
1Hormones Department, 2Therapeutic Chemistry Department, National Research Centre, 33 El-Bohouth St., Dokki 12622, Giza, Egypt
Email: sanaa_ahmedibrahim@yahoo.com
Received: 08 Jun 2015 Revised and Accepted: 22 Sep 2015
ABSTRACT
Objective: This study evaluates the hypoglycemic effect of COQ10 and Vitamin E are determined using STZ induced diabetic rats.
Methods: Rats selected for this study were divided into five groups of ten rats each as follows: first group Normal control rats, the second is considered as diabetic groups, injected intraperitoneal with a single dose of STZ (60 mg/kg B. wt). the third group Diabetic rats orally administered glibenclamide drug 10 mg/kg B. wt daily for 30 d 4th. And 5th groups were treated orally glibenclamide combined with vitamin E (2% concentration added to the normal basal diet), or coenzyme Q10 at the dose of 10 mg/kg i. p. daily for 30 consecutive days in addition histological examinations of liver, kidney and brain were carried out to confirm the biochemical changes of the diabetic group of rats.
Results: All liver enzymes activities alanine and aspartate transferases and alkaline phosphatase (AST, ALT and ALP respectively), kidney function tests; creatinine and total urea, inflammatory biomarkers; CRP, IL-10 and TNF-α. Neurotransmitters; acetylcholine and acetylcholine esterase were enhanced with the highest degree in groups treated with COQ10 or vitamin E in addition to glibenclamide dug, almost restore the normal histological architecture of liver, kidney and brain.
Conclusion: Orally supplemented glibenclamide with coenzyme Q10 or vitamin E showing significantly reduced blood glucose levels in STZ induced diabetic rats. It also showed hypolipidemia as well as hepatoprotective effects, enhance histological feature of liver, kidney and brain.
Keywords:Hyperglycemia; Coenzyme Q10; Vitamin E; STZ; Liver, Kidney; Brain.
© 2016 The Authors. Published by Innovare Academic Sciences Pvt Ltd. This is an open access article under the CC BY license (http://creativecommons.org/licenses/by/4.0/)
INTRODUCTION
Increased oxidative stress has been implicated in the etiology (especially type 1) and pathology (both type 1 and type 2 of diabetic complications [1]. In diabetes, hyperglycemia increased production of reactive oxygen and nitrogen species (ROS and RNS), increased protein glycation, increased lipolysis, ketogenesis and decreased antioxidants, glutathione (GSH) and NADPH have all been reported to be involved [2]Pancreatic beta cells exposed to hyperglycemia and reactive oxygen species displayed reduced insulin secretion and increased insulin resistance [3]. It has been proposed that during the early stages of beta cell destruction, hyperglycemia–induced mitochondrial over work and alterations in the rate of oxygen utilization by respiratory chain complexes are possible mechanisms for development of diabetes-related complications. It is therefore suggested that suppression of oxidative stress in beta cells may prevent or delay the onset of type 1 and progression of type 2 diabetes and related complications. Several studies have also shown that treatment with antioxidants protects against the onset of diabetes [4].
It has been reported that diabetic rats display higher O2 consumption and reduced mitochondrial antioxidant GSH and coenzyme Q pools than non-diabetic rats [5]. Consequently prevention of mitochondrial oxidative damage and ROS production may have therapeutic potential. It is known that diabetic complications and increased oxidative stress are tissue specific and are accompanied by altered glucose transport, mitochondrial oxygen metabolism and energy production [5].
Coenzyme Q10 is an endogenous antioxidant that scavenges free radicals directly, inhibits bimolecular oxidation and affects antioxidants in vivo [6]. Coenzyme Q10 treatment effect on antioxidant pathways in normal and Streptozotocin--induced diabetic rats [7]. In this light, the objective of the current investigation was to study the beneficial effects of coenzyme Q10 in Streptozotocin-induced diabetic rats.
Several antioxidant enzymatic and non-enzymatic systems in the cell inactivate free radicals to reduce the damage caused by them. These antioxidants include glutathione, enzymatic systems, and vitamins A, C, and E. The effect of vitamin E on free radicals is mainly important for preventing or delaying many degenerative diseases, such as cancer, cardiovascular inflammatory diseases, cellular alterations attributable to the aging process, and neurological diseases [8]. Vitamin E promoted a reduction in the indicators of oxidative stress and protein glycation in diabetic patients. Treatment of vitamin E show a reduction in lipid peroxidation, an increase in superoxide dismutase activity, an increase in nervous system conductance velocity and protection against nervous system dysfunction [9]. The goal of the present study is to determine whether vitamin E (α-tocopherol) or coenzyme Q10 separately co-administered with glibenclamide more effective and have any influence on different metabolic disorders in diabetic rats.
MATERIALS AND METHODS
Chemicals
All kits are the products of Bio systems (Alcobendas, Madrid, Spain), Sigma Chemical Company (St. Louis, MO, USA) and Bio diagnostic Company (Cairo, Egypt). All other chemicals in the present study are of analytical grade, products of Sigma, Merck and Aldrich.
