
1Sridevi Institute of Medical Science and Research Centre Tumkur, 2Dept of Anatomy, 3Dept of Physiology, 4Dept of Pathology, Shri B M Patil Medical College Hospital and Research Centre, BLDE University, Bijapur
Email: dr.patilbs@gmail.com
Received: 10 Jun 2015 Revised and Accepted: 24 Aug 2015
ABSTRACT
Objective:The aim of the present study was to assess the effect of Ethanolic extract of Terminalia Arjuna on Liver functions, Lipid profile and histopathology of liver of albino rats fed with Hyperlipidemic diet.
Methods:Extraction of Terminalia arjuna barkby Soxhlet apparatus using 99% ethanol at 60 ° temp for 22 h and Phytochemical analysis was done. Group 1 served as normal control. Group 2 Fed with Isocaloric diet. Group 3 Fed with Hyperlipidimic diet. Group 4 Hyperlipidemic diet 21 d+Terminalia arjuna 21 d.
Dose of Ethonolic extract of Terminalia arjuna:(500 mg/kg Body weight daily).
Results: %body weight gain and hepatosomatic index were significantly improved in hyper lipidemic rats treated with Terminalia arjuna.There was significant improvement in markers of liver functions. Liver shown microvescicular and macrovesicular fatty changes in hyper lipidemic rats and normal Hepatocytes in Hyperlipidimic rats treated with Terminalia arjuna.
Conclusion: It can be summarized that Terminalia arjuna is good, natural therapeutics in hyperlipidemia and liver disorders.
Keywords: Terminalia arjuna, Hyperlipidimic diet, Histopathology of Fatty Liver, LFT and hepatosomatic Index.
© 2016 The Authors. Published by Innovare Academic Sciences Pvt Ltd. This is an open access article under the CC BY license (http://creativecommons.org/licenses/by/4.0/)
INTRODUCTION
This is the speed changing world of extreme disparity like over nutrition and starvation, lifestyle changes and its related diseases, development and environmental degradation. The modern system of medicine is no exception. It cures one hand and trigger side effects on the other [1].
There is increasing demand of people towards an Ayurvedic system of medicines which shows reduced adverse effects on health.
Among many precious herbal drugs Terminalia arjuna holds the pride place in the reference of such medicinal value. Terminalia arjuna is a deciduous and green tree belongs to Combretaceae family, also known as Arjuna or Arjun tree. Terminalia arjuna tree is about 60 to 80 feet in height it is found in Indo-sub Himalayan tracts of Uttar Pradesh, southern Bihar, Barma, Madhya Pradesh and Duccan region. It grows almost in all types of soils, but prefers humid, fertile loam and lethargic soils.
The bark gets flaked off itself in the month of April-May[2] Its stem bark has active principles like glycosides, flavonoids, tannins and minerals [3]. Flavonoids acts like antioxidants, anti-inflammatory and lipid lowering effect where as glycosides are cardio tonic. It also shows hepato-protective effect [4].
The liver is the primary organ which plays an important role in metabolic and excretion and maintains homeostasis of the body[5] Hyperlipidemia is greatest risk factors for prevalence and severity of coronery heart diseases [6] Hyperlipidemia is also one of the major causes of liver injury. Management of liver diseases still challenges to the modern system of medicine.
Terminalia Arjuna is capable of protecting the liver against hyperlipidaemia, oxidative stress and/or toxin effects [7].
Hence the present study was aimed to assess the effect of Ethanolic extract of Terminalia arjuna on liver in albino rats fed with hyperlipidemic diet. The effects were evaluated by measuring the levels of the serum marker enzymes followed by liver histo pathology.
