
1Centre for Biotechnology, Anna University, Chennai 600025, Tamil Nadu, India, 2SRM University, Porur, Chennai, Tamil Nadu, India, 3Department of Surgery, Division of Cardiothoracic Surgery, Medical College of Wisconsin, Milwaukee, Wisconsin, United States of America
Email: anu@annauniv.edu
Received: 09 Aug 2015 Revised and Accepted: 05 0ct 2016
ABSTRACT
Objective: Recombinant Human Erythropoietin (rhEPO) is strongly inferred to protect the cardiomyocytes from the reperfusion injury and our aim is to elucidate the cardioprotective effect and the exact mechanism behind the cardioprotection.
Methods: Neonatal rat cardiomyocytes (NCM) exposed to Hypoxia/Reperfusion (H/R) with or without pretreatment using various concentrations of rhEPO. To determine the cell viability-MTT assay, Acridine orange and Ethidium Bromide (Ao/EtBr) staining was performed. To determine the reactive oxygen species (ROS) and mitochondrial membrane potential (Δψm), Dichlorofluorescein diacetate (DCF-DA) and Rhodamine-123 was used. To determine the signaling pathways Western blot analysis of pAkt, pp38 MAPK, cytochrome-c were performed.
Results: rhEPO was found to reduce the cell death by stabilizing ROS significantly, Δψm, cytochrome c release, and caspase-3. rhEPO, increases the phosphorylation of p38 MAPK, Akt and BAD compared to H/R. Further myocytes blocked with Wortmannin (WT), and SB203580 showed increased caspase-3 activity.
Conclusion: Hence we conclude from this study that rhEPO regulated the factors involved in reperfusion injury through modulation of Akt and p38 MAPK pathways.
Keywords: Neonatal rat cardiomyocytes, Reperfusion injury, Akt, p38 MAPK, rhEPO and BAD
© 2016 The Authors. Published by Innovare Academic Sciences Pvt Ltd. This is an open access article under the CC BY license (http://creativecommons.org/licenses/by/4. 0/)
DOI: http://dx.doi.org/10.22159/ijpps.2016v8i12.8386
INTRODUCTION
Heart Failure (HF) is a state in which the heart cannot provide sufficient cardiac output to satisfy the metabolic needs of the body. It is a significant wellbeing issue around the world [1]. HF due to myocardial infarction (MI) or ischemia/reperfusion injury (I/R) results in cardiomyocytes loss. This loss in cardiomyocytes is not only associated with apoptosis but also with necrosis [2-4]. During ischemia/hypoxia because of the lack of oxygen supply, the electron flow gets inhibited, and ATP utilization turns out to be inefficient [5]. Consequently, ATP produced during reperfusion causes partial reduction of oxygen to water producing reactive oxygen species (ROS), which results in damage to the electron transport chain [6,7]. Besides ROS, other factors which involved in reperfusion injury are mitochondrial membrane potential (Δψm), calcium (Ca2+) overload, and cytochrome-c release and caspase cascade activation [8].
Erythropoietin (EPO) is a hypoxia-induced hematopoietic cytokine/ hormone, an erythroid precursor which causes cell proliferation, differentiation and stimulates erythropoiesis. Apart from erythropoiesis, EPO has a cardioprotective effect which increases the number of capillaries and mature vessels in infarcted hearts [9, 10] and up-regulates the expression of angiogenic cytokines such as VEGF and angiopoietin-1 [11-13].
EPO (3000U/Kg) has been shown to induce stem cell recruitment and improves cardiac functions when injected by intra-cardiac injection [14]. EPO (10,000 U/kg/d) has a protective effect against cardiac remodeling after MI in in vivo mouse models [15]. EPO (1 to 50 U/ml) protects HK-2 cells from H2O2 induced cell death in a dose-dependent manner [16]. A study in rat cardiomyocytes showed protection against Angiotensin II-induced cardiomyocyte hypertrophy when EPO administered at a dose of 20 U/ml [17]. Moreover, EPO (5000 U/kg) was found to have an anti-apoptotic and anti-necrotic effects in the proximal convoluted tubule when exposed to hypoxia in in vitro in renal I/R injury [18].
