
1Therpeutical Chemistry Dept., National Research Centre, Dokki, Giza, 12311, Egypt, 2Biochemistry Dept., Faculty of Science, Ain Shams University, Cairo, Egypt, 3Pharmacognosy Dept., National Research Centre, Dokki, Giza, 12311, Egypt, 4Pathology Dept., National Research Centre, Dokki, Giza, 12311, Egypt
Email: hanan_abduallah@yahoo.com
Received: 16 Jun 2015 Revised and Accepted: 20 Apr 2016
ABSTRACT
Objective: Hypercholesterolemia (HC) was frequently associated with oxidative stress, and release of inflammatory cytokines is to determine the hypolipidemic effects of sulphated polysaccharides from seaweed Ulva fasciata algal extracts through measuring the activities of some parameters related to liver and kidney functions in the serum of hypercholesterolemic rats as compared to normal one.
Methods: Different groups of rats were administered a high cholesterol diet. Liver and kidney functions, inflammatory cytokines (TNF-α, CRP, MPO and IL-10), oxidative stress (GSH, MDA and NO), in addition to cell adhesion molecules (ICAM-1 and VCAM-1) were assessed before and after treatment with the algal polysaccharides. In addition, histological examination of liver and kidney were performed to confirm the biochemical findings.
Results: The obtained results showed that oxidative stress and inflammatory markers associated with hypercholesterolemia were significantly increased in HC-rats. The histopathological examination of liver and kidney demonstrated severe degeneration with diffuse vacuolar degeneration, necrosis and the presence of fatty droplets. In addition; nephron-histological examination revealed, mild glomerular injury with mild vascular and inflammatory changes. Treatment with the algal sulphated polysaccharides effectively improved these disorders and diminished the formation of fatty liver, as well as renal dysfunction more than the reference drug; fluvastatin.
Conclusion: It could be concluded that the consumption of UFP (Ulva fasciata polysaccharides), may be associated with attenuation of inflammatory markers, amelioration of fatty liver and improvement of renal dysfunction, that in turn lead to counteract hypercholesterolemia and its related disorders; such as obesity, and heart disease.
Keywords: Non-alcoholic fatty liver disease, Seaweed, Ulva fasciata, Hypercholesterolemia, Hypolipidemic activity, Sulphated polysaccharides (SPs)
© 2016 The Authors. Published by Innovare Academic Sciences Pvt Ltd. This is an open access article under the CC BY license (http://creativecommons.org/licenses/by/4.0/)
INTRODUCTION
Nonalcoholic fatty liver disease (NAFLD) which can be induced by a high fat diet is one of the most common liver diseases around the world. Hepatic lipid accumulation, the major hallmark of NAFLD, results from an imbalance between lipid acquisition and lipid disposal [1].
Cholesterol metabolism is balanced by cholesterol absorption and endogenous cholesterol synthesis with excretion of bile acids and biliary cholesterol [2]. The liver plays a central role in maintaining lipid homeostasis through LDL-C clearance and HDL-C recruitment [3]. Hepatic cholesterol secretion into plasma occurs principally through the formation and secretion of VLDL-C [4], while the biliary pathway represents the major route for the removal of hepatic cholesterol from the body, through both the direct secretion of cholesterol itself as well as the conversion of cholesterol into primary bile acids [4, 5].
Non-alcoholic hepatic steatosis or fatty liver is the abnormal accumulation of triglycerides in the cytoplasm of hepatocytes. As it was found to increase the vulnerability of the liver to progression to nonalcoholic steatohepatitis and advanced stages of liver disease [6], hepatic steatosis is no longer regarded as a relatively benign condition. NAFLD involves fat in the liver and nonalcoholic steatohepatitis (NASH), progressing from hepatic steatosis with lobular inflammation to ballooning degeneration, fibrosis, and eventually to cirrhosis [7].
There is no doubt that lipid metabolic disorder is one of the most critical and basic pathogenesis of NAFLD. In spite of its high prevalence, up till now there is no proven effective treatment for NAFLD [8, 9]. So, the ability to alleviate or prevent these disorders would have a significant effect on anti-NAFLD formation.
As cholesterol homeostasis is maintained by cholesterol absorption and endogenous cholesterol synthesis, here, it should also be emphasized on HMG-CoA reductase, which is a major enzyme to control the rate of cholesterol synthesis [4]. Fatty acid synthase (FAS) is an enzyme catalyzing de novo fatty acid synthesis. Studies have reported that increased FAS expression is strongly associated with fatty liver [10, 11].
Obesity and insulin resistance can lead to an increase in free fatty acid (FFA) uptake by hepatocytes and also an increase in hepatic FFA synthesis, which causes an imbalance between uptake/ synthesis and oxidation/export of fatty acid and accumulation of triglycerides in hepatocytes. FFA overload in hepatocytes can lead to greater production of reactive oxygen species both by over-reduced mitochondrial electron transport chains (O2•−and H2O2) and increased FFA oxidation by peroxisomes and microsome (H2O2) [12]. Injury of hepatocytes by oxidative stress can subsequently lead to death by necrosis or apoptosis. Lipid peroxidation products and cytokines are released from dead hepatocytes, and some can trigger the activation of Kupffer cells and hepatic stellate cells, leading to inflammation and fibrosis of the liver [13].
Previous studies have shown a close relationship between NAFLD and atherosclerosis [14-16]. Accumulation of lipids in the non-adipose tissues can cause cellular injury and dysfunction as seen in hepatic steatosis and atherosclerosis [17]. Cellular lipid homeostasis is regulated by the balance between influx, efflux, synthesis, and catabolism of lipids. An imbalance in these pathways can result in lipid accumulation in macrophages, mesangial cells, vascular smooth muscle cells, and other cell types causing tissue damage.
Numerous studies show that dyslipidemia accompanies and aggravates renal disease [18, 19]. Hypercholesterolemia, for example, has been shown to elicit renal dysfunction, inflammation, and fibrosis, partly mediated by increased oxidative stress in animal models [20].
In fact, chronic kidney disease (CKD) occurred in animals that exhibit accumulation of cholesterol in the remnant kidney and artery wall [21]. This is associated with driven by oxidation of lipids and lipoproteins. The prevailing oxidative stress in CKD results in accumulation of oxidized lipids and other molecules in the body fluids and tissues. Macrophages and mesangial cells in the diseased kidney avidly engulfed oxidized lipids and lipoproteins. Accumulation of lipid in the renal tissue can promote progression of glomerular and tubulointerstitial lesions in metabolic syndrome, and in chronic glomerular diseases [22].
Traditionally, assessments of liver and kidney function and injury are based on static tests, such as alkaline phosphatase (ALP), alanine aminotransferase (ALT), aspartate aminotransferase (AST), albumin (ALB), total protein (TP), and bilirubin, while urea and creatinine levels determination was performed to assess kidney function.
Thus, the present study aims to evaluate the cholesterol-lowering effect of sulphated polysaccharides (SP) in high-fat diet-induced hypercholesterolemia in rats.
MATERIALS AND METHODS
Collection of the algal sample
Ulva fasciata, belongs to the family Ulvaceae, was collected in June 2010 from Abukir, Alexandria. The collected samples of alga were cleaned of epiphytes, barnacle, gastropod and other contaminants at the site. After washing thoroughly with tap water, the samples were air dried at room temperature in the shade, milled coarsely powdered and stored in polyethylene plastic bags in a dry place. Herbarium specimens of the alga were identified by Dr. Shaalan S. A., Professor of Phycology, Faculty of Science; Alexandria University.
Preparation of U. fasciata polysaccharides (UFP) crude extracts
Chemical extraction
Air-dried alga was soaked in 30% volume (w/v) of distilled water and kept overnight at 4 to 5 °C. Then the material was stirred well and allowed it to return to room temperature. The cold water extract was first filtered through muslin cloth and then with filter paper. The process was repeated till complete exhausted of polysaccharide (negative molish test). The extract was concentrated to 1/10 of its original volume under reduced pressure at 40 °C using rotary evaporator with vacuum (BÜCHI Rotavapor R 200), and precipitated by the addition of 4-fold volume of 95% (v/v) ethanol, centrifuge at 3000 rpm for ten minutes. The algal residue of cold water was soaked in sufficient distilled water and heated at 100 °C for 3h and hot water extract was obtained following the same procedure used for the cold water extract. The precipitate was washed twice with absolute ethanol; the dried by freeze dryer to obtain a crude polysaccharide extracts (cold and hot extracts) then keeps in the refrigerator for chemical and biological investigation [23]. The yields of polysaccharides of Ulva fasciata were calculated on the basis of the dry weight of algal sample (w/w).
