1Laboratory for Immunomodulation and Inflammation Biology, Department of Studies in Biochemistry, Sahyadri Science College (Autonomous), Kuvempu University, Shimoga 577203, Karnataka, India, 2Department of Biochemistry and Nutrition, Central Food Technological Research Institute (CFTRI), Mysore 570020, Karnataka, India
Email: snpramod2029@gmail.com
Received: 24 Jun 2015 Revised and Accepted: 21 Sep 2015
Abstract
Objective: Potato (Solanum tuberosum) and garlic (Allium sativum) are an important ubiquitously consumed dietary components and known to contain lectins, with potent and diverse biological functions. Present study aims to evaluate the mitogenicity and immunomodulatory potential of these lectins on human and murine lymphocytes.
Methods: The lectin activity of raw and heat processed extracts along with purified proteins were confirmed by heamagglutination and glycoprotein binding assays. MTT assay employed to evaluate the mitogenic and cytotoxic potential. Nitric oxide and NBT assays were performed for NO and ROS induction from lymphocytes and macrophages respectively.
Results: Raw and heat processed extracts of potato and garlic induced heamagglutination and demonstrated binding affinity to glycoproteins. Potato lectin was identified as pan agglutinin whereas garlic lectins, were blood group specific with differential glycan recognition. Garlic extracts and lectins (ASAs) exhibited a strong mitogenicity towards human and murine lymphocytes. The proliferation index for ASA I (70-75%) and ASA II (35-40%) are comparable to those of the reference mitogens. However, Potato extracts and lectin (STA) was non-mitogenic and found cytotoxic for both human and murine lymphocytes. Raw garlic extract showed a significant increase in ROS generation. Both potato and garlic lectins failed to induce ROS from macrophages and nitric oxide (NO) from human PBLs.
Conclusions: Both potato and garlic lectins were capable of interacting with cell surface glycoproteins and it is evident that the garlic lectins have stimulatory effect whereas the potato lectin has an inhibitory effect on lymphocyte proliferation. There by, study indicates that garlic lectins are mitogenic and co-mitogenic, whereas potato lectin is non-mitogenic or anti-mitogenic in nature.
Keywords: Garlic, Agglutinin, Lectin, Lymphocytes, Mitogen, Potato.
INTRODUCTION
Molecules, cells and organisms display information about themselves in the form of glycoconjugates. This information is decoded by a structurally diverse class of proteins called lectins that bind carbohydrates with considerable specificity but moderate affinity [1]. As a consequence, lectins have found widespread application in probing the architecture and dynamics of cell surface carbohydrates during cell division, differentiation, and malignancies as well as in the isolation and characterization of glycoconjugates [2, 3]. The earliest studies on lectin-mediated mitogenesis and their proliferative effects on various cell types have stimulated interest in the properties of lectins while advancing knowledge of immunology [4, 5]. Their ability to stimulate lymphocytes as well as other cells, have made lectins an important diagnostic and experimental tool, which has made substantial contribution to study the various aspects of cell growth and differentiation, taking lymphocytes as the model cell type [6, 7]. Apart from this, it also has opened up a new arena for scientists to study the probable role of lectins in cell growth and development [8, 9].
Dietary lectins which are plant protein components with the ability to bind, selectively, free or conjugated saccharide in a reversible way by two or more binding sites, have been shown to induce lymphocyte proliferation or modulate several immune functions [2, 7]. They are able to induce cell division or proliferation in different kinds of cells mainly lymphocytes from lymph organs or blood [5, 7]; the most well-known among are Phytohemagglutinin (PHA), Pokeweed mitogen (PWM) and concanavalin A (Con A) [4, 6]. Studies with lectins and monoclonal antibodies have established that large variety of cell-surface molecules influence the initiation and regulation of lymphocyte activation and proliferation [6]. However, not all plant lectins are mitogenic; they can be grouped as mitogenic, non-mitogenic or anti-mitogenic [10, 11]. Actually, WGA has been found to be non-mitogenic, anti-mitogenic, and mitogenic for either T cells or B cells depending on the concentration of the lectin or the purity of the examined cells [5]. As lectins are reportedly being identified and isolated from the vast number of dietary sources with the desirable biological activity, it will be interesting to study the mitogenic potential of dietary lectins on lymphocytes, as they cause in vivo modulation of lymphoid tissues [4, 10, 11]. Potato lectin (Solanum tuberosum agglutinin; STA) is a blood group-nonspecific lectin (pan-agglutinin) present in potato tubers, and is specific for chitin (poly N-acetyl-D-glucosamine). STA is dimeric comprising of two identical monomers of ~55 kD, fifty percent of its mass being carbohydrates [12]. The bulbs of garlic contain two mannose specific lectins (Allium sativum agglutinin ASA I & II) which are the predominant proteins in garlic bulbs. The heterodimeric ASA I contains two slightly different subunits of 11.5 and 12.5 kD, whereas the homodimeric ASA II consists of 12 kD subunits [13].
