
Biotechnology Programme, Faculty Science and Natural Resources, Universiti Malaysia Sabah, 88400 Kota Kinabalu, Sabah, Malaysia
Email: nkwong@ums.edu.my
Received: 21 Aug 2015 Revised and Accepted: 18 Feb 2016
ABSTRACT
Objective: The current study aims to compare the therapeutic potential of protein extracts and secondary metabolites extracts using methanol, ethyl acetate and hexane from both the fruits and seeds of Carica papaya.
Methods: All of the crude proteins and secondary metabolite fractions extracted from the fruits and seeds of Carica papaya were assessed and compared in DPPH free-radical scavenging assay for antioxidant activities and brine shrimp lethality assay for cytotoxic potentials. Protein content was quantified by Bradford assay while total phenolic and flavonoids contents were determined by Folin-Ciocalteu and aluminum chloride colorimetric methods accordingly. Bioactive protein molecules and secondary metabolite fractions were then characterized and analyzed in SDS-PAGE and silica thin layer chromatography respectively.
Results: Evidence demonstrated that the secondary metabolite extracts of ethyl acetate fraction of the seeds of Carica papaya have the highest antioxidant activity (IC50 value of 25.97 µg/ml) as well as cytotoxicity activity (LC50 value of 142.27 µg/ml) in comparison to other crude proteins, methanol or hexane extracts. Notably, crude protein from fruits possesses relatively high antioxidant (IC50 value of 34.62 µg/ml) and cytotoxicity (LC50 value of 222.52 µg/ml) activities. The presence of bioactive phenolic and flavonoid in crude secondary metabolite extracts and bioactive protein molecules in crude protein extracts confer the high antioxidant capacity and cytotoxic potential of Carica papaya.
Conclusion: This study proved that the crude protein from fruits and ethyl acetate fraction from seeds and fruits of Carica papaya have great potential to be further developed into therapeutic drugs in future.
Keywords: Carica papaya, Antioxidant, Cytotoxicity, Crude fruit protein, Phenolic, Flavonoid
© 2016 The Authors. Published by Innovare Academic Sciences Pvt Ltd. This is an open access article under the CC BY license (http://creativecommons.org/licenses/by/4.0/)
INTRODUCTION
Plants contain highly valuable and readily available bioactive compounds. In fact, they can be broadly differentiated into primary and secondary metabolites. Primary metabolites such as carbohydrates, proteins and nucleotides are necessary for development and growth of plant [1]. Proteins are immediate gene products that are imperative nutrients for growth and play vital functions in essentially all biological processes [2, 3]. They are large molecules that composed of long chains of subunits named amino acids [4]. Meanwhile, secondary metabolites are usually biosynthesized via the joint action of many gene products and required for specific functions like protection against herbivores and pathogens. In general, they are classified into three main groups such as terpenes, nitrogen-containing compounds and phenolics compounds [2, 5].
Noteworthy, bioactive compounds purified from plants have been employed as therapeutics for many diseases. Recently, plant crude protein has drawn considerable attention worldwide as many researchers have claimed the therapeutics potential of plants bearing macromolecules [6, 7].
The previous study has shown that plant-derived proteins possess anticancer activity against human tumor cell lines. A protein fraction from Lactuca sativa exhibited a potent and selective anticancer activity against HepG2 (human hepatocellular liver carcinoma cell line) [8]. As reported by Hew et al. (2013), proteins extracted from Gynura procumbens can be a potential chemotherapeutic agent for breast cancer treatment as the active protein fraction was found to inhibit the growth of MDA-MB-231 (breast cancer cell line) [6]. Crude protein extracts of Helicteres isora dried fruit showed significant cytotoxicity activity against human lung cancer cells and antioxidant activity against ROS (reactive oxygen species) [9]. Besides, therapeutic properties of crude protein extract from seed extracts of Allium ascolinicum was illustrated with strong antibacterial activity against Proteus vulgaris, Escherichia coli and Staphylococcus aures [7]. Purified protein extracts from Calotropis procera possess therapeutic potency as it showed wound-healing property against bacterial infections [10].