MATERIALS AND METHODS
Materials: Fresh, bark of Terminalia arjuna was procured from the herbal garden of Ayurvedic medical college, during the months of Nov–Dec 2012 identified and authenticated by Department of Botany KCP Science College Bijapur
Extraction of drug
Ethanolic extract preparation: 250 gms of the powder of the dry bark of Terminalia arjuna were extracted with 99% ethanol using a Soxhlet apparatus at a temperature below 60 ˚C for 22 h. The solvent was evaporated under vacuum which gave semisolid mass with respect to the dried powder [8].
Phytochemical screening
Terminalia arjuna was screened for the presence of phenols, flavonoids, tannin, saponin, alkaloids, glycosides, phytosterols and carbohydrates by using standard protocols [9].
Experimental animals
Albino Wistar rats weighing 160 to 250 gms were obtained from animal house of Shri B M Patil Medical College Hospital and Research Centre, Bijapur. All the four group animals were acclimatized for 7 d to the laboratory conditions at 22-24 °C and maintained 12 HR. Light/dark cycle all the experimental procedures were performed in accordance with the approval of the Institutional Animal Ethics Committee (IAEC) of Shri B M Patil Medical college Hospital and Research Centre, Bijapur. All care has taken on animals during experimental as well as at the time sacrificed as per the guidelines of ICMR on animal research 2006
Experimental protocol
All the rats were divided into following four groups with 6 rats in each group. Group-I, Fed with water and ad libitum serve as a control, the Group II Fed with Isocaloric diet for 42 d Group-III Fed with high fat diet 42 d, the Group IV Fed with high fat diet and Ethanolic extract of Terminalia arjuna (21 d high fat diet+21 d with Ethonolic extract of Terminalia arjuna). It was givendaily 500 mg/kg Body Weight, I. P [10].
Preparation of isocaloric diet
For 1 kg of diet, 180 gm of casein, 620 gm of carbohydrate, 200 gm of fat and 1% of multivitamin and 2% NaCl was taken [11].
Preparation of hyperlipidemic diet
For 1 kg of diet, 180 gm of casein, 520 gm of carbohydrate, 300 gm of fat and 1% of multivitamin and 2% NaCl was taken [11].
Sample collection and tissue collection
All the four group animals were sacrificed by cervical dislocation at the end of the last dose after an overnight fast. After heart puncture blood was collected in normal tubes for the separation of serum,
Tissue collection for histopathology: liver was isolated immediately and fixed in 10% neutral buffered formalin solution for 24 h. The fixed tissues were processed routinely, and then embedded in paraffin, sectioned into 4–5 µm thickness, deparaffinized, and rehydrated using standard techniques. The extent of Hyperlipidimic diet-induced necrosis and steatosis was evaluated by assessing morphological changes in liver sections stained with hematoxylin and eosin (HandE), using standard techniques.
Gravimetry
Estimation Body Weight and Hepato-somatic Index of Albino Wistar rats:
The body weight of all rats was recorded at the beginning of the experiment (day 1), treatment with an Ethanolic extract of Terminalia arjuna (21st day) and on the day of sacrifice (42nd day). Liver weight was measured to the nearest of 0.1 mg in a single pan balance (Digital weighing machine). Further, we calculated Hepato-somatic index by the formula liver weight/total body weight.
Biochemical analysis
In biochemical analysis, we estimated lipid profile and liver function test
Estimation lipid profile
Serum triglycerides (TG), Total Cholesterol (TC), High density lipoprotein (HDL), Low density lipoprotein (LDL) and Very low density lipoprotein (VLDL) were analysed by the MESPA automated Analyzer.

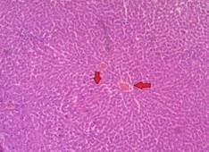
Fig. 1: G1,10X. H and E stain showing normal hepatocytes in lobular pattern
Estimation of liver function tests
Serum Bilirubin, total, Serum Glutamic Oxalocetic Transaminase (SGOT), Serum Glutamic Pyruvic Transaminase (SGPT), Serum Protein, Serum bilirubin, Serum albumin, Serum A/G Ratio and Serum Alkaline Phosphatase (ALP) analysed by Meril diagnostic Kit Method.