Garlic extracts are known to maintain cardiovascular homeostasis in mice and rats [14] and modulate an immune response by inducing proliferation of T lymphocytes [15]. Previously it is reported that STA is involved in degranulating the mast cells and basophils thereby resulting in non-allergic food hypersensitivity reactions [16]. However, the mitogenic and immunomodulatory activity of purified potato lectin, have not been reported so far and information on the immunomodulatory potential and interaction with immune cells of garlic lectin is very limited [17]. Present study focus to investigate the modulator effects of the raw and heat processed potato and garlic extracts along with the purified mannose-specific garlic lectins (ASA I and ASA II) and oligo-GlcNAc specific potato lectin (STA) on human and murine lymphocytes in relation to mitogenicity to provide insights about the immunomodulatory activity with relevance to native, heat processed and purified lectins along with known mitogen Con A to understand, mitogenic, co-mitogenic and anti mitogenic nature with its synergistic behavior.
Materials and Methods
Materials
This study was undertaken after clearance by the Institutional Human as well as Animal Ethics Committees; informed consent was obtained from all human volunteers for obtaining peripheral venous blood in the age range of 18-60 y. Potato lectin and garlic lectins were purified in the laboratory as described previously [12, 13]. Spleen and thymus were obtained from BALB/c mice procured from Central Animal House Facility, Indian Institute of Science, Bangalore, India. Concanavalin A (Con A), phytohemagglutinin (PHA), Ficoll-hypaque, RPMI-1640 medium were products of Sigma-Aldrich Co., St. Louis, MO, USA. Tissue culture grade sodium bicarbonate, L-glutamine, MTT [3-(4, 5-dimethylthiazol-2-yl)-2,5-diphenyl tetrazolium bromide A. R.], and NBT (Nitroblue tetrazolium A. R.) were purchased from Hi Media Laboratories Ltd., Mumbai, India. Fetal calf serum (FCS) was obtained from Sera-lab (Sussex, England). Tissue culture plates were products of Costar Ltd., Cambridge, MA, USA. All other chemicals and reagents were of analytical grade.
Raw and heat-processed potato/garlic extracts and their lectins
Raw and heat-processed (boiling for 30 min at 100°C) potato/garlic extracts (50% w/v) were prepared using phosphate buffered saline (PBS). The extract was then centrifuged in the cold at 5200 x g rpm for 15 min. Raw and heat-processed extracts were analyzed for protein content by dye-binding assay. Potato lectin (STA) and garlic lectins (ASA I and ASA II) were purified to homogeneity following the chromatographic procedures as described previously [12, 13], and they were used at a protein concentration of 1 mg/ml. Similarly, Con A and PHA were prepared at 1 mg/ml concentration using PBS.
Preparation of 2% rabbit erythrocytes and heamagglutination (HA) assay
Five milliliters of fresh rabbit blood was collected and put into 5 mL of Alsever’s solution. The contents were mixed by swirling in order to prepare 2% RBC suspension for use in heamagglutination (HA) assay. HA activity of garlic extracts and purified lectins (ASA I and ASA II) were carried out using trypsinized rabbit erythrocyte suspension as described previously [12]. Briefly, 2% suspension of rabbit erythrocytes (0.2 mL) was added to serially diluted garlic protein solutions. After incubation at 37 °C for 1 h, agglutination was visualized. The HA specific activity is given as the number of HA units per mg of protein.
Glycoprotein binding assay
Microtiter wells were coated with 10-20 µg protein of various potato and garlic extracts or purified potato (STA) and garlic lectins (ASA I and ASA II) at pH 9.6 at 4 °C overnight. After the blocking step using 3% gelatin in PBS, the microtiter wells were incubated with HRP (100 µL of 0.1 mg/ml), or avidin-AP conjugate (100 µL of 1:2000 dilution) in PBS containing 1% BSA/0.05% Tween-20 at 37 °C for 2 h. Following the addition of the respective substrate (o-phenylenediamine/H2O2 for HRP or p-nitro phenyl phosphate for alkaline-phosphatase), the absorbance was measured at 405 nm.
