
1,3,8,10Department of Pharmaceutical Sciences, Faculty of Pharmacy, Chiang Mai University, Chiang Mai, Thailand, 2Department of Pathobiology, Faculty of Science, Mahidol University, Bangkok, Thailand, 4Department of Biochemistry, Faculty of Medicine, Chiang Mai University, 5Thailand Institute of Scientific and Technological Research, Pathum Thani, Thailand, 6School of Medicine, Siam University, Thailand, 7Department of Biochemistry, Faculty of Medicine, Chiang Mai University, 9Health Innovation Institute, Chiang Mai, Thailand
Email: chaiyavat@gmail.com
Received: 26 Aug 2015 Revised and Accepted: 02 Nov 2015
ABSTRACT
Objective: The current study was conceived and performed to assess the pathophysiological, histological, and molecular manipulations of dextran sodium sulphate (DSS; MW: 5,000 Da) intervention in the rat and determined the changes in the antioxidant capacity of host and representative antioxidant enzymes.
Methods: Wistar rats were fed with two different concentrations (3 and 5%) of DSS for seven days and caged for another seven days. Then colon and serum samples were collected, and colitis induction was assessed by histochemical examination. The level of antioxidant enzymes were determined by spectroscopy methods, and gene regulations were evaluated by qPCR.
Results: The body mass of rat was gradually reduced to DSS intervention compared to naive control. The statistically significant level of reduction in the colon length has been recorded in DSS-treated rats (3% DSS-treated: 14.33±0.53 cm; 5% DSS-treated: 13.73±0.53 cm) compared to control (Control: 17.41±0.54 cm). The total histological scores of different study groups suggested that DSS causes the significant level of damages in rat colon. The antioxidant capacity of the host was significantly reduced in terms of trolox equivalence. About three-fold higher the amount of malondialdehyde was recorded in 5% DSS-treated group compared to control. The content of antioxidant enzymes were drastically reduced (1.4-2.7 fold) upon DSS exposure than naïve control. The expression of selected inflammatory markers (IL-6, TNF-α, and iNOS) was up-regulated in DSS-exposed groups.
Conclusion: The current study clearly indicated that DSS altered the expression of selected inflammatory genes, antioxidant capacity, and scavenging enzymes in such a way that it facilitates the development of colitis in Wistar rat and the study provides the necessary information the experimental designing to explore the ability of any active principle against colitis using DSS (5 KDa) induced colitis rat model.
Keywords: Dextran sodium sulphate, Colitis, Wistar rat, Antioxidant enzymes.
© 2016 The Authors. Published by Innovare Academic Sciences Pvt Ltd. This is an open access article under the CC BY license (http://creativecommons.org/licenses/by/4.0/)
INTRODUCTION
The inflammatory bowel diseases (IBD), which include ulcerative colitis (UC) and Crohn’s disease (CD), are multifactorial diseases of unknown etiology [1]. The IBD is associated with colon cancer [2]. The use of the animal model, which with similar pathological, pathophysiological and histological features, for the study of IBD, has begun before three decades. Also, an animal model of IBD should have some desirable features like inflammatory mediator profile, response to treatment, predictable time of inflammation initiation and easy to induce IBD [3]. The most common way to cause the IBD in rat and mice is by the chemicals, 2, 4, 6-trinitrobenzene sulfonic acid (TNBS) and dextran sodium sulphate (DSS). TNBS and DSS were preferably used to induce CD, and UC conditions in laboratory animals, respectively and both the chemicals affect the intestinal barrier thereby they cause disease condition [4].
Dextran is a glucose polymer produced by some bacterial species. DSS is the derivative of dextran with about 17% of sulphate and soluble in water. DSS is available with a vast range of molecular weight (MW) from 5,000 to 1.4 million Da [5]. Even though, oxazolone, acetic acid, nonsteroidal anti-inflammatory drugs (NSAIDs), carrageenan, and, peptidoglycan-polysaccharide (PGPS) are available for the induction of colitis in model organisms, DSS-induced colitis model is more reliable, simple, cheap, and highly responsive [5, 6].
