Division of Pharmacology, Center of Pharmaceutical Research (CPR), Raghavendra Institute of Pharmaceutical Education and Research (RIPER), Saigram Krishnamreddy Palli Cross, Chiyyedu (PO) Anantapuramu 5155721 (A. P.)
Email: nabinwagle2001@gmail.com
Received: 03 Jul 2015 Revised and Accepted: 30 Jul 2015
ABSTRACT
Objective: The present study was planned to assess the immunomodulatory action of petroleum ether extracts of seeds of Pithecellobium dulce (PEPD) in experimental models of immunity.
Methods: Metronidazole, pyrogallol and ethanol models were used for suppression of the immune system in Wistar rats. Humoral immunity was analyzed by haemmagglutination assay, whereas, cellular immunity was carried out by paw edema and carbon clearance assay. PEPD (400 mg/kg, p. o.) was selected by acute toxicity study. Levamisole (50 mg/kg, p. o.) was used as standard.
Results: Metronidazole, pyrogallol and ethanol significantly decreased the humoral and cellular immunity, whereas, PEPD and levamisole significantly increased the circulating antibody titer in the indirect haemagglunation test. PEPD and levamisole also produced significant increases in paw edema and increase in the phagocytic index in the carbon clearance assay. Animals treated with metronidazole, pyrogallol and ethanol decreased in peripheral blood RBCs and monocytes whereas, PEPD and levamisole treated groups significantly increased in peripheral blood RBCs and monocytes.
Conclusion: Our data showed that PEPD possesses potential for augmenting immune activity by cellular and humoral mediated mechanisms and also significantly restores the biochemical and histopathological parameters. The present study concluded that PEPD may have therapeutic and prophylactic value as immunostimulants.
Keywords: Pithecellobium dulce, Immunomodulation, Haemagglunation, Paw edema, Phagocytic response.
INTRODUCTION
The defensive action of the immune system is being involved in the etiology, as well as pathophysiologic mechanisms of many diseases. Modulation of the immune responses to diminish various diseases has been of much interest for many years [1]. Immunomodulation is a process which can modify the defensive organization of an organism by interfering with its purpose, if the results is an enhancement of immune reactions it is mentioned as an immunostimulative agent which primarily act through stimulation of nonspecific system, i.e. granulocytes, complement, macrophage, T-lymphocytes and different effector substances. Immunosuppression implies mainly to reduce resistance against infections, stress and may come about on account of environmental or chemotherapeutic agents [2].
Due to more side effects of conventional drugs, the use of natural plant product was rising in the last few decades as an alternative treatment in the healing and treatment of various diseases [3]. Pithecellobium dulce Benth. (Leguminosae) is a small to medium sized, evergreen, spiny tree up to 18 m height, native of tropical America and cultivated throughout the plains of India and in the Andamans [4]. The presence of steroids, saponins, lipids, phospholipids, glycosides, glycolipids and polysaccharides has been reported in the seeds [5]. The active constituents of plant derivatives such as polysaccharides, lectins, peptides, flavonoids and tannins have been reported to modulate the body’s defense mechanism in different experimental models [6]. Aqueous and hydroalcoholic Pithecellobium dulce shows significant free radical scavenging action and also possess antacid secretory activity in several in vitro models. Pithecellobium Dulce Extract fraction of various extract show’s differ activity such as Abortifacient, Anti-inflammatory, Antivenom, Protease inhibitor, Spermicidal, Antimicrobial, Hypolipidemic, Locomotor, Antioxidant properties and Anti tubercular activity and showed significantly equal activity when compared with standard drugs [7]. Nevertheless, there is no scientific data on the in vivo immunomodulatory activity of this flora. Hence the present work has been undertaken to explore the immunomodulatory action of petroleum ether extracts of Pithecellobium deals on several models of Wistar rats.
MATERIALS AND METHODS
Plant collection and preparation of extract
Pithecillobium dulce seeds were gathered locally from supermarket in Anantapuramu and was authentified by Dr. J. Raveendra Reddy, M. Pharm., Ph. D., Raghavendra Institute of Pharmaceutical Education and Research (RIPER), Anantapuramu. Seeds were dried at room temperature and shade dried seeds were made into powder. The powder was extracted with petroleum ether on a continuous reflex by using a Soxhlet apparatus for about 15 cycles. The extract was concentrated on rotary flash evaporator and air dried to get the semisolid extract (yield-62.50 g/kg).
