
1Faculty of Science, Branch of Girls, King Abdul-Aziz University, Jeddah, Saudi Arabia, 2Chemistry of Natural Compounds Department, National Research Centre, 33 El-Bohouth St. (Former El-Tahrir St.), Dokki 12622, Giza, Egypt, 3Therapeutic Chemistry Department, National Research Centre, 33 El-Bohouth St. (Former El-Tahrir St.), Dokki 12622, Giza, Egypt
Email: howaida_nrc@yahoo.com
Received: 02 Jul 2015 Revised and Accepted: 27 Oct 2015
ABSTRACT
Objective: Fortunella japonica (Thunb.) Swingle is an evergreen shrub, its whole fruit, including the peel, is eaten. There have been few detailed phytophenolics composition reports on this genus and the hypoglycemic and hypolipidemic effects of the plant were not evaluated.
Methods: Structures of the isolated compounds were elucidated by spectral analysis. Serum glucose level, activities of liver enzymes, total protein content, serum lipid profiles, antioxidant parameters and some glycolytic and gluconeogenic enzymes in streptozotocin (STZ)-induced diabetic rats were determined. The evaluation also carried out through determination of liver disorder biomarkers and histopathological examination of liver, kidney and pancreas.
Results: Six phytophenolics were isolated, for the first time from the genus Fortunella as well as a sterol compound. Treatment with the ethanolic extract of F. japonica leaves effectively meliorated antioxidant markers and glycolytic enzymes. The histopathological analyzes also confirmed the experimental findings.
Conclusion: The results show that the ethanolic extract has hypoglycemic, hypotriglyceridemic and antioxidant effects in STZ-induced diabetic rats, suggesting that this extract supplementation can be useful in preventing diabetic complications associated with hyperlipidemia and oxidative stress.
Keywords: Fortunella japonica, Phytophenolics, Hyperglycemia, Hyperlipidemia, Oxidative stress, Streptozotocin.
© 2016 The Authors. Published by Innovare Academic Sciences Pvt Ltd. This is an open access article under the CC BY license (http://creativecommons.org/licenses/by/4.0/)
INTRODUCTION
Fortunella japonica (Thunb.) Swingle belongs to family Rutaceae. The plant bears small, bright orange oblong fruits that have an edible, sweet rind and a sour, acidic pulp [1]. It is used as antiphlogistic, antitussive, carminative, deodorant and expectorant in folkloric medicine.
There have been few detailed phytochemical reports on Fortunella genus. Isolation of a bioactive stimulator of uterine contraction; kaurene diterpene and coumarins; sesselin, xanthyletin and suberosin, from the roots of F. margarita [2] and a dihydrochalcone derivative was detected in the fruits [1]. Talapatra et al. [3] isolated nobiletin, tangeretin and 5, 7, 8, 3′, 4′-pentamethoxy flavones in the fruits of F. japonica. While the reverse-phase liquid chromatography hyphenated with photodiode-array detection and tandem electrospray ionization mass spectrometry (LC-DAD-ESI-MS) analysis of its crude juice resulted in the detection of acacetin 3,6-di-C-glucoside, lucenin-2 4′-methyl ether, narirutin 4′-O-glucoside, vicenin-2, and apigenin 8-C-neohesperidoside [4].
The majority of research programs is directed towards the investigation of Fortunella fruits and peels volatile [5, 6] constitutive due to their antimicrobial, acetylcholinesterase inhibitor, anti-inflammatory, and antiproliferative effect [7, 8].
Chemoprevention by dietary means continues to attract major attention for the management of degenerative diseases primarily due to the dramatic rise of hyperlipidemia and hyperglycemia as major metabolic disorder healthcare problem affecting a huge population all over the world [9]. Hyperlipidemia is one of the major health problems because of the close correlation between cardiovascular diseases and lipid abnormalities [10].
Hyperglycemia results from abnormalities in insulin secretion and/or insulin action, both caused by impaired metabolism of glucose, lipids and proteins [11]. In hyperglycaemics, impaired carbohydrates accelerate lipolysis, resulting in hyperlipidemia [9]. Despite the presence of known antihyperglycemic pharmaceuticals, hyperglycemia and the related complications continue to be a major medical problem. Natural products have been long considered promising antidiabetic agents because of their potent effects and low toxicities. Searching for new safe antihyperglycemic phytopharmaceuticals is still attractive [9, 12-14].
Plant extracts and their constituents as a natural source of antioxidative have been extensively reviewed [15, 16]. Plant extracts containing low molecular mass compounds have been successively used in phytotherapy since ancient times, as reactive oxygen species (ROS) are involved in several diseases, research on the antioxidant potential of medicinal plants.
In the light of this, the present study was initiated to find out the phytophenolics composition of the leaves of F. japonica and the bio-potential of the ethanolic extract as antihyperlipidemic, antihyperglycemic, and antioxidant oxidative stress.
MATERIALS AND METHODS
Plant material
Fortunella japonica (Thunb.) Swingle leaves were collected and kindly identified by Ali Al-Jaleel, Najran Horticulture Research and Development Centre, Ministry of Agriculture, Food and Agriculture Organization, Najran, Kingdom of Saudi Arabia in December 2013.
Chemicals and analytical instruments
The high analytical grade chemicals from Sigma (USA), Merck (Germany), BDH (England), Riedel de Hàen (Germany) and Fluka (Switzerland) were used. The kits used were be Biosystems (Spain), Sigma (USA) and Biodiagnostic (Egypt). The NMR spectra were recorded at 300 (1H) and 75 (13C) MHz, on a Varian Mercury 300 NMR spectrometer in the convenient solvent. The δ values are reported in ppm relative to TMS and J values in Hz. A Laborota 4010 rotary evaporator (Heidolph Instruments, Schwabach, Germany) was used and UV analyses for pure samples were recorded, separately, in methanol solutions and with different diagnostic UV shift reagents on a Shimadzu UV 240 (P/N 240–58000). Electron spray ionization mass spectrometry (ESI-MS) measurements were run on a double focusing Mat 95 sector field mass spectrometer (Finnigan, Bremen, Germany).
Phytophenolics investigation
Materials used for chromatographic analysis
For column chromatography, silica gel (Si) 60 mesh 60-120 (E. Merck, Darmstadt, Germany), and Sephadex LH-20 (Pharmacia, Uppsala, Sweden) were used. Whatman No. 1 paper sheets (Whatman Ltd., Maidstone, England) and pre-coated silica gel 60 F254 plates were used for paper chromatography (PC) and thin layer chromatography (TLC), respectively.
Solvent systems
S1 [C6H14/EtOAc (7:3, v/v), S2 [C6H6/EtOAc (9.5:0.5, v/v)], S3 [CHCl3/MeOH, (8:2, v/v)], S4 [n-BuOH/HOAc/H2O, (4:1:5, v/v/v, top layer)], and S5 (15% aqueous HOAc) were used.
