
Pharmacognosy Department, Faculty of Pharmacy, Cairo University, Kasr El-Aini Street, Postal Code 11562, Cairo, Egypt
Email: Muhammad.alsherbiny@pharma.cu.edu.eg
Received: 11 Jul 2015 Revised and Accepted: 22 Aug 2015
ABSTRACT
Objective: Urgent need for proper identification and characterization has emerged for some Solanum species as their toxicity to humans and animals ranges from mildly irritating to fatal. The objective of this work was targeted towards discrimination between Solanum seaforthianum Andrews and Solanum macrocarpon L.
Methods: For establishment of different botanical and genetic criteria, this study presents a comparative investigation of the botanical features of the roots, stems and leaves of both plants through microscopical investigation of the prepared entire, transverse sections and powdered forms of different organs of both plants under study. Furthermore, the DNA of both plants was extracted from leaf samples and Random Amplified polymorphic DNA (RAPD) analysis using ten primers of arbitrary sequences.
Results: Comparative botanical characters of different organs were identified. On the other hand a total 101 fragments were generated in S. macrocarpon while 105 fragments were generated in S. seaforthianum. Where the highest degree of similarities (70%) was recorded using primer B16 therefore could be used as an indicator for obtaining genetic markers, followed by 65.38% for Z13 and the lowest degree of similarity (38.1%) was recorded using primer O14 which could be used to discriminate between the two Solanum species depending on their low values of similarity coefficients and high level of polymorphism.
Conclusion: For the present study, macro and micro-morphological characters, as well as, DNA fingerprinting can be considered as the identifying parameters to authenticate and differentiate between the two plants under study.
Keywords: Solanum, Seaforthianum, Macrocarpon, Botanical profiling, DNA fingerprinting, RAPD.
© 2016 The Authors. Published by Innovare Academic Sciences Pvt Ltd. This is an open access article under the CC BY license (http://creativecommons.org/licenses/by/4.0/)
INTRODUCTION
Solanaceous plants comprise over 90 genera and 2000 species, mainly growing over the tropics and temperate regions [1]. The genus Solanum, with approximately 1,500 species, is the largest genus in Solanaceae and includes economically important species and being widely distributed in tropical centers and temperate regions [2].
Solanaceae is a family of flowering plants that includes a number of important agricultural crops used by humans, and is important sources of food, spice and medicine [3]. Among them S. melongena (eggplant) and S. tuberosum (potato) are important foodstuffs and S. dulcamara had been used as anti cancer drug since Greece age and stated on the herbal books in many countries[4]. Cytotoxic activities of 20 steroidal glycosides isolated from different Solanum species were examined on various cell lines in addition to illustration of the most important structural activity relationship [5]. Eastern S. lyratum and S. nigrum neighboring to S. dulcamara, which is one of the western natural medicine, have been frequently used as anticancer agent around Shanghai in China [6, 7]. It had been reported that S. nigrum was used as anticancer food in the south of China. The juice of tomato and potato contained anticancer effective steroidal alkaloid glycosides [5, 8]. Furthermore, the study of solanaceous plants was developed in order to prove the effectiveness of their usage as foodstuffs and folk medicines [9].
The family is also informally known as the nightshade or potato family. Alternatively, the name has been suggested to originate from the Latin verb solari, meaning "to soothe" or Latin word “solamen” meaning quieting, alluding to its sedative action. However, some species of Solanum have toxic properties attributed to certain plant constituents being mostly steroidal alkaloids [10] whose toxicity to humans and animals ranges from mildly irritating to fatal in small quantities [11]. That is why an urgent need for proper identification and characterization was emerged.
Solanum seaforthianum, Brazilian Nightshade, St. Vincent Lilac, Glycine, Italian Jasmine or Potato Creeper is a flowering evergreen vine of the Solanum family native to tropical South America. Named after Lord Seaforth, who sent a specimen to England from west India [12]. It is characterized by clusters of four to seven leaves and climbing or sprawling stems with tendrils which can climb to a height of 5-6 m if it was given enough room. It often covers fences or shrubs. It blooms in the mid to late summer with clusters of star-shaped purple inflorescence followed by scarlet marble-sized berries. As a member of the Solanum genus, it is related to such plants as the tomato and potato. The plant is highly heat resistant, but cannot tolerate frost conditions. The plant contains modest amounts of atropine, scopolamine and hyoscyamine and should be considered mildly toxic and inedible [13]. The species have become widely naturalized outside its native range and is an invasive species in Australia, Africa, Indochina, the Pacific Islands and India, choking native vegetation and poisoning livestock [14].
Solanum macrocarpon otherwise known as the African eggplant or Gboma is a plant of the Solanaceae family. S. macrocarpon is a tropical perennial plant that is closely related to the eggplant. The roots, leaves, and fruits of S. macrocarpon contain medicinal qualities. In Nigeria, the fruit is used as a laxative, and as a means to treat cardiac diseases. The flowers are chewed on to clean teeth. In Sierra Leone the leaves are heated and then are chewed to ease throat pain. In Kenya the roots are boiled and the juice is then consumed to kill any hookworms in the stomach. The root is also used for bronchitis, body aches, asthma, and speed, up the process of healing wounds. The seeds of S. Macrocarpon crushed to treat toothaches [15].