EPO (300 IU/kg i. v) is able to reduce oxidative stress and caspase-3 activities in H2O2 induced ischemia in H9C2 cells and rabbit models [19]. EPO also exerts a neuroprotective effect by attenuating the production of ROS and reducing the basilar artery vasoconstriction on neural, vascular endothelium [20].
We have demonstrated in H9C2 cells that EPO decreases ROS, Δψm and intracellular Ca2+homeostasis via modulation of Akt pathway [21]. Furthermore, it is not known whether EPO has an influence on other factors involved in reperfusion injury, such as caspase activity and cytochrome-c release. We have hypothesized that EPO has an influence on caspase activity, and cytochrome-c release also through modulation of Akt and p38 MAPK pathways in neonatal rat cardiomyocytes (NCM). In the present study, we have therefore investigated the effect of recombinant human erythropoietin (rhEPO) on the apoptosis, necrosis, ROS, Δψm, caspase-3 activity, cytochrome-c release, Akt and p38 MAPK pathways.
MATERIALS AND METHODS
Isolation of neonatal rat cardiomyocytes
Our research work on neonatal rat pups was carried out in strict accordance with the recommendations of CPCSEA (committee for the purpose of control and supervision on experiments on animals) guidelines for laboratory animal facility. Our protocol was approved by the institutional animal ethics committee (IAEC) of Anna University (Permit Number: CBT/AU/IAEC 2011-1). All surgery was performed under ethyl ether, and all efforts were made to minimize suffering. All our research work was done in Centre for Biotechnology, Anna University, Taramani Campus, Chennai. Male/Female rat pups (Sprague-Dawley) at the age of 1-3 d were sacrificed by ethyl ether. The hearts were removed and then cut into 1-3 mm3 square pieces and followed the protocol as described in [22]. The cut up tissue was transferred to a 15 ml conical flask containing trypsin solution (0.08%, 0.5 ml per rat) and a small magnetic bead subjected to preconditioning on ice for 20 min. The tissue was processed in the conical flask at 37 ˚C for 10 min, which was subjected to constant stirring (150-200 rpm). The supernatant was transferred to a 15 ml centrifuge tube, and trypsin activity was inhibited by adding a mixture of trypsin inhibitor and cold culture medium without Bromodeoxyuridine (BrdU), supplemented with 10% fetal bovine serum (FBS). The cell pellet was formed by centrifuging at 1000 rpm for 5 min and resuspended in 2 ml warm culture medium. Depending on the amount of undigested tissue, trypsinization and centrifugation steps were repeated 4-5 times. Cells were harvested by centrifugation for 6 min at 1200 rpm and resuspended in Dulbecco’s modified Eagle’s medium (DMEM) supplemented with 10% FBS, plated in tissue culture flask and incubated at 37 ˚C at 5% CO2 for 2 h. This facilitates separation of neonatal cardiomyocytes (NCM) from the non-myocytes (fibroblast). NCM in the supernatant was plated on 0.1% gelatine coated dishes with coverslips inside and cultured in DMEM containing 0.1 mmol BrDu (5-Bromo-2-deoxyuridine). BrDu containing DMEM was replaced by DMEM+10% FBS after 48 h. Beatings NCM were video graphed on day 3 using Nikon Camera at 20X and 40X.
Characterization of neonatal rat cardiomyocytes
Hematoxylin and eosin staining method
NCM was stained with Hematoxylin and Eosin (HandE) to visualize the morphology of NCM clearly. The media were removed from 60 mm culture dish and NCM were washed using 1X phosphate buffer saline (PBS). The appropriate volume of 2% paraformaldehyde was added to the sample and spread properly and kept for 30 min. Paraformaldehyde was removed after 30 min and hematoxylin was added and incubated for 8 min and washed with 1X PBS followed by 95% ethanol wash. Eosin was added to the hematoxylin stained NCM and incubated for 1 min. Then HandE stained NCM were washed with 1X PBS followed by 95% ethanol. The stained samples were allowed to dry for 5-10 min and images were captured under phase contrast microscope using Nikon microscope.