Experimental animals
Male Wister rats (200-220 g) were used for the evaluation of combined effects of glibenclamide+vitamin E or coenzyme Q10 or glibenclamide given alone. Rats were provided by the Animal House of the National Research Center (NRC) and housed in a temperature-controlled environment (26-29 °C) with a fixed light/dark cycle for one week as an adaptation period to acclimatize under normal combination with free access to water and food. The present study is approved by the Ethical Committee of the National Research Center (NRC), Egypt, provided that the animals will not suffer at any stage of the experiment.
Experimental design
Rats selected for this study were divided into five groups of ten rats each as follows:
Group 1: Normal healthy control rats,
Group 2: Is considered as diabetic groups; where type 2 diabetes was induced by STZ. Each rat was injected intraperitoneal with a single dose of STZ (60 mg/kg body weight dissolved in 0.01 M citrate buffer immediately before use [10]. After injection, animals had free access for food and water and were given 5% glucose solution to drink overnight to encounter hypoglycaemic shock. Animals were checked daily for the presence of glycosuria [11]. Animals were considered to be diabetic if glycosuria was present for 3 consecutive days. After 3 d of STZ injection fasting blood samples were obtained and fasting blood sugar was determined (>300 mg/dl). Hyperglycaemic rats were used for the experiment and classified as follows:
Group 3: Diabetic rats orally administered antidiabetic glibenclamide reference drug 10 mg/kg body weight daily for 30 d [12].
Groups 4 and 5: Diabetic rats orally supplemented glibenclamide with vitamin E (2% concentration added to the normal basal diet, [13], and coenzyme Q10 at the dose of 10 mg/kg i. p. [7]. daily for 30 consecutive days, during the study standard food and water were provided ad libitum
Sample preparations
After 30 d of treatments, rats were fasted overnight (12-14 h), anesthetized by diethyl ether and blood collected by puncture of the sublingual vein in the clean and dry test tube, left 10 min to clot and centrifuged at 3000 rpm for serum separation. The separated serum was used for biochemical analysis of liver enzymes alanine and aspartate transferases and alkaline phosphatase (AST, ALT and ALP respectively), kidney function tests; creatinine and total urea, inflammatory biomarkers; CRP, IL-10 and TNF-α. Neurotransmitters; acetylcholine and acetylcholine esterase were also investigated. After blood collection, rats of each group were sacrificed, the liver, kidney and brain were removed immediately (a part was fixed in 10% formalin for histopathological examination.
Serum biochemical examination
Glucose was determined in serum by the method of Trinder [14], colorimetric assay method kits (Biodiagnostic Chemical Company, Cairo, Egypt).
Lipid profile and kidney markers
Triglycerides level was determined according to the method of Fassati and Prencipe [15], total cholesterol level was estimated according to the method of Allain et al.[16],while total lipid level was measured according to the method of Zollner and Kirsch[17]. (Biodiagnostic Chemical Company, Cairo, Egypt.
Serum creatinine concentration was measured according to the method of Schirmeister [18] using colorimetric kit and total urea level was estimated according to the method of Fawcett and Scott [19] using colorimetric kit. Total urea and creatinine were carried out using diagnostic kits (Biodiagnostic Chemical Company, Cairo, Egypt).
Inflammatory and brain cholinergic biomarkers
Estimation of serum inflammatory markers; CRP, TNF-α, IL-10, brain cholinergic markers (acetyl cholinesterase and acetylcholine) was determined by ELISA; a sandwich enzyme immunoassay
Liver injury biomarkers
Aspartate and alanine aminotransferases (AST and ALT) enzyme activities were assayed according to the method of Reitman and Frankel [20]. ALP enzyme activity was determined according to the method described by Belfield and Goldberg [21]. Total protein was assayed in serum according to Bradford [22].
Oxidative stress markers and non-enzymatic-antioxidant enzyme
Liver nitrite (NO) level was estimated according the method of Moshage et al.[23]. GSH level was assayed in liver homogenate according to the method of Beutler et al.[24]. Liver MDA level was estimated according to the method of Satoh et al. [25].
Calculation
Histopathological analysis
Liver, Kidney and brain slices were fixed instantaneously in buffer neutral formalin (10%) for 24h for fixation then processed in automatic processors, embedded in paraffin wax (melting point 55-60 °C) and paraffin blocks were obtained. Sections of 4 μm thicknes were prepared and stained with Haematoxylin and Eosin (H&E) stain [26]. The cytoplasm stained shades of pink and red and the nuclei gave blue colour. The slides were examined and photographed under a light microscope.
Statistical analysis
Data presented as mean±S. D, n=10. Statistical analysis was carried out by using one way analysis of variance (ANOVA) SPSS (version 11) computer program and Co-state computer program, where unshared letter is significant at P ≤ 0.05.
RESULTS
Significant increase in blood glucose level, while the significant decrease in α-amylase enzyme activity ascertained the diabetic state with percentages 231.84 and 35% respectively. Marked amelioration in blood glucose level and α-amylase enzyme activity up on treatment of diabetic rats with glibenclamide with percentage of improvement 231.14%. While, the improvement percentages reached to 227.22 and 190.39%, respectively of glibenclamide co-administrated with vitamin E and coenzyme Q10 respectively as revealed in table (1).
