
1Department of Anatomy, Kasturba Medical College, 2Department of Pharmacology, Manipal College of Pharmaceutical Sciences, Manipal University, Manipal, 3Sri Dharmasthala Manjunatheshwara Ayurvedic College, Udyavara, Udupi, 4Department of Information Sciences, Manipal School of Information Sciences, Manipal University, Manipal, Karnataka, India
Email: kumar.mr@manipal.edu
Received: 19 Jul 2015 Revised and Accepted: 22 Sep 2015
ABSTRACT
Objective: Ayurveda, India's traditional medicinal system is a rich source of natural remedies, frequently used as home and folk medicine in wound healing due to easy availability and affordability. Honey, Ghee and roots of Glycyrrhiza glabra are effectively used in Ayurveda for treating wounds of various types. Nerium indicum (a folk medicine) is also a known healing agent. Even though the known end result of these medications is faster wound healing, the mechanism of actions at tissue level, changes in the micro-environment of the wound and quantification of the rate of healing is not explored and documented using modern scientific methods.
Methods: Healthy Wistar rats were used for incision wound model. Wounds were inflicted and the treatment plan was followed with regular topical application of test materials. The nature of healing was observed regularly and photographed. At different interval of the treatment plan-biomechanical, biochemical and histological studies were carried out. An attempt was also made to quantify the microscopic changes at the wound site.
Results: Faster healing was observed in all the animals treated with test materials. This was indicated by alterations in the nature of epithelisation, inflammatory changes, fibroblast recruitment and activity, fibrous composition and arrangement at the wound site in comparison with untreated group.
Conclusion: The present study is useful in exploring the mechanism of action of these traditional Indian medicinal systems–Ayurveda and folk medicine and thereby provides scientific evidences for the same.
Keywords: Wound healing, Honey, Ghee, Glycyrrhiza glabra, Nerium indicum.
© 2016 The Authors. Published by Innovare Academic Sciences Pvt Ltd. This is an open access article under the CC BY license (http://creativecommons.org/licenses/by/4.0/)
INTRODUCTION
Wound is defined as a loss or breaking of cellular and anatomic or functional continuity of living tissues which may not only be influenced by the external factors, but also as a complication of some disease processes [1] and other internal factors. Healing of the wound is a biological process that is initiated by trauma and often terminated by scar formation. Wound healing is classically divided into homeostasis, inflammation, proliferation, and remodelling [2]. The process of wound healing occurs in different phases such as coagulation, epithelisation, granulation, collagenation and tissue remodelling [3].
In spite of advancement in the modern medicine in wound management, active wound healing measures are still in the formative stage. In developing countries, there are additional disadvantages in wound management due to lack of adequate health care facilities, and inaccessibility to health centers.
Therefore, the alternative medicine such as Ayurveda and folk medicinal systems are preferred as home remedy for treatment and management of the wound. Few such alternative treatment strategies are the use of Honey, Ghee and Yastimadhu (Glycyrrhiza glabra-GG) (Sushrutha samhitha) and a folk medicine Nerium indicum (NI), which is effectively practiced to treat various types of wounds since many years in India.
Several studies show the role of individual application of Ghee [4] or Honey [5, 6] in wound management. GG is well known for its wound healing properties in Ayurveda. Several studies have proved the wound healing, anti-ulcer, anti-inflammatory and skin regeneration activity of GG [7]. NI is another herb used to treat wounds in the folk medicine whose efficacy however is not documented by clinical research [8].
Most of the studies addressed only the end results such as faster healing, closure of wound. The rate of re-epithelisation, nature of remodelling, and the quantification of healing at the wound site is seldom discussed. Further, there are no studies to show the combination effect of honey, Ghee, GG and NI on wound healing with emphasis on changes in the microenvironment of the wound site.
The present study is therefore designed to scientifically evaluate the micro-mechanisms of wound healing activities of topical application of Honey, Ghee, Extracts of GG and NI singly or in combination which may give an insight into wound healing and may lead to the development of new strategies to manage the wound more effectively.
