
Department of Pharmacology, College of Health Sciences, Kwame Nkrumah University of Science and Technology (KNUST), Kumasi, Ghana
Email: cansah.pharm@knust.edu.gh
Received: 13 Aug 2015 Revised and Accepted: 30 Dec 2015
ABSTRACT
Objective:Dried Carica papaya (Caricaceae) leaves have been used in traditional medicine as a contraceptive. The objective of the present study was to evaluate the safety of the aqueous leaf extract of Carica papaya and study its effects on fertility in rats.
Methods:The aqueous extract of Carica papaya was administered as single doses to Sprague Dawley rats in an acute study. Animals were observed over a 24 h period for various signs of toxicity. In a separate experiment, the extract was administered to different groups of rats daily for 14 d in a sub-acute study. Animals were observed each day and sacrificed on the 15th day. Organs were then harvested for histopathology. Reproductive studies were also carried out in both male and female rats by administration of the extract at different doses. Markers for fertility were assessed in the rats by determination of fertility indices in the female and sperm analysis in the males. Hormonal assays were also performed.
Results:In the acute toxicity study, the LD50 (lethal dose) of the aqueous extract was above 5000 mg/kg with no signs of autonomic or other symptoms of toxicity. In the sub-acute study, treatment of rats with extract (10-500 mg/kg; p. o) for 14 d had no effect on the formed elements of blood or haemoglobin. However, the levels of alkaline phosphatase (AP), gamma glutamyl transferase (GGT) and bilirubin (BIL) increased dose-dependently, suggesting a possible damage to the hepato-billiary system. In the reproductive studies in adult male and female rats, administration of the aqueous leaf extract (10-500 mg/kg; p. o) for 14 d to male rats resulted in significant reduction in sperm count, sperm motility, sperm viability and testosterone. Transverse sections of testes exhibited mild to moderate atrophy. Treatment of female rats with the extract also showed reduction in fertility and increases in maternal mortality and embryolethality.
Conclusion:The study shows that the aqueous extract of Carica papaya has the potential to cause liver injury and adversely affect reproduction in rats.
Keywords;Carica papaya, Fertility, Toxicity, Sperm count, Testosterone
© 2016 The Authors. Published by Innovare Academic Sciences Pvt Ltd. This is an open access article under the CC BY license (http://creativecommons.org/licenses/by/4.0/)
INTRODUCTION
The World Health Organization (WHO) recognizes the potential of traditional medicine, particularly plant medicine as an important alternative to healthcare delivery for most of the world’s population [1]. The Ministry of Health of Ghana therefore advocates the use of medicinal plant preparations proven scientifically to be efficacious and safe. In Ghana and other West African countries, traditional medicine, especially from plant sources provide affordable medicines to the people [2]. Country health authorities are however obliged to ensure efficacy and safety of herbals before approval for use.
Carica papaya Linn. has been used for the management of several ailments in African and Asian ethnomedicine. In Ghana, the fruits are used to treat jaundice, kerosene poisoning and skin ulcers. The roots are used to treat urinary retention, dystocia, cough, pharyngitis and snake bite. The seeds are also used for amoebiasis, intestinal helminthiasis, pin worms, tape worm infestation and ascariasis [3]. In some parts of Asia, the leaves are chopped and eaten as spinach. Women in India, Bangladesh, Pakistan, Sri Lanka and other countries have long used green papaya as a traditional remedy for contraception and abortion [4]. It has been demonstrated scientifically that seeds of C. papaya possess contraceptive and abortifacient activities [4-6]. In Ghana, although undocumented, a cold infusion of the dried leaves is used as a contraceptive amongst women. Because of the wide spread use of the leaves of Carica papaya both as medicine and as a vegetable, there is the need to assess its effects on both male and female reproduction and its safety in general. Here, we report on the safety assessment in general and reproductive toxicity of Carica papaya leaves in rats.
MATERIALS AND METHODS
Plant material
The leaves of Carica papaya Linn. were obtained from the Kwame Nkrumah University of Science and Technology (KNUST), Kumasi, Ghana campus in November, 2011 and authenticated in the Department of Pharmacognosy of the University by Dr Kofi Annan. A voucher specimen has been deposited at the Herbarium of the Faculty of Pharmacy and Pharmaceutical Sciences, Kwame Nkrumah University of Science and Technology (KNUST), Kumasi with identification number KNUST/HM/01/lO39.