Chemicals
All chemicals and reagents were purchased from Biodiagnostic Company for diagnostic and research reagents, Egypt. Reference drug (Fluvastatin) was purchased from NOVARTIS Pharmaceuticals. ELISA kits were provided by Uscn (U. S. A.) for CRP and Invitrogen (U. S. A.) for TNF-α.
Induction of hypercholesterolemia
Hypercholesterolemia was induced in rats according to the method of Adaramoye et al. [24], by feeding rats high-fat diet, cholesterol was orally administrated at a dose of (30 mg/0.3 ml olive oil/1 kg animal) five times a week for twelve consecutive weeks, lard fat was mixed with normal diet (One kilogram of animal lard was added to 5Kgs of normal diet), the occurrence of hypercholesterolemia was determined by measuring the lipid profile; total cholesterol (TC), low-density lipoprotein cholesterol (LDL-C), high-density lipoprotein cholesterol (HDL-C), triacylglycerol (TG), the hypercholesterolemic rats were only used.
Doses and routes of administration
Experimental design
Rats: A total of 105 Male Wister rats weighing 120±10 gm, were provided from the animal house of the National Research Center (NRC), and housed in a temperature-controlled environment (26-29 °C), in steel mesh cages on wood-chip bedding, with a fixed light/dark cycle for two weeks as an acclimatization period with free access to water and food ad libitum. The present study was approved by the Ethical Committee of the National Research Center (NRC), Egypt, which provided that the animals will not suffer at any stage of the experiment.
Animals were randomly divided into seven equally sized groups of 15 rats each [n=15] as follows: Group 1: Normal controls, given a normal diet and distilled water. Group 2: Negative cold extract controls: Normal rats given cold UFP extract. Group 3: Negative hot extract controls: Normal rats given hot UFP extract. Group 4: Hypercholesterolemic (HC) positive control rats. Group 5: HC-rats received an oral dose of cold UFP extract. Group 6: HC-rats received an oral dose of hot UFP extract. Group7: HC-rats received an oral dose of the anti-hypercholesterolemic reference drug; fluvastatin.
Blood collection and tissue sampling
By the end of the experiment (4weeks), the animals of different groups fasted for 12 h, weighted then blood samples were collected from the sublingual vein, left to coagulate at room temperature and centrifuged at 3000 rpm for 15 min. The clear, non-hemolyzed, supernatant sera were quickly removed and kept at-80 °C till used for biochemical investigations of lipid profile, liver function, kidney function parameters and inflammatory markers (TNF-α, MPO, IL-10 and CRP). Then animals sacrificed using diethyl ether anesthesia, and liver tissue were rapidly excised and accurately weighed. Each liver was then cut into two parts; one part was immediately preserved in 10% buffered formaline at 4 °C for histological examination; the reminder of the liver was stored at-80 °C until biochemical analysis. Also, the kidney tissue was rapidly excised; a part was cut and immediately preserved in 10% buffered formaline at 4 °C for histological examination.
Preparation of tissue homogenate
The liver tissue was accurately weighed (0.5 g from each liver) and homogenized in 5 ml phosphate buffer using (pH 7.4) electrical homogenizer. To prepare 10% (w/v) clear tissue homogenate for determination of malondialdehyde (MDA), non-enzymatic antioxidant defense system; reduced glutathione (GSH) and nitric oxide (NO).
Biochemical examination
Lipid profile
Serum total cholesterol (TC), serum triacylglycerol (TGs), serum HDL-C concentration were determined colorimetrically by the methods of Allain et al. [25], Fassati and Prencipe [26], Lopez-Virella et al. [27]. Serum LDL-C concentration was calculated by Friedewald's formula [28]. Serum very low-density lipoprotein (VLDL-C) was determined according to Norbert [29].
Liver function assay
Both alanine aminotransferase (ALT) and aspartate amino-transferase (AST), activities were assayed according to the method of Reitman and Frankel [30]. Alkaline phosphatase (ALP) activity, Total bilirubin (TB), Total protein (TP), Albumin (alb) and Glucose were determined colorimetrically according to the methods of Belfield and Goldberg [31], Walters and Gerade [32], Bradford [33], Doumas et al. [34] and Trinder [35].
Kidney function assay
Serum urea and creatinine concentrations were estimated according to the methods of Fawcett and Scott [36] and Schirmeister et al. [37].
Estimation of antioxidant markers
Lipid peroxides were assessed in the liver homogenate as thiobarbituric acid reactive substances, malondialdehyde (MDA) according to the method of Satoh et al. [38]. The level of hepatic glutathione (GSH) was assayed in liver homogenate using the method of Beutler et al. [39]. Liver nitric oxide (NO) was determined according to the method of Montgomery and Dymock [40].
Estimation of cell adhesion molecules
Rat soluble Intracellular Adhesion Molecule-1 (s-ICAM-1) concentrations and rat soluble Vascular Cell Adhesion Molecule-1 (s-VCAM-1), were determined using Enzyme-linked Immuno Sorbent assay (ELISA).
Estimation of serum inflammatory markers
In vivo quantitative measurements of MPO, IL-10 TNF-α and CRP were performed by ELISA; a sandwich enzyme Immunoassay.
Histopathological analysis
Liver and kidney slices were fixed instantaneously in buffer neutral formalin (10%) for 24 h for fixation then processed in automatic processors, embedded in paraffin wax (melting point 55-60 o C) and paraffin blocks were obtained. Sections of 6 μm thicknesses were prepared and stained with Haematoxylin and Eosin (H&E) stain [41]. The cytoplasm stained shades of pink and red and the nuclei gave a blue color. The slides were examined and photographed under a light microscope at a magnification power of x150.
Statistical analysis
Data were analyzed by comparing values for different treatment groups with the values for individual control. All data were expressed as mean±SD of 15 rats in each group. Significant differences between the groups were statistically analyzed using SPSS computer program; one-way analysis of variance (ANOVA) combined with Student T-test. Values were considered significant when P value ≤ 0.05 and highly significant at P ≤ 0.001.
RESULTS
The current study is designed to examine the anti-hypercholesterolemic, antioxidative, anti-inflammatory and anti-NAFLD activities of green alga U. fasciata:
Antihyperlipidemic activity in rats
Lipid profile
As compared to normal control rats, feeding rats with cholesterol-enriched diet for 12-weeks gave rise to a highly significant elevation in serum total cholesterol (81.38%), total lipids (63.74%) and triacylglycerol (176.30%).
Oral supplementation of cold and hot SP algal extract resulted in an insignificant change in the levels of total serum lipids by 7.02, and 14.03% respectively, TC by 3.72, and 2.84%, respectively and TG by 4.34 and 14.42%, respectively. The same for fluvastatin-treated HC rats which showed insignificant change by 8.77% and 13.36% respectively for serum total lipids and TC, except for a highly significant decrease in TG (85.75%) (P ≤ 0.05) (table 1).
It was obvious that serum HDL-C level was highly significantly decreased in the HC-rats (85.74%), whereas serum LDL-C and VLDL-C levels of HC-rats were significantly augmented, as compared to normal control group with percentages amounting to 323.86 and 175.21%, respectively (table 1). Treatment of HC-rats with cold and hot SP extracts and fluvastatin showed a significant decrease in the serum LDL-C and VLDL-C with percentages decrease reached to 62.56 and 3.99%, respectively for cold UFP extract. Treatment of HC-rats with hot extract recorded the insignificant change of LDL-C (19.63%) and VLDL-C (14.71%). Fluvastatin treatment showed percentages decrease of 23 and 85.50%, respectively for LDL-C and VLDL-C, as compared to normal control rats. However, HDL-C level showed insignificant change (P ≤ 0.05) amounting to 12.69, 9.55 (P≤ 0.001) and 3.20%, respectively for cold, hot SP extracts and fluvastatin.