MATERIALS AND METHODS
Procurement and preparation of test material
Cow’s ghee, Glycyrrhiza roots were obtained from Sri Dharmasthala Manjunatheshwara (SDM) Ayurvedic pharmacy, Udyavara, Udupi. Unprocessed honey in its raw form was procured from SDM Ayurvedic pharmacy. NI was procured in the month of December from its natural habitat in Udupi, and was identified by Dr. K. Gopal krishna Bhat, Professor of Botany (Rtd), Poornaprajna College, Udupi, Karnataka, India. A voucher specimen has been preserved in the Dept. of Pharmacognosy, Manipal College of Pharmaceutical Sciences, Manipal (PP no. 603).
Preparation of aqueous extract OF GG and NI
The roots of GG and leaves of NI after procurement were shade dried for seven days and then powdered. Aqueous extraction was carried out by hot maceration method [9]. The powdered plant materials (200g each) were dissolved in 1500 ml of distilled water and decoction was prepared at 75-80 degrees Celsius. Decoction was then cooled and filtered. Finally the filtrate was evaporated to dryness using lyophilizer.
Phytochemical screening
The aqueous extracts of GG and NI were subjected to preliminary phytochemical screening by using the standard protocol to detect the presence or absence of active constituents [10].
Animals
Healthy adult Wistar albino rats of either sex, weighing 150-200 g, were housed under standard environmental conditions of temperature and humidity (25±0.5 °C) and 12 h light/dark cycle were utilized for the studies. The animals were fed with standard pellet diet and water ad libitum. The experimental study was performed in the central animal house of Kasturba Medical College, Manipal, India, after obtaining the approval from the Institutional animal ethics committee (Ref. No: IAEC/KMC/49/2013).
Wound model and treatment groups
Wistar rats were used for incision wound model. The animals were classified into 7 groups (6 animals in each group): Control (untreated), Honey, Ghee, GG, NI, Honey+Ghee (H+G), combination of all test materials (Tot).
Creation of wound
The dorsal fur of the anaesthetized animals was shaved. Longitudinal paravertebral incisions of 6 cm long were made through the whole skin on the back. After the incision, the parted skin was sutured intermittently, 1 cm apart using a surgical thread and curved needle. The wounds were left undressed.
Treatment plan
250 mg of the test materials were topically applied in the form of a paste on the entire surface of the wound once a day for 11 d. The dosage was calculated based on the amount of test material required to cover the entire area of the wound uniformly. The nature of wound healing was observed regularly and photographic evidences were obtained. At two different time points of the treatment plan (6th and 11th day), the skin with the incision was collected for histological and biochemical study. At the end of the treatment, the incision wound models were subjected to biomechanical analysis to measure the wound breaking strength.
Biomechanical evaluation
The biomechanical strength of the wound was assessed by the measurement of the breaking strength using Lee’s Water flow technique [11]. The skin-breaking strength was measured on the 11th day after anaesthetizing the animal. In each wound, three points were selected one centimetre apart to measure the breaking strength. The findings were tabulated.
Histological evaluation
The skin samples were processed to get the paraffin sections. After obtaining the sections of the sample, slides were stained with haematoxylin and eosin (H and E) to identify the rate of wound healing, epithelialisation and presence of skin appendages like hair follicles. Further special stains like Verhoeff’s Van-Geison’s was used to assess the granulation, area of healing and Masson’s trachoma for vascularise, inflammatory responses, fibre composition and distribution and tissue remodelling. The slides were then analysed and documented using microscopic images with the help of Image Pro Premier 9.1 (Media Cybernetics, Rockville, USA) and Tissue Quant software’s (SOIS, Manipal University, Manipal, India).
The most common cells at the wound site i.e., fibroblasts, macrophages and lymphocytes were identified based on the structure of their nuclei which could be well appreciated by Masson trachoma stain at 40X magnification. The nuclei of fibroblasts were spindle shaped, while the lymphocytes presented with darkly stained, small and spherical nuclei. The nuclei of macrophages were large, rounded, pitted and light stained. These cells were manually counted in the photomicrographs. Colour markers were used in the software to avoid confusion.
Biochemical analysis
Skin samples were homogenized and were subjected to the measurement of collagen content at the wound site by the determination of hydroxyproline content using colorimetry method [12].
Statistical analysis
Results were expressed as mean±standard errors of mean (SEM). The data were analysed using Graph Pad Prism software (Microsoft, San Diego, CA, USA). One way ANOVA followed by Dunnett’s post-hoc test was employed to compare between control and treated groups. P value ≤0.05 was considered statistically significant.
