Int J Pharm Pharm Sci, Vol 7, Issue 9, 420-426Original Article


IMPACT OF GERANIOL ON CYCLOPHOSPHAMIDE PROVOKED CARDIOTOXIC PROPERTIES–AN IN VIVO STUDY

PRAMILA CHENGALVARAYAN SUBRAMANI1, TAMILARASI SASIVARNAM2, GOKULADHAS KRISHNAN3, INDUMATHI SELVANATHAN4, GOPIKRISHNAN MANI5, ELAMARAN RAMASAMY6, DEVAKI THIRUVENGADAM7*

Department of Biochemistry, University of Madras, Guindy Campus, Chennai 600025, TN, India
Email:
devakit@yahoo.co.uk

 Received: 07 Jun 2015 Revised and Accepted: 28 Jul 2015


ABSTRACT

Objective: Toxicity profiles of diverse anti-neoplastic drugs are extensively documented in past decades and the protective role of natural products against such toxic drugs plays a vital role in the evolution of chemoprevention. Globally, Cyclophosphamide (CYP) is used as an anticancer drug, but now it has been limited due to its acute and chronic cardio toxicity. Hence the present study was designed to investigate the protective role of Geraniol (GOH) against CYP induced cardio toxicity.

Methods: The activity of serum marker enzymes and lipoprotein fractions, cardiac marker enzymes and lipid profiles as well as antioxidant status was done using standard procedures in vivo. In addition, optimum dosage of GOH was determined as obtained by the levels of serum marker enzymes for tissue damage and the pathological changes were assessed by histology.

Results: Administration of CYP to rats results in hoisted levels of marker enzymes (in both serum and heart tissue) and reduced levels of antioxidants. GOH (200 mg/kg body weight) restrained the elevation of marker enzymes (in both serum and heart tissue) and augmented the levels of antioxidants. Moreover, histological observations added proofs to the protective role of GOH against cardiac damage.

Conclusion: CYP administered pathological changes were attenuated by the oral treatment of GOH at a dose of 200 mg/kg body weight of rat and suggests that the cardioprotective effects could be related to up regulation of antioxidant mechanism. Conclusive outcome from our findings suggests that GOH might be a potential chemo preventive agent in attenuating drug induced cardio toxicity.

Keywords: Cyclophosphamide, Geraniol, Cardiotoxicity.


INTRODUCTION

Most of antineoplastic chemotherapeutic agents result in cytotoxicity to one or more target tissues [1]. Now a day, most research on anticancer dosing strategies focusses on minimizing cytotoxicity rather than optimizing efficacy. In addition, most antineoplastic cytotoxic agents have diverse action modes [2]. Cardio toxicity can be induced by various chemotherapeutic agents, in particular by alkylating agents such as cyclophosphamide (CYP). Alkylating agents are a class of anticancer drugs that are awfully reactive and can bind covalently to a numerous biomolecules. CYP (N, N-Bis (2-chloroethyl) tetrahydro-2H-1, 3, 2-oxazaphosphorine-2-mine-2-oxide) (fig.1b) is an oxazaphosphorine alkylating agent, which is often used in chemotherapy and immunosuppressive treatment protocols [3]. It is widely used as a remedial platform for chronic and acute leukemias, lymphomas, multiple myeloma and rheumatic arthritis and also in the preparation for bone marrow transplantation [4-5]. The ability of CYP to interfere with normal cell division in all proliferating tissues provides the support for its therapeutic effects and many of toxic properties [3]. The major imperfection of CYP is the damage of normal tissue, end up in multiple organ toxicity. The critical factor for both therapeutic and toxic effects of CYP is the need of metabolic activation by hepatic microsomal cytochrome P450 mixed functional oxidase system [6-9]. It is already mentioned that high therapeutic doses of CYP could cause a noxious cardio toxicity that has an integration of symptoms and signs of myopericarditis leading to lethal complications like arrhythmias, congestive heart failure, myocardial depression and cardiac tamponade. The pathogenesis of CYP-induced acute cardio toxicity was ascribed to the elevation in free oxygen radicals and the destruction in the antioxidant defense mechanism. Impaired secretion of heart lipoprotein lipase, hypertriglyceridemia and hypercholesterolemia have been reported in CYP-treated rabbits [10-13]. Moreover, it has been reported that CYP induced its acute cardio toxicity by hoisting inner mitochondrial membrane permeability to calcium and reducing the activities of Krebs cycle enzymes with the subsequent uncoupling of mitochondrial-linked ATP synthesis [14, 15]. In 1972, cardiotoxicity was first influenced by CYP as a complication of bone marrow transplantation [16]. In the procedures of bone marrow transplantation and peripheral blood stem cell transplantation (PBSCT), high-dose chemotherapy including CYP, is enormously used. After one week administration of CYP results in acute heart failure secondary to cardio toxicity and the incidence rate is about 20% and mortality about 8% after bone marrow transplantation [17-18]. In addition, cardio toxicity associated with high-dose CYP have been reported as an impediment of various therapeutic regimens [19-20]. Therefore, there is an indeed requirement for the novel therapeutic agents, which helps in the protection of normal tissue from drug induced toxicity with the absence of toxic properties.