As compared to atherogenic HC-group; treatment of HC-rats with cold and hot UFP extracts or fluvastatin showed, marked reduction in TC, TG and total lipids levels, with percentages decrease of 42.81, 62.24, and 34.64 %, respectively for cold extract and by 46.43, 69.03, and 30.36%, respectively for hot extract, while fluvastatin showed mild percentages decrease reached to 37.50, 32.77 and 33.57%, respectively. Concerning lipoproteins, treatment of atherogenic rats showed a significant decrease in LDL-C and VLDL-C levels with percentages decrease of 61.65 and 62.2%, respectively for cold UFP, and 81.04 and 69.01 % (P≤ 0.001), respectively for hot UFP. Fluvastatin treatment showed percentages significant decrease reached to 70.98 and 32.60%, respectively and in contrast, HDL-C level was highly significantly increased (P ≤ 0.05) in reached to 512.36 and 578.88%, respectively for cold SP extract and fluvastatin respectively, and 668.31 for hot UFP (P≤ 0.001).
The effects of UFP (cold and hot extracts) on liver enzymes activity and TB
As compared to normal control healthy rats, high-fat fed rats (HC) gave rise to a highly significant increase in liver function enzymes; AST, ALT, ALP and TB by 67.67, 40.97, 115.29 and 40.91%, respectively. AST demonstrated a significant increase in HC-rats treated with cold UFP by 34.07% and fluvastatin by 42.22%, while the insignificant change in those treated with hot UFP by 2.89%. For ALT, an insignificant change was noticed for HC-rats treated with both cold UFP by 6.25% and hot UFP by 7.64%, except for a significant increase in ALT level in HC-fluvastatin treated rats by 33.34%. Concerning ALP, HC-cold UFP treated rats demonstrated a slight significant increase by 20.00%, and also, HC-fluvastatin treated rats showed a slight significant decrease of 27.06%, while HC-hot UFP treated rats normalized its level. Whereas TB slightly increased by 15.15 and 21.21% for HC-hot UFP and HC-fluvastatin treated rats and insignificant change for HC-cold UFP rats (P ≤ 0.05) (table 2).
By comparing to HC-group, UFP treatment showed significant decrease in serum AST, ALT, ALP enzyme activities and TB by 20.04, 24.63, 44.26 and 29.03%, respectively for cold UFP, while it was 38.64, 23.64, 48.63 and 18.28%, respectively for hot UFP, while for fluvastatin; it recorded AST (15.18%) and TB (13.98%), and ALP (40.98%), while insignificant change for ALT (5.4%), (P≤ 0.001).
The effects of UFP (cold and hot extracts) on total protein (TP) content and albumin (ALB) level
The present study reveals significant lower levels of total protein (TP) and albumin in rats of high cholesterol diet as compared to normal controls. HC-rats showed significant reduction in TP content and ALB level by 14.76 % and 27.12 %, respectively as compared to normal control. Treatment of HC-rats with cold and hot UFP extracts, as well as, reference drug fluvastatin normalized ALB level and restored the protein content to control levels (table 3).
As compared to HC-groups, UFP treatment showed a significant increase of total protein (TP) content and ALB level; by 14.30 and 34.88% respectively for cold SP extract, 13.70 and 35.56%, respectively for hot SP extract, and 12.67and 41.86% for fluvastatin.
The effects of UFP (cold and hot extracts) on serum blood glucose level (pancreatic function)
As compared to normal control rats, blood glucose level of hypercholesterolemic rats (HC) was highly significantly increased by a percentage of 59.72 % (P≤0.001).
Treatment of HC-rats with cold, hot extracts and reference drug restored blood glucose to near normal level and showed insignificant change by 1.26, 6.71, and 3.06 %, for cold UFP, hot UFP and fluvastatin respectively. With respect to, the obvious change in glucose after treatment with SP of cold and hot algal extracts as well as fluvastatin, UFP treatments of HC-rats showed significant reductions in blood glucose level by 38.18, 41.59 and 35.48%, respectively for cold and hot extracts and fluvastatin, as compared to HC-groups (table 3).
The non-enzymatic antioxidant effect of UFP (cold and hot extracts)
HC-group recorded a highly significant reduction in GSH level by 60.34%. However, MDA, showed a highly significant elevation of 85.43% and, it also exhibits a highly significant elevation of hepatic NO concentration, by 300.29% (P≤ 0.001), as compared to normal controls. Treatment of HC-rats with cold SP and hot SP algal extracts and fluvastatin normalized liver GSH level and, while NO concentration showed a significant increase by 33.31, 22.23 and 67.35% for cold SP and hot SP and fluvastatin respectively. Concerning MDA level, it also recorded a significant increase by 41.56, 27.81 and 32.12%, for cold SP, hot SP and fluvastatin respectively, as compared to normal control (table 4).
Comparing to HC-rats, UFP treatments showed a significant increase in GSH concentration with the percentage of 134.78, 126.09 and 147.83%, respectively for cold and hot SP extracts or fluvastatin. On the other hand, MDA achieved significant reduction by 23.66, 31.07 and 28.75%, respectively for cold, hot extracts as well as fluvastatin reference drug, and it showed marked increase in NO level achieved significant decrease; 38.95, 69.46 and 58.19%, respectively for cold, hot SP extracts as well as fluvastatin reference drug.
Anti-inflammatory effect of UFP
From the manipulated data (table 5), High fat diet–rats showed significant increase in pro-inflammatory cytokines; TNF-α (73.19%) and CRP (61.52%), MPO (10.94%), and in contrast significant decreases in anti-atherogenic cytokine IL-10 (35.62%) was recorded as compared to normal control rats (P ≤ 0.05).
As compared to normal control, treatment of HC-rats with both cold and hot SP extracts and fluvastatin drug showed CRP recorded significant increase by 24.02, 17.58 and 35.16%, respectively. MPO was slightly decreased by 8.15, 3.63 and 4.95%, for cold and hot UFP and fluvastatin, respectively. In addition, a significant increase was detected in TNF-α reached to 44.06, 41.65 and 61.78%, respectively; with cold and hot UFP and fluvastatin drug administered for 30 d post high fat diet (P ≤ 0.05). In contrast, Treatment of HC-rats showed a significant decrease in IL-10 level amounting to 16.26% for cold UFP, 23.75% for hot UFP and 13.65% for fluvastatin drug. There were significant positive correlations between hyperlipidemia with TNF-α, MPO, CRP and IL-10 as shown in (table 5).
As compared to atherogenic rats (HC), treatment of HC-rats with cold and hot extracts or fluvastatin significantly decreased atherogenic inflammatory markers; CRP, MPO and TNF-α with percentages decrease of 21.04, 17.21 and 16.82% respectively for cold extract, while hot extract recorded 27.21, 13.13 and 18.21%, respectively, and fluvastatin showed 16.32 (CRP) and 14.32 (MPO), while insignificant change for TNF-α. On the other hand, a significant increase (P ≤ 0.05) was demonstrated in anti-atherogenic marker IL-10 reached to 30.08, 18.45 and 34.13, respectively for cold and hot SP extracts and fluvastatin respectively.
Effect of UFP extracts on endothelial dysfunction
Soluble adhesion molecules
The atherogenic HC-rats showed significantly increased in serum ICAM-1 (9.67%) and VCAM-1(36.09%) as compared to the negative control group (P ≤ 0.05), (table 6).
As compared to the negative control group (P ≤ 0.05), treatment by both algal extracts and fluvastatin normalized serum ICAM-1, on the other hand, VCAM-1 was slightly increased by 26.15% for cold UFP, 23.34% for hot UFP and 28.83 for fluvastatin.
