cancer was observed for 17 weeks. The final body weight of animals was compared to their initial body weight. All the animals of different groups showed the steady rise in body weight and it was summarized in table 1.
Table 1: Effect of treatment on body weight
Group/Treatment |
Initial Weight (g) |
Final Weight (g) |
Body Weight Gain (g) |
Normal Control |
126.66±2.072 |
282.16±2.092 |
155.5±7.08 |
DMH Control |
114.5±3.488 |
268.83±1.606 |
154.33±4.93 |
DMH+Etoricoxib |
125.91±4.352 |
238.33±8.674** |
112.42±3.78 |
DMH+Atorvastatin |
121.08±3.110 |
247.33±11.87** |
126.25±5.46 |
DMH+Etoricoxib +Atorvastatin |
117.75±3.582 |
255.5±3.704* |
137.75±6.23 |
The values are expressed as mean±SEM, n=6. The statistical analysis was carried out using one way ANOVA followed by Dunnet’s multiple comparison test where *p<0.05, **p<0.01.
The data obtained for food and water intake of animals was showed that did not reveal any significant differences in all groups and it was summarized in table 2. Average daily food intake of each rat was between 11.52 g and 13.75 g.
Table 2: Effect of treatment on daily consumption of food and water
Group/Treatment |
Food consumption (gm/rat/day) |
Water consumption (ml/rat/day) |
Normal Control |
13.75±0.4100 |
18.77±1.167 |
DMH Control |
12.48±0.3803 |
19.17±0.9280 |
DMH+Etoricoxib |
11.65±0.4819* |
17.45±1.068 |
DMH+Atorvastatin |
12.12±0.6596 |
19.57±1.329 |
DMH+Etoricoxib +Atorvastatin |
11.52±0.5316* |
19.13±1.344 |
The values are expressed as mean±SEM, n=6. The statistical analysis was carried out using one way ANOVA followed by Dunnet’s multiple comparison test where *p<0.05.
Table 3: Effect of treatment on Haematological parameters of DMH induced rats
Group/Treatment |
Hb (g/dl) |
RBC (millions/μl of blood) |
WBC (thousands/μl of blood) |
Different leukocyte count (%) |
|
Neutrophil |
Lymphocytes |
||||
Normal Control |
14.48±0.2691 |
7.53±0.1727 |
2.53±0.1136 |
22±1.92 |
76±2.312 |
DMH Control |
11.69±0.4380 |
4.21±0.2469 |
8.42±0.1606 |
46±1.83 |
52±0.7654 |
DMH with etoricoxib |
11.88±0.1380** |
5.04±0.0374** |
4.15±0.0960** |
25±2.16** |
44±1.42** |
DMH with atorvastatin |
12.75±0.1787** |
4.40±0.1361** |
6.68±0.0939** |
30±1.28** |
48±2.13** |
DMH with etoricoxib and atorvastatin |
12.91±0.2122** |
5.43±0.1619** |
7.69±0.1346** |
41±1.46** |
62±1.68** |
The values are expressed as mean±SEM, n=6. The statistical analysis was carried out using one way ANOVA followed by Dunnet’s multiple comparison test where *p<0.05, **p<0.01.
Haematological parameters
The effect of treatment (combination of drugs and alone) on haematological parameter like haemoglobin (Hb) count, red blood corpuscle (RBC), white blood corpuscle (WBC) and different leukocyte count in DMH induced colon cancer was determined and summarized in table 3.
The result showed that the RBC count in DMH control animals decreased when compared with normal control and groups which received single drug and combination of drugs. There was marked decreased level of Hb was observed in DMH control animals when compared with normal control. The significant increase of Hb level in group 5 was observed. The level of WBC was found to be markedly increased in DMH control animals. The level of WBC brought down by etoricoxib alone drug treatment is more significant than atorvastatin alone received group and combination received group. The level of Neutrophil was found to be significantly increased in DMH control animals which gets significantly decreased in group received etoricoxib alone treatment as compared to atorvastatin alone treated group and combination treated group. The level of lymphocyte was found to be decreased in DMH control animals which further gets decreased in etoricoxib alone treated group and slightly increased in atorvastatin alone treated group. The lymphocyte count in combination treated group was found to be significantly increased.