Immuno-staining method
NCM were washed with 1X PBS and incubated for 10 min at 37 ˚C with 2% (v/v) paraformaldehyde. Paraformaldehyde was removed carefully and fixed NCM were washed 3 times with 1XPBS (5 min per wash). The sample was permeabilized with Triton X-100 (0.1%) for 5-10 min at RT (room temperature) then washed in 1XPBS. Samples were incubated at 37 ˚C for about 3-4 h with monoclonal Anti-α-Sarcomeric Actinin (A7811) (Sigma-Aldrich) at a dilution of 1:200 in 1X PBS at 37 ˚C. Samples were washed and incubated with biotinylated anti-mouse secondary antibodies at a dilution of 1:500 dilutions (Santa Cruz Biotechnology) for 45 min at 37 ˚C. At the end samples were washed and incubated for 15 min at 37 ˚C with avidin-conjugated 1:500 FITC (Fluorescein isothiocyanate) and images were captured using confocal microscopy (Carl Zessis, Zen 2010) with excitation 490 nm and emission 525 nm [23].
Treatment of neonatal rat cardiomyocytes
NCM were cultured to 70%-80% confluency and were allowed to grow in serum-free DMEM+0.1% BSA (bovine serum albumin) overnight. Normoxic control group or groups induced to H/R after treatment with or without two applications of rhEPO (10 U/ml, 15 U/ml and 20 U/ml) was used in our investigation. The first application of rhEPO was accomplished 24 h before H/R. A second application of rhEPO immediately before induction of hypoxia and hypoxic conditions were induced by incubating NCM in an airtight chamber (94% N2, 5% CO2 and remaining 1% O2) for 8 h without serum and glucose in DMEM medium [23]. Reperfusion was induced for 16 h by replacing glucose containing DMEM+10% FBS for hypoxic medium. For some of the experiments, cells were treated with 20 U/ml of EPO alone in normoxic condition. In some experiments, 10 µM SB203580, p38 MAPK inhibitor and 1 µM Wortmannin (WT), PI3K/AKT inhibitor were added 30 min prior to each application of rhEPO. Control cells were maintained in DMEM+10% FBS throughout the duration of the experiments.
MTT assay
NCM were cultured in 0.1% gelatine coated 96 well plates for about 70-80% confluency. NCM were pretreated with different concentration (10 U/ml, 15 U/ml and 20 U/ml of rhEPO) and incubated for 24 h and followed the treatment as described in the treatment of NCM. The MTT [3-(4, 5-dimethylthiazole-2-yl)-2, 5-diphenyltetrazolium bromide] were added to each well and incubated at 37 ˚C in a CO2 incubator for 4 h [24]. Soluble yellow color MTT is reduced by mitochondrial succinyl dehydrogenase into insoluble purple formazan. The insoluble formazan product was dissolved in 50 µl DMSO and incubated for 10 min and read absorbance at 540 nm.
Detection of apoptosis and necrosis
Followed by the pretreatment NCM were washed with 1XPBS and collected by centrifugation. NCM were resuspended in 100 µl of 1XPBS, 10 µl of the cell suspension were put on a glass slide and then mixed with 1 µl of 1 mg/ml Acridine orange (Ao) and 1 µl of 10 µg/ml Ethidium Bromide (EtBr). The coverslip was placed over the glass slide and immediately viewed under a confocal laser scanning microscope at a wavelength of excitation 502 nm and emission 526 nm for Ao and for EtBr excitation 510 nm and emission 595 nm [21].