Table 1: Blood glucose and α-amylase levels in STZ induced diabetic in addition of vitamin E or coenzymeQ10 with glibenclamide drug rats
Groups |
Parameters |
Glucose (mg/dl) |
α-amylase (U/l) |
Negative control |
mean±SD |
95.72±4.66cd |
1151.12±67.14a |
Diabetic rats |
mean±SD % Change |
315.25±42.01a -231.84 |
739.99±67.14d 35.71 |
Diabetic rats treated with antidiabetic-glibenclamide drug |
mean±SD % Change % of improvement |
94±12.94cd 1.79 231.14 |
822.22±67.13c 28.57 5.44 |
Diabetic rats treated with Glibemclamide+Vitamin E |
mean±SD % Change % of improvement |
97.75±11.12cd -2.12 227.22 |
847.25±13.3bc 26.39 9.31 |
Diabetic rats treated with Glibemclamide+CoenzymeQ10 |
mean±SD % Change % of improvement |
133.00±12.80b -39.69 190.39 |
870.61±19.06bc 24.36 11.35 |
Data are means±SD of ten rats in each group. Statistical analysis was carried out using Costat computer program coupled with post-hoc least significance difference (LSD). Unshared letters indicate significant differences at P<0.05.
Liver function enzyme activities (AST, ALT and ALP), LDH and total protein content, significant increase in the enzyme activities; AST, ALT and ALP were detected in diabetic rats as compared to normal control (table 2). However, treatment of diabetic rats with glibenclamide antidiabetic drug alone or combined with vitamin E and coenzyme Q10 showed enhancement in liver enzyme activities with the highest percentages of amelioration for Glibenclamide co-administered with coenzyme Q10(47.03, 105.38 and 67.80 %, respectively for AST,ALT and ALP enzyme activities) as shown in table (2).
Although, LDH enzyme activity (table 3) showed the significant decrease in diabetic rats (60.00 %) as compared to the normal one. While, total protein content is insignificantly changed in diabetic rats. Treatments, of diabetic rats with Glibenclamide alone or co-administered with vitamin E and coenzyme Q10 showed improvement percentages in LDH enzyme activity reached to 49.65, 40.00 and 39.24%, respectively.
Lipid profile (table 4) showed, significant increase in diabetic rats with percentages increase recorded 100.56, 216.32 and 67.35 %, for TG, TC and TL respectively as compared to normal control rats. The oral supplementation of glibenclamide, glibenclamide given with vitamin E or with coenzyme Q10 to diabetic rats resulted in enhancement in lipid profile level with a marked percentages of amelioration upon co-administered Glibenclamide with coenzyme Q10(121.14, 113.35 and 102.94 %, respectively for TG,TC and TL).
Table 2: Serum AST, ALT and ALP enzyme activities in STZ induced diabetic in addition of vitamin E or coenzymeQ10 with glibenclamide drug rats
Groups |
Parameters |
AST (µmole/ml) |
ALT |
ALP (µmole/ml) |
Negative control |
mean±SD |
2.36±0.08b |
1.30±0.07bcd |
79.86±6.59bc |
Diabetic rats |
mean±SD % Change to control |
2.99±0.13a +26.69 |
2.90±0.12a +57.55 |
143.05±0.38a +44.17 |
Diabetic rats treated with antidiabetic-glibenclamide drug |
mean±SD % Change to control % of improvement |
1.95±5.77bcd -17.37 -44.07 |
1.40±8.17cd 7.69 115.38 |
100.00±9.08b -26.29 53.91 |
Diabetic rats treated with glibenclamide+Vitamin E |
mean±SD % Change to control % of improvement |
2.22±0.04bc -5.90 32.63 |
1.41±0.77b 8.46 114.61 |
90.30±5.16bc 13.07 66.05 |
Diabetic rats treated with glibenclamide+coenzymeQ10 |
mean±SD % Change to control % of improvement |
1.88±0.25bcd +20.33 47.03 |
1.53±0.19b +17.69 105.38 |
88.90±8.65bc -11.32 67.80 |
Data are means±SD of ten rats in each group. Statistical analysis was carried out using Costat computer program coupled with post-hoc least significance difference (LSD). Unshared letters indicate significant differences at P<0.05.
Table 3: Serum LDH enzyme activity and total protein content in STZ induced diabetic in addition of vitamin E or coenzymeQ10 with glibenclamide drug rats
Groups |
Parameters |
LDH (U/l) |
Protein (TP) (mg/ml) |
Negative control |
mean±SD |
26500±34.15a |
89.55±4.94a |
Diabetic rats |
mean±SD % Change to control |
10600±0.13b -60 |
89.20±4.64a 0.39 |
Diabetic rats treated with antidiabetic-glibenclamide drug |
mean±SD % Change to control % of improvement |
23759±0.67a -10.34 49.65 |
91.05±5.87a -1.64 2.065 |
Diabetic rats treated with Glibemclamide+Vitamin E |
mean±SD % Change to control % of improvement |
28000±0.21a -5.60 40 |
85.98±9.82a 3.98 3.59 |
Diabetic rats treated with glibemclamide+CoenzymeQ10 |
mean±SD % Change to control % of improvement |
21000±0.37a -19.23 39.24 |
89.50±6.38a 0.06 0.33 |
Data are means±SD of ten rats in each group. Statistical analysis was carried out using Costat computer program coupled with post-hoc least significance difference (LSD). Unshared letters indicate significant differences at P<0.05.
