
1Department of Botany and Microbiology, Acharya Nagarjuna University, Guntur 522510, Andhra Pradesh, India, 2Department of Biotechnology, Acharya Nagarjuna University, Guntur 522510, Andhra Pradesh, India
Email: drmangamuri@gmail.com
Received: 20 Aug 2015 Revised and Accepted: 03 Feb 2016
ABSTRACT
Objective: L-asparaginase has been a promising therapeutic agent in the treatment of acute lymphoblastic leukaemia. In the present study a rare actino bacterial strain Pseudonocardia endophytica VUK-10 isolated from Nizampatnam mangrove ecosystem was explored for the production of L-asparaginase.
Methods: The extracellular L-asparaginase enzyme was purified to homogeneity from the P. endophytica VUK-10 strain. The crude culture filtrate was subjected to different purification steps including ammonium sulphate fractionation followed by separation on Sephadex G-100 gel filtration and CM-Sephadex C-50 ion exchange chromatography to obtain a pure enzyme preparation.
Results: The enzyme was purified 96 fold and showed a final specific activity of 702.04 IU/mg with a 61% yield. Sodium dodecyl sulphate-polyacrylamide gel electrophoresis (SDS-PAGE) of the purified enzyme revealed its nature as single peptide chain with molecular weight of 120 kDa. This is the first report on production and purification of L-asparaginase from P. endophytica of mangrove origin.
Conclusion: The extracellular L-asparaginase of the P. endophytica may be effectively used as potential chemotherapeutic agent.
Keywords:Mangrove ecosystem, Pseudonocardia endophytica, L-asparaginase, Purification, SDS-PAGE
© 2016 The Authors. Published by Innovare Academic Sciences Pvt Ltd. This is an open access article under the CC BY license (http://creativecommons.org/licenses/by/4.0/)
INTRODUCTION
Bioactive natural compounds with potent pharmacological properties have been discovered from the marine microorganisms. of the marine microbes, actinomycetes have gained special status due to their potency in producing antibiotics and many clinically important bioactive secondary metabolites [1]. Studies with actinomycetes were mainly focussed on antibiotic production; only few reports dwelt with the potential therapeutic enzymes [2]. The pioneer observation that turned out to be important milestone for the development of L-asparaginase as a potential anti-neoplastic agent, used in the acute lymphoblastic leukaemia chemotherapy was made by Clementi [3]. The antitumor activity of L-asparaginase has been reported by Kidd [4] against tumour cells in mice and rats. The purification and tumour inhibitory activity of Escherichia coli L-asparaginase was reported by Mashburn and Wriston [5], while Peterson and Ciegler [6] detected the production of L-asparaginase by Erwinia aroideae NRRL B-138.
The enzyme L-asparaginase is a biodegradable anticancer agent that can be administered locally quite easily and acts on amino acid L-asparagine. Other agents used in the treatment are found to be quite painful and are expensive. Clinical studies currently report that this enzyme is a promising agent for the treatment of most of the neoplastic cell cancers in humans. The antineoplastic activity of L-asparaginase from Erwinia carotovora due to depletion of L-asparagine was reported by Lee et al. [7]. Influence of anaerobic conditions on the synthesis of L-asparaginase was reported by Cedar et al. [8] and the crystal structure of the enzyme was elucidated by Swain et al. [9]. The amino acid sequences of several different asparaginases have been reported including that of E. coli enzyme [10]. Maladkar et al.[11]. studied the fermentation conditions for the production of L-asparaginase by E. carotovora EC-113 and purified the enzyme by using chromatographic techniques.
The enzyme L-asparaginase is present in a number of bacteria, plants and animals but is not found in humans. The chemotherapeutic activity of L-asparaginase is due to its ability to convert L-asparagine to L-aspartic acid and ammonia [12, 13]. In the treatment of cancer, the function of L-asparaginase is to reduce the concentration of L-asparagine from serum by catalysing the breakdown, thereby reducing the concentration and depriving the tumour cells the availability of L-asparagine which is required in large quantity for their division [14] thus controlling the tumour growth effectively [15]. This is due to the fact that the tumour cells lack the ability to synthesize asparagine due to the absence of asparagine synthase so dependent of the exogenous supply of the asparagine for their survival. So depletion of L-asparagine concentration kills the leukemic cells. But the normal cells are less affected by the depletion due to their ability to synthesize asparagine.