Carica papaya is the only fruit tree among the other three genera in Caricaceae family [11]. It is widely cultivated in tropical and sub-tropical countries [12]. Numerous studies have reported the therapeutic properties on secondary metabolites from natural resources [15]. Bioactive compounds in this natural medicinal plant such as alkaloids, tannins, saponins, glycosides and phenols extracted by methanol showed significant antibacterial activity [13]. Quintal et al. (2011) reported that the presence of alkaloids, flavonoids, and terpenes in the leaf extracted by ethanol demonstrated antifungal activity [14]. Moreover, Khor et al. (2014) and Zhou et al. (2011) have reported that ethyl acetate fraction from Carica papaya exhibited high antioxidant and cytotoxicity activities [16, 17].
However, the research in protein is still in scarce. In this regard, the aim of this study is to compare the therapeutic properties of Carica papaya’s protein and secondary metabolite extracts.
MATERIALS AND METHODS
Preparation of plant material
Fruits of Carica papaya were bought from a market in Kota Kinabalu, Sabah. After washing with tap water, the peels were removed and cut into half before the wet seeds of Carica papaya were separated out. They were gently rinsed twice with tap water.
Crude protein extraction
50 g of fresh papaya fruit and dried papaya seed were blended with 500 ml of 0.02 M (20 mM) phosphate buffered saline (PBS) at pH 7.4 for about 2 min. After that, they were stirred with a magnetic stirrer for 3 h at room temperature before filtered through Whatman No.1 filter paper. The filtrate was centrifuged at 10,000 xg for 20 min at 4 °C. Next, the supernatant (crude extract) was saturated to 60% by adding solid ammonium sulfate under constant gentle stirring before incubated in the refrigerator for 6 h. Then, the precipitate was collected by centrifugation at 10,000 xg for 20 min and further dissolved in 50 ml pre-chilled distilled water and dialyzed against distilled water for 24 h at 4 °C. Lastly, the clear supernatant was obtained after centrifugation at 10,000 xg for 10 min before subjected to freeze drying [18].
Crude secondary metabolites extraction and liquid-liquid fractionation
100 g of pulverized papaya fruit and seed were macerated in 1 l of pure methanol at room temperature for 24 h with constant shaking. The filtrate that passed through Whatman No.1 filter paper was then concentrated using rotary evaporator at 40 °C and stored at 4 °C. The crude methanol extract was suspended in 20 ml of distilled water and liquid-liquid extracted using hexane and ethyl acetate in a ratio of 1:1 in a sequential manner. Extraction was terminated when each organic layer was observed as colorless [19].
Bradford protein quantification assay
This method is adopted from Jones et al. (1989) with minor modification [20]. A stock solution of 200 µg/ml bovine serum albumins (BSA) was prepared. Then, different concentration of (0-100 µg) of BSA was prepared in tube 1 to tube 7. These concentrations were equivalent to 0, 50, 100, 200, 300, 400 and 500 µl of the volume of BSA standard. At the same time, 500 µl of sample protein was prepared. To each tube, 5000 µl of Bradford reagent was added and gently mixed with a vortex mixer. Blank solution was prepared by mixing 500 µl of distilled water and 5000 µl of Bradford reagent. The absorbance was measured at 595 nm. The preparation of BSA standard and sample protein was shown in table 1.