Table 1: Effects of cold and hot UFP extracts and fluvastatin supplementations on serum lipid profile in different therapeutic groups
Groups |
Parameters |
TC (µg/dl) |
TG (µg/dl) |
Total lipids (mg/dl) |
LDL-C (µg/dl) |
HDL-C (mg/dl) |
VLDL-C |
Normal control |
mean±SD |
55.63±10.85 |
23.72±8.96 |
1000±52.6 |
19.66±9.24 |
31.21±1.48 |
4.76±1.79 |
Negative Cold extract |
mean±SD |
54.03±5.45 |
24.21±5.49 |
1105.26±52.65 |
22.07±2.69 |
27.25±4.77 |
4.86±1.07 |
% Change to control |
2.88 |
2.07 |
10.53 |
12.26 |
12.69 |
2.10 |
|
Negative Hot extract |
mean±SD |
57.65±8.28 |
24.84±5.19 |
1105.26±105.25 |
20.1±5.10 |
27.74±3.09 |
4.96±1.02 |
% Change to control |
3.63 |
4.72 |
10.53 |
2.24 |
11.12 |
4.20 |
|
HC-rats |
mean±SD |
100.9±11.24* |
65.54±7.05* |
1637.43±96.64* |
83.33±8.68*** |
4.45±1.48* |
13.10±1.40* |
% Change to control |
81.38 ↑ |
176.30 ↑ |
63.74 ↑ |
323.56 ↑ |
85.74 ↓ |
175.21 ↑ |
|
HC-Cold extract |
mean±SD |
57.7±6.23** |
24.75±1.90** |
1070.2±60.79** |
31.96±12.05*,** |
27.25±2.27** |
4.95±0.38*,** |
% Change to control |
3.72 ↑ |
4.34 ↑ |
7.02 ↑ |
62.56 ↑ |
12.69 ↓ |
3.99 ↑ |
|
%change to HC |
42.81 ↓ |
62.24 ↓ |
34.64 ↓ |
61.65 ↓ |
512.36 ↑ |
62.21 ↓ |
|
HC-Hot extract |
mean±SD |
54.05±5.43** |
20.3±3.4** |
1140.33±80.40** |
15.80±3.30** |
34.19±1.50*** |
4.06±0.65** |
% Change to control |
2.84 ↓ |
14.42 ↓ |
14.03 ↑ |
19.63 ↓ |
9.55 ↑ |
14.71 ↓ |
|
%change to HC |
46.43 ↓ |
69.03 ↓ |
30.36 ↓ |
81.04 ↓ |
668.31 ↑ |
69.01 ↓ |
|
HC-Fluvastatin |
mean±SD |
63.06±8.30** |
44.06±8.95*,** |
1087.73±80.40** |
24.18±7.99*,** |
30.21±2.27** |
8.83±1.79*,** |
% Change to control |
13.36 ↑ |
85.75 ↑ |
8.77 ↑ |
23 ↑ |
3.20 ↓ |
85.50 ↑ |
|
%change to HC |
37.50 ↓ |
32.77 ↓ |
33.57 ↓ |
70.98 ↓ |
578.88 ↑ |
32.60 ↓ |
(TG): Triglycerides and (TC): Total cholesterol, (LDL-C): low-density lipoprotein cholesterol; (HDL-C): high-density lipoprotein cholesterol; (VLDL-C): very low-density lipoprotein cholesterol. Data presented as mean±SD, n=15 for each treatment group, (*) is significant to control normal rats at P ≤ 0.05, (**) is significant to HC positive control at P ≤ 0.05, (***) is highly significant at P ≤ 0.001.
In comparison with atherogenic HC-rats, treatment with cold and hot UFP extracts as well as fluvastatin, both CAMs were slightly reduced by 5.43 and 7.31%, respectively for cold extract, by 5.91 and 9.37% respectively for hot extract, whereas fluvastatin showed percentages decrease reached to 7.15 and 5.34%, respectively.
The effects of UFP (cold and hot) on serum urea and creatinine levels
The effects of hypercholesterolemia on renal function were assessed through measuring serum total urea and creatinine; high-fat diet intake caused highly significantly elevated levels of serum total urea and creatinine by 193% and 40%, respectively as compared to normal rats (p≤ 0.05), (table 7).
As compared to normal controls, cold SP and hot SP algal extracts and fluvastatin-treated HC-rats showed a significant increase in urea by 21.48, 16.13 and 19.35%, respectively.
Concerning, creatinine, it recorded insignificant change with the SP of cold UFP by 7%, while it showed nearly the same percentage of decrease 4%, with the hot extract and fluvastatin treatments.
As compared to HC-group, treatment of HC-rats with cold, hot extracts and fluvastatin showed significant decrease in total urea and creatinine with percentages decrease of 58.54 and 33.57%, respectively for cold extract-treated HC-rats, while hot extract-treated HC-rats recorded 60.37and 31.43%, respectively, and 59.26 and 31.43%, respectively for fluvastatin-treated HC-rats.
Table 2: Effects of UFP (cold and hot extracts) and fluvastatin supplementation on serum AST, ALT, ALP enzyme activities, and total bilirubin (TB) in HC-rats and different therapeutic groups
Groups |
Parameters |
AST (U/ml) |
ALT (U/ml) |
ALP (IU/l) |
TB (mg/dl) |
Normal control |
mean±SD |
38.42±2.11 |
63.97±2.03 |
42.50±2.17 |
0.66±0.03 |
Negative Cold extract |
mean±SD |
36.65±1.15 |
68.85±1.17 |
43.50±0.86 |
0.7±0.05 |
% Change to control |
4.61 |
7.63 |
2.35 |
6.06 |
|
Negative Hot extract |
mean±SD |
35.20±1.23 |
64.76±4.40 |
46.5±3.96 |
0.8±0.05 |
% Change to control |
8.38 |
1.23 |
9.41 |
21.21 |
|
HC-rats |
mean±SD |
64.42±1.34* |
90.18±1.60* |
91.50±3.46* |
0.93±0.20 * |
% Change to control |
67.67 ↑ |
40.97 ↑ |
115.29 ↑ |
40.91 ↑ |
|
HC-Cold extract |
mean±SD |
51.51±1.21*,** |
67.97±2.03** |
51.00±3.46*,** |
0.66±0.03 ** |
% Change to control |
34.07 ↑ |
6.25 ↑ |
20 ↑ |
0.00 |
|
%change to HC |
20.04 ↓ |
24.63 ↓ |
44.26 ↓ |
29.03 ↓ |
|
HC-Hot extract |
mean±SD |
39.53±0.80** |
68.86±2.34** |
47.00±2.17** |
0.76±0.03** |
% Change to control |
2.89 ↑ |
7.64 ↑ |
10.59 ↑ |
15.15 ↑ |
|
%change to HC |
38.64 ↓ |
23.64 ↓ |
48.63 ↓ |
18.28 ↓ |
|
HC-Fluvastatin |
mean±SD |
54.64±0.38*,** |
85.30±0.76* |
54.00±3.77*,** |
0.8±0.05*,** |
% Change to control |
42.22 ↑ |
33.34 ↑ |
27.06 ↑ |
21.21 ↑ |
|
%change to HC |
15.18 ↓ |
5.4 ↓ |
40.98 ↓ |
13.98 ↓ |
(ALT): Alanine aminotransferase; (AST): Aspartate aminotransferase; (ALP): Alkaline phosphatase; (TB): Total bilirubin. Data presented as mean±SD, n=15 for each treatment group. (*) is significant to control normal rats at P ≤ 0.05, (**) is significant to HC positive control at P ≤ 0.05.
Table 3: Effects of UFP (cold and hot extracts) and fluvastatin supplementation on serum total protein (TP) content and albumin (ALB) level in addition to glucose level of HC-rats and different therapeutic groups
Groups |
Parameters |
TP (mg) |
Albumin (mg/dl) |
Glucose (mg/dl) |
Normal control |
mean±SD |
38.8±0.61 |
5.9±0.12 |
87.00±2.96 |
%change to HC |
17.33 |
37.21 |
37.39 |
|
Negative Cold extract |
mean±SD |
38.00±0.23 |
5.8±0.05 |
86.83±4.87 |
% Change to control |
2.10 |
1.69 |
1.19 |
|
%change to HC |
14.91 |
34.88 |
37.51 |
|
Negative Hot extract |
mean±SD |
37.73±0.48 |
5.7±0.12 |
85.36±5.86 |
% Change to control |
2.76 |
3.39 |
1.89 |
|
%change to HC |
14.09 |
35.56 |
38.57 |
|
HC-rats |
mean±SD |
33.07±1.16* |
4.3±0.15 * |
138.96±3.92*** |
% Change to control |
14.76 ↓ |
27.12 ↓ |
59.72 ↑ |
|
HC-Cold extract |
mean±SD |
37.8±0.11 ** |
5.8±0.17 ** |
85.90±8.14** |
% Change to control |
2.58 ↓ |
1.69 ↓ |
1.26 ↓ |
|
%change to HC |
14.30 ↑ |
34.88 ↑ |
38.18 ↓ |
|
HC-Hot extract |
mean±SD |
37.6±0.46 ** |
5.7±0.21 ** |
81.16±3.89** |
% Change to control |
3.09 ↓ |
3.39 ↓ |
6.71 ↓ |
|
%change to HC |
13.70 ↑ |
35.56 ↑ |
41.59 ↓ |
|
HC-Fluvastatin |
mean±SD |
37.26±0.43** |
6.1±0.33** |
89.66±4.87** |
% Change to control |
3.97 ↓ |
3.39 ↑ |
3.06 ↑ |
|
%change to HC |
12.67 ↑ |
41.86 ↑ |
35.48 ↓ |
(TP): Total proteins, Data presented as mean±SD, n=15 for each treatment group. (*) is significant to control normal rats at P ≤ 0.05, (**) is significant to HC positive control at P ≤ 0.05. (***) is highly significant at P ≤ 0.001.
