
1Faculty of Pharmacy, Integral University, Dasauli, Kursi Road, Lucknow 226026, Uttar Pradesh, India
Email: ansaritariq79@yahoo.co.in
Received: 09 Jun 2015 Revised and Accepted: 17 Jul 2015
ABSTRACT
Objective: The aim of the study was to explore the protective activity of Terminalia chebula fruit extract on cardiotoxicity in streptozotocin (STZ) induced diabetic rats.
Methods: The animals were divided into eight groups of five each and were fed with high fat diet (HFD) except sham control, diabetic control and isoproterenol control. Diabetes was induced by administering single intraperitoneal (i. p.) injection of STZ (0.05 g/kg) in all groups except sham and isoproterenol control and was confirmed by testing blood glucose level after 48 h. Rats were pretreated with ethanolic extract of Terminalia chebula (0.25& 0.5 g/kg/d; per oral (p. o.)), pioglitazone (0.01 g/kg/d), carvedilol (0.002 g/kg/d) and normal saline throughout the study period (14 days). Cardiotoxicity was induced by the administrating two subcutaneous (s. c) injection of isoproterenol (ISO) (0.085 g/kg) at an interval of 24 h. Troponin was checked to confirm cardiotoxicity. The evaluation parameters include initial and final blood glucose level, change in body weight, food efficiency ratio (FER), heart weight-body weight ratio, biochemical estimations and histopathological studies.
Results: Pretreatment with Terminalia chebula produced significant (p<0.01) decrease in blood glucose level and heart weight-body weight ratio. It significantly decrease the elevated activity of the cardiac marker enzymes, alanine transaminase (ALT), lactate dehydrogenase (LDH), creatinine kinase (CK-MB) (p<0.01), similar to the standard drug carvedilol in isoproterenol injected rats. Pretreatment with Terminalia chebula showed absence of troponin and lesser degree of necrosis, edema, and myofibrillar degeneration.
Conclusion: Terminalia chebula has significant cardioprotective action against cardiotoxicity in STZ induced diabetic rats, which is comparable with standard drugs i.e., pioglitazone and carvedilol.
Keywords: Cardiac hypertrophy, Cardiotoxicity, Diabetes mellitus, Herbal drugs, Isoproterenol, Myocardial infarction, Necrosis, Streptozotocin, Terminalia chebula.
INTRODUCTION
Cardiotoxicity is a condition when there is damage to the heart muscle and dysfunction of heart electrophysiology. As a result of cardiotoxicity, the heart becomes weaker and is not as efficient in pumping and therefore circulating blood [1]. This may be due to chemotherapy drugs, complications from anorexia nervosa, adverse effects of heavy metals intake, or an incorrectly administered drug such as bupivacaine or other medications [2]. Cardiotoxicity, if severe, may lead to cardiomyopathy [1]. Myocardial infarction (MI), the medical term used for an event commonly known as a heart attack [3] represents permanent cellular injury and necrosis after a prolonged ischemic episode [4]. It happens when blood stops flowing properly to part of the heart and the heart muscle is injured due to not receiving enough oxygen [3]. Myocardial infarction is a leading cause of morbidity and mortality worldwide and presence of diabetes doubles the relative risk of MI as it increases the rate of atherosclerotic progression and adversely affects the lipid profile. Further, diabetes related changes in metabolic and autonomic functioning as well as increases in inflammatory and thrombotic signalling, compromise the ability of myocardial and vascular tissue to remodel after injury and to recover and sustain functionality [5].
Streptozotocin (STZ) is well known for its selective pancreatic islet beta cell cytotoxicity and has been extensively used to induce diabetes in experimental rat model. It interferes with cellular metabolic oxidative mechanisms [6, 7]. Isoproterenol (ISO) is a beta adrenergic agonist that causes severe stress in myocardium and necrotic lesions in heart muscles [8] and marked inotropic and chronotropic action results in loss of function and integrity of myocardial membrane [9]. Myocardial infarction induced by ISO in rats has been shown to be accompanied by hyperglycemia and a significant increase in the levels of serum marker enzymes [10, 11].
Traditional medicines are now commonly used in treating and preventing specific ailments and are considered to play a significant role in health care. Indeed, phytomedicines are beginning to link traditional and modern medicines [12].
