
*Department of Pharmacology, Department of Pharmaceutical chemistry, JKKMMRF College of Pharmacy, Ethirmedu, B. Komarapalayam, Namakkal 638183. Tamilnadu, India
Email: asureshjkkm@gmail.com
Received: 17 Nov 2015 Revised and Accepted: 19 Dec 2015
ABSTRACT
Objective: To investigate in vitro and in vivo antidiabetic activity of Barleria noctiflora (B. noctiflora) fractions on high-fat diet (HFD) with low dose Streptozotocin (STZ) induced type-2 diabetes in rats.
Methods: B. noctiflora were successively extracted and then fractionated by Ethyl acetate and n. butanol. The in vitro antidiabetic activity from α-amylase and α-glucosidase was used to evaluate the potential activity of the fractions. The in vivo antidiabetic activity is evaluated against HFD/STZ induced type-2 diabetic in rats at a dose of 100 mg/kg, 200 mg/kg and 400 mg/kg, p. o for 28days.
Results: Ethyl acetate fraction of B. noctiflora (EAFBN) showed the highest antidiabetic activity and IC50 values of α-amylase inhibition (114.7±0.15) and α-glucosidase inhibition (104.93±0.28) than other fraction. In HFD/STZ (40 mg/kg) diabetic rats the EAFBN showed a dose dependent significant hypoglycemic property from body weight, blood glucose, serum lipids, serum cholesterol, serum triglycerides, urea, creatinine, hepatic enzymes and liver glycogen levels. The EAFBN significantly (P<0.01) increase the level of serum insulin. Histologically, focal necrosis was observed in the diabetic rat pancreas; however, was less obvious in treated groups.
Conclusion: The EAFBN is a potent hypoglycemic agent and beneficial in reducing the elevated blood glucose level, improve the lipid profile and insulin level and histopathological changes in the pancreas of HFD/STZ‐induced non‐genetic rat model of type-2 diabetes mellitus.
Keywords: Antidiabetic, Barleria noctiflora, Streptozotocin, Type-2 diabetes, Pancreas
© 2016 The Authors. Published by Innovare Academic Sciences Pvt Ltd. This is an open access article under the CC BY license (http://creativecommons.org/licenses/by/4.0/)
INTRODUCTION
Diabetes mellitus is a chronic disease caused by inherited and acquired deficiency in the production of insulin by the pancreas or by the ineffectiveness of the insulin produced. Such as deficiency results in increased concentrations of glucose in the blood, which is turn damage to various macro and microvascular complication leading to damage, dysfunction and failure of various organs, especially the eyes, kidneys, nerves, heart and blood vessels [1]. Estimated 366 million people worldwide (8.3 % of adults) had diabetes in 2011 and was predicted to go up to 552 million people (one adult in 10) by the year 2030 [2].
Glucose homeostasis, especially the postprandial increase in blood glucose levels, is facilitated by enteric enzymes, namely α-amylase and α-glucosidase attached to the brush border of the intestinal cells [3]. Alpha-amylase (α-1, 4 glucan-4-glucanohydrolase) at first converts starch to oligosaccharides by hydrolyzing α-1,4-glucan bonds. Thus, the first reaction in the digestion of carbohydrates is initiated by α-amylase by forming oligosaccharides. Unabsorbed carbohydrates (disaccharides and oligosaccharides) will then get bound to α-glucosidase enzymes in the brush border of small intestine [4]. Inhibition of this carbohydrate digesting enzymes prolongs the overall carbohydrate digestion time by delaying its breakdown, causing a decrease in the rate of glucose absorption and consequently blunting the postprandial rise in plasma glucose [5].
Streptozotocin is used to induce both type 1 and type 2 diabetes mellitus in rats. A high fat diet with STZ injected intraperitoneally at a dose of (40 mg/kg b.w.) rats produced type 2 diabetes mellitus showing sustained hyperglycemia [6].
Herbal medicine is prepared from various plant part to contain many bioactive compounds used primarily for treating. Due to the demand in the field of herbal medicines, it has become necessary of systematic knowledge about herbal drugs. The safety of herbals, it is better not to bury our phytotherapeutic heads in the sand like a frightened ostrich in the hope that herbal health problems will dissolve by themselves. Thus, we should accept that herbal medicines entail certain health risks and to actively look out for safety problems associated with herbal medicines several considerations [7]. Consistency in composition and biological activity are essential requirements for the safe and effective use of therapeutic agents. Quality is the critical determinant of safety and efficacy of botanical medicines [8].