Spray reagents
The pure compounds were visualized by spraying with iodine/potassium iodide (I2/KI, I); AlCl3 (1 % ethanol, II), Naturstoff (1 % methanolic solution of diphenyl boric acid-ethanolamine complex and a 5 % ethanolic solution of polyethylene glycol 400, III), r-anisaldehyde-sulphuric acid reagent (0.5 ml r-anisaldehyde is mixed with 10
Extraction and isolation of phytophenolics
Fresh leaves of F. japonica (Thunb.) Swingle (1 kg) were successively and exhaustively extracted with petroleum ether (40-60 °C) and EtOAc using a soxhlet apparatus. Each extract was distilled in vacuo at 50 °C giving a residue of 30.4 and 48.6 g, respectively. An aliquot of the petroleum ether-soluble portion (20 g) loaded onto a Si column, which was chromatographed using toluene/EtOAc (9:2) to give compounds 1 (15 mg) and 3 (10 mg). The EtOAc-soluble portion was chromatographed over Si using gradient elution with toluene/ethyl acetate (100:0-0:100, v/v) and the fractions of the similar chromatographic profile were collected to give four main fractions. The first fraction was chromatographed on Si using n-hexane/EtOAc (9:1) and (9:3) afforded compounds 2 (16 mg) and 4 (11 mg), respectively. Compounds 1-4 were purified after crystallization from methanol. Screening of second and third fractions was done by comparative PC (Co-PC) using Whatman No. 1 sheets, and S4 and S5 as solvent systems. Visualization of the chromatograms was achieved by UV (365 nm) using III and/or IV spray reagents. These fractions were chromatographed on different columns viz., Si column chromatography (eluted successively with a step gradient of n-hexane-CH2Cl2 (100:0-0:100 v/v) then gradual increase polarity with methanol) and Sephadex LH-20 (using n-BuOH/iso-propanol/H2O (BIW, 4:1:5 v/v/v, top layer), methanol or methanol-water mixture (9:1) as different eluents. Accordingly from the previous fraction, compounds 5 (15 mg), 6 (13 mg), and 7 (15 mg) were obtained.
The seven major compounds were isolated, their purity being checked by comparative TLC using solvent systems S1-S3 for compounds 1-4 and by Co-PC using S4 and S5 for compounds 5-7. Spray reagents I for compound 1, II for compounds 2-4 and III and IV for compounds 5–7 were used. The chromatographic of compounds 5–7 properties (color under UV light, change with ammonia vapor and responses towards spray reagents) can suggest their flavonoid characters. All compounds were characterized mainly by spectroscopic methods; UV, MS, 1H and 13C NMR as well as a comparison of the melting points with authentic samples or those in the literature.
Isolated compounds
The spectral data of the isolated of compounds were illustrated as the following:
Compound (1): White crystals; m. p. 136-137 °C; C29H50O; Rf= 0.53 (S1); MS m/z (100 %): 414 [M+, 65.0], 415 [M++H, 100], 399 [M+-OH, 30.0], 397 [M+-OH, 40.4], 330 [49.8], 302 [19.7], 273 [23.6], 255 [49.8], 231[33.5], 312 [33.5]; 1H NMR (DMSO-d6, 300 MHz): d ppm 5.36 (1H, d, J= 5.4 Hz, H-6), 3.54 (1H, m, H-3);13C NMR (75 MHz, DMSO-d6): d ppm 140.8 (C-5), 121.7 (C-6), 71.8 (C-3), 56.8 (C-14/17), 50.2 (C-9), 45.9 (C-24), 42.3 (C-4/13), 39.8 (C-12), 37.3 (C-1), 36.5 (C-10), 36.2 (C-20), 34.0 (C-22), 31.9 (C-7/8), 31.7 (C-2), 28.3 (C-16), 26.2 (C-23), 24.3 (C-15), 29.2 (C-25), 23.1 (C-28), 21.1 (C-11), 19.8 (C-26), 19.4 (C-19), 19.1 (C-27), 18.8 (C-21), 12.0 (C-29), 11.9 (C-18).
Compound (2): White crystals; m. p. 226-228 °C; C9H8O3; Rf = 0.33 (S2); 0.45 (S3); UV λmax (MeOH): 323 nm; MS m/z (100 %): 162 [M+, 86.7], 134 [M+-CO, 100], 106 [M+-2CO, 24.7], 78 [C6H6+, 74.7]; 1H NMR (300 MHz, CDCl3): d ppm 7.91 (1H, dd, J ~9.5, 1.2 Hz, H-4); 7.51 (1H, dd, J= 8.5,1.2 Hz, H-5); 6.75 (1H, m, H-6), 6.70 (1H, s, H-8), 6.19 (1H, dd, J ~9.5, 1.8 Hz, H-3); 13C NMR (CDCl3, 75 MHz): d ppm 161.2 (C-7), 160.4 (C-2), 155.4 (C-9), 144.4 (C-4), 129.6 (C-5), 113.1 (C-6), 111.3 (C-3), 111.2 (C-10), 102.1 (C-8).
Compound(3): Yellow crystals; m. p. 150-151 °C; C13H10O5;Rf= 0.52 (S3); 0.49 (S5); UV λmax (MeOH): 246sh, 267, 310 nm; MS m/z (100 %): 246 [M+, 88.9], 231 [M+-CH3, 100], 203 [M+-CH3,-CO, 20.7], 188 [M+-2CH3-CO, 24.2], 175 [M+-CH3-2CO, 26.7], 160 [M+-2CH3-2CO, 26.7], 132 [M+-2CH3-3CO, 8.8], 104 [M+-2CH3-4CO, 16.4], 76 [C6H4+, 16.6]; 1H NMR (300 MHz, CDCl3): d ppm 8.17 (1H, d, J~10 Hz, H-4), 8.05 (1H, d, J= 2.1 Hz, H-2'),7.34 (1H, d, J= 2.1 Hz, H-3'), 6.33 (d, J~10 Hz, H-3), 4.16 (3H, s, OCH3-5), 4.05 (3H, s, OCH3-8).13C NMR (75 MHz, CDCl3): d ppm 160.5 (C-2), 149.9 (C-7), 145.3 (C-2'), 144.4 (C-5), 143.7 (C-9), 139.5 (C-4), 128.3 (C-8), 114.9 (C-6), 112.8 (C-3), 107.7 (C-10), 105.3 (C-3'), 61.7 (OCH3-8), 60.9 (OCH3-5).
