aDepartment of Biotechnology, Microbiology and Biochemistry, Mahajana Life Science Research Centre, SBRR Mahajana First Grade College, JL Puram, Affiliated to University of Mysore, Mysore 570012, Karnataka, India, bDepartment of Biotechnology, Sri Jayachamarajendra College of Engineering, JSS Institution Campus, Manasagangothri, Mysore 570006, Karnataka, India, cDepartment of Studies in Chemistry, University of Mysore, Manasagangotri, Mysore 570006, Karnataka, India,dToxinology/Toxicology and Drug Discovery Unit, Centre for Emerging Technologies (CET), Jain Global Campus, Jain University, Ramanagara 562112, Karnataka, India
Email: farhanzameeruom@gmail.com
Received: 18 Aug 2015 Revised and Accepted: 14 Sep 2015
ABSTRACT
Objective: India being the niche for Ayurveda, which caters therapy via herbal interventions in curing different human alignments. However, scientific evidence for their mechanistic functions is still unclear. The current study mainly aims to draw attention towards most widely available south Indian medicinal herbs which are been routinely used in many Ayurvedic preparations and to explore their phytochemical potential towards various bioactivities.
Methods: Herbal extracts obtained from 20 Indian medicinal plants were evaluated for their cytoprotectivity on erythrocytes and antioxidant properties. Total phenol content and anti-rhizopus activity were also determined.
Results: Out of 20 extracts evaluated, radical scavenging capacity and anti-rhizopus activity were observed in aqueous extract of Ocimum tenuiflorum, Leucas aspera, Terminalia arjuna, Glycyrrhiza glabra and Nyctanthes arbortristis in a dose dependent manner. The total phenolic content was observed to be 1289, 3837, 372, 2831 and 1892 μg GAE/g for O. tenuiflorum, L. aspera, T. arjuna, G. glabra and N. arbortristis respectively. The antioxidant activity correlates with the phenolic content of the extracts. At 1 mg/ml the above extracts showed 98% protection on erythrocyte cell oxidation.
Conclusion: The results demonstrate cytoprotectivity and antioxidant potency of these extracts could be the basis for their alleged health promoting potential. These herbs could serve as new sources of natural antioxidants or nutraceuticals with potential applications in reducing oxidative stress conditions.
Keywords: Herbal extracts, Cytoprotective, Antioxidant, Anti-rhizopus, DPPH, Oxidation.
INTRODUCTION
Many studies have established the relation between oxidative stress, cellular senescence, metabolic disorders and diseases [1]. In physiological and pathological pathways, reactive oxygen species can cause DNA mutation, protein oxidation and lipid peroxidation, contributing to the development of atherosclerosis, inflammation, neurodegenerative diseases, cataracts, cancer and aging [2]. Free radicals are generated during normal cellular metabolism and their effect is neutralized by antioxidant molecules present in the body. However, the balance between the oxidants and antioxidant molecules is disturbed by excess free radicals derived from exogenous sources like ozone, exposure to UV radiations and cigarette smoke [3]. A potent scavenger or quencher of these free radical species may serve as a possible preventive measure for free radical mediated diseases. There is growing concern over synthetic additives, such as butyl hydroxyanisole (BHA) and butyl hydroxy toluene (BHT), which have long been used to preserve food from oxidation [4, 5]. Therefore, there is interest in natural products and plant extracts as possible sources of free radical scavengers in form of food additives.
Fruits and vegetables get infected by pathogen during harvesting and packing. Rhizopus stolonifer is reported to cause food spoilage and decay in fruits, particularly peaches, strawberries, raspberries and grapes usually after harvest [6]. The post-harvest losses derived from rhizopus rot are fastly increased by the spread of the fungus to the adjacent fruits during ripening because the pathogen is not efficiently controlled by registered fungicides and treatments. In an attempt to reduce the use of chemicals as preservatives, due to the concern about human health and environmental pollution, new approaches are being developed such as the use of medicinal and aromatic plant extracts with antimicrobial and antifungal activities. In the present investigation, the protective effect of herbal extracts on free radical induced damage on erythrocytes was assessed along with 1,1-diphenyl-2-picrylhydrazyl (DPPH) radical scavenging ability. The total phenol content and anti-rhizopus potential was also determined.