SDS PAGE pattern of processed extract and pure lectins
Protein quantification was carried out following the standard protocol of Bradford assay, using BSA as the standard. The protein pattern of the potato & garlic extracts (Raw and heat processed), STA and ASA (I & II), were analyzed by 12% or 15% SDS-PAGE (reducing), using a Bio-Rad mini electrophoresis unit. The protein bands were visualized by staining with Coomassie Brilliant Blue R-250.
Isolation human and murine lymphocytes
Human lymphocytes were isolated from the venous blood as peripheral blood lymphocytes whereas, the murine lymphocytes were obtained from the spleen and thymus of mice as splenocytes and thymocytes and are maintained in RPMI cell culture medium.
Preparation of complete RPMI-1640 media for proliferation assay
RPMI-1640 cell culture medium was used for all experiments. For incomplete medium, powdered medium was added to triple distilled filtered water, and dissolved by gentle stirring. Later, tissue culture grade sodium bicarbonate was added to strength of 7.5 %, the final volume was made with water, and the pH adjusted to 7.2. Incomplete medium was supplemented with 10 % v/v fetal calf serum, 1 % sodium pyruvate, 2 mM L-glutamine, 100 IU/ml penicillin and 100 µg/ml of streptomycin to obtain a complete medium, which was used for the proliferation assay.
Isolation of human peripheral blood lymphocytes (PBLs)
Ten milliliters of venous blood drawn from healthy normal subjects were transferred to HiAnticlot vials (heparin-coated flat-bottom polystyrene vials from HiMedia Laboratories Ltd., Mumbai, India). The heparinized blood was layered carefully on Ficoll-hypaque (density = 1.077 g/ml) contained in a polystyrene tube. The tubes were centrifuged at 250 × g at 25 °C for 20 min. Centrifugation at a lower temperature (4 °C) was avoided since this result in cell clumping and poor recovery [14]. After centrifugation, below the plasma layer, a circle of white translucent coat containing lymphocytes was aspirated carefully using a pasteur pipette. The cells were then re suspended in isotonic phosphate-buffered saline (PBS) and mixed by gentle aspiration. The buffy coat containing lymphocytes was washed 4-5 times using PBS at 4 °C, and finally were placed in complete RPMI-1640 medium.
Isolation of murine splenocytes and thymocytes
Spleen and thymus were collected under aseptic conditions from normal BALB/c mice (23-25 g, 12-weeks-old) after sacrification, placed in isotonic phosphate buffered saline (PBS). These tissues were separately minced using a pair of scissors and passed through a fine steel mesh to obtain a homogenous cell suspension. The cells were pelleted to remove the tissue debris. After centrifugation (380 x g at 4 °C for 10 min), the pelleted cells were washed three times with PBS (400 x g at 4 °C for 10 min). The pellet obtained after washing with PBS was re suspended in a modified ammonium chloride buffer (150 mM NH4Cl, 10 mM KHCO3, pH 7.4 containing 10 mM sodium acetate) and incubated at 4 °C for 5 min to remove the erythrocytes. After the cells were centrifuged at 400 × g at 4 °C for 20 min, the pellet was mixed in physiological salt solution (PSS) [137 mM NaCl, 2.7 mM KCl, 1 mM MgCl2, 1.6 mM CaCl2, 10 mM HEPES, 0.05 % gelatin and 6.45 mM NaH2PO4 at pH 7.4], washed three times in the same buffer, and finally re suspended in RPMI-1640 medium.
Counting of lymphocytes and determination of viability
The isolated lymphocytes from normal human subjects and mice spleen and thymus were counted using hemocytometer and crystal violet stain. The cell concentration was adjusted to2.5 x 106 cells/ml and used for proliferation assay. Percentage viability of lymphocytes in the isolated cell suspension was checked by Trypan blue exclusion method. For the cell viability determination, an aliquot of cell suspension was taken and mixed with 0.2 % Trypan blue at 1:1 dilution and kept at 25°C for ~2 min. The cell suspension charged to hemocytometer was observed under the microscope. Cells, which are dead or partially damaged, appear as dark blue against a light blue background, since they take up the dye. The viable cells appear clear without any stain against the light blue background.