Animals
Wistar rats of either sex, 150-200 g body weight were obtained from Raghavendra enterprises, Bangalore, and they were put up in small cages under standard husbandry conditions, (22±2ºC temperature, 12 h light/dark cycle) with standard rat feed (VRK Nutrition solution, Maharashtra Pvt Ltd. India) with water ad libitum. The experimental protocol was approved by the Institutional Animal Ethical Committee of Raghavendra Institute of Pharmaceutical Education and Research, Anantapuramu (878/ac/05/ CPCSEA/ 015/2014) and all the animals were conducted according to the guidance’s of the Committee for the Purpose of Control and Supervision of Experiments on Animals (CPCSEA).
Drugs and chemicals
Metronidazole (J. B chemicals and pharmaceuticals), Pyrogallol, Ethanol, DTNB, Tris-HCl, EDTA, Hydrogen peroxide, TCA, (Hi-Media Pvt Ltd.) IgG kit (Quanta Pvt Ltd.)
Instruments
Analytical UV-Visible Spectrophotometer (2200/Systronics), Electronic balance (LC/GC), centrifuge (13 REMI), Automated Analyser (Chem7/Erba), Homogenizer (Remi motor/Remi Electro Technik Ltd.)
Preliminary phytochemical screening
About 50 mg of the solvent free extract was subjected for each of the preliminary phytochemical screening of Alkaloids, Phenolic compounds, Tannins, Glycosides and Saponins and were found positive in all examinations as per Kokate et al. [8]
Acute toxicity study
Acute oral toxicity study of PEPD was performed as per OECD-423 guidelines (acute toxic class method). Wistar rats either sex was chosen randomly and divided into six groups (n=2). The animals were fasted overnight and extract in doses of 250, 500, 1000, 2000 and 4000 mg/kg body weight, were administered orally to II-IV groups. The group I which received vehicle (water) serves as controls. The animals observed continuously for 2 h, and then intermittently for 6 h and at the end of 24 h, the number of death was noted to determine the LD50 of the extract [9]. Animals were also observed for behavioral, neurological and autonomic profiles simultaneously [10].
Treatment protocol
The experimental rats were divided into ten groups of 6 animals each and treated as follows (table 1).
Immunological studies
Blood was withdrawn from the jugular vein of a sheep and RBCs were preserved in Elsevier solution. It was then suspended in phosphate buffered saline for further usage. All rats were antigenically challenged twice with sheep RBC (0.5 × 109 cells/100 g, i. p.).
For a humoral antibody response, a blood sample was collected from the retro-orbital plexus and the rat serum were used for determination of hemagglutination titer. The blood samples were centrifuged to collect serum and equal volume of individual serum samples of each group was seriously diluted (in doubling dilutions) in phosphate buffer saline (PBS) and placed in the well of a U-shape 96-Microtiter plates. Aliquots (25μl) of two folds diluted sera in PBS were challenged with 25 μl of 1% v/v SRBCs suspension and mixed. After mixing, the plates were incubated at 37 °C for 1 h and examined for hemagglutination. The reciprocal of the highest dilution of the test serum giving agglutination was taken as the antibody titer [11].
Whereas the cellular immune response was assayed by the foot-pad reaction method in rats. The increase in paw volume by an injection of SRBCs (0.025 × 109 cells), in the sub plantar region of right hind paw, was considered as delayed type of hypersensitivity reaction and considered as an index of cell-mediated immunity. The volume of left hind paw, injected similarly with phosphate buffer saline, served as control [12] (table 2).
In vivo anti-oxidant parameters
In vivo antioxidant parameters like SOD, Catalase, Reduced glutathione, and LPO were estimated on the last day of treatment, i.e. 15th day in case of metronidazole induced immunosuppression, 22nd day in case pyrogallol induced immunosuppression and 28th day in the case of ethanol induced immunosuppression respectively.
Preparation of erythrocyte lysate
The blood samples were withdrawn into EDTA containing eppendroff tubes on the last day of the treatment from the retro orbital venous plexus of rats. Then these eppendroff tubes were subjected to centrifugation at 8000 rpm for 15 min. The supernatant was discarded and erythrocyte lysate was prepared from the sediment.