Statistical analysis
Values are expressed as mean±SD. To determine the significance of intergroup differences, One Way ANOVA followed by ‘Post Hoc t tests’ by SPSS software was done. P≤0.05 was considered statistically significant.

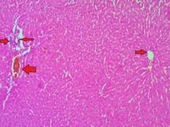
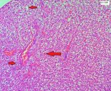
Fig. 2: G140X. H and E stain showing normal architecture of liver with portal tried (Bile Duct, Hepatic Artery, and Vein)

Fig. 3: G2 10X H and E stainshowing the normal architecture of the Liver with Central vein surrounded by Hepatocytes and intervening Sinusoids

Fig. 4: G2 40X H and E stain showing the normal architecture of the liver with central vein surrounded by hepatocytes and intervening sinusoids
RESULTS
We observed a significant increase in levels of TG and VLDL in group 3 (Hyperlipidemic diet fed rats) compared to group 1 (Normal control rats). Group 4 (hyperlipidemic rats treated with ethanolic extract of Terminalia arjuna) rats showed a significant increase in levels of TC and LDL compared to Group 1, 2 and 3 respectively. HDL levels showed a significant increase in group 3 (Hyperlipidemic diet fed rats) compared to groups 1 and 2 respectively. We also observed significant decrease in LDL levels in group 3(Hyperlipidemic diet fed rats) compared to groups 1 and 2 respectively

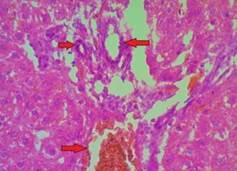
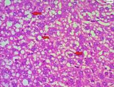
Fig. 5: G3 10X HandE stain. architecture of liver showing prominent microvesicular and macrovesicular fatty change

Fig. 6: G3 40X HandE stain architecture of liver showing prominent microvescicular andmacrovescicular fatty change

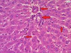
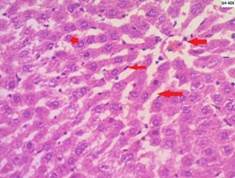
Fig. 7: G410X HandE stain architecture of liver showing prominent hapatocytes separated by dilated sinusoids

Fig. 8: G4 40X HandE stain architecture of liver showing prominent hapatocytes separated by dilated sinusoids
Table 1: Effect of ethanolic extracts Terminalia arjuna on lipid profile
Parameters |
Group 1 |
Group 2 |
Group 3 |
Group 4 |
ANOVA |
|
F value |
P value |
|||||
TG mg/dl |
104.5±13.8 |
134.3±25.1 |
206.5±90.7a |
129±32 |
4.58 |
0.013 |
TC mg/dl |
130.6±13.6 |
122.8±16 |
123.1±17.5 |
185±17a,b,c |
20.48 |
0.000 |
HDL mg/dl |
30.3±1.8 |
30±1.9 |
41.8±14a,b |
36.8±2.5 |
3.64 |
0.03 |
LDL mg/dl |
80.6±12.5 |
64.7±18.5 |
33±15.8a,b |
122.3±14a,b,c |
34.7 |
0.000 |
VLDL mg/dl |
22.7±4.2 |
28±7.1 |
40±18a, |
25.8±6.4 |
3.0 |
0.05 |
Values are expressed as mean±SD. ANOVA followed by Post Hoc Tukey’s multiple comparison test. Superscript a, b, c express significant difference between groups. A depicts a comparison with group 1, b depicts a comparison with group 2, c depicts a comparison with group 3. (* ≤0. 05). Group 1 is normal control rats, Group II is Isocaloric diet fed rats, Group III is hyperlipidemic diet fed rats, Group IV is a hyperlipidemic+Ethanolic extract of Terminalia Arjuna.