MATERIALS AND METHODS
Chemicals
1,1-diphenyl-2-picrylhydrazyl (DPPH), ascorbic acid, and Butyl hydroxyanisole (BHA) were purchased from Hi Media Laboratories Pvt Ltd., Mumbai, India. Vanillin was purchased from Merck, India. All other chemicals and solvents were of analytical grade and purchased from common sources.
Plant materials and extraction
The plants were collected in the Northern and southern provinces in India. Plant materials (table 1) were authenticated at the Department of Studies in Botany, University of Mysore, Mysore. Each plant material was air dried in the dark and ground to powder thereafter. Around 5 g each of different parts of the plants was successively macerated at 4 °C for 24 h with 200 ml of water until exhaustion of the material. The aqueous extracts were separately lyophilized. Dry extracts were stored in glass vials at 4 °C until tested and analyzed.
Determination of total phenolic content
The total phenolic content of each of the herbal extracts was determined colorimetrically using the Folin-Ciocalteu method [1]. A sample aliquot of 100 μl was added to 900 μl of water, 5 ml of 0.2 N Folin-Ciocalteu reagent and 4 ml of saturated sodium carbonate solution (100 g/l). The absorbance was measured at 765 nm after incubation for 2 h at room temperature. The total phenolic content was expressed as gallic acid equivalent (GAE) in milligrams per gram sample.
DPPH radical scavenging assay
The effect of different herbal extracts on DPPH radical was estimated [1]. Herbal extracts (0-62.5 μg/ml) in 200 μl aliquot was mixed with 100 mM Tris-HCl buffer (800 μl, pH 7.4) and then added to 1 ml of 500 μM DPPH in ethanol (final concentration of 250 μM) and left to stand for 20 min at room temperature. The absorbance of the resulting solution was measured spectrophotometrically at 517 nm. The capacity to scavenge DPPH radical was calculated using the following equation: Scavenging effect (%) = [(Acontrol-Asample)/Acontrol] x 100 Where A=Absorbance
Cytoprotective studies of herbal extracts on erythrocytes
Erythrocytes were obtained from healthy consenting donors. Heparinised blood was centrifuged at 1000g for 15 min. After removal of plasma and buffy coat, the erythrocytes were washed thrice with PBS (20 mM, pH 7.4, NaCl–0.9%) at room temperature and re-suspended in PBS four times its volume for subsequent analysis [9].
Erythrocytes were incubated with aqueous extracts (1 mg/ml) for 5 min and then hydrogen peroxide (30 mM), ferric chloride (80 μM) and ascorbic acid (50 μM) were added and incubated at 37 °C for 1 h. The reaction mixture was gently shaken while being incubated. The morphology of erythrocytes was observed in an optical microscope.
Evaluation of antifungal activity
The fungus used in the assay was Rhizopus stolonifer and it was acquired from Microbial Type Culture Collection (MTCC 2189). R. stolonifer was grown on potato-dextrose agar (PDA) medium on Petri plates. The antifungal activity was evaluated by the method of mycelial growth [10]. Plants extracts were re-suspended in sterile eppendorff with DMSO and were added to sterile PDA medium. All extracts were assayed in a final concentration of 250 ppm.
Benzoic acid and BHA were used as positive controls at the same concentration. 5 mm of R. stolonifer mycelium (taken from a 5 d-old fungi culture) were inoculated in fresh medium containing DMSO (control), and in fresh medium containing DMSO plus plant extract. After incubation for 24 h at 25 °C in darkness, growth zones were measured and converted into the percentage of inhibition: [(Control–Treated)/Control) × 100].