Table 1: Treatment schedule
Groups |
Metronidazole model |
Pyrogallol model |
Ethanol model |
Normal |
Distilled water |
Distilled water |
Distilled water |
Negative Control |
Metronidazole 114 mg/kg, i. p. For 14 days |
Pyrogallol 100 mg/kg, i. p. For 7 days |
Ethanol 2 g/kg, 20 % w/v p. o. For 28 days |
Test |
Metronidazole 114 mg/kg, i. p. For 14 days+test drug 400 mg/kg, p. o. For 14 days |
Pyrogallol 100 mg/kg, i. p. For 7 days+test drug 400 mg/kg p. o. For 22 days. |
Ethanol 2 g/kg, 20 % w/v p. o. For 28 days+test drug 400 mg/kg p. o. For 28 days. |
Standard |
Metronidazole 114 mg/kg, i. p. For 14 days+Levamisole 50 mg/kg, p. o. For 14 days |
Pyrogallol 100 mg/kg, i. p. For 7 days+Levamisole 50 mg/kg, p. o. For 22 days. |
Ethanol 2 g/kg, 20 % w/v p. o. For 28 days days+Levamisole 50 mg/kg, p. o. For 28 days. |
Table 2: Humoral antibody response and cellular immune response
S. No. |
Model |
Antigen challenge for humoral immune response |
Estimation day for humoral immune response |
Antigen challenges for cellular immune response |
Estimation day for cellular immune response |
I |
Metronidazole induced immunosuperssion |
On the 9th day |
On the 13th day |
On the 13th day |
On the 15th day |
II |
Pyrogallol induced immunosupression |
On 7th and 13th day |
On 13th and 20th day |
On the 20th day |
On the 22nd day |
III |
Ethanol induced immunosupression |
On 14th and 20th day |
On 20th and 27th day |
On the 27th day |
On the 29th day |
Superoxide dismutase (SOD)–It was estimated in the erythrocyte lysate prepared from the 5% RBC suspension. To 50 μl of the lysate, 75 mM of Tris-HCl buffer (pH 8.2), 30 mM EDTA and 2 mM of Pyrogallol were added. An increase in absorbance was recorded at 420 nm for 3 min by spectrophotometer [14]. The activity of SOD is expressed as units/mg protein.
Where Y = final reading–initial reading
Catalase–50 μl of the lysate was added to a cuvette containing 2 ml of phosphate buffer (pH 7.4) and 1 ml of 30 mM H2O2 catalase activity was measured at 240 nm for 1 min using a spectrophotometer. The molar extinction coefficient of H2O2, 43.6 M cm-1 was used to determine the catalase activity. One unit of activity is equal to one mM of H2O2 degraded per minute and expressed as units per milligram of protein [15].
Where, A: Initial absorbance
B: Final absorbance (after 30 min)
Units = μ moles of H2O2 consumed/min/mg
Reduced glutathione–To 1 ml of sample, 1 ml of Trichloroacetic acid (TCA) was added. The precipitated fraction was centrifuged and 0.5 ml of supernatant, 2 ml DTNB was added. The final volume was made up to 3 ml with phosphate buffer. The color developed and the optical density was measured at 412 nm using spectrophotometer [16].
Where Y= absorbance of test sample
Lipid peroxidation–2 ml of sample was mixed with 2 ml of 20% TCA and kept on ice for 15 min. The precipitate was separated by centrifugation and 2 ml of samples of clear supernatant solution were mixed with 2 ml aq. 0.67% TBA solution. This mixture was heated on a boiling water bath for 10 min. It was cooled in ice for 5 min and absorbance was measured spectrophotometrically at 535 nm. The values were expressed as nm of MDA formed/mg of protein values are normalized to protein content of tissues [17].
Where Y = absorbance differences of final (after 3 min) and initial reading of the test sample.
Hematological parameters
Rats were anesthetized and blood sample was collected from the retro-orbital plexus using EDTA coated tubes. Blood parameters like RBC, WBC, DLC and Hb were estimated using the kits on the last day of the treatment [18] i.e. 15th day in case of metronidazole induced immunosuppression, 22nd day in case of pyrogallol induced immunosuppression, and 28th in case of ethanol induced immunosuppression.