RESULTS
Preliminary phytochemical screening
Preliminary phytochemical screening of aqueous extract of both GG and NI showed the presence of tannins (catecholic), gum, carbohydrates, phenols, steroids, terpenoids, cumarin and flavonoids (flavone).
Macroscopic observation of the wound sight
The wound site in all the groups were regularly photographed (everyday) and the nature of healing was documented. The photographic evidence showed that all the test groups had better and faster healing rate when compared to control. The days 3, 6, 9 and 11 indicated significant changes in the wound healing activity and was therefore used to compare between the different experimental groups.
Honey and Ghee treated wounds showed better healing rate (early closure of the wound) by day 6 unlike that of control. Interestingly, Ghee treated samples showed regrowth of hair at the wound site by the 6th day itself in addition to the early closure of the wound. Hair growth was also observed in Honey treated wound sites by the end of 9th day and by the 11th day the scar was barely visible in the groups treated with honey in comparison to the untreated group.
Unlike untreated group, the GG and NI treated wounds closed as early as 3rd day after treatment leaving minimal scar at the incision site. However, the hair growth was minimal at the wound site in these animals. H+G and Tot also showed early wound closure and mild hair growth (fig. 1).
Fig. 1: The incision wound site observed and photographed macroscopically at regular intervals (days 3, 6, 9 and 11) showing significant and enhanced wound healing activity in all the treated groups compared to control. GG-Glycyrrhiza glabra, NI-Nerium indicum, H+G-Honey+Ghee, Tot-Combination of all test materials
Biomechanical evaluation
All the experimental groups treated with test materials showed significantly increased breaking strength (p<0.001) when compared to the control animals.
Fig. 2: Graphical representation of the skin breaking strength in all the experimental groups indicating increased tensile strength in all the treated groups compared to control (*p<0.05)
Among the experimental groups, NI showed significantly high breaking strength among the all tested group (p<0.05) which was followed by the GG, TOT, H+G, Honey and Ghee treated groups.
This indicates the enhanced collagen synthesis, rearrangement and increased tensile strength in the wound site of animals treated with test materials in comparison with the untreated animals (fig. 2).
Histological study
a) Epithelialization
Rapid epithelialization was observed in all the treated groups compared to the control group on the day 6 of wound healing (fig. 3a and 4a). Additionally the anchoring of the dermis to the epidermis was nearly complete and clearly observed in all the treated groups compared to control.
This indicates the faster wound healing effect of all the test materials singly or in combination. Among all the treated groups, Honey and GG treated animals showed better epithelialization and dermal anchorage to the epidermis. However, by day 11 healing and tissue remodeling were similar in all the test groups (fig. 3b and 4b).
Fig. 3a: Haematoxylin and eosin stained sections on 6th day of treatment at 4X magnification showing the area of healing at the site of incision. Rapid epithelialization and better anchoring of the dermis to the epidermis was observed in all the treated groups compared to control. Light blue arrow indicates the site of incision
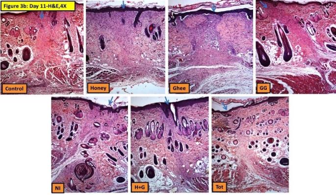
Fig. 3b: Haematoxylin and eosin stained section on 11th day of treatment at 4X magnification showing the area of healing at the site of incision. All the experimental groups showed better healing. Additionally, animals treated with H+G and Tot showed the regrowth of hair follicles at the wound site. Light blue arrow indicates the site of incision
Fig. 4a: Verhoeff’s van Geison stain stained sections on 6th day of treatment at 10X magnification showing the area of healing at the site of incision. The area of healing is identified by the differential staining of the dermis at the wound site. Healing area either shows a light stain due to the regenerating collagen fibers as seen in Honey, GG and NI treated groups or black stain by the rich reticular fibers and blood vessels as in Ghee, H+G and Tot groups. All the treated groups showed better healing compared to control. Yellow dotted line indicates the site of incision
Fig. 4b: Day 11, Verhoeff’s van Geison (VVG) stain, 10X magnification showing the area of healing at the site of incision. The healing area shows less fibrosis and better collagen rearrangement in all the treated groups. Skin appendages like the hair follicles are also observed in the groups treated with GG, H+G and Tot (Indicated by arrow). Ghee continues to show increased vascularity. Yellow dotted line indicates the site of incision
Fig. 5a: Graphical representation of the area of wound healing in different treatment groups on both day 6 and day 11. *p<0.05 vs control. Fig. 5b-Representative microphotograph of the wound site showing the area (yellow line) and width (red lines)-sub epidermal (SE), intradermal (ID) and supra-hypodermal (SH) measured
b) Area of wound healing
The images of the stained slides when subjected to quantification using image analyzer software also showed promising results in the test groups compared to the control group. Area of the wound healing was marked and measured on the basis of the differential staining using Verhoeff’s van-Geison stain. The results were represented graphically (Fig.5). Better healing was indicated by the wounds of all treated groups compared to control. Honey, GG, H+G and Tot showed significant reduction in the area of healing compared to control on day 6. Ghee and NI although showed a decrease but was not significant statistically. By day 11, all the groups showed better and enhanced healing and there was no significant difference when compared to control.