Previously, DSS with different MW were used at several concentration for colitis induction for example 4% of DSS (36,000-44,000 Da), 5% of DSS (54,000 Da) for Wistar rats [7, 8], 4% of DSS (36,000-50,000 Da) for Sprague-Dawley rats [9], and 10% of DSS (5,00,000 Da) for BALB/c mice [10].
Previous studies demonstrated the pathophysiological and histological changes after induction of colitis by DSS of MW 5000 Da [11-15]. However, previous studies explained about consequences of DSS intervention, detailed information about changes in the antioxidant ability of the host is not yet available adequately. Thus, the current study was conceived and performed to assess the pathophysiological, histological, and molecular manipulations of DSS (MW: 5,000 Da) intervention in the rat. We also determined the changes in the antioxidant capacity of host and representative antioxidant enzymes.
MATERIALS AND METHODS
Strain and chemicals
The Wistar rats were received from National Laboratory Animal Center, Mahidol University, Thailand for the study. The colitis-inducing reagent, DSS (5,000 Da) was purchased from Wako Co., Ltd., Japan. The use of rat model and the experiments were conducted as per the regulation and approval of Ethical Committee of Faculty of Pharmacy, Chiang Mai University (Certificate of ethical clearance no. 01/2015).
Groups and treatment
Five-week-old male rats with an average weight of 170 g were maintained under a constant 12-h dark/light cycle at 25±1 °C (National Research Council of USA Guideline). They were randomly divided into three groups as group 1(control; n = 6), group 2 (3% DSS exposure; n = 6), and group 3 (5% DSS exposure; n = 6). During the exposure period, respective rats were fed with 3 or 5% of DSS prepared in drinking water for seven days, and the control rats were fed with drinking water. All the rats were maintained for seven more days at ambient conditions and the weight of the animals were noted. Then, the rats were sacrificed (day 14) and collected the mucosal, and colon tissues for the evaluation of the impact of DSS.
Sample preparation
The proximal and distal parts of the colon were collected and fixed in 10% buffered formalin to study the pathological changes. About 50 mg of colon tissue samples was collected and stored at-20 °C with 500 µl of RNAzol® Regent until further process. The blood samples were collected and stored at 4 °C for serum level detection antioxidant capacity and enzymes. The colon length of the experimental rats was measured.
Histological procedure
The collected tissue samples were prepared for a paraffin block preparation by automatic tissue processor (model no. ATP 700 Tissue processor, Hestion). The paraffin blocks of colonic tissues were sectioned serially at 5 µM thickness. After the sliced tissues had been fixed on clean glass slides, tissue samples were stained with hematoxylin and eosin (H&E). Pathological changes of colitis were defined as reported earlier [16] and scored as following. The loss of epithelium, loss of mucosal architecture, infiltration of mononuclear cells in lamina propria, infiltration of polymorphonuclear cells in lamina propria, and infiltration of inflammatory cells in submucosa were scored from 0-3 (0 = normal, 1 = mild, 2 = moderate, 3 = severe). Whereas, abscess formation, erosion or ulceration, and goblet cell depletion were scored either 0 or 1 (0 = absent, 1 = present). Pathological findings of colons after DSS exposure were presented as a sum of colitis score.
Total antioxidant capacity and malondialdehyde determination
The 2,2'-azino-bis-3-ethyl benzthiazoline-6-sulphonic acid (ABTS) assay was used for total antioxidant capacity(TAC) determination by the slightly modified procedure of Pengkumsri et al. [17]. About 100 μL of serum samples were used and the results are represented as mg trolox equivalents of antioxidant capacity (TEAC)/ml of serum. The serum malondialdehyde (MDA) level was measured as reported [18]. All samples were tested in triplicate.
Catalase, superoxide dismutase determination, and glutathione peroxidase activity
The catalase, superoxide dismutase and glutathione peroxidase activities were measured in serum samples of the rat as reported by Yang et al. [19]. All experiments werecarried out in triplicates,and the values were represented as U/ml.