Fig. 1: a) Structure of Geraniol [GOH] and b) Cyclophosphamide [CYP]

Essential oils and their constituents have been used widely in traditional medicine for their diverse pharmaceutical actions. Recent days, plant-derived products to be of great focus due to their multiple pharmacological activities [21-25]. Monoterpenes are one such plant derivatives which possess diverse medicinal properties and these components are considered as a new class of chemo preventive agents. Geraniol (GOH; 3, 7-dimethyl-2, 6-octadien-1-ol) (fig.1a), an acyclic monoterpene is predominantly found in citrus fruits, lemongrass and aromatic herb oils. GOH is a colorless oily liquid soluble only in solvents. It is a primary part of palmarosa oil, rose oil and citronella oil [26]. Experimental studies have demonstrated numerous biological effects of GOH including antibacterial [27], antifungal [28], anti-inflammatory [29], antioxidant [30], anti-cancer [30] and anti-ulcer activity [31]. In addition, recent studies reveal that GOH have significant neuroprotective and hepatoprotective activity [32-33]. But still, there is no relevant data available on the cardioprotective effect of GOH. Hence this study is designed in such a way to elucidate the cardioprotective role of GOH on experimentally induced cardiotoxicity. We analyzed the profiles of serum and tissue marker enzymes as well as serum and tissue lipids status. In addition, we studied the alteration on antioxidant enzymes and histopathological evaluation was done to assess the pathological change that occurs in rats during tissue damage.

MATERIALS AND METHODS

Source of chemicals and drugs

Cyclophosphamide (Cytoxan®) was purchased from Hi Media laboratories, India. GOH was purchased from Sigma-Aldrich, Bangalore. All other chemicals used were of analytical grade obtained from SRL/TCI/HIMEDIA laboratories, India.

Experimental animals

Male albino Wistar rats weighing about 150–155 g were procured from TANUVAS, Chennai, India. The animals were house caged under suitable environmental conditions (25±2 °C) and were acclimatized to 12-h light: 12-h dark cycles. Animals were fed with commercially available standard rat pelleted feed (M/S Hindustan Foods Ltd, Bangalore, India) throughout the experimental period. The animals had free access to water. All the experiments were designed and conducted according to the ethical norms approved by Institutional Animal Ethics Committee guidelines (IAEC No. 17/01/2014).

Experimental design (fig. 2)

Group I Normal control rats received corn oil which served as a vehicle (0.25 ml/100g body weight) throughout the experimental period along with standard diet and drinking water.

Group II Rats received the standard diet and drinking water throughout the experimental period and on the first day of experiment, a single dose of CYP (200 mg/kg body weight, intraperitoneally using saline) was given [34] and maintained for 10 days.

Group III Rats were treated with GOH (dissolved in corn oil) alone by orally at a dose of 200 mg/kg body weight (based on effective dose fixation studies) on all the days of the experimental period (10 days).

Note: Various doses of GOH (100, 200, 300, 400 mg/kg body weight) were administered orally to the CYP intoxicated animals to optimize the GOH dose for its maximum efficacy in the minimum dose, determined by the levels of serum marker enzymes for tissue damage (data shown in fig. 3). It was found that 200 mg/kg body weight of GOH has the maximum protective efficacy in the minimum dose.

Group IV Rats were treated with GOH (200 mg/kg body weight dissolved in corn oil 0.25 ml/100g body weight)) to the CYP induced group of rats from the day 1 till the end of the experimental period.

At the end of the experimental period, the animals were anesthetized with Ketamine (90 mg/kg) and Xylazine (10 mg/kg) and sacrificed by cervical decapitation. Blood was collected and allowed to coagulate at room temperature for 30 min. Serum was separated by centrifugation at 3000 rpm for 15 min at 4˚C. The heart was immediately separated and washed in ice-cold saline. The tissues were sliced and homogenized in 0.1 M Tris–HCL buffer (pH 7.4). The homogenates were centrifuged at 1000 rpm for 10 min at 4˚C in a cooling centrifuge. The supernatants were separated and used for analyzing various parameters.

Fig. 2: Schematic representation of experimental design carried out for this study


Fig. 3: Effect of different doses of GOH on control and CYP induced experimental groups of rats. Results are expressed as mean±SD for six rats in each group

Biochemical parameters

Estimation of marker enzymes

Activities of creatinine kinase [35], lactate dehydrogenase (LDH) [36], aspartate transaminases (AST) [37], alanine transaminases (ALT) [37] and alkaline phosphatase (ALP) [38] were estimated in serum and tissue samples.

Estimation of enzymic and non-enzymic antioxidants

Enzymatic antioxidant such as superoxide dismutase (SOD) [39], catalase (CAT) [40], glutathione peroxidase (Gpx) [41], glutathione reductase (GR), glutathione S-transferase (GST) [42] and non-enzymic antioxidant such as glucose-6-phosphate dehydrogenase (G6PD) [43], vitamin C (VIT C) [44], vitamin E (VIT E) [45], vitamin A (VIT A) [46]and glutathione (GSH) [47] content were assayed in tissue homogenate.

Estimation of Serum lipoprotein fractions

Serum lipoproteiens such as LDL, HDL and VLDL [48] were estimated in serum samples.

Estimation of Cardiac lipid status

Cardiac lipids such as free cholesterol [49], esterified cholesterol [49], phospholipids [50-51], free fatty acids [52] and triglycerides [53] content were assayed in tissue homogenate.