Barleria noctiflora L. (B. noctiflora), belongs to the family Acanthaceae, which is being widely used as Folk and Ayurvedic medicine. It is widely distributed throughout the tropical region of India, Africa, Sri Lanka and other parts of Asia [9]. The plant has more important medicinal uses, many of the members of the Acanthaceae family are used as a medication for asthma [10]. Most of the Barleria species are potent anti-inflammatory, analgesic, antileukemic, antitumor, anti-hyperglycemic, anti-amoebic, virucidal & antibiotic. The plant was reported to possess antioxidant. Herbal medicines have a major role in the treatment of diabetes since these drugs are comparatively safer and free from major side effects. The B. noctiflora is used in the folklore medicine of diabetes mellitus in India [11]. However, the literature indicates that there is no scientific evidence to support the hypoglycemic effect of B. noctiflora. Hence, in this study the fraction of B. noctiflora was used to perform inhibitory studies on enzymes α-amylase, α-glucosidase and Hypoglycemic effects of ethyl acetate fraction of B. noctiflora (EAFBN) on high fat fed with low dose Streptozotocin-induced diabetes in rats. This evaluation is required to establish potential hypoglycemic effects in type 2 diabetes of this valuable herbal preparation.
MATERIALS AND METHODS
Drugs and chemicals
Glucose assay, cholesterol, low-density lipoprotein cholesterol (LDL), high-density lipoprotein cholesterol (HDL), triglyceride assay kits (Agappe Diagnostics, Kerala, India). Streptozotocin, α-amylase (HiMedia, Mumbai, India) and potato starch, maltose (Merck Ltd, Mumbai, India), and α-glucosidase (Sisco lab Ltd, Mumbai, India), Tween-80 (SD fine chemicals, Mumbai, India) were purchased for the study. Glibenclamide (Aventis Pharma, Mumbai, India) and Acarbose (Orchid Pharma Ltd, Chennai, India) were obtained as a gift sample. All the other chemicals used in the study were of analytical grade and were obtained commercially.
Instrument used
Shimadzu 1700 UV/Vis Spectrophotometer, Maxlyzer ultra semi auto analyzer, systronics MKVI digital pH meter and SD check glucometer.
Collection of plants
B. noctiflora was collected during the winter season in and around Erode District, Tamilnadu, India. It was identified and authenticated by Prof. P. Jayaraman, Director, National Institute of Herbal Science, Chennai-45, Tamilnadu, India (Ref no: PARC/2011/1015), and the voucher specimen was deposited at the same institute for future reference.
Preparation of fraction
Five hundred grams of shade-dried, powdered aerial part of B. noctiflora was extracted using soxhlet apparatus, successively with petroleum ether, chloroform, and ethanol for 72 h each. The ethanolic extract, dried and prepared separately, the solvents were evaporated in vacuum to obtain residues of the extract. The fractionation of ethanol extract was done using solubility profile [12]. 20 g of dried ethanol extract was taken in a stoppered flask, containing 200 ml of water and shaken mechanically for 1-2 h in a flask shaker. The ethanol extract was not completely soluble in water. The water insoluble portion of ethanol extractwas separated using filtration and further fractioned with ethyl acetate and n-butanol using the same procedure. The supernatants obtained from the above fraction were concentrated and evaporated to dryness and their percent yield was determined. The ethyl acetate fraction of B. noctiflora (EAFBN) and n-butanol fractions of B. noctiflora (NBFBN) were used to the in-vitro antidiabetic activity. Since in vitro antidiabetic activity was found in the ethyl acetate fraction, and it was suspended in 1% Tween 80 freshly was prepared just before administration to the rats.
In vitro antidiabetic studies
In vitro antidiabetic studies were carried out by α-amylase and α-glucosidase enzyme inhibitory activity in ethyl acetate and n-butanol fractions of B. noctiflora.
In vitro inhibition of α-amylase
The different concentrations (5–1000 μg/ml) of ethyl acetate and n-butanol fractions of B. noctiflora/standard Acarbose were prepared in dimethyl sulfoxide from 1 mg/ml stock solution and 500 μl of test/standard was added to 500 μl of α-amylase (0.5 mg/ml) and was incubated for 10 min at room temperature. Then added 500 μl of 1% starch solution and incubated for another 10 min. After that 1 ml of the 3, 5-dinitrosalicylicacid as a coloring reagent was added to the reaction mixture and heated in a boiling water bath for 5 min. After cooling, it was diluted with 10 ml of distilled water. The absorbance was then measured at 540 nm against the reagent blank. The α-amylase inhibition was expressed as a percentage of inhibition and the IC50 values determined by linear regression plots with varying concentration of fraction against percentage inhibition [13]. The percentage inhibition was calculated employing the following formula.
