
1Biochemistry Department, Faculty of Science, Beni-suef University, Egypt, 2Biochemistry Department, Faculty of Science, Cairo University, Egypt, 3Biochemistry Department, Faculty of medicine, Beni-suef University, Egypt, 4Pharmacology and Toxicology Department, Faculty of Pharmacy, King Saud University, KSA, 5Biotechnology & life Sciences Department, Faculty of Postgraduate Studies for Advanced Sciences (PSAS), Beni suef University, Egypt
Email: hesdn2001@yahoo.com
Received: 26 Oct 2015 Revised and Accepted: 10 Feb 2016
ABSTRACT
Objective:Liver plays a pivotal role in regulating various physiological processes in the body such as metabolism, secretion, and storage. It has a great capacity to detoxify toxic substances and synthesize useful principles. The current study was designed to investigate the possible protective effects of Zingiber officinale (ginger) extract on liver fibrosis induced by carbon tetrachloride (CCl4) in rats.
Methods:The animals were divided into four groups with eight rats in each. To induce liver fibrosis, Wistar albino rats received CCl4 (2 ml/kg diluted in corn oil) twice weekly for eight weeks. Rats were concurrently treated with Z. officinale extract at two different doses (300 and 600 mg/kg/day).
Results:CCl4 induced liver injury characterized by fibrotic changes, degenerated hepatocytes and focal accumulation of inflammatory cells. In addition, CCl4 administration produced a significant increase in serum aminotransferases, lipids, liver lipid peroxidation and nitric oxide. The hepatoprotective effects of Z. officinale extract were evidenced by the significant decrease in serum aminotransferases and liver lipid peroxidation. Further, concurrent treatment with either dose of Z. officinale enhanced liver glutathione and enzymatic antioxidant defenses.
Conclusion:Z. officinale showed a marked hepatoprotective effect against CCl4–induced liver fibrosis and injury through the abolishment of oxidative stress and potentiation of the antioxidant defense system.
Keywords: Antioxidant, Ginger, Fibrosis, Oxidative stress
© 2016 The Authors. Published by Innovare Academic Sciences Pvt Ltd. This is an open access article under the CC BY license (http://creativecommons.org/licenses/by/4.0/)
INTRODUCTION
The liver plays a major role in food digestion and metabolism. It has a number of important functions including glycogen storage, decomposition of red blood cells and plasma protein synthesis. The liver clears the blood of waste products, drugs, and other poisonous substances, maintains the volume of blood and regulates the factors affecting clotting of blood. It is an irreplaceable organ and should not be neglected so as to avoid a number of major problems [1]. Liver regeneration remains a fascinating topic, still partly clouded to many as to the exact cellular and molecular mechanisms that bring about this phenomenon. Actually, liver regeneration is a fundamental mechanism by which the liver can withstand injury. Changes in the morphology and physiology of organs and tissues such as the liver might be due to the accumulation of reactive oxygen species (ROS) and reactive nitrogen species (RNS). Because hepatocytes are very rich in mitochondria and have a high respiratory rate, they are exposed to large amounts of ROS and permanent oxidative stress which may be involved in the hepatocyte dysfunction observed in the setting of fulminant hepatic failure [2].
In the absence of reliable liver protective drugs, attention is focused on natural antioxidants such as polyphenol compounds which are found in plants [3]. Global analysis of natural products is an important issue in developing new therapeutic managements for liver disease. Approximately 25% of the drugs prescribed worldwide at present come from plants and 60% of anti-infections drugs already on the market or under clinical investigations are of natural origin [4]. Zingiber officinale (ginger) is used traditionally to prevent or treat various liver diseases in many countries. The effectiveness of Z. officinale and other medicinal plants have inspired pharmaceutical scientists to search for new directions in drug discovery and development. Experimental studies had clearly demonstrated these compounds, which have proven antioxidant, antiviral or anti-carcinogenic properties, and have significant hepatoprotective activity with minimal systemic adverse effects [5]. Previous studies have demonstrated the ability of gingerroot and its polyphenolic constituents, gingerols, and zerumbone, to scavenge superoxide anion and hydroxyl radicals [6, 7].
MATERIALS AND METHODS
Chemicals
CCl4 was purchased from Sigma-Aldrich Co. (St. Louis, USA). Diagnostic kits for liver enzymes [Aspartat aminotransferase (AST) and alanine aminotransferase (ALT)] were purchased from Randox Co. (Antrim, UK). All other chemicals were supplied by Sigma-Aldrich Co. (St. Louis, USA).
