Int J Pharm Pharm Sci, Vol 7, Issue 9, 462-465Original Article


SILYMARIN ELICITS PARTIAL PROTECTION AGAINST METHOTREXATE-INDUCED HEPATOTOXICITY IN WISTAR RATS

ELZA MARIA CALEGARIa, HELENA CRISTINA ENDRESa, ELIANE DALLEGRAVEb, LUCAS HENRIQUE CENDRONa, CHARISE DALLAZEM BERTOLa, LUCIANO OLIVEIRA SIQUEIRAa, LUCIANA GRAZZIOTIN ROSSATOa*

aCurso de Farmácia, Instituto de Ciências Biológicas, Universidade de Passo Fundo, Passo Fundo, Brazil, bDepartamento de Farmacociências da Universidade Federal de Ciências da Saúde de Porto Alegre, Porto Alegre, Brazil
Email:  luciana.g.rossato@gmail.com   
 

 Received: 05 Jul 2015 Revised and Accepted: 30 Jul 2015


ABSTRACT

Objective:  Methotrexate (MTX) is the gold standard in rheumatoid arthritis treatment; however, its continued use is related to hepatotoxicity. Thus, the aim of the present work is to evaluate the protective role of silymarin (SLM) against MTX-induced hepatotoxicity.

Methods:  Male Wistar rats were treated by gavage for 4 weeks as followed:  Control (saline solution, daily), MTX (900µg/kg, once a week and daily with saline solution), SLM (50 mg/kg, daily) and MTX+SLM (MTX 900µg/kg, once a week, SLM 50 mg/kg, daily).

Results:  MTX rats presented macro-and microscopic changes in the liver that was not counteracted by SLM. SLM was able to prevent the significant increase in lipid peroxidation observed in the hepatic tissue of MTX rats. SLM+MTX presented a decrease in the hepatic non-proteic thiols compared to control; suggesting SLM favors detoxification through glutathione conjugation. It was also seen changes in the relative mass of the spleen and lungs of MTX rats.

Conclusions:  SLM protects partially against MTX-induced hepatotoxicity.

Keywords:  Hepatotoxicity, Hepato protection, Milk thistle, Silymarin, Rheumatoid arthritis.


INTRODUCTION

Methotrexate (MTX) is effective in the treatment of rheumatoid arthritis, decreasing its mortality [1, 2] and being considered the gold standard between disease modifying anti-rheumatic drugs [3]. Notwithstanding, rheumatic patients frequently use MTX chronically, exacerbating MTX-related undesirable effects and limiting therapy and life quality [4]. Patients exceeding doses of 20 mg/week, and it is frequently reached in refractory or severe rheumatoid arthritis, present increased rates of toxic events[5]. One of the most relevant adverse effects related to MTX chronic administration is hepatotoxicity [4].

Silymarin (SLM) is extracted from milk thistle Silybum marianum and it is used as a phytotherapic drug to treat hepatic disorders such as jaundice, cirrhosis, and hepatitis due to its known hepato-protective effect [6, 7]. SLM also presents antioxidant and anti-inflammatory effects [8–10].

Considering that SLM is a promising compound to prevent MTX-induced hepatotoxicity, the present study aimed to evaluate the protective effects of SLM against MTX-induced hepatic disturbances after a sub chronic oral administration using male Wistar rats as an experimental model.

MATERIALS AND METHODS

Chemicals

MTX was purchased from Blausiegel, Brazil (Metrexato®) and SLM was obtained from Nycomed Pharma, Brazil (Legalon®, Sylibum marianum extract standardized to contain SLM 64 mg/5 ml). 5,5-dithio-bis(2-nitrobenzoic acid) (DTNB), DPPH (1,1-diphenyl-2-picrylhydrazyl) and malondyaldehyde were purchased from Sigma-Aldrich, Brazil. All chemicals and reagents were of analytical grade.

Animals

Adult male Wistar rats (8-week old, weighting 303±21g) were kept in individual cages in order to perform individual consumption analysis. Animals were acclimated for 1 week prior to the study. Food and water were provided ad libitum, animals were subjected to a 12 h dark/light cycle and experiments were approved by Ethical Committee on the use of animals from University of Passo Fundo (CEUA-UPF, protocol 018/2013).