% inhibition = [(Abs of control–Abs of test)/Abs of control] X 100
In vitro inhibition of α-glucosidase
From 1 mg/ml stock solution different concentrations (5–1000 μg/ml) of ethyl acetate and n-butanol fractions of B. noctiflora/ standard Acarbose in 5 % dimethyl sulfoxide. Five hundred micro liters of the test/standard were added to 500 μl of α-glucosidase (1U/ml) and was incubated for 5 min at room temperature. Then added 500 μl (37 mM) maltose solutions and incubated for 30 min. After that 1 ml of the glucose, kit reagent was added to the reaction mixture and kept aside for 15 min. 1 ml of Tris buffer was then added to the mixture. The absorbance was then measured at 505 nm against the reagent blank. The α-glucosidase inhibition was expressed as a percentage of inhibition, and the assays were carried out in triplicate. The IC50 values were determined by linear regression plots with varying concentration of plant fraction against percentage inhibition [14]. The percentage inhibition was calculated employing the above formula.
In vivo antidiabetic studies
Selection of dose
LD50 was determined as per OECD guidelines for fixing the dose for biological evaluation. The LD50 of the ethyl acetate fractions of B. noctiflora (EAFBN) falls under category 4 values with no death and no signs of acute toxicity at doses of 2000 mg/kg. The biological evaluation of the fraction was carried out at dose levels of 100, 200 and 400 mg/kg body weight.
Animals
Throughout the experiment, experimental rats were processed in accordance with the instruction given by our institutional ethics committee for the purpose of control and supervision on experiments on animals (CPCSEA) [15]. Healthy Wister rats (150-200g) were used for the study. Animals were kept in standard polypropylene cage and maintained under standard laboratory conditions of temperature (24±1°C), 12 h dark like cycles, standard diet and water ad libitum. The study protocol was approved by the institutional ethical committee (JKKMMRFCP/IAEC/2013/013) and all the procedure was performed in accordance with the recommendations for the proper care and use of laboratory animals.
Oral glucose tolerance test (OGTT)
Rats were divided into five groups of 6 animals each. The 1st group received normal saline of 1% of Tween 80, 2nd group was administered Glibenclamide (10 mg/kg, p. o.) and remaining groups received EAFBN at 100 mg/kg, 200 mg/kg and 400 mg/kg, p. o. All groups received a glucose solution (2g/kg) 30 min after the administration of tests drug. The blood sample was withdrawn from tip of tail and blood glucose levels were estimated at 30,60,90 and 120 min using one touch glucometer (SD check, India).
Preparation of High-fat diet (HFD)
High-fat diet (HFD) was prepared as per Gandhi et al. [16] and consisted of 73% of a normal diet, 25% of coconut oil and 2% of dietary cholesterol, all of the commercial grade.
Development of HFD and low dose of streptozotocin (STZ) treated type 2 diabetic rats
The animals were fed with high fat diet once a day for two weeks, followed by type 2 diabetes mellitus was induced in overnight fasted rats administering a single dose of freshly prepared solution of Streptozotocin (40 mg/kg. b.w. i. p) in 0.1 Mol/l of cold citrate buffer (pH 4.5). The STZ treated animals were allowed to drink 5% glucose solution overnight to drug-induced hypoglycemia. After 7 d of injection of STZ rats with moderate diabetes, having persistent glycosuria and hyperglycemia (blood glucose>250 mg/dl) were used for further experimentation [17].
Experimental design
The rats were divided into seven groups of six rats (n=6) each. Group 1 and Group 2 served as normal control rats, and Diabetic control rats were given 1 ml of 1% Tween 80. Group 3 served as High-fat normal control was given 1 ml of 1% Tween 80. Group 4 served as standard and was treated with 1% Tween 80 containing Glibenclamide (10 mg/kg). Group 5, Group 6 and Group 7 were treated with doses of (100 mg/kg, 200 mg/kg and 400 mg/kg) EAFBN in 1% of Tween 80. The treatments were continued daily for 28 d.
Blood samples were collected from the tip of rat tail and blood glucose levels were estimated on 0th, 7th, 14th,21st and 28th days of treatment using One touch glucometer (SD check, India). Body weight was measured initially and during the treatment period. On the 29th day blood was collected by a retro-orbital puncture from the inner canthus of the eye under mild ether anesthesia using capillary tubes in fresh vials and the serum separated. Serum parameters like triglycerides, total cholesterol, urea, creatinine, insulin, low-density lipoproteins (LDL), high-density lipoproteins (HDL), alkaline phosphatase (ALP), aspartate transaminase (AST) and alanine transaminase (ALT) were determined using standard kits obtained from Agappe Diagnostics, Cochin, India using a semi auto analyser (Maxlyzer ultra). Immediately after the blood collection, the animals were sacrificed under mild ether anesthesia; Hemidiaphragm; pancreas and liver tissues were dissected out for further studies.