Table 1: DPPH radical scavenging potential of herbal extracts
| S. ID | Taxon | Family | Part | IC50 (μg/ml) |
| 1 | Ocimum tenuiflorum | Lamiaceae | Leaf | 13.7±1.4 |
| 2 | Coleus forskohlii | Lamiaceae | Leaf | 58.4±4.6 |
| 3 | Asparagus racemosus | Asparagaceae | Root | 56.1±3.7 |
| 4 | Centella asiatica | Mackinlayaceae | Leaf | 41.1±1.3 |
| 5 | Andrographis paniculata | Acanthaceae | Leaf | 37.3±3.8 |
| 6 | Ocimum basilicum | Lamiaceae | Leaf | 27.1±1.3 |
| 7 | Ocimum gratissimum | Lamiaceae | Leaf | 37.8±1.3 |
| 8 | Coleus blumei | Lamiaceae | Leaf | 38.1±3.8 |
| 9 | Coleus solenostemon | Lamiaceae | Leaf | 158.5±1.3 |
| 10 | Leucas aspera | Lamiaceae | Leaf | 12.1±0.9 |
| 11 | Terminalia arjuna | Combretaceae | Bark | 19.0±0.7 |
| 12 | Acorus calamus | Acoraceae | Root | 57.0±1.4 |
| 13 | Glycyrrhiza glabra | Fabaceae | Root | 24.9±2.8 |
| 14 | Nyctanthes arbortristis | Oleaceae | Leaf | 14.1±0.3 |
| 15 | Emblica officinalis | Euphorbiaceae | Fruit | 616.4±0.9 |
| 16 | Terminalia bellerica | Combretaceae | Fruit | 63.1±2.2 |
| 17 | Terminalia chebula | Combretaceae | Fruit | 83.1±1.1 |
| 18 | Withania somnifera | Solanaceae | Root | 120.0±2.5 |
| 19 | Evolvulus alsinoides | Convolvulaceae | Leaf | 132±0.8 |
| 20 | Tridox procumbens | Asteraceae | Leaf | 89±0.8 |
| 21 | BHA | 17.5±1.9 | ||
| 22 | Ascorbic acid | 7.3±0.3 |
Table 2: Antifungal activity of herbs against R. Stolonifer
| Sample | Fungal growth inhibition (%) |
| 1 | 68.07 |
| 2 | 38.26 |
| 3 | 13.85 |
| 4 | 15.01 |
| 5 | 24.84 |
| 6 | 14.56 |
| 7 | 26.91 |
| 8 | 20.43 |
| 9 | 10.2 |
| 10 | 70.06 |
| 11 | 48.12 |
| 12 | 23.91 |
| 13 | 65.2 |
| 14 | 61.9 |
| 15 | 18.79 |
| 16 | 12.6 |
| 17 | 5.72 |
| 18 | 26.55 |
| 19 | 32.16 |
| 20 | 26.2 |
| Benzoic acid | 65.9 |
| BHA | 60.40 |

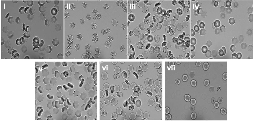
Fig. 1: Optical microscopic evaluation of the erythrocyte morphology. (i) Control–RBCs; (ii) RBCs plus oxidant; (iii) RBCs plus O. tenuiflorum extract; (iv) RBCs plus L. aspera extract; (v) RBCs plus T. arjuna extract; (vi) RBCs plus G. glabra extract; (vii) RBCs plus N. arbortristis extract at 50 μg/ml and oxidant after 1 h of incubation
Statistical analysis
All experiments were carried out in triplicates and data were shown as mean±standard deviation (SD). SPSS 10.0.5 version for windows (SPSS software Inc., USA) computer programme was used for statistical analysis. The significance of the study was assessed by one way ANOVA, followed by Post hoc comparison test. Correlations between quantitative properties were evaluated by calculating the Duncan and Dunnett’s coefficient. Statistical significance value set at p<0.05.