Histopathological investigation
Liver
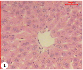
Histopathological examination of negative control rat liver showed the normal histological structure of hepatic lobule and normal hepatocytes (fig. 1).
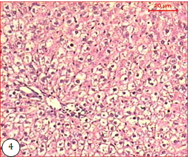
Healthy rats treated with both cold and hot algal extracts showed normal hepatic lobular architecture with normal hepatocytes. No hydropic or steatosis changes were seen, and portal tracts were within normal limits, and no sign of fibrosis was detected (Figs. 2, 3). In HC-rats, the hepatic cords of rats were disorganized, and large numbers of liver cells were swollen and had undergone hydropic degeneration. Different sizes of fat droplets and fatty degeneration of the liver were observed in the cytoplasm of hepatocytes from hyperlipidemic rats. Inflammatory cell infiltrations along with spotty and patchy necrosis of hepatocytes were also observed in the lobule and portal areas (fig. 4). Hepatocytes of HC rats showed severe degeneration with diffuse vacuolar degeneration and necrosis.
Table 4: The antioxidant effect of UFP (hot and cold) extracts and fluvastatin supplementation on MDA, NO and GSH levels in liver tissue of HC-rats and different therapeutic groups.
Groups |
Parameters |
GSH mg/g tissue |
MDA (LPO) nmol/g tissue |
NO mg/g tissue |
Normal control |
mean±SD |
0.58±0.02 |
6.04±0.87 |
13.63±4.54 |
Negative Cold extract |
mean±SD |
0.56±0.05 |
6.06±0.57 |
27.26±4.54 |
% Change to control |
3.45 |
0.33 |
100 |
|
Negative Hot extract |
mean±SD |
0.55±0.04 |
5.98±0.61 |
22.72±4.54 |
% Change to control |
5.17 |
0.99 |
66.69 |
|
HC-rats |
mean±SD |
0.23±0.02* |
11.20±0.17 * |
54.56±9.12*** |
% Change to control |
60.34 ↓ |
85.43 ↑ |
300.29 ↑ |
|
HC-Cold extract |
mean±SD |
0.54±0.03** |
8.55±0.93 *,** |
18.17±4.54** |
% Change to control |
6.90 ↓ |
41.56 ↑ |
33.31 ↑ |
|
%change to HC |
134.78 ↑ |
23.66 ↓ |
38.95 ↓ |
|
HC-Hot extract |
mean±SD |
0.52±0.05** |
7.72±0.60 *,** |
16.66±2.62** |
% Change to control |
10.34 ↓ |
27.81 ↑ |
22.23 ↑ |
|
%change to HC |
126.09 ↑ |
31.07 ↓ |
69.46 ↓ |
|
HC-Fluvastatin |
mean±SD |
0.57±0.02*,** |
7.98±0.67 *,** |
22.81±4.54*,** |
% Change to control |
1.72 ↓ |
32.12 ↑ |
67.35 ↑ |
|
%change to HC |
147.83 ↑ |
28.75 ↓ |
58.19 ↓ |
(NO): Nitric oxide, (LPO): Lipid peroxide, (GSH): Glutathione reduced, Data presented as mean±SD, n=15 for each treatment group. (*) is significant to control normal rats at P ≤ 0.05, (**) is significant to HC positive control at P ≤ 0.05. (***) is highly significant at P ≤ 0.001.
Table 5: The anti-inflammatory effect of UFP (hot and cold extracts) and fluvastatin supplementation on serum MPO, IL-10, TNF-a and CRP levels in normal and hypercholesterolemic rats
Groups |
Parameters |
TNF-α (ρg/ml) |
CRP (ηg/ml) |
MPO (ρg/ml) |
IL-10 (ρg/ml) |
Normal control |
mean±SD |
105.81±0.23 |
5.12±0.00 |
125.63±0.02 |
66.36±0.27 |
Negative Cold extract |
mean±SD |
110.27±0.20 |
5.29±0.01 |
123.63±0.00 |
64.40±0.25 |
% Change to control |
4.22 |
3.32 |
1.59 |
2.95 |
|
Negative Hot extract |
mean±SD |
107.27±0.19 |
5.67±0.01 |
128.60±0.01 |
65.27±0.18 |
% Change to control |
1.38 |
10.74 |
2.36 |
1.64 |
|
HC-rats |
mean±SD |
183.25±0.22 ** |
8.27±0.015** |
139.37±0.60* |
42.72±0.24** |
% Change to control |
73.19 ↑ |
61.52 ↑ |
10.94 ↑ |
35.62 ↓ |
|
HC-Cold extract |
mean±SD |
152.43±0.27*,** |
6.53±0.04 *,** |
115.39±0.01* |
55.57±0.47 *,** |
% Change to control |
44.06 ↑ |
24.02 ↑ |
8.15 ↓ |
16.26 ↓ |
|
%change to HC |
16.82 ↓ |
21.04 ↓ |
17.21 ↓ |
30.08 ↑ |
|
HC-Hot extract |
mean±SD |
149.88±0.163 *,** |
6.02±0.01 *,** |
121.07±0.01* |
50.6±0.41*,** |
% Change to control |
41.65 ↑ |
17.58 ↑ |
3.63 ↓ |
23.75 ↓ |
|
%change to HC |
18.21 ↓ |
27.21 ↓ |
13.13 ↓ |
18.45 ↑ |
|
HC-Fluvastatin |
mean±SD |
171.18±0.14 *,** |
6.92±0.01 * |
119.41±0.32 * |
57.3±0.22 *,** |
% Change to control |
61.78 ↑ |
35.16 ↑ |
4.95 ↓ |
13.65 ↓ |
|
%change to HC |
6.95 ↓ |
16.32 ↓ |
14.32 ↓ |
34.13 ↑ |
(MPO): Myeloperoxidase, (CRP): C-reactive protein, (TNF-α): Tumor necrosis factor-α, (IL-10): Interleukin-10. Data presented as mean±SD, n=15 for each treatment group. (*) is significant at P ≤ 0.05 to control normal rats, (**) is significant to HC positive control at P ≤ 0.05.
Table 6: The antioxidant effect of UFP (hot and cold) extracts and fluvastatin supplementation on VCAM-and ICAM-1 in HC rats and different therapeutic groups
Groups |
Parameters |
ICAM-1 (ηg/ml) |
VCAM-1(ηg/ml) |
Normal control |
mean±SD |
251.40±0.21 |
12110.63±2.67 |
Negative Cold extract |
mean±SD |
244.73±0.32 |
13473.51±46.46 |
% Change to control |
2.65 |
11.25 |
|
Negative Hot extract |
mean±SD |
249.21±0.17 |
13237.07±33.06 |
% Change to control |
0.87 |
9.30 |
|
HC-rats |
mean±SD |
275.71±0.21 * |
16482.26±85.32 * |
% Change to control |
9.67 ↑ |
36.09 ↑ |
|
HC-Cold extract |
mean±SD |
255.99±0.32 ** |
15276.97±84.07 ** |
% Change to control |
1.83 ↑ |
26.15 ↑ |
|
%change to HC |
7.15 ↓ |
7.31 ↓ |
|
HC-Hot extract |
mean±SD |
259.41±0.26 ** |
14937.60±55.31 ** |
% Change to control |
3.19 ↑ |
22.34 ↑ |
|
%change to HC |
5.91 ↓ |
9.37 ↓ |
|
HC-Fluvastatin |
mean±SD |
260.75±0.21 ** |
15302.6±74.63 ** |
% Change to control |
3.42 ↑ |
28.83 ↑ |
|
%change to HC |
5.43 ↓ |
5.34 ↓ |
(VCAM-1): Vascular cellular adhesion molecule-1, (ICAM-1): Intracellular adhesion molecule-1. Data presented as mean±SD, n=15 for each treatment group. (*) is significant to control normal rats at P ≤ 0.05, (**) is significant to HC positive control at P ≤ 0.05.