Histological evaluation

Histological evaluation was performed on a portion of the heart tissue after fixation with 10% formalin, embedded in paraffin wax, sectioned and was stained with hematoxylin and eosin to assess the pathological changes.

Statistical analysis

All data obtained were analyzed by Students-t-test using MS-Excel, represented as mean±SD. for six animals (n=6) in each group. The results were computed statistically (SPSS/10 software package; SPSS Inc., Chicago, IL, USA) using one-way ANOVA. Post hoc testing was performed for intercomparisons using the LSD. In all tests, the level of statistical significance was set at p<0.05.

RESULTS

Effect of GOH on body weight, heart weight and relative heart weight

The cardioprotective effect of GOH against CYP induced tissue damage was elucidated in male Wistar albino rats. During the experimental period, animals were administered with CYP (200 mg/kg body weight, intraperitoneally using saline) and GOH (200 mg/kg body weight dissolved in corn oil 0.25 ml/100g body weight) and all rats showed greater tolerance to treatment with GOH. There were no death records in experimental groups. Fig. 4 shows Initial body weight and final body weight of the control and experimental group of animals. In CYP administered animals, there is a significant (p<0.05) reduction in the final body weight whereas GOH treated animals showed significant (p<0.05) gain in the final body weight when compared to CYP administered group II rats. In addition, there was no significant difference in the body weight of GOH alone treated rats compared to control rats.

Fig. 4: Effect of GOH on Initial body weight and final body weight of control and experimental groups of rats

Results are expressed as mean±SD for six rats in each group. Statistical significance at p<0.05 compared with aCompared with control andbCompared with CYP administered group.

Fig. 5 depicts the heart weight and relative heart weight of control and experimental group of animals. CYP induced rats distinctly augmented the heart weight and relative heart weight compared to group I control animals.

The GOH treated group IV animals exhibited obvious decrease in the heart weight and relative heart weight when compared with CYP administered animals. No distinct difference found between the control and GOH alone treated animals which clearly represent the nontoxic property of GOH.

Fig. 5: Effect of GOH on heart weight and relative heart weight of control and experimental groups of rats

Results are expressed as mean±SD for six rats in each group. Statistical significance at p<0.05 compared with aCompared with control and bCompared with CYP administered group.

Effect of GOH on the levels of serum and cardiac marker enzymes

Table 1 and 2 depicts the effect of GOH on the levels of marker enzymes CK, LDH, AST, ALT and ALP in the serum and heart of control and experimental group of rats. The levels of marker enzymes are significantly (p<0.05) elevated in CYP-induced animals when compared with normal control animals. GOH-treated rats showed a significantly (p<0.05) curtailed levels of these enzymes when compared with CYP-induced animals.

Moreover, there is no significant difference between the control and GOH alone treated animals. This may clearly indicates that GOH possess better restoration potential of cardiac tissue.

Table 1: Effect of GOH on the activities of marker enzymes in the serum of control and experimental groups of rats

Groups

CK

LDH

AST

ALT

ALP

Control

86.25±7.40

1006±110

72.32±6.55

23.20±2.17

10.63±1.18

CYP

176.34±16.32a

1543±146a

295.2±23.04 a

78.23±6.25a

26.32±3.09a

GOH

86.74±9.74

1087±124

72.84±5.88

22.98±3.11

10.78±0.96

CYP+GOH

110.24±12.27b

1323±139b

121.2±20.33b

45.16±5.27b

13.26±1.79b

Results are expressed as mean±SD for six rats in each group. Statistical significance at p<0.05 compared with aCompared with control andb Compared with CYP. Units — CK: µmol of phosphorus/h/mg protein; LDH, AST and ALT: µmol of pyruvate/h/mg protein; ALP: KA U/l.


Table 2: Effect of GOH on the activities of Cardiac marker enzymes in the tissue of control and experimental groups of rats

Groups

CK

LDH

AST

ALT

Control

28.7±2.32

10.06±0.99

7.23±0.41

11.50±1.17

CYP

8.76±1.04a

6.48±0.92a

3.96±0.27a

4.62±0.30a

GOH

28.5±2.26

10.87±0.96

7.10±0.47

11.68±1.16

CYP+GOH

19.76±2.30b

8.76±1.01b

5.28±0.76b

8.96±0.96b

Results are expressed as mean±SD for six rats in each group. Statistical significance at p<0.05 compared with aCompared with control and b Compared with CYP. Units — CK: µmol of phosphorus liberated/h/mg protein; LDH, AST and ALT: µmol of pyruvate liberated/h/mg protein.

Effect of GOH on antioxidant status in heart

Table 3 and 4 represents the enzymic and non-enzymic antioxidant status in the heart of the control and experimental group of animals. CYP induced animals exhibited a significant (p<0.05) destruction in the activities of enzymic antioxidants such as SOD, CAT, GPx, GR and GST when compared with normal control animals, GOH supplemented animals showed a significant (p<0.05) elevation in the activities of these enzymes when compared with group 2 CYP-induced animals. In addition, the activities of non-enzymic antioxidants such as GSH, G6PD, VIT A, VIT C and VIT E are also significantly declined in CYP induced animals when compared with control animals. In GOH treated animals, there is a significant (p<0.05) raise in the activities of GSH, G6PD, VIT A, VIT C and VIT E when compared with CYP induced animals. No adverse effect was observed in GOH alone treated animals. This clearly depicts the antioxidant potential of GOH due to its protective levels of enzymic and non-enzymic antioxidant status.