Compound(4): White crystals; m. p. 146-147 °C; C12H8O4; Rf= 0.48 (S2); 0.53 (S3); UV λmax (MeOH): 247, 299 nm; MS m/z (100 %): 216 [M+, 100], 201 [M+-CH3, 4.1], 188 [M+-CO, 35.9], 173 [M+-CO-CH3, 59.3], 158 [M+-CO-OCH3/+H, 14.4], 145 [M+-CH3-2CO, 18.9], 89 [C7H5+, 23.7]; 1H NMR (300 MHz, CDCl3): d ppm 7.76 (1H, d, J= 9.6, H-4), 7.69 (1H, d, J= 2.1, H-2'), 7.34 (1H, s, H-5), 6.82 (1H, d, J= 2.1, H-3'), 6.36 (1H, d, J=9.6, H-3), 4.29 (3H, s, OCH3-8); 13C NMR (75 MHz, CDCl3): d ppm 160.4 (C-2), 147.6 (C-7), 146.6 (C-2'), 144.3 (C-4), 143.0 (C-9), 132.8 (C-8), 126.1 (C-6), 116.4 (C-10), 114.7 (C-3), 112.9 (C-5), 106.7 (C-3'), 61.3 (OCH3-8).
Compound (5):Yellow crystals; m. p. 206-208 °C; C21H20O10; Rf = 0.58 (S4), 0.19 (S5); UV spectral data: lmax nm, MeOH: 218, 266, 335, (+NaOMe): 222, 267, 302sh, 379; (+AlCl3): 227, 277, 300, 382, (+AlCl3+HCl): 234, 275, 300, 382, (+NaOAc): 227, 275, 302sh, 346, 382, (+NaOAc+H3BO3): 232, 275, 338; negative ESI-MS m/z:431 [M-H]-; 1H NMR (300 MHz, DMSO-d6): d ppm 7.82 (2H, d, J= 8.6 Hz, H-2'/6'), 6.88 (2H, d, J= 8.6 Hz, H-3'/5'), 6.76 (1H, s, H-3), 6.72 (1 H, d, J= 2.1 Hz, H-8), 6.42 (1H, d, J= 2.1 Hz, H-6), 5.12 (1H, d, J= 7.5 Hz, H-1''), 3.85-3.20 (m, sugars protons); 13C NMR (75 MHz, DMSO-d6): d ppm 181.6 (C-4), 164.0 (C-2), 162.7 (C-7), 161.3 (C-5), 160.8 (C-4'), 156.6 (C-9), 126.3 (C-2'/6'), 120.7 (C-1'), 115.9 (C-3'/5'), 105.1 (C-10), 102.8 (C-3), 100.1 (C-1''), 99.5 (C-6), 94.8 (C-8), 77.0 (C-5''), 76.3 (C-3''), 73.0 (C-2''), 69.4 (C-4''), 60.6 (C-6'').
Compound (6): Yellow powder; C27H30O14; Rf = 0.32 (S4); 0.55 (S5); UV λmax (MeOH): 267, 332, (+NaOMe): 270, 298sh, 383, (+AlCl3): 277, 299, 345, 383, (+AlCl3/HCl): 276, 297, 340, 383, (+NaOAc): 267, 332, (+NaOAc+H3BO3): 267, 332; 1H NMR (300 MHz, DMSO-d6): d ppm 7.93 (2H, d, J = 8.6 Hz, H-2'/6'), 6.94 (2H, d, J= 8.6 Hz, H-3'/5'), 6.85 (1H, s, H-3), 6.79 (1H, d, J= 2.1 Hz, H-8), 6.37 (1H, d, J= 2.1 Hz, H-6), 5.23 (1H, d,J= 7.2 Hz, H-1''), 5.13 (1H, brs, H-1'''), 3.74-3.19 (m, sugar protons), 1.20 (3 H, d, J= 6.0 Hz, CH3-6'''); 13C NMR (75 MHz, DMSO-d6): d ppm 182.0 (C-4), 164.3 (C-2), 162.6 (C-7), 161.4 (C-5), 161.1 (C-4'), 157.4 (C-9), 128.6 (C-2'/6'), 121.0 (C-1'), 116.1 (C-3'/5'), 105.5 (C-10), 103.2 (C-3), 100.5 (C-1'''), 99.4 (C-1''), 97.9 (C-6), 94.6 (C-8), 77.3 (C-5''), 77.1 (C-2''), 76.4 (C-3''), 71.9 (C-4'''), 70.6 (C-2'''), 70.5 (C-3'''), 69.7 (C-4''), 68.4 (C-5'''), 60.6 (C-6''), 18.1 (C-6''').
Compound (7): Faint yellow powder; m. p. 254-256 °C; C17H14O6; Rf = 0.91 (S4); UV spectral data: lmax nm, MeOH: 275, 332, (+NaOMe): 272, 387; (+AlCl3): 286, 300, 360, (+AlCl3+HCl): 285, 299, 353, (+NaOAc): 271, 337, (+NaOAc+H3BO3): 272, 337; ESI-MS; m/z: 314 [M+, 93], 315 [M+H]+, 42.8], 300 [M+-CH3/+H, 19.9], 299 [M+-CH3, 100], 271 [M+-CH3-CO, 39.3], 270 [M+-CH3/+H-CH2O, 5.4], 153 [A1++H, 34.4], 118 [B1+, 14.9]; 1H NMR (DMSO-d6, 300 MHz): d ppm 7.91 (1H, d, J= 9 Hz, H-2'/6'), 6.97 (2H, d, J= 9 Hz, H-3'/5'), 6.76 (1H, s, H-8), 6.85 (1H, s, H-3), 3.87 (3H, s, OCH3-6), 3.73 (3H, s, OCH3-7); 13C NMR (DMSO-d6, 75 MHz): d ppm 182.1 (C-4), 164.0 (C-2), 161.0 (C-4'), 158.5 (C-7), 152.5 (C-5), 152.0 (C-9), 131.8 (C-6), 128.4 (C-2'/6'), 121.0 (C-1'), 115.2 (C-3'/5'), 105.0 (C-10), 102.5 (C-3), 91.4 (C-8), 59.9 (OCH3-6), 56.3 (OCH3-7).
Evaluation of antihyperlipidemic and antihyperglycemic activities
Preparation of plant sample
The fresh leaves of F. japonica (500 g) were subjected to cold percolation with 80 % aqueous ethanol (3×2 L) at room temperature. After concentration under reduced pressure, the ethanolic extract (60.8 g) was stored in the refrigerator until use.
Animals
Male Wister albino rats (250±50 g) of twenty weeks age were selected for this study. They were obtained from the Animal House, National Research Centre, Egypt. All animals were housed in a temperature (26-29 °C) and humidity (50-60 %) controlled environment in steel mesh cages of ten rats each on wood–chip bedding, with a fixed light/dark cycle (12 h), for one week as an acclimatization period with free access of water and food ad libitum. Anesthetic procedures and handling of animals complied with the ethical guidelines of the Medical Ethical Committee of National Research Centre in Egypt, providing that the animals did not suffer at any stage of the experiment.