RESULTS AND DISCUSSION
In this study, the following was investigated in the selected plant extracts: total phenolic content, cytoprotection of human erythrocytes, DPPH radical scavenging activity and anti-rhizopus activity. The presence of phenolic compounds in herbal extracts has been previously reported [1, 3]. High total phenolic content was observed in aqueous extract O. tenuiflorum, L. aspera, T. arjuna, G. glabra and N. arbortristis (1289, 3837, 372, 2831 and 1892 μg GAE/g respectively) when compared to other plant extracts.
Quantitative antioxidant activity of herbal extracts was evaluated by DPPH radical scavenging [1]. DPPH scavenging model system indicated free radical scavenging ability of the herbal extracts (table 1). The aqueous extracts of O. tenuiflorum, L. aspera, T. arjuna, G. glabra and N. arbortristis showed highest free radical scavenging ability with IC50 of 13.74, 12.13,19.04, 24.9 and 14.14 μg/ml respectively. These results showed the potential electron donating ability of the selected plant aqueous extracts.
The results of cytoprotectivity on erythrocytes on oxidation as indicated in the optical micrographs (fig. 1) showed the protective ability of aqueous extracts of O. tenuiflorum, L. aspera, T. arjuna, G. glabra and N. arbortristis on erythrocyte membrane protection when compared to other plant extracts. Erythrocytes treated with hydrogen peroxide showed the appearance of echinocytes, indicating damage to the cell membrane. While in plant extracts treated samples, the presence of normal cells can be seen in addition to oxidized cells indicating the protective role of these herbal extracts. Cytoprotective ability of these plant extracts may be attributed to their polyphenolic components.
There are no reports of cytoprotective abilities of polyphenols in these herbal extracts. However, reports are available in the literature from other plant sources [11]. Erythrocytes have been extensively used to study oxidative stress, which represents a simple cell model. Oxidants produce alterations in the erythrocyte membrane as manifested by a decreased cytoskeletal protein content and production of high molecular weight proteins which leads to abnormal erythrocyte shape [12]. Hydrogen peroxide and ascorbate/Fe2+induce an echinocytic type of shape alteration, characterized by protuberances over the cell membrane (Fig.1 i-ii), indicative of oxidative damage. From our results (Fig.1 iii-vii), it is evident that aqueous extracts of some of the selected medicinal plants: O. tenuiflorum, L. aspera, T. arjuna, G. glabra and N. arbortristis were effective in bringing down the oxidative stress induced erythrocyte cell damage.
Antifungal potential of the herbal extracts was evaluated against R. stolonifer. All the twenty extracts showed varying degree of activity. Appreciable inhibition was observed in O. tenuiflorum, L. aspera, T. arjuna, G. glabra and N. arbortristis extracts (table 2). Although the genus Ocimum has frequently been used and the active constituents might be flavonoids [13]. Highest fungal inhibition was observed in Leucas aspera which studies have revealed the presence of phenolic compounds in its extract [1]. The correlation co-efficient between L. aspera total phenolic content and cytoprotective activity. This suggests the contribution of polyphenols in the plant extracts bioactivity.
The present work demonstrated the antioxidant, cytoprotective and anti-rhizopus activities of the selected plant extracts. The activities exhibited by some of the extracts could be the basis for their alleged health promoting potential. They could serve as new sources of natural antioxidants or nutraceuticals with potential applications in reducing oxidative stress conditions.
ACKNOWLEDGEMENT
FZ sincerely acknowledge Prof. Dr. KV Prabhakara, Principal, SBRRMFGC, the Management (MES), Director, Head of the Department of BtBM, PBMMPGC and University of Mysore for their inspiration and encouragement. Special thanks to Dr. Meghashri S for her scientific expertise and research inputs. DBL thank Jain University for the constant encouragement given to progress in research.
CONFLICT OF INTERESTS
The authors declare no conflict of interest
REFERENCES