Further the width of the wound was also assessed at three different levels: sub-epidermal (beneath the epidermis), intra-dermal (midway between the epidermis and the hypodermis) and supra-hypodermal (above the hypodermis) which also showed better wound remodeling and matrix rearrangement (fig. 5b, table 1). Among the three levels, intra-dermal healing was faster and earlier by day 6 in all the treated groups compared to control and the findings were statistically significant.
Sub-epidermal and supra-hypodermal regions however did now show any significant changes by day 6. By day 11, sub-epidermal healing was significantly better in groups treated with GG and Tot. Rest of the groups showed no significant values. Supra-hypodermal healing although was better but was not significant statistically.
Table 1: Width of the healing wound at different levels in the dermis in different treatment groups
Groups |
Width of the healing wound (µm) (mean±SEM) |
|||||
Day 6 |
Day 11 |
|||||
SE |
ID |
SH |
SE |
ID |
SH |
|
Control |
34.01±12.03 |
55.06±8.63 |
33.85±7.27 |
32.11±8.48 |
19.76±10.08 |
20.46±4.70 |
Honey |
14.96±5.64 |
8.81±4.07* |
20.13±11.03 |
21.09±2.08 |
5.32±0.73 |
19.65±6.61 |
Ghee |
22.01±4.40 |
16.11±1.93* |
23.60±5.69 |
30.95±12.70 |
7.86±1.44 |
23.89±2.28 |
GG |
12.03±3.67 |
10.67±7.79* |
4.92±1.96* |
11.26±3.39* |
5.56±1.59 |
8.85±0.98 |
NI |
13.81±2.59 |
15.99±6.98* |
22.76±7.44 |
7.62±1.16 |
8.63±1.49 |
14.16±4.04 |
H+G |
19.67±7.51 |
5.76±0.41* |
13.78±3.96 |
9.04±1.55 |
4.39±1.28 |
9.28±2.73 |
Tot |
16.57±4.06 |
18.5±6.03* |
17.97±5.97 |
4.98±0.44* |
6.67±0.74 |
13.78±3.68 |
SE-Subepidermal, ID-Intradermal, SH-Suprahypodermal, *p<0.05 vs control
c) Vascularity
Ghee treated skin showed increased vascularity by day 6 which was indicated by the sprouting of many blood capillaries in the site of healing (fig. 6a). The number of blood vessels in the wound site when quantified showed more vascularity in the groups treated with ghee and G+H (fig. 6b). This affirms the rejuvenating effects of ghee. Increased vascularity was also observed in the groups treated with Tot. By day 11, there was a gradual reduction in the vascularity of the reparative tissue in all the treated groups although Ghee continued to show high vascularity (fig. 6c).
Fig. 6a: Day 6, Masson’s trichrome stain (MT) stain, 40X magnification showing the increased vascularity in the groups treated with Ghee, H+G and Tot which is identified by the presence of blood vessels (vacuolated spaces-yellow arrow) in comparison to the control group
d) Skin appendages
H+G treated animals showed the presence of hair follicles at the site of wound healing by day 11. Hair follicles were also observed in groups treated with GG and Tot (fig. 3b and 4b).
e) Collagen remodeling and cellular contents in dermis
On examination of the slides at higher magnification in Masson’s Trichrome stain on day 11, the horizontal and interwoven arrangement of the collagen fibers forming the matrix in the dermis was well appreciated in all the treated groups. Whereas in the untreated group the arrangement of the collagen fibers was markedly oblique and parallel indicating delay in the tissue remodeling leading to decreased tensile strength (Fig.6c).