RNA isolation and qPCR
The collected tissue samples were processed for RNA isolation as per the manufacturer’s instructions (RNAzol®, Sigma-Aldrich, Catalog no. R4533). The complementary DNA (cDNA) of the total RNA was prepared by following the manufacturer’s instructions (High Capacity cDNA Reverse Transcription kit, Applied biosystemsTM, Part no. 4368814). The expression of selected genes (IL-6 (FP: 5’-TCC TAC CCC AAC TTC CAA TGC TC-3’, RP: 5’-TTG GAT GGT CTT GGT CCT TAG CC-3’), TNFα (FP: 5’-AAA TGG GCT CCC TCT CAT CAG TTC-3’, RP: 5’-TCT GCT TGG TGG TTT GCT ACG AC-3’), iNOS (FP: 5’-CAT TGG AAG TGA AGC GTT TCG-3’, RP: 5’-CAG CTG GGC TGT ACA AAC CTT-3’) were evaluated by quantitative PCR with SYBR® green (Express SYBR® GreenERTM,Invitrogen) chemistry. The standard 30 cycles of polymerase reaction were performed in ABI 7500® real-time PCR machine and analyzed by ABI 7500®software version 2.0.6. The fold changes (2-DDCt) were calculated by normalizing the experimental control and internal control (β-actin; FP: 5’-ACA GGA TGC AGA AGG AGA TTA C-3’, RP: 5’-ACA GTG AGG CCA GGA TAG A-3’).
Statistical analysis
All the values are expressed as mean±SD. Analysis of variance (ANOVA) was used to test the difference in expression profile. The Least Significant Difference (LSD) post hoc test was performed in order to determine significant differences between groups (p<0.05) by the statistical SPSS software version 17.
RESULTS AND DISCUSSION
Physical impact of DSS exposure to rat
As detailed, rats were fed with different concentration (3, 5%) of DSS for seven days, followed by animals were maintained for another seven days with regular diet. During the experimental period (14 d), the weight of the animals was recorded and found that DSS exposure gradually reduces the weight gaining in a concentration-dependent manner.
Fig.1: A) Changes in the body mass of experimental rats. B) Impact of DSS treatment on colon length of rats (*** p<0.001)
When compared to 3% of DSS intervention, 5% of DSS showed more impact on body mass of the experimental rats, whereas DSS-exposed rats are showed a reduction in weight compared to naive control (fig. 1A). The statistically significant level of reduction (Control: 17.41±0.54 cm; 3% DSS-treated: 14.33±0.53 cm; 5% DSS-treated: 13.73±0.53 cm) in the colon length was also noted in both 3 and 5% DSS-treated rats compared to control (fig. 1B). Previous reports also revealed that DSS treatment reduces the colon size and body mass of the experimental animal [13, 20-22].
Histological changes
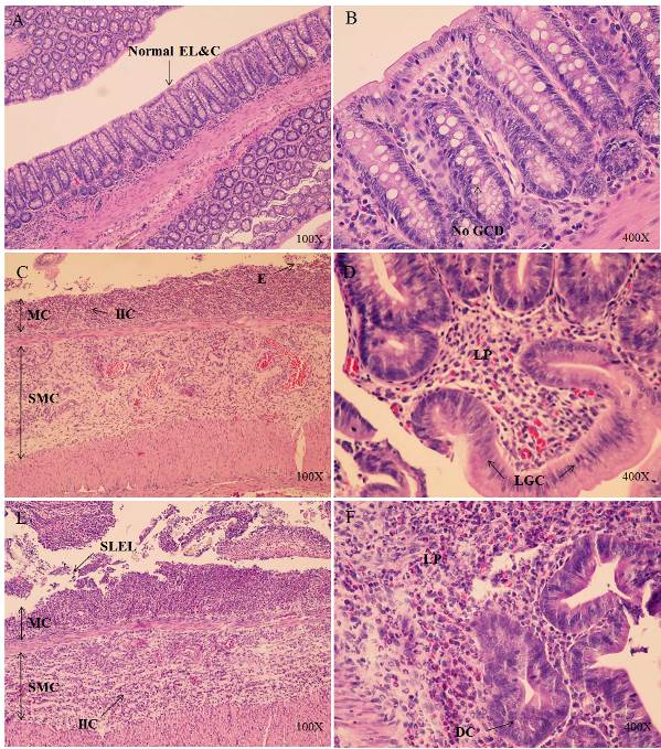
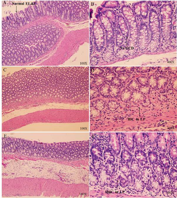
The impact of DSS supplementation on colon tissues was assessed by histochemical studies. Both distal and proximal regions of the colon was examined with following parameters to measure the severity of the disease condition such as loss of epithelial, loss of mucosal architecture, mononuclear and polymorphonuclear cells in lamina propria, infiltration of inflammatory cells in submucosa, cryptitis and abscess formation, erosion or ulceration, and goblet cell depletion.