Estimation of glycogen and glucose uptake by hemidiaphragm and liver glycogenolysis
The liver tissue was separated into two portions, one for the glycogen estimation and another for liver glycogenolysis. The liver tissue was homogenized in 5 % w/v trichloroacetic acid and its glycogen content was determined by the method [18]. The hemidiaphragm and liver tissues were carefully excised and placed immediately in ice cooled perfusion solution with the following composition: NaCl (0.687%), KCl (0.04%), MgSO4 (0.014%), CaCl2 (0.028%), NaHPO4 (0.014%) and NaHCO3 (0.21%). Glucose was added to another batch of the perfusate at a concentration of 400 mg%. This perfusate was used to study the glucose uptake/transfer processes. The hemidiaphragm were incubated at 37 °C for 1.5 h with appropriate aeration to enable stirring and also to provide oxygen to the tissue. At the end of the incubation period, glucose concentration in the perfusate was assayed. The hemidiaphragm were removed, rinsed in water and dried in an oven at 55–60 °C for 4–5 h or till a constant weight was obtained. The glucose uptake during the incubation period was calculated in terms of mg per100 mg dry weight of the hemidiaphragm. Similarly, liver slices were incubated in the enriched glucose perfusate. The glucose concentration in the perfusate over the incubation period was determined in terms of mg per g of dry weight of liver [19].
Histopathological studies of pancreatic tissues
Pancreatic tissues isolated from rats were used for histopathological studies. The tissue in each group was cut into small portions measuring 1 cm, fixed with 10 % formaldehyde solution, dehydrated in gradually increasing concentrations of ethanol (50–100 %), cleared in xylene and embedded in paraffin. Sections of 5 μm thickness were prepared. Haematoxylin and eosin were used for staining and later the microscopic slides of pancreatic tissue were photographed under 100x magnifications.
Statistical analysis
All determinations for in vitro study were carried out in triplicate and the values are expressed as mean±SEM and inhibitory concentration (IC50) was carried out with GraphPad Prism. In vivo study, the results were expressed as mean±SEM for 6 rats in each group. Statistical analysis of the results was carried out using GraphPad In Stat software by one-way analysis of variance (ANOVA) followed by Dunnett’s test. The level of significance was set at P<0.05.
RESULTS
In vitro inhibition of α-amylase
The fractions of EAFBN and NBFBN, elicited a dose-dependent inhibition of α-amylase enzyme activity. The α-amylase inhibitory effect of the EAFBN was found to be ranging from 14.62 % to 84.63% when studied at concentrations 5–1000 μg/ml. At the same concentration range, the inhibitory effect of NBFBN was found to be ranging from 12.58% to 82.25%, whereas the effect of standard drug Acarbose ranged from 19.60% to 88.89%. The IC50 of EAFBN was found to be 114.7±0.15 μg/ml, whereas NBFBN showed at 147.8±0.40 μg/ml. The IC50 of Acarbose was found to be 88.92±0.25 μg/ml (fig. 1).
In vitro inhibition of α-glycosidase
The fractions of EAFBN and NBFBN, elicited a dose-dependent inhibition of α-glycosidase enzyme activity. The α-glycosidase inhibitory effect of the EAFBN was found to be ranging from 12.47 % to 83.83% when studied at concentrations 5–1000 μg/ml. At the same concentration range, the inhibitory effect of NBFBN was found to be ranging from 11.55% to 81.41%, whereas the effect of standard drug Acarbose ranged from 18.44% to 88.20%. The IC50 of EAFBN was found to be 104.93±0.28 μg/ml, whereas NBFBN showed at 138.96±0.17 μg/ml. The IC50 of Acarbose was found to be 97.96±0.51μg/ml (fig. 2).

Fig. 1: In vitro α-amylase inhibitory activity of Barleria noctiflora fraction. Values are expressed as the mean of triplicate measurement. EABN–Ethyl acetate fraction of Barleria noctiflora;NBBN–N-butanol fraction of Barleria noctiflora

Fig. 2: In vitro α-glycosidase inhibitory activity of Barleria noctiflora fraction. Values are expressed as the mean of triplicate measurement. EABN–Ethyl acetate fraction of Barleria noctiflora;NBBN–N-butanol fraction of Barleria noctiflora
Selection of an active fraction used in vivo antidiabetic studies
The fractions of EAFBN and NBFBN showed the dose-dependent inhibition in the α-glycosidase and α-amylase enzyme. These fractions were comparatively EAFBN fraction shows less IC50 value and preferable effect than NBFBN, so EAFBN was selected in vivo antidiabetic studies.
In vivo antidiabetic studies
Oral glucose tolerance test (OGTT)
The EAFBN doses of 100, 200 & 400 mg/kg have shown increase the tolerance for glucose and blood glucose levels were significantly reduced in the dose dependent after oral administration (2g/kg). The tested drug of EAFBN 400 mg/kg and standard drug showed significantly (p<0.01) activity at 30 min onwards and at the time of 120 min all the dose of the drug shows significant (p<0.01) activity (table 1).
Effect of ethyl acetate fraction on STZ induced diabetic rats
The body weight was slightly increased in the normal control and High-fat diet control significantly increased compared to initial body weight, whereas in the diabetic control rats there was a significant decrease in the body weight. Standard as well as the EAFBN treatment significantly (P<0.01) prevented this reduction in body weight. Although there is a marginal reduction in the weight of animals in these groups, compared to initial body weights (table 2).