Terminalia chebula is extensively used in ayurveda, siddha, unani and homeopathic medicines in India [13] and is chief ingredient of Triphala, a polyherbal preparation used as laxative in chronic constipation, detoxifying agent of the colon and food digestive problems. It also stimulates appetite and is useful in treating cancer. Triphala is prescribed as a cardio tonic [14].
Terminalia chebula has been proved to be a good hypoglycemic and cardioprotective agent, so it was worth to explore its protective effect against diabetes induced cardiac complications, as it directly related to present clinical condition.
MATERIALS AND METHODS
Collection and authentification of plant material
Dried fruits of Terminalia chebula were purchased from the local market of Lucknow. The plant material was authenticated by a botanist of National Botanical Research Institute (NBRI), Lucknow. A voucher specimen number NBRI/CIF/407/2013 has been deposited at the herbarium of faculty of pharmacy, Integral University, Lucknow, India.
Preparation of plant extract
Terminalia chebula fruits were dried under shade and milled to obtain a fine powder. Powder of Terminalia chebula fruits was accurately weighed around 250 g for extraction. Extraction from powder was done by cold maceration process for 72 h by using five time quantity of 90% ethanol and was filtered to get extract of solvent. Collected extract was evaporated to get soft extract. Soft extract collected was weighed [15, 16].
Drugs and chemicals
Isoproterenol hydrochloride was purchased from Sigma Aldrich, U. S. A., normal saline (0.9%) from Albert David Limited, Ghaziabad and streptozotocin from M. P. bio medicals, Pune. Carvedilol and pioglitazone were taken as marketed preparations of Sun Pharma limited, brand name was cardivas and pioglit respectively, procured from the local market. The Serum ALT diagnostic kit was purchased from Span Diagnostics, Surat and Serum CK-MB and LDH diagnostic kits from Merck Specialities Private Limited. Troponin I kit was obtained from Roche Diagnostic. All chemicals used were of analytical grade.
Experimental animals
Male Sprague dawley rats (l50-200 g) were used for the study. They were housed five each in sanitized polypropylene cages containing paddy husk as bedding under standard laboratory conditions at room temperature (23 °C±2 °C) with 12 h light/dark cycle. The animals were randomized into experimental and control groups.
They had free access to standard pellets as basal diet and water ad libitum. Ethical clearance was obtained from Institutional Animal Ethical Committee (IAEC). The approval no. is IU/Pharm/M. Pharm/IAEC/14/02 Faculty of pharmacy Integral University, Dasauli, P. O. Basha Kursi Road; Lucknow–226026 (U. P).
Experimental protocol
Induction of diabetes mellitus
Streptozotocin (0.05 g/kg, i. p.) was administered at the 4th day of study after 24 h fasting in every group except sham and isoproterenol control. Diabetes was confirmed after 48 h of streptozotocin injection by collecting blood samples from tail tip using a blood glucometer. The rats with fasting blood glucose level above 2.5 g/l were considered diabetic and were used in the experiment [17-19].
Induction of cardiotoxicity
Cardiotoxicity was induced by two consecutive injection of isoproterenol (0.085 g/kg, s. c.) at an interval of 24 h on the 12th and 13th day of study [20].
Preparation of high fat diet (HFD)
High fat diet was prepared according to the composition mentioned by Vijaya et al. [21].
Treatment protocol
All diabetic rats were divided into eight groups of five animals each for which the dosing and treatment schedule is as follows
Group I–Normal control (Sham)
Rats were administered with normal saline instead of streptozotocin and fed with normal pellet diet (NPD) throughout the study period.
Group II–Diabetic control (D-NPD)
Rats were administered with STZ (0.05 g/kg, i. p.) and fed with NPD throughout the study period (14 d) and administered with isoproterenol (0.085 g/kg, s. c) at an interval of 24 h on the 12th and 13th day of study.
Group III–Diabetic high fat diet Control (D-HFD)
Rats were administered with STZ (0.05 g/kg, i. p.) and fed with HFD along with NPD throughout the study period (14 d) and administered with isoproterenol (0.085 g/kg, s. c) at an interval of 24 h on the 12th and 13th day of study.