MTT assay for cellular proliferation
MTT [3-(4, 5-dimethylthiazol-2-yl)-2, 5-diphenyl-tetrazolium bromide] assay is performed based on the method described previously [10, 11]. The assay was performed in tissue culture plates (96 wells microtiter plates); the wells were added with complete medium followed by lectins (0.01 to 10 µg/ml) and lymphocytes (100 µL of 2.5 x 106 cells/ml). Plates were incubated in a CO2 incubator at 37 °C with 5% CO2 for 72 h. Lymphocytes in the absence of lectins represent control, and blank was carried out with complete medium only. After incubation for 72 h, 5 µL of 5 mg/ml MTT solution (MTT was dissolved in 0.1 M Tris-buffered saline, which was then filtered to remove any insoluble residues) were added and incubated for further 4 h under the same conditions. After removing the plates, the samples were aspirated to micro centrifuge tube, and centrifuged at 750 x g at 4 °C for 15 min. Supernatant was removed and the blue formazan crystals were resolubilized in 500 µL of isopropanol with 0.04 N HCl under agitation. After dissolving the crystals, 100 µL of each sample were taken in microtiter plates. Plates were read in a microplate reader at 570 nm.
Nitric oxide (NO) assay
NO is a gaseous free-radical molecule which is catalytically generated by cellular nitric oxide synthase (NOS) upon conversion of L-arginine to L-citrulline. The amount of NO produced in the medium (incubated with human PBLs and lectins) was determined by assaying its stable end product, NO3‾ (nitrate) by the method described previously [18]. Briefly, equal volumes (100 µL) of sample and Greiss reagent (1% sulfanilamide, 0.1% N-1-naphthyl ethylenediamine in 5% H3PO4) were mixed in a 96-well microtiter plate at room temperature. The absorbance was then measured at 540 nm in a microplate reader. A range of sodium nitrate dilutions served to generate a standard curve for each assay.
Nitro blue tetrazolium (NBT) assay for reactive oxygen species
NBT assay was performed according to the procedure explained previously [19]. Briefly, the rat peritoneal exudate cells containing macrophages were isolated using Tyrode buffer (137 mMNaCl, 2.7 mMKCl, 1.8 mM CaCl2, 1.1 mM MgCl2, 11.9 mM NaHCO3, 0.4 mM NaH2PO4, and 5.6 mM glucose, pH 7.4) containing 0.1% BSA. The cells obtained were washed twice with Tyrode buffer by centrifugation at 200 × g at 4 °C for 20 min. The peritoneal cells (1 x 105cells/ml) were taken in a volume of 100 µL, 400 µL of Hank’s balanced salt solution (HBSS) containing lectins (0.1, 1, 10 µg/ml) was added with 0.4% BSA. The samples were pre-incubated at 37°C for 10 min, and then 2 mM NBT (40 µL/each tube) was added and further incubated at 37°C for 20 min. Reaction was arrested by the addition of 2.5 mL ice cold HBSS. After the tubes were centrifuged at 400 x g for 10 min, the supernatant was discarded and the blue formazan crystals were dissolved by adding 2 volume of dioxane. After centrifugation, absorbance of the supernatant was read at 540 nm.
Statistical analysis
Data presented in this study were expressed as mean±Standard Error (SEM) of three experiments (n=3). One-way analysis of variance (ANOVA) test followed by multiple Tukey’s comparison test was applied. A p-value of<0.05 was considered to be statistically significant.
Results
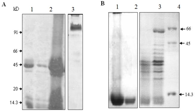
SDS-PAGE analysis, heamagglutination and glycoprotein binding assay
The SDS-PAGE gel profile shown in Fig.1 depicts the protein pattern of raw/heat processed extracts and purified lectins of potato and garlic. The specific activity of potato and garlic lectins as measured by hemagglutination assay was summarized in table 1. The specific HA activity of potato lectin (STA) was 3891 units/mg whereas that of garlic lectins ASA I and II were1779 and 604 units/mg respectively.

