
1Department of Otorhinolaryngology-Head and Neck Surgery, Faculty of Medicine, Universitas Sumatera Utara, Medan 20155, Indonesia, 2Department of Biochemistry, Faculty of Medicine,Universitas Brawijaya, Malang 65145, Indonesia, 3Department of Otorhinolaryngology-Head and Neck Surgery, Faculty of Medicine, Universitas Airlangga, Surabaya 60131, Indonesia
Email: teukusitihajarharyuna@gmail.com
Received: 04 Oct 2015 Revised and Accepted: 18 Nov 2015
ABSTRACT
Objective:To demonstrate curcumin as the safe and effective therapeutic agent in the prevention and treatment of oxidative damage in fibroblasts within the cochlear supporting tissues and lateral wall following noise exposure by neutralizing oxidative stress-inducing agents, such as malondialdehyde (MDA) and hydrogen peroxide (H2O2).
Methods:Twenty-four Rattus norvegicus were randomly divided into 4 groups (n = 6). Group 1: The control group; group 2: noise (+); group 3: noise (+), 50 mg/day curcumin (+); group 4: noise (+), 100 mg/day curcumin (+). All groups (except group 1) were subjected to 100 dB SPL for 2 h per day for 14 d. Curcumin used in this study was derived from Curcuma longa L. (Turmeric) with curcumin [28.1±1.0]% w/w compared to Standard and administered orally for 14 d. All samples were Immuno histo-chemistrically examined for the expressions of MDA in cochlear fibroblasts and colorimetrically examined for H2O2 levels in cochlear tissues using the colorimetric reader.
Results:The results obtained showed significant differences for the expressions of MDA (P<0.05) in all groups, and significant differences for H2O2 levels (P<0.05) in all groups, except in group 1 compared to 4 and group 3 compared to 4.
Conclusion:Curcumin proved to be potentially effective in the prevention and treatment of oxidative damage in fibroblasts within the cochlear supporting tissues and lateral wall following noise exposure by decreasing the expressions of MDA and H2O2 levels.
Keywords:Curcumin, Malondialdehyde, Hydrogen peroxide, Cochlea, Fibroblast, Antioxidant
© 2016 The Authors. Published by Innovare Academic Sciences Pvt Ltd. This is an open access article under the CC BY license (http://creativecommons.org/licenses/by/4.0/)
INTRODUCTION
Excessive noise exposure is one major avoidable cause of hearing disorders worldwide and considered as the growing problem of both developing and developed countries [1, 2]. In 2012, WHO estimated that there were 360 million people worldwide with the disabling hearing loss (over 5% of the world’s population) and a significant proportion (16%) of the disabling hearing loss in the adult population worldwide resulted from excessive noise exposure in the workplace [3].
The cochlear sustains a dramatic cellular injury and generates a variety of pathological consequences or structural changes to its various cells following noise overexposure, and all of these phenomena contribute to permanent noise-induced hearing loss (NIHL), which is the second most common form of acquired sensorineural hearing loss following an age-related hearing loss (presbyacusis). The classical features of NIHL at the cellular level include loss of sensory hair cells, damage to hair cell stereocilia, swelling of afferent dendrites and spiral ganglion neurons in Rosenthal’s canal, damage to inner hair cell-auditory nerve synapse, acute swelling of stria vascularis, reduced cochlear blood flow and loss of fibrocytes in spiral limbus and ligament [3, 4].
Numerous studies have advanced the understanding of underlying mechanisms of NIHL and suggested cochlear oxidative stress as a crucial mechanism of NIHL [3]. Animal models studies of NIHL suggest two routes of noise-exposed cochlear damage and one of them is metabolic damage via various biochemical pathways which converge and cumulatively prompt hair cell death [4]. Current theories of metabolic damage focus on oxidative stress, which includes excessive production of reactive oxygen species (ROS) and reactive nitrogen species (RNS) within the cochlea promoted by excessive noise exposure, provoking the activation of cell death pathways and hearing loss [3,4]. ROS, such as superoxide anion radical (O2•-), hydrogen peroxide (H2O2) and hydroxyl radical (HO•) are the hazardous by-products of cellular metabolism and normally detoxified by a variety of endogenous antioxidants naturally present in the body [5, 6]. ROS directly damage cell structures by reacting with proteins, lipids and DNA, thereby interrupting normal cellular functions and integrity [6, 7]. One of the greatest established endogenous markers of ROS action is the peroxidation of polyunsaturated fatty acids (PUFA) in the cell membrane. Malondialdehyde (MDA), one of its end-products, is an indicator of oxidative stress and it has been detected in the hair cells, supporting cells, spiral ganglion neurons and stria vascularis following noise trauma [8].