Table 1: Histological changes in colon after DSS exposure score are representative of mean values
Pathological changes of colitis |
Control |
Proximal part of colon |
Distal part of colon |
||
3% DSS |
5% DSS |
3% DSS |
5% DSS |
||
Loss of epithelial |
0 |
0 |
0 |
3 |
3 |
Loss of mucosal architecture |
0 |
0 |
0 |
3 |
3 |
Mononuclear cells in lamina propria |
0 |
1 |
1 |
2 |
2 |
Polymorpho nuclear cells in lamina propria |
0 |
0 |
0 |
3 |
3 |
Infiltration of inflammatory cells in submucosa |
0 |
0 |
0 |
3 |
3 |
Cystitis and abscess formation |
0 |
0 |
0 |
0 |
0 |
Erosion or ulceration |
0 |
0 |
0 |
1 |
1 |
Goblet cell depletion |
0 |
0 |
0 |
1 |
1 |
Total score |
0 |
1 |
1 |
14 |
14 |
Note: The loss of epithelium, loss of mucosal architecture, infiltration of mononuclear cells in lamina propria, infiltration of polymorphonuclear cells in lamina propria, and infiltration of inflammatory cells in submucosa were scored from 0-3 (0 = normal, 1 = mild, 2 = moderate, 3 = severe). Whereas, abscess formation, erosion or ulceration, and goblet cell depletion were scored either 0 or 1 (0 = absent, 1 = present).
We noticed that severe (score 3) epithelial loss, loss of integrity of mucosal architecture, polymorphonuclear cells in lamina propria, and infiltration of inflammatory cells in the submucosal region in the distal region of rat treated with DSS (both 3 and 5%). The moderate rate (score 2) of mononuclear cells in lamina propria, erosion or ulceration, and goblet cell depletion were also found at the distal region of the colon. Whereas, cystitis and abscess formation was not detected (fig.2, table.1).
Fig.2: Histological profile of a distal region of the DSS-treated and control rats observed with the aid of Hematoxylin and Eosin stain. EL: epithelial lining, C: crypts, GCD: globlet cell depletion, LP: lamina propria, IIC: infiltration of inflammatory cells E: erosion, MC: mucosa, SMC: submucosa, LGC: loss of globlet cells, SLEL: severe loss of epithelial lining, DC: dysplastic crypt
In the proximal region,mild level (score 1) of mononuclear cells were observed in lamina propria, and other changes were not detected (fig. 3, Table. 1). The histological changes in the colon after DSS exposure has been reviewed extensively [15, 12]. The total histological scores of different study groups suggested that both 3 and 5% DSS cause the relatively comparable level of severity in rats.
Total antioxidant capacity and malondialdehyde determination
DSS have been shown to cause the amplified production of free radicals [23]. The changes in the antioxidant capacity of the DSS-treated rat were assessed by ABTS assay. The trolox equivalents of antioxidant capacity (TEAC) of DSS-exposed rats (3% DSS: 0.49±0.03 mM; 5% DSS: 0.37±0.05 mM) were significantly reduced compared to control (0.62±0.04 mM) with respect to the dose of DSS (fig. 4A).