Table 1: The effects of EAFBN on oral glucose tolerance test (OGTT) in rats
Groups |
Fasting blood glucose (mg/dl) at different time (min) after the treatment |
||||
0 |
30 |
60 |
90 |
120 |
|
Normal control |
85±1.71 |
141.16±1.24 |
134.33±2.02 |
127.66±1.43 |
121.16±2.01 |
Glibenclamide (10 mg/kg) |
83.83±1.66 |
115.66±1.45** |
105.16±0.90** |
94.33±1.20** |
85.16±0.79** |
EAFBN (100 mg/kg) |
84.66±1.83 |
141.33±1.68 |
133.33±1.68 |
124.5±1.33 |
112.33±2.02** |
EAFBN (200 mg/kg) |
87.16±0.94 |
134.5±0.76* |
127.66±0.84* |
119.5±0.95** |
107.5±1.52** |
EAFBN (400 mg/kg) |
82.16±1.35 |
127.16±1.86** |
117.33±2.10** |
108.33±1.85** |
94.34±1.28** |
Values are given in mean±SEM for groups of six animals each. **p<0.01, * p<0.05 denotes when compared to control (One-way ANOVA followed by Dunnett test). EAFBN–Ethyl acetate fraction of Barleria noctiflora.
Table 2: The effects of EAFBN on body weight in HFD/STZ–induced diabetic rats
Groups |
Body weight (g) |
|
Initial |
Final (% Change) |
|
Normal control |
165.5±3.53 |
180.66±3.80 (+15.16) |
Diabetic control |
191.66±1.20 |
141.16±1.85 (-50.50)** |
HFD control |
184.16±2.98 |
204±2.93 (+19.84)** |
Diabetic+Glibenclamide (10 mg/kg) |
190±2.22 |
177.5±2.23 (-12.5)** |
Diabetic+EAFBN (100 mg/kg) |
192.33±1.97 |
157±1.63 (-35.33)** |
Diabetic+EAFBN (200 mg/kg) |
193±1.69 |
165.83±0.90 (-27.17)** |
Diabetic+EAFBN (400 mg/kg) |
192.33±2.09 |
172.5±1.64 (-19.83)** |
Values are given in mean±SEM for groups of six animals each. **p<0.01 denotes when all the group was compared with Normal control (One-way ANOVA followed by Dunnett test). EAFBN–Ethyl acetate fraction of Barleria noctiflora.
The diabetic rats showed a significant increase in the fasting blood glucose levels and the HFD control rats showed a slightly significant increase when compared to normal control. The treatment of diabetic rats with the standard and EAFBN resulted significant (P<0.01) decrease in the fasting blood glucose levels from the 7th day onwards and the values were compared to diabetic control (table 3).
Table 3: The effects of EAFBN on fasting blood glucose levels in HFD/STZ–induced diabetic rats
Groups |
Fasting blood glucose (mg/dl) |
||||
0 d |
7 d |
14 d |
21 d |
28 d |
|
Normal control |
87.83±1.07 |
89±1.36 |
88±0.94 |
86.16±0.94 |
88.17±0.70 |
Diabetic control |
285.16±3.32** |
292.16±3.38** |
300.83±4.67** |
303.33±4.67** |
310.33±2.57** |
HFD control |
107.83±2.76** |
101.67±1.96 |
102.5±1.66* |
102.83±1.10* |
105.67±1.20** |
Diabetic+Glibenclamide (10 mg/kg) |
282.67±3.95 |
207.66±6.52** |
181.33±4.54** |
150.5±4.00** |
125.83±2.04** |
Diabetic+EAFBN (100 mg/kg) |
282.5±4.61 |
246.67±3.62** |
226.33±4.19** |
195.5±3.95** |
179.17±3.53** |
Diabetic+EAFBN (200 mg/kg) |
275.5±4.75 |
240.83±2.49** |
203.5±3.95** |
172.16±3.51** |
142±3.76** |
Diabetic+EAFBN (400 mg/kg) |
278.33±6.50 |
216.66±4.29** |
192.33±4.52** |
157.5±5.16** |
131±3.58** |
Values are given in mean±SEM for groups of six animals each. **p<0.01, * p<0.05 denotes when diabetic control and HFD control was compared with the Normal control and treated groups were compared with the diabetic control on a corresponding day (One-way ANOVA followed by Dunnett test). EAFBN–Ethyl acetate fraction of Barleria noctiflora.
The untreated diabetic rats and HFD rats showed a significant (P<0.01) elevated in the levels of cholesterol, triglycerides and LDL but decrease in HDL when compared to the normal control of rats, but HFD rats were a slightly same effect, decreased than diabetic control rats. Treatment of Glibenclamide and EAFBN showed a marked reversal of changes in the serum lipid parameters as compared to diabetic rats (table 4). The activities of serum enzymes like ALP, AST and ALT were significantly (P<0.01) increased in diabetic control when compared to normal control rats. The Glibenclamide and EAFBN treated rats showed a significant (P<0.01) reduction in the serum enzymes when compared to diabetic control rats (table 5).