The authentication of the botanical identity of the herbal material has to be confirmed by genetic analysis as the genetic makeup of herbal species is independent of their physical form, physiological and external conditions such as temperature, soil, humidity or rainfall. Analysis of well-characterized marker compounds, through deoxyribonucleic acid (DNA), is now the most popular method for the identification and quality control of herbal materials [16].
DNA fingerprinting provides an objective evaluation of genetic identity of plants based on species, cultivars or geographic origin. It can ensure genetic uniformity of raw herbal materials. For medicinal herbs, synthesis and accumulation of chemical constituents rely on both genetic makeup and environmental conditions. Combining the use of DNA and chemical fingerprints will be an effective tool in authentication and quality control of herbs and helpful for supporting the botanical discrimination between taxa [17].
Random amplified polymorphic DNA (RAPD) technique provides an approach to find polymorphisms within species, or genetic differences between species. It is based on the principle of Polymerase Chain Reaction (PCR) that utilizes a single random oligonucleotide primer of arbitrary sequence to amplify genomic DNA taken as a template. The amplified fragments are separated on an agarose gel by electrophoresis to generate the DNA profiles [18, 19].
There is an ongoing effort to screen plants traditionally used in different regions of the world. However, it is known that the same plant growing in different areas may have different chemical components and different biological activities. Consequently, when reviewing the available literature, nothing was traced concerning the DNA fingerprinting of S. seaforthianum and S. macrocarpon. Reports on the botanical characteristics of genus Solanum were found [20] in addition of macro-morphological characters of S. seaforthinaum [21] and S. macrocarpon [22] where micromorphology of both species under investigation were almost lacking. Therefore, the macro-and micromorphology of the roots, stems and leaves of the plant cultivated in Egypt are carried out in the comparative study with S. macrocarpon, with the aim of finding out the diagnostic characters for identification and differentiation of these species as well as DNA fingerprinting of both species as a contribution to the identification and characterization of the plant.
Hence the objective of this work was targeted towards discrimination between S. seaforthianum and S. macrocarpon through an establishment of different botanical and genetic criteria.
MATERIALS AND METHODS
Plant material
Samples of Solanum seaforthianum, and Solanum macrocarpon used in this study were collected in May to June during the years 2012-2013 from the Experimental Station for aromatic, medicinal and toxic plants, Faculty of Pharmacy, Cairo University, Giza, Egypt. The plants were kindly authenticated by Dr. Mohamed El-Gebaly, botany specialist. Voucher specimens (23082014 I and II) are kept at the Herbarium of the Department of Pharmacognosy, Faculty of Pharmacy, Cairo University.
Botanical profiling
Photographs for macro and micro-morphological study were taken using Casio digital camera and Leica DFC500 digital camera, respectively. Samples of the roots, stems and leaves were separated and examined either fresh or after keeping in ethanol (70%) containing 5% glycerol, as well as after being dried and reduced to fine powder.
Genetic profiling
DNA fingerprinting
Whole fresh leaves of the two plants under investigation were separately freeze-dried, and ground to fine powder under liquid nitrogen prior DNA isolation.
DNA extraction
DNA was extracted from 10 g of leaf tissue in 1.5 ml microfuge tubes using the DNA extraction method described by Williams et al. [19]
Oligonucleotide primers
Ten primers, purchased from Operon Technologies Inc. (Almeda, California, USA), were used for Random Amplified Polymorphic DNA (RAPD) analysis, with the following sequences: B15: 5’-GGAGGGTGTT-3’, B16:5’-TTTGCCCGGA-3’, A9:5’-GGGTAACGCC-3’, A20:5’-GTTGCGATCC-3’, O14:5’-AGCATGGCTC-3’, M5:5’-GGGAACGTGT-3’, Z13:5’-GACTAAGCCC-3’, Z17:5’-CCTTCCCACT-3’, Z19:5’-GTGCGAGCAA-3’ and B3: 5’-CATCCCCCTC-3’.
Polymerase chain reaction (PCR)
PCR amplification was conducted with 25 µl of reaction mixture containing 1% Triton 10-X reaction buffer (100 mMolTris–HCl (pH = 8.3), 500 mMolKCl, 0.01% (w/v) gelatin), 2.0 µl MgCl2 (25 mMol), 2.5 µl of each dNTP (2 mMol), 3 µl primer, 0.3 µl of Taq polymerase (Promega), and 2.5 µl of genomic DNA and completed to volume with distilled water. The reaction mixture was overlaid with two drops of mineral oil. The amplification reaction was carried out in a Thermocycler Perkin–Elmer Cetus 480 (Warrington, UK). The thermo cycler was programmed for one cycle of 5 min initial strand separation at 94 °C and for 40 cycles each 1 min at 94 °C for denaturation, 1 min primer annealing at 36 °C, a 7 min primer elongation at 72 °C, followed by one cycle of final primer extension at 72 °C for 10 min.
Gel electrophoresis and staining.