Group IV–Isoproterenol challenged (NPD-C-I)
Rats were fed with NPD throughout the study period (14 d) and administered with isoproterenol (0.085 g/kg, s. c) at an interval of 24 h on the 12th and 13th day of study.
Group V–Pioglitazone treated (0.01 g/kg)
Rats were administered with STZ (0.05 g/kg, i. p.) and fed with HFD along with NPD and pretreated with pioglitazone(0.01 g/kg/d; p. o.) throughout the study period (14 d) and then administered with isoproterenol (0.085 g/kg, s. c) at an interval of 24 h on the 12th and 13th day of study.
Group VI–Carvedilol treated (0.002 g/kg)
Rats were administered with STZ (0.05 g/kg, i. p.) and fed with HFD along with NPD and pretreated with carvedilol(0.002 g/kg/d; p. o.) throughout the study period (14 d) and then administered with isoproterenol (0.085 g/kg, s. c) at an interval of 24 h on the 12th and 13th day of study.
Group VII–T. chebula extract treated (0.25 g/kg)
Rats were administered with STZ (0.05 g/kg, i. p.) and fed with HFD along with NPD and pretreated with ethanolic extract of T. chebula (0.25 g/kg/d; p. o.) throughout the study period (14 d) and then administered with isoproterenol (0.085 g/kg, s. c) at an interval of 24 h on the 12th and 13th day of study.
Group VIII–T. chebula extract treated (0.5 g/kg)
Rats were administered with STZ (0.05 g/kg, i. p.) and fed with HFD along with NPD and pretreated with ethanolic extract of T. chebula (0.5 g/kg/d; p. o.) throughout the study period (14 d) and then administered with isoproterenol (0.085 g/kg, s. c) at an interval of 24 h on the 12th and 13th day of study.
At the end of the study, the animals were weighed and then sacrificed with the high dose of diethyl ether. Blood samples were collected by cardiac puncture/retro orbital plexus and were allowed to clot at room temperature. The serum was then separated by centrifugation at 3000 rpm at 30 °C for 15 min and was used for estimations of cardiac marker enzymes. The heart was excised immediately and rinsed with ice cold saline, blotted with filter paper and weighed. Photographs were taken for gross examination and a portion of the heart of different groups were cut and homogenized in ice chilled phosphate buffer. Rest of the heart was kept in 10% formalin solution for histopathological studies [20, 22-25].
Estimations
Fasting blood glucose was estimated at the beginning of study on day 0 as well as at the end of the study on day 14 by using glucometer. Body weight gain was calculated according to the formula: final body weight-initial body weight. Food efficiency ratio was calculated as: total body weight/total food intake.
After the sacrifice of animal, the heart was excised immediately and rinsed with ice cold saline, blotted with filter paper and weighed. Heart weight-body weight ratio was calculated according to the formula: heart weight/final body weight * 103.
Grading of heart was done by observing the morphological changes seen by naked eyes according to following criteria:
Grade 0 = No Lesion, Grade 1= Inflammation, redness, capillary dilations, Grade 2 = Edema, yellowish ventricle portion, Grade 3 = Atrium & ventricle turns yellow, scar formation, Grade 4 = Diffuse heart, absolute scar formation, increased necrosis portion.
Troponin was checked by ready to use kits from Roche diagnostics after 4-5 h of second isoproterenol injection and other cardiac marker enzymes; alanine transaminase (ALT), lactate dehydrogenase (LDH), and creatine kinase-MB (CK-MB) were estimated by commercially available kits of span cogent diagnostics and merck specialities respectively, according to the procedure given on assay leaflet provided with the kits.
At the end of study, the heart was isolated, washed with ice cold saline and the tissue was fixed in 10% buffered neutral formalin solution. Histopathological studies were done from RS Diagnostics centre, Lucknow. Hematoxylin and eosin stain was used. The slides were observed under the light microscope and photomicrographs were taken on 10 and 40x. The study includes an evaluation of myocardial fibrosis, vascular lesions and measurement of myocardial cell size [17-19, 26].
Statistical analysis
Data was expressed as mean±standard deviation (SD, n = 5). Statistical analysis was performed using one-way analysis of variance (ANOVA) followed by Turkey’s Kramer comparison test with the aid of Graph Pad prism in stat software (version 5.0, USA). P<0.01 was considered statistically significant.
