
Department of Pharmaceutics, School of Pharmaceutical Sciences, Vels Institute of Science, Technology and Advanced Studies (VISTAS), Vels University, Chennai 600117, Tamilnadu, India
Email: sathesh2000@gmail.com
Received: 30 Jul 2015 Revised and Accepted: 18 Nov 2015
ABSTRACT
Objective: To prepare Gemcitabine (GCB) loaded Methoxy Polyethylene Glycol-Poly (Caprolactone), (MPEG-PCL) nanoformulations and to carry out the physicochemical characterization. The primary objective of this research is to enhance the transport and penetration of drug across the blood-brain barrier (BBB).
Methods: Gemcitabine loaded MPEG-PCL nanoparticles were formulated by using modified nanoprecipitation method. Nanoformulations were prepared by varying drug: polymer ratio. The prepared nanoparticles (NP) were evaluated for particle size, zeta potential, entrapment efficiency, drug content and in-vitro drug release. The in vitro cytotoxicity of drug-loaded NPs was evaluated in U-87 MG cells.
Results: The prepared nanoformulations indicated a significant increase in particle size with increase in the polymeric concentration. GCB loaded MPEG-PCL nanoformulation (GCBNP 3) exhibited a particle size of 223±1.4 nm. DSC thermo grams indicated that GCB was amorphously in in MPEG NPs. SEM, TEM, and AFM studies indicated that the NPs were spherical and smooth surface without any cracks or pinholes. In vitro release studies showed the GCBNP 3 shows an initial burst release followed by a more gradual and sustained-release phase (maximum drug release). The cytotoxicity of GCB loaded MPEG-PCL nanoformulations showed reduction in the IC50 value (4.1 µg). Apoptosis detection assay with Hoechst 33342 dye was carried out and observed an increase in fluorescence in the apoptotic cells. By invasive studies, the GCB loaded MPEG-PCL nanoformulation inhibits the cell migration significantly when compared with the pure drug.
Conclusion: The GCB loaded MPEG-PCL nanoparticles indicated improved cytotoxic activity with minimal concentrations compared with the pure drug in U-87 MG glial cells. Hence, it can be concluded that GCB loaded MPEG-PCL nanoformulation can serve as a potential drug delivery tool for the treatment of brain tumours.
Keywords: Cancer, Apoptosis, Gemcitabine, Glial cells, MPEG-PCL, Nanoparticles, Modified nanoprecipitation method.
© 2016 The Authors. Published by Innovare Academic Sciences Pvt Ltd. This is an open access article under the CC BY license (http://creativecommons.org/licenses/by/4.0/)
INTRODUCTION
Cancer remains one of the most deadly diseases in the world. In spite of advancements for diagnosis and treatment, cancer is still a big threat to our society. This is the second most common disease after cardiovascular disorders for maximum deaths in the world [1]. Although not very frequent, brain tumours contribute significantly to morbidity, often affect children and overall have a poor prognosis. Due to marked resistance to radiation and chemotherapy, the prognosis for patients with glioblastomas is very poor. Many genetic alterations involve in the development of nervous tissue tumours have been identified and may lead to novel therapeutic approaches [2]. The brain is one of the least accessible organs of the body, thus making the delivery of neurotherapeutics a challenge. Despite its relatively high nutrient support and exchange requirements, the uptake of any compound is strictly regulated by the blood-brain barrier (BBB). The Conventional drug delivery systems which release the drug into general circulation fail to deliver drugs effectively to the brain and are therefore not very useful in treating certain diseases that affect CNS. Therefore, there is a need to develop and design approaches which specifically target to brain in a better and effective way [3]. The targeted delivery of nonmaterial’s can overcome difficulties associated with conventional free anticancer drugs, including insolubility under aqueous conditions, rapid clearance, and a lack of selectivity, resulting in nonspecific toxicity toward normal cells and lower the dose of drugs delivered to the cancer cells [4].
Colloidal drug carriers such as nano particles (NPs) have been used to overcome the BBB and to improve the transport of drugs across it [5-8]. The major advantage of these colloidal drug carrier systems is their possibility of the drug targeting by modifying the distribution of drugs in the body [9]. Brain-targeted polymeric nanoparticles have been found to increase the therapeutic efficacy and reduce the toxicity of a large number of drugs. By coating the NPs with surfactants, higher concentrations of drugs can be delivered to the brain [10]. NPs can accumulate in tumours after systemic administration, and their biodistribution is largely determined by their physical and biochemical properties such as particle size, nature of the polymer and drug, and surface biochemical properties [11].