Since oxidative stress and antioxidative protective mechanisms are proposed as the most compelling issues in the development of NIHL [9], a great deal of research has been dedicated to discover antioxidant compounds that can neutralize ROS with the aim of preventing and/or treating damage to the cochlea. Several natural products derived from plants have been studied as potential therapeutic agents for various types of human illnesses [10]. Curcumin, a yellow pigment extracted from the rhizomes of Curcuma longa L., is a major component of turmeric originated from Asia and commonly used as a spice and food coloring agent [11].
Several studies have discovered that curcumin possesses broad biological functions, especially antioxidant and anti-inflammatory. It has been reported that curcumin is a bifunctional antioxidant (exerting antioxidant activity in a direct and an indirect way by scavenging ROS and inducing an up-regulation of various endogenous antioxidant, such as SOD, CAT and GPx) [10]. Its potent antioxidant properties contributed by the presence of both phenolic OH and CH2 groups in β-diketone moiety of this compound [11].
The role of curcumin in the prevention and treatment of noise-induced cochlear damage through its antioxidant effect against oxidative stress and the mechanisms involved in fibroblasts within the cochlear supporting tissues and the lateral wall has still never been observed. Thereby, in the present study, we explored the possibility of whether curcumin can prevent noise-induced cochlear injury as well as the molecular mechanisms of how curcumin protects fibroblasts within the cochlear supporting tissues and lateral wall from noise-induced oxidative stress using an animal model system based on its antioxidant effect. This present study was also conducted to demonstrate that higher dose of curcumin (100 mg/day) exerts a more beneficial effect to decrease oxidative stress in cochlear fibroblasts within the supporting tissues and lateral wall following noise exposure than low dose of curcumin (50 mg/day).
MATERIALS AND METHODS
This experimental study was conducted on Wistar strain white rats (Rattus norvegicus) with randomized posttest-only control group design and approved by Health Research Ethical Committee of North Sumatera c/o Medical School, Universitas Sumatera Utara. Noise-exposed groups were subjected to 1-10 kHz noise at 100 dB SPL for 2 h per day for 14 d. Curcumin administeredin this present study was derived from Curcuma longa L. (turmeric) with (28.1±1.0)% curcumin content compared to Standard. Twenty-four rats were randomly divided into 4 groups, where n = 6 for each group. Group 1 rats served as the control group. Group 2 rats were subjected to experimentally encountered noise-induced oxidative stress by exposing them to noise of 100 dB for 2 h per day for 14 d. Group 3 rats were exposed to noise of 100 dB for 2 h per day followed by the administration of 50 mg curcumin for 14 d. Group 4 rats were simultaneously exposed to noise of 100 dB for 2 h per day followed by the administration of 100 mg curcumin for 14 d.
All samples were immuno histo-chemistrically examined for the expressions of MDA in cochlear fibroblasts and colorimetrically examined for H2O2 levels in cochlear tissues using the colorimetric reader. The data collected were statistically analyzed by Analysis of Variance (ANOVA) using Statistical Analysis System (SAS) for Windows. The significance was taken as P = 0.05.
RESULTS
The expression of MDA and H2O2 level were found to be increased in the group exposed to noise of 100 dB for 2 h per day for 14 d (group 2) compared to other groups (group 1, 3 and 4). Curcumin decreased the expression of MDA and H2O2 level following noise exposure of 100 dB for 2 h per day for 14 d and they were found to be lower when treated with curcumin at a higher dose (100 mg) than the lower dose (50 mg) (table 1).
Table 1: The mean values of MDA expressions and H2O2 levels in all groups
Group (n = 6) |
Mean |
|
MDA (relative expression/field) |
H2O2 (pmol/ml) |
|
Group 1 |
4.67 |
7.08 |
Group 2 |
20.33 |
69.06 |
Group 3 |
14.67 |
30.37 |
Group 4 |
9.67 |
18.73 |
MDA: malondialdehyde; H2O2: hydrogen peroxide
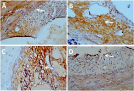
Malondialdehyde (MDA)

Fig. 1: The expression of MDA in each group (1000x zoom): (A) group 1; (B) group 2; (C) group 3; (D) group 4. The white arrow indicates the expression of MDA in cochlear fibroblasts marked by the brown color
After being evaluated immuno histo-chemistrically, fig. 1(D) showed less MDA-expressed fibroblasts compared to fig. 1(C). This result indicated that curcumin at higher dose suppressed more expressions of MDA compared to curcumin at lower dose.