Serum immunoglobulins
Serum immunoglobulins, like IgG were estimated using the kit (Quantia) on the last day of the treatment, i.e. 15th day in case of metronidazole induced immunosuppression, 22nd day in case of pyrogallol induced immunosuppression, and 28th in case of ethanol induced immunosuppression.
Histopathological examinations
All groups of rats were sacrificed by cervical dislocation on the last day of treatment. Spleen of each rat was collected, fixed in 10% formalin and sectioned. Histopathological changes in the spleen were observed under light microscope.
Statistical analysis
All the data were expressed as mean±SEM. Statistical significance between more than two groups were tested using one-way ANOVA followed by ‘Bonferroni: compares all pairs of columns’ test using Graph Pad Prism-6 software. Differences were considered to be statistically significant when P<0.05.
RESULTS
Phytochemical screening
PEPD exhibits the presence of diterpinoids, steroids and essential fatty acids like linoleic, linolenic, palmitic, stearic, myristic and arachidic acid.
Acute toxicity studies
PEPD was found to be safe since no animal died at maximum dose of 4000 mg/kg when administered orally, and the animals didn’t show any gross behavioral changes. Hence, 1/10 of maximum therapeutic dose (400 mg/kg) was selected for the present study.
Effect of PEPD on metronidazole induced immunosuppression
Effects on Immunological parameters
Animal treated with metronidazole alone for 14 days showed a significant (P<0.001) decrease in humoral immune response, cellular immune response, phagocytic response and IgG levels when compare to the normal group, whereas administration of PEPD or levamisole for 14 days significantly (P<0.001) prevent the influence of metronidazole on humoral immune response, cellular immune response, phagocytic response and IgG levels when compared to control group (table 3).
Table 3: Effect of PEPD on Metronidazole induced Immunological parameters
S. No. |
Group |
Hemagglutination (Antibody titer) |
Cellular immune response (Paw edema) mm |
Phagocytic response (% phagocytosis) |
IgG |
1 |
Normal |
55.3±7.126 |
9.500±0.2646 |
56.93±1.841 |
0.3367±0.03930 |
2 |
Control |
7.667±0.88# |
7.433±0.2028# |
27.23±1.855# |
0.1833±0.01453# |
3 |
Test |
78.33±4.702* |
11.60±0.6110* |
66.67±1.507* |
0.3933±0.008819* |
4 |
Standard |
77.33±2.906* |
9.767±0.1453* |
66.00±4.041* |
0.3500±0.015* |
All values are shown as mean±SEM and n = 6, # P<0.001 when compared to normal and * P<0.001 when compared to control group
Effects on in vivo anti-oxidant parameters
Animal treated with metronidazole alone for 14 days showed a significant (P<0.001) decreased in SOD, catalase, reduced glutathione and significantly (P<0.001) increased in LPO when compare to the normal group, whereas administration of PEPD or levamisole for 14 days significantly (P<0.001) preclude the influence of metronidazole on SOD, catalase, reduced glutathione and LPO when compared to control groups (table 4).
Effect on hematological parameters
Animal treated with metronidazole alone for 14 days showed a significant decrease in % Hb (P<0.001), RBC (P<0.01) and WBC (P<0.01) when compare to the normal group, whereas administration of PEPD for 14 days significantly prevent the influence of metronidazole on % Hb (P<0.001), RBC (P<0.01) and WBC (P<0.01) when compared to control group. Animals receiving levamisole for 14 days had shown significant influence on % Hb (P<0.01), RBC (P<0.05) and WBC (P<0.05) when compared to control group (fig. 1).