Detection of mitochondrial membrane potential and ROS
After pretreatment NCM were cultured on 0.1% gelatine coated coverslips were washed with 1XPBS and incubated with Rhodamine-123 (5 µg/ml) and DCFH-DA (100 µM) reagent for 30 min in the dark at 37 ˚C. Samples were washed thrice with 1XPBS and then the fluorescence was measured using a confocal laser scanning microscope using 514 nm and 570 nm for Rhodamine-123 and DCF-DA respectively. Before that confocal laser scanning microscope adjusts to the laser power (2%), detector gain, and resolution (512x512) and focused it on 40X oil immersion. The same parameter is used for all sets of experiments [21]. Quantification of the fluorescence was done by using image J software and the corrected cell fluorescence (CTCF) was obtained using the formula, CTCF = Integrated Density–(Area of selected cell X Mean fluorescence of background readings).
Western blot analysis
NCM were cultured on gelatin (0.1%) coated autoclaved glass coverslips in 60 mm dishes and was treated under 8 h hypoxia and 30 min of reperfusion with or without EPO. Cells were kept on ice and washed thrice with cold 1XPBS. Proteins were solubilized and extracted with 50 μl RIPA buffer (50 mmol Tris, pH 8.0, 150 mmol NaCl, 0.5% SDS, 1% Nonidet P40, 0.5% sodium deoxycholate, 1 mmol EDTA, 1X protease and phosphatase inhibitor cocktail (Cell Signaling technologies.,). The lysate was utilized to estimate protein content with the Bradford Assay Reagent. Equal amounts of protein (20-50 μg) from each sample were electrophoresed on a 12% SDS-polyacrylamide gel with running buffer and transferred to a nitrocellulose membrane as described in the Cell Signaling technology protocol. The transferred membranes were checked with ponceau and incubated with primary antibodies such as Akt, p-Akt, p38 MAPK, pp38 MAPK, BAD, p-BAD (1:1000 dilutions, Cell Signaling Technologies.,) for overnight incubation in 4 ˚C. They were again washed 3 times with 1xTBST (Tris-Buffered Saline and Tween 20) before incubating with matching secondary antibody (1:10 000) for 45 min. The protein bands were developed with alkaline phosphatase substrate.
Detection of cytochrome c releases into cytosol
The release of mitochondrial cytochrome-c into the cytosol was measured according to the protocol described previously [25]. Cultured NCM were rinsed with 1XPBS and homogenized in 0.25 M sucrose, 20 mmol Tris-HCl, and 5 mmol EDTA, pH 7. The homogenates were centrifuged at 800 g, discarded the pellet and the supernatant was centrifuged at 8000 g for 10 min. The pellet contains the mitochondrial fraction and the supernatant contains a soluble cytosol-enriched fraction. The supernatant was collected to measure cytochrome c released into the cytosol and the pellet was resuspended for western blot analysis using anti-rabbit cytochrome-c as described previously in Western blot analysis.
Detection of caspase-3 enzymatic activity
NCM were cultured in 0.1% gelatine coated 60 mm cell culture dishes for about 70-80% confluency. After induction of H/R with or without pretreatment with rhEPO, myocytes were washed with 1XPBS and lysed with cell lysis buffer. The enzymatic activity of the caspase-3 is measured by following the protocol given in the caspase-3 colorimetric assay kit, RandD systems. After that, the cell lysate was incubated for 10 min on ice and centrifuged at 10 000 x g for 1 min. The supernatant was transferred to a new tube and kept on ice. Then 50 µl of the supernatant was added to 50 µl of 2X Reaction buffer containing DTT in 96 well plates. At the end, reaction mixtures were incubated with 5 μl of DEVD-pNA (caspase-3 colorimetric substrate) for 1–2 h. The caspase activities were quantified by using a spectrofluorometer using a wavelength of 405 nm [26].
Statistics
Statistical data were analyzed using ANOVA followed by TUKEYs tests in Graph Pad Prism. For all the experiments, data are presented as means±SEM from three to five samples. Values of P<0.05 were considered as statistically significant.