Table 4: The effects of EAFBN on serum lipid profile in HFD/STZ–induced diabetic rats
Groups |
Cholesterol (mg/dl) |
Triglycerides (mg/dl) |
LDL (mg/dl) |
HDL (mg/dl) |
Normal control |
110.67±1.45 |
86.66±2.20 |
89.66±1.60 |
37.33±1.02 |
Diabetic control |
291.66±3.72** |
244.33±4.02** |
195.5±3.29** |
24.33±1.25** |
HFD control |
149.5±6.00** |
146.5±2.40** |
99±1.41* |
34.66±1.02 |
Diabetic+Glibenclamide (10 mg/kg) |
154.33±1.83** |
109.33±2.14** |
79.83±1.35** |
46.16±1.47** |
Diabetic+EAFBN (100 mg/kg) |
188.66±2.78** |
189.16±2.04** |
140.83±1.81** |
33.16±1.42* |
Diabetic+EAFBN (200 mg/kg) |
174.5±2.07** |
156.16±2.38** |
104.66±1.76** |
40.33±1.22** |
Diabetic+EAFBN (400 mg/kg) |
159.83±2.19** |
130±2.65** |
91.5±2.54** |
45±1.73** |
Values are given in mean±SEM for groups of six animals each. **p<0.01, * p<0.05 denotes when diabetic control and HFD control was compared with the Normal control and treated groups were compared with the diabetic control on a corresponding day (One-way ANOVA followed by Dunnett test). EAFBN–Ethyl acetate fraction of Barleria noctiflora.
Table 5: The effects of EAFBN of serum marker enzymes in HFD/STZ–induced diabetic rats
Groups |
ALP (IU/l) |
AST (IU/l) |
ALT (IU/l) |
Normal control |
62±1.80 |
77.5±1.76 |
40±2.08 |
Diabetic control |
156±3.89** |
183.5±3.00** |
126.5±1.56** |
HFD control |
68.33±1.60 |
79.16±1.30 |
42.33±1.66 |
Diabetic+Glibenclamide (10 mg/kg) |
66.66±1.28** |
79.66±1.58** |
44.5±1.38** |
Diabetic+EAFBN (100 mg/kg) |
117.16±2.30** |
150±3.16** |
92.5±1.54** |
Diabetic+EAFBN (200 mg/kg) |
90±2.06** |
101.66±2.20** |
68.66±1.52** |
Diabetic+EAFBN (400 mg/kg) |
68.66±2.71** |
82.16±1.81** |
52.5±1.66** |
Values are given in mean±SEM for groups of six animals each. **p<0.01 denotes when diabetic control and HFD control was compared with the Normal control and treated groups were compared with the diabetic control on a corresponding day (One-way ANOVA followed by Dunnett test). EAFBN–Ethyl acetate fraction of Barleria noctiflora.
Serum urea, serum creatinine and HbA1c levels were significantly (P<0.01) decreased and serum insulin levels were significantly (P<0.01) increased by Glibenclamide and EAFBN treated rats when compared to diabetic rats. Diabetic control rats were reversal changes when compared to normal control (table 6).
There was a significant marked reduction in the liver glycogen levels of diabetic rats from 4.02 g/100 g tissue (in normal control rats) to 2.27g/100g tissue. Glibenclamide treatment elicited 3.77g/100g increase in liver glycogen levels; EAFBN (100 mg/kg) treatment showed 2.83g/100g increase while at 200 mg/kg and 400 mg/kg there was 3.17g/100g and 3.72g/100g increase in liver glycogen levels when compared with the untreated diabetic rats. Hemidiaphragm taken from rats treated with EAFBN and Glibenclamide showed a significant (P<0.01 enhancement of the glucose uptake process as compared to untreated diabetic rats. Also, both EAFBN and Glibenclamide treated rats showed a significant (P<0.01) inhibitory effect on glycogenolysis in liver tissue (table 7).