Table 2: Effect of ethanolic extracts Terminalia arjuna on markers of liver function
Parameters |
Group 1 |
Group 2 |
Group 3 |
Group 4 |
ANOVA |
|
F value |
P value |
|||||
Serum Bilirubin mg% |
0.6±0.1 |
0.6±0.1 |
0.7±0.1 |
0.8±0.1 |
2.11 |
0.13 |
SGOT U/l |
76.6±6.5 |
51.3±8a |
70±28b |
50±8.1b |
3.38 |
0.000* |
SGPT U/l |
59.5±19 |
47.1±5.6a |
64.5±12b |
46±3.6b |
3.03 |
0.000* |
Serum Protein gm/dl |
5.7±0.2 |
6±0.3 |
5.7±0.2 |
5.6±0.2 |
1.38 |
0.16 |
Serum Alb gm/dl |
2.9±0.1 |
3.4±0.3a |
3±0.1b |
2.8±0.1b |
6.99 |
0.002* |
Serum A/G gm/dl |
1±0.1 |
1.3±0.2a |
1±0.1 |
0.98±0.04b |
5.21 |
0.008* |
Serum ALP U/l |
153±16 |
174±26 |
187±50 |
161±18 |
1.4 |
0.27 |
Values are expressed as mean±SD. ANOVA followed by Post Hoc Tukey’s multiple comparison test. Superscript a, b, c express significant difference between groups. A depicts a comparison with group 1, b depicts a comparison with group 2, c depicts a comparison with group 3. (* ≤0. 05). The group 1 is normal control rats, Group II is Isocaloric diet fed rats, Group III is hyperlipidemic diet fed rats, Group IV is a hyperlipidemic+Ethanolic extract of Terminalia Arjuna.
We observed significant higher levels of SGPT and SGOT in group 3 compared to group 2(*P<0.05). Similarly, we observed significant changes for SGPT and SGOT in group 2 and group 4.
There was significantly higher values of Serum albumin and the Serum A/G ratio in group 2 compared to group 1(*p<0.05). Group 4 has shown significant lesser values of Serum albumin and the Serum A/G ratio compared to group 2 (*p<0.05).
We also observed no significant differences for serum bilirubin, serum protein and serum ALP among all groups.
We observed no significant differences for % body weight gain among all groups at 21st day.
Similarly, we observed significantly decreased in % body weight in group 4 compared to group 1, 2 and 3 (*p<0.05).
Table 3: Effect of ethanolic extracts Terminalia arjuna on % body weight gain
% Body weight gain |
Group 1 |
Group 2 |
Group 3 |
Group 4 |
ANOVA |
|
F value |
P value |
|||||
At 21st day |
20.6±1.2 |
22.4±1.7 |
20.9±2 |
21.5±1.9 |
1.27 |
0.30 |
At 42nd day |
17.5±2 |
18.6±1.3 |
19.1±2 |
14.4±1.3a,b,c |
8.68 |
0.001* |
Values are expressed as mean±SD. ANOVA followed by Post Hoc Tukey’s multiple comparison test. Superscript a, b, c express significant difference between groups. A depicts a comparison with group 1, b depicts a comparison with group 2, c depicts a comparison with group 3. (* ≤0. 05). Group ɪ is normal control rats, Group II is Isocaloric diet fed rats, Group III is hyperlipidemic diet fed rats, Group IV is a hyperlipidemic+Ethanolic extract of Terminalia Arjuna
Table 4: Effect of ethanolic extracts Terminalia arjuna on hepato-somatic index
Oregano somatic index |
Group 1 |
Group 2 |
Group 3 |
Group 4 |
ANOVA |
|
F value |
p value |
|||||
Hepato-Somatic Index |
0.03±.003 |
0.026±.002a |
0.02±.003a |
0.02±0.002 c |
14.307 |
0.000 |
Values are expressed as mean±SD. ANOVA followed by Post Hoc Tukey’s multiple comparison test. Superscript a, b, c express significant difference between groups. A depicts a comparison with group 1, b depicts a comparison with group 2, c depicts a comparison with group 3. (* ≤0. 05). Group ɪ is normal control rats, Group II is Isocaloric diet fed rats, Group III is hyperlipidemic diet fed rats, Group IV is a hyperlipidemic+Ethanolic extract of Terminalia Arjuna
We observed the significant decrease in the hepatic-somatic index in group 2, 3 compared to group 1. Also significant difference was seen in between group 3 and group 4 (*p<0.05).