Experimental design
Fifty male albino rats were selected for this study and divided into five groups (ten rats each) as follows: group 1: normal, healthy control rats, group 2: normal rats orally treated with 500 mg/kg body weight (BW) of an ethanolic extract of F. japonica for 45 d, according to LD50 which reveal the extract is safe till 1.5 g/kg BW, group 3: considered as diabetic groups; where diabetes was induced by STZ. Each rat was injected intraperitoneally with a single dose of STZ (60 mg/kg BW dissolved in 0.01 M citrate buffer immediately before use [12]. After injection, animals had free access to food and water and they were given 5% glucose solution to drink overnight to encounter hypoglycemic shock.
Animals were checked daily for the presence of glycosuria. Animals were considered to be diabetic if glycosuria was present for 3 consecutive days. After 3 d of STZ injection fasting blood samples were obtained and fasting blood sugar was determined (>300 mg/dl). Hyperglycemic rats were used for the experiment and classified as follows: group 4: diabetic animal oral administered 500 mg/kg BW of ethanolic extract of F. japonica for 45 d, group 5: diabetic rats supplemented orally with the glibenclamide (reference drug) at a dose of 10mg /Kg BW d for 45 d [15].
After 45 d of treatments, rats fasted overnight (12-14 h), anesthetized with diethyl ether and blood collected by puncture of the sublingual vein in clean and dry test tube, left 10 min to clot and centrifuged at 3000 revolutions per minute (rpm) for serum separation. The separated serum was used for biochemical analysis of liver function enzymes, blood glucose level, lipid profile and total protein content.
Preparation of tissue homogenate
After blood collection, rats of each group were sacrificed, the livers were removed immediately, weighed and homogenized in 5-10 volumes of bidistilled water by a ratio 1:10 w/v using electrical homogenizer, centrifuged at 4000 rpm for 15 min, the supernatants were collected, and placed in eppendorf tubes, and stored at–20 °C and used for determination of oxidative stress markers [nitric oxide (NO) and malondialdehyde (MDA)], enzymatic and non-enzymatic antioxidant [reduced glutathione (GSH) and superoxide dismutase (SOD)] as well as and carbohydrate metabolizing enzymes [hexokinase (HK), pyruvate kinase (PK), and phosphoenolpyruvate carboxykinase (PEPCK)]. The homogenization was carried out as described by Newsholme et al. [17].
Liver injury biomarkers
Glucose was determined in serum by colorimetric assay method kits (Biodiagnostic Chemical Company, Cairo, Egypt) according to the method of Trinder [18]. Alkaline phosphatase (ALP) enzyme activity was measured by the method of Belfield and Goldberg [19]. Aspartate and alanine aminotransferases (AST and ALT) enzyme activities were measured in serum by the method of Gella et al. [20] and the enzyme activity is expressed as μmol/l. Total protein content was assayed in serum according to the method of Bradford [21] and expressed as ug/l.
Tissue biochemical analyzes
Carbohydrates metabolizing enzymes
Hexokinase enzyme assay in liver tissue homogenate was assayed according to the method described by Abrahao-Neto et al. [22]. Pyruvate kinase (PK) and Phosphoenolpyruvate carboxykinase (PEPCK) enzyme activities were determined in liver tissue homogenate according to the method of Bergmeyer et al. [23].
Oxidative stress biomarkers and enzymatic and non-enzymatic antioxidant
Lipid peroxide (LPO)/malondialdehyde (MDA) [24], and nitric oxide (NO) [25]. Reduced glutathione (GSH) was assayed according to the method of Moron et al. [26] and superoxide dismutase (SOD) according to the method described by Paoletti et al.[27]. These analytical procedures were determined in the liver tissue homogenate.
Lipid profile and kidney markers
Total urea and creatinine were demonstrated in serum and carried out using diagnostic kits (Biodiagnostic Chemical Company, Cairo, Egypt) according to the method of Schirmeister [28] and Fawcett [29] respectively.
Statistical analyses
Data were analyzed by comparing values for different treated groups with the values of individual controls. Results are expressed as mean±SD. The significant differences among values were analyzed using analysis of variance (One Way Anova) coupled with Co-stat computer program, where unshared letters indicate significant difference at P ≤ 0.05.
RESULTS
Isolation of compounds
Fractionation of the petroleum ether (40-60 °C) and EtOAc extracts of leaves of Fortunella japonica on different columns of Si gel and Sephadex afforded one sterol β-sitosterol (1), three coumarins 2-4, two glycosides 5-6 and one methoxylated flavonoid 7 (fig. 1). They were identified as umbelliferone (2), isopimpenellin (3), xanthotoxin (4), apigenin-7-O-β-D-glucopyranoside (5), apigenin-7-O-β-rhamno-glucoside (6) and the methoxylated flavonoid; cirsimaritin (7). Their structures were established on the basis of detailed chromatographic and spectroscopic techniques (UV, MS, 1D and 2D NMR).
Bioactivity study
The present results demonstrate the biochemical effects of ethanolic extract of F. Japonica treatment in comparison with the current available hypoglycemic glibenclamide reference drug against liver disorders induced by reactive oxygen species in a diabetic model. Table 1 showed liver enzyme activities, serum glucose level and total protein content in normal, STZ and treated groups. The insignificant change was observed in normal rats treated with F. japonica extract as compared to normal untreated rats. Data are means±SD of ten rats in each group. Serum glucose level is expressed in mg/dl. Liver function enzyme activities are expressed in μmol/l. Total protein is expressed in µg/l Statistical analysis is carried out using Co-stat computer program coupled with post-hoc (least significance difference LSD. Unshared letters indicate significant difference at P<0.05.
In STZ group, a significant increase was observed in serum glucose levels with percentage increase reached to 225.00 %, and in liver function, enzyme activities; AST, ALT and ALP with percentage increase 213.91, 157.29 and 228.00 %, respectively. Significant decreases were observed in total protein content amounting to 44.00 %, as compared to the normal control. Significant normalization was noticed in serum glucose level, liver enzymes and total protein content in the diabetic rats treated with ethanol extract of F. japonica with percentages of amelioration amounting to 190.19, 191.10, 319.61, 165.03 and 31.59 %, respectively, with simultaneous results for glibenclamide-treated diabetic rats.
Insignificant change in lipid profile, total cholesterol (TC), triglycerides (TG), high-density lipoprotein cholesterol (HDL-c), low-density lipoprotein cholesterol (LDL-c) and total lipids were reported in normal control treated rats with F. japonica ethanol extract (table 2). On the other hand, diabetic rats showed a significant increase in lipid profile; TC, TG, LDL-c and total lipid with percentage increase, amounting to 238.64, 177.91, 583.62 and 129.95 %, respectively. A significant decrease in HDL-c was observed (68.34 %), as compared to normal control rats. Treatments with F. japonica extract significantly reversed these elevations and controlled the reduced HDL-c level with percentages of improvement 198.82, 134.14, 43.20, 434.38 and 229.95 %, respectively, for total cholesterol, triglycerides, HDL-c, LDL–c and total lipid. The antidiabetic reference glibenclamide drug declared more or less similar results (table 2).