Preparation of Z. officinale extracts (GEx)
Ginger dried roots were obtained from local market of Herbs and Medicinal plants. Authentication of the plant was carried out by staff members of Botany Department, Faculty of Science, Cairo University, Egypt. The powdered plant material was dissolved in corn oil as suspensions solution and used for treatment [8].
Animals and treatments
Thirty-two healthy adult male albino Wistar rats (200±20 g), supplied by the animal house of National Research Centre, Giza (Egypt), and were used in the current investigation. The rats were maintained in controlled environment (25±1 °C) with air conditioning and a controlled temperature and humidity of 60%. Animals were provided access to standard laboratory chow and tap water ad libitum. Rats were kept under observation for one week before the onset of the experiment for acclimatization and to exclude any undercurrent infection. All experiments were carried out according to recommendations of the ethical conditions approved by the Ethics Committee of National Research Centre of Experimental Animals which confronted to the international ethics for handling and care of experimental animals.
Rats were randomly allocated into four groups having 8 rats in each as follows:
Group I (Control): Rats received corn oil via oral gavage for 8 w.
Group II (CCl4): Rats were administered CCl4 (2 ml/kg, twice/week; i. p.) for 8 w [9].
Group III (CCl4+G300): Rats were administered CCl4 (2 ml/kg, twice/week; i. p.) and GEx (300 mg/kg/day) via oral gavage for 8 w [10].
Group IV (CCl4+G600): Rats were administered CCl4 (2 ml/kg, twice/week; i. p.) and GEx (600 mg/kg/day) via oral gavage for 8 w [11].
The doses were adjusted consistently as indicated by any change in body weight to maintain comparable dosage over the study period.
Sample preparation
At the end of the experiment, animals were sacrificed under ether anesthesia, and blood samples were collected and allowed to coagulate at room temperature and then centrifuged at 12,000 rpm for 10 min to separate serum. The clear sera were collected and stored at-20 °C for biochemical assay of liver function biomarkers. The liver was rapidly excised and washed in chilled saline. Samples from the liver were stored in 10% formalin solution and processed for histological examination while other samples were homogenized (10% w/v) in physiological saline solution and centrifuged at 3000 rpm for 5 min. The supernatant was collected and stored at-20 °C until used.
Biochemical assays
Determination serum biomarkers
Serum activity of the aminotransferases AST and ALT was determined spectrophotometrically according to the method of Reitman and Frankel [12] using commercial kits from Randox Laboratories (UK). Serum total cholesterol [13], triglycerides [14] and HDL-cholesterol [15] were assayed using commercial diagnostic kits (Randox, UK). Serum vLDL-cholesterol concentration was calculated according to the following formula [16]: vLDL-cholesterol = triglycerides/5. Serum LDL-cholesterol level was calculated from the formula [17]: LDL-cholesterol = Total cholesterol–triglycerides/5–HDL-cholesterol. Nitrite, a stable end product of nitric oxide radical, was determined according to the method of Miranda et al. (2001) using Griess reagent [18].
Determination of oxidative stress and antioxidant system parameters
Lipid peroxidation levels in liver homogenates were assayed by measurement of malondialdehyde (MDA) formation according to the method by Berton et al. [19]. Depend on McCordmethod [20], activities of the superoxide dismutase (SOD) was measured. Glutathione peroxidase (GPx) activity was measured according to the method of Wendel [21].
Histopathological study
After the experimental period, animals were decapitated, pieces of liver from all group were immediately removed from each animal, fixed in 10% neutral buffered formalin and transferred to Department of Histopathology, Faculty of Veterinary Medicine, KSU University (KSA) for preparation, sectioning and staining with haematoxylin and eosin (H&E) and with Masson’s Trichrome (MT) [22].
Statistical analysis
Data analysis was performed using Graph Pad Prism software (Graph Pad software, San Diego, California). For multiple comparisons, a one-way analysis of variance (ANOVA) followed by the Tukey-Krammer test was carried out. The results are expressed as the mean±standard deviation (SD). Differences were considered significant at a p<0.05.
RESULTS
As shown in fig. 1 CCl4-administered rats showed markedly (p<0.01) increased liver and liver/body weight ratio as compared to control rats. A significant reduction (p<0.01) in the liver/body weight ratio was noted in a high dose of GEx as compared to CCl4 group, on the other hand, there was no significant change observed in low dose of GEx.