Plant preparation
The Carica papaya (pawpaw) leaves were air dried, crushed and ground into powder. The powdered leaves (600 g) were boiled for 30 min with 5 litres of distilled water. The mixture was decanted and filtered whilst hot. The filtrate was allowed to cool and concentrated in a rotary evaporator (reduced temperature and pressure). The solid mass obtained was dried (60 °C) in an oven. A yield of 9.2 % w/w was obtained.
Animals
All experiments were performed with Sprague-Dawley rats (150-200 g) obtained from Noguchi Memorial Institute for Medical Research in Legon, Accra, Ghana and kept at the Animal House facility of the Pharmacology Department, KNUST. The animals were allowed to acclimatize to the laboratory conditions (temperature 24-27 °C and 12 h light-dark cycle) for two weeks before commencement of experiments. They were fed with solid commercial pellet from Ghana Agro Food Company (GHAFCO), Tema, Ghana and allowed free access to water.
Prior approval for the experiments was obtained from the Ethical committee of the Faculty of Pharmacy and Pharmaceutical Sciences, College of Health Sciences, KNUST. All animals were handled in accordance with the National Institute of Health Guidelines for the Care and Use of Laboratory Animals (National Institute of Health (NIH), Department of Health and Human services publication no. 85-23, revised 1985).
Acute toxicity study of Carica papaya leaves in rats
Twenty-five (25) male Sprague-Dawley rats (180-250 g) were randomly assigned to one of five groups (n=5). The groups received either Carica papaya leaf extract (100, 1000, 3000 or 5000 mg/kg; p. o) or distilled water only. The animals were monitored closely for the next 24 h for any signs of toxicity including death, loss of hair, loss of appetite, yellowing of eyes and autonomic symptoms.
Sub-acute toxicity study of Carica papaya leaves in rats
Male Sprague-Dawley rats (180-250 g) were divided into five groups (n=5). The groups received (10-500 mg/kg; p. o) of the aqueous Carica papaya leaf extract daily for two weeks. The control group received distilled water only. The animals were monitored closely for signs of toxicity. At the end of the two-week period, the rats were sacrificed by cervical dislocation and blood samples were collected by cardiac puncture into EDTA tubes for haematological assessment using an automatic analyser (CELL-DYN 1700, Abbot Diagnostics Division, Abbot Laboratories, Abbot Park, IL, USA). For serum biochemistry, blood samples were collected into tubes without anticoagulant. After allowing the blood to clot, serum was separated by centrifugation at 10,000 rpm. Serum biochemistry was analyzed using an automatic analyser (Random Access Chemistry System ATAC 8000, elan diagnostics laboratories, Brea, CA, USA).
Selected organs including the spleen, liver, kidney, and testis were excised, trimmed of fat and connective tissue, blotted dry and weighed on a chemical balance. The relative weights of the organs were calculated.
Effects of Carica papaya leaf extract on female reproduction
Twenty-five (25) female Sprague-Dawley rats (170-190 g) were kept together for three weeks to help synchronize their estrus cycles. They were then weighed and grouped into five (n=5). Two male rats per group were introduced into each group for mating. The female rats were examined daily for the presence of sperm in the vaginal lavage fluid by observation under a microscope. Presence of sperm was indicated as gestation day 1 for the animal. The groups received either Carica papaya extract (10,100, 300 or 500 mg/kg; p. o) or distilled water daily throughout the gestation period. The length of gestation, fertility index, litter size and birth weight were noted and recorded for all the groups.
