
aFaculty of Pharmacy, Setia Budi University, Jalan Letjen Sutoyo Mojosongo, Surakarta, Indonesia, 57127, bKupang Health Service, East Nusa Tenggara, Indonesia
Email: gunawanpamudji@yahoo.com
Received: 11 Nov 2015 Revised and Accepted: 15 Mar 2016
ABSTRACT
Objective: The goal of this study was to determine the antihyperglycemic, antioxidant as well as pancreas regeneration effects of ethanol extracts of Nigella sativa L. seeds in alloxan-induced diabetic rats.
Methods: The male Wistar rats were induced by intraperitoneal injection of alloxan (150 mg/kg bw). N. sativa seeds extract was prepared and orally administrated at the dose of 125 and 250 mg/kg bw for 28 d. Blood glucose level was measured, and antioxidant status was determined by the activities of superoxide dismutase, glutathione peroxidase as well as malonyl aldehyde in liver. Histopathological and immunohistochemistry study of the pancreas was conducted at the end of the experimental period. The data obtained were analyzed by one-way ANOVA (p<0.05).
Results: Both doses of N. sativa seeds extract showed the glucose lowering effect and corrected antioxidant status of diabetic animals in liver. N. sativa seeds extract dose of 250 mg/kg decreased blood glucose levels and malonyl aldehyde, as well as increased the activity of superoxide dismutase and glutathione peroxidase, more effective than a dose of 125 mg/kg. Immunohistopathology profiles proved the pancreas regeneration activity of N. sativa seeds extract, based on the enhanced of diameter and amount of Langerhans islet cells.
Conclusion: N. sativa seeds extract dose of 125 and 250 mg/kg showed antihyperglycemic effect, enhanced antioxidant activity, as well as pancreas regeneration from organ damage on an alloxan-induced diabetic rat.
Keywords: Nigella sativa L. seed extract, Antihyperglycemic, Antioxidant, Pancreas regeneration
© 2016 The Authors. Published by Innovare Academic Sciences Pvt Ltd. This is an open access article under the CC BY license (http://creativecommons.org/licenses/by/4.0/)
INTRODUCTION
Diabetes mellitus (DM) is a chronic metabolic disorder characterized by the increasing of blood glucose level due to the reduction of secretion and/or activity of insulin. World Health Organisation predicted that DM will become the seventh leading cause of death in the world by 2030 [1]. Treatment of type 2 DM often needs the use of combination therapy, including oral antihyperglycemics and insulin to obtain glycemic goals, because uncontrolled blood glucose levels lead to microvascular complications (neuropathy, retinopathy, and nephropathy) as well as macrovascular complications (cardiovascular risks) [2].
Development and progression of diabetes and its complication related to the increased oxidative stress, with the glucose oxidation as the main source. Reactive ketoaldehydes and superoxide anion radicals are the products of glucose oxidation, which furthermore produce the extremely hydroxyl radicals as well as reactive peroxynitrite radicals [3]. Reactive oxygen species (ROS) are also produced by oxidative phosphorylation, nicotinamide adenine dinucleotide phosphate oxidase (NADPH), xanthine oxidase, the uncoupling of lipoxygenases, and cytochrome P450 monooxygenases. Antioxidant defenses, such as Superoxide dismutase (SOD), Glutathione Peroxidase (GSH-Px) and Catalase, were depleted by ROS, lead to the to oxidative damage of cells and tissues [4]. Clinical complications of DM due to the hyperglycemic-induced organ damage can be prevented by external antioxidant supplies [5].
Black cumin (Nigella sativa L.) seed enhanced the activities of SOD, GSH-Px, and reduced the lipid peroxidation. It contains thymoquinone, which plays a role in antioxidant activity by scavenging the ROS and prevention of the tissue damage. Black cumin seed extract was reported to increase the regeneration of pancreas beta cells, increase the serum insulin level as well as reduce serum glucose level on streptozotocin-induced diabetic rats. It also reported that phenolic compound of methanolic extracts of black cumin shoots and roots have strong free radicals scavenger activity [6-9]. This study aimed to evaluate the antidiabetic, antioxidant and pancreas regeneration activity of N. sativa L. seed extract (NSE) in alloxan-induced diabetic rats.