Table 3: Effect of GOH on the activities of enzymic antioxidants in the Heart of control and experimental groups of rats

Groups

SOD

CAT

GPx

GR

GST

Control

2.17±0.17

75.06±5.39

20.23±1.41

1.36±0.10

1.09±0.12

CYP

0.99±0.07a

35.48±3.92a

13.96±1.27a

0.63±0.05a

0.68±0.06a

GOH

2.22±0.16

76.87±4.96

20.10±1.47

1.27±0.08

1.03±0.14

CYP+GOH

1.88±0.09b

67.76±6.23b

17.28±1.76b

1.01±0.11b

0.87±0.07b

Results are expressed as mean±SD for six rats in each group. Statistical significance at p<0.05 compared with aCompared with control and b Compared with CYP.

Units: SOD in units/mg protein, CAT in µmol of H2O2 decomposed/min/mg protein, GPx in µmol of GSH utilized/min/mg protein, GR in µmol of NADPH oxidized/min/mg protein and GST in µmole of CDNB-GSH conjugate formed/min/mg protein.

Table 4: Effect of GOH on the activities of non-enzymic antioxidants in the Heart of control and experimental groups of rats

Groups

GSH

G6PD

VITAMIN C

VITAMIN E

VITAMIN A

Control

5.76±0.57

1.26±0.13

1.20±0.13

1.83±0.25

1.17±0.10

CYP

3.39±0.37a

0.79±0.06a

0.79±0.09a

1.36±0.07a

0.76±0.02a

GOH

5.92±0.56

1.27±0.12

1.22±0.11

1.81±0.27

1.16±0.09

CYP+GOH

4.88±0.59b

1.06±0.10b

1.01±0.10b

1.50±0.16b

1.06±0.07b

Results are expressed as mean±SD for six rats in each group. Statistical significance at p<0.05 compared with aCompared with control and b Compared with CYP.

Units: GSH glutathione in g/mg protein, G6PD in µmol of NADPH oxidized/min/mg protein, Vit C in mg/g of wet tissue, Vit E in mg/g of wet tissue and Vit A in mg/g of wet tissue and GSH in µg/mg protein.

Effect of GOH on serum lipoprotein-cholesterol profile

Table 5 shows the serum lipoprotein fractions such as LDL, HDL and VLDL of control and experimental groups of rats. The level of HDL was significantly (p<0.05) reduced in CYP induced group when compared with control animals. The levels of VLDL and LDL were significantly (p<0.05) increased in CYP induced group when compared with control animals. However, significantly decreased levels of VLDL and LDL and elevated levels of HDL were observed in GOH treated animals when compared to CYP induced animals.

Table 5: Effect of GOH on serum lipoprotein fractions of control and experimental groups of rats

Groups

LDL

HDL

VLDL

Control

11.17±0.87

41.26±4.43

29.20±3.13

CYP

34.99±2.87a

27.79±3.06a

46.79±5.39a

GOH

10.89±1.16

41.77±5.12

28.97±3.11

CYP+GOH

20.88±2.29b

36.06±3.70b

35.01±4.10b

Results are expressed as mean±SD for six rats in each group. Statistical significance at p<0.05 compared with aCompared with control and b compared with CYP, Units: mg/dL

Effect of GOH on cardiac lipid status

Table 6 portrays the cardiac lipid fractions such as free cholesterol, esterified cholesterol, phospholipids, free fatty acids and triglycerides. CYP administered animals depict significant increase in the content of free cholesterol, esterified cholesterol and triglycerides and there was a significant reduction in the content of phospholipids and free fatty acids. Supplementation of GOH brought about a significant (p<0.05) increase in the content phospholipids and free fatty acids and a significant (p<0.05) decline in the free cholesterol, esterified cholesterol and triglycerides content of heart, relative to CYP alone induced animals.

Table 6: Effect of GOH on cardiac lipids of control and experimental groups of rats

Groups

Free cholesterol

Esterified cholesterol

Phospholipids

Free fatty acids

Triglycerides

Control

3.57±0.47

1.46±0.13

15.20±1.33

3.28±0.33

3.36±0.29

CYP

4.99±0.27a

2.79±0.36a

10.79±0.59a

2.49±0.26a

7.79±0.59a

GOH

3.59±0.46

1.41±0.12

14.97±1.31

3.27±0.31

3.39±0.41

CYP+GOH

4.08±0.38b

1.94±0.17b

13.01±0.80b

2.91±0.22b

5.01±0.60b

Results are expressed as mean±SD for six rats in each group. Statistical significance at p<0.05 compared with aCompared with control and b Compared with CYP, Units: mg/dL

Effect of GOH on histological features of heart

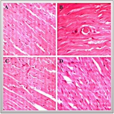
The histology of the heart tissue sections, stained with hematoxylin and eosin (H&E) was assessed under a light microscope. Control animals (fig. 6A) revealed the normal architecture of the heart (appearance of enlarged, swollen mitochondria and vacuoles) and GOH alone supplemented animals (fig. 6C) also showed the normal histological appearance as compared to normal control animals indicating the nontoxic nature of GOH. The CYP induced animals (fig. 6B) showed myocyte swelling and hyalinization at focal, whereas Cyclophosphamide-administered and GOH-treated heart (fig. 6D) showing almost normal myocytes and the abnormal pathological findings are reduced. These restorations may be due to the protective effect of GOH against oxidative stress and tissue damage induced by CYP.