Table 1: Preparations of BSA standard and sample proteins
Tubes |
Volume of BSA/sample (μl) |
Volume of distilled water (μl) |
Volume of bradford reagent (μl) |
Standard 1 |
0 |
500 |
5000 |
Standard 2 |
50 |
450 |
5000 |
Standard 3 |
100 |
400 |
5000 |
Standard 4 |
200 |
300 |
5000 |
Standard 5 |
300 |
200 |
5000 |
Standard 6 |
400 |
100 |
5000 |
Standard 7 |
500 |
0 |
5000 |
Sample |
500 |
0 |
5000 |
Total phenolic content (TPC) assay
Samples were prepared in methanol at the concentration of 5 mg/ml. Next, 200 µl of sample was mixed with 1.5 ml of Folin-Ciocalteu reagent solution (10 folded with distilled water) and incubated at room temperature for 5 min. Then, 1.5 ml of sodium bicarbonate (60 g/l) was added to the mixture and again incubated at room temperature for 90 min. The samples were prepared in triplicate. The absorbance was measured at 725 nm [21].
Total flavonoid content (TFC) assay
Samples were prepared in methanol at the concentration of 5 mg/ml. Next, 500 µl of sample was mixed in a test tube containing 1.5 ml of methanol, 0.1 ml of 10% aluminum chloride, 0.1 ml of 1 M potassium acetate aqueous solution and 2.8 ml of distilled water. This mixture was incubated at room temperature for 30 min. The samples were prepared in triplicate. The absorbance was measured at 415 nm [22].
DPPH free-radical scavenging assay
This method was done based on the method reported by Ng et al. (2012). 0.2 mM of DPPH solution was prepared in methanol. Then, several concentrations (12.5–200 µg/ml) were prepared from the stock concentration of 1 mg/ml for each test sample. Next, 2 ml of each concentration of diluted sample solution was mixed with 0.5 ml of 0.2 mM DPPH solution and was shaken vigorously using vortex mixer prior to incubation in the dark at room temperature for 30 min. The samples were prepared in triplicate. The absorbance was measured at 517 nm.
The negative control contains water instead of test sample while positive control contains (12.5–200 µg/ml) ascorbic acid. A blank solution of crude protein sample contains 2.5 ml of methanol without DPPH while a blank solution of crude secondary metabolites sample contains 2 ml sample solution and 0.5 ml of methanol without DPPH [23].
Ac: the absorbance of the water, DPPH in methanol
Acb: the absorbance of the water, methanol without DPPH
As: the absorbance of the sample, DPPH in methanol
Asb: the absorbance of the sample, methanol without DPPH
Artemia salina (brine shrimp) lethality assay
This method was described by Sigaroodi et al. (2012) with minor modification. At first, 10 brine shrimps were transferred to a new plate and incubated with a total of 5 ml that contains the mixture of 4.5 ml new aerated seawater and 0.5 ml of sample extracts. Three different concentrations (10, 100 and 1000 µg/ml) of protein and secondary metabolites samples were prepared by dissolving in distilled water and 1% DMSO respectively. The samples were prepared in triplicate. 1% mercury chloride acts as positive control while 1% DMSO and distilled water act as a negative control.
In cases where the negative death occurred, the data was corrected using Abbott’s formula (% deaths = [(dead larvae in test–dead larvae in control)/survivors in control] x 100. The LC50 values were determined from the 24 h counts. The extract or isolated compounds were considered bioactive when LC50 value was lower than 30 µg/ml [24].
SDS-page
This method was based on Walker (2007) with minor changes. In gel preparation, 10% resolving gel was prepared by mixing the distilled water, 1.5 M Tris-HCl at pH 8.8, 10% (w/v) SDS, 30% acrylamide/bis solution, 10% (w/v) ammonium persulfate (APS) and TEMED. After resolving gel had polymerized, 4% stacking gel was prepared by mixing distilled water, 0.5 M Tris-HCl at pH 6.8, 10% (w/v) SDS, 30% acrylamide/bis solution, 10% (w/v) ammonium persulfate (APS) and TEMED. In sample preparation, 2X sample buffer was prepared by mixing 0.5 M Tris-HCl at pH 6.8, glycerol, 10% (w/v) SDS, 2-mercaptoethanol, and bromophenol blue and top up to 10 ml with distilled water. Meanwhile, 1X running buffer was prepared by mixing Tris, glycine and SDS into distilled water. 0.006 g of freeze-dried protein sample was reconstituted in 1 ml of 2X sample buffer prior to heating at 100 °C for 10 min. In gel electrophoresis, approximately 15 µl of 2X sample buffer containing protein sample was loaded into each well. 15 µl of protein molecular weight marker was used. Lastly, it was run at 100 V in stacking gel while 120 V in resolving gel [25].