Table 1: Effect of 14-day treatment of aqueous leaf extract of Carica papaya on serum biochemical parameters in rats
Serum Biochemistry |
Carica papaya leaf extract (mg/kg) |
||||
0 |
10 |
100 |
300 |
500 |
|
AST |
206.7±9.48 |
199.0±8.40 |
211.2±6.08 |
221.+8±21.61 |
177.1±9.74 |
ALT |
65.6±3.76 |
68.2±5.45 |
70.7±1.31 |
74.8±7.70 |
67.4±5.53 |
ALP |
499.8±11.2 |
512.0±57.42 |
419.3±34.72 |
716.7±28.87** |
726.9±32.5*** |
GGT |
0.93±0.33 |
1.96±0.90 |
4.08±0.41 |
6.64±1.646** |
7.84±0.47** |
Indirect BIL |
0.33±0.09 |
0.58±0.04* |
0.91±0.08*** |
1.04±0.18*** |
0.97±0.06*** |
Direct BIL |
1.8±0.13 |
1.9±0.10 |
2.0±0.18 |
3.5±0.18*** |
4.0±0.67*** |
Total BIL |
1.6±0.08 |
2.0±0.12* |
1.96±0.10** |
2.4±0.15** |
3.3±0.12*** |
Protein |
71.9±0.90 |
76.9±0.92 |
75.8±1.42 |
78.6±1.10 |
80.4±2.03 |
Creatinine |
61.3±1.40 |
62.9±1.31 |
61.6±2.40 |
61.8±3.76 |
66.5±1.36 |
Urea |
9.7±0.68 |
10.1±0.37 |
10.5±1.00 |
8.4±0.82 |
9.3±0.66 |
Values are expressed as means±SEM (n=5). * indicates p<0.05, ** p<0.01, *** p<0.001 compared to the control
Effects of Carica papaya leaf extract on male reproduction
Male Sprague-Dawley rats (180-250 g) were divided into five groups (n=5). The groups received (10, 100, 300 or 500 mg/kg; p. o) of the aqueous extract daily for a period of two weeks. The control group received distilled water only. Blood samples were collected from each rat by cardiac puncture into plain bottles for hormonal assays after which the rats were euthanized to remove testes.
Semen collection and analysis
The left testis was removed along with its epididymis and fatty tissues trimmed off. The caudal epididymis was separated from the testis and lacerated to collect semen onto a microscope slide for sperm characteristic evaluation according to method described by Costa et al., [7]. Briefly, two drops of warm 2.9 % sodium citrate were added to the semen on the microscope slide and examined under the microscope for progressive sperm motility. Sperm viability was evaluated with the eosin-nigrosin stain technique. Semen was mixed with two drops of the stain. A thick smear was prepared and air-dried. The stained slides were examined under the microscope. Viable (live) sperm cells appeared unstained while the non-viable (dead) sperm absorbed the stain. The viable and non-viable sperm were counted and the percentage of each calculated. Caudal epididymis from the right testis was placed in a petri dish containing 10 ml of phosphate buffered saline (PBS) pre-warmed to 35-37 °C and split with surgical blade to open the epididymal duct to release its contents. The petri dish was then swirled to achieve a uniform sperm suspension from which a sperm count was carried out using the improved Neubauer haemocytometer. Total sperm concentration was calculated as described elsewhere [7].
Estimation of serum follicle stimulating hormone (FSH), luteinising hormone (LH) and testosterone
Serum FSH, LH and testosterone concentrations were estimated by the enzyme-linked immunosorbent assay (ELISA) using assay kits (Fortress Diagnostics Ltd., UK). Collected serum samples were stored at-20 °C until assayed. Assays were carried out as instructed by the manufacturer.
Histology
Testicular tissues of control and extract treated rats were removed and weighed, fixed in Bouin’s fluid for 6 h before transferring into 10 % formalin for histological evaluation. After dehydration with varying percentages of ethanol, sections were cleared in xylene and embedded in molten wax. Thin sections were cut (5 μM), stained with haematoxylin and eosin, and then analysed microscopically.
Statistical analysis
Results are expressed as mean±SEM. The difference between the means was determined by one-way Analysis of Variance (ANOVA) followed by Newman-Keuls’s post-hoc test. P<0.05 was considered statistically significant.
RESULTS
Acute toxicity
The LD50 of aqueous leaf extract of Carica papaya in rats was estimated to be above 5,000 mg/kg. Based on the LD50, the maximum dose for all other experiments was limited to 500 mg/kg. Treatment with different doses of the aqueous leaf extract of Carica papaya was well tolerated by all the animals as there were no toxic effects observed throughout the experiment. There were no deaths and apparent behavioural changes recorded during the course of the acute toxicity experiment in all treatment groups compared to the control group.