Table 7: Effect of UFP (hot and cold extracts) and fluvastatin supplementation, on kidney function tests (total urea and creatinine), of hypercholesterolemic rats and different therapeutic groups
Group |
Parameters |
Urea (mg/dl) |
Creatinine (mg/dl) |
Normal control |
mean±SD |
31.00±0.51 |
1.00±0.05 |
Negative Cold extract |
mean±SD |
30.00±0.57 |
0.93±0.03 |
% Change to control |
3.24 |
7 |
|
Negative Hot extract |
mean±SD |
28.00±0.57 |
1.00±0.05 |
% Change to control |
9.68 |
0 |
|
HC-rats |
mean±SD |
90.83±4.63 * |
1.4±0.11* |
% Change to control |
193 ↑ |
40 ↑ |
|
HC-Cold extract |
mean±SD |
37.66±1.45 *,** |
0.93±0.08 ** |
% Change to control |
21.48 ↑ |
7 ↓ |
|
%change to HC |
58.54 ↓ |
33.57 ↓ |
|
HC-Hot extract |
mean±SD |
36.00±0.57*,** |
0.96±0.03 ** |
% Change to control |
16.13 ↑ |
4 ↓ |
|
%change to HC |
60.37 ↓ |
31.43 ↓ |
|
HC-Fluvastatin |
mean±SD |
37.00±1.37*,** |
0.96±0.03 ** |
% Change to control |
19.35 ↑ |
4 ↓ |
|
%change to HC |
59.26 ↓ |
31.43 ↓ |
Data presented as mean±SD, n=15 for each treatment group. (*) is significant to control normal rats at P ≤ 0.05, (**) is significant to HC positive control at P ≤ 0.05
The effect of U. fasciata on hepatocyte cells of HC rats is presented in (fig. s: 5, 6). The hepatic cords were typically arranged and located in liver tissue near the central vein in the normal control (NC), HC, and HC+SP groups. Hepatic cells of HC rats treated with both cold and hot SP extracts were improved with fewer endothelium injuries and less fat vacuoles, showed a considerable reduction in the pathological changes and exhibited an almost normal fig. as the control and the hydropic degeneration of the hepatocyte disappeared. The circular fat droplets in the cytoplasm decreased significantly, and only minor inflammatory cell infiltration was observed in portal areas.
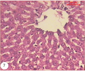
Concerning fluvastatin drug, it was observed that liver recovery included decreased signs of fatty liver with few fatty vacuoles. Hepatic cells of HC-rats treated with fluvastatin were improved with fewer endothelium injuries and less fat vacuoles, (fig. 7).
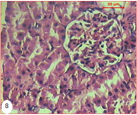
Kidney
Normal control kidney (fig. 8), revealed normal histology of the glomerulus, well-spaced tubules and normal orientation of nephrons with adequate glomeruli. Similar results were obtained for cold and hot algal extracts administered to normal healthy rats (Fig.9, 10).
Light microscopy observations of HC-rats revealed, mild glomerular injury with mild vascular and inflammatory changes, signs of moderate vascular congestion, mesangial hyperplasia and dilatation of vascular lumen with no evidence of fat deposits (mild glomerular change), moderate tubular damage, that is, desquamated and/or vacuolated tubular epithelial cells, was noted as well (fig. 11).
![]() |
![]() |
Fig. 1: Micrograph of the liver of Control shows the architecture of a hepatic lobule. The central vein (CV) lies at the center of the lobule surrounded by the hepatocytes (HC) with strongly eosinophilic granulated cytoplasm (CY), and distinct nuclei (N). Between the strands of hepatocytes, the hepatic sinusoids are shown (HS) (H & E X 150) |
Fig. 2: Micrograph of the liver of rat traded with cold extract shows the normal structure of the hepatic lobule, (H & E X 150). |
![]() |
![]() |
Fig. 3: Micrograph of liver of rat traded with hot extract shows normal structure of the hepatic lobule, (H & E X 150) |
Fig. 4: Micrograph of liver of HC shows fatty change of the hepatic lobule and hydropic degeneration (H & E X 150) |
![]() |
![]() |
Fig. 5: Micrograph of liver of HC rat treated with cold extract shows reduction of the fatty change as compared with the hypercholesteremic one (H & E X 150) |
Fig. 6: Micrograph of liver of HC treated with hot extract shows normal structure of the hepatic lobule (H & E X 150) |
![]() |
![]() |
Fig. 7: Micrograph of liver of HC treated with the reference drug shows normal structure of the hepatic lobule. Notice the few fatty vacuoles (H & E X 150) |
Fig. 8: Micrograph of the kidney of Control rat showing normal structure of the glomeruli and the renal tubules. Notice that distal convoluted tubules (DCT) could be differentiated from the proximal convoluted tubules (PCT) as having larger and well-defined lumina, less affinity to stain (H & E X 150) |
![]() |
![]() |
Fig. 9: Micrograph of kidney of rat treated with Cold Extract showing normal structure of the glomerulus and the renal tubules (H & E X 150) |
Fig. 10: Micrograph of kidney of rat treated with hot Extract shows the normal structure of the glomerulus and the renal tubules (H & E X 150) |
![]() |
![]() |
Fig. 11: Micrograph of the kidney of HC rat showing hypotrophy of the glomerulus that associated with wide urinary space. Note the epithelial detachment of the renal tubules and cellular debris in the lumen of the tubules (H & E X 150) |
Fig. 12: Micrograph of kidney of HC-rat treated with Cold Extract showing normal structure of the glomerulus and the renal tubules (H & E X 150) |
![]() |
![]() |
Fig. 13: Micrograph of kidney of HC-rat treated with Hot Extract shows the normal structure of the glomerulus and the renal tubules (H & E X 150) |
Fig. 14: Micrograph of kidney of HC-rat treated with the reference drug (F) shows normal structure of the glomerulus and the renal tubules, (H & E X 150) |
Treatment of HC-rats with algal extracts and fluvastatin showed, milder tubular injury, no glomerular or tubular alterations, no basement membrane thickening and fibrosis were discerned. Furthermore, normal histology of the glomerulus with well-spaced tubules, no congestion, and no inflammation was detected (fig. 12, 13 and 14 respectively).
DISCUSSION
It is widely accepted that NAFLD is closely related to an excess intake of calories, obesity, and insulin resistance, and it is therefore considered as a hepatic manifestation of metabolic syndrome, [42, 43]. Thus, the regulation of hepatic lipid metabolism including both lipogenesis and lipolysis should be emphasized for preventing dyslipidemia and the accompanying illness [44]. Similarly, in our own study, it was found that rats fed with (30 mg cholesterol/0.3 ml olive oil/kg animal) and 10% fat for 12 w developed hypercholesterolemia with elevated endothelial dysfunction markers (CRP, TNF-α, MPO and IL-10) and histological evidence of fatty deposits in liver cells.
It was found that the cholesterol-enriched diet for 12-weeks resulted in a dramatic surge in serum total cholesterol (81.83%), total lipids (63.74%), and triacylglycerols (176.30%). Concerning lipoproteins, it was oblivious that, circulating serum HDL-C level (the good cholesterol) was significantly diminished (85.74%) in the HC-rats, whereas atherogenic lipoproteins; LDL-C (the bad cholesterol) and VLDL-C levels were significantly raised as compared to normal control group, thus providing a model for dietary hyperlipidemia. The increase of lipid parameters had been shown to be a strong risk factor for coronary heart diseases in many populations [45]. These results run in parallel with Jang et al. [46]. The high level of LDL-C found in hypercholesterolemic rats may be attributed to a down-regulation in LDL receptors by cholesterol and saturated fatty acids included in the diet [47, 48].
Therefore, treatment of hypercholesterolemic rats with UFP (U. fasciata cold and hot sulphated polysaccharide extracts) induced a significant marked decrease of serum total lipids, total cholesterol, triacylglycerols and LDL-C concentrations as compared to the positive control rats. Rats treated with both cold and hot algal extracts showed enhanced HDL-C level; which may be due to the ability of the extract to hasten the decomposition of free radical species generated during cholesterol administration [49].
The hypolipidemic effect of algal extracts might be due to galactose sugar in the hydrolysates of cold SP extract and fucose sugar in the hydrolysates of hot SP extract. In fact, dietary fiber are known to interfere with cholesterol absorption and enterohepatic bile circulation, resulted in depletion of hepatic cholesterol pools and reduce triacylglycerol levels by inhibition of hepatic lipogenesis [50].