The use of polymeric nanoparticles (PNP) in drug delivery, generally increase the stability of the pharmaceutical agents and it can be easily and cheaply fabricated in large quantities by a multitude of methods. Additionally, the use of absorbable or degradable polymers provides a high degree of biocompatibility for PNP delivery system [12].
GCB is a nucleoside analogue that despite its efficient antitumor activity, suffers from several drawbacks including a very short plasma half-life, thus generating the need to use high doses, simultaneously leading to severe dose-limiting side effects [13]. GCB is reported to possess a very modest potency to penetrate the blood-brain barrier (BBB) [14]. Further, GCB is reported to possess poor prognosis in the very common malignant brain tumor, glioblastoma multiforme [15]. The detailed literature survey indicates the need for investigation of GCB loaded drug carriers targeting the brain. Hence, GCB loaded MPEG-PCL nanoparticles were designed to deliver GCB across BBB and target brain tumor. Polymeric nano formulation is prepared to enhance the transport efficiency across BBB and to target the brain glioma cells. The cytotoxicity and cellular uptake of the drug-loaded NPs were evaluated in vitro.
MATERIALS AND METHODS
MPEG-PCL and Pluronic F-127 were purchased from Sigma-Aldrich (St. Louis, MO, USA), GCB was obtained as a gift sample from Strides Pharmaceuticals, acetone (analytical grade) were purchased from Sigma-Aldrich (St. Louis, MO, USA), Phosphate buffered saline, (3-[4,5-dimethylthiazol-2-yl] 2,5-diphenyl tetrazolium bromide) and dimethyl sulfoxide were purchased from Sigma-Aldrich (St. Louis, MO, USA), Hoechst 33342 (Sigma B-2262), and all the other solvents used are analytical grade. The U-87MG glial cells were obtained from National Centre for Cell Science (NCCS), Pune, India.
Differential scanning calorimetry analysis (DSC)
Differential scanning calorimetric (DSC) analysis were carried out by using Shimadzu DSC-60, to determine the interaction between the GCB and other excipients used. Samples were analyzed in a temperature range of 0 °C-400 °C at a heating rate of 5 °C/min under nitrogen atmosphere. The samples were prepared by pressing them in a DSC aluminium pans and subjected to analysis.
Preparation of drug loaded nanoparticles
Nanoparticles of MPEG-PCL containing GCB were prepared by using the modified nanoprecipitation method [16]. Accurately weighed the amount of MPEG-PCL and GCB were dissolved in 5 ml of acetone. 10 ml of 1% Pluronic F-127 in phosphate buffer 9 was added to the polymeric solution and stirred continuously for 2 h at 500 rpm using a magnetic stirrer.
The obtained nanoparticular suspension was centrifuged at 11,000 rpm in cooling centrifuge (Remi) and the supernatant was collected, lyophilized and stored at 4 °C. Repeated the procedure by varying in the polymeric concentration to optimize the formulations and were coded as GCBNP 1, GCBNP 2, GCBNP 3 and GCBNP 4. A blank nanoformulation (PNP) was prepared by the same procedure, but excluding GCB. The details of the formula are given in the table 1.
Table 1: Various formulations of GCB loaded MPEG-PCL nanoformulations
S. No. |
Ingredients |
GCBNP 1 |
GCBNP 2 |
GCBNP 3 |
GCBNP 4 |
PNP |
1 |
Gemcitabine |
10 mg |
10 mg |
10 mg |
10 mg |
- |
2 |
MPEG-PCL |
10 mg |
20 mg |
30 mg |
40 mg |
10 mg |
3 |
Pluronic F 127 |
1 % (10 ml) |
1 % (10 ml) |
1 % (10 ml) |
1 % (10 ml) |
1%(10 ml) |
4 |
Acetone |
5 ml |
5 ml |
5 ml |
5 ml |
5 ml |
Characterization of GCB loaded MPEG-PCL nanoparticles
Particle size
The size of the prepared nanoparticles was analyzed by using Photon Correlation Spectroscopy (PCS). All samples were diluted with ultra-purified water, and the analysis was performed at a scattering angle of 90 °C and at a temperature of 25 °C [17]. The mean diameter for each sample and mean hydrodynamic diameter was generated by cumulative analysis in triplicate.