Table 6: The effects of EAFBN on serum profile in HFD/STZ–induced diabetic rats
Groups |
Urea |
Creatinine |
Insulin |
HbA1c |
Normal control |
26.83±1.22 |
0.51±0.01 |
3.55±0.16 |
6.07±0.07 |
Diabetic control |
63.66±1.62** |
1.41±0.02** |
1.53±0.15** |
11.97±0.03** |
HFD control |
30.83±0.87 |
0.61±0.02** |
3.21±0.10 |
6.85±0.04** |
Diabetic+Glibenclamide (10 mg/kg) |
35.67±1.33** |
0.58±0.01** |
2.83±0.13** |
6.97±0.03** |
Diabetic+EAFBN (100 mg/kg) |
39.50±1.11** |
1.05±0.01** |
2.15±0.11** |
8.64±0.03** |
Diabetic+EAFBN (200 mg/kg) |
37±1.36** |
0.77±0.01** |
2.36±0.07** |
7.91±0.03** |
Diabetic+EAFBN (400 mg/kg) |
34.50±1.31** |
0.67±0.01** |
2.75±0.14** |
7±0.06** |
Values are given in mean±SEM for groups of six animals each. **p<0.01 denotes when diabetic control and HFD control was compared with the Normal control and treated groups were compared with the diabetic control on a corresponding day (One-way ANOVA followed by Dunnett test). EAFBN–Ethyl acetate fraction of Barleria noctiflora.
Table 7: The effects of EAFBN on Liver glycogen, Glucose uptake by hemidiaphragm and Glucose transport by liver in HFD/STZ–induced diabetic rats
Groups |
Liver glycogen |
Glucose uptake by hemidiaphragm (mg/100 mg) |
Glucose transport by liver (mg/g) |
Normal control |
4.02±0.10 |
16.78±0.30 |
27.05±0.22 |
Diabetic control |
2.27±0.15** |
4.76±0.20** |
42.03±0.85** |
HFD control |
3.98±0.06 |
15.51±0.40* |
28.83±0.35 |
Diabetic+Glibenclamide |
3.77±.073** |
16.31±0.24** |
19.13±0.30** |
Diabetic+EAFBN (100 mg/kg) |
2.83±0.05** |
9.46±0.27** |
26.36±0.51** |
Diabetic+EAFBN (200 mg/kg) |
3.17±0.11** |
12.61±0.22** |
23.53±0.50** |
Diabetic+EAFBN (400 mg/kg) |
3.72±0.09** |
15.83±0.44** |
19.36±0.28** |
Values are given in mean±SEM for groups of six animals each. **p<0.01, * p<0.05 denotes when diabetic control and HFD control was compared with the Normal control and treated groups were compared with the diabetic control on a corresponding day (One way ANOVA followed by Dunnett test). EAFBN–Ethyl acetate fraction of Barleria noctiflora.
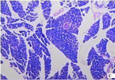
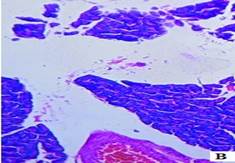
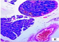
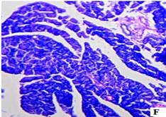
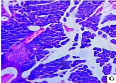
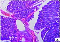
Histopathological study
The histopathological studies of the pancreatic tissues are shown in (fig. 3). Normal rats showed the normal architecture of the pancreas with the preserved islet of Langerhans cells (fig. 3A). Induction of diabetes using Streptozotocin resulted in hyalinization of islets of Langerhans cells with focal mild degenerative changes, mild fibrosis, dilated and congested vessels along with focal chronic inflammatory cell infiltrate in diabetic rats (fig. 3B). HFT control rats showed mild edema of islets of Langerhans cells, thick-walled and congested vessels, focal lymphocytic infiltrate exhibiting focal edematous changes (fig. 3C). The abnormal histopathology of the pancreas due to Streptozotocin-induced diabetes was reversed in the Glibenclamide, and EAFBN treated diabetic animals.
The recovery of standard Glibenclamide treated group was evident as near normal architecture with preserved islet cells and mild edema (fig. 3D). The resulted in EAFBN (100 mg/kg, 200 mg/kg & 400 mg/kg) treated groups mild hyalinization islets of langerhans cells with focal mild degenerative changes when compared to untreated diabetic rats. It can be noted that the islets of langerhans cells regenerated in the treatment groups (fig. 3E,3F& 3G).
|
|
|
|
|
|
|
|
Fig. 3: Histology of control and treated rat pancreas of antidiabetic studies. A) Control rat, B) Diabetic control, C) HFT control, D) Standard, E) EAFBN (100 mg/kg), F) EAFBN (200 mg/kg) and G) EAFBN (400 mg/kg)
DISCUSSION
The in vitro α-amylase and α-glucosidase inhibitory studies demonstrated EAFBNhad an inhibitory activity of the intestinal digestive enzyme. The percentage inhibition showed a dependant concentration reduction. These enzymes are responsible in hydrolyzing dietary starch into maltose which then breaks down to glucose prior to absorption. Since α-amylases play an important role in the starch breakdown in human beings and animals, the presence of such inhibitors in foodstuffs may be responsible for impaired starch digestion. The α-amylase inhibitor may be of value as novel therapeutic dietetic agents [20]. Acarbose-like drugs that inhibit α-glucosidase present in the epithelium of small intestine have been demonstrated to decrease postprandial hyperglycemia and improve impaired glucose metabolism without promoting insulin secretion in type 2 diabetic patients. These medications are most useful for people who have just been diagnosed with type-II diabetes and who have blood glucose levels slightly above the level considered serious for diabetes [21]. They are also useful for people taking sulfonylurea medication, who need additional medication to keep their blood glucose level within a safe range. Therefore, the retardation and delay of carbohydrate absorption with a plant-based α-glucosidase inhibitor offers a prospective therapeutic approach for the management of type-II diabetes mellitus.