Table 4: Effect of PEPD on metronidazole induced in vivo anti-oxidant parameters
S. No. |
Groups |
SOD (Units/mg protein) |
Catalase (Units/mg protein) |
Reduced glutathione (μmol/gHb) |
Lipid peroxidation (MMDA/gHb) |
1 |
Normal |
32.00±2.309 |
290.3±4.631 |
5.067±0.4096 |
85.67±2.404 |
2 |
Control |
15.67±0.8819# |
160±2.082# |
1.633±0.2603# |
122.0±2.309# |
3 |
Test |
33.67±1.453* |
297.3±2.906* |
5.667±0.2612* |
72.33±2.028* |
4 |
Standard |
28.00±2.082* |
293.0±2.517* |
5.600±0.2517* |
79.33±0.8819* |
All values are shown as mean±SEM and n = 6, # P<0.001 when compared to normal and * P<0.001 when compared to control group

Fig. 1: Effect of PEPD on metronidazole induced hematological parameters
All values are shown as mean±SEM and n = 6, # P<0.05, ## P<0.01 and ### P<0.001 when compared to normal and * P<0.05, ** P<0.01 and *** P<0.001 when compared to control group
Effect on Histopathology of spleen
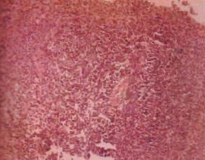
Light microscopic examinations of spleen did not show any significant differences between PEPD-treated and control groups, fig 2 (a) and fig 2 (c) whereas animals treated with metronidazole shows the congestion of red pulp, some eosinophil’s and neutrophils, fig 2 (b).
Effect of PEPD on pyrogallol induced immunosuppression
Effects on Immunological parameters
Animal treated with pyrogallol alone for 22 days showed a significant (P<0.001) decreased in humoral immune response, cellular immune response, phagocytic response, and IgG levels when compare to the normal group, whereas administration of PEPD or livamisole for 22 days significantly (P<0.001) prevent the influenced of pyrogallol on humoral immune response, cellular immune response, phagocytic response, and IgG levels when compared to control group (table 5).
|
|
(a) |
(b) |
|
|
(c) |
|
Fig. 2: Histopathology of the spleens of metronidazole model; (a) normal, showing capsule and sub capsular spaces (b) metronidazole treated, congestion of red pulp, eosinophil’s, and neutrophils and (c) PEPD treated, with congested red pulp
Table 5: Effect of PEPD on pyrogallol induced Immunological parameters
S. No. |
Group |
Hemagglutination (Antibody titer) |
Cellular immune response (Paw edema) mm |
Phagocytic response (% phagocytosis) |
IgG |
|
Primary |
Secondary |
|||||
1 |
Normal |
57.33±1.856 |
68.67±1.764 |
10.07±0.8387 |
55.33±0.8387 |
6.383±0.01764 |
2 |
Control |
13.67±1.453# |
18.33±1.453# |
7.533±0.1764# |
22.03±1.146# |
0.1533±0.03512# |
3 |
Test |
45.33±1.764* |
61.0±1.732* |
9.533±0.2333* |
55.73±1.947* |
0.3400±0.01732* |
4 |
Standard |
57.67±3.480* |
71.33±1.453* |
10.13±0.1453* |
54.67±2.028* |
0.4100±0.0152* |
All values are shown as mean±SEM and n = 6, # P<0.001 when compared to normal and * P<0.001 when compared to control group.
Effects on in vivo anti-oxidant parameters
Animal treated with pyrogallol alone for 22 days showed a significant (P<0.001) decrease in SOD, catalase, reduced glutathione and increase in LPO when compare to the normal group,
Whereas administration of PEPD or levamisole for 22 days significantly (P<0.001) prevent the influence of pyrogallol on SOD, catalase, reduced glutathione and LPO when compared to control groups (table 6).
Effects on hematological parameters
Animal treated with pyrogallol alone for 22 days showed a significant decrease in % Hb (P<0.01), RBC (P<0.01) and WBC (P<0.01) when compare to the normal group, whereas administration of PEPD for 22 days significantly prevent the influence of pyrogallol on % Hb (P<0.01), RBC (P<0.01) and WBC (P<0.01) when compared to control group. Animals receiving levamisole for 22 days had shown significant influence on % Hb (P<0.01), RBC (P<0.01) and WBC (P<0.01) when compared to control group (fig. 3).
Table 6: Effect of PEPD on pyrogallol induced in vivo anti-oxidant parameters
S. No. |
Groups |
SOD (Units/mg protein) |
Catalase (Units/mg protein) |
Reduced glutathione (μmol/gHb) |
Lipid peroxidation (MMDA/gHb) |
1 |
Normal |
39.33±1.453 |
298.3±1.325 |
5.5±0.3055 |
92.33±2.028 |
2 |
Control |
15.33±1.764# |
145.7±3.108# |
1.53±0.08819# |
133.7±3.282# |
3 |
Test |
36.00±2.082* |
295.7±4.910* |
4.8±0.1155* |
96.67±2.603* |
4 |
Standard |
30.87±0.4055* |
302±2.082* |
5.467±0.1453* |
88.33±0.8819* |
All values are shown as mean±SEM and n = 6, # P<0.001 when compared to normal and * P<0.001 when compared to control group.