Fig. 1: Raw and heat processed extracts with purified lectins from potato tuber and garlic bulbs. (A) Potato samples: Lane 1. Raw potato extract (RPE); lane 2: Heat processed potato extract (HPPE); lane3: Concentrated raw potato extract; lane 4: Purified potato lectin (STA). The molecular weights of marker proteins are indicated in kD on the left. (B) Lane 1: Garlic lectin (ASA 1); lane 2; Garlic lectin (ASA II); lane 3: Heat processed garlic extract (HPGE); lane 4: Raw garlic extract (RGE); Lane M represents molecular weight markers. Protein Load 10 µg, Staining: Coomassie Brilliant blue R-250
Table 1: Hemagglutination and glycoprotein binding properties of raw and heat processed extract and lectins of potato and garlic
| Samples | HA activity (Units/mg protein) | Glycoprotein bind in g# |
| HRP (A492) (0.1 mg/ml) | ||
| Potato | ||
| RPE | 58.20 | 0.345* |
| HPPE | 29.05 | 0.214 |
| HPPE supematant | No agglutination | 0.023 |
| STA | 3891.0 | 0.419** |
| Garlic | ||
| RGE | 21.5 | 0.057 |
| HPGE | 14.3 | 0.036 |
| HPGE supematant | No agglutination | 0.014 |
| ASA I | 1779 | 0.395** |
| ASA II | 604 | 0.263* |
#20 µg protein coated on microtiter wells; HRP concentration: 0.1 mg/ml; avidin-AP dilution-1:1500. Values for control protein (BSA): 0.009 (HRP-BA); 0.015 (Avidin-AP).
RPE: raw potato extract; HPPE: heat processed potato extract. STA: Solanum tuberosum agglutinin (potato lectin); ASA; Alium sativum agglutinins (garlic bulb lectins). Data represents results of three independent experiments. Values are mean±SEM, n = 3, one way ANOVA followed by Tukey’s multiple comparison test. Significant values are *p<0.05; ** p<0.01.
Heat processed potato and garlic extracts have retained nearly 50% of HA activity when compared to their raw counterparts (table 1). The results of glycoprotein binding assay revealed that potato (STA) and garlic lectins (ASA I and II) showed a strong binding to HRP and avidin. Among the garlic lectins ASA I showed significantly stronger binding to the glycoprotein. Raw potato extracts (RPE) showed a good binding to glycoprotein than raw garlic extracts (RGE). It is obvious from the results that heat processing did not completely reduce the glycoprotein binding efficiency in both potato and garlic extracts indicating its heat stability.
Mitogenic stimulation of human PBLs by garlic and potato lectins
The dietary lectins from potato tuber (STA) and garlic bulb (ASA I and ASA II) was purified to homogeneity as described previously [12, 13]. The purified lectins were tested for their ability to proliferate human PBLs. Initially, all the three lectins along with positive reference mitogen, Con A, were checked in the concentration range of 0.01 to 10 µg/ml concentration. The results are shown in fig. 2. Both garlic lectins ASA I and II show stimulatory effects with human PBLs where as STA shows inhibitory effects at higher concentrations (1 and 10 µg/ml) and no effect at lower concentrations (0.01 to 0.1 µg/ml). ASA I behaves similar to Con A in its potential to cause proliferation of human PBLs (fig. 2A). However, ASA II shows only a mild mitogenic effect as compared to control.

Fig. 2: The immunomodulatory effects of garlic lectins (ASA I and ASA II) and potato lectin (STA) on human PBLs in the concentration range of 0.01 to 10 µg/ml. Con A was used as a reference positive for lymphocyte proliferation
Mitogenic and co-mitogenic effect of extracts and lectins on human PBLs
Both garlic lectins, ASA I and ASA II, were found to be mitogenic and co-mitogenic for human PBLs, whereas STA was neither mitogenic by itself nor co-mitogenic when added with a known mitogen.


Fig. 3: (B) Mitogenic and co-mitogenic effects of garlic lectins and potato lectin on human PBLs. All the lectins were used at 5 µg/ml concentration. Cells used: 1x105 cells/ml.(C) Proliferation index of purified lectins and extracts from garlic and potato on human PBLs. The extracts were used at 10 µg/ml, purified lectins and Con A at 5 µg/ml concentration. Proliferation index was calculated by dividing absorbance of the test by absorbance of control. Data represents results of three independent experiments. Values are mean±SEM, n = 3, one way ANOVA followed by Tukey’s multiple comparison test. Significant values are *p<0.05; **p<0.01
The results are shown in fig. 3A. ASA I show a similar effect as that of the known mitogen Con A, and an increased response is seen in the presence of Con A (significant at P ≤ 0.001). ASA II shows approximately half of the response seen for ASA I and Con A, but in the presence of Con A, ASA II shows only a slight increase in cell proliferation (compared to Con A alone) which is not significant at P ≤ 0.05. Potato lectin (STA) does not show any stimulatory effect; in the presence of con A, STA reduces the response induced by Con A by 30-35%, which indicates the inhibitory effect of potato lectin towards human PBLs.