PCR products were separated in 1.4% agarose gel by electrophoresis in TE buffer (10 mMolTris–HC1, 1.0 mMolEDTA, pH = 8.0) with a constant power of 100 V for about 3 h. The products were stained with ethidium bromide and then visualized and photographed under UV light using Bio-Rad Gel Doc-2000 (UK).
RESULTS AND DISCUSSION
Botanical profiling
Macro-morphology of S. seaforthianum (fig. 1)
The root
The underground part of the plant (fig. 1B) is formed of conical root 1-3 cm in diameter, 5-20 cm length. The lateral branches are of variable length and thickness. They are almost cylindrical, tapering at their end. The roots are dark greyish brown in color and they are internally yellowish white. The surface is rough due to the presence of cork.
The stem
The stem (fig. 1C) is herbaceous, sometimes hollow, branched, and nearly cylindrical in shape and up to 1 cm in diameter. The young branches usually being green having violet tinge and being thinner and climbing with tendril where the lower part of the main stem and the older branches are pale brown in color.
The leaf
The leaves (fig. 1D) are simple, broadly triangular, alternate, pinnatisect lobbed lamina and adnate with the stem or branches. They are exstipulate, petiolate; petiole is nearly cylindrical, with oval or rounded outline with two straight ridges. The lamina is 3-10 cm long and 4-5 cm wide. The petiole is pale green in color glabrous to the naked eye. The lamina is deeply incised showing lobed composition, having 7-9 main lobes. It has entire to sinuate margin and acute to acuminate apices. The lower lobes often cut to midrib showing ovate or elliptical shape, obtuse apex, symmetric or distinctly asymmetric lamina base and measures from 2-3 cm long and from 0.5-1.2 cm broad at its widest part. The leaf is green in color where the midrib and big veins are paler green in color. The venation is pinnate reticulate and the veins are prominent on both surfaces but more so on the lower surface. The main lateral veins are 6-10 in number.
Macro-morphology of S. macrocarpon (fig. 2)
The root (fig. 2B)
The root is conical in shape, 0.5-1.3 cm in diameter from which numerous lateral roots spreading obliquely in all directions. The lateral branches are of variable length and thickness. They are almost cylindrical, tapering at their end. Rootlets also come out from the root, some of them are very thin and being wiry. The roots are dark greyish brown in color and they are internally yellowish white. The surface is rough due to the presence of cork.
Fig. 1: Photographs of aerial parts, root, stem and leaves of Solanum seaforthianum (A) Aerial climbing parts in the flowering stage (X=0.15), (B) Root (X=0.45), (C) Old and young stem showing tendrils (X=0.3), (D) upper and lower surface of leaf (X=0.8)
The stem (fig. 2C)
The stem is solid, herbaceous, sometimes become woody, branched, and nearly cylindrical in shape, up to 2 cm. in diameter. It’s green in color where the lower part of the main stem and the older branches are pale brownish green in color.
Fig. 2: Photographs of aerial parts, root, stem and leaves of Solanum macrocarpon (A) Aerial parts in the flowering stage (X=0.15), (B) Root (X=0.31), (C) Stem (X=0.13), (D) upper and lower surface of leaf (X=0.46)
The leaf (fig. 2D)
The leaves are showing alternate phyllotaxis, simple lamina in composition and adnate with the stem or branches. They are exstipulate, petiolate; the petiole is nearly cylindrical appearing oval or rounded in the transverse section. The petiole is pale green in color glabrous to the naked eye. The lamina having sinuate dentate (broadly dentate) margin and acute apices sometimes with obtuse apex. The lamina showing, obovate or rhomboidal shape, symmetric or distinctly asymmetric lamina base and measures from 5-15 cm long and from 2.5-7.5 cm broad at its widest part. The leaf is green in color except that the midrib and big veins which are paler green in color. The venation is pinnate reticulate and the veins are prominent on both surfaces but more so on the lower surface.
Micro-morphology of Solanum seaforthianum
The root (fig. 3)
Transverse section of Solanum seaforthianum root (fig. 3, I and II) is more or less circular in outline. Covered with outer brown cork layer consists of several rows of brown radially arranged and tangentially elongated polygonal cells, having either suberized or slightly lignified walls. The phellogen consists of 1-2 rows of tangentially elongated cells having thin cellulosic walls. Secondary cortex appeared as several layers of thin walled parenchyma followed by parenchymatous pericycle. Vascular tissue is formed of central large xylem region representing half of the section. It consists of lignified xylem vessels, wood parenchyma, tracheids and wood fibres, followed to outside by cambium layers (4-6 rows) then phloem region. Vascular tissue is traversed by biseriate to multiseriate lignified medullary rays. Numerous idioblasts containing microcrystals of calcium oxalate found in phloem, pericycle and cortical tissues. Scattered parenchyma tissues also contain starch granules (blue with iodine T. S.).
Powdered root (fig. 3 III)
Is brownish-yellow in color, with more or less characteristic odor and bitter taste. It is characterized microscopically by the following features: Fragments of cork, lignified pitted xylem vessels, pitted tracheids, cortical parenchyma, wood fibres, pitted wood parenchyma and Numerous idioblasts containing microsphenoidal crystals of calcium oxalate.