Thin layer chromatography (TLC)
Ethyl acetate fraction of seeds from C. papaya which showed the maximum DPPH scavenging activity was dissolved in the extraction solvent before spotted on the silica coated aluminum TLC plate. Before that, TLC jar was closed for 5 to 15 min with TLC solvent containing hexane and ethyl acetate (1:1) and filter paper to aid equilibration. Then, the sample was spotted onto the TLC plate using a capillary tube with a diameter less than 1 mm. The TLC plate was placed in the beaker at one end of the slide immersed in the solvent prepared. It was eluted until the solvent migrates up to a few centimeters before reach the end of the plate. Lastly, the spot on the plate was visualized under short UV 254 nm [26].
Statistical analysis
All the experiments were conducted in three replicates. The results were expressed in mean±SD and data obtained was analyzed statistically by one-way ANOVA using SPSS software (SPSS 21, IBM). P values less than 0.05 were considered to be statistically significant.
RESULTS AND DISCUSSION
Extraction and collection of crude protein and secondary metabolite extracts
The percentage yield of crude protein extracts from either fruits or seeds is relatively lower as compared to crude secondary metabolite extracts. The yield of all extracts is shown in table 2. From the fruits of C. papaya, the yield of crude protein (0.11%) is much lower in comparison to crude methanol (25.60%), hexane fraction (24.61%) and ethyl acetate fraction (3.52%). Meanwhile, from the seeds of C. papaya, the yield of crude protein (0.23%) is about one fold higher than that from the fruits, yet it is still much lesser in yield as compared to crude methanol (5.2%), hexane fraction (3.85%) and ethyl acetate fraction (1.15%) (table 2). The percentage yield of both fruits and seeds of C. papaya are in the trend of crude methanol>hexane fraction>ethyl acetate>crude protein. Past finding showed that crude protein in papaya’s seed (25.1%) is higher as compared to papaya’s fruit (6.1%) [27]. As reported by Krishna et al. (2008) and Vij et al. (2014), protein yield derived from papaya fruit was approximately 0.6% [28, 29]. The observed variation might be due to extraction method. The present study adopted ammonium sulfate precipitation method to extract protein. In fact, Pavokovic et al. (2012) claimed that phenol extraction method gives higher protein yield [30].
In fact, more than 300 000 secondary metabolites derived from primary metabolites can be produced in plants [31]. An effective solvent such as 70% methanol, ethyl acetate, and hexane are those widely used solvents for secondary metabolite extractions. This resulted in a relatively higher yield of crude secondary metabolites extracts in comparison to crude protein extracts, as what was observed in the present study.
Table 2: Yield percentages of crude proteins and secondary metabolite extracts of Carica papaya
Sample |
Extracts |
Symbol |
Initial dried weight (g) |
Final dried weight (g) |
Yield percentage (%) |
Fruit |
Crude protein Crude methanol Hexane fraction Ethyl acetate fraction |
FCP FCM FHF FEAF |
50 100 25.6 25.6 |
0.0525 25.6 6.3 0.9 |
0.11 25.6 24.61 3.52 |
Seed |
Crude protein Crude methanol Hexane fraction Ethyl acetate fraction |
SCP SCM SHF SEAF |
50 100 5.2 5.2 |
0.11667 5.2 0.2 0.06 |
0.23 5.2 3.85 1.15 |
Quantitative determination of crude proteins and secondary metabolite extracts
Quantification of crude proteins and secondary metabolites is shown in table 3. From the Bradford assay, the crude protein concentration from seeds (188.81±4.80 µg/ml) is more than 10 fold as compared to crude protein concentration (17.11±2.14 µg/ml) from fruits of C. papaya. On the other hand, FEAF contains the highest total phenolic content (1979.67±126.93 µg/ml) whilst SHF showed to have the lowest total phenolic content (613.42±25.49 µg/ml). In a comparison of all secondary metabolite extracts, the total phenolic content was exhibited in a trend of FEAF>SEAF> FCM> SCM>FHF>SHF. The same goes for total flavonoid content; FEAF has demonstrated to contain the highest amount of flavonoid (1716.01±11.63 µg/ml) whilst SHF contains the lowest amount of flavonoid (412.35±5.57 µg/ml). The total flavonoid content was shown in a trend of FEAF>FCM>SEAF>FHF>SCM>SHF (table 3).
