
1Graduate Program, Faculty of Pharmacy, Airlangga University, Surabaya Indonesia, 2,3Departement of Pharmacognosy and Phytochemistry, Faculty of Pharmacy, Airlangga University, Surabaya Indonesia
Email: roihatulmutiah@gmail.com
Received: 22 Sep 2015 Revised and Accepted: 08 Nov 2016
ABSTRACT
Objectives: This paper sought to understand and determine the cytotoxic’s effects of crude extract and its fraction from Calotropis gigantea leaves on human colon cancer WiDr cell lines.
Methods: The ethanolic extract was fractionated gradually with certain substances to yield four fractions. The substances were dichloromethane, ethyl acetate, and butanol. The four fractions resulted in dichloromethane fraction, ethyl acetate fraction, butanol fraction, and a water fraction. These fractions were then investigated for their cytotoxic effects on WiDr cells. The cell viability was assessed using MTT colorimetric assay.
Results: The result indicated that the cytotoxic effects of the ethanolic extract (IC5048.5 μg/ml), ethyl acetate fraction (IC5041.79 μg/ml), and dichloromethane fraction (IC5040.57μg/ml) produced a much more potent effect than the butanol fraction (IC50 737.74 μg/ml) and water fraction (IC508493 μg/ml).
Conclusion: The ethanolic extract, ethyl acetate fraction and dichloromethane fraction exhibited a potent cytotoxic effect on human colon cancer WiDr cell line. The crude extract and fractions are potential to be developed as an anticancer agent in colon cancer therapy.
Keywords: Cytotoxic, Calotropis gigantea, WiDr cells, Colon cancer.
© 2017 The Authors. Published by Innovare Academic Sciences Pvt Ltd. This is an open access article under the CC BY license (http://creativecommons.org/licenses/by/4. 0/)
DOI: http://dx.doi.org/10.22159/ijpps.2017v9i1.9022
INTRODUCTION
Cancer disease has developed into a serious problem of health because of its increasing occurrences year by year. World Health Organization (WHO) stated that there are more than 10 million cancer cases every year in the world. In the United States, colorectal cancer is reported to be the third most common cancer in both men and women. There were 106,480 cases of colon and 40,340 cases of rectal cancer had been founding 2012. In 2009, there were 50,830 deaths from colorectal cancer. These mortality cases were totaled in almost nine percent of all cancer deaths [1]. Despite advances in the management of this condition, such as improved surgical techniques, the use of chemo or radiotherapy has not significantly decreased cancer mortality rate in decades. These treatment methods have mostly been useful for early detection of cancer. However, they are not as effective in treating cancer cases in the metastasis stage. Cancer treatment failure, particularly through chemotherapy, can happen because of low selectivity of the cytotoxic and uncertainty degree of the molecular targeted. Several studies have been conducted to shed light on the effects and functions of the cytotoxic agent from the medicinal plant as a means to prevent and treat colon cancer.
Calotropis gigantea (Apocynaceae) is a medicinal plant that are widely grown in Asia, especially in Indonesia, Bangladesh, China, Burma, Malaysia, Pakistan, Philippines, Thailand and Srilanka. The plant has been traditionally used for treating inflammation, abscess, scabies, cough, trachoma, constipation, asthma, toothache, gastritis, otitis media, and dysentery [2]. Previous studies investigated several pharmacological properties of this plant. For instance, the leaves of this plant were reported to be effective for anti-diarrhea treatment [3], antibacterial remedy [4], anticandida [5], and antioxidant agency [6]. The flowers were shown to be useful for antibacterial antidote [7], the cytotoxic agency [8], and analgesic procedure [9]. Roots were claimed to be potent for antipyretic conditioning [10], cytotoxic agency [8], antimicrobial treatment [11], insecticidal activity [12], wound healing activity [13], CNS activity [14], and pregnancy interceptive properties [15]. The latex of the plant exhibited to contain purgative properties and procoagulant agencies [16], effective within wound healing processes [17], and antimicrobial remedy [18]. The stem was also reported to possess hepatoprotective effects [19].
In Previous study Calotropis gigantea roots extract (IC50–3.3, 7.0 mg/ml), Coroglaucigenin (IC50–4.7, 14.1 mg/ml) and Frugoside (IC50–3.4, 6.5 mg/ml) showed significant activity against K562 and SGC-7901 cell lines [20]. Active compounds from roots that have been isolated are 19-dihydrocalactin (IC50-0.026 µM, 0.047 µM), calactin (IC50-0,022 µM, 0.028 µM), calotropin (IC50-0.029 µM, 0.046 µM) showed cytotoxic activity against human A549 and Hela cell lines [21]. In this study, we investigated the cytotoxic effects of fractions within the ethanolic extract of Calotropis gigantea leaves on colon cancer WiDr cell line.