Zeta potential
The zeta potential of the prepared nanoformulations was determined by using a Zetasizer. The measurements were performed using an aqueous dip cell in an automatic mode by placing diluted samples in the capillary measurement cell, and cell position is adjusted. The electrical charge on the nanoparticles was measured by using particle electrophoresis (Zetasizer Zen Systems 3600, Malvern Instruments Ltd., UK) after they had been diluted with deionized water to avoid multiple scattering effects and then placed in a folded capillary cell (25 °C). Measurements were made in triplicate, and the results are shown with mean±standard error.
Surface morphology
Scanning electron microscopy (SEM)
The prepared nanoparticles were observed under a scanning electron microscope to study the particle diameter and dispersion pattern. The equipment used was Quanta 200 FEG scanning electron microscope (FEI Quanta FEG 200). The NPs were dispersed in water and drop coated on aluminium stub using double-sided carbon tape. The sample was then coated with gold sputter coating unit at 10 Pa vacuum for 10 S (SC7620, Japan). The typical acceleration potential used was 30 kV and the image was captured at the desired magnification.
Transmission electron microscopy (TEM)
The surface morphology of the particles was studied by using transmission electron microscopy set with 200 kV by placing an air dried nanoparticular suspension on copper electron microscopy grids.
Atomic force microscopy (AFM)
Nanoformulation was characterized by using atomic force microscope (XEI 70, Park system, Korea). The analysis was carried out by running the machine in the non-contact tapping mode. The samples were drop coated on glass substrates. The nanoparticles were characterized by observing the patterns that appeared on the surface topography and analyzing the AFM data. The topological 3D image was obtained in tapping mode at a resonance frequency of 272.98 kHz.
Drug content
Drug content was determined by taking 1 ml of the GCB loaded MPEG-PCL nanosuspension. To this nanosuspension, 1 ml of aqueous potassium dihydrogen phosphate solution (30 mM) was added and the mixture was centrifuged with 33,000g at 15 °C. The clear supernatant was removed and analysed spectrophoto-mertically and drug content was calculated.
Percentage entrapment efficiency
The entrapment efficiency of the drug-loaded nanoparticles was carried out by centrifuging specified amount of nanosuspension at 13000 xg and the supernatant was assayed for free drug concentration by spectrophotometric method [18]. Entrapment efficiency was calculated as follows:
In vitro release studies
The in vitro release profile of the prepared nanoparticular drug delivery system was studied by diffusion across an artificial membrane. In the donor compartment nanosuspension containing known concentration of drug was placed and in the receptor compartment buffer was placed and constantly agitated using a magnetic stirrer at 37 °C. Samples were withdrawn from the receptor compartment for estimation of released drug and replaced with similar volume of buffer. The experiment was carried out in triplicate, and the values are reported as mean value±standard deviation.
Cell culture and maintenance
U-87 MG cells were obtained from National centre for cell science (NCCS), Pune, India. The cells were grown in Dulbecco’s modified Eagle’s medium (DMEM) with 10% fetal bovine serum (FBS) and 1% penicillin-streptomycin (PS) in a humidified incubator under the conditions of 37 °C and 5% CO2.
MTT assay
The cells were plated separately in 96 well plates at a concentration of 1 × 105 cells/well [15]. After 24 h, cells were washed twice with 100 µl of serum-free medium and starved for an hour at 37 °C. After starvation, cells were treated with the test material for 24 h. At the end of the treatment period, the medium was aspirated and serum free medium containing MTT (0.5 mg/ml) was added and incubated for 4 h at 37 °C in a CO2 incubator. The MTT containing medium was then discarded, and the cells were washed with PBS (200 µl). The crystals were then dissolved by adding 100 µl of DMSO and this was mixed properly by pipetting up and down. The absorbance of the purple, blue formazan dye was measured spectrophotometrically in a microplate reader at 570 nm (Biorad 680).
Cellular uptake of drug loaded nano particles (Hoechst dye)
For a qualitative study using laser scanning fluorescence microscope, U-87 MG cells were seeded onto 48-well plates with glass coverslips at a density of 50,000 cells per well, incubated for 24 h, and treated with GCBNP 3, PNF and pure drug at a concentration of 200 mg/ml for 4 h. The cells were then washed with PBS and fixed using 4% formaldehyde at room temperature for 15 min. Subsequently, the cells were washed with PBS for three times and stained with Hoechst dye (1 mg/ml) for 30 min. The cells were washed with PBS for three times before the coverslips were mounted onto microscope slides and visualized using an Olympus fluorescence microscope, and the images were quantified [18].