MATERIALS AND METHODS
Materials
N. sativa seeds were obtained from Karanganyar, Central of Java, Indonesia and authenticated by Faculty of Pharmacy, Gajah Mada University, Yogjakarta, Indonesia.
Ethanol, alloxan, normal saline, CMC. Na, EDTA, glibenclamide, a protease inhibitor, reagents for SOD, GSH-Px and Malonyl aldehyde (MDA) assay, diethylenetriamine-Penta acetic acid, nitroblue tetrazolium (NBT), sodium carbonate, diNa-bathocuproine-di sulphonic acid salt, CuCl2, glutathione, glutathione reductase, NADPH, H2O2.
Preparation of extract
The air dried powered of N. sativa L seeds (500 g) was extracted in ethanol by maceration method for 72h. Ethanol extract was evaporated under pressure to obtain the dry extract.
Animal
The ethical clearance of the experiment have been approved by Medical Health Research Ethics Committee (MHREC) Ref.: KE/ FK/64/EC.
Wistar albino rats (150-200 g), 16 w old, were maintained in room temperature, given standard pellet diet and water ad libitum during the experiment period. The extract dose of 125 and 250 mg/kg and a standard drug (glibenclamide 0.1 mg/kg) were given orally.
Antihyperglycemic activity test
The rats were adapted for 5 d and blood glucose levels were measured (T0). Five days after intraperitoneal injection of alloxan (150 mg/kg), the glucose levels were measured to establish the diabetic condition. The rats with glucose levels above 200 mg/dl were used for the experiment. NSE dose of 125 and 250 mg/kg as well as glibenclamide were orally administrated for 5 d. Measurement of glucose levels was performed on day 12th, 19th, 26th and 33th after administration of the extract (T2, T3, T4 and T5, respectively) [10].
Blood glucose levels were determined by standard enzymatic procedures with GOD-PAP reagent and the absorbances were read by UV-Vis spectrophotometer at λ 500 nm.
Antioxidant assays
Standart SOD measurement method with slight modifications was used to measure the superoxide anion radicals scavenging capacity [11]. Liver supernatant (0.06 ml) was reacted with the mixture of 2.70 ml Sodium carbonate buffer (50 nM) containing 0.1 mM EDTA (pH 10), 0.06 ml xanthine (10 mM), 0.03 ml BSA 0.5%, and 0.03 ml nitro tetrazolium (NBT) 2.5 mM. Xanthine oxidase 0.04 Unit then was added. The absorbance of assay mixture was measured after 30 min at 560 nm. PBS containing 11.5 g/l KCl was used as a control solution. SOD activity (%) was calculated using formula:

where A: sample absorbance and B: control solution absorbance.
GPx activity was determined by Lawrence and Burk method with modification [12]. Two hundreds ml of clear liver supernatant was added to 200 ml of 0.1 M phosphate buffer pH 7.0 containing 0.1 mM EDTA, 200 ml of reduced glutathione (GSH), and 200 ml of 10 mM glutathione reductase enzyme (2.4 units). After the mixture was incubated for 10 min at 37 °C, 200 ml of 1.5 mM NADPH was added, and the mixture was incubated again for three minutes at the same temperature, followed by addition of 200 ml of 1.5 mM H2O2. Absorbance was measured between one to two minutes with a spectrophotometer at λ 340 nm. GSH Px activity was calculated by the formula:

where A: absorbance, Vt: total volume (ml), Vs: sample volume (ml)
MDA levels were analyzed using the method according to Sinha et al., with slight modification [13]. A total of±1.25 g of fresh chopped liver in cold conditions in 2.5 ml of PBS solution containing 11.5 g/l KCl. Homogenates were centrifuged at 4,000 rpm for 10 min. A total of 0.5 ml of sample or standard plus with 2 ml of 0.25 N HCl cold mixture containing 15% trichloro acetic acid (TCA), 0.38% thiobarbituric acid (TBA) and 0.5% butylated hydroxytoluene (BHT). This solution mixture was heated at 80 oC for 1 hour. Once cool, the standard mixture solution and centrifuged 3500 rpm for 10 min. The absorbance of the supernatant was measured at λ 532 nm. As a standard solution used 1,1,3,3-tetraetoxypropane (TEP).