Treatment

Animals were distributed into four groups (seven animals per group), and were treated by oral gavage, for four weeks:  control group (saline solution, daily), MTX group (MTX 900µg/kg, once a week and saline solution daily in order to allow the same manipulation and gavage stress conditions), SLM group (SLM 50 mg/kg, daily), and MTX+SLM group (MTX 900µg/kg, once a week and SLM 50 mg/kg, daily). Administration volume was 5 ml/kg. MTX and SLM doses were defined through allomeric relationship in order to correlate with human doses. After four weeks, rats were euthanized under anesthesia with xylazin/ketamine (10 mg/kg and 100 mg/kg, respectively) by diaphragm rupture. A necropsy was performed to all animals.

Clinical evaluations

During the experiment, daily clinical evaluations of all animals were performed. The parameters evaluated were piloerection, dehydration, haemorrhage and diarrhea, motor function (tone and movement coordination), breathing (rate and depth, gasping), mucosal color (pale, cyanotic), and clinical signals of abdominal pain. The individual weight and consumption of food and water were also recorded every day until the end of the study.

Haematology

Under anaesthesia, blood was collected by puncture of the cava vein using EDTA as anticoagulant. Collected blood was used from haematological analysis.

Organ-specific toxicity:  relative organ mass and macroscopic analysis

In the day of euthanasia, organs (liver, spleen, heart, kidneys, and lung) were excised, washed with phosphate-buffered saline solution (pH 7.4), dried and weighted to assess the relative mass (calculated as the percentage of the total body-weight) [11]. Macroscopic evaluations were carefully performed in order to describe visible changes in the organ architecture.

Tissue preparation for microscopic analysis

Liver pieces of about five mm 3 were fixed in formaldehyde 10% for 48 h and then dehydrated with graded ethanol. After dehydration steps, samples were fixed with xylene and included in paraffin blocks. Semi thin sections of three μm were cut and mounted in slides. After de waxed with xylene, tissue sections were stained with haematoxylin/eosin and analyzed under a light microscope coupled to a digital camera.

Determinations on the hepatic tissue

Liver samples were homogenized [1:4 (m/v)] in ice-cold phosphate-buffered saline solution, pH 7.4, with an Ultra-Turrax homogenizer and centrifuged (3 000 g, 10 min) [11]. Aliquots of supernatant were taken to assess hepatic protein levels, lipid peroxidation, non-proteic thiols content, and total antioxidant capacity, as described below.

Hepatic protein levels

Hepatic protein levels were quantified through Bradford method [12].

Hepatic lipid peroxidation

Hepatic lipid peroxidation was assessed through the thiobarbituric acid reactive species reaction [13]. The product of this reaction was quantified through spectrophotometry at 535 nm. Results were expressed as n mol/mg of protein.

Non-proteic thiols content

Non-proteic thiols were quantified as an indirect measure of intracellular glutathione content, as previously described [14]. Results were expressed as n mol/mg of protein.

Total antioxidant capacity

Total antioxidant capacity of the hepatic tissue was verified through the scavenging of DPPH free radical assay [15]. The absorbance was monitored spectrophotometrically at 517 nm.

Statistical analysis

Normality distribution was assessed through Shapiro-Wilk test. Statistical comparisons between groups that presented normal distribution were performed by repeated measures ANOVA followed by the Student Newman Keuls post hoc test (relative body weight gain and the consumptions of food and water) and Kruskal-Wallis followed by Dunn’s post hoc (relative organs mass and hepatic tissue determinations) was used to compare variables without normal distribution. Statistical analysis was performed using Graph Pad Prim, version 5.0. Significance was accepted at p values<0.05.

RESULTS

Lack of systemic toxicity

During the study, all rats increased relative body-weight gain similarly between groups. Furthermore, it was not observed significant changes in food and water consumption or significant alterations in clinical evaluations or haematologic parameters, evidencing that doses employed did not elicit systemic toxicity and either haemato toxicity.

Organ-target toxicity

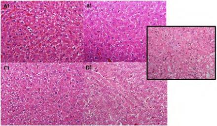
One rat treated with MTX presented macroscopic alterations in the liver and one rat from MTX+SLM group presented liver adhered to diaphragm. It was not observed any macroscopic change in liver from control or SLM groups. Possible hepatic changes were better elucidated by microscopy and results are presented in the fig. 1.