Migration assay: (Blood-brain barrier)
U-87 MG cells were grown to 80% confluence then serum starved overnight before setting up the experiment. Cells were washed twice in Dulbecco’s PBS and harvested from the plate using 0.5 mol/l EDTA (pH 6.8). The cells were collected and re-suspended in starvation medium. We used 24-well trans well chambers (BD Bio coat Control Inserts from BD Biosciences) with 8.0-Am pore size polycarbonate membrane for this experiment. The cells were plated at a density of 5 X 104 per well in 0.5 µl in the upper well, which was placed into a lower well containing one of the following conditions: complete medium+drug at different concentrations or complete growth medium (10% FBS). After 24 h at 37°C, 5% CO2 incubator for 24 h, the experiment was stopped by wiping the cells from the well with a cotton swab and fixed and stained using the Diff-Quik kit (Dade-Behring). Migration was quantities by counting 12 fields at a magnification of 400. Each experiment was repeated in triplicate and the results were averaged. Statistical analysis was done using the Student’s t-test.
Invasion assay
The invasion assay was identical to the above migration assay except that inserts were coated with 100 AL Matrigel (BD Bioscience) diluted to 1 mg/µl. The experiment was stopped after 72 h using the same method as described above.
RESULTS
DSC is an important technique to analyze the polymer-drug interactions and also it has previously been used to show the dispersity of the molecules [20]. Thermal analysis was used to evaluate the changes in thermodynamic properties that occur when the material supplied heat energy. Changes that can be observed in the process of melting, desolvation, recrystallization and solid phase transformations indicated by endothermic or exothermic peaks at thermogram. DSC thermogram showed solid endothermic peak of GCB at 277.62 °C. The polymer MPEG-PCL indicated endothermic peaks at 48.31 °C and 58.30 °C, respectively. The endothermic peaks of GCB and MPEG-PCL observed at similar temperature ranges, which eliminate the possibility of any physical interaction. The DSC thermo grams of GCB and MPEG-PCL and their combinations are shown in fig. 1 A, B, C.
Particle size
It is well known that the sizes of particles are highly dependent on the preparation method and conditions employed. It is generally accepted that an increase in the percentage of the polymer leads to increase in particle size. The particle size of the nanoformulation is an important property of particles that not only does it affect endocytosis by tumour cells but also influences its accumulation in tumour tissue via EPR effect. It determines in vivo drug release behaviour, biological fate, toxicity and the targeting ability of NPs after administration.
(A)
(B)
(C)
Fig. 1: Differential scanning thermogram of (A) GCB (B) MPEG-PCL (C) Physical mixture of GCB, MPEG-PCL
Also, they can also influence the drug loading, drug release and stability of drug inside NPs [21]. In this study the mean particle size of GCB loaded nanoparticles is significant to plain nanoformulation and the average size of nanoparticles is illustrated in fig. 1 A and B. The electrostatic repulsion between particles with the same electric charge prevents the aggregation of the particles [22]. It has been demonstrated that the anionic surface of drug delivery system would provide improved blood compatibility as compared to the cationic carrier. The zeta potential value of the plain nanoparticles and GCB loaded nanoparticles were recorded.
Table 2: Particle size and zeta potential for GCB loaded MPEG-PCL nanoformulations
Code |
Particle size (nm)# |
Zeta potential (mV)# |
GCB NP 1 |
214±1.6 |
-29±1.7 |
GCB NP 2 |
236±2.1 |
-28±2.3 |
GCB NP 3 |
223±1.4 |
-26±1.4 |
GCB NP 4 |
269±2.3 |
-28±1.8 |
PNP |
241±1.8 |
-21±1.2 |
#Values indicated aremean±standard error mean of three trials
![]() |
![]() |
(A) |
(B) |
Fig. 2: Particle size and size distribution of (A) Plain NP (B) GCB NP 3
SEM analysis
SEM analysis of the GCBNP 3 indicated that the particles are isolated, and it was clear that the particles were spherical in shape, and hollow in structure, with a large central cavity in which GCB was loaded as shown in fig. 3.
Fig. 3: SEM image of GCBNP 3 nanoparticles
TEM analysis
The representative TEM photomicrograph of the GCBNP 3 was shown in fig. 4. The photomicrographs of the formulation suggested that particle size was found to be spherical in shape and has smooth morphology.