The proliferative effect of garlic lectins, potato lectin and garlic/potato extracts on human PBLs are shown in terms of proliferation index in fig. 3B. The index for control (untreated cells) taken as 1.0, and for others are represented as fold increase or decrease over the control. Proliferation index is calculated by dividing the absorbance of test by absorbance of the control. Raw garlic extract (RGE) has mitogenic, whereas heat-processed garlic extract (HPGE) has half the mitogenic effect shown by RGE. Potato extracts (RPE and HPPE) do not show any mitogenic activity. ASA I and Con A shows 3.5 fold increase, whereas ASA II shows only 1.5 fold, indicating that both ASA I and ASA II are mitogenic. On the other hand, STA showed a proliferation index of 0.65 and appears to be anti-mitogenic.



Fig. 4: (A) Immunostimulatory effects of garlic lectins ASA I and ASA II on murine splenocytes. The concentration range of lectins tested is 0.1 to 10 µg/ml. Con A and PHA are known T-cell mitogens, and represent reference positives. (B) Immunostimulatory effects of garlic lectins ASA I and ASA II on murine thymocytes. The concentration range of lectins tested is 0.1 to 10 µg/ml. Con A and PHA are known T-cell mitogens, and represent reference positives. (C) Comparison of the proliferation index of garlic lectins on murine splenocytes and thymocytes. All lectins are used at 5 µg/ml concentration. Cell concentration used is 1 x 105 cells/ml. Data represents results of three independent experiments. Values are mean±SEM, n = 3, one way ANOVA followed by Tukey’s multiple comparison test. Significant values are *p<0.05; ** p<0.01
Modulatory effects of garlic lectins on murine splenocytes and thymocytes
Murine splenocytes were isolated from the spleen obtained from adult BALB/c mice. The splenocytes were tested for proliferation by garlic lectins ASA I and ASA II at 0.1-10 µg/ml concentration. Con A and PHA which are known T-cell mitogens were used as reference positive mitogens, and the cells in the absence of any lectin served as control. The result of splenocytes stimulation is shown in fig. 4A. There is a significant difference (at p ≤ 0.001) in the proliferation of splenocytes by ASA I at 1 and 10 µg/ml, and this effect is comparable to those of the reference mitogens. ASA II shows only a slight increase in stimulatory effect and is not significant at p ≤ 0.001 as compared to con A, but in comparison to control the effect is significant at P ≤ 0.05.
Murine thymocytes were isolated from the thymus obtained from adult BALB/c mice. Thymocytes were stimulated by garlic lectins ASA I and ASA II at 0.1-10 µg/ml concentration (fig. 4B). The stimulatory response of garlic lectins for murine thymocytes seems to be more as compared to human PBLs and murine splenocytes. Similar trend of activation by garlic lectins is seen as in the case of murine splenocytes. The effect, of ASA I is comparable to that of Con A and PHA. However, ASA II shows a slightly higher degree of activation for thymocytes compared to splenocytes (fig. 4C).


Fig. 4: (A) NO production from human PBLs by garlic extracts, Potato extracts and their lectins. Concentration of garlic extracts and lectins: 5 µg/ml and Concentration of potato extracts and potato lectin: 5 µg/ml. Absorbance of nitrate (proportional to released NO) is measured at 540 nm following reaction with Griess reagent. (B) Superoxide generation from rat PECs in the presence purified garlic lectins and potato lectin. Concentration of garlic lectins, potato lectin and RGE: 1 to 10 µg/ml. Data represents results of three independent experiments. Values are mean±SEM, n = 6, one way ANOVA followed by Tukey’s multiple comparison test. Significant values are *p<0.05; **p<0.01. No significant stimulation of NO seen in any of the samples tested
Comparison of the effect of garlic lectins on murine lymphocytes
Both the garlic lectins stimulate murine lymphocytes to varying degrees. The comparative results of the effect on these lectins on splenocytes and thymocytes are shown in fig. 3C. ASA I induced stronger stimulatory effect with both splenocytes and thymocytes. ASA II was about 25-30% less effective compared to ASA I, however, it induced greater response with thymocytes compared to splenocytes. Raw garlic extract (RGE) has significant modulatory effect on both splenocytes and thymocytes.