The observed discrepancy of crude protein concentration in seeds and fruits might be due to the physiological development phenomenon, in which the primary metabolites such as proteins act as the building block in plants will tend to concentrate in the seeds [32]. The result obtained from this present study was inconsistent with the literature.
Crude protein extracted from Prunus persica determined by Kjeldahi method demonstrated that the protein content in seed was higher than in fruit. The seed was reported to have a higher percentage of crude protein (2.7) as compared to fruit (0.6) when extracted from 0.25 to 0.50 g of samples [33]. On the other hand, Asha et al. (2013) have reported that the protein concentration in 0.5 mg of guava and lemon fruits was estimated to be 1.02 µg/ml and 0.20 µg/ml respectively, using Lowry method [34].
Antioxidant activity of DPPH free-radical scavenging assay
Throughout all the tested samples, crude protein extracts demonstrated relatively high antioxidant activity, as the IC50 value was relatively low comparing to others. IC50 value of FCP (34.62±2.72 µg/ml) shows that FCP is 2 fold stronger as an antioxidant in comparison to SCP with its IC50 value of 70.13±7.71 µg/ml. It is very interesting that FCP showed higher antioxidant activity though its protein concentration is significantly lower than that of SCP.
For the secondary metabolites extracts, SEAF shows to have the lowest IC50 value (25.97±0.30 µg/ml) followed by FEAF (30.61±0.27 µg/ml) and FCP (34.62±2.72 µg/ml). SHF was observed to have the highest IC50 value (143.11±3.22 µg/ml).
However, one-way ANOVA showed that there is no significant difference (P>0.05) between SEAF, FEAF and FCP. It is worth noting that the antioxidant capability of SEAF, FEAF and FCP is comparable to the standard control ascorbic acid (IC50 value 25.09±2.13 µg/ml), indicating a very strong antioxidant potential (table 4 & fig. 1). Comparison of all extracts, the IC50 value was demonstrated in a trend of SEAF<FEAF<FCP<FCM<SCP<SCM<FHF<SHF. Overall, the fruits of C. papaya have stronger antioxidant activity than that of the seeds.
The previous study showed that protein extract of Leucas linifolia possesses good antioxidant activity with IC50 value of 175 µg/ml [35]. Furthermore, a study from Boonmee et al. (2011) reported that crude protein extract from Curcuma comosa Roxb which is an Thai indigenous herb possesses antioxidant capacity [36]. The presence of antioxidant proteins such as ascorbic peroxidase, dehydro ascorbate reductase, and beta-carotene hydroxylase are responsible for the observed high antioxidant activity [37].