Glc= glucose; RhaGlc= 2-O-α-L-Rhamnopyranosyl-D-glucopyranose.
Fig.1: Chemical structures of the isolated compounds from Fortunella japonica:β-sitosterol (1), umbelliferone (2), isopimpinellin (3), xanthotoxin (4), apigenin-7-O-β-D-glucopyranoside (5), apigenin-7-O-β-rhamnoglucoside (6), and cirsimaritin (7)
Table 1: Effect of F. japonica total extract on serum glucose level, liver enzyme activities and total protein content in normal control and different therapeutic groups
Parameters |
Normal control |
F. japonica treated normally |
STZ treated |
STZ+F. japonica treated |
Glibenclamide |
Serum glucose |
112.33±8.93a |
110.13±9.00a |
365.10±14.40b |
151.45±3.30c |
151.97±7.67c |
AST |
2.66±0.11a |
2.33±0.30a |
8.35±0.78b |
3.00±0.10a |
2.85±0.35a |
ALT |
1.99±0. 20a |
1.32±0.10a |
5.12±0.47b |
2.58±0.26c |
2.76±0.66c |
ALP |
3.56±0.19a |
3.31±0.08a |
10.99±1.19b |
5.19±0.14c |
4.63±0. 98a |
Total protein |
117.65±12.01a |
118.60±7.22a |
65.88±7.49b |
103.10±7.11a |
109.00±2.64a |
Data are means ±SD of ten rats in each group. Blood glucose level is expressed in g/dl, liver enzymes activities (AST, ALT, ALP) are expressed in U/l and total protein content in ug/l. Statistical analysis is carried out using one-way analysis of variance (ANOVA) using Co-stat Computer Program. Unshared letters indicate significant difference at P<0.05.
Table 2: Effect of F. japonica total extract on lipid profile in normal control and different therapeutic groups
Parameters |
Normal control |
F. japonica treated normally |
STZ treated |
STZ+F. japonica treated |
Glibenclamide |
TC |
48.45±9.90a |
49.10±5.35a |
164.07±13.10b |
67.74±8.23c |
80.69±8.24d |
TG |
23.99±4.16a |
23.29±2.12a |
66.67±9.00b |
34.49±1.90c |
38.18±1.57c |
HDL-c |
31.11±4.09a |
30.37±4.60a |
9.85±1.07b |
23.29±1.90c |
26.82±1.62c |
LDL-c |
13.00±3.12a |
12.89±1.99a |
90.17±11.50b |
33.70±6.60c |
34.23±4.65c |
Total lipids |
1130.90±57.89a |
1123.50±37.89a |
2600.45±98.70b |
1440.45±60.44c |
1420.89±67.66c |
Data are means±SD of ten rats in each group. Lipid profile parameters are expressed in ug/dl except HDL, which is expressed in mg/dl, Statistical analysis is carried out using Co-stat computer program coupled with post-hoc (least significance difference LSD. Unshared letters indicate significant difference at P<0.05.
An insignificant change in all antioxidant biomarkers was observed post-treated of normal control rats with ethanol extract of F. japonica. A significant increase was noticed in NO and MDA post STZ injections with percentage increase amounting to 82.48 and 579.35 % respectively. A significant reduction in GSH and SOD levels was recorded in diabetic rats with percentages reached to 77.27 and 80.80 %, respectively. Post treatment of diabetic rats with F. japonica extract, marked amelioration in NO, MDA, GSH and SOD levels (62.13, 590.79, 42.35 and 43.83 %, respectively) as compared to a standard anti-diabetic drug which recorded amelioration by percentages 73.39, 557.84, 35.45 and 51.31 %, respectively (table 3).
Table 3: Effect of F. japonica total extract on NO, MDA levels, enzymatic and non-enzymatic antioxidant in normal control and different therapeutic groups
Parameters |
Normal control |
F. japonica |
STZ treated |
STZ+F. japonica treated |
Glibenclamide |
NO |
44.00±4.91a |
42.60±4.10a |
80.29±10.00b |
48.00±4.71c |
49.00±9.91c |
MDA |
19.90±1.66a |
18.00±2.90a |
135.19±9.97b |
24.18±2.40c |
23.52±3.60c |
GSH |
4.40±0.60a |
4.90±0.91a |
1.00±0.12b |
2.56±0.34c |
2.99±0.40c |
SOD |
9.90±0.89a |
9.00±0.90a |
1.90±0.20b |
6.98±1.07c |
7.11±0.90c |
Data are means±SD of ten rats in each group. MDA is expressed in μ mol/g tissue. GSH and SOD are expressed in μmol/mg protein/min; NO is expressed in μg/g tissue. Statistical analysis is carried out using one-way analysis of variance (ANOVA) using Co-stat Computer Program. Unshared letters indicate significant difference at P<0.05.
An insignificant change was observed in all glycolytic and gluconeogenic enzyme levels as a result of treatment of normal control rats with ethanol extract. Significant inhibition in HK, PK, LDH enzyme activities (62.52, 66.61 and 58.16 %, respectively), while a significant increase in PEPCK (73.59 %), was observed in STZ-induced diabetic rats (table 4).
Table 4: Effect of F. japonica total extract on some glycolytic and gluconeogenic enzymes in normal control and different therapeutic groups
Groups Parameters |
Normal control |
F. japonica treated normally |
STZ treated |
STZ+F. japonica treated |
Glibenclamide |
HK |
115.10±2.97 a |
120.00±9.67a |
43.12±7.60b |
77.28±9.10 c |
79.65±8.89d |
PK |
60.50±3.40 a |
60.69±3.41a |
20.20±2.07b |
49.40±8.00 c |
50.77±6.22d |
LDH |
40.37±5.10a |
39.50±8.52a |
16.89±2.80b |
29.90±5.90c |
30.10±6.40d |
PEPCK |
3.90±0.34a |
3.93±0.24a |
1.03±0.11b |
3.86±0.50a |
2.99±0.43c |
Data are means±SD of ten rats in each group. PK, HK, LDH and PEPCK are expressed in μ mole/mg protein/min. Statistical analysis is carried out using Co-stat Computer Program coupled with post-hoc (least significance difference LSD. Unshared letters indicate significant difference at P<0.05.
Marked amelioration enhancement was noticed in all the detected enzymes in treated diabetic groups either with the extract of F. japonica (37.46, 48.26, 32.23 and 72.56 %, respectively, for HK, PK, LDH and PEPCK), or anti-diabetic standard drug (31.47, 50.53, 32.72 and 50.26 %, respectively), as compared to normal control.
An insignificant change in total urea and creatinine levels in normally treated rats with the plant extract was observed (as compared to the normal control rats). The diabetic rats recorded significant elevation in total urea and creatinine levels (142.42 and 324.72 %, respectively), as compared to normal control rats. Treatment of STZ-treated rats with plant extract restored these elevated levels (as compared to the normal control) with the percentage of improvement of 128.21 and 319.10 %, for total urea and creatinine respectively (table 5). Similar results were obtained from anti-diabetic reference drug.