Fig. 6: Photomicrographs (100x) obtained from 6. A. Control group, 6. B. CYP group, 6. C. GOH alone group and 6. D. CYP+GOH group

DISCUSSION

Cyclophosphamide (CYP), a commonly used oxazaphosphorine alkylating agent, has been extended from neoplastic diseases to organ transplantation and diverse disorders and as an immunosuppressive agent. The major limitation of CYP is the injury of normal tissue, leading to multiple organ toxicity. It is well documented that high therapeutic doses of CYP could cause a lethal cardiotoxicity that has a combination of symptoms and signs of myopericarditis leading to fatal complications such as congestive heart failure, arrhythmias, cardiac tamponade and myocardial depression. Cellular mechanisms of CYP-induced cardiotoxicity are thought to be mediated by an increase in free oxygen radicals and the decrease in the antioxidant defense mechanism [54]. This study has been initiated to investigate the possible mechanisms whereby GOH could prevent the development of CYP-induced cardiotoxicity.

In this current study, administration of CYP (200 mg/kg body weight in single dose) noticeably reduced body weight significantly increased heart weight to overall body weight in comparison with normal control rats. In the present investigation, serum cardiotoxicity enzymatic indices, CK, LDH, AST and ALP which occurred as a result of damaged myocytes and these increase in the serum levels are the predominant indicators of cardiac damage. It is most likely to be the result of toxic effects of CYP, as elevated levels of these enzymes in serum are associated with cardiac injury such as myocardial infarction, myocarditis and heart failure. CYP induced cardiotoxicity may be due to direct myocardial endothelial damage, end up in extravasation of blood containing high levels of the drug and resulting in the release of CK and LDH from necrotic cells. GOH (200 mg/kg body weight) co-treatment brought back these enzymes to near routine level by possibly preserving the functional integrity of the myocytes, showing its defense action against CYP induced cardiotoxicity. These results are consistent with the data presented by several authors, who demonstrated a marked elevation of CK, LDH, ALT, and AST, 10 days after administration of a single dose of CYP (200 mg/kg) [3, 15, 34, 55]. This protective effect of GOH could be due to stabilization of cardiac membranes with the consequent decrease in the release of cardiac enzymes. Increased activities of cardiac enzymes in serum are well-known diagnostic indicators of cardiac injury [55].

Previous studies by Madan et al., showed 200 mg/kg body weight of GOH as a maximum protective dose for oral carcinoma [30]. Hence, we tried the same in cardiotoxicity conditions by treating various doses of GOH (100, 200, 300, 400 mg/kg body weight) were administered orally to the CYP intoxicated animals. It was found that 200 mg/kg body weight of GOH has the maximum protective efficacy in the minimum dose as determined by the levels of serum marker enzymes for tissue damage (data shown in fig. 3). Hence, we used this concentration as the standard concentration for further experimental studies.

Pathological condition that leads to hoisted production and/or abortive scavenging of reactive oxygen species (ROS) may play a central role in determining tissue injury. Over production of ROS during CYP therapy causes membrane injury by initiating lipid peroxidation that result in loss of function and integrity of myocardial membranes. Cellular mechanism of toxicity is provoked by an increase in the free radicals through intracellular phosphoramide mustard and acrolein, the primary alkylating metabolites of CYP and it plays a vital role in the occurrence of cardiac injury. Several studies revealed the protective nature of enzymic antioxidants and non-enzymic antioxidants against oxidative damage [22, 34, 55-56]. Destruction in the levels of these antioxidant enzymes in the myocytes of CYP administered rats occurs as, a result of inactivation of these enzymes by ROS. This causes further elevation in the levels of ROS which severely decrease the activities of antioxidant enzymes. Reduced levels of the antioxidants in myocytes make it more exposed to the free radical damage. Mythili et al. reported that CYP (200 mg/kg) induced acute cardiotoxicity was attributed to the increase in ROS and the decrease in the antioxidant defense mechanisms in the heart and that antioxidant compounds attenuated CYP-induced cardiotoxicity [15]. In line with this text, in the present study, CYP significantly decreased the antioxidant mechanisms (table 3), thus leaving the heart tissues with no known defense mechanism against ROS. Therefore, hearts from CYP-treated rats are more vulnerable to ROS. Interestingly, GOH treated rats showed improved activities of antioxidants than CYP intoxicated group. This clearly proves the antioxidant capacity of GOH due to its free radical encountering activity. Moreover, many studies in our laboratory reporting the antioxidant potential of various compounds against cardiotoxicity as well as hepatotoxicity which includes Ferulic acid [57], Ascorbic acid [57], Squalene [56] and Carvacrol [22].