Sub-acute toxicity
The relative weights of the selected organs including the spleen, liver, kidney and testes did not change after treatment with the aqueous leaf extract of Carica papaya for two weeks. There were also no significant changes in haematological parameters after treatment with the aqueous extract. However, significant dose-dependent increases in serum gamma-glutamyl transpeptidase (GGT), alkaline phosphatase (ALP) and bilirubin were observed but not in total proteins, urea, creatinine, aspartate transaminase (AST) and alanine transaminase (ALT) (table 1).
Effects of Carica papaya leaf extract on male and female reproduction
Treatment of male rats with the extract did not affect the mating of females as observed in the mating index. However, the fertility of the female rats was significantly reduced as indicated by the fertility index, viability index with increases in maternal mortality and the number of dead foetuses (table 2). Viability index and fertility index decreased as maternal mortality and number of dead foetuses increased with increasing dose of the extract (table 2).
Effects of Carica papaya leaf extract on sperm numbers and quality
Treatment of male Sprague-Dawley rats with the aqueous extract of Carica papaya dose-dependently reduced epididymal sperm motility and viability (fig. 1). Significant reduction of sperm motility only occurred at 500 mg/kg but a reduction in viability was significant at doses between 100 and 500 mg/kg. There was also dose-dependent reduction in epididymal sperm numbers, which was statistically significant at 100 and 500 mg/kg (fig. 2).

Fig. 1: Effects of aqueous Carica papaya leaf extract on sperm viability and motility in male rats. * indicates p<0.05, ** p<0.01, *** p<0.001
Table 2: Effect of aqueous leaf extract of Carica papaya on reproductive indices in female rats
Reproductive parameter |
Dose of Carica papaya leaf extract (mg/kg) |
|||||
0 |
10 |
100 |
300 |
500 |
||
Mating Index (%) |
100 |
100 |
100 |
100 |
100 |
|
Fertility Index (%) |
100 |
100 |
60 |
40 |
40 |
|
Viability index (%) |
100 |
100 |
100 |
88.89 |
80 |
|
Maternal mortality (%) |
0 |
0 |
0 |
20 |
40 |
|
No of Offspring |
31 |
30 |
21 |
9 |
10 |
|
Mean offspring/female |
5.40±0.51 |
6.00±0.32 |
4.20±1.74 |
2.25±1.32 |
3.33±1.76 |
|
No of dead foetuses |
0 |
2 |
3 |
3 |
5 |
|
Offspring weight (g) |
1.70±0.03 |
1.55±0.01 |
1.55±0.01 |
1.61±0.02 |
1.52±0.01 |
|
Fertility index = number of male impregnating female rats/number of mated males’ × 100. Viability index = number of live pups on day 4 of postnatal life/number of live offspring born × 100

Fig. 2: Effect of aqueous Carica papaya leaf extract on epididymal sperm number in male rats. Results presented as mean+SEM. * indicates p<0.05, ** p<0.01, *** p<0.001
Effects of Carica papaya leaf extract on serum follicle stimulating hormone (FSH), luteinising hormone (LH) and testosterone
In the hormonal assays, FSH and testosterone reduced significantly with extract treatment in male rat serum. Decreases in testosterone occurred at much lower doses than FSH (fig. 3 & 4) Interestingly, LH levels did not change with treatment (results not shown).

Fig. 3: Effect of Carica papaya leaf extract on the serum levels of FSH in male rats. Results presented as mean+SEM. *** indicates p<0.001
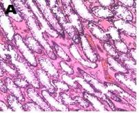
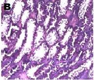
Histoarchitecture of the testes
Histoarchitecture of the testes of treated animals showed mild to moderate atrophy and altered spermatogenesis (fig. 5). These were characterized by a reduction in the size of the seminiferous tubules and a decreased number of interstitial cells accompanied by spermatogenic arrest at high doses of the extract (fig. 5). The observations were in agreement with the reduced sperm numbers recorded.

Fig. 4: Effect of Carica papaya leaf extract on the serum levels of testosterone in male rats. Results presented as mean+SEM. * indicates p<0.05, ** p<0.01, *** p<0.001
DISCUSSION
The leaves of Carica papaya have been used in traditional medicine to manage several ailments with no reports of adverse effects. In agreement with the present study, it was generally well tolerated by the rats when given orally with no observable signs of toxicity or death. Food and water intake of the rats treated by the extract was comparable to those in the control group. The haematological parameters determined were similar in both the treated and control group over the period of treatment, suggesting that the aqueous extract of Carica papaya evoked no adverse effects on the formed elements of blood.