It was shown a not significant decrease in the spleen relative mass from MTX treated rats in comparison with control animals. On the other hand, animals treated with SLM (alone or with MTX) presented significant increases in spleen relative mass compared to MTX group. This increase was not significant when compared to control group (fig. 2).

It was not observed significant changes in relative mass of liver, kidneys and heart between groups (data not shown). Animals treated with MTX presented increases in the relative mass of lung. These changes were significant when comparing MTX group with the control group. The administration of SLM was not able to counteract these changes caused by MTX, as can be seen in the fig. 2.

SLM protects liver against MTX-induced lipid peroxidation despite decreases in the non-proteic thiols content

No significant changes were observed in hepatic protein levels and total antioxidant capacity between groups (data not shown). However, it was observed an increase in hepatic lipid peroxidation in MTX rats compared to control and the use of SLM with MTX was able to decrease this lipid peroxidation (fig. 3). Interestingly, MTX+SLM group presented decreases in the hepatic non-proteic thiol content when compared to control levels (fig. 4).

Fig. 1: Optic microscopy from hepatic tissue alterations representative from each treatment group (400x). A) Control group, without changes. B) MTX group, presenting hydropic degeneration and isolated necrosis in hepatocytes. In detail, a fibrotic nodule is evidenced. C) SLM group, presenting cellular tumefaction. D) MTX+SLM group, presenting cellular tumefaction and isolated necrosis in hepatocytes

Fig. 2: Relative mass of A) spleen and B) lung. Results are presented as means±standard deviation (N=seven rats per group). Statistical analysis was performed by Kruskal-Wallis test followed by Dunns post hoc test (*p<0.05 vs MTX;  **p<0.01 vs MTX;  #p<0.05 vs control)

Fig. 3:Lipid peroxidation in liver evaluated through malondyaldehyde quantification. Results are presented as means±standard deviation (N=seven rats per group). Statistical analysis was performed by Kruskal-Wallis test followed by Dunns post hoc test (*p<0.05 vs Control)

Fig. 4: Hepatic non-proteic thiols content. Results are presented as means±standard deviation (N=seven rats per group). Statistical analysis was performed by Kruskal-Wallis test followed by Dunns. (*p<0.05vs Control)

DISCUSSION

The major finding of this work highlighted that the co-administration of SLM and MTX prevents the hepatic lipid peroxidation elicited by MTX chronic administration. This effect, however, was not enough to revert histologic changes observed in liver tissue.

MTX chronic treatment causes hepatic fibrosis and cirrhosis, normally seen in long administration schedules such as 2 to 10 years, reaching about 20 to 50% of patients [16, 17]. A contributing factor for MTX-induced hepatotoxicity is the accumulation of MTX metabolites, namely polyglutamate, in the hepatic tissue, where they can be retained for months [5, 18]. In the present study, rats treated with MTX alone presented hydropic degeneration, a condition characterized by the beginning of functional impairment. In more susceptible animals, it was observed the aggravation of liver lesions evidenced by the presence of isolated necrosis, which was also observed in MTX+SLM livers.

SLM is recognized as a hepato protective agent [6, 7], presenting promising results against hepatotoxicity observed during chemotherapy [19]. Animals treated with SLM alone presented cellular tumefaction. It is well known that SLM stabilizes the membrane of hepatocytes, preventing toxins from entering the cell through entero hepatic recirculation, regenerates liver by stimulating nucleolar polymerase A and increasing ribosomal protein synthesis [20]. Moreover, the described mechanism of action of SLM comprises a strong antioxidant and anti-inflammatory potential [20]. In this way, the histo pathological alterations observed in livers of SLM group possibly can be attributed to adaptive changes related to these effects. Furthermore, our results shown that SLM inhibits hepatic lipid peroxidation, high lighting the efficacy of SLM in protecting against membrane damage (fig. 3).

Lipid peroxidation inhibition was also seen in vitro after incubation with SLM [9] corroborating the hypothesis that SLM protective effects are mediated through antioxidant effects upon lipids [9, 21]. However, besides SLM antioxidant properties, in the present work, this change was not accompanied by alterations in the hepatic total antioxidant capacity. Furthermore, herein was shown a decrease in the non-proteic thiols in MTX+SLM group when compared to control values (fig. 4). Non-proteic thiols are an indirect measure of reduced glutathione, a free radical scavenger related to the endogenous non-enzymatic antioxidant system [22].