SOD and CAT are the primary antioxidants involved in the inactivation of environmental carcinogens and in the direct elimination of toxic free radicals and electrophiles, resulting in the amelioration of oxidative damage [22, 56-59]. In accordance with the present findings, the significant decrease in the levels of SOD and CAT activity was due to exhaustion of the enzymes as a result of oxidative stress and increase in LPO caused by CYP. GPx is a well-known first line of defense against oxidative stress and several studies have reported the decreased activities of GPx in various toxicity conditions. GST is a group of multifunctional proteins that perform functions ranging from catalyzing the detoxification of electrophilic compounds to protection against peroxidative damage. GR plays a major role in regenerating GSH from GSSG, thus maintaining the balance between the redox couple. This enzyme requires NADPH for its activity, which is provided by the action of G6PD. Besides, the diminished activity of GPx, GST and GR might be owing to the decreased availability of the substrate, GSH and increase in the levels of peroxides during cardiotoxicity on CYP administered rats. Nevertheless, GOH treatment bolster the antioxidant defense mechanism as depicted by the increased tissue levels of SOD, CAT, GPx, GST and GR antioxidants. Non-enzymic antioxidants such as GSH, Vitamin-E, Vitamin-C and Vitamin-A are closely interlinked to each other and play an excellent role in protecting the cell from oxidative damage. Glutathione is a ubiquitous tripeptide which functions as a free radical scavenger in the oxidative stress conditions [58]. Depletion of GSH impairs the ability of the cells to protect against the free radicals and results in enhanced LPO. Vitamin E is a lipid soluble antioxidant which is present in cellular membranes where it plays an important role in the suppression of free radical induced LPO [59]. Vitamin C is a free radical scavenger and functions as an antioxidant in recycling the Vitamin E radical back to Vitamin E. GSH in tissues keeps up the cellular levels of vitamin C and vitamin E in active form. These data clearly exemplify the reduced activities of the vitamin C and E, as pronounced GSH depletion is observed in the CYP administered group. GOH supplemented animals significantly increased the levels of all the above antioxidants which may be due to ability GOH to interact with hydroxyl and superoxide radicals thereby subsequently having the property to scavenge them. The alterations in lipoprotein transport and metabolism play an essential role in the context of changes in plasma lipids. Data from this study revealed that CYP significantly increased cholesterol and triglycerides in serum. Hypercholesterolemia, hypertriglyceridemia induced by CYP, which are well-known risk factors in cardiovascular diseases, has been reported previously. Interestingly, GOH supplementation completely reversed the CYP-induced increase in cholesterol and triglycerides to the control values. Biochemical data were further confirmed by histopathological studies of the cardiac tissues. As CYP induction (10 days of its administration) caused marked myocardial degeneration in the form of myofibrillar loss, inflammatory cell infiltration, cytoplasmic vacuole formation, interstitial edema and hemorrhage. These histopathological changes have been previously reported in CYP-induced cardiotoxicity [15, 34, 55-57, 60]. GOH treated animals revealed the normal architecture of the heart and showed better cardioprotection as observed by the absence of adverse pathological changes in the heart of CYP induced cardiac damage. Thus, GOH may reduce oxidative stress through the direct antioxidant effect, leading to the prevention of CYP-induced cardiotoxicity.

CONCLUSION

The present study from our research findings clearly elaborates the significant protective effect of GOH on CYP induced cardiotoxic properties by enhanced the levels of antioxidants and reduced levels of marker enzymes. It is hypothesized that GOH protects the tissues by scavenging the toxic metabolite, which is proved by the normalization of the biochemical parameters. Hence, GOH may be often considered as an effective chemoprevention model for CYP-induced cardiotoxicity.

ACKNOWLEDGEMENT

First author C. S. Pramila gratefully acknowledges University Grant Commission (UGC), New Delhi, India, for the financial assistance in the form of UGC-BSR Research Fellowship.