Histopathology study
All the rats were sacrificed under anesthesia, and the whole pancreas from each animal was removed, collected in 10% formalin solution, and immediately processed by the paraffin technique. Section of 5 µm thickness was cut and stained by hematoxylin and eosin (HE) and immunohistochemistry (IHC) [14].
Statistical analysis
All data were presented as means±SD for five rats in each group. Comparisons between the group and between time points were constructed by one-way analysis of variance (ANOVA) followed by t-test to analyze the difference. Differences were considered significant if the P value were less than 0.05.
RESULTS
Antihyperglycemic activity
The antidiabetic effect of NSE on diabetic rats was shown in table 1. Intraperitoneal injection of alloxan produced increasing of blood glucose level up to above of 200 mg/dL on 5th day (T1), indicated the diabetic condition was successfully obtained. Treatment of the NSE (125 as well as 250 mg/kg bw) in alloxan-induced diabetic rats resulted in a significant decrease in the elevated blood glucose level.
Table 1: Effect of NSE on blood glucose level in alloxan-induced diabetic rats
Group |
Blood glucose level (mg/dl) |
||||
T1 |
T2 |
T3 |
T4 |
T5 |
|
Normal control |
77.78±1.7a |
77.67±1.6a |
77.84±2.1a |
78.07±1.3a |
78.28±1.3a |
Diabetic control |
211.66±7.4a |
211.53±7.8a |
212.79±7.8a |
213.22±7.3a |
213.61±7.4a |
Glibenclamide |
215.40±7.3a |
195.76±6.6a |
167.56±5.5a |
124.43±6.5a |
104.26±1.3a |
NSE 125 mg/kg |
207.53±3.6a |
196.88±2.0a |
157.37±1.7a |
142.16±1.5a,b |
130.99±2.0a,b |
NSE 250 mg/kg |
209.41±2.9a |
191.57±2.0a |
136.89±1.9a,b |
121.47±1.7a |
107.91±1.3a |
N = 5; Values were expressed as mean±SD; a: significantly different to diabetic control (P<0.05); b: significantly different to Glibenclamide as positive control (P<0.05)
Table 2: Effect of NSE on antioxidant activity
Group |
Antioxidant activity |
||
SOD (%) |
GPx (U/mg) |
MDA (nmol/g) |
|
Normal control |
81.09±4.38a |
72.65±0.73a |
2.69±0.15a |
Diabetic control |
17.82±3.50 |
9.14±0.36 |
9.15±0.52 |
Glibenclamide |
65.82±3.50a |
58.56±0.41a |
3.36±0.14a |
NSE 125 mg/kg |
38.43±6.29a,b |
46.27±0.54a,b |
6.85±0.14a,b |
NSE 250 mg/kg |
59.22±4.68a |
51.09±0.74a |
4.39±0.24a |
N = 5; Values were expressed as mean±SD; a: significantly different to diabetic control (P<0.05); b: significantly different to Glibenclamide as positive control (P<0.05)
Antioxidant activity
Effect of daily administration of NSE for 4 w on antioxidant activity was showed on table 2.
Significantly increasing of SOD and GPx activity, as well as decreasing of MDA indicated the potent antioxidant activity of NSE. In both of dose, test groups of ethanol extract of black cumin seed anti hyperglikemi indicate activity, as evidenced by increased levels of SOD and GPx serata, decreased levels of MDA. Anti hyperglicemic activity of the extract dose, indicating the potential of the metabolites contained in the ethanol extract of black cumin seeds.
The phenolic compound of methanolic extract of N. sativa shoot and root was reported to show strong free radicals scavenging activity [9]. Some secondary metabolites in plants that can decrease blood glucose levels are flavonoids, quercetin, quinolizidine, anthocyanins, catechins and flavones and coumarin [16]. It was reported that tannins, flavonoids, and phenolic glycosides are natural antioxidants that play a role ini pancreatic β cells protection from free radicals [17].