Table 5: Effect of F. japonica on total urea and creatinine levels in normal control and different therapeutic groups
Normal control |
F. japonica treated normal |
STZ treated |
STZ+F. japonica treated |
Glibenclamide |
|
Total urea |
39.60±4.10a |
37.56±2.11a |
96.00±8.90b |
45.23±3.56a |
43.20±4.98a |
Creatinine |
0.89±0.04a |
0.83±0.05a |
3.78±0.23 b |
0.94±0.13a |
0.90±0.04a |
Data are means±SD of ten rats in each group. Total urea and creatinine levels are expressed in mg/dl. Statistical analysis is carried out using one way analysis of variance (ANOVA) using Co-stat computer program unshared letters indicate significant difference at P<0.05.
DISCUSSION
In this study, we investigate Fortunella japonica (Thunb.) Swingle for its Phyto phenolics and demonstrated the ethanolic extract supplementation can be useful in improvement diabetic complications associated with hyperlipidemia and oxidative stress.
Structural elucidation of isolated compounds
Compound 1 was identified as β-sitosterol from its mass spectrum and NMR spectroscopic measurements [30]. The structures of compounds 2-4 were identified on the basis of interpretation of their physicochemical chemical analyzes (UV, MS, and NMR) and comparing the authentic samples or with the corresponding published data in the literature [31, 32]. They were identified as umbelliferone (2), isopimpinellin (3), and xanthotoxin (4).
The chromatographic properties of compounds 5-7 (color under UV light, change with ammonia vapor, UV spectral data (using shift reagents), and responses towards spray reagents) can suggest their flavonoid characters. Complete acid hydrolysis using 2N HCl for O-glycosides (5-6) were carried out, followed TLC using cellulose F254, n-butanol/pyridine/acetic acid/ethyl acetate/H2O (50:20:10:25:20) and aniline hydrogen phthalate as a spray reagent [14] to confirm the nature of sugars. This evidence supported by complete acid hydrolysis yielding glucose in the aqueous layer of compound 5, rhamnose and glucose of compound 6 while apigenin was detected in the organic phase.
Two major absorption bands in the UV spectra showed at λmax 266-275 nm (band II) and at λmax 332-335 nm (band I) for compounds 5–7 in methanol, characteristic for the apigenin nucleus [33]. The position 4' of the three compounds was occupied by free one group, this was manifested by a bathochromic shift by+44–55 nm, in the presence of NaOMe of a band I and the presence of 5-OH were indicated by a bathochromic shift induced by AlCl3 for a band II without decomposition by the addition of HCl. In addition, the absence of 7-OH is proven by the lack of any remarked shift in the presence of NaOAc and the absence of a bathochromic shift in NaOAc/H3BO3, confirmed 7-O-substituted apigenin in compounds 5–7. On the other hand, the absence of a bathochromic shift in both bands after addition of boric acid referred the absence of ortho-dihydroxyl groups in both rings A and B in 5 and 6 [34].
1H NMR spectra of 5-7 showed two ortho doublets (J= 8.6-9.0 Hz) each integrated for two protons of an AX system at 7.82-7.93 ppm (H-2'/6') and 6.66-6.97 ppm (H-3'/5'), assignable to 1, 4-disubstituted B-ring. Furthermore, the observation of H-3 as a singlet at 6.76-6.85 ppm were a confirmative document to a flavone identity for the apigenin moiety.
Moreover, two doublets each integrated to one proton of another AX system of H-8 and H-6 for 5 and 6. The downfield shift of both H-6 and H-8 (d 6.37-6.42 and d 6.72-6.79 with meta coupling (J= 2.1Hz), respectively) and the anomeric proton (H-1'') signal at d 5.12-5.23 ppm, gave evidence for the presence of ß-glycosidic moiety at 7-position in compounds 5 and 6 [34]. The presence of a terminal α-rhamnopyranosyl moiety in 6 was concluded from H-1''' signal together with doublet signal (J= 6.0 Hz) which was characteristic of CH3-6'''. Methoxylation at C-6 in compound 7 was indicated by the downfield shift of H-8 which was appeared as singlet at 6.76 ppm together with a singlet at 3.87 ppm for OCH3 and there is another singlet at 3.73 ppm for OCH3 at C-7. Inspection of the 13C NMR chemical shifts of 5-6 reveals slightly upfield of C-7 and the downfield of both C-6 and C-8, was indicative to the glycosidation at 7-OH [33, 34]. For compound 7, the signal showed at 91.4 ppm for C-8 pointing to the presence of a methoxy at C-7. Moreover, methoxylation of C-6 was concluded due to the downfield location at 131.8 ppm. All other 13C NMR signals were completely assigned by comparison with previously published data of structurally related compounds [34].
Accordingly, the above data, the structures of the compounds 5-7 were identified as the flavonoid glycosides; apigenin-7-O-β-D-glucopyranoside (5), apigenin-7-O-β-rhamnoglucoside (6) and the methoxylated flavonoid; cirsimaritin (7) [33, 34].
Compounds from 2-7 have not been shown previously to be constituents of F. japonica.
![]() |
![]() |
Fig. 2(a): Liver of normal control rats showed the normal histological structure of the hepatic lobule (H & E X 400) |
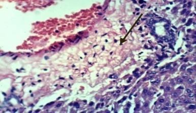
Fig. 2(b): Liver of diabetic rats showed hydropic degeneration of hepatocytes, sinusoidal leukocytosis and congestion of hepatoportal blood vessel (H & E X 400) |
![]() |
![]() |
Fig. 2 (c): Liver of diabetic rats treated with crude extract of F. japonica showed portal oedema (H & E X 400) | Fig. 3 (a): Kidney of normal control rats showed the normal histological structure of renal parenchyma (H & E X 400) |
![]() |
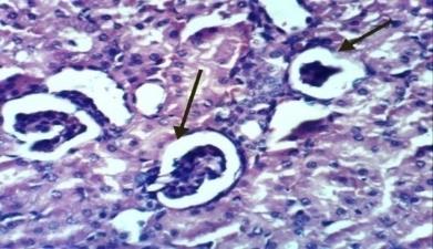
![]() |
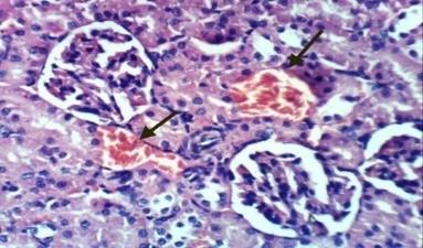
Fig. 3 (b): Kidney of diabetic rat showed atrophy of glomerular tuft and thickening of the parietal layer of Bowman’s capsule (H & E X 400) |
Fig. 3 (c): Kidney of diabetic rats treated with crude extract of F. japonica showed congestion of renal blood vessels (H & E X 400) |
![]() |
![]() |
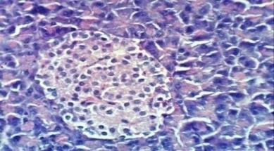
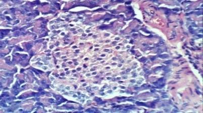
Fig. 4(a): Pancreas of normal control rats showed no histopathological changes (H & E X 400) |
Fig. 4(b): Pancreas of diabetic rat showed vacuolation of epithelial lining pancreatic acini (H & E X 400) |
![]() |
![]() |
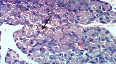
Fig. 4(c): Pancreas of diabetic rats treated with crude extract of F. japonica showed no histopathological changes (H & E X 400) |
Fig. 4(d): Pancreas of diabetic rats treated with crude extract of F. japonica showed no histopathological changes (H & E X 400) |
Bioactivity study
Phytophenolics play a crucial role in health promotion and disease prevention by different mechanisms related to cell differentiation, deactivation of pro-carcinogens, maintenance of DNA repair and inhibition of N-nitrosamine formation and change of estrogen metabolism, amongst others [35]. Major mechanisms for the antioxidant effect of Phyto phenolics in functional foods include free radical scavenging and metal chelation activities. ROS have been recognized to play a determining role in the pathogenesis of several human diseases [36]. ROS-induced oxidation can result in cell membrane disintegration, membrane protein damage and DNA mutation, which can further initiate or propagate the development of diseases, including diabetes [37].