Additionally the cell count carried out in the dermis also indicated the status of the inflammatory and remodeling activities of the wound (table 2). The lymphocytes, macrophages and fibroblasts in the granulation tissue were identified and quantified based on themorphology of the cell and the nucleus. However, distribution of these cells did not show any statistical significance.
Fig. 6b: Graphical representation of the blood vessel count at the wound site in different treatment groups on day 6 and day 11. *p<0.05 vs control
Fig. 6c: Day 11, Masson’s trichrome stain (MT) stain, 40X magnification showing the arrangement of the collagen fibers forming the matrix in the dermis. The collagen fibers were almost oblique and parallel in the control group. Whereas, the fibers were horizontal and interwoven in all the treated groups thus indicating the faster remodeling and increased tensile strength at the wound site
Table 2: Cell count at the wound site in different treatment groups
Groups |
Cell Count at the wound site (mean±SEM) |
|||||
Day 6 |
Day 11 |
|||||
Lympho-cytes |
Macro-phages |
Fibroblasts |
Lympho-cytes |
Macro-phages |
Fibroblasts |
|
Control |
4.17±0.91 |
3.17±1.70 |
1.17±0.48 |
6.33±1.36 |
1.83±0.54 |
1.50±0.43 |
Honey |
9.00±5.55 |
2.17±1.33 |
1.33±0.61 |
2.50±0.85 |
0.33±0.21 |
1.00±0.68 |
Ghee |
16.17±2.90 |
1.50±0.56 |
1.50±0.67 |
5.17±1.35 |
1.33±0.67 |
1.17±0.40 |
GG |
16.83±4.38 |
1.33±0.33 |
2.17±0.60 |
3.67±0.61 |
1.67±0.49 |
3.17±0.60 |
NI |
20.33±4.17* |
2.0±1.00 |
1.17±0.31 |
6.00±1.06 |
1.17±0.31 |
1.17±0.60 |
H+G |
4.67±1.43 |
1.50±0.67 |
1.83±0.79 |
3.50±1.02 |
1.50±0.43 |
2.00±0.45 |
Tot |
8.67±1.26 |
1.50±0.76 |
1.50±0.50 |
4.33±0.84 |
0.67±0.33 |
2.17±0.31 |
Biochemical evaluation
The skin tissues of uniform weight and location were taken from the incision site and hydroxyproline levels were measured. The hydroxyproline values did not show much of a variation between the experimental groups (table 3). Even though the amount of collagen content in the wound site may remain same in the different test groups but there could be a difference in the pattern of arrangement of the collagen fibres leading to increased tensile strength at the wound site in all the treated groups unlike control as documented by the biomechanical analysis. This was further supported by the histological findings.
Table 3: Estimation of the collagen content in different treatment groups
Groups |
Estimation of collagen content (mean±SEM) |
|
Day 6 |
Day 11 |
|
Control |
1.076±0.000 |
1.075±0.021 |
Honey |
1.076±0.003 |
1.077±0.083 |
Ghee |
1.075±0.006 |
1.077±0.015 |
GG |
1.075±0.003 |
1.077±0.006 |
NI |
1.075±0.002 |
1.076±0.005 |
H+G |
1.078±0.002 |
1.075±0.001 |
Tot |
1.075±0.159 |
1.077±0.010 |
DISCUSSION
In most of the cases, the current wound management includes drugs only to prevent inflammation and microbial growth in the wound site. As wound healing is a complicated process and the actual healing mechanism is quite uncertain and depends on many intrinsic and extrinsic factors, management of chronic wound is medically challenging. In recent years use of alternative medicine to treat such wound is in practice as the poly-molecular traditional medicine has more beneficial effects than the single molecule based allopathic medicine in many instances. Traditional medicinal systems of India such as Ayurveda and folk medicine have been using such effective medicinal preparations to treat wounds and have claimed that, these medications not only act as anti-inflammatory, anti-microbial reagents but also have rejuvenating and regenerating effects [13]. The present study is an attempt to explore the underlying mechanism of wound healing and signify the healing benefits of these traditional Indian medicines.
Honey
Sushruta was well aware of the importance of wound management and has described Shashthi Upakramas (sixty measures) for Vrana Ropana (wound healing) in Ayurveda. Madhu (Honey) is one among them [14].