Effect of garlic and potato lectins on nitric oxide (NO) production from human PBLs
The induction of nitric oxide synthesis from human PBLs by extracts and lectins was studied. A calibration curve was prepared using sodium nitrate in the concentration range of 0-10 µM showing a linear correlation with R2 of 0.0995. Garlic extracts and purified garlic lectins do not show a significant increase in the NO production from human PBLs (fig. 5A). However, HPGE and ASA II shows a slightly lower production as compared to RGE and ASA I. Reference lectins (Con A and PHA) do not show a remarkable NO production. Nitric oxide production by garlic lectins ranges from 1.5 to 2 µM as measured from the calibration curve. Nitric oxide induction by garlic lectins is not very significant. A similar trend has been observed even with potato extracts and potato lectin. Nitric oxide production is marginal and the result is not significant (fig. 5A). Potato extracts and potato lectin induce NO in the range of 0.5 to 1 µM.
Superoxide generation from rat PECs by garlic lectins and potato lectin
All the three purified lectins (ASA I, ASA II and STA) and RGE were checked for their ability to induce reactive oxygen species from isolated rat PECs containing macrophages. The lectins were used in the concentration range of 0.1 to 10 µg/ml for stimulation. The results are shown in fig. 5B. All the three lectins do not induce superoxide production, and only the raw garlic extracts (RGE) at 10 µg/ml induces superoxide production (~3.5 fold compared to the control).
Discussion
Mitogenic activities of plant lectins are consequences of their carbohydrate binding ability as evidences indicate that cell-surface glycoconjugates are involved in mitogenic process [4, 7]. Various studies have established that a surprisingly large variety of cell-surface molecules influence the initiation and regulation of lymphocyte activation and proliferation [5, 20]. Unlike typical antigens, which perhaps stimulate 0.01-0.1% of the lymphocyte population, mitogenic lectins can stimulate up to 20% [21]. The in vitro mitogenicity of lectins is typically measured as their ability to induce proliferation of lymphocytes from lymph organs or blood; the best described and most used are PHA, PWM and Con A [6, 11, 22]. However, not all plant lectins are mitogenic. Some lectins like WGA and datura lectin were reported to be anti-mitogenic in nature [23]. Lectins are biological recognition molecules and can induce varied responses on interaction with cell surface glycoproteins [1, 3]. Many plant lectins have been known to induce different signal on binding with cells of immune system [7]. The potato lectin (STA) and Garlic lectins (ASA I and II) are capable of interacting with the RBC cell surface glycans and agglutinate the cells and can bind model glycoproteins HRP and avidin as evident by hemagglutination and glycoprotein binding assays. Both heat processed potato (HPPE) and garlic extracts (HPGE) retained the lectin activity with hemagglutination and glycoprotein binding efficiency indicating the thermal stability of lectins. Most plant dietary lectins are known to be heat stable and digestive resistant [24] which make them potential to bind cells in the gastrointestinal epithelium and cross the mucosal barrier and can enter into systemic circulation to encounter different cellular system to induce various biological response [25, 26]. Garlic lectin was reported to be stable in the gut and can induce specific immune response [24].
In this study, garlic lectins ASA I and II induced proliferation of both human and murine lymphocyte population and the degree of proliferation by ASA I is comparable to those of the reference lectins, Con A and PHA. ASA II shows less stimulatory effect on murine splenocytes and human PBLs. Among RGE and HPGE, only RGE shows a significant stimulatory effect against both human and murine lymphocytes. The non-protein components may co-stimulate and cause synergetic effect with the lectins in the extract. The varying stimulatory response between ASA I and ASA II might be because of their difference in the carbohydrate binding ability [13, 24]. ASA I appear to bind glycoproteins about 3-fold stronger compared to ASA II, as it is evidenced by glycoprotein binding assay and hemagglutination assay. The subtle differences in the mitogenic activity of these lectins appeared to be due to a combination of diverse molecular forms that they present [5]. Small differences could also be attributed to the amino acid sequence in the carbohydrate-binding site involved in sugar interaction that may affect the fine specificity for sugars in the cell membrane [1, 27].