According to the previous report, there is also another type of anti-hyperlipidemic mechanism: bile acid sequestrant mechanism. Polysaccharides can act as stimulators of bile acid synthesis. Most bile acids are reabsorbed in the small intestine and return to the liver so that the bile acid pool remains essentially constant. Bile acid sequestering resins act in the small intestine by interrupting the enterohepatic circulation and increasing the fecal excretion of bile acids so that fewer bile acids return to the liver. This increases the synthesis of bile acids, and the loss of bile acids is compensated for by oxidation of more hepatic cholesterol, the only precursor to bile acids, thereby decreasing the total blood cholesterol levels [51]. It is of a major importance the finding that HC rats treated with UFP had higher HDL level than untreated control animals fed with the high cholesterol diet. Indeed, HDL cholesterol serum concentrations were 12.69%, 9.55% and 3.20% for cold, hot SP extracts and fluvastatin higher than the untreated control rats.
It is noteworthy that LDL-C decrease induced by the UFP treatment overpowered the combined increase of HDL-C, therefore resulting in a decrease of biliary cholesterol. Indeed, a potential side-effect of HDL-C increase to be taken seriously is the formation of gallstone consecutive to the bile saturation in cholesterol [52].
The liver plays a central role in maintaining lipid homeostasis as documented by Buzand and Mashek [3]. Hepatic cholesterol secretion into plasma occurs principally through the formation and secretion of VLDL-C [4], while the biliary pathway represents the major route for the removal of hepatic cholesterol from the body, through both the direct secretion of cholesterol itself as well as the conversion of cholesterol into primary bile acids [4, 5].
Several studies showed that hypercholesterolemia is a common feature of primary biliary cirrhosis (PBC) and other forms of the cholestatic liver disease [53]. This study looked at parameters such as ALP, AST and ALT as well as total bilirubin (TB), in addition to total proteins (TP), albumin and glucose, as markers of hepatic damage.
Administration of the algal extracts to control animals did not induce any interference with the cholesterol metabolism as total and free cholesterol and it showed insignificant change either in liver parameters or in glucose level.
Feeding rat’s atherogenic diet resulted in a significant elevation of plasma AST (67.67%), ALT (40.97%), ALP (115.29%), TB (40.91%), and glucose (59.72%) levels, whereas causes a reduction in TP (14.76 %) and albumin (27.12%) in the HC group compared to the corresponding values in normal control rats.
The serum concentration of ALT, AST, ALP, TB, ALB and TP determines the functionality and cellular integrity of the liver [54]. The elevated enzyme activities in serum of hypercholesterolemic control rats reflect the alterations in serum membrane integrity and/or permeability [55].
Inconsistent with the present results, Sudhahar et al. [56] and Kim et al. [57], found that; the activities of ALT and AST tend to increase according to the exogenous cholesterol contents from diet and that hypercholesterolemia state significantly stimulate ALT and AST enzyme activities in the serum, resulting in increased enzyme leakage from hepatocytes. Excessive storage of fat in the liver effects on liver functions and increased the susceptibility to free radical attack in hypercholesterolemic rats resulting in liver damage. The increases in the serum activities of these enzymes was found to be directly proportional to the degree of cellular damage as described by Mhamed et al. [58] and Yadav et al. [59].
30-day post feeding rats high fat with cold, hot UFP or fluvastatin, the increase in the above parameters were significantly blocked and reduced when compared to corresponding values in the HC group. It was obvious that total protein and albumin levels were restored 100% towards their normal values by treatment with cold or hot algal extracts of U. fasciata. The cold UFP showed the highest ameliorating effect, followed by hot extract while fluvastatin showed the lowest effect. Fluvastatin supplementation of hyper-cholesterolemic rats resulted in significant reductions in the activity of ALP, AST and ALT activities as compared to the normal group.
In consistent with the present finding, Arhoghro et al. [60], observed that, both cold and hot extracts increased the cellular membranes integrity and functionality of the liver as demonstrated by the reduction in the levels of ALT, AST, ALP, total bilirubin and elevation in albumin and TP contents in serum of HC-rats.
Concerning glucose, a significant reduction in plasma glucose level was observed in all treated groups as compared to HC-group by 38.18, 41.59 and 35.48%, respectively for cold, hot extracts and fluvastatin, as compared to HC-groups. The glucose-lowering effect of SP may be attributed to gluconeogenesis and the regulation of serum lipid levels. The present results indicate the link between antihyperglycemic and hypolipidemic activities of aqueous extract of UFP [61]. Thus, it could be concluded that both hot and cold UFP extracts of U. fasciata normalized the levels of AST, ALT, ALP and TB as well as TP, albumin, and glucose.
The imbalance of oxidation and reduction within the liver, known as oxidative stress, which is considered as an important mechanism of non-fatty liver disease (NAFLD), [62]. NAFLD is the emerging challenge in the field of human liver diseases [63].
As compared to control group, HC-group recorded a significant decrease in glutathione level by 60.34%. However, malondialdehyde (MDA) showed the dramatic elevation of 85.43%and also NO showed a marked increase by 300.29%; thus, hypercholesterolemia-induced Oxidative stress resulted in an elevation in hepatic MDA and NO, and in contrast a decline in hepatic GSH level, the non-enzymatic antioxidant defense system.
Glutathione's highest concentration present in liver, it plays an important role in maintaining the intracellular redox equilibrium and protects tissues from oxidative stress. The depletion of GSH is associated with an increase in lipid peroxidation, the decrease in GSH level may be a consequence of enhanced utilization of this compound by the antioxidant enzymes, glutathione peroxidase and glutathione-S-transferase [64]. GSH is used in many metabolic and biochemical reactions, such as DNA synthesis, DNA repair, protein synthesis, prostaglandin synthesis, amino acid transport and enzymes activation [65].
Our findings are in accord with the experiment previously performed by Antoniades et al., [66] and Tall et al. [67], where it had been shown that ox-LDL-C can injure endothelial cells and lead to a decrease in nitric oxide synthase activity, thus inhibiting the production of NO, and also that, LDL-C can also significantly inhibit the production of NO from vascular endothelial cells, whereas HDL-C can enhance endothelial NO release. In the present study, high-fat diet significantly increased the hepatic NO level in hyperlipidemic rats, algal treatment caused decreased NO production, NO concentration showed significant decrease by 38.95, 69.46 and 58.19% for cold SP and hot SP and fluvastatin respectively as compared to positive HC controls, a result that may be attributed to antioxidative effect of ulvan sulphated polysaccharide and to the increased HDL-C level and decreased LDL-C level.
UFP treatments showed a marked surge in GSH concentration with the percentage of 134.78, 126.09 and 147.83%, respectively for cold, hot SP extracts and fluvastatin. While, MDA achieved significant decrease by 23.66, 31.07 and 28.75%, respectively for cold, hot extracts as well as fluvastatin reference drug, in comparison to positive control rats.
Oxidative stress is one of the main mechanisms through which hypercholesterolemia exert its action. Too much lipid accumulated in the liver can damage the bio-membranes and the mitochondrial respiratory chain and increase β-oxidation of fatty acids that in turn, leads to an imbalance of oxidative phosphorylation and formation of free radicals. Oxidative stress also causes liver damage through the initiation lots of intermediate products with reactivity and cytotoxicity that subsequently leads to necrosis or apoptosis of cells. In addition, oxidative stress produces an inflammatory reaction through cell injury, causing the infiltration of the liver parenchyma by inflammatory cells. Attack of ROS against bio-membranes or lipoproteins leads to the oxidative destruction of polyunsaturated fatty acids by a process called lipid peroxidation, of which malondialdehyde (MDA) is a product and is, therefore, an indicator of oxidative stress in cells and tissues. This compound can increase the cross-linking of proteins, including cytoskeletal proteins [68]. MDA content can also be used as a biomarker of oxidative stress in subjects with hypercholesterolaemia [69].
Results from our study showed that UFP supplementation modulated antioxidant activities and lipid peroxide levels in the organs of hypercholesterolemic rats including the liver, and kidney; this might be attributed to the predominant component sugars in the hydrolysates of both SP extract polysaccharides; (rhamnose, xylose and galactose) for cold UFP, and (fucose, xylose and rhamnose) for hot UFP. UFP, therefore, could be protecting the cells of the liver from free radical damage. This hepatoprotective property of UFP may be due to its potent antioxidant effects. This corroborates the report of a previous study which showed that the activities of antioxidant enzymes and lipid peroxide levels in the liver of hypercholesterolemic rats were significantly reduced by UFP supplementation [70]. Thus UFP alleviates the oxidative stress by its inhibitory effect of lipid peroxidation by reducing the formation of MDA and enhances the antioxidant defense via increasing GSH retention.