Enzyme estimation
Preventive effect of etoricoxib and atorvastatin in male wister rats colon cancer with respect to enzyme was summarized in table 4. Lipid peroxidation was studied by measuring the formation of thio barbituric acid reactive substances (TBARS), lipid hydroperoxides (LPO), conjugated dienes (CD) and superoxide dismutase (SOD), catalase (CAT), glutathione peroxidase (GPX), glutathione reductase (GR), reduced glutathione (GSH) and malondialdehyde (MDA) in the liver and colonic tissues of DMH administered rats. Experimental results showed that decreased levels of lipid peroxidation in the colonic tissues, decreased activities of antioxidant enzymes like SOD, CAT, GPX, GR and GSH levels in the tissues on DMH treatment. Combination of atorvastatin and etoricoxib supplementation during the initiation and entire period stages of carcinogenesis significantly reversed these activities. The level of SOD was found to be markedly decreased in DMH control animals as compared to normal animals.
The level of SOD was significantly increased in combination received group as compared to level of SOD in etoricoxib and atorvastatin alone treated groups. The level of CAT also found to be significantly decreased in DMH control animals. The level of CAT was found to be markedly increased in combination received group as compared to etoricoxib and atorvastatin alone treated groups. The MDA level was found to be increased in DMH control animals. The level of MDA was found to be slightly decreased in etoricoxib and atorvastatin alone treated groups as compared to the significant decrease shown by group etoricoxib and atorvastatin combination received group.
Table 4: Effect of treatment on level of SOD, CAT and MDA in liver tissue of DMH induced rats
Group/Treatment |
SOD (Units/mg of protein) |
Catalase (Units/mg of protein) |
MDA (nM of MDA/mg of protein) |
Normal Control |
21.37±0.4326 |
60.45±1.068 |
23.32±0.5789 |
DMH Control |
9.45±0.0788 |
18.94±0.5750 |
52.38±1.166 |
DMH with etoricoxib |
13.68±0.4977** |
29.31±0.6361** |
40.74±0.3884** |
DMH with atorvastatin |
11.24±0.1336** |
34.69±0.3476** |
37.68±0.6154** |
DMH with etoricoxib and atorvastatin |
17.71±0.0963** |
41.42±0.4373** |
32.69±0.3419** |
The values are expressed as mean±SEM, n=6. The statistical analysis was carried out using one way ANOVA followed by Dunnet’s multiple comparison test where *p<0.05, **p<0.01.
Morphological view of the colon
Morphological view of the colon of all groups was studied and reported in [fig. 1] to [fig. 5].
Fig. 1: Normal control group
Fig. 2: DMH control group
Fig. 3: Etoricoxib treated group
Fig. 4: Atorvastatin treated group
Fig. 5: Atorvastatin and etoricoxib combined treated group
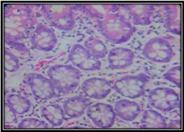
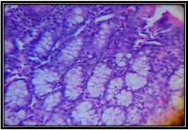
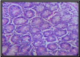
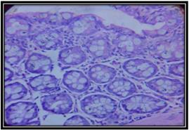
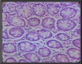
Histopathological view of the colon
Histopathology of the colon of all groups were studied and reported in [fig. 6] to [fig. 10]. Etoricoxib and atorva stastin treated groups showed that decrease in hyperplasia and dysplasia. DMH with Atorvastatin and Etoricoxib group revealed that there was marked regression in inflammation and moderate reduction in hyperplasia in animals.
Fig. 6: Normal control group
Fig. 7: DMH control group
DISCUSSION
The present study was undertaken to evaluate cytotoxic, chemopreventive and antioxidant activity of etoricoxib and atorvastatin alone and in combination by in-vivo methods. This study indicated that there was no significant effect of treatments on food and water intake of animals. The body weights of the animals of different groups rise steadily throughout the study. Colon cancer leads to myelosuppression and anaemia.