Table 4: lipid profile TG, TC and TL in STZ induced diabetic in addition of vitamin E or coenzymeQ10 with glibenclamide drug rats
Groups |
Parameters |
TG (mg/dl) |
TC (mg/dl) |
TL (mg/dl) |
Negative control |
mean±SD |
88.90±14.69b |
26.22±9.00f |
365.00±25.03b |
Diabetic rats |
mean±SD % Change to control |
178.30±10.60a +100.56 |
82.94±11.44a +216.32 |
610.84±19.55a +67.35 |
Diabetic rats treated with ant diabetic-glibenclamide drug |
mean±SD % Change %Of improvement |
78.85±6.62b 12.04 111.86 |
60.10±4.20bcd +97.85 -87.11 |
312.43±10.00b -14.40 -81.76 |
Diabetic rats treated with Glibemclamide+Vitamin E |
mean±SD % Change %Of improvement |
75.21±5.23b -11.30 115.96 |
55±6.02cd 109.76 -106.55 |
219.98±21.00c 39.73 -107.08 |
Diabetic rats treated with glibemclamide+coenzymeQ10 |
mean±SD % Change %Of improvement |
70.60±9.93b -12.71 121.14 |
53.22±10.26ab 102.97 113.35 |
235.10±21.21c 35.58 -102.94 |
Data are means±SD of ten rats in each group. Statistical analysis was carried out using Costat computer program coupled with post-hoc least significance difference (LSD). Unshared letters indicate significant differences at P<0.05.
Non-enzymatic antioxidants
It is clear from table (5) that, diabetic rat’s recorded significant increase in NO and MDA levels by 83.66 and 52.50, % respectively as compared to normal control rats. While, significant reduction in GSH level (52.06%) was observed. Treatment of diabetic rats with glibenclamide alone or combined with vitamin E and coenzyme Q10 demonstrated the highest percentages of improvement in NO, MDA and GSH levels with Glibenclamide co-administered with coenzyme Q10 (123.36, 48.09 and 75.00%, respectively for NO,GSH and MDA).
Table 5: Antioxidant scavenging activity in STZ induced diabetic in addition of vitamin E or coenzymeQ10 with glibenclamide drug rats
Groups |
Parameters |
NO (µ mole/ml) |
GSH (m mole/l) |
MDA (η mole/ml) |
Negative control |
mean±SD |
19.77±1.93b |
103.37±5.07ab |
0.40±0.09b |
Diabetic rats |
mean±SD % Change |
36.31±2.35a 83.66 |
49.55±7.18e 52.06 |
0.61±6.22a +52.50 |
Diabetic rats treated with antidiabetic-glibenclamide drug |
mean±SD % Change % Of improvement |
14.63±1.38bc 29.99 109.66 |
85.55±7.45cd 17.23 47.93 |
0.42±5.57b +5.00 47.50 |
Diabetic rats treated with glibenclamide+Vitamin E |
mean±SD % Change to control % Of improvement |
12.01±0.95b 39.25 122.91 |
90.58±6.85d 12.37 39.95 |
0.33±0.07b -17.5 70.00 |
Diabetic rats treated with glibenclamide+coenzymeQ10 |
mean±SD % Change to control % Of improvement |
11.92±1.26b 39.70 123.36 |
99.27±1.75ab 3.96 48.09 |
0.31±0.05b -22.50 75.00 |
Data are means±SD of ten rats in each group. Statistical analysis was carried out using Costat computer program coupled with post-hoc least significance difference (LSD). Unshared letters indicate significant differences at P<0.05.
Table (6) declared, diabetic rats exhibited significant increase in CRP and TNF-α level by 162.60 and 76.15 %, respectively as compared to normal control rats. While, significant reduction in IL-10 level (46.23%) was observed. Treatment of diabetic rats with glibenclamide alone or combined with vitamin E and coenzyme Q10 demonstrated the highest percentages of improvement in CRP,TNF—α and IL-10 levels with glibenclamide co-administered with coenzyme Q10(159.15, 54.55 and 34.35%, respectively for CRP,TNF-a and IL-10).
Kidney function tests in table (7) showed significant increase in creatinine and total urea levels in diabetic rats with percentages increase reached to 80.00 and 20.42 % respectively as compared to diabetic rats. Treatment of diabetic rats with glibenclamide alone, glibenclamide+vitamin E and glibenclamide+coenzyme Q10 showed, the highest percentages of improvement in creatinine and total urea levels with glibenclamide co-administered either with vitamin E (92.00 and 55.63%, respectively) or coenzyme Q10(80.00 and 57.40%, respectively).
Table 6: The inflammatory biomarkers; CRP, TNF-a and IL-10 levels in STZ induced diabetic in addition of vitamin E or coenzymeQ10 with glibenclamide drug rats
Groups |
Parameters |
CRP (pg/ml) |
TNF-a (ρg/ml) |
IL-10 (ρg/ml) |
Negative control |
mean±SD |
5.19±1.22e |
109.00±10.33e |
66.60±6.03ab |
Diabetic rats |
mean±SD % Change |
13.631.27a 162.62 |
192.00±11.36a 76.15 |
35.81±3.20c 46.23 |
Diabetic rats treated with glibenclamide |
mean±SD % Change % of improvement |
9.33±0.42b 79.76 82.85 |
155.63±11.97b 42.77 -33.33 |
50.90±9.32b 23.57 22.65 |
Diabetic rats treated with glibenclamide+Vitamin E |
mean±SD % Change % of improvement |
6.53±0.38c 25.81 136.80 |
144.64±1.83c 32.69 43.44 |
52.51±1.10ab 13.64 32.58 |
Diabetic rats treated with Coenzyme Q10 |
mean±SD % Change % of improvement |
5.37±0.19d 3.47 159.15 |
142.34±1.95c 30.58 54.55 |
58.69±1.36ab 3.15 34.35 |
Data are means±SD of ten rats in each group. Statistical analysis was carried out using Costat computer program coupled with post-hoc least significance difference (LSD). Unshared letters indicate significant differences at P<0.05.