CONFLICT OF INTERESTS

Declared None

REFERENCES

  1. Ratain MJ, Plunkett W. Principles for chemotherapy, pharmacology. In: Holland JF, Frei Jr EI, Bast RC, Kufe DW, Morton DC, Weiehselbaum RR. editors. Cancer med Baltimore, MD’ Williams and Wilkins; 1997. p. 875–90.
  2. Colombo P, Gunnarsson K, Latropoulos M, Brugera M. Toxicological testing of cytotoxic drugs (Review). Int J Oncol 2001;19:1021-8.
  3. Sulkowska M, Skrzydlewska E, Sobamee-Lotowska M, Famulski W, Terlikowski S, Reszee J. Effect of cyclophosphamide induced generation forms on ultrastructure of the liver and lung. Bull Vet Inst Pulawy 2002;46:239-46.
  4. Dollery C, Cyclophosphamide. In: Dollery C. Ed. Therapeutic Drugs. Churchill Livingstone, Edinburg; 1999. p. 349–53.
  5. Goldberg MA, Antin JH, Guinan EC, Rappeport JM. Cyclophosphamide cardiotoxicity: an analysis of doing as a risk factor. Blood 1986;68:1114–8.
  6. Bukowski R. The need for cytoprotection. Eur J Cancer 1999;32A Suppl 4:S2–4.
  7. Fraiser LH, Kanekel S, Kehrer JP. Cyclophosphamide toxicity. Characterizing and avoiding the problem. Drugs 1991;42:781–95.
  8. Sladek N. Metabolism of cyclophosphamide by rat hepatic microsomes. Cancer Res 1971;1:901–8.
  9. Sladek NE. Metabolism of oxazaphosphorines. Pharmacol Ther 1988;37:301–55.
  10. Shanholtz C. Acute life-threatening toxicity of cancer treatment. Crit Care Clin 2001;17:483-502.
  11. Schimmel KJ, Richel DJ, van den Brink RB, Guchelaar HJ. Cardiotoxicity of cytotoxic drugs. Cancer Treat Rev 2004;30:181-91.
  12. Loudet AM, Dousset N, Carton M, Douste-Blazy L. Effects of an antimitotic agent (cyclophosphamide) on plasma lipoproteins. Biochem Pharmacol 1984;33:2961-5.
  13. Lespine A, Chap H, Perret B. Impaired secretion of heart lipoprotein lipase in cyclophosphamide-treated rabbit. Biochem Biophys Acta 1997;1345:77-85.
  14. Al-Nasser IA. In vivo prevention of cyclophosphamide induced Ca2+dependent damage of rat heart and liver mitochondria by cyclosporin A. Comp Biochem Physiol Part A: Mol Integr Physiol 1998;121:209–14.
  15. Mythili Y, Sudharsan PT, Varalakshmi P. DL-α-lipoic acid ameliorates cyclophosphamide induced cardiac mitochondrial injury. Toxicology 2005;215:108–14.
  16. Santos GW, Sensenbrenner LL, Burke PJ. The use of cyclophosphamide for clinical marrow transplantation. Transplant Proc 1972;4:559–64.
  17. Gottdiener JS, Applebaum ER, Ferrans VJ, Deisseroth A, Ziegler J. Cardiotoxicity associated with high-dose cyclophosphamide therapy. Arch Intern Med 1981;141:758–63.
  18. Goldberg MA, Antin JH, Guiman EC, Rappeport JM. Cyclophosphamide cardiotoxicity: an analysis of dosing as a risk factor. Blood 1986;68:1114–8.
  19. Birchall IW, Lalani Z, Venner P, Hugh J. Fatal haemorrhagic myocarditis secondary to cyclophosphamide therapy. Br J Radiol 2000;73:1112–4.
  20. Kamezaki K, Fukuda T, Makino S, Harada M. Cyclophosphamide induced cardiomyopathy in a patient with seminoma and a history of mediastinal irradiation. Intern Med 2005;44:120-3.
  21. Rajendran R, Ganesan N, Balu SK, Alagar S, Thandavamoorthy P, Thiruvengadam D. Green synthesize, characterization, antimicrobial and cytotoxic effects of silver nanoparticles using O. heracleoticumL. leaf extract. Int J Pharm Pharm Sci 2015;7:288-93.
  22. Balan R, Rajendran R, Thandavamoorthy P, Thiruvengadam D. Carvacrol attenuates N-nitrosodiethylamine induced liver injury in experimental Wistar rats. Food Sci Hum Wellness 2015. doi.org/10.1016/j.fshw.2015.04.002. [Article in Press]
  23. Kalemda D, Kunicka A. Antibacterial and antifungal properties of essential oils. Curr Med Chem 2003;10:813–29.
  24. Edris AE. Pharmaceutical and therapeutic potentials of essential oils and their individual volatile constituents: a review. Phytother Res 2007;21:308–23.
  25. Thandavamoothy P, Balan R, Subramaniyan J, Arumugam M, John B, Krishnan G, et al. Alleviative role of rutin against 4-Nitroquinoline-1-Oxide (4-NQO) provoked oral squamous cell carcinoma in experimental animal model. J Pharm Res 2014;8:899-906.
  26. Arumugam M, Thiruvengadam D. Geraniol, a component of plant essential oils–a review of its pharmacological activities. Int J Pharm Pharm Sci 2015;7:67-70.
  27. Aridoğan BC, Baydar H, Kaya S, Demirci M, Ozbaşar D, Mumcu E. Antimicrobial activity and chemical composition of some essential oils. Arch Pharmacal Res 2002;25:860-4.
  28. Mesa Arango AC, Montiel-Ramos J, Zapata B, Durán C, Betancur-Galvis L, Stashenko E. Citral and carvonechemotypes from the essential oils of Colombian Lippiaalba (Mill.) NE Brown: composition, cytotoxicity and antifungal activity. Mem Inst Oswaldo Cruz 2009;104:878-84.
  29. Boukhatem MN, Kameli A, Ferhat MA, Saidi F, Mekarnia M. Rose geranium essential oil as a source of new and safe anti-inflammatory drugs. Libyan J Med 2013;8:22520. doi: 10.3402/ljm.v8i0.22520. [Article in Press]