Table 3: Quantification of crude protein and secondary metabolite extracts of Carica papaya
Sample |
Extracts |
Symbol |
Protein concentration (µg/ml) |
Protein recovery (%) |
Total phenolic content (mg GAE/100 g) |
Total flavonoid content (mg QE/100 g) |
Fruit |
Crude protein Crude methanol Hexane fraction Ethyl acetate fraction |
FCP FCM FHF FEAF |
17.11±2.14 - - - |
1.62±0.43 - - - |
- 1255.64±103.06 815.97±20.52 1979.67±126.93 |
- 818.78±2.58 617.34±4.42 1716.01±11.63 |
Seed |
Crude protein Crude methanol Hexane fraction Ethyl acetate fraction |
SCP SCM SHF SEAF |
188.81±4.80 - - - |
8.09±0.24 - - - |
- 980.45±30.26 613.42±25.49 1972.42±125.98 |
- 449.79±1.53 412.35±5.57 685.08±2.54 |
Values are means±SD of three replicates (n=3)
Table 4: IC50 value (µg/ml) of crude protein and secondary metabolite extracts of Carica papaya as compared with ascorbic acid
Sample |
Extracts |
Symbol |
IC50 value (µg/ml) |
Fruit |
Crude protein Crude methanol Hexane fraction Ethyl acetate fraction |
FCP FCM FHF FEAF |
34.62±2.72 65.62±1.33 78.51±0.83 30.61±0.27 |
Seed |
Crude protein Crude methanol Hexane fraction Ethyl acetate fraction |
SCP SCM SHF SEAF |
70.13±7.71 78.42±0.88 143.11±3.22 25.97±0.30 |
Standard |
Ascorbic acid |
AA |
25.09±2.13 |
Values are means±SD of three replicates (n=3)
Cytotoxicity activity of Artemia salina (brine shrimp) lethality assay
Table 5 shows the LC50 value (µg/ml) of all sample extracts. LC50 values that are lesser than 250 µg/ml resulted from crude extracts are indicative of significantly active as anticancer compounds and possess the potential for further investigation [38, 39, 40]. In the present study, three out of 8 samples were considered significantly active, they were SEAF (142.27±40.35 µg/ml), FEAF (163.96±76.77 µg/ml) and FCP (222.52±76.14 µg/ml) (table 5). One-way ANOVA showed that there was no significant difference (P>0.05) between the means of SEAF, FEAF and FCP, suggesting that these extracts are equally potent as cytotoxic compounds that are useful for anticancer. The trend of LC50 values (µg/ml) of all sample extracts is SEAF<FEAF<FCP<SHF<SCM<SCP<FCM<FHF, and only SEAF, FEAF and FCP are considered active. Overall, fruits showed higher cytotoxic activities than that of the seeds from C. papaya.
Giordani et al. (1991) has demonstrated antifungal properties of latex protein from Carica papaya exemplified in inhibiting the growth of Candida albicans [41]. Moreover, recent study from Taiwan showed that N-acetyl-D-galactosamine-specific lectin isolated from the seeds of Carica papaya showed anticancer properties. This novel sugar-binding proteins, lectin has been reported to detect tumor-associated antigens of malignant cells [42].
Table 5: LC50 value (µg/ml) of crude protein and secondary metabolite extracts of Carica papaya as compared with 1 % mercury chloride
Sample |
Extracts |
Symbol |
LC50 value (µg/ml) |
Fruit |
Crude protein Crude methanol Hexane fraction Ethyl acetate fraction |
FCP FCM FHF FEAF |
222.52±76.14 415.76±51.48 441.11±3.80 163.96±76.77 |
Seed |
Crude protein Crude methanol Hexane fraction Ethyl acetate fraction |
SCP SCM SHF SEAF |
385.71±44.27 374.86±42.38 357.26±47.56 142.27±40.35 |
Standard |
1% Mercury chloride |
MC |
2.95±0.63 |
Values are means±SD of three replicates (n=3)
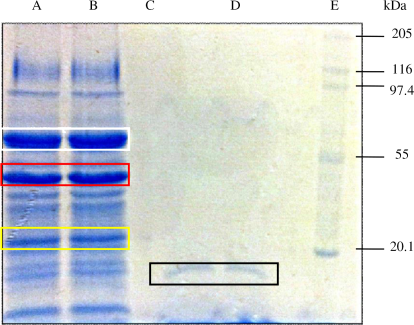
SDS-page analysis
Crude protein from the fruits and seeds of Carica papaya was determined and estimated in molecular weight by SDS-PAGE. It was achieved by protein lysate separation with 10% SDS gel followed by Coomassie blue staining. SCP has separated into 12 bands; 3 major and more intense bands with white, red and yellow bracketed and estimated with the molecular weight of 69.1 kDa, 50.3 kDa and 28.2 kDa respectively (fig. 1A & B). On the other hand, the only 1 band was observed in FCP and bracketed in black and estimated with the molecular weight of 15.1 kDa (fig. 1C & D).