Fig.3: Histological profile of proximal region of the DSS-treated and control rats observed with the aid of Hematoxylin and Eosin stain. EL: epithelial lining, C: crypts, GCD: globlet cell depletion, LP: lamina propria, IIIC: increase infiltration of inflammatory cells, MIIC: mild infiltration of inflammatory cells
The reactive species provokes the damages to cell membranes by increasing the lipid peroxidation [24, 23]. Thus we studied the MDA level, known marker of lipid peroxidation, to detect the impact of DSS treatment on cell membrane integrity. As expected, the level of MDA was higher in both 3% (26.40±1.64 µM), and 5% (30.55±1.85 µM) of DSS-treated rats compare to control (11.87±1.56 µM). About three-fold higher the amount of MDA was recorded in 5% DSS-treated group (fig. 4B).
Changes in antioxidant enzymes
The changes in the level of representative antioxidant enzymes such as catalase (CAT), superoxide dismutase (SOD), and glutathione peroxidase (GPO) were determined in DSS-treated rats. In all cases significantly reduced the level of the antioxidant enzyme was observed. The concentration of CAT, SOD, and GPO in 3% DSS-treated groups were reduced from 220.30±11.23 U/ml, 94.52±8.54 U/ml, and 233.74±13.27 U/ml to 92.72±10.03 U/ml, 55.36±9.35 U/ml, and 190.76±12.75 U/ml, respectively. The higher dose of DSS (5%) causes a drastic reduction in the enzyme level compared to low dose (3%). About 2.7, 1.9, and 1.4 fold reduction in CAT, SOD, and GPO concentration was observed in 5% DSS-treated group compared to control, respectively (fig. 5).
Fig.4: A) Total antioxidant capacity of the host after DSS exposure. The values are represented as trolox equivalence (*** p<0.001). B) The rate of lipid peroxidation after DSS exposure and displayed as MDA values (*** p<0.001)
Fig.5: The profile of antioxidant enzymes such as catalase (A), superoxide dismutase (B), glutathione peroxidase (C) (* p<0.05; ** p<0.01; *** p<0.001)
The reduction in the level of SOD and CAT has been reported in plasma samples of DSS-treated rats [25]. The current study also suggested that DSS affect the antioxidant system of host thereby it facilitates the diseased condition.
Expression of inflammatory markers
The representative inflammatory genes IL-6 (Interleukin-6), TNF-α (Tumor necrosis factor-α), and iNOS (inducible nitric oxide synthase) were selected as a marker for validating the inflammation in DSS-exposed rat model.
Fig.6: The expression pattern of selected inflammatory genes. The values were expressed as fold changes in DSS-treated group, and the values are normalized with control group and internal control gene (β-actin) (*** p<0.001)
The results were expressed as fold changes in the respective mRNA with the normalization of control (naïve rat) and β-actin gene (internal control for qPCR). Significantly (p<0.001), elevated level of expression of IL-6, TNF-α, and iNOS was observed in DSS-treated rats in both low (3%) and high (5%) concentration groups, but slightly increased amount of mRNA was detected in 5% DSS-treated group than 3% DSS-treated group, except IL-6 (fig. 6).
The inflammatory process and development of DSS-mediated colitis, acute to chronic, in mice, differs based on the genetic makeup of the strain [26]. It is previously known that during colitis condition the inflammatory genes were up regulated and a different set of inflammatory genes are there for the specific phase of DSS-induced colitis [15]. The current study clearly indicated that DSS altered the expression of selected inflammatory genes in such a way that it facilitates the development of colitis in wister rat.
CONCLUSION
The current study concrete the notion that DSS can cause a colitis-like disease condition in a rat model. The concentration of DSS and its molecular mass also play the vital role in colitis induction. The antioxidant ability of the host, rate of lipid peroxidation and enzymes involved in free radical scavenging activity are disturbed by DSS. Moreover, this data will help to design the experiments for the study of the ability of any active principle against colitis using DSS (5 KDa) induced colitis rat model.
ACKNOWLEDGMENT
The study was supported by CMU research group grant. The authors gratefully acknowledge the Faculty of Pharmacy, and Chiang Mai University, Thailand.
CONFLICT OF INTERESTS
Declared None
REFERENCES