Table 2: The results of ANOVA test for the expressions of MDA in all groups
Group (n = 6) |
Mean*±standard deviation |
Group 1 |
4.67d±1.63 |
Group 2 |
20.33a±1.97 |
Group 3 |
14.67b±3.14 |
Group 4 |
9.67c±4.71 |
*Means followed by the same letter are not significantly different at the α=0.05 level (comparison wise), using Fisher's LSD [12]
Data in table 2 showed significant differences for the expressions of MDA (P<0.05) in all groups. A dose of 100 mg curcumin per day for 14 d showed statistically significant decrease in the expression of MDA compared to a dose of 50 mg curcumin per day for 14 d (P<0.05).
Hydrogen peroxide (H2O2)
Table 3: The results of ANOVA test for H2O2 levels in all groups
Group (n = 6) |
Mean*±standard deviation |
Group 1 |
7.08c±0.96 |
Group 2 |
69.06a±32.99 |
Group 3 |
30.37b±4.94 |
Group 4 |
18.73bc±5.54 |
*Means followed by the same letter are not significantly different at the α=0.05 level (comparison wise), using Fisher's LSD [12]
Data in table 3 showed significant differences for H2O2 levels (P<0.05) in all groups, except in group 1 compared to group 4 and group 3 compared to group 4. A dose of 100 mg curcumin per day for 14 d showed statistically insignificant decrease in H2O2 level compared to a dose of 50 mg curcumin per day for 14 d (P>0.05).
DISCUSSION
The hair cells within cochlea are discovered to be highly energy demanding and oxygen consumptive. The electron transport chain in the mitochondria is thought to be a major source of ROS, such as superoxide anion radical (O2•-), hydrogen peroxide (H2O2) and hydroxyl radical (OH•) [13]. The energy demands an increase in the cochlea following noise overexposure. Consequently, more and more ROS is produced in higher quantities, and cochlear damage occurs when large scale production of ROS overwhelms endogenous antioxidant defenses, including superoxide dismutase (SOD), catalase (CAT) and glutathione peroxidase (GPx) [13, 14]. The increased production of superoxide anion radical (O2•-) may directly cause inflicting harm on the hair cells and/or increase the production of more hazardous ROS, including hydrogen peroxide (through a reaction catalyzed by SOD), hydroxyl radical (through Fenton and Haber-Weiss reactions) [13]. The previous study has shown that noise exposure induces reactive ROS generation in the cochlea as early as 1 hr post exposure to a secondary peak seen several hours post exposure, which persist for several days after noise trauma noise exposure. This leads to hair cell damage and death that continues for days after noise exposure [15]. Wong and Ryan (2015) also found that ROS were detected in the cochlear tissue immediately following noise exposure and observed to persist for 7-10 d after [16].
H2O2 level was found to be increased significantly in the cochlear tissues of the noise-exposed group (group 2) compared to control group (group 1) (P<0.05) in this present study. Hydrogen peroxide (H2O2) is a dangerous by-product of numerous normal metabolic processes and in order to prevent inflicting harm, it must be rapidly converted into other less harmful components [17]. CAT and GPx play a significant role in cellular antioxidant defense mechanisms by limiting the accumulation of hydrogen peroxide (H2O2). CAT rapidly catalyzes the decomposition of hydrogen peroxide (H2O2) into less reactive gaseous oxygen (O2) and water molecules (H2O) [17], while GPx converts hydrogen peroxide (H2O2) into two molecules of water (H2O) using glutathione as a substrate, thereby decreasing the participation of hydrogen peroxide (H2O2) in Fenton and Haber-Weiss reactions, which can lead to the formation of the highly reactive hydroxyl radicals (OH•) [18,19]. As a result of noise-mediated oxidative stress, the production of superoxide anion radicals (O2•-) as well as hydrogen peroxide (H2O2) would be overwhelming, due to the immediate conversion from superoxide anion radicals (O2•-) to hydrogen peroxide (H2O2) by SOD, resulting in the accumulation of hydrogen peroxide (H2O2). Consequently, CAT and GPx enzymes could not effectively compete with the accumulation of hydrogen peroxide (H2O2) and thereby unable to convert them into water (H2O) and oxygen (O2) completely.