Potato extracts as well as potato lectin do not show the mitogenic stimulation of human and murine lymphocytes. STA was found to be non-mitogenic at lower concentration, but at higher concentration induces an inhibitory response for lymphocytes. Though the initial step in mitogenic stimulation is binding of the lectin to the cell surface carbohydrate moieties, this alone is not sufficient, since certain lectins are non-mitogenic, even though they bind well to human lymphocytes [28]. Thus, it is believed that mitogenic lectins interact with unique membrane components that may act as ‘stimulatory receptors’ and that non-mitogenic lectins may not bind to these membrane components, or alternatively bind to ‘inhibitory receptors’ [5].
Although some lectins are polyclonal activators both in vivo and in vitro, others may display a broad range of activities toward human lymphocytes. Indeed, the same lectin may be mitogenic, co-mitogenic, or anti-mitogenic, depending on the experimental conditions [5, 29]. Several lectins (WGA, LEA, DSA) were surprisingly found to be anti-mitogenic [30]; in other words they act to antagonize the stimulative activity of mitogens with which they are co-cultured [31]. The response shown by STA strongly agrees with earlier findings, where tomato lectin (LEA), wheat germ agglutinin (WGA) and Datura lectin (DSA) have been found to non-mitogenic and inhibit lymphocyte proliferation [22, 23, 29, 31]. The Solanaceae lectins have basically similar saccharide specificity, and it is likely that they all act as anti-mitogens by binding to the same receptor [29]. The non-mitogenic nature of these lectins could be explained by their ability of blocking the receptor with an essential role in T-cell activation mechanism of mitogenic stimulation [32] by lectins still need to be understood with respect to the finer details.
Potato lectin and garlic lectin were tested for their ability to induce ROS and nitric oxide production which are signal molecules and serves as a secondary messenger for various biochemical signaling mechanisms [30]. All the three purified lectins, raw and heat processed extract did not induce NO production from human PBLs. These lectins also do not possess the ability for the generation of reactive oxygen species, whereas RGE induced ROS production indicating other non-protein components present in raw garlic have ROS stimulatory activity. Production of ROS is an indication of pro-inflammatory oxidative stress that results in the generation of certain cytokines from leukocytes critical for an inflammatory process involved in pathogenesis [34]. The activation of inducible nitric oxide synthase (iNOS) triggers the production of NO in activated cells. iNOS is stimulated in a pro-inflammatory or inflammatory condition and produces temporary NO [35]. No induction of ROS and NO by lectins indicate these does not stimulate cells to produce any pro-inflammatory cytokines and hence does not cause are related to any pathogenesis.
Conclusion
The observations in this study reveals the chitobiose specific potato lectin (STA) and mannose specific garlic lectins (ASAI and II) induce agglutination of human erythrocytes by binding to cell surface glycans. Potato lectin and extracts were non-mitogenic and anti-mitogenic on human and murine lymphocytes whereas garlic lectins and extracts were found to have potent mitogenic stimulation on human and murine lymphocytes. ASA I in particular had significant stimulatory potential and comparable with standard mitogens confirming to be synergistic and co-mitogenic in nature. Moreover, none of the purified lectin or extract induces the superoxide and nitric oxide in stimulated, cells indicating these does not induce inflammation or pathogenesis to cells. Garlic lectin ASA I can be a potential stimulator to boost immune response in immunodeficiency condition. These dietary lectins can be a reagent for activating lymphocytes in diagnostic work and to study immunomodulatory functions. The lectin-cell interactions and stimulation and inhibition of cells encourage developing lectin based cell based biological response tools in health and disease.
Acknowledgement
We acknowledge Sahyadri Science College and Kuvempu University for providing the facility. SNP and VVgratefully acknowledge the University Grants Commission (UGC), [F. No: 41-1260/2012], Government of India, for providing the financial assistance to carry out this study.
Abbreviation
STA: Solanum tuberosum agglutinin; ASA: Alium sativum agglutinin; RBC: Red blood corpuscles; PBL: Peripheral blood lymphocytes; BSA: Bovine serum albumin; HRP: horse radish peroxidase; AP: Alkaline phosphatase; PBS: Phosphate buffered saline; HA: Heamagglutination activity; NO: Nitric oxide; NOS: Nitric oxide synthatase; Con A: Concanavalin A; PHA: Phytohemagglutinin, FCS: fetal calf serum; WGA: Weat germ agglutinin; DSA: Datura stromanium agglutinin; LEA: Lycopersican esculantum agglutinin.
Conflict of InterestS
The authors declare that there are no known conflicts of interest associated with this publication.
References