Fig. 3: Micromorphology of S. seaforthianum root. (I) Low power view of root T. S. (X=45), (II) High power view of root T. S. (X=100). ca., cambium; ck., cork; id., idioblast; m. r., medullary ray; per., pericycle; ph., phloem; s. co., secondary cortex; xy., xylem, (III) powdered rootA., cork (X=180); B., cortical parenchyma (X=200): C., fibre (X=140); D., idioblast (X=110); E., pitted vessels (X=300); F., tracheids (X=100): G., wood parenchyma (X=333). A) High power view (X=100)
The Stem (fig. 4 and 5)
The transverse section in the young stem shown in (fig. 4 A and B) is more or less circular in outline. It is formed of the epidermis followed by narrow cortex of parenchymatous cells. The endodermis is distinct (starch sheath). The pericycle is formed of parenchymatous cells showing scattered fibres, surrounding a continuous ring of vascular tissues enclosing the parenchymatous pith surrounding a hollow center occupying half the section. Small groups of perimedullary phloemare present at the periphery of the pith. Numerous idioblasts of microcrystals of calcium oxalate are scattered in cortex, phloem and pith. The epidermis consists of polygonal axially elongated cells, covered with thick smooth cuticle, showing rare clavate glandular hair (unicellular straight or bent stalk and multicellular head formed of 3-9 cells) and no stomata. The cortex is moderately narrowed composed of 5-8 rows of thin walled parenchyma. In which there are scattered idioblasts of microcrystals of calcium oxalate. The endodermis is distinct as a starch sheath, formed of tangentially elongated cells containing abundant starch granules. The pericycle consists of 1-3 rows of parenchymatous cells in the young stem section and showing scattered non-lignified pericyclic fibres which become lignified in the old stem characterized by being elongated fusiform in shape with pointed apices, thick walled and narrow lumen. The vascular tissue consists of a continuous ring of collateral vascular bundles which is traversed by uniseriate to biseriate medullary rays which are formed of isodiametric or somewhat radially elongated lignified cells. The vascular tissue enclosing parenchymatous pith which is surrounding a hollow center. The vascular tissue is formed of phloem to the outside, lignified xylem to the inside and indistinct ring of cambium in between the xylem and phloem. The xylem vessels are lignified and are either solitary or in groups. The vessels are reticulate and spiral forms as shown in the examined powder which accompanied by wood fibres and wood parenchyma (fig. 4). The wood fibres are elongated, fusiform in shape showing pointed or forked apices, thick lignified straight walls and narrow lumens. The wood parenchyma is isodiametric or elongated with pitted lignified walls. The phloem consists of thin-walled cellulosic phloem elements; sieve tubes, companion cells and phloem parenchyma with no fibres. The pith consists of rounded parenchymatous cells forming a narrow region after the vascular tissues followed by a wide hollow part of the stem. Groups of perimedullary phloem are scattered at the periphery of the pith.
The old stem
A transverse section in the old stem (fig. 4 C and D) is nearly similar to that of the young stem but showing the following main differences: -
-Outer cork layer appeared distinctly asseveral rows of brown radially arranged and tangentially elongated polygonal cells, having either suberized or slightly lignified walls.
-The pericyclic fibres are lignified scattered in groups or solitary.
-Secondary xylem appeared as wide region occupying up to 2/3 of the section.
-Hollow central region appeared narrower than that of the young stem.
Powdered stem (fig. 5)
Is yellowish brown in color with a characteristic odor and bitter taste. The diagnostic microscopic features of the powder are: Solanaceous trichomes (clavate hair, epidermal cells, cork polygonal cells, lignified wood fibres, pericyclic fibres showing lignified wall, pointed apices and narrow lumen (smaller in width and longer compared with the wood fibres), vessels having reticulate and spiral thickening, lignified rectangular pitted wood parenchyma, fragments of medullary rays and tracheids.
Fig. 4: Micromorphology of S. seaforthianum stem (A) Low power view of young stem T. S. (X=25), (B) High power view of young stem T. S. (X=140), (C) Low power view of old stem T. S. (X=25), (B) High power view of old stem T. S. (X=150). cor., cork; c. par., cortical parenchyma; end., endodermis; ep., epidermis; p. f., pericyclic fibre; pm. ph., perimedullary phloem: ph., phloem; pi., pith; xy., xylem. High power view (X=100)
Fig. 5: Powdered stem of Solanum seaforthianum, A., epidermis (X=220); B., clavate glandular trichome (X=400); C., cork(X=200); D., cortical parenchyma (X=116.6); E., medullary ray (X=100); F., reticulate xylem vessel (X=233); G., pericylicfibre (X=80); H., spiral xylem vessel (X=550); I., tracheids (X=233); J., wood fibre (X=75); K., wood parenchyma (X=267)
The leaf (fig. 6 and 7)
A transverse section in the leaf (fig. 6) shows a biconvex midrib and a somewhat thin lamina. The leaf is dorsiventral having one row of palisade which is interrupted in the midrib region and replaced by collenchyma cells followed by thin walled parenchyma cells. The midrib is traversed by a collateral crescent shaped vascular bundle, accompanied on the ventral side by perimedullary phloem groups. The pericycle is parenchymatous and the cortex is parenchymatous with upper 2-3 rows of collenchyma and showing starch sheath endodermis.