Effect of Terminalia Arjuna (Ethanolic Extract) on liver histopathology
Fig. 1 and 2, G1 (Group 1) 10X and 40X HandE stain histopathology section of liver shown normal hepatic architecture compressed of hepatic lobules formed by the central vein and the cords of hepatocytes with indistinct sinusoidal dilatation in fig. 3,4,7and8. G2and4 (Group 2and4)10X and 40X HandE stain shown prominent sinusoidal dilatation.
Whereas G3 (Group 3)10X and 40X HandE stain histopathology shown lobular architecture of the liver with enlarged hepatocytes containing microvescicular and macrovesicular fatty changes with sinusoidal congestion.
G4 (group 4) Bark extract of Terminalia arjuna (500 mg/Kg body weight) treated rats histopathology section of liver shown normal hepatic architecture
DISCUSSION
In the present study Ethanolic extract of Terminalia arjuna bark was tested for their hepato-protective activity in albino rats fed with hyperlipidemic diet. The degree of protection was assessed using markers of liver functions like serum albumin, serum globulin, serum A/G, SGPT, SGOT and serum ALP along with histopathological study.
The peculiar sign of hepatic damage is leakage of cellular enzymes into the serum. The SGPT, SGOT and ALP are important cellular enzymes [12].
When there is hepatopathy, these enzymes leak into the blood stream from the cytoplasm with an extent of liver damage. AST, ALT and bilirubin levels are commonly measured as an indication of hepatocellular integrity. ALT is frequently used as the biochemical parameter to asses hepatic injury[Anitha] [13]In the present study, increased levels of serum SGPT, SGOT and ALP in hyperlipidemic rats showed the damage of liver tissue. The decreased level of serum SGOT, SGPT and ALP in hyperlipidemic rats treated with Terminalia arjuna showed repair of hepatic cells by restoring cell permeability. Similar findings were observed in Hardik Soni et al. study [9].
In the present study, we observed a nonsignificant increase in bilirubin level in hyperlipidemic rats treated with Terminalia arjuna compared to hyperlipidemic rats. In contrast, P Doorika et al. reported significant decrease in bilirubin levels in rats treated with Terminalia arjuna [4].
The liver plays an important role in the synthesis of protein like Albumin [15].
Akanksha P S, et al. reported decreasing level of albumin, total protein level and damage to the normal architecture of the liver. Similar findings were observed in our study [5].
We observed marked structural alteration, i.e. microvescicular and macrovesicular fatty changes in histopathology of liver of rats fed with high fat diet. Hyper lipidemic rats treated with ethanolic extract of Terminalia arjuna is shown normal architecture of liver histology. Ragavan, B., et al. reported in their study, high fat diet induced rat treated with Terminalia arjuna bark extract shown to partially reverse the damage (Fatty changes) [16].
CONCLUSION
The present findings demonstrated the hepatoprotective effect of Terminalia arjuna bark extracts on hyperlipidemic rat models. This plant can be used as hepato protecting due to the presence of various bioactive compounds such as phenolics, flavonoids, tannins etc. To explore the precise mechanism of action of specific biological active principles, further processing of the ethanolic fraction of Terminalia arjuna is required.
ACKNOWLEDGEMENT
I sincerely thank to Dr Kusal K Das Prof. Dept of Physiology. Shri B. M. Patil Medical College, Bijapur, for his valuable suggestions in writing the manuscript.
CONFLICT OF INTERESTS
Declare None
REFERENCES