Decreased oxygen delivery and elevated stress occur within the adipocytes, resulting in cell death, initiation of the inflammatory response, and recruitment of macrophages to the site of injury. Macrophages accumulate in the adipose tissue and remodel the tissue. Exposure to fatty acids can initiate the inflammatory process on adipocytes and macrophages. The release of proinflammatory cytokines further activates the inflammatory process in nearby adipocytes, resulting in localized insulin resistance. Pro-inflammatory cytokines, adipokines, and fatty acids also enter systemic circulation, causing insulin resistance in both liver and muscle [48].
The level of pro-inflammatory cytokines; TNF-α and CRP were all significantly higher in the HC-rats in comparison with the normal control group; high fat diet-rats showed a significant increase in pro-inflammatory cytokines; TNF-α (73.19%) and CRP (61.52%) as compared to normal control rats. High cholesterol levels are frequently associated with increased soluble markers of systemic inflammation, such as C-reactive protein (CRP) [71]. Elevated cholesterol has also been shown to trigger the release of the inflammatory mediator C-reactive protein (CRP) [72].
As compared to atherogenic rats (HC), treatment of HC-rats with both algal extracts showed a significant decrease in atherogenic inflammatory markers CRP and TNF-α with percentages decrease of 21.04 and 16.82% respectively for cold extract, while hot extract recorded 27.21 and 18.21%, respectively.
Concerning, MPO and IL-10 in HC-rats, we observed strong activation of several inflammation markers such as; myeloperoxidase MPO, as they are implicated in pathophysiological alterations. By algal treatment, the results clearly showed that the mean levels of detected IL-10 were significantly increased. Han et al. [73]; suggested that IL-10 induced scavenger receptor activity and uptake of pro-inflammatory modified LDL-C by macrophages, that may be efficient for removal of the harmful modified lipoproteins from the artery wall and disposal of cytotoxic free cholesterol, thereby decreasing inflammation and apoptosis in the lesion thereby, retarding early atherosclerotic lesion development. In addition, improvement in endothelial function and attenuation of endothelial activation may be attributed to a reduction in pro-inflammatory markers of endothelial function; this may lead to a reduction in the progression of atherosclerosis and local production of the cytokines by inflammatory accumulated cells.
The UFP-treatment normalized both ICAM-1 and VCAM-1 levels, as compared to negative control rats, whereas in comparison with diseased HC-rats, their treatment with cold, hot UFP extracts as well as fluvastatin, both CAMs were significantly reduced. On the basis of the presented data, both SP algal extracts of were observed to inhibit the expression of VCAM-1 and ICAM-1 as they known to be protective against the progression of atherosclerosis. These effects of UFPs may be due to antioxidative effects that reduced the oxidation of LDL-C to ox-LDL-C. Furthermore, VCAM-1 can also mediate the adhesion and migration of monocytes. These cells, located under the endothelium, become activated and differentiated into macrophages. Finally, these monocytes become foam cells via the aggregation of lipids. Additionally, the vascular smooth muscle cells gradually proliferate and migrate from the media to the intima, promoting further development of atherosclerotic lesions. Ox-LDL-C can also stimulate endothelial cells to produce adhesion molecules, increasing the atherogenicity [74].
The effects of hypercholesterolemia on renal function were assessed through measuring serum total urea and creatinine; high-fat diet intake caused significantly increase in levels of serum total urea and creatinine by 193% and 40%, respectively as compared to normal rats. This may be correlated with enhanced protein catabolism and accelerated amino acid deamination for gluconeogenesis as they are possible, an acceptable postulate to interpret the elevated levels of urea. The increase in serum urea level in hypercholesterolemic control group indicated impairment in the normal kidney function of the animal, as the mechanism of removing it from the blood, might have been affected. It may also be an indication of dysfunction at the glomerular and tubular levels of the kidney. It is well known that many biochemical and histopathological findings confirmed renal damage in hypercholesterolemia conditions [75].
Creatinine, synthesized in the liver, passes into the circulation where it is taken up almost entirely by the skeletal muscles. Its retention in the blood is an evidence of kidney impairment as demonstrated by Wurochekke et al. [76]. In the present study, the elevated creatinine concentration is associated with the abnormal renal function. These data are in agreement with the previous study of Montilla et al. [77], who showed that hypercholesterolemia induced glomerular injury.
The administration of both water algal SP extracts resulted in a detectable down-regulation of urea and creatinine levels. By comparison to HC-group, treatment of HC-rats with cold and hot algal extracts showed a significant decrease in total urea and creatinine with percentages decrease of 58.54 and 33.57%, respectively for cold extract, while hot extract recorded 60.37and 31.43%, respectively. These results are in agreement with these found by Herreo et al. [78]. The reduced levels of urea and creatinine in the serum of HC-treated rats may imply that the algal extract interfered with creatinine metabolism and eventually excreted it from the blood. The significant reduction in creatinine, another product of protein metabolism upon SP extracts and drug administration to half the control value may be an indication of compromise of the renal function.
These biochemical findings were associated with significant improvement in the cellular architecture of both liver and kidney. Histological investigations showed that the HC-rats displayed an important lipid droplet accumulation and both UFPs dramatically reduced in a dose-dependent manner the number of hepatocytes that contain lipid droplets. It was found that lipid droplets were observed only in the liver tissue of HC rats [79]. This could be attributed to lipid accumulation in the hepatocyte cell cytoplasm. Oxidized LDL induces the expression of scavenger receptors on the macrophage surface. These scavenger receptors promote the accumulation of modified lipoproteins, forming an early atheroma [80]. Ballooning of hepatocytes deformed cord arrangement, and disturbed sinusoids were seen Hepatocytes of HC rats showed severe degeneration with diffuse vacuolar degeneration and necrosis. Lipid droplets were observed only in the liver tissue of HC-rats. This could be attributed to lipid accumulation in the hepatocyte cell cytoplasm.
On the other hand,HC rats treated with both cold and hot SP extracts were improved with fewer endothelium injuries and less fat vacuoles, showed a considerable reduction in the pathological changes and exhibited an almost normal fig. as the control and the hydropic degeneration of the hepatocyte disappeared. The circular fat droplets in the cytoplasm decreased significantly, and only minor inflammatory cell infiltration was observed in portal areas. In addition, fluvastatin drug administered showed liver recovery included decrease signs of fatty liver with few fatty vacuoles.
Light microscopy observations of HC-rats also revealed mild glomerular injury with mild vascular and inflammatory changes, signs of moderate vascular congestion, mesangial hyperplasia and dilatation of vascular lumen with no evidence of fat deposits (mild glomerular change), moderate tubular damage, that is, desquamated and/or vacuolated tubular epithelial cells.
Treatment of HC-rats with algal extracts and fluvastatin showed, milder tubular injury, no glomerular or tubular alterations, no basement membrane thickening and fibrosis were discerned. Furthermore, normal histology of the glomerulus with well-spaced tubules, no congestion, and no inflammation was detected.
This ameliorative effect might be attributed to the anti-inflammatory, antioxidant and hypolipidemic effect of sulphated polysaccharides (SP) of U. fasciata that restored renal histopathology to its normal appearance.
CONCLUSION
It could be concluded that hot and cold UFP ameliorated/ normalized all the NAFLD or CKD (Chronic kidney disease), risk parameters induced by lipidemic-oxidative stress.
On the evaluation of the integrity of HC liver and kidney following consumption of UFP, the results showed that the integrity of the liver and kidney was preserved as there were no significant alterations in the levels of kidney and liver function. The ameliorative effect of both algal extracts was assessed by measuring different liver and kidney parameters that were well proven by the histological findings; these results suggest that UFP may be beneficial in ameliorating hypercholesterolemia-associated liver and kidney injury. Therefore, Sulphated polysaccharides (SP) can be regarded as potential anti-peroxidative, atheroprotective, hypolipidemic, and antiatherogenic agents, and may be used in the protection of ROS/free radical-induced oxidative damage, hyperlipidemia/ dyslipidemia and atherosclerotic complications including CHD.
CONFLICT OF INTERESTS
The authors declare that they have no competing interests
REFERENCES