Honey in wound care has been effectively used and broad spectrums of wounds are treated all over the world with natural unprocessed honeys from different sources [15, 16]. The honey has been medically certified and licensed for professional wound care in Europe and Australia [5, 6]. Topical application of honey on wound induces the early formation of healthy granulation tissue and also relieves the pain, and lowers an incidence of hypertrophic scar and post-burn contracture. Thus, low cost and easy availability make honey an ideal dressing in the treatment of burns. Honey dressed wounds, shows early sterility, early subsidence of acute inflammatory changes, better control of infection and quicker wound healing in comparison with many other treatment strategies like silver sulfadiazine treated wounds which sustained inflammatory reaction without epithelialisation [17, 18]. In another prospective randomized clinical study to compare honey-impregnated gauze with amniotic membrane dressing in partial thickness burns, the burns treated with honey healed earlier with less residual scar as compared to the amniotic membrane or polyurethane film [17].
Research has shown that some collagen-based dressings produce a significant increase in the fibroblast production; have a hydrophilic property that may be important in encouraging fibroblast permeation; enhance the deposition of oriented, organized collagen fibres by attracting fibroblasts and causing a directed migration of cells; aid in the uptake and bioavailability of fibronectin; help preserve leukocytes, macrophages, fibroblasts, and epithelial cells and assist in the maintenance of the chemical and thermostatic microenvironment of the wound [19-21]. However, recently, it has been shown that, there is no significant difference in the results in terms of completeness of healing of burn and chronic wounds between collagen dressing and conventional dressing including honey [22]. The present histological study also shows the enhanced wound healing ability of honey indicated by faster epithelialisation, decreased fibrosis, better vascularity, fibre composition and remodelling, increased tensile strength and decreased lymphocytic infiltration.
Ghee
Cow’s gheehas shown to have beneficial therapeutic effects on healing process of the wound. A polyherbal formulation Hingvadya ghrita using rat wound models shows that, the topical application alone promotes the tensile strength, keratinization, epithelisation, fibrosis and collagenation in incision wounds and wound contraction in excision wounds when comparable to Framycetin sulphate application [3]. Another formulation containing 50% ghee and 50% of 0.5% neomycin has shown to have statistically significant response, in terms of wound contracting ability, wound closure time, period of epithelisation, tensile strength, regeneration of tissues at wound site when compared with the control group and were comparable to those treated with neomycin [4].
Recently, cow’s ghee in combination with flax seed oil, Phyllanthus emblica fruits, Shorea robusta resin, Yashada bhasma was tested on excision and incision wound healing animal models. The wounds showed better wound contraction, higher collagen content and better skin breaking strength as compared to control group [4]. It has also been observed that use of Ghee in combination with Curcuma longa has significant role in altering the inflammatory and repair parameters of the healing process when compared with hyaluronic acid application [23].
In the present study, ghee showed better healing properties when compared to control. Present study also shows that ghee increased neovascularisation at the wound site indicating its rejuvenating effect to enhance the wound healing process.
Revascularisation at the wound site is a very important phase in wound healing and is observed under the proliferative changes that occur after inflammation. In the absence of significant infection or contamination the inflammatory phase is short, and after the wound has been successfully cleared of devitalized of unwanted material it gives way to the proliferative phase of healing. The proliferative phase is characterized by the formation of granulation tissue in the wound. Granulation tissue consists of a combination of cellular elements, including fibroblasts and inflammatory cells, along with new capillaries [24]. Increased vascularity at the wound site is a good sign because it further favours the tissue remodelling. As remodelling progresses, there is a gradual reduction in the cellularity and vascularity of the reparative tissue [25]. This finding is supported by the present study as it indicated a gradual decrease in the blood vessel count on day 11 of healing in the experimental groups.
Honey and ghee when applied together, the epithelialization was faster and there were less inflammatory actions and less fibrosis. The skin treated with honey and ghee also showed increased tensile strength. Interestingly the growth of hair follicles at the site of healing was also observed which are good signs of faster healing and an indication of quicker remodelling of the wound matrix close to normal. Previously, studies have described the lack of growth of hair follicle at the wound site indicating that active new hair growth around wounds is a very rare phenomenon. Although epidermis that is lost in an injury can regenerate, the loss of adult hair follicles has, until now, been considered permanent [26, 27]. However studies have also affirmed that appropriate chemical and physical microenvironment may induce the development of new hair follicles [28, 29]. The present study agrees with the same and endorses these traditional medicines as regenerative agents that provide a favourable microenvironment for faster wound healing.