Pancreas regeneration activity
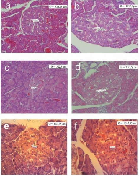
Profiles of H&E histopathology of normal rat showed the photograph average diameter β islets of Langerhans of the pancreas, the normal group showed normal or healthy picture of the condition of the islets of Langerhans, which is supported by IHC picture islet cells of the Langerhans in which the population of the islet cells that dominate the islets of Langerhans (fig. 1 and 2).
DISSCUSION
Significantly increasing of SOD and GPx activity, as well as decreasing of MDA indicated the potent antioxidant activity of NSE. In both of dose, test groups of ethanol extract of black cumin seed antihyperglycemic indicate activity, as evidenced by increased levels of SOD and GPx serata, decreased levels of MDA. Antihyperglycemic activity of the extract dose, indicating the potential of the metabolites contained in the ethanol extract of black cumin seeds.
The phenolic compound of methanolic extract of N. sativa shoot and root was reported to show strong free radicals scavenging activity [9]. Some secondary metabolites in plants that can decrease blood glucose levels are flavonoids, quercetin, quinolizidine, anthocyanins, catechins and flavones and coumarin [16].
Fig. 1: Islet of Langerhans in the histopathology of the pancreas. H&E (100x)
(a-b) normal rats (c) diabetic control. Cells undergo necrosis, the islets of Langerhans appeared smaller than normal. (d) glibenclamide group (e) NSE 125 mg/kg (f) NSE 250 mg/kg
Fig. 2: IHC profiles indicated the insulin
(a-b) Normal rats. Positive reaction between Ag and Ab was characterized by brown color, indicated the normal population of islet cells. (c) Diabetic control. Negative reaction between Ag and Ab was characterized by the absence of brown islet cells. Cells undergo necrosis. (d) Glibenclamide group (e) NSE 125 mg/kg (f) NSE 250 mg/kg. Positive reaction between Ag and Ab were marked with brown color and population of cells of islet increased on fig. (d), (e) and (f)
It was reported that tannins, flavonoids, and phenolic glycosides are natural antioxidants that play a role ini pancreatic β cells protection from free radicals [17]. Increased levels of SOD and GPx and the decreased levels of MDA after administration of glibenclamide as well as both doses of NSE, indicated the influence of the enhanced adaptive defense mechanisms against free radicals and protection of the pancreas from oxidative stress [15].
Histopathology profiles of normal rat showed that the β islets cells were distributed in all the part of Langerhans of the pancreas, with the normal size. The diabetic group profiles indicated the reduced amount and size of the β islets cells. Administration of glibenclamide and both doses of NSE increased the amount and size of β islets cells. This results indicated the increasing of insulin production in the islet cells in pancreatic β, so they lowered blood glucose levels.
The IHC images of the positive control group and the NSE doses of 250 mg/kg bw (fig. 2) showed the positive reaction appearance Ag and Ab islet cells produce insulin which was characterized by cells that were brown and pancreatic β islet cell populations that dominate the islets of Langerhans. Immunohistochemistry profile of NSE dose of 250 mg/kg clearly illustrated the populations of islet β cells of pancreatic Langerhans in comparison to that’s of NSE dose of 125 mg/kg. This indicated the dose-effect correlation.
Results of the analysis of multiple comparisons of ethanol extract of black cumin seed compared with glibenclamide result that there was no significant difference in the level of 95%. These data indicated that NSE had the potential effect to regenerate or repair the damaged of islet cells where insulin production in the islets of Langerhans. It was also supported by data from blood glucose levels, the data increased levels of antioxidant enzymes SOD, GPx and data decreased levels of MDA in rat liver.
CONCLUSION
N. sativa seeds extract dose of 125 and 250 mg/kg showed antihyperglycemic effect, enhanced antioxidant activity, as well as pancreas regeneration from organ damage on an alloxan-induced diabetic rat. Further studies are needed to investigate and elucidate the mechanism of action of active compounds of NSE.
ACKNOWLEDGEMENT
This study was supported by a research grant from DIRJEN DIKTI-Indonesian National Ministry of Education (Fundamental Grant 2014) for the authors and greatly acknowledged.
CONFLICT OF INTERESTS
Declared None
REFERENCES