Fig. 4: TEM image of GCBNP 3 nanoparticles
AFM analysis
AFM technique has been widely applied to produce surface-dependent information in three dimensions on the nanometer scale. It is capable of resolving surface details down to the atomic level and can give morphological images in high resolution. The 3D AFM topographies and phase contrast of the GCBNP 3 nanoparticles was illustrated in fig. 5, AFM investigation clearly substantiates that, the non-existence of complex topography of the nanoparticle surface, which confirms no major micro-caves and pores rather than simply being smooth as shown in the conventional SEM images, and smooth surface without any cracks (or) pinholes.
Fig. 5: AFM image of GCBNP 3 nanoparticles
Drug content and entrapment efficiency
The prepared GCB loaded MPEG-PCL nanoformulations were examined for drug content and maximum amount drug was loaded in the GCB NP 3(0.381 µg/ml). The drug content of all the batches is represented in the fig. 6.
GCB loaded MPEG-PCL nanoformulations were estimated for entrapment efficienciency, and the results are shown in the fig.7. Among the prepared batches of the nanoparticles, maximum entrapment of drug was observed in GCBNP 3 (84.64%).
In vitro drug release
The in vitro release of GCB loaded MPEG-PCL NPs in buffered solution pH 7.4 was shown in fig. 8. A typical two-phase-release was observed, i.e., burst release was observed from all the four batches of GCB loaded MPEG-PCL NPs in 1 hr, followed by a relatively slower and sustained release was observed up to 24 h. The GCBNP 3 shows the maximum drug release by the end of the 24th hour.
Fig. 6: Average drug content of GCB loaded MPEG-PCL nanoparticles
#Values indicated are mean±standard error mean of three trials
Fig. 7: Entrapment efficiency of GCB loaded MPEG-PCL nanoparticles
#Values indicated aremean±standard error mean of three trials
After 24 h, GCB was released at a slower rate. The release rate of GCB was also slower due to the presence of the external MPEGPCL coating, which effectively delayed its release from the nanoparticles. The sustained release of GCB is highly beneficial in enhancing long-term anticancer efficiency and improving drug accumulation at the targeted site.
MTT assay
In this study, the MTT cell viability assay was carried out to determine the cytotoxicity of GCB loaded MPEG-PCL nano-formulations (GCBNP 3) in human glial cells (U-87 MG cells). Graphical representation of % cell viability of cells was shown in the fig.9.The fluorescence images were observed, and the images are shown in the fig.10. GCB loaded MPEG-PCL nano formulations showed a reduction of the IC50 value (4.1µg/ml) when compared to the pure drug (6.7µg/ml). The plain NPs had not shown any significant cytotoxicity.
#Values indicated aremean±standard error mean of three trials
Fig.8: In vitro drug release of GCB loaded MPEG-PCL nanoparticles in pH 7.4
Fig. 9: Percentage of cell viability of pure drug, PNP and GCBNP 3
#Values indicated aremean±standard error mean of three trials
Hoescht staining
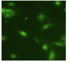
The U-87 MG Cells were treated by GCB loaded with MPEG-PCL nanoformulation (GCBNP 3) which shows maximum intracellular accumulation. The cellular uptake of GCB loaded MPEG-PCL nanoparticles in U-87 MG cells were examined under fluorescence microscopy and the images are shown in fig.11.
The results showed significant apoptotic cell death in GCB loaded MPPEGPCL nanoformulation compared with the pure drug. This indicates that the nanoformulation penetrates the cell membrane of glial cells.
Cell migration
In this study, the U-87 MG cells were examined for the effect of drug on cellular migration and the results are illustrated in the following fig 12. The GCB loaded MPEG-PCL nanoformulation (GCBNP 3) treatment resulted in a significant inhibition of cell migration.
Invasion assay
The GCB loaded MPEG-PCL nanoformulation (GCBNP 3) showed a significant drop in the ability to migrate into the empty space compared with control in U-87 MG cells and the number of cells crossed matrigel in the drug treatment was significant decreased compared to the control cells.
Invasion images of the plain drug, PNP and GCBNP 3 in U-87 MG cell lines are shown in fig. 13.