RESULTS
Fig. 1: Final blood glucose level
All values are expressed as mean±standard error of the mean (SEM) calculated by one way ANOVA (n=5). * = p<0.01when comparison is done between Sham and D-NPD, D-NPD and D-HFD, D-HFD and pioglitazone, D-HFD and T. chebula (T. C.) (0.25 g/kg), D-HFD and T. chebula (0.05 g/kg) followed by Tukey’s t-test.
Fig. 2: Heart weight-body weight ratio
*= p<0.01when comparison is done between Sham and DNPD, DNPD and D-HFD, D-HFD and carvedilol, DHFD and T. chebula (0.25 g/kg), D-HFD and T. chebula (0.05 g/kg) as calculated by one way ANOVA followed by Tukey’s t-test.
Fig. 3: Assessment and grading of heart (a) Sham (b) D-NPD (c) D-HFD (d) NPD-C-I (e) Pioglitazone (f) Carvedilol (g) Terminalia chebula (0.25 g/kg)(h) Terminalia chebula (0.05 g/kg)
Table 1: Food efficiency ratio (FER)
S. No. Groups |
1 |
2 |
3 |
4 |
5 |
Mean±SEM |
Sham |
5.5 |
5.6 |
5.7 |
6.2 |
6.7 |
5.94±0.22 |
D-NPD |
2.21 |
2.03 |
1.88 |
1.85 |
2.28 |
2.05*±0.08 |
D-HFD |
3.83 |
3.56 |
4.21 |
3.97 |
4.16 |
3.94*±0.11 |
NPD-C-I(0.085 g/kg) |
4.26 |
4.37 |
4.57 |
4.81 |
4.70 |
4.54*±0.10 |
Pioglitazone(0.01 g/kg) |
6.74 |
6.55 |
7.02 |
6.96 |
7.50 |
6.95*±0.15 |
Carvedilol(0.002 g/kg) |
3.07 |
3.00 |
3.54 |
3.26 |
3.45 |
3.26*±0.10 |
T. chebula(0.25 g/kg) |
4.66 |
4.23 |
5.27 |
4.87 |
5.21 |
4.84*±0.19 |
T. chebula(0.05 g/kg) |
4.72 |
4.68 |
4.85 |
4.55 |
5.12 |
4.78*±0.09 |
All values are expressed as mean±SEM calculated by one way ANOVA (n=5). *=p<0.01when comparison is done between Sham and DNPD, DNPD and D-HFD, D-HFD and pioglitazone, DHFD and T. chebula (0.25 g/kg), D-HFD and T. chebula (0.05 g/kg) followed by Tukey’s t-test.
Gross examination of heart
Table 2: Assessment and grading of heart
Groups |
Grading of cardiac damage |
Sham |
Grade 0 |
Diabetic control (D-NPD) |
Grade 3 |
Diabetic-high fat diet Control(D-HFD) |
Grade 4 |
Isoproterenol control (NPD-C-I) |
Grade 3 |
Pioglitazone(0.01g/kg) |
Grade 2 |
Carvedilol (0.002 g/kg) |
Grade 1 |
T. chebula extract 1 (0.25 g/kg) |
Grade 3 |
T. chebula extract 2 (0.05 g/kg) |
Grade 2 |
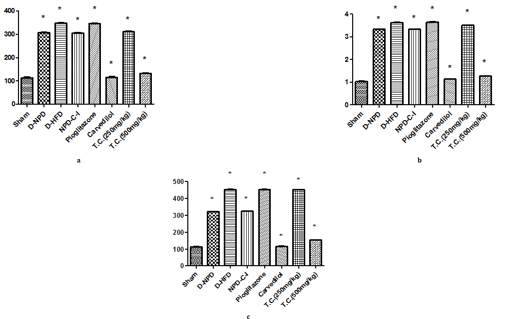
Cardiac marker enzymes
Fig.4: Cardiac marker enzymes (a) Alanine Aminotransferase (ALT) (b) Creatinine kinase-myoglobulin (CK-MB) (c) Lactate dehydrogenase (LDH)
*= p<0.01when comparison is done between Sham and DNPD, DNPD and D-HFD, D-HFD and carvedilol, DHFD and T. chebula (0.25 g/kg), D-HFD and T. chebula (0.05 g/kg) as calculated by one way ANOVA (n = 5) followed by Tukey’s t-test.