Like bacteria, actinomycetes are also a good source for the production of L-asparaginase. However, very few reports are available on the L-asparaginase producing microbes from mangrove origin [16]. Anti-lymphoblastic leukaemia activity of L-asparaginase from actinomycetes has not been fully explored [17]. In addition the bacterial sources of L-asparaginase have been found to be responsible for many side effects such as hypersensitivity leading to allergic reactions and anaphylaxes. So there is an urgent need for use of safer, cost effective, new serologically different L-asparaginase with similar therapeutic properties [18-20]. As a part of our ongoing search for L-asparaginase producing strains, the strain VUK-10 exhibited positive response for L-asparaginase production. The present study describes the purification and characterization of extracellular L-asparaginase produced by VUK-10. To the best of our knowledge, this is the first report on production; purification and characterization of an extracellular L-asparaginase from a rare actinobacteria isolate P. endophytica VUK-10 isolated from Nizampatnam mangrove ecosystem, south-east coast of Andhra Pradesh, India.
MATERIALS AND METHODS
Microorganism, media and growth conditions for L-asparaginase production
Pseudonocardia endophytica was isolated from sediment samples of Nizampatnam mangrove ecosystem and the 16S r RNA gene sequence of the strain has been deposited in NCBI genbank with the accession number JN087501 [21]. The isolate was evaluated for the production of L-asparaginase by plate screening assay using M-9 medium and found positive on the basis of the pink zone around the colony. Quantitative estimation of enzyme activity was carried out using Asparagine glucose salts broth. The enzyme assay was performed according to the procedure described by Imada et al. [22].
The crude enzyme extract from the strain was obtained by growing it under optimal culture conditions like pH, temperature, carbon and nitrogen sources. The enzyme production was initiated after 24 h of growth and a gradual rise was noticed up to 96 h of incubation. The maximum production of enzyme was obtained at pH 8, temperature 30 °C after 96 h of incubation. Among the carbon and nitrogen sources tested, culture medium supplemented with maltose (1%) and L-asparagine (1%) exhibited optimal production of the enzyme. The enzyme yield before optimization was 3.96 IU which enhanced to 7.42 IU after optimization [23].
Purification of L-asparaginase
The purification of L-asparaginase from the crude extract was carried out at 4º C using the following steps.
Step 1-Ammonium sulphate precipitation
Finely powdered ammonium sulphate was added to the clear supernatant obtained after centrifugation and incubated overnight. Maximum L-asparaginase activity was observed with the fraction precipitated at 60–80% saturation. The precipitate was collected by centrifugation at 10000 rpm for 30 min and dissolved in minimal amount of 50 mM Tris–HCl buffer (pH 8.6). Undesirable molecules and ions of small size from high molecular weight particles like proteins, enzymes were removed by dialysis. The dialysis bag (15 kDa cut-off) was previously soaked in 50 mM Tris–HCl buffer (pH 8.6) and the resuspended precipitate was poured to the dialysis bag, sealed tightly and dialyzed against the same buffer for overnight at 4 °C. At each step, the enzyme activity and protein content of the culture filtrate were estimated.
Step 2-Sephadex G-100 gel filtration
The dialyzed fraction was loaded to a Sephadex G-100 column (45 × 1.5 cm), that was pre-equilibrated with 0.05M Tris-HCl buffer (pH 8.6). The column was washed with twice the column volume of 0.05 M Tris-HCL buffer (pH 8.6) to remove unbound proteins. The protein was eluted with 0.05M Tris-HCl (pH 8.4) buffer containing 0.1M KCl. A total of 30 fractions were collected at the flow rate of 5 ml/30 min. The enzyme activity and protein content of each fraction were estimated. Fractions showing high activity were pooled together, dialyzed against the 0.01 M Tris-HCl buffer (pH 8.0) and concentrated by lyophilization.
Step 3-CM-Sephadex C50 Ion Exchange chromatography
The purified fraction obtained from the previous step was applied to the column of CM-Sephadex C-50 (4.5 × 1.5 cm) that was pre-equilibrated with 50 mM Tris-HCl buffer pH 8.6. It was eluted with NaCl gradient (0.1-0.5 M) and 0.1 M borate buffer (pH 7.0) at a flow rate of 5 ml per 30 min. The fractions were collected and examined for L-asparaginase activity and protein content. The pooled active fractions were concentrated with lyophilizer and dialyzed against Tris–HCl buffer (50 mM, pH 8.6). This concentrated fraction was stored at-20 °C for further analysis.