The use of SLM is reported to maintain reduced glutathione homeostasis and, frequently, elevated glutathione levels are seen after treatment with SLM [21, 23]. However, with the present dose and regimen of administration, it was not possible to observe this effect. One could speculate in order to explain reduced non-proteic thiols levels in the MTX+SLM group that SLM favors detoxification process through glutathione conjugation with reactive species since SLM increases glutathione-transferase activity [23, 24], thus consuming more glutathione molecules and contributing to this result.

MTX treatment is related to haematological disturbances such as decreased blood cell counts and megaloblastic anaemia, leukopenia, pancytopenia, and thrombocytopenia [25]. It is known that decreases in blood cells might influence in spleen relative mass since it is a lymphoid organ considered a reservoir of blood cells. In the present study, besides the absence of significant alterations in haematological parameters, animals treated with SLM presented increased spleen relative mass when compared to MTX group (fig. 2). Immunosuppressive agents cause the reduction of the splenic white pulp by induction of cellular apoptosis and, consequently, reduce the size and relative mass of this organ [26]. Although not significant, MTX group showed a reduction in spleen compared to other groups. Thus, the anti-inflammatory effect of SLM might be also related to spleen protection.

Another found was the increased relative mass of the lungs in the MTX group. Pulmonary alterations were frequently described in patients using MTX. MTX-induced lung disease is characterized as pneumonitis, bronchitis, and even fibrosis [27, 28].

In summary, the present work highlighted the occurrence of MTX-induced organ-target toxicity since it was observed significant changes in lungs, spleen, and liver of MTX treated rats. Despite pulmonary and spleen observations, this work focused on hepatic disturbances since hepatotoxicity limits MTX chronic therapy. The main mechanism of MTX-induced hepatotoxicity in our model was lipid peroxidation and SLM administration reverted this effect without changing hepatic antioxidant capacity. Although, SLM administration did not counteract histologic changes induced by MTX, evidencing that SLM protection was partial in the present animal model and regimen of administrations.

ACKNOWLEDGMENT

Authors thank their affiliation institutions for providing financial support. Authors declare no conflict of interest. Regarding author individual contributions, L. G. R, E. D, C. D. B. and L. O. S developed the concept and designed experiments. E. M. C, L. H. C and H. C. E performed in vivo administrations and oxidative stress determinations. L. G. R and E. D performed clinical evaluations during in vivo experiments. All authors participated in the euthanasia of rats. E. D. performed histology. L. G. R performed statistical analysis. E. M. C and L. G. R wrote the manuscript.