MATERIALS AND METHODS
Materials
Calotropis gigantea leaves were collected and identified in Lembaga Ilmu Pengetahuan Indonesia (LIPI) Purwodadi, East Java, Indonesia. Materials collected for cytotoxic assay were identified as [3-(4, 5-dimetilthiazol-2-yl)-2, 5-diphenyl tetrazolium bromide] (MTT) (Sigma Chemical, St Loius, MO), H2O2 (Lab Vision Plus), chromogen 3, 3-diaminobenzidin (DAB) (Novo Castra).
Preparation of ethanolic extract and fractions of Calotropis gigantea
Dried powder of Calotropis gigantea was extracted using ethanol 70% with a ratio of 1:10 for 72 h. Then, the filtrate obtained was filtered while the sediment was re-extracted using ethanol 70% at a ratio of 1:8 for 72 h. The re-extraction was performed twice. The extract was then collected and evaporated under reduced pressure to give of viscous ethanolic extract. The extract was added with 100 ml aqua dest and then mixed to yield a liquid form of ethanolic extract. The extract was fractionated with dichloromethane at a ratio of 1:1 resulting in the dichloromethane fraction and residue. The residue then fractionated using ethyl acetate at a ratio of 1:1 and yielded in ethyl acetate fraction and residue. The residue was then fractionated using butanol at ratio 1:1 with the result of butanol fraction and residue. The residue was categorised as water fraction.

Fig. 1: Procedure for obtaining fractions of Calotropis gigantea leaves using ethanolic extract
Human colon cancer cell lines
Human colon cancer WiDr was kindly provided by Prof. Masashi Kawaichi, Nara Institute Science and Technology (NAIST). The cells were routinely grown in DMEM containing 10% FBS, 1% Penicillin-streptomycin (v/v), and L-glutamine (1 mmol) at 37 °C and 5% CO2.
Cytotoxic assay
The human colon cancer WiDr cell lines were cultured in 96-well plates (Becton Dickinson Co., NJ, USA), and each well contained the 5x103 cells. The culture cells were incubated in a humidified incubator at 37 °C in an atmosphere of 5% CO2 and 95% air for 24 h. The cell confluence or the crowding of cells in the plate was about 70-80%. After a 24-hour incubation, the culture medium was discarded. The cells were treated by Calotropis gigantea extract and fractions (within treatment groups) or the vehicle (control group), and then incubated for 24 h. The concentrations of the fraction were 1, 10, 100, 500 and 1000 μg/ml in DMEM. After incubation, the cells were incubated with 0.5 mg/ml MTT for 4 h in 37 °C. Viable cells reacted with MTT to produce purple formazan crystals. After 4 h, the stopper of 10% SDS (Sigma Co., St. louis, MO) in 0.01 N HCl (Merck) was added to dissolve the formazan crystal. The cells were then incubated for 24 h in room temperature and protected from light. After incubation, the cells were shaken, and cells absorbance was measured using ELISA reader at λ 595 nm.
Data analysis
The experimental data was the absorbance of each well, which was then converted to a percentage of the viable cells as described below.
Percentage of viable cells = [B-C/A-C] x100%.
A, B and C were absorbance of control group, treatment group and medium, respectively. The potency of cytotoxic effect was represented by IC50 value and calculated using probit analysis. IC50 value represents a concentration of the fractions that produce cells’ death of 50%. Calculation of IC50 values was based on a linear regression correlation between logarithms of concentration versus probit value of the percentage of cell viability.
Thin layer chromatography (TLC)
Detection and separation of active compound of crude extract and its fractions with TLC were carried out using silica gel F254 in stationary phase and chloroform: methanol (95:5 v/v) in the mobile phase.
Statistical analysis
All data were classified as mean±SD. One method of variance analysis (ANOVA) followed by the least significant difference (LSD) test was used for statistical analysis.
RESULTS AND DISCUSSION
In this study, Calotropis gigantea leaves were extracted using ethanol 70 % that can extract polar, semi-polar, and nonpolar compounds. Subsequently, the ethanolic extract was fractionated gradually with dichloromethane, ethyl acetate, and butanol and resulted in four fractions. These fractions were dichloromethane fraction, ethyl acetate fraction, butanol fraction, and a water fraction. The procedure to gain these fractions was described in fig. 1. This research sought to determine the impact of these fractions on WiDr cell line. The potency of cytotoxic effects of each fraction was then compared using IC50 values.