Data summarizing the effect of GEx on liver function markers in serum of experimental animals were represented in Tables 1. CCl4-administered rats exhibited a significant increase in serum ALT and AST levels when compared with control rats. Treatment of CCl4-induced rats with either dose of GEx markedly decreased serum ALT and AST as compared to CCl4–treated rats. There was a marked and highly significant (p<0.001) increase in the concentration of lipid profile (CHO, LDL & TG) in the CCl4-treated when compared with control group. However, Treatment of CCl4-induced rats with both doses of GEx markedly decreased serum ALT and AST when compared with CCl4–treated rats. On the other hand, there was significantly increase (p<0.001) in HDL levels in GEx treated rats as compared to CCl4-treated rats (table 1).
Fig. 1: Effects of GEx on liver to body weight ratio in CCl4–induced liver fibrosis in rats after 8 w of treatment. Data are expressed as mean±SD. **p<0.01
In contrast, a significant increase in the level of MDA, an end product of lipid peroxidation, was observed in liver tissue of CCl4–treated group when compared with the control group (table 2). Treatment of the CCl4-induced rats with either high or low dose of GEx markedly decreased (p<0.001) liver MDA as compared to CCl4–treated rats.
Data in table 2 showed that GSH, GPx, GRx, SOD and nitric oxide were measured as an index of hepatic antioxidant status. Significant decrease in hepatic GSH (p<0.05), GPx (p<0.001), GRx (p<0.001) and SOD (p<0.001) activity were observed in CCl4-treated group as compared to the control group, while there was significantly increased (p<0.001) in NOx level. GEx treatment with high dose caused a significant elevation in tissue GSH (p<0.05), GPx (p<0.001), GRx (p<0.001) and SOD (p<0.001) activities as compared to CCl4 group. On the other hand, data showed that there was a non-significant change in tissue GSH content and GRx activity in low dose of GEx treated as compared to the CCl4. Similarly, treatment with low or high dose of GRx caused a significant reduction (p<0.001) in tissue nitric oxide levels as compared to untreated rats.
Table 1: Effect of ginger on serum lipid profile and aminotransferases in CCl4-induced liver fibrosis
Group parameter |
Control |
CCl4 |
CCl4+G (300) |
CCl4+G (600) |
Total cholesterol (mg/dl) |
181±3.7 |
384.6±13.9*** |
176.7±13.76ddd |
110.9±8.5dddaaa |
Triglycerides (mg/dl) |
82.4±2.6 |
184.3±3.6*** |
51.4±7.6ddd |
34.7±3.3dddaaa |
HDL-cholesterol (mg/dl) |
51.4±1.9 |
30.8±1.2*** |
63.4±2.2ddd |
52.4±3.1dddaaa |
LDL-cholesterol (mg/dl) |
108.5±10 |
235.6±15.2*** |
136.9±14.5ddd |
96.5±20.4dddaaa |
AST (U/l) |
53.45±9.6 |
118±5.5*** |
105.3±3.5d |
71.05±8.5dddaaa |
ALT (U/l) |
36.9±2.6 |
257.7±27.3*** |
214.4±9.3?? |
153.8±16.9dddaaa |
Data are expressed as the mean±SD. ***p<0.001 compared to control group, ?p<0.05, ??p<0.01 & ???p<0.001 compared toCCl4 group and aaap<0.001 compared to CCl4+G (300).
Table 2: Effect of ginger on hepatic antioxidant activities in CCl4-induced liver fibrosis
Group parameters |
Control |
CCl4 |
CCl4+G (300) |
CCl4+G (600) |
MDA (µmol/mg protein) |
0.17±0.0 |
0.26±0.03*** |
0.2±0.01dd |
0.17±0.01ddd |
Nitric oxide (µmol/mg protein) |
3.61±0.3 |
8.02±0.4*** |
6.1±0.7ddd |
4.6±0.4dddaaa |
GSH (µmole/mg protein) |
42.8±2.1 |
36.9±3.9* |
40.7±0.9 |
42.6±2.4d |
GPx (U/mg protein) |
751.8±34.6 |
365±24.8*** |
505.3±53.5ddd |
622.7±30.6dddaaa |
GRx (U/mg protein) |
237.4±1.9 |
199.7±7.1*** |
205.7±6.2 |
224.1±6.4dddaaa |
SOD (U/mg protein) |
94.6±3.8 |
63.6±2.7*** |
72.2±2.2dd |
85.5±4.7dddaaa |
Data are expressed as the mean±SD. ***p<0.001, *P<0.05 compared to control group, ?p<0.05, ??p<0.01 & ???p<0.001 compared to CCl4 group and aaap<0.001 compared to CCl4+G(300).