Control
Pure drug-1 µl |
pure drug-2 µl |
pure drug-5 µl |
pure drug-10 µl |
![]() |
![]() |
![]() |
![]() |
PNF 1 µl |
PNF 2 µl |
PNF 5 µl |
PNF 10 µl |
![]() |
![]() |
![]() |
![]() |
GCB NP3 1 µl |
GCB NP3 2 µl |
GCB NP3 5 µl |
GCB NP3 10 µl |
![]() |
![]() |
![]() |
![]() |
Fig. 10: Images of U-87 MG Cells treated with control and various concentrations of control, pure drug, plain nanoformulation (PNF) and GCBNP 3 nanoformulation
Control |
Pure drug |
PNF |
GCB NP3 |
![]() |
![]() |
![]() |
![]() |
Fig. 11: Comparison of penetration of control, pure drug, PNP and GCBNP 3 in U-87 MG cell lines using Hoechst 33342 DNA staining technique
Fig. 12: Inhibition of cell migration by control, pure drug, PNP and GCBNP 3 in U-87 MG cell lines
Control |
Pure drug |
PNP |
GCB NP |
![]() |
![]() |
![]() |
![]() |
DISCUSSION
The therapeutic efficacy of chemotherapeutic agents in the treatment of malignant brain glioma was poor due to low drug penetration and accumulation within the tumor. Nanoparticle-mediated therapy may be especially helpful for the treatment of the disseminated and very aggressive brain tumors. Biodegradable materials are natural or synthetic in origin and are degraded invivo, either enzymatically or non-enzymatically or both, to produce biocompatible, toxicologically safe by-products which are further eliminated by the normal metabolic pathways [24, 25]. A number of studies showed that MPEGylated poly cyanoacrylate nanoparticles penetrated into the brain to a larger extent [26, 27]. Moreover, drug-loaded nanoparticles released their content immediately and showed a pharmacological effect in no more than 60 min after their administration [28]. Nanoprecipitation is a simple method used for encapsulation of both hydrophilic and hydrophobic drugs in nanoparticles [29]. A modified nanoprecipitation method utilizes use a co-solvent to either increase the entrapment efficiency of the drug in nanoparticles or to reduce the mean particle size of the nanoparticles.
Gemcitabine hydrochloride, a widely used cytotoxic agent, was used a model drug to prove the efficiency of the polymeric nanoparticles to transport the drug across the blood-brain barrier. GCB is reported to possess a very modest potency to penetrate the blood-brain barrier (BBB)[14]. Further, GCB is reported to possess poor prognosis in the very common malignant brain tumor, glioblastoma multiforme.
In this study, the GCB loaded MPEG-PCL nanoformulations were successfully prepared by modified nanoprecipitation method for effective brain glioma treatment. The optimized formulation showed the particle size around 269±2.3 nm, such high zeta potential helps the particles to repel each other and to prevent aggregation leading to colloidal stability [30], with an ideal drug loading coefficient and encapsulation ratio.
The GCBNP3 nanoformulation was further analyzed in human glial cell lines (U 87 MG) for MTT assay, cellular uptake, invasion, cell migration and flow cytometry. The IC50 value of pure drug, plain nanoformulation and GCBNP3 was found to be 6.7µg,>100 µg, 4.1 µg GCBNP3 nanoformulation which showed that, improved in the reduction of the IC50 value of GCBNP3 nanoformulation. The plain NPs did not show any cytotoxicity in which cell viability of more than 60% was achieved in U-87 cells. By the cellular uptake of GCBNP3 in glial cells, confirmed that significant apoptotic cell death when compared to control cells. The effect of drug on cellular migration in U-87 cells shows significant inhibition of cell migration by GCBNP3 nanoformulation.
CONCLUSION
Gemcitabine hydrochloride loaded polymeric nanoparticles were designed, optimized and prepared by modified nanoprecipitation method. The physicochemical characterization of the nanoformulations indicated that the prepared nanoparticles were consistent and stable. In this study, Gemcitabine is selected as a model drug and other anticancer agents can also be tried in the same nanoparticular platform for delivery into the brain. The nano-formulations are designed for sustained release of the drug for a period of 24 h and this may reduce the frequency of dosing, thereby minimizing the occurrence of side effects. The in-vitro studies carried out on U-87 MG cell lines suggests reduced toxicity to normal cells and increase cellular uptake. Hence, it can be concluded that GCB loaded MPEG-PCL nanoformulation can serve as a potential formulation for the treatment of brain tumors. But more animal studies and extensive clinical studies are needed to check and confirm the efficacy of the prepared drug delivery system.
ACKNOWLEDGEMENT
The Ph.D merit scholarship awarded by Vels Institute of Science Technology and Advanced Studies (VISTAS), Vels University, Pallavaram, Chennai, India, to one of the authors, Mr. B. V. Nagarjuna Yadav has been gratefully acknowledged.
CONFLICT OF INTERESTS
Declared None
REFERENCES