Electrophoretic separation of purified L-asparaginase fraction
The purity of the enzyme preparation was checked by sodium dodecyl sulphate-polyacrylamide gel electrophoresis (SDS–PAGE) as suggested by Laemmli [24]. The lyophilized L-asparaginase fraction purified in Sephadex C50 filtration was subjected to SDS–PAGE to determine the molecular weight. After the completion of the process, the gel was taken out carefully and rinsed with distilled water to remove excess SDS and then stained with 0.25% Coomassie brilliant blue R-200 staining solution for overnight. Destaining of the gel was done for 20-30 min and then observed for the clear protein bands. The molecular weight of L-asparaginase was determined using standard medium range protein molecular weight markers (Bangalore Genei, India).
RESULTS
Purification of L-asparaginase from Pseudonocardia endophytica VUK-10 was carried out in three steps viz., ammonium sulphate precipitation, gel filtration and Ion exchange chromatography. The enzyme was precipitated with different ammonium sulphate saturation from 60 to 80 % and each precipitation step was monitored by using activity assay and SDS–PAGE. The results showed that 65% concentration of ammonium sulphate gave a precipitate rich in L-asparaginase activity. After fractionation with ammonium sulphate (65% saturation) and dialysis, the specific activity of L-asparaginase was increased from 7.31 to 24.54 IU/mg with 3.35 fold purification.
The dialyzed ammonium sulphate precipitate applied to Sephadex G-100 gel filtration column was eluted with 0.05M Tris-HCl (pH 8.4) buffer. The elution profile of Sephadex G-100 gel filtration chromatography is shown in fig. 1. The enzyme recovered from ammonium sulphate was fractionated into 1 major protein peak and 2 minor peaks. The protein in each fraction was monitored by measuring the optical density at 280 nm. All fractions which constituted a single peak (F 23-34) that showed good L-asparaginase activity were pooled together for dialysis and lyophilization. Total protein content decreased from 776.66 mg to 159.73 mg while specific activity of the L-asparaginase was found to be 103.03 IU/mg with a purification yeild of 72.73% and 14.09 fold achieved after gel filtration chromatography.
Fig. 1: Elution profile of L-asparaginase gel filtration chromatography. The dialyzed ammonium sulphate precipitate was chromatographed on Sephadex G-100. Total protein was monitored at 280 nm. The fractions were assayed for the enzyme activity
The lyophilized protein purified from gel filtration chromatography was further subjected to CM-Sephadex C50 ion exchange chromatography. The elution profile of a protein is shown in fig. 2. From the elution profile, it was observed that the enzyme was eluted in 11 fractions (16-26) constituting the single peak. These fractions were pooled, dialyzed and finally lyophilized. The specific activity of the purified L-asparaginase was found to be 702.04 IU/mg with 61% yield. Employing a three step purification protocol involving ammonium sulphate precipitation, Sephadex G-100 gel filtration chromatography and CM-Sephadex C-50 ion exchange chromatography, the L-asparaginase was purified to 96 fold over the activity present in the crude enzyme with 61 % yield. The summary of purification results is shown in table 1.
Fig. 2: Second CM-Sephadex C50 ion exchange chromatography of L-asparaginase. The first gel filtration G-100 collected fraction was applied to CM-Sephadex C50. Total protein was monitored at 280 nm and the fraction was assayed for L-asparaginase activity
Table 1: Sequential multi-step purification of L-asparaginase from Pseudonocardia endophytica VUK-10
Purification steps |
Collected volume (ml) |
Enzyme activity |
Total protein |
Specific activity |
Purification fold |
Yield (%) |
Crude Extract |
1000 |
22859.5 |
3124.6 |
7.31 |
- |
100 |
Ammonium sulphate precipitation |
300 |
19059.1 |
776.66 |
24.54 |
3.35 |
83.12 |
Sephadex G-100 filtration |
150 |
16458.0 |
159.73 |
103.03 |
14.09 |
72.73 |
CM Sephadex C-50 filtration |
50 |
13944.29 |
19.86 |
702.04 |
96.03 |
61 |
Determination of molecular weight
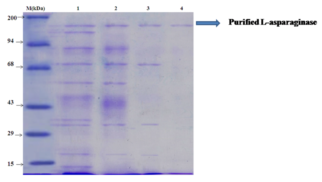
Protein fractions after each step of purification were analysed by SDS-PAGE as shown in the fig. 3. From the electrophoretic pattern, it is evident that the crude and ammonium sulphate fractionations contained many protein bands and were not properly resolved. Sephadex gel filtration chromatography showed four distinct protein bands, whereas CM-Sephadex C-50 chromatographic fraction showed a single protein band corresponding to the single peak of enzyme activity observed in gel filtration elution profile. It indicated that only a single distinctive protein band for the pure preparation of L-asparaginase with an apparent molecular weight of 120 kDa protein by comparison of the migration distances of standard marker proteins (BIORAD medium range of 15 to 200 kDa).