Table 3: The ginger effects for area of positive staining with MT (%)
Group |
Area % of positive staining |
|
(A) |
Control |
1.14±0.35 |
(B) |
CCl4 |
7.95±1.48*** |
(C) |
CCl4+G (300) |
4.51±1.1?? |
(D) |
CCl4+G (600) |
3 .37±0.75??? |
Data are expressed as the mean±SD. ***p<0.001 compared to control group and, ??p<0.05 & ???p<0.001 compared to CCl4 group.
Fig.2: Light photomicrographs of liver tissue stained with H&E. Scale bar: 100 µm.
(A) showed normal hepatocytes and hepatic blood sinusoids, (B) showed liver of rat exposed to CCl4 in which focal areas of the liver have degenerated hepatocytes with fragmented nuclei and focal accumulation of inflammatory cells (arrow), (C) normally appeared hepatocytes and sinusoids from rat received ginger extract alone, and (D) liver of rat administered CCl4 and received ginger extract showed moderate improvement of hepatocellular degeneration and inflammatory cellular infiltration (arrow)
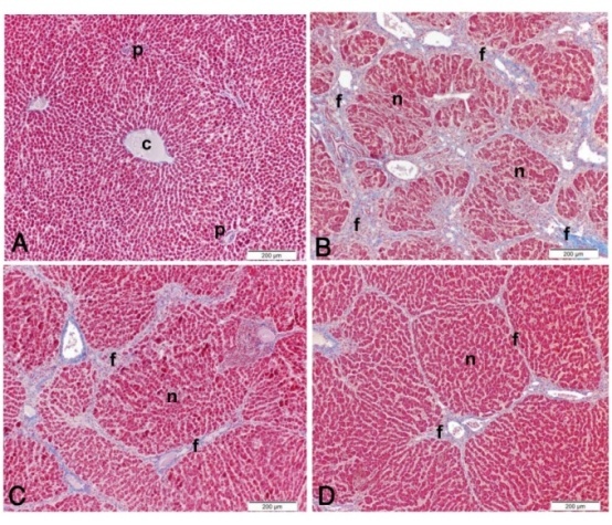
Fig.3: Liver of control and experimental groups.
(A) Liver of control animal showing the normal hepatic architecture of classic lobules with a central vein (c) in the middle and portal tracts (p) at the periphery and the only little amount of connective tissue stroma (stained blue). (B) Hepatic toxicity induced by high dose of CCl4 showed marked hepatocyte damage in the form of degeneration, necrosis, inflammatory cellular infiltration and extensive fibrosis (f) which surrounded regenerative nodules (n) giving a histological picture very similar to cirrhosis. (C) These changes were markedly ameliorated (reversed) in the liver of rat suffering from hepatic toxicity and received ginger 300 mg/kg after exposure to CCl4. (D) Even more amelioration (reversal) was observed in the liver of rat suffering from hepatic toxicity and received ginger 600 mg/kg. Scale bar = 200 µm
Histopathological studies of the liver of CCl4 group showed several widened areas of inflammation surrounding degenerated and hepatic cell necrosis. Whereas, GEx treatment significantly alleviated the CCl4–induced damage in rat liver (fig. 2 & 3). The histopathological alterations were summarized in table 3.
DISCUSSION
Plant-based whole foods provide thousands of primary and secondary metabolites to the human diet that are absorbed into the body due to their low molecular lipophilic nature. Herbal medicines derived from plant extracts are being increasingly utilized to treat a wide variety of clinical diseases [23]. Ginger has been cultivated for thousands of years as a spice and for medicinal purposes [24]. Kikusaki and Nakatani [25] reported that chemical constituents like gingerols and shogaols present in ginger exhibited strong antioxidant activity. Gingerol, the pungent factor in ginger, inhibited phospholipid peroxidation induced by the ferric chloride-ascorbate system [10]. Also, Sekiwa et al. [26] reported that novel glucosides related to gingerdiol from ginger have antioxidant activity. Therefore, the present study was designed to evaluate the potential hepatoprotective activity of ginger against liver injury and fibrosis induced by CCl4 in rats.
Administration of CCl4 for 8 w induced liver injury and fibrosis as evidenced by the histopathological findings including collagen deposition, necrosis, degenerated hepatocytes with fragmented nuclei and focal accumulation of inflammatory cells. In addition, CCl4 supplementation produced a marked elevation in serum AST and ALT levels. The elevated activities of serum aminotransferases are indicative of cellular damage and loss of functional integrity of cell membranes in liver [27]. Concurrent oral supplementation with 300 or 600 mg/kg ginger extract markedly alleviated histological liver architecture and decreased the release of aminotransferases from hepatocytes. These findings may be explained by the ability of ginger to condition the hepatocytes and preserve the cell membrane integrity as reported in the study of Motawi et al. [28].