Table 7: kidney function tests (creatinine and total urea levels), in STZ induced diabetic in addition of vitamin E or coenzymeQ10 with glibenclamide drug rats
Groups |
Parameters |
Creatinine (mg/dl) |
Urea (mg/dl) |
Negative control |
mean±SD |
0.25±0.92b |
99.13±8.50b |
Diabetic rats |
mean±SD % Change to control |
0.45±0.09a +80.00 |
119.2±8.98a +20.24 |
Diabetic rats treated with glibenclamide |
mean±SD % Change to control % Of improvement |
0.32±2.68b +28 52.00 |
79.92±8.67bc -19.37 39.62 |
Diabetic rats treated with glibenclamide+Vitamin E |
mean±SD % Change to control % Of improvement |
0.22±0.61b -12 92.00 |
64.05±3.06cd -35.38 55.63 |
Diabetic rats treated with glibenclamide+Coenzyme Q10 |
mean±SD % Change to control % Of improvement |
0.25±0.01b 0 80.00 |
62.29±6.02bc -37.16 57.40 |
Data are means±SD of ten rats in each group. Statistical analysis was carried out using Cost at computer program coupled with post-hoc least significance difference (LSD). Unshared letters indicate significant differences at P<0.05.
Table 8: Cholinergic neural Ach and AchE in STZ induced diabetic in addition of vitamin E or coenzymeQ10 with glibenclamide drug rats
Groups |
Parameters |
Ach (μmol/mg protein) |
AchE (U/mg protein) |
Negative control |
mean±SD |
89.00±7.42 |
598.90±20.14 |
Diabetic rats |
mean±SD % Change to control |
60.00±2.55b -32.58 |
290.30±71.22b +48.806 |
Diabetic rats treated with glibenclamide |
mean±SD % Change to control % Of improvement |
74.90±12.45c -15.84 16.74 |
420.00±40.03c +20.22 28.43 |
Diabetic rats treated with glibemclamide+Vitamin E |
mean±SD % Change to control % Of improvement |
83.7±2.63 -5.95 26.63 |
510.90±32.27 -0.33 49.09 |
Diabetic rats treated with Glibenclamide+Coenzyme Q10 |
mean±SD % Change to control % Of improvement |
85.70±6.60 -3.70 28.88 |
611.00±20.27 +2.02 46.63 |
Data are means±SD of ten rats in each group. Statistical analysis was carried out using Cost at computer program coupled with post-hoc least significance difference (LSD). Unshared letters indicate significant differences at P<0.05.
Significant decrease in ACh level in diabetic rats, while significant increase in AChE with percentages reached to 32.58 and 48.81 %, as compared to normal control rats. Treatments of diabetic rats with Glibenclamide co-administered with either vitamin E or coenzyme Q10 exhibited the higher percentages of amelioration in Ach and Ach levels than glibenclamide alone (26.63, 49.09 %, respectively for Glibenclamide+vitamin E and 28.88, 46.63%, respectively for Glibenclamide+coenzyme Q10)(table 8).
Histopathological examination
Fig. (1) Control rat liver section showing normal hepatic chord, hepatocytes, central canal and Kupffer cells Photomicrograph of 5 microns thick H & E stained paraffin section from the liver of a normal rat (A) showing normal lobular pattern with a centrilobular vein and radiating irregular anatomizing plates of hepatocytes with intervening sinusoids. In Diabetic group (B) showing hepatocellular degeneration, vacuolation of hepatocytes along with clumping of cytoplasm and necrosis (B*) The same section of liver section of diabetic rat showing The same section of Liver of diabetic rat revealed binuclear hepatocytes (→) and sinusoidal dilatations, H and E × 100. In the group treated with glibenclamide showing protection with mild degenerative changes (C). In group treated with COQ10 in addition to glibenclamide showing a significant enhancement in hepatic cells, proliferation of bile ductules (Arrow)(D). In group treated with vitamin E in addition to glibenclamide showing nearly normal (E).
Fig.1: Section of liver showing normal rat (A), Diabetic group (B) and (B*), group treated with glibenclamide (C), group treated with COQ10 in addition to glibenclamide (D), group treated with vitamin E in addition to glibenclamide (E)
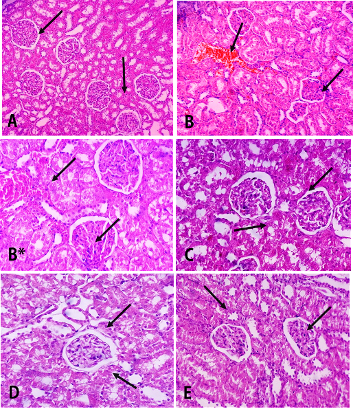
Fig. (2) Photomicrograph of control kidney section 200× showed normal Glomerulus, Bowman’s space and renal parenchyma (A). On the other side, the kidney sections of+ve control exhibited some hyperplastic glomeruli and swollen lining epithelium of the renal tubules (B) Other Photomicrograph of kidney tissue section of revealed proximal convoluted tubules show destructed epithelial lining 400x.(B*) Glibenclamide, revealed almost normal arranged of renal corpuscle with normal glomerulus stained with (H&E) 200x. (C) In group treated with COQ10 in addition to glibenclamide showing normal glomeruli (D). In group treated with vitamin E in addition to glibenclamide showing nearly normal histology (E).