The liver is involved in the biotransformation of xenobiotics and is a principal target of toxicity for xenobiotics. Increase in liver enzymes such as AST, ALT, ALP and GGT is an indication of liver damage [8] as the tissue injury evokes the release of these enzymes into the serum [9].
The aminotransferases (ALT and AST) are therefore markers for liver cytolysis [10, 11]. These enzymes were not affected by treating rats with the aqueous extract of C. papaya leaves.
In a similar experiment to our present study, Nwiloh et al., [12] reported that treatment of rats with the aqueous leaf extract did not affect the levels of ALT and AST in agreement with our observations. They concluded from the results that the extract had no potential to cause hepatic damage. In that report however, the effect of the extract on other important markers of liver damage such as GGT, ALP and bilirubin was excluded. In our studies, we observed increases in GGT, ALP and bilirubin upon treatment of the extract in rats. Elevations in the levels of ALP following treatment with the extract as observed here may indicate a compromise in integrity of plasma membrane and endoplasmic reticulum [13-16] and is usually a characteristic finding in liver diseases [17]. For active liver disease, levels of GGT are also reported to be more sensitive than ALP.
The observed rise in GGT together with ALP following treatment with the extract suggests an altered integrity of liver cell membrane as well as cell lyses or death [18]. The significant increase in GGT may also be attributable to a defect in the biliary tract. Indeed, these findings were corroborated by the rise in direct bilirubin in the study in line with earlier reports [19]. The histopathological examination of the liver also revealed haemorrhage and inflammation in the portal tract, fatty changes as well as fibrosis (data not shown). Taken together, these observations suggest that the aqueous extract of Carica papaya has the potential to cause liver damage in rats.
|
|
|
|
|
|
Fig. 5: Photomicrograph (x40) showing histopathological profile of the testes of rat after 14 d treatment with varying doses of Carica papaya. A, B, C, D, E are control 10, 100, 300, 500 mg/kg of aqueous leaf extract of C. papaya respectively
Treatment with the extract resulted in reduced testosterone levels at all the doses. A decrease in testosterone results in a multiplicity of effects on male reproduction and accessory organs. These include reduced sperm numbers and atrophy of androgen dependent structures [20]. Reduced sperm motility and viability may be an indication of alterations in spermatogenesis [21]. Expectedly, the reduced testosterone was associated with reduced sperm numbers, motility and viability. As to whether the effects of the extract on male reproduction is due to direct inhibition of testosterone activity or indirectly mediated by the decrease in the gonadotrophin, FSH [22, 23] as observed in this study has yet to be established. FSH is essential for the stimulation of spermatogenesis. It acts synergistically with LH to enhance reproduction. In our study, the extract had no effect on LH. The present findings on the aqueous leaf extract of Carica papaya are similar to the report by Udoh et al., [24] where high dose Carica papaya seed extract showed hypertrophy of pituitary gonadotrophs (FSH and LH cells), degeneration of Sertoli and Leydig cells as well as germinal epithelium with reduced fertility in male rats.
Similarly, in female animals, it was clearly established that the extract had a profound effect on female fertility. Adebowale et al. [25] demonstrated contractile effects of crude papaya latex from the unripe or semi-ripe fruits on pregnant rat uterus. The contractile responses were characterized by tetanic spasms. Our studies on the aqueous leaf extract also showed reduced fertility evidenced by reduced fertility and viability indices and increased maternal mortality. The adverse effects observed in the female may be due in part to the action of the aqueous leaf extract on pre-or post-implantation foetal development or a direct effect on the pregnant uterus as observed by Adebowale and his co-workers [25].
CONCLUSION
In view of the present findings on the effect of the aqueous leaf extract on the liver and reproduction in rats, we suggest that caution should be taken in the use of the leaves of Carica papaya in the treatment of malaria and other ailments. The use of the leaf extract should also not be recommended in pregnant women and patients with hepatic dysfunction.
ACKNOWLEDGEMENT
The technical contribution of Mr. Thomas Ansah, the Chief Technician of the department of Pharmacology, Kwame Nkrumah University of Science and Technology, Kumasi, Ghana is appreciated.
CONFLICT OF INTERESTS
Declared none
REFERENCES