In the present investigation, the liver to body weight ratio was measured as an indicator of the development of liver fibrosis and serum lipids were measured as a second indicator for liver function disturbances. The liver to body weight ratio as well as serum lipids was extremely elevated in the CCl4–induced rats, demonstrating liver injury and hypertrophy due to collagen deposition. Concurrent treatment with ginger potentially ameliorated liver to body weight ratio and serum lipid profile. More interestingly, ginger treatment significantly increased serum HDL-cholesterol levels. The lipid lowering effect of ginger has been previously reported, suggesting that it is able to inhibit lipid hydrolase in intestinal tract [29], increase pancreatic lipase and amylase [30], reduce lipid peroxidase [31], increase intestinal peristalsis [32] and increase cholesterol conversion to bile acids [33]. Thus, it seems that the lipid-lowering activity of ginger plays a key protective role against CCl4.
Evidence developed over the last years has suggested that various forms of liver injuries may be caused by free radical formation and subsequent oxidative stress. It is believed that ROS may injure cell membranes through lipid peroxidation [34]. As a xenobiotic, CCl4 causes oxidative stress and may injure hepatic cells [35]. Many studies have established the fact that CCl4 is metabolized in the liver into a highly reactive substance, trichloromethyl, which induces the formation of free radicals [36]. The produced free radicals bind covalently to macromolecules and induce peroxidative degradation of membrane lipids [37]. The present data revealed a marked increase in the lipid peroxidation marker, MDA, and nitric oxide levels in the liver of CCl4intoxicated rats. Subsequently, liver GSH and activity of the antioxidant enzymes were markedly declined due to CCl4induced oxidative stress. The imbalance between the formation and removal of free radicals in the body, due to the reduction of endogenous antioxidants or increased generation of oxidizing species, favors the occurrence of oxidative lesions in macromolecules and cellular structures, and possibly result in cell death [38].
Oral supplementation of the CCl4induced rats with either dose of ginger significantly decreased liver lipid peroxidation and nitric oxide levels, and potentiated the enzymatic and non-enzymatic defenses. Accordingly, the study of Motawi et al. [28], a significant increase in lipid peroxidation after 6 w of CCl4 administration has been reported. The authors also demonstrated the ability of a 200 mg/kg dose of different ginger extracts to counteract CCl4induced oxidative stress; however, they didn’t study the effect of different doses. Here, we demonstrated the dose-dependent antioxidant and free radical scavenging activity of ginger in CCl4induced rats for 8 w. We assumed that the hepatoprotective effect of ginger could be attributed, at least in part, to the prevention of GSH decline and potentiation of the antioxidant enzymes. In this context, the study of Ansari et al. [39]showed that pretreatment of isoproternol-induced with ethanolic Z. officinale extract for 20 d enhanced the antioxidant defenses and exhibited cardioprotective property. On the other hand, Jung et al. [40]reported the ability of ginger extract to inhibit the excessive production of nitric oxide.
The observed hepatoprotective and antioxidant effects of ginger are associated with its active ingredients. [6]-shogaol, [6]-dehydroshogaol and 1-dehydro-[6]-gingerdione were reported to be potent inhibitors of nitric oxide synthesis in activated macrophages [41]. The antioxidant activity of [6]-gingerol against phospholipids peroxidation and linoleic acid autoxidation has been demonstrated by previous studies [42]. [6]-gingerol also protected against from lipopolysaccharide-induced oxidative damage of DNA in rats [43]. In addition, [6]-shogaol has exhibited the most potent antioxidant properties, compared to [8]-gingerol, [6]-gingerol and [10]-gingerol [44]. Moreover, previous studies showed that the volatile oil of ginger influences both the non-specific proliferation of T lymphocyte and cell-mediated immune response, thus exert beneficial effects in a number of clinical conditions [45].
In conclusion, the present study provides evidence on the hepatoprotective and anti-fibrosis effects of ginger. Ginger restored the altered biochemical profile due to CCl4 exposure towards normalization. Through its potent antioxidant activity, ginger maintained the integrity of plasma membrane and increased the regenerative and reparative capacity of the liver. In addition, the current data conferred new information on the possible involvement of the lipid-lowering activity of ginger in mediating its protective effect against CCl4induced fibrosis.
ACKNOWLEDGMENT
This research project was supported by a grant from the “Research Center of the Female Scientific and Medical Colleges”, Deanship of Scientific Research, King Saud University.
CONFLICT OF INTERESTS
The authors declared that they had no conflict of interest
REFERENCES