Phytophenolic compounds such as coumarins and flavonoids can scavenge free radicals and quench ROS and therefore provide effective means of preventing and treating free radical-mediated diseases [35, 37].
With diabetes, increased lipid peroxidation is associated with hyperlipidemia [15, 24]. Oxidative stress is, thus, produced under the diabetic condition and is likely involved in the progression of pancreatic damage [36].
There are some examples of antihyperglycemic coumarins [12, 36]. The administration of coumarin-rich fraction of Ionidium suffruticosum along with high-fat diet significantly prevented the rise in the plasma total and LDL-c, triglycerides and phospholipids and also had showed a cardioprotective effect against hyperlipidemia [38]. In the current study, three coumarins 2-4 were isolated from F. japonica. The antihyperglycemic effect of these coumarins could inform their stimulatory action on intracellular glucose transport by causing an increase in glucose uptake by different cells in the absence of insulin [36]. Coumarins may also attenuate cytokine-induced toxicity which reduces the oxidative damage of the pancreas, and may ameliorate the endocrine function of this gland [12, 36]. An umbelliferone derivative showed to possess an antioxidant and antihyperlipidemic effect on the STZ-induced diabetic rat [11]. The effect of compound 2 (umbelliferone), isolated in the current study, may be due to the increased level of pancreatic insulin secretion and effect on the antioxidant marker [11].
There is a direct correlation between the antioxidant property of medicinal plants, and their antidiabetic activity was found [39]. Also, a positive linear correlation was found between the antioxidant activity and the total phytophenolic content in plants [40], suggesting that phytophenolic compounds contribute significantly to the antioxidant capacity of the investigated plant species. Certain bioactive flavonoids and coumarins constituents are frequently implicated as having an antioxidative effect [15, 16].
Flavonoids are a class of important bioactive natural products and are being extensively used in functional foods. The flavonoids present in F. japonica probably also functions in reducing glucose levels in diabetic animals, as suggested in the case of Artemisia judaica, which known to be a rich of flavonoids [12]. Teucrium polium L. ssp. Capitatum extract contains apigenin, O-methylated flavone, cirsimaritin, with insulinotropic and antihyperglycemic effects [41]. Kim et al. [42] suggested that flavonoids may indirectly enhance the phosphorylation of 3-hydroxy-3-methylglutaryl CoA (HMG-CoA) reductase and thus diminish endogenous cholesterol production. HMG-CoA reductase is the rate-limiting enzyme of cholesterol biosynthesis.
In the present study, apigenin derivatives (5-6) and the methoxylated flavonoid cirsimaritin (7) were isolated from F. japonica. Apigenin and its derivatives also have antihyperlipidemic properties and have been reported to have a role in the inhibit cholesterol production in the hepatocyte [42].
Methoxylated flavones are known to have potent hypolipidemic properties [43], and they were reported to reduce lipid levels in vivo and reduce the number of absorptive cells, villus length and hepatic steatosis in hyperlipidemic rats. In a previous study, Talapatra et al. [3] reported the presence of methoxylated flavones in F. japonica fruit. Cirsimaritin (compound 7) was isolated from the current plant is considered one of the methoxylated flavones.
Excessive storage of fat, in the liver and the diabetic state, affects liver functions and increases the susceptibility to free radical attack. Treatment with the ethanolic extract, containing the flavone glycosides 5-6 and the methoxylated flavones 7, may prevent oxidative damage by detoxifying reactive oxygen species, thus reducing hyperlipidemia [44], with a concomitant decrease in ALT, AST, and ALP enzyme activities. The decreased ALT and AST enzyme activities in serum, as a result of the treatment with ethanolic extract, might be ascribed to the ability of phenolic compounds to maintain membrane integrity and thereby restrict the leakage of these enzymes [12, 13]. The hypolipidemic and hypoglycemic activities of the flavones 5-7 are likely due to their radical scavenging, antioxidant, and antihepatotoxic properties [15, 24]. The mechanism of action of phytophenolics in models of diabetes suggested that flavonoids are able to reduce glucose uptake and inhibit intestinal and renal Na+glucose co-transporter.
Hyperglycemia exhibits the oxidative stress through several mechanisms [12, 36]. Lipid peroxidation is a key marker of oxidative stress results in extensive membrane damage and dysfunction. It was found that, many biochemical pathways strictly associated with hyperglycemia (glucose autoxidation, polyol pathway, protein glycation), are initiated and augmented under oxidative stress. Furthermore, exposure of endothelial cells to high glucose (as indicated in the present results), leads to the augmented production of superoxide anions, which may quench nitric oxide, a potent endothelium-derived vasodilator that participates in the general homeostasis of the vasculature[13,14]. The significant elevation of serum AST, ALT and ALP enzyme activities causes a reduction in total protein content as compared to the corresponding values in the normal control rats. These enzymes activities and total protein content determine the functionality and cellular integrity of the liver [45]. The elevated enzyme activities in serum of diabetic control rats reflect the alterations in the serum membrane integrity and/or permeability. Inconsistent with the present results, Kim et al. [42] found that; the activities of ALT and AST tend to increase in the diabetic state, resulting in an increased enzyme leakage from hepatocytes. Diabetes condition stimulates excessive storage of fat in the liver effects on liver functions and increased the susceptibility to free radical attack resulting in liver damage. The increases in the serum activities of these enzymes were found to be directly proportional to the degree of cellular damage [15]. In addition to, abnormal glucose metabolism, diabetes often involves abnormal lipid metabolism, which is considered as an additional metabolic disorder. Diabetes is initiating dramatic surge in the lipid profile of serum total cholesterol, total lipids and LDL-c, while circulating serum HDL-c level (the good cholesterol) was significantly diminished in the diabetic rats as compared to the normal control group, thus providing a model for diabetic complication [12, 14]. The high level of LDL-c found in diabetic rats may be attributed to a down-regulation in LDL receptors by cholesterol and saturated fatty acids included in the diet [13].