Glycyrrhiza glabra (GG)
It has been popularly known as Yashti-madhu in ayurvedic pharmacy for thousands of years. It plays an important part in Ayurveda and is one of the principal drugs in Sushruta samhita. Moreover, studies conducted on modern scientific parameters have mentioned the healing, anti-ulcer, anti-inflammatory and skin regeneration activity of Yashtimadhu [7].
Studies have indicated that phyto chemical constituents such as tannins, alkaloids and terpenoids present in GG play a role in wound healing promotion due to their astringent and antimicrobial properties. This may be responsible for an increased rate of epithelialization and decreased fibrosis [30].
In yet another study by Kore et al., Glycyrrhizic acid ammonium salt (GA) showed enhanced wound healing. The authors stated that this may also be due to the free radical scavenging action of the GA as well as enhanced antioxidant enzyme level in granuloma tissues. The GA may possess powerful antioxidant properties thereby preventing oxidative damage [31].
In the present study, GG was identified to enhance the rate of epithelialisation, decrease fibrosis, fibroblast proliferation and growth of hair follicles at the wound site. Further the tissue remodelling at the wound site was more organised and interwoven leading to increased tensile strength indicating its beneficial role in wound healing.
At the wound site, the collagen is initially deposited in a seemingly haphazard fashion and these individual collagen fibrils are subsequently reorganized, by cross-linking, into regularly aligned bundles oriented along the lines of stress in the healing wound [32]. In the present study, all the treated groups showed horizontal alignment of collagen fibres in the wound matrix indicating better tissue remodelling unlike control which exhibited the haphazard fashion of collagen arrangement even on day 11 of healing.
Nerium indicum (NI)
Used traditionally by herbalists as a folk remedy for a wide variety of maladies and conditions, including dermatitis, abscesses, wound healing, eczema, psoriasis, etc. [8]. NI is locally known as a good healing agent. This could be attributed to its anti-bacterial, anti-fungal and anti-inflammatory activities [33]. Anti-oxidant activities of NI have also been documented [34]. The active phytochemical constituents of NI like tannins, alkaloids and terpenoidsmaybe responsible for these activities.
Macerated leaves of oleander have been applied topically for treatment of dermatitis, loss of hair, superficial tumors and syphilis. It also said to be useful in healing chronic wound, both diabetic and non-diabetic [8]. The beneficial effects of NI in wound healing were previously recognised as indicated by faster epithelialisation and increased rate of wound contraction [35]. Recently authors have also shown the abilities of NI in treating wounds in high fat diet and streptozotocin induced diabetic rats [36]. However, there is a dearth for micro-anatomical findings supporting the same.
The present study provides histological evidence and affirms that although NI exhibited prolonged inflammatory responses but was however effective in quickening re-epithelialization and reducing fibrosis at the wound site. Further the wounds treated with NI also showed increased tensile strength at the wound site compared to other test groups. The gain in tensile strength is not only due to continuing collagen deposition, but also due to collagen remodelling, with formation of larger collagen bundles [37] and alteration of intermolecular crosslinking [38]. This indicates the holistic approach of NI as it might have influenced various other factors that would influence wound healing unlike fibroblasts and inflammatory cells.
Combination of all the test materials (Tot) also showed beneficial effects of wound healing. The goodness of every test material utilized was expressed in combination indicated by quicker re-epithelialization, reduced fibrosis, increased vascularity, tensile strength, and growth of appendages like hair follicles at the wound site.
CONCLUSION
The present study may provide valuable evidences of micro environmental changes in the wound site and thus prove the efficacy of our Indian traditional medicinal system–Ayurveda and folk medicine singly or in combinations. However further investigations are needed that may provide the insight to the cellular and molecular events in the process of wound healing which is less explored and may lead to development of new and more effective drugs and treatment strategies for medically challenging wounds.
ACKNOWLEDGEMENT
The authors sincerely thank the SERB, Department of Science and Technology, Govt. of India for their financial support for this study. Authors also wish to thank Dr. Anne D’Souza, Assistant Professor and Dr. Suhani S, Selection grade Lecturer, for their technical assistance in this project.
CONFLICT OF INTERESTS
Declared None
REFERENCES