The upper epidermis
The cells of the upper epidermis surface preparation (fig. 7A) have polygonal isodiametric to slightly elongated shape, wavy anticlinal walls and are covered with smooth cuticle. Those over the midrib (fig. 7C) are axially elongated covered with smooth cuticle and showing straight anticlinal walls.
The lower epidermis
The cells (Fig.7B) are polygonal elongated in shape with wavy-anticlinal walls, covered with smooth cuticle. Those over the midrib and big veins are axially elongated with almost straight anticlinal walls (fig. 7C).The stomata are abundantly on lower surfaces of inter-neural lamina and rare in the upper region. They are almost at the same level of the epidermal cells or slightly raised. They are of the anisocytic type and occasionally of the anomocytic type.
The trichomes
-Clavate hair (fig. 7F) showing unicellular straight or bent stalk and multicellular head formed of 3-9 cells.
-Glandular trichome with unicellular head and multicellular, uniseriate stalk.(fig. 7J)
-Non-glandular trichome (Fig.7E) being tri-cellular, uniseriate and covered with streaked cuticle.
The lamina region (fig. 6A and C)
The mesophyll is formed of one layer of columnar cylindrical palisade cells. The rest of the mesophyll is formed of 3-4 layers of rounded or slightly elongated spongy tissues. Idioblasts of microcrystals of calcium oxalate are found in the parenchyma of spongy tissues.
The midrib region: (fig. 6A and B)
The cortical tissue of the midrib and big veins shows in its upper part 2-3 rows of collenchymatous cells followed by thin-walled parenchyma. The lower cortical tissue is formed of up to two rows of collenchyma followed by 11-13 rows of parenchyma. Numerous idioblasts of microcrystals of calcium oxalate are scattered in the cortical parenchyma of the midrib and fewer in the phloem tissue. The vascular tissue consists of one, main crescent shaped and collateral vascular bundle formed of xylem to the upper side and phloem to the lower side and is traversed by uniseriate to biseriate parenchymatous medullary rays. Accompanied by small groups of perimedullary phloem on the ventral side. The vascular bundle surrounded by parenchymatous pericycle.
The Petiole transverse section in (fig. 6D) shows a more or less circular outline and being pubescent especially on the upper surface. The epidermis (fig. 7D)characterized by polygonal axially elongated cells with straight anticlinal walls and smooth cuticle almost showing rare stomata and few non-glandular tri-cellular uniseriate trichomes covered with streaked cuticle.
Cortex consists of sub-epidermal collenchyma 2-3 rows followed by several rows of thin walled parenchyma where the endodermis is distinct as starch sheath. Vascular tissue is formed of one, main, crescent shaped and collateral vascular bundle showing small groups of perimedullary phloem on the ventral side and two small vascular bundles. The pericycle is parenchymatous.
Powdered leaf (fig. 7)
The dried leaves powder is dark green in color with a characteristic odor and bitter taste. The diagnostic microscopic features of the powder are: Clavate hair, glandular trichome with unicellular head uniseriate stalk, non-glandular trichome being tri-cellular, uniseriate and covered with streaked cuticle, fragments of upper epidermis, lower epidermis showing anisocytic stomata, neural epidermis, palisade cells, spongy parenchyma, idioblasts containing microcrystals of calcium oxalate, fragments of the petiole epidermis and fragments of annular and spiral vessels.
Fig. 6: Micromorphology of Solanum seaforthianum leaf. (A) Low power view of leaf T. S. (X=35), (B) High power view of the midrib region in leaf T. S. (X=120), (C) High power view of the lamina region of leaf T. S.(X=160), (D) Petiole T. S. (X=80), c. par., cortical parenchyma; cor., cortex; ep., epidermis; id., idioblast; l. ep., lower epidermis; n. gl. t., non-glandular trichomes; pal. t., palisade tissue; ph., phloem; pm. ph., perimedullary phloem; sp. t., spongy tissue; tri., trichomes; u. ep., upper epidermis; v. b., vascular bundle
Fig. 7: Powdered leaf of Solanum seaforthianum, A., upper epidermis (X=375); B., lower epidermis (X=700); C., neural epidermis (X=100); D., epidermis of the petiole (X=450); E., non-glandular trichome (X=300); F., clavate glandular trichome (X=450); G., spongy tissue and palisade (X=300); H., cortical parenchyma (X=200); J., glandular trichome (X=267); I., idioblast (X=70); K., annular vessel (X=367); L., spiral vessel (X=333)
Micro-morphology of Solanum macrocarpon
The root (fig. 8)
Transverse section in root (fig. 8I and II) is circular in outline with an outer few brownish cork layers of polygonal tangentially elongated thin walled slightly lignified cells which are arranged in radial rows. The phelloderm (seconadary cortex) consists of several layers of somewhat tangentially elongated parenchymatous cells. The vascular tissue constitutes half the section andconsists of central xylem surrounded by pholem and is traversed with uniseriate to biseriate medullary rays. The phloem is formed of sieve tissues and phloem parenchyma. The phloem parenchyma and cells of medullary rays contain starch granules. The xylem is a wide solid cylinder of lignified elements. It is formed of vessels either single or in small groups surrounded by abundant fibres, tracheids and wood parenchyma. Numerous idioblasts of microcrystals of calcium oxalate appeared scattered in the parenchymatous cortical layers and pholem parenchyma.