Troponin–I
Table 3: Troponin-I
S. No. Groups |
1 |
2 |
3 |
4 |
5 |
Sham |
-ve |
-ve |
-ve |
-ve |
-ve |
D-NPD |
+ve |
+ve |
+ve |
+ve |
+ve |
D-HFD |
+ve |
+ve |
+ve |
+ve |
+ve |
NPD-C-I(0.085g/kg) |
+ve |
+ve |
+ve |
+ve |
+ve |
Pioglitazone(0.01 g/kg) |
+ve |
+ve |
+ve |
+ve |
+ve |
Carvedilol(0.002 g/kg) |
-ve |
-ve |
+ve |
-ve |
-ve |
T. chebula(0.25 g/kg) |
+ve |
+ve |
+ve |
-ve |
-ve |
T. chebula(0.05 g/kg) |
-ve |
-ve |
-ve |
+ve |
+ve |
Where+ve denotes presence of enzyme and–ve denotes absence of enzyme
Histopathological studies
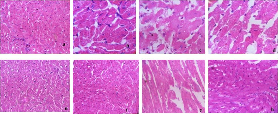
Photomicrographs of rat heart of sham control group revealed that the muscle fibres was compactly arranged with minimum interstitial tissue. There was no muscular hypertrophy or evidences of necrosis. Photomicrographs of rat heart of D-NPD, D-HFD and NPD-I-C groups showed that the muscle fibres was loosely arranged with fragmentation and increased interstitial tissue. Photomicrographs of rat heart of pioglitazone, carvedilol and Terminalia chebula (0.05 g/kg) group showed that the bundles of muscle fibres were compactly arranged with minimum interstitial tissue whereas Terminalia chebula (0.25 g/kg) group showed that the muscle fibres were loosely arranged with fragmentation and increased interstitial tissue. H&E stain was used.
All photographs were taken on 10 and 40 x (fig. 5).
Fig. 5: Photomicrographs of histopathology of rat’s heart of different groups (a) Sham (b) D-NPD (c) D-HFD (d) NPD-C-I (e) Pioglitazone (f) Carvedilol (g) Terminalia chebula (0.25 g/kg)(h) Terminalia chebula (0.05 g/kg)
DISCUSSION
Myocardial infarction, commonly known as a heart attack, is a leading cause of morbidity and mortality worldwide and presence of diabetes doubles the relative risk of MI as it increases the rate of atherosclerotic progression and adversely affects the lipid profile. Myocardial cell protection and prevention of cell ischemia or necrosis have been therapeutics targets for a long time [27]. Traditional medicines are now commonly used in treating and preventing specific ailments and are considered to play a significant role in health care as current treatment has only a limited impact on survival and annual cost. Terminalia chebula proved to be a good hypoglycemic and cardioprotective agent [28, 29]. The prime objective of the present study was to explore the cardioprotective activity of Terminalia chebula against isoprenaline induced myocardial necrosis in diabetic as well as non diabetic rats.
Experimental diabetes was produced by low dose of STZ (0.05 g/kg) combined with high fat diet intake. High fat diet induces insulin resistance and an injection of low dose STZ makes partial dysfunction of beta cell to suppress insulin secretion, which works as a compensation to insulin resistance [26, 30]. Cardiotoxicity was induced by administering isoproterenol (0.085 g/kg, s. c) on the 12th and 13th day of study at an interval of 24 h [20].
Injection of STZ with 2 w of dietary manipulation, significantly (p<0.01) increased blood glucose level in diabetic high fat diet control group (D-HFD), thus producing frank hyperglycemia. Pretreatment with high dose of Terminalia chebula (0.05 g/kg) produced significant (p<0.01) decrease in the blood glucose level where as pretreatment with low dose of Terminalia chebula (0.25 g/kg) caused small but statistically significant decrease in blood glucose level when compared to D-HFD.
In addition, the feeding of HFD for a period of 2 w caused significant (p<0.01) increase in body weight. Pretreatment with Terminalia chebula produced statistically significant decrease in body weight. Also, food efficiency ratio was significantly improved in both pretreated Terminalia chebula extract group (p<0.01) when comparison is made with D-HFD group.