Fig.2: Section of kidney showing normal rat (A), Diabetic group (B) and (B*), group treated with glibenclamide (C), group treated with COQ10 in addition to glibenclamide (D), group treated with vitamin E in addition to glibenclamide (E)
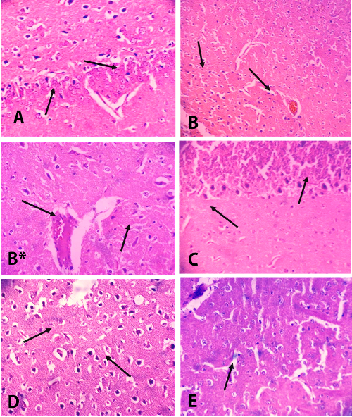
Fig. (3) Histological examination of the brain (hippocampus) Control rat hippocampus section showing normal glial cell layer, molecular layer and Purkinje layer (A). Brain section of diabetic rat showing necrotic degeneration of Purkinje neurons, enlargement of perikaryon with vacuoles filled with colorless debris, lysis of glial cells and neuroplasm (B), (B*) The same section of brain section of diabetic rat With higher magnification 400x. Brain section glibenclamide treatment showing diminution of pathology with only mild necrotic and degenerative changes (C). In COQ10 treatment (D) and vitamin E treatment group the number of apoptotic neurons was reduced significantly compared to control group (E).
Fig.3: Section of brain showing normal rat (A), Diabetic group (B) and (B*), group treated with glibenclamide (C), group treated with COQ10 in addition to glibenclamide (D), group treated with vitamin E in addition to glibenclamide (E)
DISCUSSION
Diabetes mellitus is a major disease associated with disturbances of in carbohydrate, fat and protein metabolism, affecting nearly 10 % of the population. STZ-induced hyperglycemia has been described as an utilizable experimental model to study the activity of hypoglycemic agents. This study was undertaken to evaluate that the aminotransferases (ALT and AST) and ALP levels were significantly increased in STZ-treated animals, the increase in aminotransferases levels may be due to the cellular damage in the liver which caused by STZ induction [27].
Ali et al. [28] observed increased levels of serum ALP in pathological conditions involving the liver and kidney. Increase in the levels of ALP in diabetic rats was Cell damage has been implicated in a variety of chronic diseases. Oxidative stress and alterations in glucose metabolism are important risk factors for diabetes and its related complications. Advanced glycation end products (AGEs) and their carbonyl derivatives contribute to the pathogenesis of diabetes by their interaction with specific cell membrane receptors triggering to induce the expression of pro-inflammatory mediators and elicit oxidative stress, which exacerbate diabetic complications [29]. A significant elevation in liver function markers associated with insignificant change in total protein content as compared to the normal control group was illustrated (table 2). The high serum levels of these enzymes after STZ treatment are associated with inflammation and/or injury to liver cells, a condition known as hepatocellular liver injury and apoptosis. Supporting our findings, It has been found that hyperglycemia resulted in hepatolysis was reflected by increased blood serum aminotransferases as one of the consequences of diabetic complication. The increment of such serum markers may be due to the leakage of these enzymes from the liver cytosol into the blood stream as a result of hepatomegaly [27].
It was observed that, the levels of TG, TC and TL in diabetic rats were increased in a significant way. Insulin activates lipoprotein lipase which hydrolyzes triglycerides. Insulin deficiency results in the failure of activate lipase enzyme consequently, causing hypertriglyceridemia [30]. The present results run in parallel with the results achieved by Seth et al. [3]who demonstrated significant elevation in lipid profile in the serum of diabetic rats.
The present results indicate significant elevation in NO and MDA levels in liver of diabetic rats (table 5). These elevated levels may be due to oxidative stress which is considered as one of the necessary causative factors that link diabetes with the pathogenic complications of several tissues [32]. Experimental studies suggested that NO may be responsible for the increased liver injury [33].
Lipid peroxidation can damage protein, lipid, carbohydrates, and nucleic acids and is one of the risk factors of protein glycation, elevated rates of liver lipid peroxidation accompanied with deterioration in glucose tolerance in GSH-depleted rats. It has been suggested that in free radical initiating systems, the deterioration in glucose tolerance is attributed to impaired insulin action [34].
DM is associated with the oxidative stress resulted from the increased production of free radicals with/or a marked reduction of antioxidant defenses [35]. The direct toxicity of NO is enhanced by its reacting with superoxide radical to give secondary toxic oxidizing species, such as peroxy Nitrite (ONOO) which is capable of oxidizing cellular structure and causes lipid peroxidation The present results clearly indicate elevated NO and MDA levels in diabetic rats [30].