RESULTS
Characterization of NCM
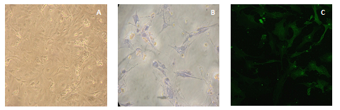
The NCM were isolated from 2 d-old neonatal rats. The morphology of the NCM was examined under an inverted microscope (Nikon) (fig. 1A). The cells were stained with nuclear stain hematoxylin and cytoplasmic stain Eosin and viewed under the microscope (fig. 1B). The beating of the cells was also observed during the third day after isolation. The beating was recorded to be 61 beats per min. The isolated cells were also confirmed to be cardiomyocytes by indirect immunofluorescence assay using anti-α-sarcomeric actin antibody which is a specific cardiac marker and showed green color fluorescence (fig. 1C).

Fig. 1: Characterization of neonatal cardiomyocytes
rhEPO cell viability studies
NCM demonstrated increased survival rates when maintained under normoxia or pretreated with 20 U/ml as compared to the NCM which were subjected to H/R alone. Cell viability was increased from 45 % in H/R injured NCM to 83.5% of 20 U/ml rhEPO pretreated NCM. Data are presented as means±SEM of the ratios from five independent experiments.* denotes p<0.05 for analyses compared to H/R (fig. 2).

Fig. 2: Pre-treatment of rhEPO Increases Cell Viability in H/R-Induced NCM
rhEPO inhibits apoptosis and necrosis in H/R-induced NCM
To distinguish viable cells from apoptotic and necrotic cells, Ao and EtBr double staining method was used. Control and rhEPO treated myocytes stained uniform green color because they can maintain membrane integrity (fig. 3A and 3C). Whereas H/R-induced myocytes lost membrane integrity so EtBr could enter and intercalated with DNA. Late apoptotic myocytes showed bright orange nuclei and necrotic myocytes showed red nuclei as showed in the fig. 3B. Data are presented as means±SEM of the ratios from three independent experiments.* denotes p<0.05 for analyses compared to H/R.


Fig. 3: Pre-treatment of rhEPO in H/R-induced NCM had uniformly green nuclei with intact plasma and nuclear membranes
rhEPO stabilizes Δψm and ROS in H/R-induced NCM
In control and rhEPO treated myocytes, fluorescence emitted by Rhodamine-123 appeared only in the perinuclear region where the mitochondria is located as showed in the fig. 4A and 4C. DCFH-DA crosses the cell membranes and the mitochondrial membrane by deacetylation and oxidation. This is facilitated by esterases and ROS in the cytoplasm and mitochondria. In H/R-induced NCM, Rhodamine-123 fluorescence colocalized with DCF fluorescence not only the perinuclear region but also in the cytoplasmic region and there was an increase in DCF fluorescence in H/R when compared to rhEPO pretreated NCM (fig. 4B). Data are presented as means±SEM of the ratios from three independent experiments.* denotes p<0.05 for analyses compared to H/R. Accordingly rhEPO stabilizes Δψm and ROS in H/R-induced NCM.

Fig. 4: Pre-treatment of rhEPO stabilizes ROS and Δψm in H/R-Induced NCM
rhEPO induces phosphorylation of Akt
Fig. 5A depicts the phosphorylation of Akt in H/R-induced myocytes. NCM pretreated with rhEPO post-H/R showed a significant increase in phosphorylation of AKT in lane 3 of pAkt as compared to cells exposed to H/R. Expression of AKT in the corresponding row is not altered. This increase in phosphorylation of AKT was blocked by WT. Data are presented as means±SEM of the ratios from three independent experiments. * denotes p<0.05 for analyses compared to H/R.