Fig. 3: Effect of PEPD on pyrogallol induced hematological parameters
All values are shown as mean±SEM and n = 6, # P<0.05, ## P<0.01 and ### P<0.001 when compared to normal and * P<0.05, ** P<0.01 and *** P<0.001 when compared to control group
Effect on histopathology of spleen
Complete loss of spleen architecture with undifferentiated red pulp and white pulp was observed in pyrogallol treated group, fig. 4 (ii) whereas Capsule and sub capsular spaces with red and white pulps were intact in both normal, fig. 4 (i) and PEPD, fig. 4 (iii) treated group.
Effect of PEPD on ethanol induced immunosuppression
Effects on Immunological parameters
Animal treated with ethanol alone for 28 days showed a significant (P<0.001) decrease in humoral immune response, cellular immune response, phagocytic response, and IgG levels when compare to the normal group,
Whereas administration of PEPD or levamisole for 28 days significantly (P<0.001) prevent the influence of ethanol on humoral immune response, cellular immune response, phagocytic response, and IgG levels when compared to control group (table 7).
Effects on in vivo anti-oxidant parameters
Animal treated with ethanol alone for 28 days showed a significant (P<0.001) decreased in SOD, catalase, reduced glutathione and significant (P<0.001) increase in LPO when compare to the normal group, whereas administration of PEPD for 28 days significantly (P<0.001) prevent the influenced of ethanol on SOD, catalase, reduced glutathione and LPO when compared to control group. Animals receiving levamisole for 28 days had shown significant (P<0.001) influenced on SOD, catalase, reduced glutathione and LPO when compared to control group (table 8).
Table 7: Effect of PEPD on ethanol induced immunological parameters
S. No. |
Group |
Hemagglutination (Antibody titer) |
Cellular immune response (Paw edema) mm |
Phagocytic response (% phagocytosis) |
IgG |
|
Primary |
Secondary |
|||||
1 |
Normal |
70.33±2.963 |
77.33±3.283 |
10.63±0.1453 |
64.67±2.028 |
0.6267±0.04631 |
2 |
Control |
11.67±1.453# |
16.33±1.453# |
6.567±0.2848# |
14.33±2.028# |
0.1333±0.02963# |
3 |
Test |
56.00±1.528* |
66.77±2.603* |
8.333±0.1453* |
40.87±0.1764* |
0.3533±0.01764* |
4 |
Standard |
71.33±3.180* |
71.33±3.180* |
9.933±0.2404* |
66.00±2.082* |
0.7200±0.02082* |
All values are shown as mean±SEM and n = 6, # P<0.001 when compared to normal and *P<0.001 when compared to control group
Effects on hematological parameters
Animal treated with ethanol alone for 28 days showed a significant decrease in % Hb (P<0.01), RBC (P<0.01) and WBC (P<0.01) when compare to the normal group, whereas administration of PEPD for 28 days significantly prevent the influence of ethanol on % Hb (P<0.01), RBC (P<0.01) and WBC (P<0.05) when compared to control group. Animals receiving levamisole for 22 days had shown significant influence on % Hb (P<0.01), RBC (P<0.01) and WBC (P<0.01) when compared to control group (fig. 5).
Effect on histopathology of spleen
Complete distortion, atrophy of white pulp, congestion and hemorrhage of red pulp was observed in ethanol treated group, fig 6 (b), whereas intact capsule and sub capsular spaces and preservation of architecture was observed in both control, fig 6 (a) and PEPD, fig 6 (c) treated group.