The current data show also that, STZ caused a reduction in GSH and SOD levels in the liver of diabetic rats. The decline in the activity of free radical scavenging enzyme SOD may be due to its inactivation caused by excess ROS production [46]. Assessment of blood glucose, and GSH were used as markers of hyperglycemia and oxidative stress, respectively. The depletion of GSH and antioxidant enzymes are associated with an increase in nitric oxide and lipid peroxidation, the reduction in GSH level may be a consequence of enhanced utilization of flavonoid compounds by the antioxidant enzymes, glutathione peroxidase and glutathione-S-transferase [24].
As compared to the control group, the diabetic group recorded a significant decrease in glutathione level and SOD enzyme activity, while MDA and NO showed dramatic elevation. Since, diabetic condition elicited oxidative stress resulted in elevation in hepatic MDA and NO, while a decline in hepatic GSH level; the non-enzymatic antioxidant and enzymatic antioxidant activity; SOD defense system.
In our evaluation of F. japonica, the serum lipid profile (TC, TG, LDL, and HDL) used as markers of dyslipidemia was in accordance with the previous experiments [15, 47]. These experiments had been shown LDL-c can significantly inhibit the production of NO from vascular endothelial cells, whereas HDL-c enhance endothelial NO release. In the current study, diabetic state significantly increased the hepatic NO level in diabetic rats.
Oral administration of ethanol extract of F. japonica could reverse the above mentioned diabetic effects. This may be through potentiating the pancreatic secretion of insulin from islet β-cell or due to elicit the transport of blood glucose to the peripheral tissue. In addition, Fortunella plant might increase the levels of insulin and C-peptide in diabetic [48].
One of the possible actions of the current extract may be due to its inhibition of endogenous synthesis of lipids [14, 15]. Furthermore, Fortunella plant was found to have therapeutic potential due to its antioxidant activity in several areas, including the capacity of preventing and decreasing the damages caused by hyperlipidemia and hyperglycaemia.
The enhanced glycolytic enzyme activities (LDH, PK and HK), and suppression in gluconeogenic enzyme PEPCK in plant extract treated rats (table 4) suggested a greater uptake of glucose from the blood by liver cells [22, 49]. The activities of enzymes found that enhanced lipid metabolism during diabetes is shifted towards carbohydrate metabolism and it enhances the utilization of glucose at peripheral sites. A significant decrease in glycolytic enzymes and a significant increase in a gluconeogenic enzyme in the diabetic group were recorded as compared to normal control.
Sherlock and Dooley [49], declared that that in the diabetic state, degradation of liver glycogen and gluconeogenesis are increased and glycolysis is decreased while glucose utilization is inhibited. Glucose-6-phosphatase increases in the liver, facilitating glucose release into the blood. The opposing enzyme which phosphorlyates glucose, i. e hexokinase is unaffected by insulin and decreases in diabetes. As a result, the liver continues to produce glucose even with severe hyperglycemia. Under this circumstance the normal liver would shut off and deposit glycogen. As the liver plays a central and crucial role in the regulation of carbohydrate metabolism, its normal function is essential for the maintenance of blood glucose levels and a continued supply of organs that require a glucose energy source. This central role of the liver in glucose homeostasis offers a clue to the pathogenesis of glucose intolerance in liver diseases which is attributed mainly to an impaired insulin action [15, 22].
The effects of diabetes on renal function were assessed through measuring serum total urea and creatinine; a diabetic condition caused significantly increase in levels of serum total urea and creatinine as compared to the normal rats. It was found that, during renal dysfunction or renal damage, the concentration of the metabolites increased in the blood that may be due to high activities of xanthine oxidase, lipid peroxidation, and increased triacylglycerol and cholesterol levels [12, 14]. This may be correlated with enhanced protein catabolism and accelerated amino acid deamination for gluconeogenesis as they possible, an acceptable postulate to interpret the elevated levels of urea.
The elevation in the serum total urea level in the diabetic control group indicated impairment in the normal kidney function of the animal, as the mechanism of removing it from the blood might have been affected. It may also be an indication of dysfunction at the glomerular and tubular levels of the kidney.
It is well known that, many biochemical and histopathological findings confirmed renal damage in diabetic condition [50]. Creatinine, synthesized in the liver, passes into the circulation where it is taken up almost entirely by the skeletal muscles. Its retention in the blood is an evidence of kidney impairment and glomerular injury [51].
The data showed that administration of F. japonica significantly lowered the serum glucose, triglyceride and nitric oxide levels in diabetic rats. Moreover, F. japonica treatment increased serum superoxide dismutase activity and glutathione level markedly. These results show that the ethanolic extract F. japonica has hypoglycemic, hypotriglyceridemic and antioxidant effects in streptozotocin-induced diabetic rats, suggesting that the extract supplementation can be useful in ameliorating diabetic complications associated with hyperlipidemia and oxidative stress. Also, according to the results F. japonica possesses valuable effects on liver and renal functions in diabetic rats. In addition, the leaves extract of F. japonica may find clinical application in the amelioration of diabetes-induced lipid disorders.
The biochemical parameters were documented with histopathological finding which reveal hydropic degeneration of hepatocytes, sinusoidal leukocytosis and congestion of hepatoportal blood vessel in diabetic rats (photo 2b). While the kidney of diabetic rat showed atrophy of glomerular tuft and thickening of the parietal layer of Bowman’s capsule (photos 3b and 3c). Also, Pancreas of diabetic rat exhibited vacuolation of epithelial lining pancreatic acini (photo 4d). Treatment of diabetic rats with ethanol extracts of F. japonica demonstrated normal histological structure in kidney and pancreas architectures (photo 3c, 4c and 4c), while portal oedema was reported in liver (photo 2 c).
Thus, it could be concluded that, F. japonica ethanol extract declared therapeutic potential against hepatic disorders that need further extensive work in order to perform as nutraceutical for hepatoprotective agents.
ACKNOWLEDGEMENT
The authors are grateful for Dr Ali Al-Jaleel, Najran Horticulture Research and Development Center, Ministry of Agriculture, Food and Agriculture Organization, Najran, Kingdom of Saudi Arabia for plant sample identification.
CONFLICT OF INTERESTS
The authors declare that they have no conflict of interest
REFERENCES