Powdered rootis brownish-yellow in color, with more or less characteristic odor and bitter taste. It is characterized microscopically by elements shown in Fig.8III.
The Stem (fig. 9 and 10)
A transverse section in the young stem (Fig.9A and B) is more or less rounded in outline. It shows an epidermis followed by a cortex with distinct starch sheath endodermis. The pericycle is narrow parenchymatous surrounding a continuous ring of vascular tissue. The pith is parenchymatous showing small groups of perimedullary phloem at its periphery. Numerous idioblasts of microcrystals of calcium oxalate are scattered in parenchyma of cortex, phloem and pith. Epidermis of the stem (Fig.10A) is being polygonal axially elongated cells. Showing more or less straight anticlinal walls and covered by somewhat thick smooth cuticle. The epidermal cells are almost showing rare anisocytic stomata and clavate hair. The cortex is parenchymatous constituting about 1/3 of the section with distinct endodermis as starch sheath.
Fig. 8: Micromorphology of S. macrocarpon root. (I) Low power view of root T. S. (X=30), (II) High power view of root T. S. (X=100). ca., cambium; ck., cork; id., idioblast; m. r., medullary ray; ph., phloem; s. co., secondary cortex; xy., xylem, (III) powdered rootA., cork (X=210);B., cortical parenchyma (X=400): C., fibre (X=200); D., idioblasts (X=62.5); E., wide pitted xylem vessel (X=110); F., spiral vessels (X=250): G., tracheids (X=333.3): H., wood parenchyma (X=650)
The pericycle is narrow parenchymatous surrounding continuous ring of vascular tissue. The central stele is formed of phloem to outside, lignified xylem to inside and distinct ring of cambiform cells in between. Both xylem and phloem are radially traversed by numerous non-lignified uniseriate or biseriate medullary rays which are formed of radially elongated cells. Xylem is formed of lignified vessels, wood fibres and wood parenchyma. With wide parenchymatous pith showing small patches of perimedullary phloem are scattered at its periphery. The parenchyma of cortex, pericycle, phloem and pith contain numerous idioblasts of micro crystals of calcium oxalate.
The old stem (fig. 9C and D)
A transverse section in the old stem is nearly similar to that of the young stem where the main differences between old and young stem lie in the signs of secondary thickening.
Powdered stem
Is yellowish brown in color with characteristic odor and bitter taste where the diagnostic microscopic features of the powder are shown in fig. 10.
The Leaf (fig. 11 and 12)
A transverse section in the leaf (fig. 11A) shows a biconvex midrib region and a somewhat thin lamina which represents ¼ the thickness of midrib region. The leaf is dorsiventral having beneath the upper epidermis one row of palisade which is discontinuous over the midrib region. The midrib is strongly prominent to the lower surface and is traversed by one collateral vascular bundle, accompanied on the ventral side by small groups of perimedullary phloem. The upper epidermal cells (fig. 12J) have polygonal more or less elongated cells, slightly wavy anticlinal walls and are covered by smooth cuticle showing clavate glandular hair having unicellular straight or bent stalk and multicellular head formed of 3-9 cells. The neural upper epidermises (fig. 12F) are axially elongated covered with smooth cuticle, showing straight anticlinal walls. The lower epidermal cells shown in (fig. 12E) are more or less polygonal elongated in shape with strongly wavy anticlinal walls, covered with smooth cuticle. Those over the midrib and big veins are axially elongated with almost straight anticlinal walls (fig. 12F). Stomata are more abundant on lower surfaces of inter-neural lamina, fewer on the upper inter-neural lamina region and almost absent in the neural lamina epidermises. They are almost at the same level of the epidermal cells or slightly raised. They are of the anisocytic type and occasionally of the anomocytic type.
Fig. 9: Micromorphology of S. macrocarpon stem (A) Low power view of young stem T. S. (X=10), (B) High power view of young stem T. S. (X=160), (C) Low power view of old stem T. S. (X=30), (B) High power view of old stem T. S. (X=240). ca., cambium;ck., cork; c. par., cortical parenchyma; end., endodermis; epi., epidermis; id., idioblasts; m. r., medullary ray; per., percycle; ph., phloem; pi., pith; pm. ph., perimedullary phloem; xy., xylem. High power view (X=100), ca., cambium; ck., cork; id., idioblast; m. r., medullary ray; per., percycle; ph., phloem; s. co., secondary cortex; xy., xylem
Fig. 10: Powdered stem of Solanum macrocarpon, A., epidermis (X=350); B., clavate glandular trichome (X=400); C., cork(X=325); D., cortical parenchyma (X=115); E., fibre (X=20); F., idioblast (X=60); G., medullary ray (X=70); H., nonglandular trichome (X=200); I., recticulate vessels; J., spiral vessel (X=65); K., tracheids (X=300); L., wood parenchyma (X=233)
The mesophyll (fig. 11C) is formed of one row of columnar cylindrical palisade cells. The rest of the mesophyll is formed of 4-5 rows of rounded or slightly elongated spongy tissue. Idioblasts of microcrystals of calcium oxalate are scattered in the spongy tissue.