Initiation of lipid peroxidation by free radicals, in the lipid moiety of the cell membrane, was supposed to result in distortion of the structural and functional integrity of the cell membrane or internal cellular components [36]. The current data show also that STZ caused a reduction in GSH in the liver of diabetic rats (table 5). This may be attributed to excess production of ROS and inhibition in free radical scavenging enzyme SOD. SOD neutralizes superoxide as it cannot cross the lipid membrane producing hydrogen peroxide. Hydrogen peroxide can cross biological membranes. Catalase detoxifies hydrogen peroxide which plays the principal role in tissue damage. So, the reduction in SOD may damage the first line of enzymatic defense against superoxide anion and hydrogen peroxide. The significant depletion in GSH in liver of diabetic rats indicates damage to the second line of antioxidant defense [37].
This probably further exacerbates oxidative damage by adversely affecting critical GSH related processes such as free radical scavenging, detoxification of electrophilic compounds, modulation of cellular redox status and thiol disulphide status of proteins, and regulation of cell signaling and repair pathways [38].
Significant increase in inflammatory markers; CRP and TNF-α was noticed in diabetic rats however, IL-10 showed the significant decrease. Type II diabetes mellitus (T2DM) is considered as a metabolic pro-inflammatory disorder that has severe hyperglycemia and highly levels of circulating cytokines [39]. CRP is a sensitive marker of systemic inflammation and is conjugated with type 2 diabetic [40]. It is observed that, CRP levels were highly increased in case of diabetic rats. This is may be due to the dysfunction of β-cell in insulin resistance [41]. In agreement with the present results, Habib [42] reported that diabetic patients have higher levels of CRP than healthy ones.
Regarding to TNF-α, an adipocytokine, is involved in inflammation [43]. In the present study, TNF-α level is highly increased in diabetic rats. In concern with the present results, elevated levels of TNF-α associated with diabetes [44]. With respect to IL-10 cytokines, is identified as an important modulator of inflammatory cytokines production [45]. The current results are in accordance with Van Exel et al. [46] who revealed IL-10 levels decreased in type 2 diabetic patients. Also, high concentrations of glucose lead to high production of intracellular reactive oxygen species (ROS) [47] consequently, ROS production can lead to high production of pro-inflammatory cytokines that can affect β-cells in a paracrine manner [48].
With respect to cholinergic markers, the present results show the significant increase in brain activity of AchE with concomitant decrease in Ach level in STZ induced diabetic rats. Kaizer et al. [49] suggested that the increased in AchE activity was occurred via allosteric interaction between ROS and the peripheral anionicsite of the enzyme molecule, free radical action has been shown to increase in brain of diabetic rats, It is known that certain regions of the brain are very rich in iron, and is catalytically involved in production of damaging oxygen free radical species [50].
Our results show that in hyperglycemic rats, the AchE activity was significantly decreased. Streptozotocin (STZ), when injected intraperitoneal in a single dose to rats, has been found to cause prolonged impairment of brain glucose and energy metabolism. This is accompanied by impairment of learning and memory in addition to decrease cholineacetyl transferase levels in the hippocampus [51].
The changes in the cholinesterase level might reflect impairment in biosynthesis, degradation or insertion into the plasma membrane [52]. The decreased AChE activity by the lipid peroxid ation was reversed when diabetic rats were treated with vitamin E and coenzyme Q10. The observed stimulation of AChE activity in diabetic rats treated may possibly be due to increase in membrane fluidity. It has been suggested that coenzyme Q10 and vitamin E with Glibenclamide acts directly on cholinesterase, therefore, they seem to protect the enzyme against the direct actions of free radicals. This action could be exerted on cysteine, methionine, and histidine and/or tyrosine residue to the AChE and BChE molecule [53]. Taken together, our data suggested that coenzyme Q10 and vitamin E increase AChE activity by increasing membrane fluidity and decreasing lipid peroxidation.
The above observation indicates that it may be possible to ambient cholinergic function by inhibiting Streptozotocin-induced decrease in cholinergic neuraldys function during diabetes through increasing antioxidant. In parallel results, vitamin E is a powerful antioxidant that has been shown to decrease several outcomes of oxidative stress and oxidative damage in cell culture, in animal models of diabetes, and in diabetic humans. Because vitamin E is located in membranes and serves to reduce lipid peroxidation primarily as a chain-breaking antioxidant. Vitamin E given to diabetic animals has been shown to exhibit effects in several tissues as well, including kidney retina and lens, peripheral nerve, brain, and liver [54].
Minamiyama et al. [55] declared that antioxidant interventions have been shown to decrease oxidized protein levels in rats. Vitamin E reduces protein oxidation, lowered protein carbonyl content in the livers and brain mitochondria of Streptozotocin-induced diabetic rats. Vitamin E has been shown to inhibit the glycation of hemoglobin, which serves as a biomarker for the diagnosis of diabetes in a clinical setting, in both Streptozotocin-induced diabetic rats and in a rat model for type 2 diabetes. The mechanism by which vitamin E lowers protein glycation has been shown to be through inhibition of MDA formation, which contributes to the glycation of proteins in diabetics. Therefore, evidence does support an increase in both protein oxidation and glycation in diabetes and a suppressive effect of vitamin E on these parameters, in animal model [55].