  30. Madankumar A, Jayakumar S, Devaki T. Geraniol, a component of plant essential oils prevents experimental oral carcinogenesis by modulating glycoprotein abnormalities and membrane bound ATPase’s. Int J Pharm Pharm Sci 2013;5:416-21.
  31. De Carvalho KI, Bonamin F, Dos Santos RC, Périco LL, Beserra FP, de Sousa DP, et al. Geraniol-a flavoring agent with multifunctional effects in protecting the gastric and duodenal mucosa. Naunyn-Schmiedeberg's Arch Pharmacol 2014;387:355-65.
  32. Prasad SN, Muralidhara. Neuroprotective effect of geraniol and curcumin in an acrylamide model of neurotoxicity in Drosophila melanogaster: relevance to neuropathy. J Insect Physiol 2014;60:7-16.
  33. Singh BK, Tripathi M, Chaudhari BP, Pandey PK, Kakkar P. Natural terpenes prevent mitochondrial dysfunction, oxidative stress and release of apoptotic proteins during nimesulide-hepatotoxicity in rats. PLoS One 2012;7:e34200. doi: 10.1371/journal.pone.0034200. [Article in Press]
  34. Viswanatha Swamy HM, Patel UM, Koti BC, Gadad PC, Patel NL, Thippeswamy AHM. Cardioprotective effective of Saracaindica against cyclophosphamide induced cardiotoxicity in rats: A bio chemical, electromicrograph and histophathology study. Indian J Pharmacol 2013;45:44-8.
  35. Okinaka S, Sugita H, Mamoi T. Cysteine-stimulated serum creatine kinase in health and disease. J Lab Clin Med 1964;64:299–305.
  36. King J. The dehydrogenases or oxidoreductases-lactate dehydrogense. In: Van D. editor. Practical clinical enzymology. London: Nostrand; 1965. p. 83–93.
  37. Mohun AF, Cook LJ. Simple method for measuring serum level of glutamateoxaloacetate and glutamate-pyruvate transaminases in laboratories. J Clin Chem 1957;10:394–9.
  38. King J. In: D Van. editor. Practical clinical enzymology. London: Nostrand; 1965. p. 363.
  39. Misra HP, Fridovich J. The role of superoxide anion in the auto-oxidation of epinephrine and a simple assay for superoxide dismutase. J Biol Chem 1972;247:3170–5.
  40. Bergmeyer HV, Gowehn K, Grassel M. Methods of enzymatic analysis. New York: Academic; 1974. p. 438.
  41. Rotruck JT, Pope AL, Ganther HE. Selenium: biochemical role as a component of glutathione peroxidase, purification and assay. Science 1973;179:588–90.
  42. Habig WH, Pabs Jakoby. Glutathione-S-transferase. J Biol Chem 1974;249:7130–9.
  43. Beutler E, Matsumoto F. Ethinic variation in red cell glutathione peroxidase activity. Blood 1975;46:103-10.
  44. Omaye ST, Turbull TP, Sauberchich HC. Selected methods for determination of ascorbic acid in cells, tissues and fluids. Methods Enzymol 1979;6:3-11.
  45. Desai ID. Vitamin E analysis methods for animal tissues. Methods Enzymol 1984;105:138-47.
  46. Bayfield RF, Cole ER. Colorimetric estimation of vitamin A with trichloroacetic acid. Methods Enzymol 1980;67:189-203.
  47. Staal GEJ, Visser J, Veger C. Purification and properties of glutathione reductase of human erythrocytes. Biochim Biophys Acta 1969;185:39–48.
  48. Wilson DF, Spiger MJ. A dual precipitation method for quantitative plasma lipoprotein measurement without ultracentrifugation. J Lab Clin Med 1973;82:473-82.
  49. Sperry WM, Webb A. A revision of schoenhemer-sperry method for cholesterol determination. J Biol Chem 1950;187:97-106.
  50. Barlett GR. Phosphorous assay in column chromatography. J Biol Chem 1959;234:466-8.
  51. Rouser, George, Sidney Fleischer, Akira Yamamoto. Two dimensional thin layer chromatographic separation of polar lipids and determination of phospholipids by phosphorus analysis of spots. Lipids 1970:494-96.
  52. Horn WT and Menahan IA. A sensitive method for the determination of the fatty acids in plasma. J Lipid Res 1981;22:377-81.
  53. Rice EW. Triglycerides ("neutral fats") in serum. In: Standard methods of clinical chemistry. MacDonald RP. Ed. Academic press: New York; 1970;6:215-22.
  54. Asiri, Yousif A. Probucol attenuates cyclophosphamide-induced oxidative apoptosis, P53 and bax signal expression in rat cardiac tissues. Oxid Med Cell Longevity 2010;308-16.
  55. Nagi, Mahmoud N. Thymoquinone supplementation attenuates cyclophosphamide-induced cardiotoxicity in rats. J Biochem Mol Toxicol 2010;25:135-42.
  56. Senthilkumar, Subramanian. Attenuation of cyclophosphamide induced toxicity by squalene in experimental rats. Chem Biol Interact 2006;160:252-60.
  57. Yogeeta, Surinder Kumar. Synergistic interactions of ferulic acid with ascorbic acid: its cardioprotective role during isoproterenol induced myocardial infarction in rats. Mol Cell Biochem 2006;283:139-46.
  58. Singh, Ravinder J. Glutathione: a marker and antioxidant for aging. J Lab Clin Med 2002;140:380-1.
  59. Halliwell B, Gutteridge JMC. Lipid peroxidation, oxygen radicals, cell damage and antioxidant therapy. Lancet 1984;1:1396–7.
  60. Mantawy, Eman M. Chrysin alleviates acute doxorubicin cardiotoxicity in rats via suppression of oxidative stress, inflammation and apoptosis'. Eur J Pharmacol 2014;728:107-18.