In the present study, Terminalia chebula significantly prevented isoproterenol and diabetes induced myocardial damage and hypertrophy in diabetic rats which were clearly indicated by various estimation parameters that include physical/morphological parameters, biochemical as well as histopathological parameters.
Isoproterenol control showed more significant myocardial damage when compared to normal control rats as the grading shifts from zero to three, but the damage was most significant (grade 4) in diabetic high fat diet control group (D-HFD), as it was accentuated by diabetes. High dose of Terminalia chebula extract (0.05 g/kg) showed more significant cardioprotective activity when compared to D-HFD group as it show the shift from grade 4 to grade 2 while low dose of test extract (0.25 g/kg) showed less significant cardioprotective activity as the grade shift from four to three when compared to D-HFD group. The heart weight body weight ratio is a very important parameter of cardiac hypertrophy. High dose of Terminalia chebula extract showed the significant protective effect (p<0.01) when compared to D-HFD control group while low dose of Terminalia chebula does not show significant cardioprotection against isoproterenol induced cardiac damage (p<0.01)
Myocardial enzymes CK-MB, LDH and AST are biochemical indicators of myocardial injury; troponin-I/T, being the gold marker of cardiac damage. Once myocardium is damaged, they are released into the extra cellular fluid that serves as the diagnostic enzyme marker of myocardial damage tissue [31]. Levels of all the enzymes were significantly elevated in the D-HFD group. Troponin test was positive in D-HFD group. Pretreatment with high dose of Terminalia chebula protected diabetic rats against cardiac injury, which was evidenced by negative troponin test and significant decreased myocardial enzymes {ALT (p<0.01), LDH (p<0.01), CK-MB (p<0.01)} when compared to D-HFD group while low dose of Terminalia chebula extract (0.25 g/kg) doesn’t show significant cardioprotective effect{(ALT (p<0.01), CK-MB (p<0.01), LDH (p<0.01) }, against isoproterenol induced damage. All the results of test extract were compared and found similar to the clinically established standard drugs pioglitazone (0.01 g/kg) and carvedilol (0.002 g/kg).
These results were also confirmed by the histopathological studies. Photomicrographs of rat heart of sham control group revealed that the muscle fibres was compactly arranged with minimum interstitial tissue. There was no muscular hypertrophy or evidences of necrosis. Photomicrographs of rat heart of D-NPD, D-HFD and NPD-I-C groups showed that the muscle fibres was loosely arranged with fragmentation and increased interstitial tissue. Photomicrographs of rat heart of pioglitazone, carvedilol and Terminalia chebula (0.05 g/kg) group showed that the bundles of muscle fibres were compactly arranged with minimum interstitial tissue whereas Terminalia chebula (0.25 g/kg) group showed that the muscle fibres were loosely arranged with fragmentation and increased interstitial tissue. Thus, histopathology report revealed that ISO and diabetes caused potent myocardial damage when compared to sham and pretreated group which showed significant cardioprotection as revealed by photomicrographs of rat’s heart.
CONCLUSION
The present study concludes with few observations and results. The first aspect of the present study is that high fat diet al. ong with STZ induced diabetes is a very suitable, potent and short term model for evaluating the cardiotoxicity in diabetic rats. The second aspect of the study is isoproterenol causes cardiotoxicity more potently in diabetic rats as compared to non diabetic rats which is clearly parallel to the clinical existence. The third aspect is related to the protective effect of alcoholic extract of Terminalia chebula which shows potent protection at high dose (0.05 g/kg) against isoproterenol-induced cardiotoxicity in STZ induced non-genetic type II diabetic rats which is comparable to clinically established standard drugs i.e., pioglitazone (0.01 g/kg) and carvedilol (0.002 g/kg). This may provide an incentive for proper clinical evaluation of the plant as the medicinal agent in the treatment of diabetes, myocardial infarction, and perhaps other cardiovascular disorders.
ACKNOWLEDGEMENT
Authors were thankful to Professor S. W. Akhtar, honourable Vice Chancellor, Integral University, for providing of all the necessary facilities for this work.
CONFLICT OF INTERESTS
We declare that we have no conflict of interest.
REFERENCES