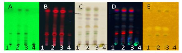
Fig. 2: TLC profile of ethanolic extract (1), dichloromethane fraction (2), ethyl acetate fraction (3), butanol fraction (4). Stationary phase: silika gel F254. Mobile phase: methanol: chloroform (95:5v/v). a: UV254, b: UV366, c: after spray with H2SO4 10%, d: UV366 after spray with H2SO4 10%; 105 °C, e: with Dragendorf reagent
Effect of ethanolic extract and fractions on WiDr colon cancer cell line
The potency test of ethanolic extract and fractions of Calotropis gigantea leaves was performed on WiDr cells as a model of human colon cancer. The concentrations of the extract used were 1, 10, 100, 500 and 1000 μg/ml. Cell viability was examined using MTT reagent after a 24 h incubation. Fig. 3 displays the effect of a series of concentration: ethanolic extract, dichloromethane fraction, and ethyl acetate fraction. These fractions were able to decrease the cell viability significantly (p<0.05) in a concentration-dependent manner. Butanol fraction and water fraction did not decrease the cell viability (p>0.05). IC50 value of ethanolic extract, dichloromethane fraction, ethyl acetate fraction, butanol fraction, and water fraction were 48.5 μg/ml, 40.57 μg/ml, 41.79 μg/ml, 737.74 μg/ml and 8493 μg/ml respectively (table 1). The findings indicate that dichloromethane and ethyl acetate fraction were more potent than the other fractions.
The TLC profile on fig. 2 shows that ethanolic extract, dichloromethane and etyl acetate fraction contained flavonoid and terpenoid compounds. Such compounds have been known to have an anticancer potency. Isorhamnetin-3-O-rutinoside, Isorhamnetin-3-O-Glucopyranoside, Taraxasteryl acetate are a flavonoid compound of C. gigantea leaves [22]. The leaves of C. gigantea contain a cardenolide glycoside compound. The compound consists of 12α–hydroxy coroglaucigenin, calotoxin/ calotropin, calotropagenin. Its coumpound demonstrated a cytotoxic potency against KB, MCF7 dan, NCI-H187cell lines [23]. Calotropin from Calotropis procera have been known to have cytotoxic potency against Leukemia K562 Cell lines by the mechanism of cell cycle regulations with inhibited G2 phase and caspase-3 activation [24].

Fig. 3: Effect of ethanolic extract, dichloromethane fraction (DCM), ethyl acetate fraction (EA), butanol fraction (BuOH) and water fraction of Calotropis gigantea on WiDr cell viability. Cells were incubated for 24 h with various concentrations of ethanolic extract. Cell proliferation was examined using MTT assay
Table 1: The IC50 value of cytotoxic of ethanolic extract and fractions of Calotropis gigantea leaves on human colon cancer WiDr cell
| Samples | IC50*(μg/ml)±SD |
| Ethanol extract | 48.50±2.39 |
| Dichloromethane fraction | 40.57±8.74 |
| Ethyl acetate Fraction | 41.79±8.48 |
| Butanol Fraction | 737.74±25.38 |
| Water Fraction | 8493±30.48 |
| Doxorubicin | 9.27±0.57 |
*Values are mean±SD of triplicates

Fig. 4: The cell morphology of ethanolic extract at a dose of 10 μg/ml (A), Doxorubicin at a dose 50 μg/ml (B), dichloromethane fraction at dose of 10 μg/ml (C), ethyl acetate fraction at a dose of 10 μg/ml and (D), butanol fraction at a dose of 10 μg/ml (E), and water fraction at a dose of 10 μg/ml (F). The cellular morphology of cell was examined under a microscope (x400). The result was obtained from one representative data of nine experiments that demonstrated a similar result. Each point represented the mean±SD of nine experiments
CONCLUSION
We concluded that ethanolic extract, dichloromethane fraction, and ethyl acetate fraction exhibited a potent cytotoxic on human colon cancer WiDr cell line. Thus, these extracts were potential to be developed as an anticancer agent in human colon cancer therapy.
ACKNOWLEDGEMENT
We deeply thank the DP2M DIKTI (Directorate of Higher Education) Ministry of Education, Indonesia, for their financial support through “HIBAH KERJASAMA PERGURUAN TINGGI (PEKERTI)” Research Grant in 2014 that made this study possible.
CONFLICTS OF INTERESTS
Declared none
REFERENCES
How to cite this article