Fig. 3: SDS-PAGE analysis of L-asparaginase produced from Pseudonocardia endophytica VUK-10at various stages of purification. Separation was performed on a 10 % (w/v) SDS-polyacrylamide gel and stained with commassie brilliant blue. From left to right: lane M, molecular weight markers; lane 1, Crude enzyme extracts; lane 2, Partially purified protein by ammonium sulphate precipitation; lane 3, Partially purified L-asparaginase on Sephadex G-100 gel filtration chromatography; lane 4, Final purified L-asparaginase on CM-Sephadex C50 Ion exchange chromatography
DISCUSSION
L-asparaginase in combination with other agents has been a key therapeutic agent used in the treatment of acute lymphoblastic leukemia, acute myelocytic leukemia, acute myelomonocytic leukemia and chronic lymphocytic leukemia. Enzyme purification is a multi-step process which is necessary to study its structure, kinetics, mechanism, regulation and role in a complex system. Enzymes used for therapeutic purposes need to have a high degree of purity [25]. Extracellular L-asparaginases are better than intracellular as they can be produced abundantly in the normal conditions and purified accordingly [26]. The extracellular L-asparaginase of Pseudonocardia endophytica VUK-10 was purified by employing ammonium sulphate precipitation, Sephadex G-100 and CM-Sephadex C-50 gel filtration. The crude enzyme extract obtained from a 96h old culture was subjected to fractional ammonium sulphate precipitation (20-80%). Most of the enzyme activity was found in the precipitate. The specific activity of the enzyme precipitate purified through a Sephadex G-100 column was 103.03 IU/mg with a purity of 14.09 fold and the recovery was 72.73%. The active enzyme fractions were pooled and further purified by CM-Sephadex C-50 column chromatography. The purity of the enzyme was raised to 96 fold with 61% recovery. El-Bessoumy et al.[27] employed ammonium sulphate fractionization followed by separation on Sephadex G-100 gel filtration and CM-Sephadex C-50 for the isolation of L-asparaginase from Pseudomonas aeruginosa. Amena et al.[26] purified the extracellular L-asparaginase of Streptomyces gulbargensis up to 82.12 fold with 32 % recovery. L-asparaginase from Streptomyces albidoflavus has been purified in CM-Sephadex C-50 column up to 99.3 fold with 40% recovery [28]. L-asparaginase isolated from Streptomyces spp. PDK was purified by Dhevagi and Poorani [17] using ammonium sulphate purification, Sephadex G-50 and Sephadex G-200 gel filtration up to 85 fold. L-asparaginase isolated from Bacillus licheniformis RAM-8 was purified using ultrafiltration, DEAE cellulose chromatography and Sephadex G-100 gel filtration up to 30.17 fold with 32.95% recovery [29]. L-asparaginase isolated from Salinicoccus spp. M KJ997975 was purified by Bhat and Marar [25] using ammonium sulphate purification, Sephadex G-75 gel filtration and DEAE cellulose A-50 anion exchange column chromatography up to 64 fold.
In the present study, the homogeneity of purified L-asparaginase from Pseudonocardia endophytica checked by SDS-PAGE revealed a distinct protein band near 120 kDa. The molecular weight of L-asparaginase purified from Streptomyces albidoflavus using ammonium sulphate precipitation, Sephadex G-100 and CM-Sephadex G-50 filtration was found to be 116 kDa [28]. Dharmaraj [30] found that purified L-asparaginase from S. noursei exhibited a molecular weight of 102 kDa, while the molecular weights of L-asparaginase from S. tendae TK-VL_333, S. halstedii and B. licheniformis RAM-8 were found to be 97.4 kDa, 100 kDa and 134.8 kDa [31, 32, 29].
CONCLUSION
The present study revealed that actinomycetes isolated from mangrove sediments can provide a rich source of L-asparaginase. The molecular weight of purified L-asparaginase of the strainwas found as 120 kDa and this is the first report of L-asparaginase production and purification from a rare actinomycetes strain P. endophytica. However, further investigation is required to evaluate the anti-neoplastic activity of extracellular L-asparaginase, which may be effectively used as a promising potential therapeutic agent.
CONFLICT OF INTERESTS
Declared none
REFERENCES