CONFLICT OF INTERESTS

Declared None

REFERENCES

  1. Weinblatt M, Kaplan H, Germain B. Methotrexate in rheumatoid arthritis. A five-year prospective multicenter study. Arthritis Rheum 1994;37:1492–8.
  2. Wasko MCM, Dasgupta A, Hubert H, Fries JF, Ward MM. Propensity-adjusted association of methotrexate with overall survival in rheumatoid arthritis. Arthritis Rheum Rheum 2013;65:334–42.
  3. Saag K, Gim G, Patkar N, Anuntiyo J, Finney C, Curtis J, et al. American college of Rheumatology 2008 recommendations for the use of nonbiologic and biologic disease-modifying antirheumatic drugs in rheumatoid arthritis. Arthritis Care Res 2008;59:762–84.
  4. Kevat S, Ahern M, Hall P. Hepatotoxicity of methotrexate in rheumatic diseases. Med Toxicol Adverse Drug Exper 1988;3:197–208.
  5. Neuman M, Cameron R, Haber J, Katz G, Malkiewicz I, Shear N. Inducers of cytochrome P450 2E1 enhance methotrexate-induced hepatocytotoxicity. Clin Biochem 1999;32:519–36.
  6. Feher J, Lengyel G. Silymarin in the prevention and treatment of liver diseases and primary liver cancer. Curr Pharm Biotech 2012;13:210–7.
  7. Wellington K, Jarvis B. Silymarin:  a review of its clinical properties in the management of hepatic disorders. BioDrugs 2001;15:465–89.
  8. Abenavoli L, Aviello G, Capasso R, Milic N, Capasso F. Milk thistle for treatment of nonalcoholic fatty liver disease. Hepatitis Monthly 2011;11:173–7.
  9. Manna S, Mukhopadhyay A, Van N, Aggarwal B. Silymarin suppresses TNF-induced activation of NF-kappa B, c-Jun N-terminal kinase, and apoptosis. J Immunol 1999;163:6800–9.
  10. Flora K, Hahn M, Rosen H, Benner K. Milk thistle (Silybum marianum) for the therapy of liver disease. Am J Gastroenterol 1998;93:139–43.
  11. Rossato LG, Costa VM, Dallegrave E, Arbo M, Dinis-Oliveira RJ, Silva A, et al. Cumulative mitoxantrone-induced haematologic and hepatic adverse effects in a sub-chronic in vivo model. Basic Clin Pharmacol Toxicol 2014;114:254–62.
  12. Bradford M. A rapid and sensitive method for the quantitation of microgram quantities of protein utilizing the principle of protein-dye binding. Anal Biochem 1976;72:248–54.
  13. Ohkawa H, Ohishi N, Yagi K. Assay for lipid peroxides in animal tissues by thiobarbituric acid reaction. Anal Biochem 1979;95:351–8.
  14. Ellman GL. Tissue sulfhydryl groups. Arch Biochem Biophys 1959;82:70–7.
  15. Sharma O, Bhat T. DPPH antioxidant assay revisited. Food Chem 2009;113:1202–5.
  16. Zachariae H. Liver biopsies and methotrexate:  a time for reconsideration? J Am Acad Dermatol 2001;44:879–80.
  17. Yeo C, Chong V, Earnest A, Yang W. Prevalence and risk factors of methotrexate hepatoxicity in Asian patients with psoriasis. World J Hepatol 2013;5:275–80.
  18. Cronstein B. The mechanism of action of methotrexate. Rheum Dis Clin North Am 1997;23:739–55.
  19. Ladas E, Kroll D, Oberlies N, Cheng B, Ndao D, Rheingold S, et al. A randomized, controlled, double-blind, pilot study of milk thistle for the treatment of hepatotoxicity in childhood Acute Lymphoblastic Leukemia (ALL). Cancer 2010;116:506–13.
  20. Mayer K, Myers R, Lee S. Silymarin treatment of viral hepatitis: a systematic review. J Viral Hepatitis 2005;12:559–67.
  21. Pradeep K, Mohan C, Gobianand K, Karthikeyan S. Silymarin modulates the oxidant-antioxidant imbalance during diethylnitrosamine induced oxidative stress in rats. Eur J Pharmacol 2007;560:110–6.
  22. Rossato LG, Costa VM, de Pinho PG, Carvalho F, Bastos ML, Remião F. Structural isomerization of synephrine influences its uptake and ensuing glutathione depletion in rat-isolated cardiomyocytes. Arch Toxicol 2011;85:929–39.
  23. Victorrajmohan C, Pradeep K, Karthikeyan S. Influence od silymarin administration on hepatic glutathione conjugating enzyme system in rats treated with antitubercular drugs. Drugs R D 2005;6:395–400.
  24. Das S, Vasudevan D. Protective effects of silymarin, a milk thistle (Silybium marianum) derivative on ethanol-induced oxidative stress in liver. Indian J Biochem Biophys 2006;43:306–11.
  25. Bressan A, Silva R, Fontenelle E, Gripp A. Imunossupressores na dermatologia. An Bras Dermatol 2010;85:9–22.
  26. Miller T, Schaefer F. Changes in mouse circulating leukocyte numbers in C57BL/6 mice immunosuppressed with dexamethasone for Crypstosporidium parvum oocyst production. Vet Parasitol 2007;149:147–57.
  27. Rosenow E, Myers J, SJ S, Pisani R. Drug-induced pulmonary disease. An update. Chest J 1992;102:239–50.
  28. Hilliquin P, Ronoux M, Perrot S, Puéchal X, Menkès C. Occurence of pulmonary complications during methotrexate therapy in rheumatoid arthritis. Br J Rheumatol 1996;35:441–5.