The current trend of thought suggests control of ROS generation in NIHL by administration of single or multiple antioxidants may provide an effective therapeutic strategy [15], and in this present study, curcumin as the bifunctional antioxidant that eliminates free radicals,proved to be able to significantly decrease H2O2 level in cochlear tissue (P<0.05); and higher dose of curcumin (100 mg/day) (group 4) statistically exerted more H2O2 level-decreasing effect than low dose of curcumin (50 mg/day) (group 3). However, the decreased H2O2 level in group 3 was statistically insignificant compared to group 4 (P>0.05). It probably occurs because although CAT is highly efficient at reducing H2O2, it may not play a central role in scavenging ROS in the mitochondria since it is largely localized in subcellular organelles such as peroxisomes. Mitochondria and the endoplasmic reticulum contain little CAT. Thereby, if H2O2 concentration is too high, mitochondrial CAT enzymes are not capable of destroying all the wandering H2O2 compounds unless they diffuse into peroxisomes [20,21]. In this present study, albeit insignificant, curcumin does prevent H2O2 concentration from rising too high, thus it prevents the overwhelming production of hydrogen peroxide (H2O2) due to the immediate conversion from superoxide anion radicals (O2•-) by SOD as well as induces up-regulation of the activity and gene expression of CAT in order to catalyzing the conversion of hydrogen peroxide (H2O2), thereby limiting the accumulation of hydrogen peroxide (H2O2) and furthermore preventing the generation of the highly reactive hydroxyl radical (OH•).
The expression of MDA was found to be increased significantly in the cochlear fibroblasts of the noise-exposed group (group 2) compared to control group (group 1) (P<0.05) in this present study. The increased expression of MDA in the noise-exposed group was evoked by the increased levels of hydroxyl radical (OH•) due to the spontaneous reduction of hydrogen peroxide (H2O2) by free transition metal ions through Fenton and Haber-Weiss reactions, resulting in increased lipid peroxidation process directly to polyunsaturated fatty acids (PUFA) contained in the cell membranes. Lipid peroxidation is one of the most widely used indicators of free radical formation, a key indicator of oxidative stress. Measurement of lipid peroxidation has historically relied on the detection of thiobarbituric acid (TBA) reactive compounds such as malondialdehyde (MDA) generated from the decomposition of lipid peroxidation products [22].
Lipid peroxidation is a chain reaction initiated by the hydrogen abstraction or addition of an oxygen radical, leading to oxidative damage of PUFA. The end products of lipid peroxidation include the cytotoxic aldehydes, such as MDA and 4-hydroxyalkenal (4-HAE), that possess high reactivity to proteins and DNA, and hydrocarbon gasses such as ethane [23]. Similarly, Derekoy, et al. (2001) found that MDA levels were increased in rabbits after exposed to 100 dB SPL (sound pressure level) broadband noise for 1 hour. A study on textile workers demonstrated that MDA levels were significantly higher in workers compared to the controls [24]. Yildirim, et al. (2007) have showed that noise both causes hearing loss and increases oxidative stress suggesting that there may be a relationship between the oxidative stress and hearing loss [25]. Dehghani et al. (2013) discovered that MDA levels were significantly increased in Wistar albino rats after noise exposure (100 dB, 700-5700 Hz, 8 h/day for 8 d) [26].
In this present study, curcumin proved to be able to decrease the expression of MDA in cochlear fibroblasts (P<0.05); and higher dose of curcumin (100 mg/day) (group 4) statistically exerted more significant MDA expression-decreasing effect than low dose of curcumin (50 mg/day) (group 3) (P<0.05). Curcumin is able to reduce the accumulation of MDA due to lipid peroxidation by preventing the spontaneous reduction of hydrogen peroxide (H2O2) caused by free transition metal ions through Fenton and Haber-Weiss reactions, resulting in decreased lipid peroxidation process directly to PUFA contained in the cell membranes.
CONCLUSION
This present study indicates that curcumin is safe and effective therapeutic agent in the prevention and treatment of oxidative damage in fibroblasts within the cochlear supporting tissues and lateral wall following noise exposure by reducing the expressions of MDA and H2O2 levels. Moreover, it provides more insight into the mechanism of curcumin as an exogenous antioxidant against noise-induced oxidative stress and may serve as a scientific basis in the traditional systems of medicine for the management of NIHL in the future.
ACKNOWLEDGMENT
The authors are deeply indebted to Direktorat Jenderal Pendidikan Tinggi (DIKTI) and Lembaga Penelitian Universitas Sumatera Utara for the financial support; The authors also would like to thank Biochemistry Laboratory, Faculty of Medicine, Universitas Airlangga, Surabaya; Anatomic Pathology Laboratory, Faculty of Medicine, Dr. Soetomo General Hospital, Surabaya; Biochemistry Laboratory, Faculty of Medicine, Universitas Brawijaya, Malang, for providing equipment and scientific apparatus.
CONFLICT OF INTERESTS
The authors declare that there are no conflicts of interest
REFERENCES