Fig. 5: Western blot analysis demonstrating the effect of rhEPO on Akt
rhEPO increases the phosphorylation of p38 MAPK
Fig. 6A depicts the phosphorylation of p38 MAPK in H/R-induced myocytes. NCM pretreated with rhEPO showed an increase in p38 MAPK phosphorylation in lane 3 when compared to control and H/R. The phosphorylation of p38 MAPK was blocked by SB203580. Expression of p38 MAPK (loading control) in the corresponding row is not altered. Data are presented as means±SEM of the ratios from three independent experiments. * denotes p<0.05 for analyses compared to H/R.

Fig. 6: Western blot analysis demonstrating the effect of rhEPO on p38 MAPK
rhEPO increases the phosphorylation of BAD
Fig. 7A depicts the phosphorylation of BAD in H/R-induced myocytes. The myocytes pretreated with rhEPO showed a significant increase in phosphorylation of BAD in lane 3 as compared to myocytes exposed to H/R without rhEPO pretreatment. Expression of BAD (loading control) in the corresponding row is not altered. Data are presented as means±SEM of the ratios from three independent experiments.* denotes p<0.05 for analyses compared to H/R.

Fig. 7: Western blot analysis demonstrating the effect of rhEPO on BAD
rhEPO decreases cytosolic release of cytochrome-c
Fig. 8A depicts the cytosolic and mitochondrial release of cytochrome-c in H/R-induced myocytes. rhEPO pretreated NCM showed decrease cytosolic release of cytochrome-c (cytosolic cytochrome-c, lane 3) and increased mitochondrial accumulation of cytochrome-c (mitochondrial cytochrome-c, lane 3) but NCM without rhEPO pretreatment showed increased cytosolic release of cytochrome-c (cytosolic cytochrome-c, panel 2) and decreased mitochondrial accumulation of cytochrome-c (mitochondrial cytochrome-c, lane 2). Data are presented as means±SEM of the ratios from three independent experiments.* denotes p<0.05 for analyses compared to H/R.

Fig. 8: Western blot analysis demonstrating the effect of rhEPO on cytochrome-c
rhEPO inhibits caspase-3 activity in NCM
NCM were induced with H/R with or without rhEPO treatment and caspase-3 activity was measured. The caspase-3 activities were markedly elevated after H/R. Pretreatment with rhEPO prevented the caspase-3 proteolytic activations induced by H/R. Further myocytes blocked with WT and SB203580 showed increase caspase-3 activity as showed in fig. 9. Data are presented as means±SEM of the ratios from three independent experiments.* denotes p<0.05 for analyses compared to H/R.

Fig. 9: Pre-treatment of rhEPO decreases caspase-3 activity
DISCUSSION
We believe our study is the first to demonstrate that the rhEPO regulates the factors involved in reperfusion injury, such as ROS, Δψm, cytochrome-c release and caspase-3 activity and protects NCM from cell death. We also found that the regulation was mediated through the modulation of Akt and p38 MAPK.
Reperfusion of coronary artery flow is imperative to resuscitate the hypoxic/ischemic myocardium. Timely reperfusion encourages cardiomyocyte rescue and decreases cardiac morbidity and mortality [27]. Reperfusion rescues myocytes inside ischemic areas of necrosis, however, it causes lethal damage to myocytes with serious ischemia-induced metabolic disturbances [28]. It is known that ischemia and reperfusion-induced ventricular arrhythmias and post-ischemic myocardial dysfunction (myocardial stunning), microvascular and endothelial injury [29-31] leads to reperfusion injury. Further reperfusion injury involves myocyte damage through apoptosis and irreversible cell damage or necrosis [32,33]. Administration of EPO reduces necrosis in an ischemic myocutaneous tissue in a dose-dependent manner [34]. EPO treatment before or at the start of ischemia has been demonstrated to decrease apoptosis and ventricular dysfunction after I/R injury [35-37]. However, a decrease in necrosis was thus induced to protect from reperfusion injury, and rhEPO was efficiently used in this study by showing a reduction in both apoptosis and necrosis caused by reperfusion injury. In support to our present study, a clinical trial showed an effective protection of EPO against tissue injury caused by both apoptosis and necrosis following 6 mo of human kidney transplantations [38].