The metabolic syndrome is characterized pathological changes including obesity, hypertriglyceridemia, impaired glucose tolerance and insulin resistance. A modified high-fat diet was adopted to induce insulin resistance because the role of HFT in the development of diabetic complications and injection of a single dose of STZ induced a type 2 diabetic state similar to prediabetic, insulin resistant state in humans.
In the in vivo study the reduction in the body weight in Streptozotocin-induced diabetic rats can be attributed to muscle wasting, dehydration, reduced body fat, reduction in adipose tissue and excessive breakdown of proteins [22]. There was a reversal of this loss in body weight in the diabetic animals treated with the EAFBN and Glibenclamide.
The mechanism in diabetes involved the overproduction (excessive hepatic glycogenolysis and gluconeogenesis) and decreased utilization of glucose by tissue. STZ is a slightly cytotoxic agent of pancreatic β cells and selectively destroys the pancreatic insulin secreting β cells, leaving less active cells and resulting in a diabetic state. Hence, in this study, observed an increasing level of blood glucose in STZ induced rats. The hyperglycemic activity of EAFBN has shown significant (p<0.01) fall in blood glucose level for 7th day onwards at all the doses of 100 mg/kg, 200 mg/kg and 400 mg/kg per oral [23].
Hyperglycemia is accompanied with dyslipidemia and represents a risk factor for coronary heart diseases. The abnormality high level of serum lipids is mainly due to the uninhibited action of lipolytic hormones on the fat depots, mainly due to the action of insulin. Under normal condition, insulin activates the enzyme lipoprotein lipase, which hydrolysis triglycerides. However, in diabetic state lipoprotein lipase is not activated due to insulin deficiency resulting in hypertriglyceridemia and insulin deficiency is also associated with hypercholesterolemia due to metabolic abnormalities [24]. The dyslipidemia is characterized by an increase in TC, TG, LDL and fall in HDL. This altered serum lipid profile was reversed towards normal after treatment with EAFBN.
The excess of free fatty acids during diabetes is found to be directly toxic to hepatocytes [25]. As a result the enzyme like the ALP, AST and ALT may leak from the hepatocytes into the circulation where their levels become elevated [26]. The elevation of ALT is attributed to impairment in insulin signaling rather than hepatocytes injury. In the present study increase, the levels of these enzymes in diabetic control rats were decreased when treated with the EAFBN similar to Glibenclamide. EAFBN may bring about the hypoglycemic effects through insulin secretion from the remnant β cells and regenerate β cells due to increased peripheral glucose utilization and insulin stimulatory effects [27, 28]. Increase the glycogen in the liver can be brought about by an increase in glycogenesis and decrease in glycogenolysis. Hemidiaphragm taken from rats treated with EAFBN and Glibenclamide showed a significant enhancement of the glucose uptake and significant inhibitory effect on glucose transport (glycogenolysis) in liver compared to diabetic control.
STZ administration results in DNA damage in β-cells of pancreatic islets due to its potent alkylating properties [29]. Histopathologically the damage was seen in untreated diabetic rats. There was the regeneration of β-cells in EAFBN and Glibenclamide treatment groups since the cells recovered from the initial injury. The regeneration of the β-cells destructed by STZ are probably due to the fact that pancreas contains stable cells which have the capacity to regenerate. Therefore, the surviving cells can proliferate to replace the lost cells [30].
CONCLUSION
In conclusion, the diabetes mellitus is the major metabolic disorder in all over the world. Hence, the result of this present study suggests that High-fat diet was one of the complicating induced type 2 diabetes. Barleria noctiflora was a potent hypoglycemic agent and beneficial in the control of diabetes-related abnormalities such as hyperglycemia, lipid abnormalities, hepatic changes and histopathological changes in the pancreas of HFD/STZ‐induced non‐genetic rat model of type 2 diabetes mellitus. However, these findings make the Barleria noctiflora was safe for oral consumption and elicit hypoglycemic activity, further research and would result in the discovery of lead compounds useful in treating diabetes mellitus.
ACKNOWLEDGEMENT
The authors acknowledge the chairman Dr. JKK. Munirajah, B. tech., (Bolton), JKKMMRF college of pharmacy, B. Komarapalayam, Tamilnadu, India for supporting my research and we thank to Prof. P. Jayaraman, Director, National Institute of Herbal Science, Chennai-45, Tamilnadu, India for the identification of the plant.
CONFLICT OF INTERESTS
We declare that we have no conflict of interest.
REFERENCES