|
|
(i) |
(ii) |
|
|
(iii) |
|
Fig. 4: Histopathology of the spleens of pyrogallol model; (i) normal, with capsule and sub capsular spaces (ii) pyrogallol treated, with complete loss of spleen architecture, red pulp and white pulp can’t be differentiated and (iii) PEPD treated, with red pulp and white pulp showing normal cellularity
Table 8: Effect of PEPD on ethanol induced in vivo anti-oxidant parameters
S. No. |
Groups |
SOD (Units/mg protein) |
Catalase (Units/mg protein) |
Reduced glutathione (μmol/gHb) |
Lipid peroxidation (MMDA/gHb) |
1 |
Normal |
41.67±2.333 |
299.0±4.041 |
5.833±0.1453 |
97.33±3.283 |
2 |
Control |
11.67±1.764# |
136±3.215# |
1.167±0.1453# |
157.33±1.856# |
3 |
Test |
21.67±1.453* |
281±4.359* |
3.867±0.1764* |
127.5±1.160* |
4 |
Standard |
38.33±1.202* |
303±3.606* |
5.2±0.2082* |
86.67±5.812* |
All values are shown as mean±SEM and n = 6, # P<0.001 when compared to normal and * P<0.001 when compared to control group
Fig. 5: Effect of PEPD on ethanol induced hematological parameters
All values are shown as mean±SEM and n = 6, # P<0.05, ## P<0.01 and ### P<0.001 when compare to normal and * P<0.05, ** P<0.01 and *** P<0.001 when compared to control group
|
|
(a) |
(b) |
|
|
(c) |
|
Fig. 6: Histopathology of the spleens of ethanol model; (a) normal, with showing capsule and sub capsular spaces (b) ethanol treated, with complete distortion, atrophy of white pulp, congestion and hemorrhage of red pulp and (c) PEPD treated, with preservation of architecture of spleen near to normal
DISCUSSION
In traditional medicine in different plant parts are believed to have specific medicinal properties including the ability to stimulate the body’s defense mechanism [19]. An advance area of research is the development of immunomodulatory agents that is free from toxic side effects and can be utilized for a longer duration, hence resulting in continuous immune-activation [20]. While screening the immunomodulatory activity, most of the studies employed agents like Cisplatin, Cyclophosphamide, or Corticosteroids in order to bring on the immunosuppression in the experimental animals [21]. These factors are likewise experienced to generate free radicals in the biological system and thereby cause oxidative stress, but they are highly toxic and they will not produce reproducible results [22]. It is known pyrogallol is a potent generator of free radicals, less toxic agents and can curb the proliferation of mouse lymphocytes in vitro [23]. However, several works demonstrated that prooxidants suppress the immune response in experimental animals [24]. Ethanol exposure decreased SOD and reduced glutathione content which are an important defensive antioxidant enzyme found in almost all existing cells. The present investigation revealed that treatment with ethanol depleted glutathione, SOD and impairment of phagocytosis. In fact, free radical are signalling in T-cell activation. Nevertheless, the continued propagation of free radicals over a long period was shown to down regulate the activation of T-cell. Likewise, down regulation of T-cell activation has been observed when nitric oxide, a free radical generator, is constantly generated by macrophages, and grain alcohol is too recognized to generate nitric oxide [25]. Metronidazole has also been shown to induce suppression in the bone marrow, a primary lymphoid organ and metronidazole decreased the relative weight of the spleen and atrophy in the white pulp of the spleen. Metronidazole also decrease the percentage of neutrophils suggesting a suppression of the phagocytes defense mechanism. The reduction in the spleen relative weight, fall in the atrophy of spleen white pulp, decreased in peripheral blood RBCs and monocytes may be reason behind immunosuppression [26]. Levamisole is synthetic immunostimulant preparation, which enhance the immunological parameters by increasing the proliferation of macrophage and lymphocytes and by increasing the antibody production [27].
Pithecellobium dulce seeds contain mucilage and it consists of acylated triterpinoid saponin called pithecelloside and essential fatty acids like palmitic acid, stearic acid, linoleic acid, linolenic acid, myristic acid and arachidic acid (16%). Fatty acids are a sort of fat or lipid which have the power to act upon the immune system and the role of its various cellular components have been known for nearly 30 years [7]. Mice are sensitized with SRBC as antigen, and gets diffused in the extra vascular space and enters to the lymph node via the lymphatic system. Particulate antigens are taken up by macrophages lining the sinuses. Small highly antigenic peptides are combined with MHC class II molecules. B cells with receptors for antigens bind and internalize it into an endosomal compartment and process and present it the T-helper cells. These B cells are triggered to proliferate and gives rise to a large number of daughter cells. Some of the cells of these clones serve as memory cells, others differentiate and become plasma cells that make and secrete large quantities of specific antibodies. During a primary response, IgM is secreted initially, frequently accompanied by a switch to an increasing proportion of IgG [28, 29]. In the present work, assessment of humoral immunity was carried out using the H. A. titer. The anti-SRBC antibody titer was raised in PEPD-treated groups with normal immune status, but was found statistically significant when compared to the control group in both primary and secondary antibody titer responses. An increment in the carbon clearance index reflects the enhancement of the phagocytic function of macrophage and nonspecific immunity. Phagocytosis by macrophages is markedly enhanced by the opsonisation of parasites with antibodies and complementing C3b, leading to a more rapid clearance of parasites from the blood [30]. PEPD significantly increases the phagocytic activity when compared to the control. The phagocytic index and antibody titer increased significantly and the F ratios of the phagocytic index and WBC count were also significant in case of Eclipta alba and Centella asiatica [13].