MPTP is the mega channel in the inner mitochondrial membrane it allows molecules of<1.5 kDa when it opens [39]. MPTP opening is of two sorts: one is transient or intermediate, and another is long-lasting opening, this variation depends on the balance between the cellular inducers and inhibitors [40]. I/R causes long-lasting/irreversible opening of MPTP and the major consequence of long-lasting MPTP opening is destabilization of Δψm, depletion of ATP and NAD+, increased ROS generation, swelling of mitochondrial matrix, release of accumulated Ca2+, outer mitochondrial membrane rupture and cytochrome-c release, which further activates caspase cascade and blocks the electron flow via the electron transport chain [39,41-42]. Inhibition of these factors was in turn inferred to attenuate cell death, and rhEPO was effectively used in our present study in demonstrating significant decreases in the levels of ROS production, cytochrome-c release, caspase-3 activation and stabilization of Δψm, in NCM upon exposure to H/R. EPO has been found to exert neuroprotective effects by attenuating the production of ROS and reducing the basilar artery vasoconstriction on neural vascular endothelium [20].
Activation of Akt signaling pathway results in activation of antiapoptotic factors such as eNOS, p70S6K and also the inhibition of pro-apoptotic factors such as caspase, BIM, BAD and BAX [43]. EPO has been reported to protect acute neuronal injury through the phosphorylation of Akt, Bad, maintaining Δψm and nuclear neuronal DNA integrity and simultaneously inhibiting caspase-1, 3 and 8 activities [44]. In our study rhEPO pretreatment showed a protective effect by a decrease in caspase-3 activity, and the mechanism of inhibition is inferred to be through the modulation of pro-survival signaling pathway Akt. Evidence for this mechanism was confirmed by blocking the Akt pathway using WT and an increased in caspase-3 activity was observed and thus confirming that the effect is primarily due to phosphorylation of Akt.
Previous studies have shown HPC (Hypoxic Preconditioning) induced neuroprotection in cerebral ischemic injury is through the phosphorylation of p38 MAPK pathway [45]. Evidence suggested that EPO and HPC target the same signaling pathway [46] and this is confirmed by blocking the EPOR during hypoxia, which results in reduced HPC-induced effects such as activation of caspase-3, increased expression of BCL-2 and cell survival [47]. Thus, the use of EPO as a “Chemical preconditioning” acts as an alternative to HPC for promoting cell survival in embryonic stem cells transplanted into the ischemic rat brain [46,48]. Our present data showed an increase in phosphorylation of p38 MAPK in rhEPO pretreated NCM confirmed the previous studies, that rhEPO protection against H/R in NCM through the phosphorylation of p38 MAPK. The phosphorylation of p38 MAPK was blocked with SB203580 (p38 MAPK inhibitor) and decreased caspase-3 activity.
One of the downstream targets of Akt is BCL-2-associated death promoter (BAD). BAD belongs to the BCL-2 family and it includes both anti-apoptotic proteins and pro-apoptotic protein. When Akt phosphorylates BAD, it forms the BAD-(14-3-3) protein homodimer and allows BCL-2 which is free to inhibit apoptosis triggered by BAX. BAD phosphorylation is anti-apoptotic, and dephosphorylation is pro-apoptotic [49].
CONCLUSION
In conclusion, we demonstrate that rhEPO prevents apoptosis and necrosis in NCM subjected to H/R injury through increased phosphorylation of Akt, BAD and p38 MAPK. Our study shows for the first time that rhEPO pretreatment maintains Δψm and decreases the production of ROS, caspase-3 activity and release of cytochrome-c from mitochondria into the cytosol in H/R-induced NCM. Thus, our observations support mechanistic evidence for the protective effect of the rhEPO in H/R-induced NCM cell death.
ACKNOWLEDGMENT
Financial support was provided by the Department of Science and Technology.
CONFLICTS OF INTERESTS
Declared none
REFERENCES
How to cite this article