Fig. 8: DMH and Etoricoxib group
Fig. 9: DMH and Atorvastain group
Fig. 10: DMH with atorvastatin and etoricoxib group
The erythrocyte level was markedly decreased in DMH control animals (4.21 million/μl) received dose of 20 mg/kg s. c. whereas group treated with combination of etoricoxib at 0.64 mg/kg p. o and atorvastatin at 2.5 mg/kg s. c showed significantly increased erythrocyte level (5.43 million/μl) as compared to erythrocyte levels shown by etoricoxib (5.04 million/μl) and atorvastatin alone treated groups (4.40 million/μl). In DMH control animals the WBC level was found to be increased (8.42 thousand/μl). The combination treated group showed slight decrease in WBC level (7.69 thousand/μl) as compared to etoricoxib (4.15 thousand/μl) and atorvastatin alone treated groups (6.68 thousand/μl). The combination treated group showed increased Hb value (12.91 g/dl) as compared to values of individual drug treated groups etoricoxib (11.88 g/dl) and atorvastatin (12.75 g/dl). The differential leukocytes count showed the significant increase in lymphocyte in combination group (62%) as compared to etoricoxib (44%) and atorvastatin alone treated groups (48%). The Neutrophil count of DMH control animals was found to be (46%) while combination treated group showed less decrease (41%) as compared to single drug treated groups. Reactive oxygen species plays an important role in the initiation stages colon carcinogenesis.
Also results showed that the decrease in the level of SOD in DMH control animals (9.45 units/mg of protein) whereas, the group treated with combination showed significantly increased levels of SOD (17.71 units/mg of protein) as compared to level of SOD found in Etoricoxib (13.68 units/mg of protein) and Atorvastatin single drug treated groups (11.24 units/mg of protein). The level of CAT was found to be markedly decreased in DMH control animals (18.94 units/mg of protein) however, the group received combination showed increased level of CAT (41.42 units/mg of protein) as compared to levels observed in groups received individual drug treatments of Etoricoxib (29.31 units/mg of protein) and Atorvastatin (34.69 units/mg of protein). Morphological view of the colon showed that the appearance of multiple plaque lesions (MPLs). MPLs were recognized as either raised or non-raised lesions with identifiable tissue growth in carcinogen treated animals. The colon of DMH control animal showed highest occurrence of MPLs than the occurrence of MPLs in colon of Etoricoxib and Atorvastatin alone treated animals while there was still less number of MPLs found on colon of animals received combination of Etoricoxib and Atorvastatin. Observations of histopathological study indicated that there was marked dysplasia and hyperplasia in DMH control animals. The crypts were found to be enlarged along with distinct inflammatory changes. While animals received Etoricoxib alone showed decrease in hyperplasia and dysplasia indicated its efficacy as a chemo preventive agent. Histopathological results revealed that there was marked regression in inflammation and moderate reduction in hyperplasia in animals treated with combination of Etoricoxib and Atorvastatin. Also the size and shape of the cells were found to be nearly uniform with reduction in occurrence of aberrant crypt foci.
CONCLUSION
The experimental evidences showed that significant effect in in-vivo study of chemoprevention of combined dose of etoricoxib and atorvastatin against DMH induced colon cancer by increasing the level of antioxidant enzymes. The combination was found to markedly decrease the occurrence of multiple plaque lesions which may become basis for its better chemo preventive action against the progression of colon carcinogenesis as compared to individual drugs. The Histopathological study demonstrated that combination treatment showed more positive effect then individual drugs in prevention of colon carcinogenesis by reducing the inflammation, hyper plastic and dysplastic changes in colon crypt cells. Hence, it was concluded that the combination of Etoricoxib and Atorvastatin showed prominent positive effects as compared to individual drugs.
CONFLICT OF INTERESTS
These authors have no conflict of interest to declare
REFERENCES