The cortical tissue of the midrib and big veins (fig. 11B) is formed of thin-walled parenchyma. The innermost layer of the cortical tissue forms the starch sheath which is formed of slightly tangentially elongated cells, each containing fewand small and rounded starch granules. The vascular tissue consists of one main, crescent shaped and collateral vascular bundle which is traversed by uniseriate to biseriate medullary rays. The vascular bundles are formed of xylem to the upper side and phloem to the lower side. The vascular bundle is showing small groups of perimedullary phloem on the ventral side. Between the starch sheath and the phloem tissue is parenchymatous pericycle.
The petiole
A transverse section in the petiole (fig. 11D) shows a more or less oval outline. The epidermis (fig. 12G) is characterized by polygonal axially elongated cells with straight anticlinal walls and smooth cuticle and is showing rare stomata of anisocytic type. Trichomes are absent. Cortex consists of subepidermal collenchyma 2-3 rows followed by several rows of thin walled parenchymatous cells where the endodermis is distinct as starch sheath. The pericycle is formed of parenchymatous cells. Vascular tissue is formed of one main, crescent shaped and collateral vascular bundle showing small groups of perimedullary phoem on the ventral side and four small vascular bundles. Xylem is formed of lignified vessels, wood parenchyma and wood fibres. The vascular bundle is traversed by non-lignified medullary rays.
Powdered leaf
Is green in color shows characteristic odor, bitter taste and the diagnostic features upon microscopical examination are shown in fig. 12.
The microscopic measurements of different elements of the roots, the stems and the leaves of both species were listed in table (1). On the other hand the numerical values of the leaves of both plants were listed in table (2).
Fig. 11: Micromorphology of S. macrocarpon leaf. (A) Low power view of leaf T. S. (X=45), (B) High power view of the midrib region in leaf T. S. (X=80), (C) High power view of the lamina region of leaf T. S.(X=140), (D) Petiole T. S. (X=40), ca., cambium; c. par., cortical parenchyma; cor., cortex; ep., epidermis; id., idioblast; l. ep., lower epidermis; n. gl. t., non-glandular trichomes; pal. t., palisade tissue; ph., phloem; pm. ph., perimedullary phloem; sp. t., spongy tissue; tri., trichomes; u. ep., upper epidermis; v. b., vascular bundle
Fig. 12: Powdered leaf of Solanum macrocarpon A., annular vessel (X=367); B., clavate glandular trichome (X=450); C., cortical parenchyma (X=200); D., idioblast (X=90); E., lower epidermis (X=425); F., neural epidermis (X=180); G., petiole epidermis (X=450); H., palisade (X=267); I., spiral vessel (X=333); J., upper epidermis (X=500)
Genetic profiling
DNA fingerprinting
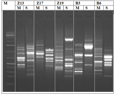
The extracted DNA of each of the two Solanum species was amplified using ten decamer primers to detect their genetic variability. Each of the ten primers had successfully directed the amplification of a genome-specific fingerprint of DNA fragments and consequently serves to evaluate inter specific diversity between these species. The obtained RAPD-PCR products using the ten decamer primers, as detected by gel electrophoresis, for the two Solanum species are represented in fig. 13 and 14.
The ten primers of arbitrary sequences generated a total of 101 fragments in S. macrocarpon while 105 fragments were generated in S. seaforthianum.
The ten primers had produced multiple band profiles with a number of amplified DNA fragments ranging from 15 when Z13 was used and 13 fragments being produced by Z19 in S. seaforthianum and 13 when Z17 and B06 were used for S. macrocarpon. On the other hand, the least number of fragments was 7 and 6 being produced by B15 in S. seaforthianum and S. macrocarpon respectively. However, the total number of fragments was 206 bands, 93 were polymorphic representing a level of polymorphism of 45.15 %. The highest degree of similarities (70%) was recorded using primer B16, followed by 65.38% for Z13 and the lowest degree of similarity (38.1%) was recorded using primer O14 as can be seen in (table 3).