In this study immunostimulant activity of PEPD may be ascribable to the presence of dietary fatty acids, they were reported to regulate immune responses through one or more of three major molecular mechanisms: altered membrane composition and function, modified eicosanoid production, and changed cytokine biosynthesis [31]. SOD is an enzyme that repairs cells and reduced the damage done by superoxide, the most common free radical in the consistency. Surveys hold shown that SOD acts as both an antioxidant and anti-inflammatory in the body, neutralizing the free radicals that can contribute to wrinkles and precancerous cell changes [32]. Metronidazole, pyrogallol and ethanol decreased the levels of SOD whereas PEPD and levamisole treated group exhibited increased levels of this enzyme. Catalase is a haem containing redox enzyme found in almost all living organisms that are exposed to oxygen, where it works to catalyze the decay of hydrogen peroxide to water and oxygen [33]. The present investigation has brought out that treatment with metronidazole, pyrogallol and ethanol depleted the reduced glutathione. It was further observed that PEPD and levamisole prevent the above influences of metronidazole, pyrogallol and ethanol on reducing glutathione levels. It is recognized that the peroxidative toxicity of metronidazole, pyrogallol and ethanol in vivo may also be through its result of iron release from ferritin, which can cause lipid peroxidation via Fenton or Haber-Weiss reaction [34]. Treatment with PEPD and levamisole prevented the above influence of metronidazole, pyrogallol and ethanol on lipid peroxidation.
Cassia auriculata (Caesalpiniaceae) showed a significant immunostimulant effect on cell mediated immunity and no force on the humoral immunity which may be due to petroleum ether extract-steroids alcoholic and aqueous extract-alkaloids, flavonoids, tannins, phenolics. Bauhinia variegate (Caesalpiniaceae) also possesses immunostimulant activity on both specific and non-specific immune system which might be ascribable to the presence of Tannins, steroids, alkaloids, flavonoids, β sitosterol, lupeol, vitamin C, kaempferol, flavones, quercetin & saponins. Likewise, other plants like Couropita guianensis (Lecythidaceae), Withania somnifera, Baliospermum montanum and Trapa bispinosa also showed a stimulatory effect on humoral immunity and stimulated phagocytosis furthermore, it stimulates the haemopoietic system and also enhances the differentiation of stem cells [35].
The PEPD not only attenuated the influence of metronidazole, pyrogallol and ethanol on the immune system but also found to prevent the changes in the oxidative stress parameters, which were induced by metronidazole, pyrogallol and ethanol. Pithecellobium dulce was reported to possess acylated triterpinoid, saponin, pithecelloside and essential fatty acids. Thus, the immuno-modulatory activity of PEPD could be due to its saponins and fatty acid components, these components may exert its immuno-modulatory activity by altered membrane composition and changed cytokine biosynthesis. Further studies are on course for establishing PEPD as a therapeutic intervention for several immunological disorders.
ACKNOWLEDGEMENT
We show our profound thanks and huge gratitude to Dr. Y. Padmanabha Reddy, M. Pharm., Ph. D., F. I. C Principle and Dr. S. Somasekhar Reddy, M. Pharm., Ph. D., Department of pharmacology, RIPER, Anantapuramu, for their cooperation, encouragement and for providing facilities, which enabled us to complete this work successfully. We are grateful to express our particular thanks to Mr P. Nagendra Kumar, Lab. Technician for his continuous help throughout our study.
CONFLICT OF INTERESTS
Declared None
REFERENCES