Pazdro and Burgess [54] reported that GPx, GSH, and vitamin E are all lower in the kidney and lens of diabetic rats when compared to non-diabetic controls and that these effects may be improved with exercise and supplementation with vitamins C and E. Thus, treatment with insulin or antioxidants appeared to normalize an antioxidant defense system. In accordance with the present results Takatori et al.[56], indicated a role for oxidative stress in development of Streptozotocin-induced diabetes, as antioxidants have been found to slow or prevent pancreatic complications after administration of this agent So, vitamin E improves outcomes related to pancreas physiology in diabetes.
Pazdro and Burgess [54] found that rats deficient in vitamin E, selenium, or both had decreased insulin secretory reserves, suggesting that vitamin E status can directly affect pancreatic islet function. Supplementation with vitamin E appeared to lower plasma glucose in type 2 diabetic humans. However, Koya et al. [57] have shown vitamin E supplementation to reduce oxidative stress in glomeruli of diabetic rats. Oxidative stress in diabetic kidney is usually associated with tissue damage that interferes with proper organ function, causing an increase in urinary protein excretion and blood urea nitrogen (BUN). Vitamin E supplementation (1000 IU/kg diet) for 4 w. after Streptozotocin-induction of diabetes resulted in significant reductions in both measures as compared to diabetic rats on a control diet.
Moreover, Haidara et al. [58] are supporting our data by confirming the effect of vitamin E in reducing BUN and serum creatinine in diabetic rats, demonstrating a positive effect on kidney function. With respect to the treatment o diabetic rats with coenzyme Q10, it primary role of CoQ10 is as a vital intermediate of the electron transport system in the mitochondria. Adequate amounts of coenzyme Q10 are necessary for cellular respiration and ATP production. Due to its involvement in ATP synthesis, coenzyme Q10 affects the function of all cells in the body, making it essential for the health of all tissues and organs. CoQ10 also functions as an intercellular antioxidant at the mitochondrial level, perhaps accounting for its benefit in neurodegenerative diseases, male infertility, and periodontal disease [59].
The electron-transport chain is integrally involved in carbohydrate metabolism. Serum CoQ10 levels in type 2 diabetic patients are often decreased and may be associated with subclinical diabetic cardiomyopathy, reversible by coenzyme Q10 supplementation. Its supplementation may be raised plasma coenzyme Q10 levels, and in combination with fenofibrate markedly improved both endothelial and non-endothelial forearm vasodilatations. [60, 61]. In addition, coenzyme Q10 has attracted increasing attention with regard to its function in the reduced form (ubiquinol-10) as an antioxidant. Ubiquinol-10 efficiently protects membrane phospholipids and serum low-density lipoprotein from lipid peroxidation and also mitochondrial membrane proteins and DNA from oxidative damage induced by free radicals. Ubiquinol-10 is as effective in preventing oxidative damage to lipids as alpha-tocopherol, and is considered to be the best lipid-soluble antioxidant [62].
Coenzyme Q10 by electron transport carriers present in various biomembranes and by some enzymes and to protect membrane components from free radical damage such as lipid peroxidation [63]. In various studies, it has been reported that diabetes developed by STZ causes histological changes in liver and kidney [28].
In our study, nuclear hypertrophy and binuclear hepatocytes, hyperplastic glomeruli, necrotic degeneration of Purkinje neurons were observed in liver, kidney and brain tissues of diabetic control groups, whereas normal formations were seen in liver histology of control groups and treated diabetic group. As a result, we observed that the CO10 and Vit E shows ant diabetic and antioxidative properties in diabetes complications, and glibenclamide cured partially the defects of antioxidant enzymes and histological structure caused by diabetes by reducing blood sugar. Hence, there is need for conducting clinical research in supplementation CO10 and Vit. E. Glibenclamide alone or with CO10 and Vit E treated diabetic group. Hepatocytes and sinusoidal structures in diabetic-or with CO10 and Vit E group showed nearly normal histology
CONCLUSION
It has been demonstrated that diabetes induces oxidative stress and the resulting damage may be mitigated by treatment with vitamin E and CO10 as antioxidant. Vitamin E exerts effects based primarily on residing cell membranes and lipoprotein particles, vitamin E appears to protect against macromolecule damage especially lipid peroxidation–in STZ experimental diabetes. The present results are also evidenced to support a role of vitamin E and CO10 in protection of the liver, kidney, and brain against the development of diabetic complications in animals. Vitamin E and CO10 may protect against lipid peroxidation and to a lesser extent nitric oxide in diabetic rats. Optimizing vitamin E and CO10 status achieved through food intake or supplementation at the recommended amounts may slow the progression of the tissue damage in diabetes, but more studies are needed before definitive conclusions can be drawn.
ABBREVIATION
Coenzyme Q10 (COQ10), Streptozotocin (STZ), Alanine transferases (ALT), Aspartate transferases (AST) alkaline phosphatase (ALP), glutathione (GSH), lipid peroxidation (LP), superoxide dismutase (SOD), C-reactive protein (CRP), Interlukin-10 (IL-10), Tumour necrosis factor-α (TNF-α).
CONFLICT OF INTERESTS
Declared None
REFERENCES
Ali SA, Faddah L, Abdel-Baky A, Bayoumi A. Protective effect of L-carnitine and Coenzyme Q10 on CCl4–induced liver injury in Rats. Sci Pharm 2010;78:881–96.