Morphologically
Microscopically
The root
The stem
The leaf
![]() |
![]() |
Fig. 13: The obtained RAPD-PCR products for Solanum macrocarpon (M) and Solanum seaforthianum (S)using six decamer primers (B15, B16, A9, A20,O14 and M5) |
Fig. 14: The obtained RAPD-PCR products for Solanum macrocarpon (M) and Solanum seaforthianum (S)using five decamer primers (Z13, Z17, Z19, B3 and B6) |
Table 1: Dimensions (in microns) the roots, stems and leaves of Solanum seaforthianum and Solanum macrocarpon
Element |
Solanum seaforthianum |
Solanum macrocarpon |
||||||
Length |
Width |
Height |
Diameter |
Length |
Width |
Height |
Diameter |
|
Root |
||||||||
Cork cells |
50–65–83 |
27–35–50 |
8–20–22 |
38–61–80 |
25–33–49 |
10–14–20 |
||
Cortical parenchyma |
50–85–150 |
50–55–60 |
37–49–62 |
15–20–30 |
||||
Tracheids |
300–450–550 |
18–22–30 |
60–190–117 |
6–14–24 |
||||
Wood fibres |
550–650–928 |
12–13–14 |
425–610–880 |
16–25–32 |
||||
Wood parenchyma |
39–48–54 |
12–15–21 |
27–30–34 |
25–26–32 |
||||
Vessels |
11–25–40 |
24–54–91 |
||||||
idioblast |
32–65–80 |
36–61–72 |
||||||
Stem |
||||||||
Epidermis |
33–54–65 |
9–15–18 |
7–10–14 |
50–57–66 |
8–12–14 |
|||
Cork cells |
35–50–55 |
20–25–26 |
6–7–10 |
12–18–24 |
12–13–15 |
3–4–6 |
||
Fibres |
1100–1937 |
11–13–40 |
3000–9000 |
33–40–50 |
||||
Tracheids |
240-257-266 |
40–47–50 |
99–140–155 |
8–10–12 |
||||
Medullary rays |
440-470-500 |
55–60–66 |
700-814-850 |
66–71–75 |
||||
Cortical parenchyma |
50–57–60 |
50–51–55 |
120–139–150 |
95–104–110 |
||||
Wood parenchyma |
46–48–50 |
17–18–20 |
45–51–55 |
15–17–18 |
||||
Vessels |
19–21–25 |
15–23–26 |
||||||
Idioblasts |
55–66–70 |
|||||||
Leaf |
||||||||
Upper epidermis |
14-25-27 |
7-12-14 |
9-12-18 |
18-33-43 |
11-15-19 |
7-14-21 |
||
Lower epidermis |
7-14-18 |
5-8-10 |
6-12-18 |
10-22-30 |
5-9-11 |
12-18-21 |
||
Neural epidermis |
57-120-147 |
29-43-58 |
8-12-17 |
130-150-183 |
13-25-30 |
25-44-50 |
||
Petiole epidermis |
6-18-22 |
4-7-9 |
46-75-86 |
6-11-16 |
||||
Cortical parenchyma |
40-45-50 |
38-40-50 |
40-45-50 |
38-40-50 |
||||
Palisade cells |
54-56-58 |
12-13-14 |
55-56-57 |
10-11-12 |
||||
Idioblasts |
50-57-62 |
42-44-64 |
||||||
Vessels |
8-12-22 |
9-21-26 |
||||||
Table 2: Numerical values of the leaves of S. seaforthianum and S. macrocarpon
Parameter* |
S. seaforthianum |
S. macrocarpon |
Stomatal number Lower epidermis Upper epidermis |
1470±20 0 |
842±13 289±11 |
Stomatal index Lower epidermis Upper epidermis |
10±1.3 0 |
12.4±0.9 8.3±1.1 |
Palisade ratio |
2-3 |
3-5 |
Vein termination number |
6-10 |
3-4 |
Vein islet number |
4-9 |
6-9 |
Table 3: The total number of RAPD-PCR fragments, distribution of monomorphic and polymorphic bands, percentage of polymorphic fragments and similarity coefficient generated by ten decamer arbitrary primers in Solanum macrocarpon (M) and Solanum seaforthianum (S)
Primer |
RAPD fragments |
Monomorphic |
Polymorphic |
% of fragments |
Similarity |
|
M |
S |
|||||
Z13 |
11 |
15 |
8 |
9 |
34.62 |
65.38 |
Z17 |
13 |
8 |
5 |
11 |
52.38 |
47.62 |
Z19 |
11 |
13 |
7 |
10 |
41.67 |
58.33 |
B03 |
11 |
8 |
5 |
9 |
47.37 |
52.63 |
B06 |
13 |
11 |
7 |
10 |
41.67 |
58.33 |
B15 |
6 |
7 |
3 |
7 |
53.85 |
46.15 |
B16 |
9 |
11 |
7 |
6 |
30 |
70 |
A09 |
9 |
10 |
5 |
9 |
47.37 |
52.63 |
A20 |
8 |
11 |
5 |
9 |
47.37 |
52.63 |
O14 |
10 |
11 |
4 |
13 |
61.90 |
38.10 |
Total |
101 |
105 |
56 |
93 |
45.14 |
54.85 |
From the above results S. seaforthianum could be differentiated and characterized morphologically and microscopically from S. macrocarpon by the followings:
On the other hand high percentage of similarity coefficients indicates that the two species are closely related. The pattern obtained using B16 was close in the two species, moreover, this observation was supported by their respective similarity coefficients which recorded 70%. This primer could, therefore, be used as an indicator for obtaining genetic markers. The O14 primer was found to be the most effective in generating polymorphic bands on application of the RAPD technique to the two Solanum species; as compared to the total number of RAPD fragments it generates (high level of polymorphism).
CONCLUSION
From the previous findings, the macro and micro-morphological characters, as well as, DNA fingerprinting can be considered as the identifying parameters to authenticate and differentiate between the two plants under study. Where, O14 and B15 RAPD primers could be used to discriminate between the two Solanum species depending on their low values of similarity coefficients and high level of polymorphism. While, B16 primer could be used in the authentication of different Solanum species as highest similarity coefficients were indicated.
CONFLICT OF INTERESTS
Declared None
REFERENCES