Intriguingly, the present study showed that there was only one band was observed in FCP as compared to about 12 bands in SCP. The high protein content in the seeds of C. papaya corroborates with the recent study done by Nwofia et al. (2012) in which the protein in seeds was reported to be more than 2 times higher than that of in the fruits from C. papaya [43]. Interestingly, the only one band shared between papaya’s fruit and the seed was presumed as enzyme papain. The literature review showed that fruits and seeds of papaya contain the super enzyme papain with the molecular weight of 23.5 kDa [11, 44]. The variation in the molecular weight of the band observed in the present study and enzyme papain can be probably due to the procedure used in the preparation [45]. It explained that the incomplete unreduced disulfide bonds or disrupted secondary structure of a protein cannot unfold to its full length. Therefore, the protein would tend to migrate faster than expected in SDS gel [46]. As a result, it was presumed that the estimation in molecular weight of papain (15.1 kDa) in this study is less than 23.5 kDa was due to the fact that papain is incompletely reduced and resulting in a lower molecular weight observation in SDS-PAGE.
Fig. 1: SDS-PAGE separation of crude protein from the fruits and seeds of Carica papaya. Bands A&B: crude protein from seeds (SCP); Bands C&D: crude protein from fruits (FCP); Band E: Sigma protein wide range marker S8445
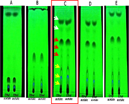
Thin Layer Chromatography (TLC) analysis
Therapeutic potential of bioactive compounds in SEAF was determined and estimated by thin layer chromatography. TLC plate was developed in a different ratio of solvent (hexane: ethyl acetate) of A)75: 25; B)50: 50; C)20: 80; D)16.7: 83.3; E)14.3: 85.7 and visualized at short UV-254 nm (fig. 2).
Fig. 2: TLC chromatograms of the ethyl acetate fraction of crude methanol extract from the seeds of Carica papaya in the ratio of solvent hexane: ethyl acetate; A) 75:25; B) 50:50; C) 20:80, D) 16.7:83.3; E) 14.3:85.7
The best separation was observed at solvent ratio hexane: ethyl acetate 20:80 (fig. 2C). The separation demonstrated that two non-polar compounds were eluted to the most upper part of TLC plate, three moderately polar compounds were moderately eluted to the middle part of the TLC plate, and three polar compounds were eluted the least which stay at the bottom of TLC plate (fig. 2C). These polar compounds, presumably most likely are phenolic compounds such as p-hydroxybenzoic acid and vanillic acid that were isolated from SEAF of papaya and possessed significant antioxidant activity [17]. As reported by Agostini-Costa et al. (2012), phenolic acids and flavonoids were eluted in the adopted solvent system of hexane: ethyl acetate = 1: 1 [40].
CONCLUSION
This study proved that crude proteins from fruits (FCP) and ethyl acetate fraction from seeds and fruits (SEAF and FEAF) of Carica papaya displayed very strong antioxidant and potential cytotoxicity activity as compared to other extracts, of which their antioxidant activity is in the equivalent capacity as standard ascorbic acid. Ethyl acetate has shown to be the best secondary metabolites extraction solvent for antioxidant and bioactive cytotoxic compounds from fruits and seeds of C. papaya. Remarkably, though SEAF, FEAF and FCP exhibited slight different in their IC50 and LC50 values, they are statistically no significant difference (p>0.05) in their strong antioxidant and cytotoxicity activity. In conclusion, both protein, and secondary metabolites extracts are therapeutically important.
CONFLICT OF INTERESTS
Declare none
REFERENCES